Abstract
Background
Myasthenic crisis (MC) and systemic lupus erythematosus (SLE) are distinct autoimmune conditions, each capable of leading to severe life-threatening complications. Their coexistence is rare, and their management becomes particularly difficult when they are triggered by infection and respiratory failure. This case report highlights the critical role of plasma exchange (PLEX) as a primary intervention for overlapping autoimmune crises.
Case Report
We describe the case of a 57-year-old woman with a 15-year history of myasthenia gravis (MG) and a recent diagnosis of SLE who presented with progressive dyspnea and pneumonia. The patient’s condition rapidly deteriorated, requiring intubation and mechanical ventilation. She was categorized as having Myasthenia Gravis Foundation of America Class V MG with concurrent lupus flare. Early initiation of PLEX resulted in marked clinical improvement and successful extubation on day 5.
Autoimmune diseases present a major challenge in critical care management because of their complex and often overlapping manifestations. They involve intricate pathophysiological mechanisms, including interactions among autoantibodies, cellular immunity, and inflammatory mediators. In intensive care settings, myasthenia gravis (MG) and systemic lupus erythematosus (SLE) stand out among the autoimmune diseases because of their high potential to precipitate critical, life-endangering events [1]. While MG and SLE are each relatively common autoimmune conditions, reports of their co-occurrence in the same patient remain uncommon. Plasma exchange (PLEX) plays a crucial role in the rapid removal of circulating antibodies and immune complexes. In patients with MG, PLEX has demonstrated efficacy in improving respiratory muscle strength and expediting ventilator weaning [2]. In patients with SLE, PLEX serves as an adjunct therapy for severe flares that are resistant to conventional immuno suppression [3]. The use of PLEX in patients experiencing a dual autoimmune crisis is particularly intriguing as it can simultaneously target two pathological processes [4].
In this case report, we describe the critical care management of a patient with long-standing MG and recently diagnosed SLE, who presented with a myasthenic crisis (MC) triggered by pneumonia. The patient was successfully treated with mechanical ventilation, antibiotics, corticosteroids, and two sessions of PLEX, leading to rapid clinical improvement. This case highlights the importance of early condition recognition, multidisciplinary collaboration, and timely immunomodulatory intervention for the management of rare but life-threatening dual autoimmune crises.
A 57-year-old Balinese woman with a 15-year history of MG and diagnosed with SLE 2 years prior to admission presented to the emergency department with progressive dyspnea, generalized weakness, a nasal voice, and a productive cough for 2 days. She also reported fatigue, dysphagia to liquids, and difficulty in speaking full sentences due to shortness of breath. She had also developed multiple oral ulcers, malar rash, and arthritis in both knees and hands. Regular medications included pyridostigmine, azathioprine, and hydroxychloroquine. Her medical history revealed recurrent mild MG exacerbations one year prior to admission, but no previous need for intubation. The patient had previously tested positive for anti-acetylcholine receptor (AChR) antibodies. Repeat testing during the current admission demonstrated a further rise of anti-AChR antibodies to 5.68 nmol/L, confirming the antibody-mediated exacerbation of MG. She had no history of lupus nephritis, neuropsychiatric lupus, or exposure to new medications, muscle relaxants, or other stressors besides the current infection. Based on the arthritis, mucocutaneous lesions, and increased inflammatory markers, the SLE flare corresponded to moderate activity with a Systemic Lupus Erythematosus Disease Activity Index 2000 score of eight. Complement (C) levels were mildly reduced (C3, 0.68 g/L; C4, 0.12 g/L), supporting a diagnosis of active disease [5].
