Abstract
This report presents the management of a patient with pseudo Class III malocclusion and unstable mandibular movements caused by the lack of a stable occlusal stop. Without posterior support, the mandibular incisors slid along the labial surfaces of the maxillary incisors during centric relation (CR) guidance, resulting in anterior mandibular closure. This pattern presented as a habitual anterosuperior mandibular displacement during voluntary closure. Provisional prostheses for the maxillary anterior teeth and mandibular posterior implants were concurrently positioned in the appropriate CR position. Following the immediate establishment of a stable stop for proper CR, stable mastication in this position was achieved. The findings suggest that the patients with unstable CR guidance due to insufficient occlusal stabilization can attain immediate functional stability through a reliable teeth stop in the corrected CR position.
초록
이 증례 보고에서는 안정적인 치아의 정지 및 지지의 결핍으로 불안정한 하악 운동을 보이는 가성 3급 부정교합을 가진 환자의 고정성 보철수복을 소개한다. 후방 지지가 없는 상태에서 환자는 중심위 관계로의 유도 중 상악 절치의 순면을 따라 하악 절치가 미끄러지며 하악이 전상방으로 이동했다. 이에 환자는 자발적인 폐구에서 하악이 습관적으로 전상방으로 움직이는 양상을 보였다. 치료를 위해 먼저 중심위에 맞는 전치부 정지를 형성하였고, 구치부는 임플란트 식립 후 임시치아를 이용하여 즉시부하를 주어 구치부 지지를 얻었다. 치아의 안정적인 정지 및 지지를 통해 환자는 술자가 재현한 중심위에 맞추어 안정적으로 저작을 할 수 있었다. 이 증례를 통해, 안정적인 치아 지지가 없어 가성 3급 부정교합을 가진 환자에서 올바른 치아의 지지를 형성해 주었을 때 중심위에 맞는 안정적인 저작이 가능함을 확인하였다.
Dental implants are a leading treatment modality for edentulous patients, especially those with difficulties adapting to complete dentures.1 These cases often necessitate multiple implants and complex implant-supported fixed prostheses. The absence of proper occlusal stops further complicates treatment, as a reliable centric relation (CR) guide is typically lacking during mandibular movement. Consequently, the mandible in edentulous patients may display forward, upward, or lateral excursions as the condyle rotates upward and backward.2
CR is defined in the Prosthodontic Glossary as a bone-to-bone relationship, unrelated to teeth, and is most stable when the condyle is positioned anteriorly and superiorly on the disc.3 The glossary lists multiple definitions of CR (including GPT-1, GPT-2, and those by Boucher, Ash, and Ramsfjord), indicating that CR represents a range rather than a single point. As long as the CR position is within this range and does not cause trauma, it is considered clinically valid. Also, among various methods for guiding CR–such as swallowing or free closure, chin-point guidance (with anterior jig), bimanual manipulation, and myomonitor technique–bimanual manipulation is the most widely used and reliable for reproducing CR.4,5
The vertical dimension of occlusion (VDO) is critical for functional and aesthetic outcomes in prosthetic rehabilitation, directly influencing the stomatognathic system (including tooth guidance, masticatory muscles, and mandibular dynamics) and affecting mastication, speech, and swallowing. An excessive VDO may induce swallowing discomfort and masticatory muscle fatigue or pain. Facial analysis divides the face into upper, middle, and lower thirds, ideally in a 1 : 1 : 1 ratio. The VDO directly influences the lower third, which is critical for facial harmony. While VDO exists within a variable range rather than a fixed value, facial proportionality remains a clinically validated method for its determination when prior references are unavailable.6
The primary objective of this case report is to rehabilitate the function of a pseudo Class III patient by using a posterior implant-supported fixed prosthesis and anterior full-veneer restoration, thereby establishing a stable teeth stop in the appropriate CR.
This study was exempted from review by the Public Institutional Review Board designated by the Ministry of Health and Welfare (P01-202504-01-049), as no personal or identifiable information was collected.
A 75-year-old male with a history of cervical disc herniation and intermittent cervical corrector use presented with impaired mastication due to longstanding molar loss and exclusive reliance on the canines for chewing. He had discontinued his lower removable partial denture (RPD) because of occlusal misalignment and discomfort. Intraoral examination showed severe anterior tooth wear and lack of posterior support, resulting in abnormal mandibular movement. Repeated guidance into CR revealed habitual antero-superior mandibular closure, with the mandibular incisors sliding along the labial surfaces of the maxillary incisors. The treatment plan, as the patient declined a new RPD, involved implant-supported fixed prostheses for posterior support and full-veneer anterior restorations to establish an anterior stop, restoring proper mastication in the appropriate CR and vertical dimension (VD).
