Abstract
Background
Cerebral malaria (CM) is the most severe complication of Plasmodium falciparum infection, associated with cerebral edema, seizures, and high mortality. Optimizing cerebral hemodynamics is essential to improve outcomes.
Case Report
We describe a 28-year-old man returning from Côte d’Ivoire who presented with a 4% parasitemia. Rapid deterioration required intensive care admission, mechanical ventilation, and intravenous artesunate. Multimodal neuromonitoring included continuous electroencephalography, intracranial pressure (ICP) monitoring, and cerebral autoregulation assessment using the long-pressure reactivity index (L-PRx). Despite parasite clearance, cerebral edema developed with radiological signs of intracranial hypertension and ischemic lesions on magnetic resonance imaging. L-PRx demonstrated impaired cerebral autoregulation, whereas ICP remained within noncritical ranges. Continuous electroencephalography excluded epileptiform activity. Gradual neurological improvement allowed extubation after 14 days and hospital discharge after 65 days.
Malaria is a mosquito-borne, parasitic disease caused by protozoa of the genus, Plasmodium, five of which infect humans (Plasmodium falciparum, Plasmodium vivax, Plasmodium malariae, Plasmodium ovale, and Plasmodium knowlesi) [1]. If untreated, infection, most commonly with P. falciparum, can progress to life-threatening complications, including severe anemia from hemolysis and dyserythropoiesis, multi-organ failure due to sequestration of infected erythrocytes, and cerebral malaria (CM). CM is the most severe neurological manifestation, and is characterized by encephalopathy and coma, which may progress rapidly to death within days of symptom onset. Survivors often experience long-term neurological sequelae [2]. Intravenous artesunate effectively clears parasitemia but does not prevent neuronal injury or cognitive impairment [3].
The pathogenesis of CM is multifactorial, involving adhesion and sequestration of infected erythrocytes, an excessive host immune response leading to systemic inflammatory response syndrome, and endothelial apoptosis with tight junction disruption, culminating in breakdown of the blood–brain barrier (BBB). These mechanisms reduce cerebral blood flow and increase vascular permeability, resulting in seizures, cerebral edema, increased intracranial pressure (ICP), herniation, and death [4]. Early diagnosis, rapid initiation of therapy, and close monitoring are critical in improving outcomes and limiting neurological sequelae. Adjunctive monitoring techniques, such as continuous electroencephalography (cEEG) [5], advanced magnetic resonance imaging (MRI) [6], and ICP monitoring [7] may help detect complications and guide management. However, no specific guidelines currently address the management of CM-associated ICP elevation, cerebral edema, or seizures.
Despite the recognized prevalence of cerebral edema and intracranial hypertension in CM, the interplay between CM-related brain lesions, impaired autoregulation, and BBB disruption remains poorly understood. To our knowledge, this is the first adult case of severe CM in which cEEG and ICP monitoring were complemented by a longitudinal assessment of cerebral autoregulation using the long-pressure reactivity index (L-PRx). This unique dataset offers novel insights into the pathophysiological mechanisms underlying cerebral edema in CM and represents the first reported application of L-PRx in this context.
A 28-year-old man with no significant medical history presented with a 2-week history of generalized fatigue, diarrhea, night sweats, and nightmares, followed by 3 days of fever and confusion after a 9-day trip to the Republic of Côte d’Ivoire. The patient did not receive any malaria prophylaxis. Upon admission to a secondary hospital, he was confused, as evidenced by a Glasgow Coma Scale (GCS) score of 10/15. Laboratory tests indicated marked systemic inflammation (C-reactive protein, 230 mg/L; leukocytosis, 25,000/μL) and multiorgan dysfunction, including acute kidney injury (creatinine, 320 μmol/L), hepatic cytolysis (liver enzymes >2× upper limit of normal, factor V 57%), metabolic acidosis (pH, 7.39; HCO₃⁻, 13 mM; lactate, 7.8 mM), thrombocytopenia (20,000/μL), and a normal hemoglobin level (13.8 g/dL). Cerebrospinal fluid analysis was unremarkable (protein, 41 mg/dL; glucose, 4 mM; rare red blood cells; and no leukocytes). Empirical treatment for suspected meningitis was initiated with a single dose of ceftriaxone and acyclovir, and cerebrospinal fluid cultures remained sterile after 5 days.