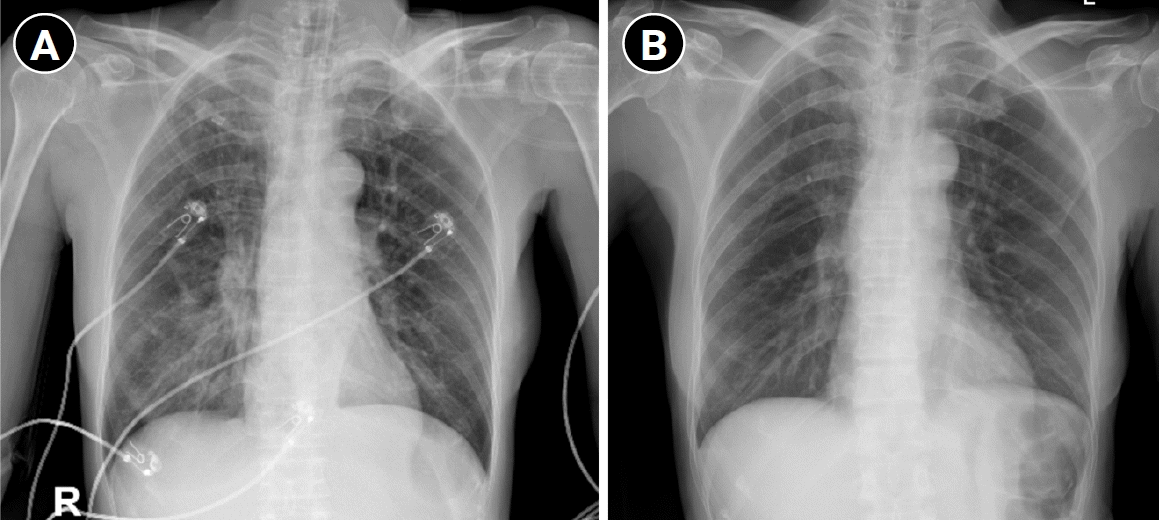
On arrival, the patient appeared critically ill and was experiencing respiratory distress. Vital signs included a temperature of 38.1 °C, respiratory rate of 33 breaths/min with intercostal retractions, pulse of 101 beats/min, blood pressure of 115/78 mm Hg, and oxygen saturation of 94% with 10 L/min oxygen administered via facemask. Neurological examination revealed fatigable proximal weakness, bulbar involvement (nasal speech and weak coughing), and a reduced gag reflex. She was able to count only to five in a single breath, consistent with impending MC. Arterial blood gas (ABG) analysis revealed a pH of 7.36, pCO2 of 46 mm Hg, pO2 of 88 mm Hg, and HCO3- of 22 mmol/L, consistent with early type II respiratory failure. Laboratory test results showed leukocytes at 9.75 ×103/µL, platelets at 131 ×103/µL, creatinine at 0.61 mg/dL, and elevated C-reactive protein at 3.2 mg/dL. Chest radiography revealed right lower lobe consolidation consistent with pneumonia, which correlated with the patient’s respiratory deterioration necessitating intubation (Fig. 1). The patient was classified as having Myasthenia Gravis Foundation of America (MGFA) Class V MG [6]. Initial oxygen support using a high-flow nasal cannula was unsuccessful, necessitating intubation and mechanical ventilation with pressure controlled bilevel positive airway pressure (fraction of inspired oxygen, 40%; positive end-expiratory pressure, 5 cm H2O; pressure support, 12 cm H2O).
A timeline of the clinical progression and management of the patient is summarized in Fig. 2. On the first day in the intensive care unit (ICU), the patient remained intubated, sedated with dexmedetomidine, and ventilator dependent. She was febrile, but hemodynamically stable. An immunological examination revealed a positive anti-AChR antibody value, which increased to 5.68 nmol/L. Given the persistent respiratory muscle weakness, a multidisciplinary team (ICU, Neurology, Rheumatology) considered immunomodulatory rescue therapy. PLEX was chosen over intravenous immunoglobulin (IVIG) because of the need for rapid antibody removal and the additional benefit in SLE flares. Treatment with a broad-spectrum antibiotic (cefoperazone) was initiated empirically. Immunosuppression included intravenous methylprednisolone (62.5 mg/day), and the continued administration of azathioprine and hydroxychloroquine. Supportive care consisted of cautious fluid management, thromboembolism prophylaxis, enteral nutrition (2,600 kcal/day), and a ventilator-associated pneumonia prevention bundle. On day 2 in the ICU, the first PLEX session was performed with 2250 mL of plasma being exchanged with fresh frozen plasma and albumin. The procedure was well-tolerated. The post-PLEX ABG showed a pH of 7.40, pCO of 59 mm Hg, and pO of 103 mm Hg, indicating improved oxygenation despite persistent CO2 retention. The inspiratory effort improved modestly. On day 3 in the ICU, the patient was more alert during sedation weaning, with improved extremity strength, bulbar function, and inspiratory effort, although the tidal volume remained low. Laboratory markers and infection parameters improved along with a reduction in fever.