Treatment - All teeth number is based on The Federation Dentaire Internationale (FDI) system.
Following confirmation of anterior end-to-end occlusion in CR, the patient underwent evaluation with CBCT, panoramic radiographs, and intraoral photographs. Rehabilitation involved zirconia full-veneer crowns for the maxillary anterior teeth (#13-22) and implant-supported fixed prostheses for the mandibular edentulous areas (#34-37, 43-47). The splinted left lower canine and premolar were separated by sectioning the distal aspect of the canine restoration, while extraction of the right lower canine (with a periapical lesion) and premolar was performed to ensure adequate posterior support. Maxillary anterior teeth were initially prepared, and occlusal adjustment of the provisional crowns established a stable anterior stop in CR at the appropriate VD.
At the initial visit, the patient exhibited a skeletal Class III relationship with edge-to-edge incisal contact in CR guided by chin-point technique (Fig. 1). TMJ assessment showed normal mouth opening (> 40 mm) without joint or muscle symptoms, and no signs of popping, crepitus, or pain on loading test (per Dawson).7 Habitually, the mandible closed anterosuperiorly, with the mandibular incisors sliding along the labial surfaces of the maxillary incisors (Fig. 2). Treatment commenced with the mandible guided into CR, achieving stable anterior end-to-end contact at the appropriate vertical dimension.
CR guidance revealed anterior extrusion and premature contact (teeth #11, 21), with a 42 mm vestibular distance and a 2 mm excess in subnasion-gnathion distance relative to the outer canthus-labial commissure distance (Willis method), indicating facial elongation. Consequently, a 2 mm anterior VD reduction at CR was planned. Final VD integrated vestibular measurement (40 mm), Willis analysis, facial aesthetics, and prosthetic requirements.8 Tooth preparation and provisionalization of #11-13 and #21-22, followed by occlusal adjustment, established stable anterior guidance at clinician-guided CR and VD, enabling immediate stable mandibular closure.
Immediate loading of temporary implant prostheses using the Highness® system (Highness Co., Daegu, South Korea) was performed following implant placement in the bilateral mandibular posterior regions. After establishing a stable anterior bite stop with anterior restorations, implants were placed at positions #34, 35, 36, 37, 43, 45, 46, and 47, and provisional prostheses were immediately loaded.
Osstem TS III fixtures (Osstem Implant Co., Seoul, South Korea) were placed at #36 and #37, and Dentis S-Clean SQ-SL implants (Dentis Co., Daegu, South Korea) at #34, 35, 43, 45, 46, and 47. Immediately post-surgery, Highness® base abutments were connected with 30 Ncm torque, followed by attachment of Highness® scan bodies using hand torque. Digital impressions of the maxillary and mandibular dentitions, including a buccal bite scan reflecting the established anterior bite stop, were obtained using Primescan (Sirona Dental Systems GmbH, Bensheim, Germany) and analyzed with Exocad software (Exocad GmbH, Darmstadt, Germany). The following day, polymethyl methacrylate (PMMA) Highness® provisional restorations were delivered with hand torque, establishing partial group function occlusion during lateral excursions (Fig. 3, 4).
After one month, occlusal and masticatory stability were confirmed, and the patient reported no discomfort during provisionalization. Clinical evaluation demonstrated stable mandibular movements in centric relation, satisfactory masticatory function, and favorable facial esthetics. Three months after implant placement, implant stability was confirmed (Implant Stability Quotient > 72, Osstell beacon – Osstell AB, Gothenburg, Sweden), and definitive prosthetic treatment was initiated.
Provisional Highness® restorations and base abutments on #34-37 were removed, and compatible scan bodies were attached for maxillary, mandibular, and buccal bite scans using the stable right and anterior bite registration. One week later, custom abutments and zirconia prostheses for #34-37 were delivered (Fig. 5). Following final restoration of the left mandibular posterior region, provisional restorations and base abutments on #43, 45-47, along with maxillary anterior provisionals, were removed. Final preparations were completed on #11-13, 21, and 22, and scan bodies were placed on #43, 45-47. Scans were obtained using the stable left-side bite registration (Fig. 6). One week later, zirconia crowns for #11, 12, 13, 21, and 22, custom abutments for #43, 45-47, and zirconia prostheses for #43-45 and #46-47 were delivered. Partial group function occlusion was maintained during lateral excursions (Fig. 7, 8). At six months post-treatment, the patient reported no functional discomfort, and radiographic evaluation, including panoramic and cephalometric images, confirmed stable occlusion and TMJ position in proper centric relation (Fig. 9).
