Journal List > J Neurocrit Care > v.18(2) > 1516093532

Ateş: Anti-Yo–associated paraneoplastic cerebellar degeneration revealing appendiceal adenocarcinoma: a case report with complete neurological recovery

Abstract

Background

Paraneoplastic cerebellar degeneration (PCD) is a rare immune-mediated disorder often linked to gynecologic or breast tumors, with anti-Yo antibodies being a key marker. Appendiceal adenocarcinoma-associated PCD has not been previously reported.

Case Report

A 64-year-old woman presented with agitation, ataxia, and disinhibition. Magnetic resonance imaging and cerebrospinal fluid were unremarkable, but serum testing revealed anti-Yo antibodies. She received high-dose corticosteroids without full neurological recovery. Positron emission tomography-computed tomography later revealed a hypermetabolic lesion in the appendix. Histopathology confirmed early-stage appendiceal adenocarcinoma. After surgical resection, both autonomic and neuropsychiatric symptoms resolved, with sustained remission at 2.5 years.

Conclusion

This is the first reported case of anti-Yo–associated PCD linked to appendiceal adenocarcinoma. Early recognition of PCD in atypical presentations can guide oncological investigation even when initial screening is negative. Early treatment with high-dose corticosteroid therapy in combination with early surgical resection may be curative.

INTRODUCTION

Paraneoplastic neurological syndromes (PNS) are rare autoimmune-related disorders associated with cancer that are not caused by the direct effects of the tumor itself, such as invasion or metastasis, nor by cancer treatment. PNS may occasionally precede the onset of cancer, which makes the diagnosis particularly challenging in such cases. The disorder may manifest with involvement of the central nervous system, autonomic nervous system, and peripheral nervous system [1]. PNS were first recognized in the late 19th century, when the French physician M. Auche reported peripheral nervous system involvement in patients with cancer in 1890. The initial identification of an associated autoantibody, Purkinje cell cytoplasmic antibody type 1 (PCA-1), was made by Greenlee and Brashear in 1983 [2], who detected it in two cases of paraneoplastic cerebellar degeneration (PCD) linked to ovarian carcinoma PNS are rare, occurring in approximately 1 in 300 cancer patients. Their frequency varies by tumor type and they are most often associated with small-cell lung carcinoma, neuroblastoma, and certain Hodgkin lymphoma subtypes [3]. PCD represents an inflammatory autoimmune process characterized by the immune-mediated destruction of cerebellar Purkinje cells via onconeural antibodies. These antibodies are elicited by the immune response to tumor-expressed proteins, particularly cerebellar degeneration-related protein 2. Due to molecular mimicry, the antibodies cross-react with homologous antigens expressed in Purkinje cells, ultimately leading to their degeneration. The pathological process often initiates in a focal manner but progressively extends to affect the entire cerebellum. Additionally, there is evidence supporting involvement of the brainstem. The clinical course varies among patients, ranging from acute onset to a more insidious, subacute progression [4,5]. Patients with PCD typically present with a rapidly progressive cerebellar syndrome, often preceded by a nonspecific prodromal phase characterized by fever, headache, nausea, and vomiting. The initial clinical manifestations frequently include symmetrical limb and truncal ataxia, dysarthria, and nystagmus; however, in approximately 40% of cases, ataxia may initially present asymmetrically. Gait ataxia is commonly the earliest and most prominent sign, but progression to involve the trunk and upper extremities over a period of several months is generally necessary to confirm the diagnosis of a rapidly progressive cerebellar syndrome. In most patients, the condition advances to diffuse cerebellar dysfunction, leading to significant disability and loss of independence in activities of daily living. A rapidly progressive cerebellar syndrome in isolation is most characteristically associated with anti-Yo antibodies, also known as PCA-1. Cognitive impairment may be identified in approximately 20% of patients with anti-Yo antibodies [6]. We present the first reported case of appendiceal adenocarcinoma presenting with PCD, with near-complete neurological recovery following combined high-dose corticosteroid therapy and early surgical resection, underscoring the importance of early recognition and prompt multidisciplinary intervention in such rare tumor-associated cases.