The second PLEX session (2,250 mL) was conducted on day 4 in the ICU. Respiratory muscle function markedly improved along with increased spontaneous tidal volume and negative inspiratory force. The patient was switched to continuous positive airway pressure (CPAP) mode, and ABG normalized (pH, 7.55; pCO2, 39.8 mm Hg; pO2, 198 mm Hg). Early mobilization was initiated. Finally, on day 5 in the ICU, the patient passed a spontaneous breathing trial while on minimal CPAP, demonstrating adequate bulbar reflexes, effective cough, and airway protection. She was successfully extubated and placed on 3 L/min oxygen via nasal cannula, obtaining oxygen saturation of 100%. By day 6 in the ICU, she was afebrile, hemodynamically stable, received minimal oxygen support, and tolerated oral intake. The patient was transferred from the ICU to the ward with ongoing immunosuppressive therapy and corticosteroid tapering, and continued participation in the breathing rehabilitation program. On day 10, she was discharged in stable condition, independently mobile, and without supplemental oxygen. She was scheduled for regular neurological and rheumatological follow-ups.
Polyautoimmunity, or multiple autoimmune syndrome, is the presence of more than one autoimmune disease in a single patient. This condition arises from overlapping genetic risk factors, shared immune pathways, and environmental influences that together increase susceptibility to multiple autoimmune disorders. Patients with polyautoimmunity often have more complex clinical presentations, a greater risk of organ dysfunction, and require more intensive therapeutic approaches than those with a single autoimmune disease [7]. The coexistence of MG and SLE is a rare, but clinically challenging overlap syndrome. Most of the available evidence comes from individual case descriptions or limited patient series. Between 2000 and 2010, a cohort of 132 patients with MG was monitored at our institution. Among them, five individuals (3.8%) were diagnosed with coexisting SLE, while 11 patients exhibited antinuclear antibody positivity without fulfilling diagnostic criteria for SLE [3]. One representative report describing 17 individuals diagnosed with both MG and SLE included a literature review that documented approximately 70 known cases worldwide, underscoring how infrequent this coexistence occurs within larger lupus populations [8].
Epidemiological studies have demonstrated that individuals with MG possess a markedly higher risk (approximately 11.3 times) of subsequently developing SLE than the general population. MG appears in approximately 0.25% of unselected SLE cohorts, which is over ten times the background prevalence of MG in the general population (approximately 0.02%). This association of MG and SLE is thought to arise from shared autoimmune susceptibility mechanisms, including dysregulation of T-cell tolerance, overactivation of B cells, and genetic polymorphisms involving immune regulatory loci such as HLA-DR3, CTLA-4, and PTPN22. Chronic immune stimulation within the thymus, especially in patients with thymic hyperplasia or those that have undergone a thymectomy, may further predispose an individual to the breakdown of self-tolerance and the emergence of secondary autoimmune diseases such as SLE [9].
Clinically, the coexistence of MG and SLE tends to increase morbidity and mortality because both disorders can independently affect vital organ systems and enhance vulnerability to infection. MC, often characterized by respiratory muscle failure, may be compounded by SLE-related pulmonary or cardiac involvement, resulting in more severe respiratory compromise and a higher likelihood of the need for intensive care admission. Moreover, immunosuppressive therapies used for disease control (such as corticosteroids or cytotoxic agents) increase the risk of opportunistic infections, osteoporosis, and metabolic complications, further worsening the prognosis. Patients with this dual autoimmune profile frequently experience prolonged hospitalization, slower recovery, and greater long-term disability than those with either condition alone [8,9].
