Abstract
In the field of mandibular reconstruction, multiple treatment options and surgical approaches are available. Most techniques require extensive incisions across the face and neck to visualize, resect and reconstruct large mandibular defects. These approaches are associated with greater aesthetic compromise and an increased risk of injury to neurovascular structures. The aim of the present study is to introduce alternative facial approaches using tunneled dissection techniques, which allow for the resection and reconstruction of extensive mandibular defects involving the body, ramus, and temporomandibular joint.
A wide variety of tumorous and cystic lesions affect the mandibular region, with behaviors ranging from non-aggressive benign forms to destructive lesions. It has been reported that odontogenic tumors occur more frequently in the mandible than in the maxilla1,2.
In general terms, within the group of odontogenic tumors, benign lesions are more prevalent than malignant ones, accounting for 94.1% versus 5.9%, respectively2.
The most common benign odontogenic lesions are ameloblastomas (51.2%) and keratocysts (39.4%) reported in a systematic review1. Among benign non-odontogenic tumors, the central giant cell granuloma stands out, representing 7% of benign mandibular tumors and most frequently located in the anterior region of the mandible3.
Regarding malignant odontogenic tumors, 74.3% are located in the mandible, with ameloblastic carcinoma being the most frequent subtype, representing 25.7%4.
Given the aggressive behavior and high recurrence rate of certain mandibular lesions, their management often requires wide surgical resection. These interventions demand surgical approaches that ensure adequate visualization, anatomical control, and access to the affected mandibular segments. The choice of approach depends mainly on the location of the lesion, its bone extension, and the need for subsequent reconstruction1-4.
For surgical access to the temporomandibular joint, various approaches have been described in the literature. The preauricular and retroauricular approaches allow access to the condylar head and neck5. The preauricular approach has the disadvantage of a high probability of facial nerve damage and a visible scar in the area. The endaural approach is performed through the inner surface of the tragus, providing adequate visualization of the joint space, the disc, and the condylar head, while minimizing the risk of facial nerve injury and aesthetic compromise6. The modified Blair approach provides effective access to both the temporomandibular joint and the parotid gland, through an incision beginning at the preauricular skin fold, anterior and superior to the tragus, and extending inferiorly into a cervical fold7. The retromandibular approach allows adequate exposure of the condylar neck and subcondylar region5. Finally, the submandibular approach provides access and direct visualization of the mandibular body, ramus, and angle8. However, it provides insufficient exposure of the condyle9.
Mandibular resections require thorough knowledge of regional anatomy to minimize functional and aesthetic complications. Key anatomical elements such as the inferior alveolar nerve, lingual nerve, facial nerve, facial artery, and internal maxillary artery must be carefully identified and preserved to avoid neurosensory injury, hemorrhage, or alterations in facial mobility. The morphological variability of these structures underscores the importance of individualized surgical planning. Detailed knowledge of these anatomical landmarks, combined with the proper use of various approaches through tunneling, enables mandibular resections to be performed in a more conservative way, with lower surgical morbidity and improved aesthetic results10.
Facial paralysis is both a functional and aesthetic complication that must be carefully considered in surgical approaches to the articular region and mandibular ramus. Various surgical techniques have been proposed to minimize this complication. The endaural approach offers multiple advantages, including minimally visible scars, low risk of facial nerve injury, direct access to the condylar region, adequate exposure of the surgical site, and a low incidence of postoperative complications6. The retromandibular approach provides effective visualization of the subcondylar region, with a short distance between the skin incision and the bone, as well as a discreetly located scar along the posterior mandibular border5. Finally, the submandibular approach provides excellent surgical access, provided that careful dissection of the marginal mandibular branch of the facial nerve is performed, thus reducing the risk of paralysis and/or paresis8.
The aim of this study is to describe the surgical experience in two clinical cases of mandibular resection and reconstruction, performed through the combination of endaural, retromandibular, and submandibular approaches, with intermediate skin pedicles through which connection and tunneling were carried out to access the bony plane.