CASE REPORT

A 64-year-old patient with a known history of major depressive disorder, currently taking paroxetine 30 mg once daily, presented to the emergency department with agitation, imbalance, insomnia, and personality changes. The patient has experienced imbalance and personality alterations for the past three weeks, with progressive worsening over the last week accompanied by increased agitation and intensification of other symptoms.
There has been no recent initiation of new medications, no changes in the current antidepressant dose (unchanged for over a year), and no use of herbal supplements. The patient's depressive symptoms are reportedly well controlled. The patient stated feeling well overall, denied any complaints, and described themselves as "different than usual" but not ill. However, family members noted marked deviations from the patient's usual personality, reporting repetitive, purposeless behaviors such as folding objects and placing them in unusual locations, only to remove and refold them repeatedly. Additional findings include increased appetite, use of profane language, insomnia, clumsiness when walking (bumping into and knocking over objects unintentionally), and disinhibited behaviors.
Vital signs were within normal limits. Neurologic examination revealed disinhibition and agitation, with intact motor strength and preserved sensation. Gait was broad-based and ataxic, with positive Romberg sign and dysdiadochokinesia. Extraocular movements were intact, with no evidence of nystagmus, abnormal saccades, or pursuit deficits. No lateralizing neurological signs were detected. The positive Romberg was interpreted as imbalance-related rather than true sensory ataxia, consistent with cerebellar involvement. The electroencephalography (EEG) demonstrated an 8–9 Hz parieto-occipital alpha rhythm that was blocked by eye opening; hyperventilation was not performed, intermittent photic stimulation produced no additional findings, stage 1–2 sleep elements were observed, and the overall EEG was normal during both wakefulness and spontaneous sleep.
Laboratory tests including complete blood count, renal and liver function tests, electrolytes, and infection markers such as C-reactive protein and procalcitonin were within normal limits. Additional workup for ataxia revealed normal serum vitamin B12 levels and normal thyroid function tests. Autoimmune serologies including anti-thyroid peroxidase (anti-TPO), antinuclear antibodies (ANA), and antineutrophil cytoplasmic antibodies (ANCA) were all negative. Brain computed tomography (CT), magnetic resonance imaging (MRI), and diffusion-weighted imaging were unremarkable. The patient was hospitalized for further evaluation of balance disturbance, behavioral change, and disinhibition. A lumbar puncture was performed during the initial evaluation to exclude central nervous system infections such as meningitis or encephalitis. Cerebrospinal fluid (CSF) opening pressure was within the normal range, and the fluid was clear and colorless. Biochemical analysis revealed a glucose level of 65.41 mg/dL (reference, 40–70 mg/dL), total protein of 38.1 mg/dL (reference, 15–40 mg/dL), sodium of 150.2 mmol/L (reference, 136–150 mmol/L), potassium of 3.1 mmol/L (reference, 1.96–3.57 mmol/L), chloride of 133.0 mmol/L (reference, 118–132 mmol/L), and microalbumin of 184.36 mg/L (reference, 100–300 mg/L). Both white blood cell and red blood cell counts were 0 cells/μL. A comprehensive viral meningitis/encephalitis polymerase chain reaction panel, including Epstein-Barr virus, varicella-zoster virus, parechovirus, mumps virus, enteroviruses, herpes simplex virus type 1 (HSV-1), and herpes simplex virus type 2 (HSV-2), yielded negative results. Oligoclonal band testing was negative, with a type 4 pattern observed, indicating identical oligoclonal bands in both serum and CSF, consistent with a systemic rather than intrathecal immune response. Empiric treatment was initiated with intravenous methylprednisolone at a dose of 1,000 mg/day.