Given the clinical context and travel history of the patient, malaria screening was performed. A positive blood smear confirmed P. falciparum infection with an initial parasitemia of 4%. Intravenous artesunate (2.4 mg/kg) was initiated, and the patient was transferred to a tertiary care center for intensive care. The patient was intubated because of worsening consciousness (GCS 9/15) and recurrent vomiting. Shortly after intubation, the patient developed supraventricular tachycardia, which was successfully treated with a 300 mg amiodarone bolus. A second dose of artesunate (2.4 mg/kg) was administered, followed by daily dosing as per tropical medicine recommendations.
Antibiotic treatment was initiated with piperacillin–tazobactam, later escalated to meropenem for suspected aspiration pneumonia and sepsis. Considering the reported gram-negative bacteremia in severe malaria, antibiotics were continued until negative microbiological results allowed discontinuation after 7 days. Artesunate was maintained until parasitemia clearance on day 7 and then switched to oral artemether–lumefantrine for 5 additional days. The treatment course was prolonged because of repeated episodes of vomiting. No delayed hemolysis occurred during or after artesunate therapy.
Prior to intensive care unit admission, physiological data were acquired continuously. The mean arterial pressure (MAP) was measured using a radial artery catheter coupled to a calibrated pressure transducer. An initial computed tomography (CT) scan was conducted to exclude intracranial bleeding, edema, or herniation. Imaging was performed again within 24 hours of admission following the development of anisocoria; the results showed no marked changes. Papillary edema was excluded on fundoscopy. Daily Transcranial Doppler (TCD) was conducted to detect early signs of ICP elevation and cEEG monitoring was initiated using a 10–20 system EEG electrode placement (Micromed 25 channels system; Natus) at 1,000 Hz. On days 1 and 2, the patient was sedated using midazolam and propofol. The cEEG monitoring did not detect any epileptiform abnormalities or seizures during the entire monitoring period. Advanced EEG analysis indicated a consistent anterior-to-posterior gradient in alpha (7–13 Hz) across different stages of the sedation protocol. As the patient approached awake state, the anterior alpha gradient was lost, although a complete reversal was not observed. Similarly, the aperiodic component of the spectrogram closely tracked the sedation level over time. The progressive decrease in the aperiodic slope, commonly interpreted as a potential biomarker of the excitatory–inhibitory balance, appeared to correlate well with the gradual return of consciousness (Fig. 1).
Despite effective and broad-spectrum antibiotic treatment, the patient presented with recurrent fever and persistent inflammatory syndrome. A new CT scan was obtained on day 6, revealing diffuse cerebral edema with radiological signs of intracranial hypertension but no signs of herniation (Fig. 2). A second spinal tap indicated an elevated opening pressure of 25 cm H2O. An intraparenchymal probe (Integra LifeSciences) was inserted to monitor ICP. Coupled with MAP monitoring, both signals were integrated into a clinical data management system (Clinisoft CCC; GE Healthcare) and exported at a minimum temporal resolution of one sample per minute. The raw MAP and ICP data were screened for physiologically-implausible values and technical artifacts. In particular, ICP values of <0 mm Hg or >80 mm Hg and MAP values of <0 mm Hg or >300 mm Hg were excluded. From the cleaned time series, a low-frequency pressure reactivity index (LPRx) was computed using a moving Pearson correlation coefficient applied to 15 consecutive, minute-by-minute, paired MAP and ICP values. The LPRx_15 index was recalculated every minute, yielding a continuous metric ranging from –1 to +1, with higher values indicating impaired cerebral autoregulatory function [8,9].
The ICP values remained within the non-critical range of 3–11 mm Hg. The mean ICP was 6.2 mm Hg, with an ICP exceeding 20 mm Hg in 0.45% of the recorded time. Cerebral perfusion pressure (CPP) remained consistently >60 mm Hg throughout the observation period (100% of the time) (Fig. 3). ICP monitoring lasted for 5 days; the intraparenchymal catheter was removed on day 10.
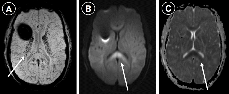
On day 7, cerebral MRI demonstrated ischemic lesions involving the corpus callosum, subcortical white matter to a lesser extent, and the cerebral cortex, together with multiple petechial hemorrhages and persistent cerebral edema previously noted on CT (Fig. 4). Biochemically, liver enzymes rapidly normalized, whereas kidney function worsened, requiring 14 days of continuous renal replacement therapy, followed by a single session of intermittent hemodialysis before full recovery. All microbiological investigations, including broad-range polymerase chain reaction and serological tests yielded negative results. The patient developed mild anemia and thrombocytopenia, necessitating occasional transfusions. Imaging also indicated pulmonary and renal infarcts, likely attributable to the sequestration of parasitized erythrocytes.