MG is a chronic autoimmune disorder characterized by skeletal muscle weakness resulting from autoantibodies directed against AChR at the neuromuscular junction. The clinical manifestations range from ptosis and diplopia to limb weakness, bulbar symptoms, and respiratory impairment [6]. In severe cases, patients may develop MC, defined as an acute exacerbation of MG with respiratory failure requiring intubation, mechanical ventilation, and emergency immunomodulatory therapy (e.g. PLEX or IVIG), which usually occurs in patients with MGFA Class IV or Class V MG [2,6]. Despite advances in intensive care, MC-related mortality remains considerable, primarily due to infections, cardiac arrhythmias, and multi-organ complications [10].
SLE is characterized by widespread autoantibody production and immune complex deposition, resulting in systemic inflammation and multi-organ involvement, and can range from mild mucocutaneous involvement to life-threatening renal, pulmonary, or neurological complications. Acute exacerbations may precipitate multi-organ failure and require intensive care interventions [11]. Although corticosteroids and immunosuppressants remain the standard of care, PLEX therapy is considered in severe or refractory cases [3,4].
The immunological association between MG and SLE from a pathophysiological perspective remains unclear. For the patient described in the current case report, infection was a key precipitating factor. Pneumonia is well recognized as a common trigger for MC, accounting for approximately 30%–40% of crisis episodes [10]. Infection may simultaneously exacerbate MG and SLE by activating innate immunity, upregulating pro-inflammatory cytokines, and destabilizing immune homeostasis [4]. Therefore, the simultaneous worsening of MG and SLE can be conceptualized as a “dual autoimmune storm” in which two immune-mediated processes accelerate each other’s progression, resulting in life-threatening respiratory failure. Medical intervention of this dual autoimmune storm requires rapid recognition of the condition and coordinated critical care management [3,4].
The management of MC relies on the following three principles: ventilatory support, elimination of pathogenic autoantibodies, and treatment of the precipitating trigger [2]. Two widely accepted immunomodulatory therapies are IVIG and PLEX. Both have comparable efficacies in treating patients with MC, but PLEX offers more rapid antibody clearance and may be preferred for treating unstable patients or those with a concomitant autoimmune pathology [12]. For treating patients with SLE, PLEX has been reserved for those experiencing severe flares that are unresponsive to corticosteroids and cytotoxic therapy, such as diffuse alveolar hemorrhage, lupus nephritis with rapidly progressive glomerulonephritis, or central nervous system involvement [13]. For patients with dual autoimmune crises, PLEX has the unique advantage of simultaneously addressing the mechanism of both diseases by reducing the neuromuscular blockade in MG and attenuating immune complex–mediated inflammation in SLE [14].
Both PLEX and IVIG are recognized therapeutic options for MC; however, the choice between treatments should be tailored to the clinical context. The multidisciplinary team for the current patient selected PLEX as the primary rescue therapy. This approach was favored over IVIG because PLEX achieves more rapid clearance of pathogenic autoantibodies, immune complexes, and complement components that contribute to both myasthenic and lupus pathogenesis. In our patient, where infection was the triggering factor for MC, PLEX was preferred because it can effectively remove pro-inflammatory cytokines and circulating immune mediators without introducing an additional protein load, which is a potential drawback of IVIG in septic or renally vulnerable individuals [15].
PLEX offers the direct mechanical removal of circulating anti-AChR antibodies and immune complexes, resulting in a faster decline in pathogenic titers and an earlier clinical response, often within the first few therapy sessions. In contrast, IVIG relies on indirect immunomodulatory mechanisms such as fragment crystallizable receptor blockade, inhibition of complement activation, and cytokine modulation, which typically require more time to achieve clinical benefits [15]. The pathophysiological advantage of PLEX is even more pronounced in the setting of the SLE complication severe lupus nephritis. By physically eliminating immune complexes, complement fragments (C3b, C4d), and inflammatory mediators (e.g., interleukin-6, tumor necrosis factor-alpha), PLEX can mitigate the hyperactive immune state that underlies lupus flares [13]. Furthermore, for patients experiencing infection-related exacerbations, as in the current case, PLEX avoids the risks of fluid overload, hyperviscosity, and acute kidney injury, which are occasionally associated with IVIG infusion.