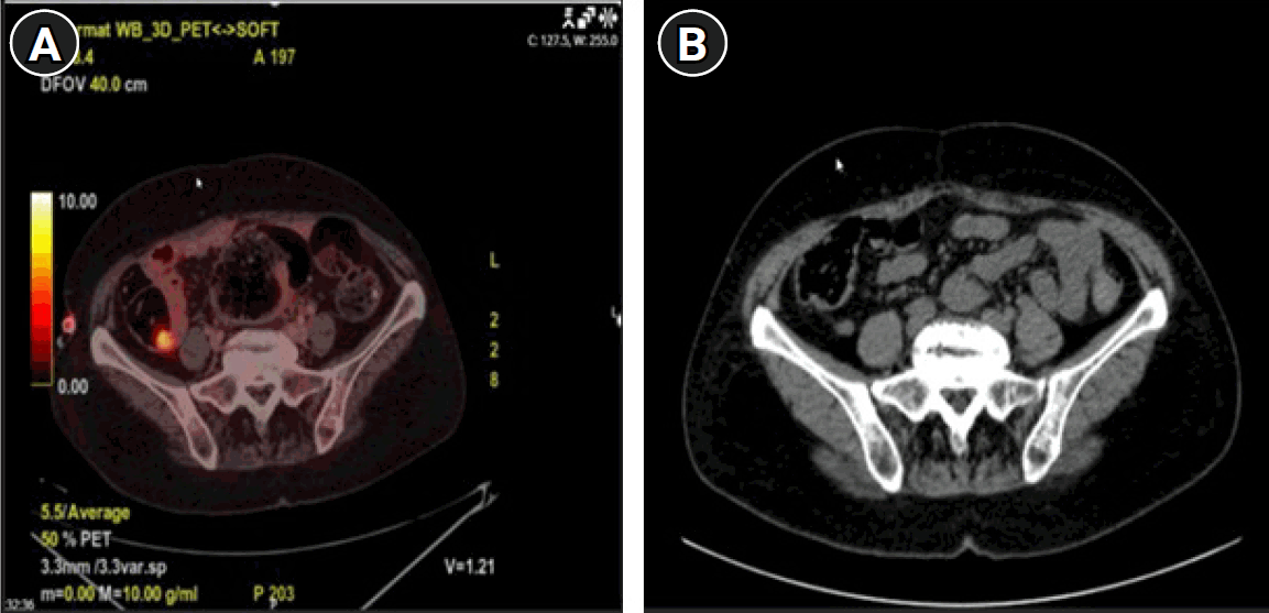
A comprehensive paraneoplastic and autoimmune encephalitis panel was sent from both serum and CSF (Table 1). Serum testing was positive for anti-Yo antibodies, whereas CSF testing was negative. Based on the clinical findings and the positive anti-Yo result, a diagnosis of PCD was established. The patient received 1,000 mg of intravenous methylprednisolone daily for 10 days, followed by oral prednisolone 60 mg/day, with a planned tapering schedule to discontinue the steroid within 2 months. Whole-body contrast-enhanced CT performed as part of the malignancy screening revealed no evidence of cancer (Fig. 1). Following treatment, the patient's symptoms improved considerably. Agitation, personality changes, insomnia, and disinhibition demonstrated marked improvement, whereas ataxia exhibited a comparatively lesser degree of recovery. The patient was subsequently discharged. One week later, the patient presented to the emergency department with severe abdominal pain. Clinical evaluation revealed urinary retention (glob vesical), and 5,000 mL of urine was drained following Foley catheter insertion. The patient was re-hospitalized, and cranial, cervical, thoracic, and lumbar MRI were performed, all of which were unremarkable. During follow-up, the patient developed fecal incontinence. A subsequent whole-body positron emission tomography-CT scan demonstrated abnormal metabolic activity in the appendiceal region (Fig. 1), raising suspicion for an underlying neoplastic process. Colonoscopy revealed an ulcerated lesion at the appendiceal orifice. Histopathological evaluation of the biopsy specimen reported a tubulovillous adenoma with high-grade dysplasia. The patient subsequently underwent surgical resection, with a cecal base resection being performed. Intraoperative frozen section analysis confirmed clear surgical margins. Gross examination of the resected appendix revealed a 2×1.5×1-cm polypoid tumor located in the proximal portion of the appendix, approximately 1 cm from the surgical margin. Histologically, the tumor was identified as a well-differentiated adenocarcinoma arising from a tubulovillous adenoma. The lesion demonstrated invasion into the mucosa and submucosa, without extension into the muscularis propria, corresponding to pT1 staging. No lymphovascular invasion was observed. Immunohistochemical analysis for mismatch repair (MMR) proteins showed preserved nuclear expression of MLH1, MSH2, MSH6, and PMS2, indicating a microsatellite stable phenotype. The final diagnosis was consistent with early-stage (T1N0) appendiceal adenocarcinoma with negative surgical margins. On postoperative day 2, the Foley catheter was removed. There was no recurrence of urinary retention, and the previously observed fecal incontinence resolved completely. Corticosteroid therapy was tapered and discontinued. The patient's behavioral changes, insomnia, and agitation showed near-complete resolution. Ataxia improved significantly, although not entirely. The patient was subsequently followed without any immunosuppressive therapy. At the 2.5-year follow-up, no evidence of tumor recurrence was detected. The patient continued to exhibit only mild residual ataxia and balance disturbance, with complete resolution of all other symptoms.