Neurological assessment during the sedation window initially showed unresponsiveness, with only eye opening and withdrawal from pain. Gradual improvement over time allowed for extubation after 14 days of mechanical ventilation. After extubation, the patient remained confused (GCS, 11/15) and displayed severe dysphagia. He was transferred to intermediate care on day 16. By day 19, neurological status had normalized, although dysphagia and generalized weakness persisted. On day 25, he was transferred to the general ward, where formal neurocognitive testing indicated profound deficits: severe attentional impairment, particularly in information processing speed; marked executive dysfunction affecting initiation and inhibition; language disturbances, including impaired linguistic and emotional prosody (comprehension, repetition, and production); reduced picture naming; and diminished verbal fluency with mild dysarthria. Memory testing indicated severe deficits in verbal working memory and mild impairment of episodic verbal memory (learning and delayed recall at the lower limit of normal), with preserved retention and recognition. Clinically-significant fatigue was also documented.
The patient was admitted for neurorehabilitation on day 35, and the nasogastric tube was removed on day 38. The patient was discharged from the hospital on day 65 and was subsequently enrolled in outpatient neurorehabilitation. Four months after discharge, the patient showed sufficient improvement and resumed part-time work (20%).
Despite recent therapeutic advances, CM, the most severe and advanced clinical manifestation of P. falciparum infection, remains a medical emergency associated with considerable morbidity and mortality [2-4]. This described the clinical presentation of the current patient, with evidence of dysfunction in cerebral autoregulation using L-PRx. Despite physiological ICP values and CPP >60 mm Hg, the LPRx_15 exceeded the pathological threshold of 0.25 for 34.7% of the monitored period (Fig. 5), indicating potential impairment of cerebral autoregulation. This impairment was most pronounced 24–96 hours after admission, with the highest density of abnormal LPRx values occurring on days 2 and 3. In contrast, the autoregulatory function appeared to be more variable and was partially preserved during the initial 24 hours and toward the end of the monitoring period. The positive correlation between intracranial and MAPs reflected the failure to maintain stable cerebral blood flow in response to systemic pressure fluctuations, thereby increasing the potential risk of ischemia and cerebral edema. Such a disturbance in cerebral autoregulation has been observed in bacterial meningitis [10], where it is likely related to similar inflammatory pathophysiological mechanisms. This analogy suggests that acute inflammatory responses, whether triggered by P. falciparum or bacterial agents, could lead to a common alteration in the neurovascular circuits regulating cerebral blood flow [4].
This observation, which is rarely documented in neuromalaria literature, suggests that the severity of cerebral vascular involvement goes beyond simple microvascular obstruction and includes dysfunction of compensatory vascular mechanisms and the BBB. Recognizing impaired cerebral autoregulation has major implications for the management of cerebral autoregulation. This supports the need for close monitoring of hemodynamic parameters and finely-tuned therapeutic support to avoid harmful fluctuations in arterial pressure. Furthermore, this observation highlights the need for intracranial monitoring protocols for severe forms of neuromalaria to anticipate and prevent secondary neurological complications.
During our clinical observation, no epileptic activity was detected on cEEG monitoring, although an incidence of up to 11% of seizures in some pediatric cohorts with neuromalaria has been reported [5]. Despite the disruption of cerebral autoregulation, as indicated by L-PRx, no electrophysiological consequences were observed at the brain network level. Few studies have investigated the associations between EEG patterns and cerebral autoregulation. A recent scoping review by Bögli et al. [11] highlighted preliminary evidence for specific links, such as seizures, highly malignant patterns, alpha peak frequency, and bispectral index, but also emphasized the paucity, heterogeneity, and methodological variability of available research. Although EEG monitoring did not directly influence the therapeutic decisions in this case, it remains an essential neuromonitoring tool for detecting potential complications, particularly the emergence of epileptic activity, which could negatively impact neurological outcomes.
In our patient, evidence of intracranial hypertension via a spinal tap and brain imaging prompted invasive ICP monitoring. Noninvasive ICP monitoring using TCD failed to detect early signs of elevated ICP. Scarcely studied in adult populations, a wide variation in cerebral blood flow patterns in CM have been associated with divergent outcomes in pediatric cohorts. Typically, hyperemia and posterior high flow are linked to a more favorable prognosis than low flow, which was strongly associated with mortality and poor neurological outcomes. Classical pathophysiological mechanisms have failed to explain the mechanism of cerebral blood flow alterations in CM, as seen with TCD monitoring, suggesting that alternative contributors, such as cerebrovascular mechanical properties and locally-active vasoactive mediators, play a role and warrant further study [12].