The use of a combined tunneled dissection was required to achieve continuous an aesthetic access of mandibular body, ramus, and condylar neck, while minimizing soft tissue traction and most importantly facial nerve exposure. Compared with performing these approaches separately, tunneling avoids the need for a wide preauricular-retromandibular-submandibular incision and maintains a narrow cutaneous bridge between the endaural and retromandibular entries. This preserved bridge corresponds anatomically to the area where the main facial nerve trunk emerges and bifurcates, allowing the surgeon to work around it and thereby reducing the risk of neural injury. This combined tunneling technique represents an evolution of existing approaches, aimed at maximizing exposure while minimizing morbidity and visible scarring.
A 54-year-old female patient with a medical history of asthma and arterial hypertension, under treatment with prednisone, vitamin D, losartan, and primaquine. She had quit smoking 20 years prior. She was admitted to the maxillofacial surgery service due to an asymptomatic swelling in the mandibular region of the left body and angle, associated with teeth 3.6 and 3.7, which were displaced and mobile. Panoramic radiography revealed a multilocular radiolucent lesion expanding the cortical bone, with an approximate diameter of 8 cm.(Fig. 1) Biopsy confirmed the diagnosis of glandular odontogenic cyst. Surgery under general anesthesia was planned: excision of the lesion with a safety margin, reconstruction with an osteosynthesis system (OTS), and placement of an acrylic spacer to later evaluate the presence or absence of recurrence and to resolve the definitive reconstruction of the bone defect at a later stage.(Fig. 2)
Postoperative follow-up was scheduled at 1 week, 3 weeks, 2 months, 3 months, 6 months, and 1 year. The patient has currently completed 8 months of follow-up, with no signs of recurrence or wound dehiscence. Transient paresis of the frontal branch of the facial nerve was observed, with complete recovery at 3 months. Mild labial hypoesthesia persisted, likely related to the preoperative adhesion of the glandular odontogenic cyst to the inferior alveolar nerve. The aesthetic outcome was satisfactory, with minimal scarring and no need for drainage during the postoperative period.(Fig. 3)
A 45-year-old male patient with a medical history of arterial hypertension. He was admitted to the maxillofacial surgery service due to a radiographic finding. Panoramic radiography showed an extensive radiolucent area involving the mandibular ramus and body.(Fig. 4) An initial biopsy under local anesthesia reported the diagnosis of plexiform ameloblastoma. Surgery under general anesthesia was scheduled to perform excision of the lesion with a safety margin, while preserving the basal border, posterior mandibular border, and condyle, allowing for immediate reconstruction with an iliac crest bone graft.
Postoperative follow-up was scheduled at 1 week, 3 weeks, 2 months, 3 months, 6 months, and 1 year. The patient has currently completed 1 year of follow-up, without clinical or radiographic signs of recurrence. A transient paresis of the frontal branch of the facial nerve was noted postoperatively, resolving completely at 3 months. Wound healing was uneventful, and the patient presented excellent facial symmetry and aesthetic contour with no hypertrophic scarring.
Both procedures were performed under general anesthesia, with the patient in the supine position, nasotracheal intubation, cervical hyperextension, and head rotation toward the contralateral side. Prior to initiating the approaches, the skin and deep mandibular skeleton were infiltrated with 2% lidocaine with 1:100,000 epinephrine, using four 1.8 mL cartridges to achieve vasoconstriction and local anesthesia.
The procedure began with an endaural approach extending from the pretragal region to the inferior aspect of the earlobe. Dissection was initially performed in a supraperichondrial plane over the tragus, followed by careful elevation toward the superficial temporal fascia at the level of the zygomatic arch with careful retraction of the superficial temporal artery with vascular loops. In this technique, the zygomatic arch was not incised; instead, the dissection was continued inferiorly through the same plane until the condylar head was identified. After incising the periosteum at the condylar neck, the tissues were elevated in a caudo-cranial direction, allowing visualization of the upper portion of the lesion for subsequent resection and access for the placement and fixation of the osteosynthesis plate without tension on adjacent flaps.