DISCUSSION

PCD is an immune-mediated syndrome primarily targeting Purkinje cells and is most frequently associated with ovarian and breast cancers [7]. The disease typically begins acutely or subacutely and progresses over a course of approximately 6 months before reaching a plateau. By the end of this phase, patients are often left wheelchair-dependent [8]. This case represents the first reported instance of PCD associated with appendiceal adenocarcinoma. In addition, the patient exhibited personality changes, disinhibition, and agitation—features that distinguish this presentation from classical PCD and suggest possible involvement of the limbic system. The presence of both urinary and fecal incontinence further indicates autonomic nervous system involvement. These features render our case unique in the context of PNS.
The onset of our patient’s symptoms prior to the diagnosis of cancer, along with their rapid progression and involvement of multiple systems—including cerebellar, limbic, and autonomic nervous system dysfunction—made the diagnosis challenging. However, this constellation of findings also enabled early recognition of a paraneoplastic process. The patient was diagnosed early and has remained disease-free for 2.5 years following high-dose corticosteroid therapy in combination with early surgical resection.
In a case report from China, a 47-year-old male patient developed paraneoplastic encephalitis on the fourth postoperative day following surgery for an appendiceal tumor. This publication represents the first known case of paraneoplastic encephalitis caused by an appendiceal malignancy [9]. However, this case differs from ours in several key aspects: the neurological involvement manifested as encephalitis, it occurred postoperatively, the tumor was a high-grade mucinous adenocarcinoma of the appendix, no specific autoantibodies were detected, and the presentation was limited to encephalitic features. In contrast, our patient exhibited a subacute onset of symptoms with involvement of the cerebellum, limbic system, and autonomic nervous system; tested positive for anti-Yo antibodies; and was ultimately diagnosed with appendiceal adenocarcinoma.
Several reports have documented PCD associated with gastrointestinal adenocarcinomas other than appendiceal cancer. For instance, Meglic et al. [10] described a case of anti Yo positive PCD in a patient with gastric adenocarcinoma, in whom Yo antigen expression was demonstrated within the tumor tissue. Similarly, Sutton et al. [11] reported PCD in patients with esophageal adenocarcinoma, both exhibiting anti Yo antibodies. Debes et al. [12] later documented a case of PCD linked to a gastroesophageal junction adenocarcinoma. Although colorectal cancer has been associated with various PNS, including limbic encephalitis, cases of anti Yo–positive PCD remain exceedingly rare [13].
The first-line treatment is high-dose corticosteroids [14]; however, although our patient showed partial improvement in cerebellar symptoms and personality changes during steroid therapy, urinary and fecal incontinence subsequently developed. Although the patient initially showed partial clinical improvement with high-dose corticosteroids, new-onset fecal and urinary incontinence prompted further investigation, during which the appendiceal tumor was identified and promptly resected. Given the tumor’s early stage (pT1), absence of lymph node involvement, and negative surgical margins, the malignancy was considered curatively treated. Remarkably, the patient exhibited complete resolution of urinary incontinence within 2 days postoperatively, followed by rapid improvement in fecal continence, cerebellar symptoms, and behavioral disturbances. As a result, no additional immunotherapy was initiated. Corticosteroids were tapered gradually and discontinued within 2 months (1 mg/kg tapering regimen).
Our case differs from these previously reported entities in several important ways. First, to our knowledge, this is the first reported case of PCD associated with appendiceal adenocarcinoma. Second, the clinical presentation in our patient included not only cerebellar symptoms, but also signs of limbic and autonomic nervous system involvement, along with the presence of anti Yo antibodies. In contrast to some of the previously reported gastrointestinal adenocarcinoma cases where neurological symptoms occurred postoperatively or lacked serological markers, our patient exhibited a subacute neurological onset prior to cancer diagnosis, ultimately leading to early detection and curative resection. At 2.5 years of follow-up, the patient showed no evidence of recurrence of appendiceal cancer. All cognitive functions had fully recovered, with only mild residual imbalance remaining.