In life-threatening lupus manifestations, such as diffuse alveolar hemorrhage, catastrophic antiphospholipid syndrome, or central nervous system involvement, PLEX has shown efficacy in approximately 11%–12% of severe cases, although infection-related complications remain a concern. Therefore, the use of PLEX in the current dual autoimmune crisis provided dual benefits: rapid neuromuscular recovery through antibody removal and systemic immunological stabilization through clearance of lupus-related immune complexes [16].
Given our patient’s presentation of respiratory failure, antibody-mediated MC, and concurrent infection-triggered lupus activity, the multidisciplinary team prioritized the therapeutic use of PLEX over IVIG. This decision balanced the need for rapid immunological control against the risk of infection, favoring a modality that achieves both mechanical antibody removal and systemic immune modulation. Accordingly, PLEX provided the most efficient and targeted approach for stabilizing both autoimmune processes in the acute setting [15,16].
The optimal timing and frequency of PLEX treatments are critical considerations in managing autoimmune emergencies, such as MC and severe lupus flares. Early initiation of PLEX has been consistently associated with improved outcomes, particularly in anti-AChR antibody–positive MG, where prompt antibody removal accelerates neuromuscular recovery and facilitates earlier weaning from mechanical ventilation [2,12]. Early treatment initiation, particularly within the first 48–72 hours of marked respiratory compromise, has been linked to faster antibody clearance and more rapid improvement in neuromuscular function in anti-AChR antibody–positive MG, with many centers administering 3–5 sessions (each approximately 1–1.5×plasma volumes, approximately 20–25 ml/kg based on the human plasma volume) over 3–7 days and extending to 14 days if necessary [1,2,10]. Evidence suggests that the most significant clinical benefit occurs after the second or third treatment session, highlighting the importance of early treatment rather than delayed initiation [2]. In SLE, the frequency of PLEX is more individualized and often determined based on the severity of organ involvement and patient response; however, similar regimens of 3–5 sessions have shown efficacy in treating patients with acute complications [1]. Excessive or prolonged courses do not necessarily improve outcomes and may increase procedural risks such as coagulopathy, electrolyte imbalance, or infections [2,10]. Thus, timely initiation and a tailored number of treatment sessions guided by clinical improvement and multidisciplinary evaluation appear to offer the best balance between efficacy and safety during the medical intervention of dual autoimmune crises.
Concurrent with PLEX treatment, maintaining baseline disease-modifying therapy (such as azathioprine and hydroxychloroquine) and using systemic corticosteroids (e.g., intravenous methylprednisolone during the acute phase) contributes substantially to both short- and long-term outcomes. High-dose corticosteroids provide rapid suppression of systemic inflammation, and are central to controlling severe SLE flares and reducing immune activation that perpetuates myasthenic weakness, thereby complementing the immediate antibody removal achieved by PLEX and potentially reducing recurrent early relapse [2,4,11]. Azathioprine, although slow to exert its full effect, remains an important steroid-sparing maintenance immunosuppressant to prevent rebound autoimmunity after PLEX treatment and to limit long-term relapses of both MG and SLE; therefore, abrupt discontinuation of azathioprine is generally discouraged unless clear contraindications exist (e.g., overwhelming infection or severe cytopenia) [3,11]. Hydroxychloroquine provides additional disease-modifying and anti-inflammatory benefits in patients with SLE, reducing flare frequency and contributing to improved long-term organ outcomes [11]. The continuation of hydroxychloroquine treatment is associated with better disease control and lower morbidity in patients with lupus [11]. Current guidelines recommend the use of IVIG or plasmapheresis and the discontinuation of pyridostigmine during MC owing to the risk of a cholinergic crisis. However, pyridostigmine is often continued after extubation to sustain remission and to ensure that the patient maintains adequate respiratory muscle strength [17].