A second, retromandibular incision of approximately 1.5 cm was made along the posterior mandibular border. The skin, subcutaneous tissue, and superficial musculoaponeurotic system were disected, followed by gentle transparotid access until the posterior bony surface of the mandibular ramus was exposed. The periosteum was incised to reach the bone, facilitating resection of the lesion and placement of fixation screws for the reconstruction plate.
Finally, a submandibular incision was performed approximately 3 cm below the inferior mandibular border, parallel to the relaxed skin tension lines. Dissection proceeded through the skin, subcutaneous tissue, superficial cervical fascia, platysma, and deep cervical fascia. The mandibular plane was approached by carefully detaching the muscles inserted at the basilar border, followed by subperiosteal elevation and skeletal exposure. The facial artery and the marginal mandibular branch of the facial nerve were identified and retracted with vascular loops (Fig. 5), providing safe access for the osteotomy and tumor resection, which were performed using a reciprocating saw and piezoelectric instruments. Primary reconstruction of the mandibular defect was then achieved.
Tunneling was established by a subcutaneous and subperiosteal route connecting the endaural and retromandibular incisions, while preserving a narrow cutaneous pedicle over the bifurcation zone of the facial nerve trunk. The submandibular approach was subsequently connected to this tunnel along the mandibular border, creating a continuous anatomical corridor from the condylar neck to the mandibular body.(Fig. 5, 6) This configuration allowed for continuous visualization of the mandibular bone, minimized traction, and facilitated the perpendicular placement of osteosynthesis screws through the same surgical field.
It should be noted that in our resective procedures, we use cutting guides, plate positioning guides, and the resection is performed using the split technique described by Tapia et al.11 that preserves the inferior alveolar neurovascular bundle. It is also of great importance to emphasize that prior to osteotomies, the pre-shaped reconstruction plate is positioned on the mandible, and four perforations are made in the distal holes of the reconstruction plate. This maneuver allows easy repositioning of the osteosynthesis once complete resection of the periosteal tissue has been achieved.
This triple tunneled approach provided direct and complementary access to the entire mandible: the submandibular route allowed excellent visualization of the body, angle, and lower ramus; the retromandibular incision provided access to the posterior ramus; and the endaural approach permitted direct exposure of the condylar neck and sigmoid notch when necessary. In this way, wide exposure was achieved without an extended cervicofacial incision, reducing the risk of facial nerve injury and optimizing both functional and aesthetic outcomes.
In all the approaches described, careful blunt dissection was employed, aimed at preserving key anatomical structures such as the superficial temporal artery, pterygoid venous plexus, internal maxillary artery, collateral arterial branches (auricular and tympanic), the facial nerve, and the facial artery.
Once dissection and skeletonization of the mandibular bone complex were completed, resective and reconstructive maneuvers were performed in an individualized manner, depending on the type of lesion and the therapeutic plan designed for each patient.
The resection of benign odontogenic tumors represents a complex surgical challenge, involving everything from the initial diagnosis to the planning and execution of treatment. In this context, therapeutic approaches have evolved with the aim of preserving function, improving aesthetic outcomes, and optimizing patient quality of life. Several studies agree that cystic and tumorous odontogenic lesions occur more frequently in the mandible than in the maxilla2,4,12. This anatomical localization presents particular challenges due to the proximity of critical neurovascular structures, which increases the risk of functional and aesthetic complications10,11.
In this scenario, the surgeon’s experience and learning curve are determining factors when selecting surgical approaches. More conservative and minimally invasive approaches often require greater technical skill and therefore present a steeper learning curve. The retromandibular transparotid approach is a fast technique, relatively simple to perform, and with low morbidity13. However, systematic reviews and meta-analyses have demonstrated a high rate of transient facial nerve paresis, with variability mainly attributed to the surgeon’s level of experience, a finding that has also been reported for the conventional retromandibular approach5,13.