Notes

Ethics statement

This case report was conducted in accordance with the Declaration of Helsinki. Institutional Review Board approval was waived due to the retrospective nature of a single case report. Written informed consent was obtained from the patient for publication of this case report and accompanying images.

Conflict of interest

No potential conflict of interest relevant to this article.

Funding

None.

Acknowledgments

None.

Author contributions

All the work was done by Ümitcan Ateş.

REFERENCES

1. Kannoth S. Paraneoplastic neurologic syndrome: a practical approach. Ann Indian Acad Neurol. 2012; 15:6–12. DOI: 10.4103/0972-2327.93267. PMID: 22412264.
2. Greenlee JE, Brashear HR. Antibodies to cerebellar Purkinje cells in patients with paraneoplastic cerebellar degeneration and ovarian carcinoma. Ann Neurol. 1983; 14:609–13. DOI: 10.1002/ana.410140603. PMID: 6360029.
3. Vogrig A, Gigli GL, Segatti S, Corazza E, Marini A, Bernardini A, et al. Epidemiology of paraneoplastic neurological syndromes: a population-based study. J Neurol. 2020; 267:26–35. DOI: 10.1007/s00415-019-09544-1. PMID: 31552550.
4. Jarius S, Wildemann B. 'Medusa head ataxia': the expanding spectrum of Purkinje cell antibodies in autoimmune cerebellar ataxia. Part 3: anti-Yo/CDR2, anti-Nb/AP3B2, PCA-2, anti-Tr/DNER, other antibodies, diagnostic pitfalls, summary and outlook. J Neuroinflammation. 2015; 12:168. DOI: 10.1186/s12974-015-0358-9. PMID: 26377319.
5. Afzal S, Recio M, Shamim S. Paraneoplastic cerebellar ataxia and the paraneoplastic syndromes. Proc (Bayl Univ Med Cent). 2015; 28:217–20. DOI: 10.1080/08998280.2015.11929234. PMID: 25829659.
6. Loehrer PA, Zieger L, Simon OJ. Update on paraneoplastic cerebellar degeneration. Brain Sci. 2021; 11:1414. DOI: 10.3390/brainsci11111414. PMID: 34827413.
7. Venkatraman A, Opal P. Paraneoplastic cerebellar degeneration with anti-Yo antibodies: a review. Ann Clin Transl Neurol. 2016; 3:655–63. DOI: 10.1002/acn3.328. PMID: 27606347.
8. Shams'ili S, Grefkens J, de Leeuw B, van den Bent M, Hooijkaas H, van der Holt B, et al. Paraneoplastic cerebellar degeneration associated with antineuronal antibodies: analysis of 50 patients. Brain. 2003; 126:1409–18. DOI: 10.1093/brain/awg133. PMID: 12764061.
9. Mao YH, Li L, Wen LM, Qin JM, Yang YL, Wang L, et al. Autoimmune encephalitis after surgery for appendiceal cancer: a case report. World J Clin Cases. 2023; 11:2576–81. DOI: 10.12998/wjcc.v11.i11.2576. PMID: 37123311.
