Abstract
Pilomatrix carcinoma is a rare locally aggressive hair-follicle tumor. We report a 54-year-old man who presented with a tumor in the left flank that was found by skin biopsy to be pilomatrix carcinoma. A contrast-enhanced computed tomographic scan of the chest, abdomen, and pelvis showed multiple small nodules in both lungs and lymphadenopathy in the abdomen. Video-assisted thoracoscopic biopsy of the lung lesions was consistent with metastatic pilomatrix carcinoma. After intravenous cisplatin and 5-fluorouracil, the skin, lung, and lymph node lesions shrank.
References
1. Gromiko N. Zur kenntnis der bosartigen Umwandlung des verkalkten Hautepithelioms. Arch Pathol Anat. 1927; 265:103–116.
2. Lopansri S, Mihm MC Jr. Pilomatrix carcinoma or calcifying epitheliocarcinoma of Malherbe: a case report and review of literature. Cancer. 1980; 45:2368–2373.

3. De Galvez-Aranda MV, Herrera-Ceballos E, Sanchez-Sanchez P, Bosch-Garcia RJ, Matilla-Vicente A. Pilomatrix carcinoma with lymph node and pulmonary metastasis: report of a case arising on the knee. Am J Dermatopathol. 2002; 24:139–143.
4. Bremnes RM, Kvamme JM, Stalsberg H, Jacobsen EA. Pilomatrix carcinoma with multiple metastases: report of a case and review of the literature. Eur J Cancer. 1999; 35:433–437.

5. Mir R, Cortes E, Papantoniou PA, Heller K, Muehlhausen V, Kahn LB. Metastatic trichomatricial carcinoma. Arch Pathol Lab Med. 1986; 110:660–663.
6. Niedermeyer HP, Peris K, Hofler H. Pilomatrix carcinoma with multiple visceral metastases: report of a case. Cancer. 1996; 77:1311–1314.

8. Bassarova A, Nesland JM, Sedloev T, Danielsen H, Christova S. Pilomatrix carcinoma with lymph node metastases. J Cutan Pathol. 2004; 31:330–335.

9. Forbis R Jr, Helwig EB. Pilomatrixoma (calcifying epithelio-ma). Arch Dermatol. 1961; 83:606–618.

10. Manivel C, Wick MR, Mukai K. Pilomatrix carcinoma: an immunohistochemical comparison with benign pilomatrixoma and other benign cutaneous lesions of pilar origin. J Cutan Pathol. 1986; 13:22–29.

Figures
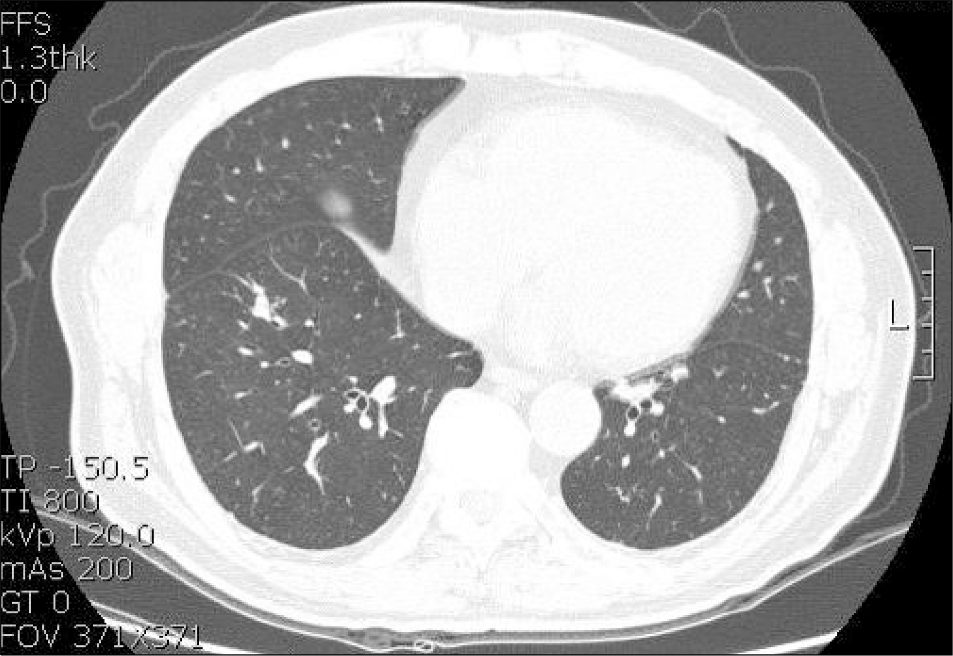
Fig. 1.
Initial chest CT scan showing branching opacities with tree-in-bud appearance consistent with tortuous pulmonary arteriolar dilatation by tumor embolism in both lungs.



PDF
ePub
Citation
Print


XML Download