Among the surgical alternatives for mandibular resection are intraoral approaches, which can be used alone or in combination with extraoral accesses. This combined strategy may improve surgical exposure while reducing postoperative morbidity through less invasive techniques14. Cutaneous approaches provide more direct access and visualization of the surgical site but are associated with a higher risk of neuropathic morbidity, particularly due to facial nerve injury5. Therefore, their indication must be carefully evaluated. On the other hand, intraoral approaches, although aesthetically advantageous, carry a higher risk of infection and difficulties in hemorrhage control in deep planes15,16. In this context, the use of endoscopic techniques has emerged as a complementary alternative, particularly in the condylar region17,18. When compared with endoscopic techniques, the tunneled combination of facial approaches offers a more direct and fast tactile surgical exposure, without requiring specialized endoscopic equipment. However, endoscopic and computer-assisted procedures may provide greater precision in limited resections or reconstructions requiring customized implants17,18.
The submandibular approach, although widely used for access to the body, angle, and ramus of the mandible, presents limitations when condylar head and neck exposure is required. Visibility is restricted, and direct manipulation of the condyle is difficult. This may increase traction on soft tissues and elevate the risk of neurological complications, such as neuropraxia of the marginal mandibular nerve9,19. In this study, we propose a surgical strategy based on tunneling between endaural, retromandibular, and submandibular approaches. This technique may be favorable, particularly in cases requiring wide resection of the mandibular body and ramus while also demanding access to the condyle. This combination of approaches allows for progressive and complementary exposure of the different mandibular segments, facilitating direct access to each affected area without losing continuity in the bony plane. Interconnected blunt dissection is aimed at minimizing the risk of nerve injury, also allowing greater technical ease in drilling and placing perpendicular screws for OTSs, and avoiding extensive facial incisions. This translates into better aesthetic and functional results for the patient.
The present technique is indicated primarily for benign non aggressive and benign locally aggressive lesions that demand wide exposure of the mandibular body, ramus, and condyle1,4. Its main limitation lies in its technical complexity and the need for thorough anatomical knowledge of the facial nerve branches and parotid gland5-7,9,10.
Notes
Authors’ Contributions
P.T. participated in conceptualization. P.T., M.S., B.O., M.F., C.B., and E.S. participated in data curation and formal analysis. P.T., J.Z., C.R., C.B., and E.S. participated in methodology and resources. P.T., M.S., B.O., and M.F. participated in project administration. P.T. participated in supervision, validation and visualization. P.T., M.S., B.O., and M.F. participated in writing the original draft. P.T., M.S., and B.O. participated in reviewing and editing. All authors read and approved the final manuscript.
References
1. Colnot N, Savoldelli C, Afota F, Latreche S, Lupi L, Lerhe B, et al. 2024; Treatment of benign maxillomandibular osteolytic lesions larger than 4 cm: a systematic review. J Stomatol Oral Maxillofac Surg. 125(4 Suppl):101933. https://doi.org/10.1016/j.jormas.2024.101933. DOI: 10.1016/j.jormas.2024.101933. PMID: 38823480.
2. Abdul-Aziz MAM, Rashad AEEM, Saleh HA. 2024; Malignant recurrence of benign odontogenic tumors (a single center cross-sectional study). Head Neck Pathol. 18:76. https://doi.org/10.1007/s12105-024-01676-9. DOI: 10.1007/s12105-024-01676-9. PMID: 39136876. PMCID: PMC11322466.
3. Shaw SE, Chan CH. Abdelsattar M, Abernethy LT, Ackley WB, Adolphe TS, Aeby TC, Agadi S, editors. 2025. Non-odontogenic tumors of the jaws. StatPearls. StatPearls Publishing.