In the current case, the early initiation of PLEX treatment was critical for achieving rapid respiratory and systemic improvement. The patient’s clinical stabilization after two sessions underscores the dual benefit of PLEX in simultaneously addressing both MG and SLE exacerbations [12]. Notably, the first session resulted in a partial recovery of inspiratory strength and improved oxygenation, whereas the second session was associated with significant neuromuscular improvement, allowing liberation from mechanical ventilation. However, PLEX carries risks, including potential infections, hypotension, and electrolyte disturbances. Its use requires the careful selection and monitoring of the patient, and the weighing of potential benefits against the risks. The ICU team must balance ventilatory strategies, infection control, and hemodynamic stability, while the neurologists guide immunotherapy choices and the rheumatologists monitor systemic lupus activity [18]. The rapid clinical improvement observed in the current patient after two sessions of PLEX highlights its effectiveness. This temporal association underscores the role of PLEX as a rescue therapy in patients with overlapping critical autoimmune syndromes.
Management of patients with dual autoimmune crises, such as MC and SLE flares, requires a comprehensive and multidisciplinary approach. PLEX played a pivotal role as a rescue therapy in the current case, providing rapid and effective improvement in respiratory and systemic functions [1,3,4]. Future research should focus on developing predictive biomarkers for identifying patients most likely to benefit from PLEX, explore the optimal timing and frequency of PLEX sessions, and establish standardized protocols for managing overlapping autoimmune crises.
Notes
Ethics statement
According to institutional policy and national regulations, Institutional Review Board approval was not required for this single-patient case report conducted at Prof. Dr. I.G.N.G. Ngoerah General Hospital, as it involved no experimental intervention and ensured full anonymization of patient data. Written informed consent for publication of this case report and the accompanying images was obtained from the patient.
REFERENCES
1. Korkmaz G, Dagdas S, Saltoglu T, Ceran F, Aydın MS, Bektas H, et al. Effectiveness and safety of therapeutic plasma exchange in neurological diseases: an 11-year report from a tertiary care center. Ther Apher Dial. 2025; 29:312–20. DOI: 10.1111/1744-9987.14223. PMID: 39500332.
2. Chen J, Feng L, Li S, Wang H, Huang X, Shen C, et al. Therapeutic plasma exchange in AChR-Ab positive generalized myasthenia gravis: a real world study about its early response. J Inflamm Res. 2024; 17:2299–308. DOI: 10.2147/jir.s455104. PMID: 38645879.
3. Bekircan-Kurt CE, Tuncer Kurne A, Erdem-Ozdamar S, Kalyoncu U, Karabudak R, Tan E, et al. The course of myasthenia gravis with systemic lupus erythematosus. Eur Neurol. 2014; 72:326–9. DOI: 10.1159/000365568. PMID: 25323839.
4. Yerram K, Baisya R, Devarasetti PK. Postpartum myasthenic crisis in a patient with SLE: a case report and literature review. Mediterr J Rheumatol. 2022; 33:449–52. DOI: 10.31138/mjr.33.4.449. PMID: 37034370.
5. Adamichou C, Bertsias G. Flares in systemic lupus erythematosus: diagnosis, risk factors and preventive strategies. Mediterr J Rheumatol. 2017; 28:4–12. DOI: 10.31138/mjr.28.1.4. PMID: 32185248.
6. Sanders DB, Wolfe GI, Benatar M, Evoli A, Gilhus NE, Illa I, et al. International consensus guidance for management of myasthenia gravis: executive summary. Neurology. 2016; 87:419–25. DOI: 10.1212/wnl.0000000000002790. PMID: 27358333.
7. García-Alfonso C, Bernal-Macías S, García-Pardo Y, Millán SP, Díaz MC. Coexistence of systemic lupus erythematosus and myasthenia gravis: an unusual case of polyautoimmunity. Reumatol Clin (Engl Ed). 2020; 16:502–5. DOI: 10.1016/j.reumae.2018.08.014. PMID: 30522945.
8. Jallouli M, Saadoun D, Eymard B, Leroux G, Haroche J, Le Thi Huong D, et al. The association of systemic lupus erythematosus and myasthenia gravis: a series of 17 cases, with a special focus on hydroxychloroquine use and a review of the literature. J Neurol. 2012; 259:1290–7. DOI: 10.1007/s00415-011-6335-z. PMID: 22160434.