Celenza stated that once a functionally stable occlusion is achieved in the CR guided by the clinician, the masticatory muscles adapt well to this position, resulting in long-term stability. He further emphasized that the reproducibility of the CR position is more important than the exact position itself.9 This suggests that while the precise CR position may vary with different clinicians or guidance techniques, clinical stability can be maintained if occlusion is established consistently and the musculature adapts. Thus, minor variations in CR are unlikely to affect patient outcomes when guidance and restoration are performed consistently by the same clinician.10
Although bimanual manipulation is regarded as the most reliable technique for reproducing CR, its complexity and operator inexperience precluded its use in this case. Instead, chin-point guidance was selected for its consistency and reproducibility. As noted by Celenza,10 the clinician’s familiarity and consistency with the chosen method are more critical than objective accuracy, enabling reproducible outcomes despite minor variations in CR position across different operators or techniques.
A stable anterior stop was achieved using maxillary anterior provisional restorations to provide reliable edge-to-edge contact during CR guidance, thereby correcting initial premature contacts and occlusal instability in teeth #11 and 21 that contributed to mandibular deviation and potential TMJ complications. However, the fabrication of provisional restorations with an appropriate edge-to-edge stop and VD in the anterior region enabled the reliable establishment of a stable anterior stop in CR. Accordingly, provisional restorations were first fabricated for the maxillary anterior teeth to establish this edge-to-edge stop, followed by adjustment of the posterior implant provisionals to this reference, ensuring proper occlusion in CR. As a result of the adjustment, a 2 mm reduction in VD was observed at the CR position relative to the anterior teeth. This magnitude of VD adjustment has been reported to exert negligible effects on masticatory muscle activity and TMJ loading.11,12
The patient presented with pseudo-Class III malocclusion secondary to premature dental contacts, a condition potentially detrimental to TMJ integrity. Habitual anterior positioning of the mandible may precipitate anterior disc displacement or positional abnormalities.13 Furthermore, mandibular closure in an unstable anterior position rather than stable CR induces ligamentous strain within the joint.14 Such pathological mechanisms can lead to discal/ligamentous damage and degenerative changes. To address this, stable occlusal stops were established to eliminate the CR-CO discrepancy, ensuring mandibular function occurs exclusively within the stable CR position.
The selection of screw-retained prostheses (Highness® system) for immediate implant loading was based on several advantages. In this coordinated clinical approach, intraoperative scanning was performed by the prosthodontist immediately after implant placement. The Highness® system accommodates implant angulation up to 34 degrees, reducing the need for additional abutment modification (Fig. 10, Table 1). It also facilitates immediate loading by enabling direct scan body attachment to the base abutment for intraoral scanning, decreasing chair time and improving patient comfort. Additionally, the elimination of cement enhances postoperative oral hygiene. These benefits supported its use in this practice.
This case report demonstrates the successful functional and esthetic rehabilitation of a pseudo-Class III patient through a carefully sequenced approach involving anterior full-veneer restorations and posterior implant-supported fixed prostheses. By establishing a stable anterior stop and appropriate VD with provisional anterior restorations, reliable CR guidance and occlusal stability were achieved. Consistency in the clinician’s technique and careful consideration of facial proportions and functional requirements were essential in accomplishing reproducible and reliable outcomes. This case highlights the importance of individualized treatment planning and interdisciplinary collaboration in complex implant prosthodontics, ultimately restoring both function and esthetics for the patient.
References
1. Bhandari J, Adhapure P, Barve NN, Baig N, Jadhav V, Vispute S. 2020; Full Mouth Rehabilitation by Implant Supported Fixed Prosthesis. Contemp Clin Dent. 11:199–202. DOI: 10.4103/ccd.ccd_738_18. PMID: 33110338. PMCID: PMC7583539.
2. Hongchen L, Jilin Z, Ning L. 1992; Edentulous position of the temporomandibular joint. J Prosthet Dent. 67:401–4. DOI: 10.1016/0022-3913(92)90257-B. PMID: 1507110.
3. The Academy of Prosthodontics. The Glossary of Prosthodontic Terms 2023: Tenth Edition. J Prosthet Dent 2023;130(4 Suppl 1):e1-e3.