4. Marin C, Dave M, Hunter KD. 2021; Malignant odontogenic tumours: a systematic review of cases reported in literature. Front Oral Health. 2:775707. https://doi.org/10.3389/froh.2021.775707. DOI: 10.3389/froh.2021.775707. PMID: 35048074. PMCID: PMC8757763.
5. Al-Moraissi EA, Louvrier A, Colletti G, Wolford LM, Biglioli F, Ragaey M, et al. 2018; Does the surgical approach for treating mandibular condylar fractures affect the rate of seventh cranial nerve injuries? A systematic review and meta-analysis based on a new classification for surgical approaches. J Craniomaxillofac Surg. 46:398–412. https://doi.org/10.1016/j.jcms.2017.10.024. DOI: 10.1016/j.jcms.2017.10.024. PMID: 29339001.
6. Mejia JP, Tabares BG, Geithner CMR. 2024; Modified endaural approach with a peripheral dissection of the superficial musculoaponeurotic system to access the temporomandibular joint to prevent facial nerve injury. J Craniofac Surg. 35:1557–9. https://doi.org/10.1097/scs.0000000000010173. DOI: 10.1097/SCS.0000000000010173. PMID: 38682918.
7. Özer C, Tamer Y, Bayram B, Pektaş ZÖ. 2022; Modified Blair approach for the treatment of mandibular condyle fractures. J Craniofac Surg. 33:2231–4. https://doi.org/10.1097/scs.0000000000008571. DOI: 10.1097/SCS.0000000000008571. PMID: 35220347. PMCID: PMC9518966.
8. Prabhu N, Khan ZA, Issrani R. 2020; Revisiting the sub-mandibular approach with a modified incision. Pan Afr Med J. 36:171. https://doi.org/10.11604/pamj.2020.36.171.24289. DOI: 10.11604/pamj.2020.36.171.24289. PMID: 32952815. PMCID: PMC7467886.
9. Nam SM, Lee JH, Kim JH. 2013; The application of the Risdon approach for mandibular condyle fractures. BMC Surg. 13:25. https://doi.org/10.1186/1471-2482-13-25. DOI: 10.1186/1471-2482-13-25. PMID: 23829537. PMCID: PMC3708819.
10. Lee YJ, Park Y, Ha Y, Kim S. 2023; Mandible angle resection with the retroauricular approach. J Clin Med. 12:2641. https://doi.org/10.3390/jcm12072641. DOI: 10.3390/jcm12072641. PMID: 37048723. PMCID: PMC10094842.
11. Tapia P, Matus-Miranda G, Díaz F, Arrué P. 2024; Preservation of the inferior alveolar vasculonervous bundle in mandibular resective therapies: systematic review and report of two cases. Med Oral Patol Oral Cir Bucal. 29:e255–62. https://doi.org/10.4317/medoral.26239. DOI: 10.4317/medoral.26239. PMID: 37823290. PMCID: PMC10945863.
12. Johnson NR, Gannon OM, Savage NW, Batstone MD. 2014; Frequency of odontogenic cysts and tumors: a systematic review. J Investig Clin Dent. 5:9–14. https://doi.org/10.1111/jicd.12044. DOI: 10.1111/jicd.12044. PMID: 23766099.
13. Girotto R, Mancini P, Balercia P. 2012; The retromandibular transparotid approach: our clinical experience. J Craniomaxillofac Surg. 40:78–81. https://doi.org/10.1016/j.jcms.2011.01.009. DOI: 10.1016/j.jcms.2011.01.009. PMID: 21306910.
14. Wang Z, Miao D, Wan J, Ding X, Song X, Wu H, et al. 2022; Intraoral versus transcervical approaches in mandibular reconstruction with free flaps: a retrospective study. J Craniomaxillofac Surg. 50:771–7. https://doi.org/10.1016/j.jcms.2022.09.003. DOI: 10.1016/j.jcms.2022.09.003. PMID: 36210272.