10. Meglic B, Graus F, Grad A. Anti-Yo-associated paraneoplastic cerebellar degeneration in a man with gastric adenocarcinoma. J Neurol Sci. 2001; 185:135–8. DOI: 10.1016/s0022-510x(01)00467-1. PMID: 11311295.
11. Sutton IJ, Fursdon Davis CJ, Esiri MM, Hughes S, Amyes ER, Vincent A, et al. Anti-Yo antibodies and cerebellar degeneration in a man with adenocarcinoma of the esophagus. Ann Neurol. 2001; 49:253–7. DOI: 10.1002/1531-8249(20010201)49:2<253::aid-ana47>3.0.co;2-3. PMID: 11220746.
12. Debes JD, Lagarde SM, Hulsenboom E, Sillevis Smitt PA, ten Kate FJ, Sulter GA, et al. Anti-Yo-associated paraneoplastic cerebellar degeneration in a man with adenocarcinoma of the gastroesophageal junction. Dig Surg. 2007; 24:395–7. DOI: 10.1159/000107782. PMID: 17785986.
13. Algul FE, Tecellioglu M. A rare case of paraneoplastic limbic encephalitis: anti-Yo antibody-positive colon adenocarcinoma. Acta Med Nicomedia. 2023; 6:491–4.
14. Greenlee JE. Treatment of paraneoplastic cerebellar degeneration. Curr Treat Options Neurol. 2013; 15:185–200. DOI: 10.1007/s11940-012-0215-4. PMID: 23315179.

Fig. 1.
(A) Positron emission tomography-computed tomography demonstrated focal fluorodeoxyglucose uptake in the appendiceal region. (B) Abdominal computed tomography revealed no evidence of an appendiceal lesion.
jnc-250021f1.tif
Table 1.
Results of paraneoplastic and autoimmune antibody panel
Result Interpretation
Test name
 Anti-Hu (ANNA-1) Negative
 Anti-Ri (ANNA-2) Negative
 Anti-Yo (PCA-1) Positive ++
 Anti-Amphiphysin Negative
 Anti-CV2 (CRMP5) Negative
 Anti-Ma2/Ta (PNMA2) Negative
 Anti-Tr (DNER) Negative
 Anti-SOX1 (AGNA) Negative
 Anti-Zic4 Negative
 Anti-RECOVERIN Negative
 Anti-GAD65 Negative
 Titin Negative
Intensity range
 0–5 Negative
 6–10 Borderline +
 11–25 Positive ++
 26–50 Strong positive +++
 >50 Very strong positive ++++

ANNA-1, anti-neuronal nuclear antibody type 1 (anti-Hu); ANNA-2, anti-neuronal nuclear antibody type 2 (anti-Ri); PCA-1, Purkinje cell cytoplasmic antibody type 1 (anti-Yo); CRMP5, collapsin response mediator protein 5 antibody (CV2); PNMA2, paraneoplastic antigen Ma2/Ta antibody; DNER, delta/notch-like epidermal growth factor-related receptor antibody; AGNA, anti-glial nuclear antibody; Zic4, zinc finger protein Zic4 antibody; GAD65, glutamic acid decarboxylase 65 antibody.

TOOLS
Similar articles