9. Igoe A, Merjanah S, Harley IT, Clark DH, Sun C, Kaufman KM, et al. Association between systemic lupus erythematosus and myasthenia gravis: a population-based national study. Clin Immunol. 2024; 260:109810. DOI: 10.1016/j.clim.2023.109810. PMID: 37949200.
10. Köhler W, Bucka C, Klingel R. A randomized and controlled study comparing immunoadsorption and plasma exchange in myasthenic crisis. J Clin Apher. 2011; 26:347–55. DOI: 10.1002/jca.20317. PMID: 22095647.
11. Gasser EK, Schell-Chaple HM. Systemic lupus erythematosus and critical illness. AACN Adv Crit Care. 2020; 31:296–307. DOI: 10.4037/aacnacc2020355. PMID: 32866257.
12. Wang Y, Huan X, Jiao K, Jiang Q, Goh LY, Shi J, et al. Plasma exchange versus intravenous immunoglobulin in AChR subtype myasthenic crisis: a prospective cohort study. Clin Immunol. 2022; 241:109058. DOI: 10.1016/j.clim.2022.109058. PMID: 35690385.
13. Lin X, Tang X, Su F, Shi T, Zeng D, Liu S, et al. Efficacy of double filtration plasmapheresis combined with immunosuppressive agents in the treatment of severe lupus nephritis. Am J Transl Res. 2024; 16:7757–64. DOI: 10.62347/ssto6670. PMID: 39822487.
14. Pons-Estel GJ, Salerni GE, Serrano RM, Gomez-Puerta JA, Plasin MA, Aldasoro E, et al. Therapeutic plasma exchange for the management of refractory systemic autoimmune diseases: report of 31 cases and review of the literature. Autoimmun Rev. 2011; 10:679–84. DOI: 10.1016/j.autrev.2011.04.028. PMID: 21569864.
15. Pavlekovics M, Engh MA, Lugosi K, Szabo L, Hegyi P, Terebess T, et al. Plasma exchange versus intravenous immunoglobulin in worsening myasthenia gravis: a systematic review and meta-analysis with special attention to faster relapse control. Biomedicines. 2023; 11:3180. DOI: 10.3390/biomedicines11123180. PMID: 38137401.
16. Ramírez-Lara E, Mendoza-Pinto C, Munguía-Realpozo P, Saavedra-Salinas MÁ, Etchegaray-Morales I, Ayón-Aguilar J, et al. Systemic lupus erythematosus in critical care: a systematic review of ICU outcomes and management. Autoimmun Rev. 2025; 24:103911. DOI: 10.1016/j.autrev.2025.103911. PMID: 40829709.
17. Prado MB, Adiao KJ. Acetylcholinesterase inhibitors in myasthenic crisis: a systematic review of observational studies. Neurocrit Care. 2021; 35:528–44. DOI: 10.1007/s12028-021-01259-4. PMID: 34292475.
18. Vendramin C, Scully M. Indications of plasma exchanges in combination with intravenous immunoglobulins or therapeutic monoclonal antibodies. How to combine them? Presse Med. 2019; 48:354–9. DOI: 10.1016/j.lpm.2019.10.006. PMID: 31679899.
Fig. 2.
Timeline of the patient's clinical progression and management. PST, pyridostigmine; AZA, azathioprine; HXQ, hydroxychloroquine; TPE, therapeutic plasma exchange; PT, physical therapy; AB, antibiotic; CFP, cefoperazone; MP, methylprednisolone; VAP, ventilator-associated pneumonia; ER, emergency room; HCU, high care unit; ICU, intensive care unit; TV, tidal volume; Resp, respiratory; RR, respiratory rate; ICS, intercostal space; NRM, non-rebreathing mask; HFNC, high-flow nasal cannula; Pinsp, inspiratory pressure; PC, pressure control (ventilation); BIPAP, bilevel positive airway pressure; PEEP, positive end-expiratory pressure; SIMV, synchronized intermittent mandatory ventilation; SPN, spontaneous breathing (mode); NC, nasal cannula; ARDS, acute respiratory distress syndrome; SAT, spontaneous awakening trial; SBT, spontaneous breathing trial; Rehab, rehabilitation; BW, body weight.



PDF
Citation
Print



XML Download