15. Forrest M, Holmes S, Bhatti N. Van der Cruyssen F. 2025; A systematic review and meta-analysis of fracture-related infections in maxillofacial trauma: incidence, risk factors, and management strategies. J Clin Med. 14:1332. https://doi.org/10.3390/jcm14041332. DOI: 10.3390/jcm14041332. PMID: 40004862. PMCID: PMC11856410.
16. Moro A, Todaro M, Pedicelli A, Alexandre A, Pelo S, Doneddu P, et al. 2018; Pseudoaneurysm of the internal maxillary artery secondary to subcondylar fracture: case report and literature review. J Surg Case Rep. 2018:rjy080. https://doi.org/10.1093/jscr/rjy080. DOI: 10.1093/jscr/rjy080.
17. Yan S, Qiao C, Yan K, Qu Y, Wang S, Shangguan W, et al. 2025; Endoscopic-assisted mandibular angle revision using patient-specific PEEK implants: surgical accuracy and aesthetic outcomes in over-resected mandibles. Aesthetic Plast Surg. 49:3362–71. https://doi.org/10.1007/s00266-024-04640-8. DOI: 10.1007/s00266-024-04640-8. PMID: 39821294.
18. Wang Y, Ma D, Li Y, Zhang C, Yang Y, Wu W. 2024; Combined use of endoscopic techniques and virtual surgical planning for intraoral approach for hemi-mandibular resection and reconstruction. Plast Reconstr Surg Glob Open. 12:e5644. https://doi.org/10.1097/gox.0000000000005644. DOI: 10.1097/GOX.0000000000005644. PMID: 38440367. PMCID: PMC10911526.
19. Kim SG, Bok SC, Choi SI, Park JW, Choi DJ. 2024; Anatomical study to determine a new approach to treat benign masses located in the anterior condyle region: a case report. J Korean Assoc Oral Maxillofac Surg. 50:110–5. https://doi.org/10.5125/jkaoms.2024.50.2.110. DOI: 10.5125/jkaoms.2024.50.2.110. PMID: 38693134. PMCID: PMC11063735.
Fig. 1
Preoperative panorama X-ray: multilocular radiolucent lesion in the region of the left mandibular body and angle.
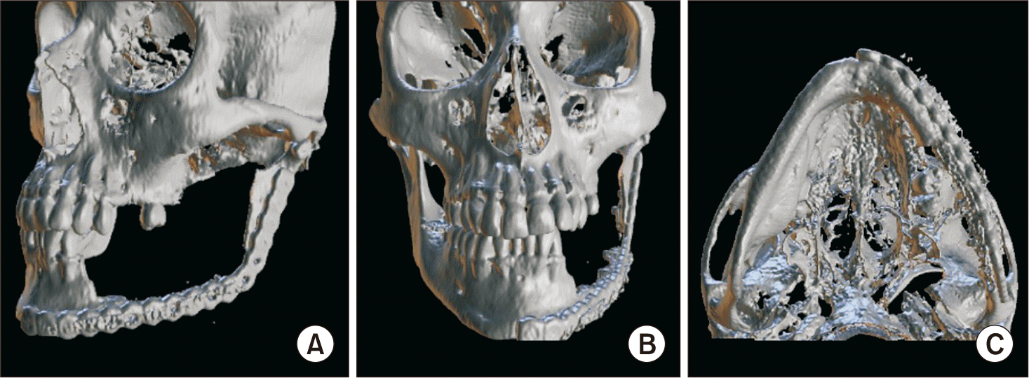
Fig. 2
Postoperative three-dimensional reconstruction of left mandibular resection and positioning of osteosynthesis system with acrylic spacer. A. Lateral view. B. Frontal view. C. Caudal view.
Fig. 3
Clinical extraoral photographs at two-month postoperative follow-up. A. Frontal view. B. Left lateral view.
Fig. 4
Preoperative panorama X-ray: extensive radiolucent area involving the anterior border of the ramus and region of the right mandibular body.



PDF
Citation
Print



XML Download