The CT scan showed effacement of the cortical sulci at the vertex, a nearly empty sella turcica, obliteration of the basal cisterns, and thickening of the optic nerve sheaths, pointing towards a diagnosis of intracranial hypertension caused by vasogenic edema. In a randomized trial, Mohanty et al. [13] reported that cerebral edema and increased opening pressure on the spinal tap were frequent in adult cases of CM and were not correlated with coma depth or outcomes. Furthermore, the use of mannitol as an adjunctive therapy to treat cerebral swelling prolonged a patient’s coma and may be associated with poorer outcomes. In an observational study based on MRI of 11 patients with CM and impaired consciousness, Mohanty et al. [6] described vasogenic cerebral edema in all patients, which was reversible within 48–72 hours of treatment, with a predominantly posterior distribution resembling that of posterior reversible encephalopathy syndrome. In the current case, cerebral edema did not follow this distribution and was diagnosed 1 week after treatment initiation, much later than that described in Mohanty’s cohort, despite parasitemia clearance. This emphasizes the need for clinicians to maintain a high level of suspicion until satisfactory neurological recovery is achieved in patients with CM. Based on half of the patients in their cohort presenting with cytotoxic edema linked to vascular engorgement rather than ischemia, Mohanty et al. [6] hypothesized two distinct pathogenic processes in the development of cerebral edema in CM: (1) microvascular obstruction from the sequestration of P. falciparum-infected erythrocytes leading to venous congestion, and (2) BBB dysfunction causing vasogenic edema. The latter may explain the delayed presentation of cerebral edema despite clearance of parasitemia in the current case. Although there were no ischemic lesions in their cohort, MRI in the current case indicated ischemic involvement of the entire corpus callosum, the subcortical white matter, and, to a lesser extent and more diffusely, the cerebral cortex. These imaging findings are similar to a previous report in which major ischemic involvement was observed on T2/susceptibility-weighted imaging [14].
To the best of our knowledge, this report is the first in the literature on CM to describe the dysregulation of cerebral autoregulation with the use of L-PRx. The current case elucidates the complex underlying pathophysiological mechanisms and highlights the value of a personalized approach that integrates advanced neuromonitoring tools into the overall management strategy. Although PRx has proven its value in the management of traumatic brain injuries [15], its application to centrally-originating inflammatory cerebral conditions remains to be validated. This innovative use in the current context opens new perspectives; however, further studies are required to establish its clinical relevance.
In conclusion, this case underscores the importance of comprehensive assessment of cerebrovascular function in CM and highlights the potential of multimodal monitoring to improve neurological outcomes and guide targeted interventions.
Notes
Ethics statement
No institutional or ethics committee approval was required for this study. Informed consent was obtained from the patient.
Author contributions
Conceptualization: LVD, MB, TRN. Data curation: LVD, PDS, TRN. Formal analysis: GD, PDS, TRN. Project administration: LVD, MB, TRN. Visualization: LVD, MB, TRN. Supervision: HQ, TRN. Writing - original draft: LVD, MB. Writing - review & editing: LVD, HQ, MB, PDS, TRN. All authors read and agreed to the published version of the manuscript.
REFERENCES
1. Su XZ, Wu J. Zoonotic transmissions and host switches of malaria parasites. Zoonoses. 2021; 1:11. DOI: 10.15212/zoonoses-2021-0015. PMID: 35282332.
3. Brejt JA, Golightly LM. Severe malaria: update on pathophysiology and treatment. Curr Opin Infect Dis. 2019; 32:413–8. DOI: 10.1097/qco.0000000000000584. PMID: 31369419.
4. Song X, Wei W, Cheng W, Zhu H, Wang W, Dong H, et al. Cerebral malaria induced by Plasmodium falciparum: clinical features, pathogenesis, diagnosis, and treatment. Front Cell Infect Microbiol. 2022; 12:939532. DOI: 10.3389/fcimb.2022.939532. PMID: 35959375.
5. Postels DG, Wu X, Li C, Kaplan PW, Seydel KB, Taylor TE, et al. Admission EEG findings in diverse paediatric cerebral malaria populations predict outcomes. Malar J. 2018; 17:208. DOI: 10.1186/s12936-018-2355-9. PMID: 29783991.
6. Mohanty S, Benjamin LA, Majhi M, Panda P, Kampondeni S, Sahu PK, et al. Magnetic resonance imaging of cerebral malaria patients reveals distinct pathogenetic processes in different parts of the brain. mSphere. 2017; 2:e00193-17. DOI: 10.1128/msphere.00193-17. PMID: 28596990.
