1. Foresta E, Torroni A, Di Nardo F, de Waure C, Poscia A, Gasparini G, et al. Pleomorphic adenoma and benign parotid tumors: extracapsular dissection vs superficial parotidectomy--review of literature and meta-analysis. Oral Surg Oral Med Oral Pathol Oral Radiol. 2014; 117(6):663–76.

2. Mendenhall WM, Mendenhall CM, Werning JW, Malyapa RS, Mendenhall NP. Salivary gland pleomorphic adenoma. Am J Clin Oncol. 2008; 31(1):95–9.

3. Ellis GL, Auclair PL. Tumors of the salivary glands, atlas of tumor pathology: 3rd series, fascicle 17. Washington, DC: Armed Forces Institute of Pathology;1996.
4. Ellis GL, Auclair PL. Tumors of the salivary glands, atlas of tumor pathology: 4th series, fascicle 9. Silver Spring: ARP Press;2008.
5. Foote FW Jr, Frazell EL. Tumors of the major salivary glands. Cancer. 1953; 6(6):1065–133.

6. Thackray AC, Lucas RB. Tumors of the major salivary glands, atlas of tumor pathology: 2nd series, fascicle 10. Washington, DC: Armed Forces Institute of Pathology;1974. p.14.
7. Seifert G. Histological classification of salivary gland tumours. In : Seifert G, editor. Histological typing of salivary gland tumours. 2nd ed. Berlin, Heidelberg: Springer;1991. p. 9–10.
8. Hernandez-Prera JC, Skálová A, Franchi A, Rinaldo A, Vander Poorten V, Zbären P, et al. Pleomorphic adenoma: the great mimicker of malignancy. Histopathology. 2021; 79(3):279–90.

9. World Health Organization. Salivary gland tumours. In : . Head and neck tumours. WHO classification of tumours, part A. 5th ed. Lyon: International Agency for Research on Cancer;2024. p. 159–252.
10. Fakhry N, Santini L, Lagier A, Dessi P, Giovanni A. Fine needle aspiration cytology and frozen section in the diagnosis of malignant parotid tumours. Int J Oral Maxillofac Surg. 2014; 43(7):802–5.

11. Seethala RR, LiVolsi VA, Baloch ZW. Relative accuracy of fine-needle aspiration and frozen section in the diagnosis of lesions of the parotid gland. Head Neck. 2005; 27(3):217–23.

12. Zbären P, Guélat D, Loosli H, Stauffer E. Parotid tumors: fine-needle aspiration and/or frozen section. Otolaryngol Head Neck Surg. 2008; 139(6):811–5.

13. O’Brien CJ. Current management of benign parotid tumors--the role of limited superficial parotidectomy. Head Neck. 2003; 25(11):946–52.

14. Piekarski J, Nejc D, Szymczak W, Wronski K, Jeziorski A. Results of extracapsular dissection of pleomorphic adenoma of parotid gland. J Oral Maxillofac Surg. 2004; 62(10):1198–202.

15. Witt RL, Eisele DW, Morton RP, Nicolai P, Poorten VV, Zbären P. Etiology and management of recurrent parotid pleomorphic adenoma. Laryngoscope. 2015; 125(4):888–93.

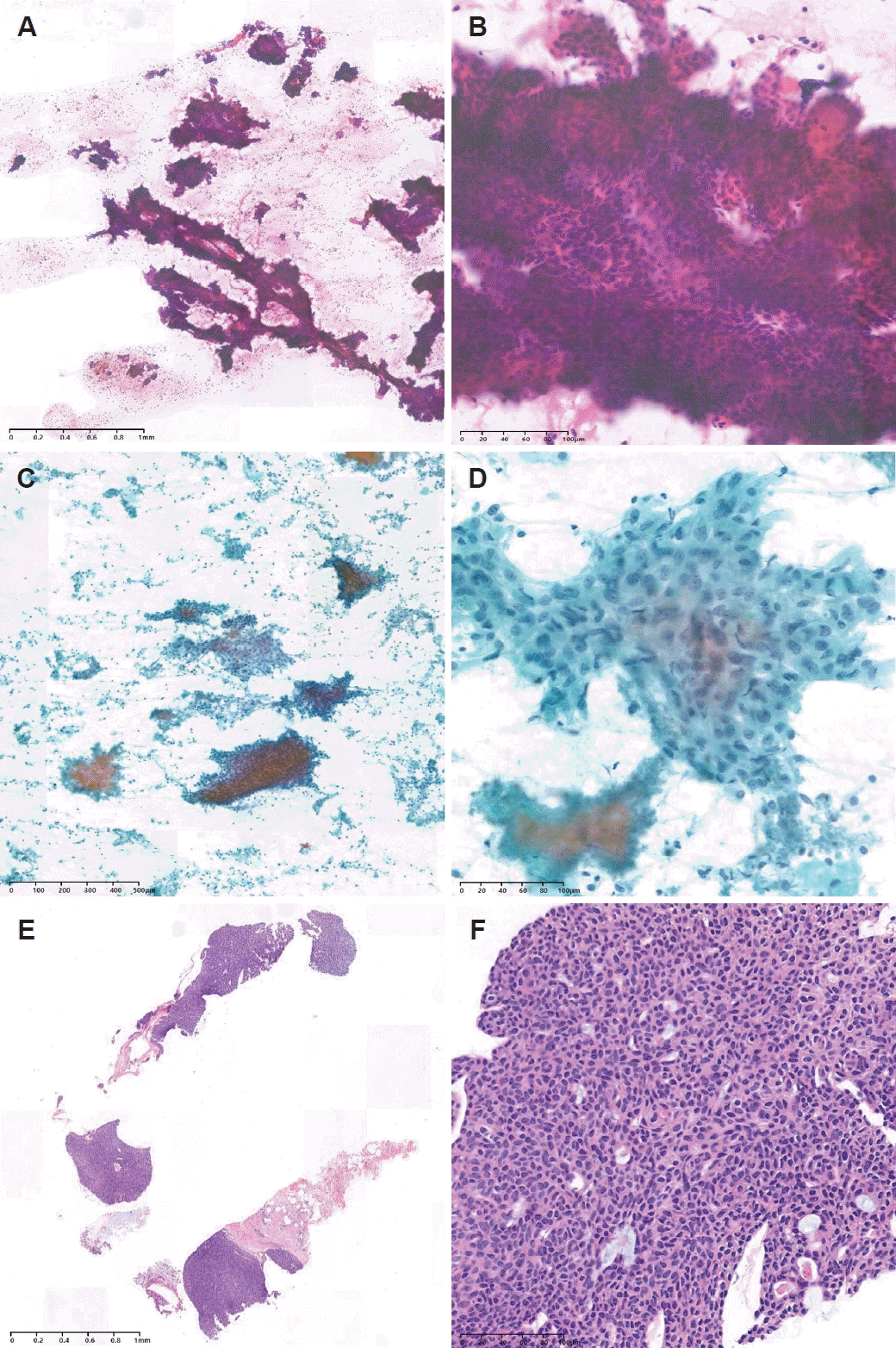
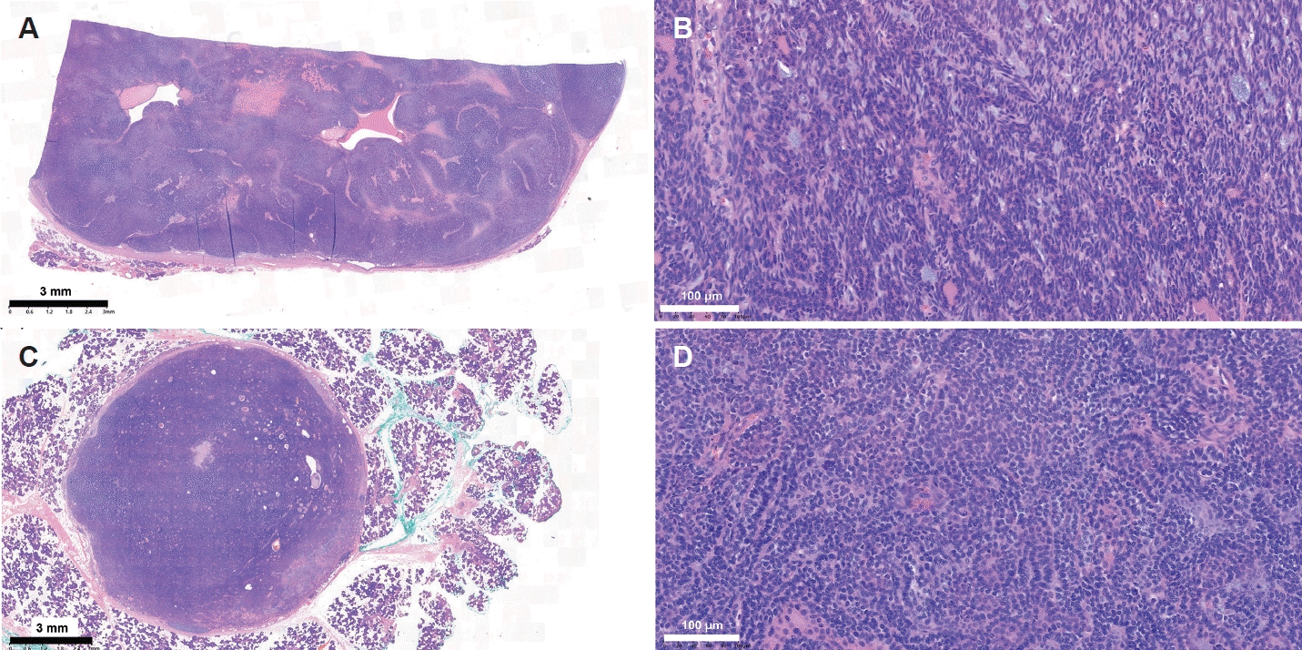
16. Monica K, Ramani P. Analysis of various histopathological patterns in pleomorphic adenoma - an institutional case study. Oral Maxillofac Pathol J. 2023; 14(1):28–32.
17. Lai CC, Lin CT, Lin YH. Cellularity and its relation with capsular characteristics as an influencing factor for operative strategies of pleomorphic adenoma. Cir Cir. 2022; 90(4):439–46.
18. de Lima-Souza RA, Bělohlávková K, Michal M, Altemani A, Mariano FV, Skálová A. Atypical and worrisome histological features in pleomorphic adenoma: challenging and potentially significant diagnostic pitfall. Virchows Arch. 2025; 487(3):543–55.

19. Elsheikh TM, Bernacki EG. Fine needle aspiration cytology of cellular pleomorphic adenoma. Acta Cytol. 1996; 40(6):1165–75.

20. Handa U, Dhingra N, Chopra R, Mohan H. Pleomorphic adenoma: cytologic variations and potential diagnostic pitfalls. Diagn Cytopathol. 2009; 37(1):11–5.

21. Rani SG, Ram KJ, Prasad BP, Manish K. Cellular pleomorphic adenoma with cytomorphological diversity: a diagnostic dilemma. Int J Contemp Pathol. 2016; 2(2):28–30.