7. Lang SS, Paden W, Steenhoff AP, Hines K, Storm PB, Huh J, et al. Intracranial pressure and brain tissue oxygen neuromonitoring in pediatric cerebral malaria. World Neurosurg. 2020; 141:115–8. DOI: 10.1016/j.wneu.2020.06.024. PMID: 32526359.
8. Santos E, Diedler J, Sykora M, Orakcioglu B, Kentar M, Czosnyka M, et al. Low-frequency sampling for PRx calculation does not reduce prognostication and produces similar CPPopt in intracerebral haemorrhage patients. Acta Neurochir (Wien). 2011; 153:2189–95. DOI: 10.1007/s00701-011-1148-5. PMID: 21909998.
9. Thelin EP, Raj R, Bellander BM, Nelson D, Piippo-Karjalainen A, Siironen J, et al. Comparison of high versus low frequency cerebral physiology for cerebrovascular reactivity assessment in traumatic brain injury: a multi-center pilot study. J Clin Monit Comput. 2020; 34:971–94. DOI: 10.1007/s10877-019-00392-y. PMID: 31573056.
10. Svedung Wettervik T, Howells T, Ljunghill Hedberg A, Lewén A, Enblad P. Intracranial pressure dynamics and cerebral vasomotor reactivity in community-acquired bacterial meningitis during neurointensive care. J Neurosurg. 2022; 136:831–9. DOI: 10.3171/2021.2.jns2148. PMID: 34388717.
11. Bögli SY, Cherchi MS, Beqiri E, Smielewski P. Association between EEG metrics and continuous cerebrovascular autoregulation assessment: a scoping review. Br J Anaesth. 2024; 133:550–64. DOI: 10.1016/j.bja.2024.03.021. PMID: 38644159.
12. O'Brien NF, Fonseca Y, Johnson HC, Postels D, Birbeck GL, Chimalizeni Y, et al. Mechanisms of transcranial Doppler ultrasound phenotypes in paediatric cerebral malaria remain elusive. Malar J. 2022; 21:196. DOI: 10.1186/s12936-022-04163-0. PMID: 35729574.
13. Mohanty S, Mishra SK, Patnaik R, Dutt AK, Pradhan S, Das B, et al. Brain swelling and mannitol therapy in adult cerebral malaria: a randomized trial. Clin Infect Dis. 2011; 53:349–55. DOI: 10.1093/cid/cir405. PMID: 21810747.
14. Taiaa O, Amil T, Darbi A. Hemiparesis post cerebral malaria. Pan Afr Med J. 2015; 20:1. DOI: 10.11604/pamj.2015.20.1.5568. PMID: 25995798.
15. Froese L, Batson C, Gomez A, Dian J, Zeiler FA. The limited impact of current therapeutic interventions on cerebrovascular reactivity in traumatic brain injury: a narrative overview. Neurocrit Care. 2021; 34:325–35. DOI: 10.1007/s12028-020-01003-4. PMID: 32468328.
Fig. 1.
Time course of alpha power (A) and the aperiodic component of the spectrum (B) following intracranial pressure (ICP) acquisition onset. Both plots display trends for frontal (light grey) and posterior (dark grey) regions. Since recordings were conducted under varying anesthesia protocols, three distinct zones are shown: red zones indicate combined midazolam and propofol treatment, blue zones reflect propofol-only treatment, and unshaded areas represent no-treatment conditions.
Fig. 2.
Computed tomography scan of the brain showing (A) loss of definition of the cortical sulci, (B) thickening of the optic nerve sheaths, and (C) a nearly empty sella turcica with obliteration of the basal cisterns, typical of intracranial hypertension.
Fig. 3.
Time series of intracranial pressure (ICP; blue) and cerebral perfusion pressure (CPP; green) over the monitoring period. CPP remained consistently above 60 mm Hg (red line), whereas ICP remained within normal limits with minimal transient elevations. Values are presented as 15-minute moving averages.
Fig. 4.
Magnetic resonance imaging findings. (A) T2-weighted images show multiple petechial hemorrhagic lesions typical of malaria, without hematoma. (B) Diffusion-weighted imaging and (C) apparent diffusion coefficient maps show ischemic involvement of the corpus callosum, with lesser involvement of the subcortical white matter, and diffuse involvement of the cerebral cortex. Arrows in each panel highlight the regions of pathological involvement described in the text.



PDF
Citation
Print



XML Download