10.1016/j.prosdent.2023.03.003
37914441
4. Kantor ME, Silverman SI, Garfinkel L. 1973; Centric-relation recording techniques - a comparative investigation. J Prosthet Dent. 28:593–600. DOI: 10.1016/0022-3913(72)90107-2. PMID: 4508482.
5. Keshvad A, Winstanley RB. 2003; Comparison of the replicability of routinely used centric relation registration techniques. J Prosthodont. 12:90–101. DOI: 10.1016/S1059-941X(03)00036-6. PMID: 12964681.
6. Shanahan TEJ. 1956; Physiologic Vertical Dimension and Centric Relation. J Prosthet Dent. 6:741–7. DOI: 10.1016/0022-3913(56)90070-1.
7. Dawson PE. Functional Occlusion: From TMJ to Smile Design. 1st ed. St. Louis; Mosby; 2006. p. 86.
10.4103/0972-4052.32520
8. Prosthodontic Treatment for Edentulous Patients. 2nd ed. Seoul; Dental Wisdom; 2014. p. 228.
9. Celenza FV. 1973; The centric position: Replacement and character. J Prosthet Dent. 30:591–8.
10. Lucia VO. 1960; Centric relation - theory and practice. J Prosthet Dent. 10:849–56. DOI: 10.1016/0022-3913(60)90118-9.
11. Manns A, Miralles R, Guerrero F. 1981; The changes in electrical activity of the postural muscles of the mandible upon varying the vertical dimension. J Prosthet Dent. 45:438–45. DOI: 10.1016/0022-3913(81)90109-8. PMID: 6939851.
12. Hatcher DC, Faulkner MG, Hay A. 1986; Development of mechanical and mathematic models to study temoromandibular joint loading. J Prosthet Dent. 55:377–84. DOI: 10.1016/0022-3913(86)90125-3. PMID: 3457170.
13. Liu MQ, Lei J, Han JH, Yap AU, Fu KY. 2017; Metrical analysis of disc-condyle relation with different splint treatment positions in patients with TMJ disc displacement. J Appl Oral Sci. 25:483–9. DOI: 10.1590/1678-7757-2016-0471. PMID: 29069145. PMCID: PMC5804384.
14. Gupta A, Kohli VS, Hazarey PV, Kharbanda OP, Gunjal A. 2009; Stress distribution in the temporomandibular joint after mandibular protraction: A 3-dimensional finite element method study. Part 1. Am J Orthod Dentofacial Orthop. 135:737–48. DOI: 10.1016/j.ajodo.2007.12.025. PMID: 19524833.
Fig. 1
An image of an edge-to-edge occlusion guided to a centric relation position using chin-point guidance.
Fig. 2
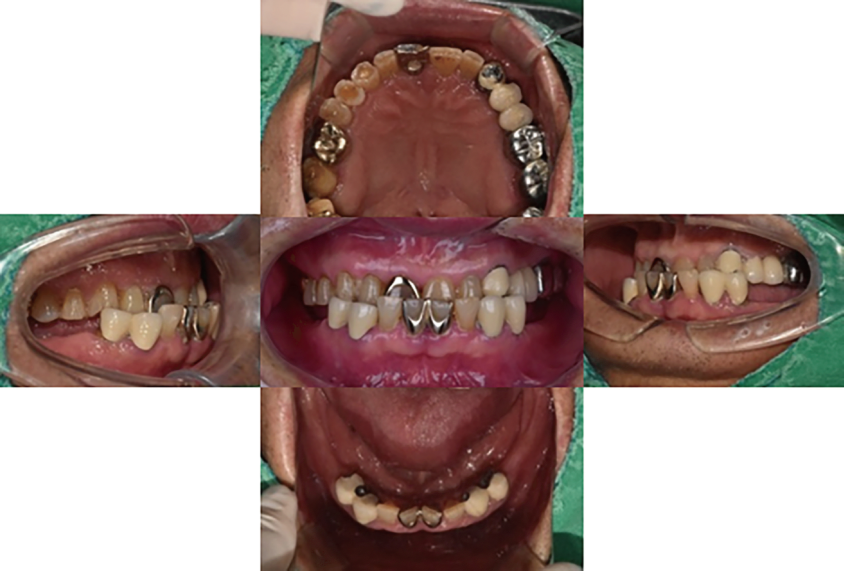
Initial oral examination. Severe attrition of both maxillary and mandibular anterior dentitions with anterior cross-bite is shown.
Fig. 3
(A) Initial panoramic image, (B) Panoramic image of implant placement and immediate loading on lower posterior areas.
Fig. 4
Images of the provisional crowns for both anterior and posterior teeth are presented. (A - C) Delivery of provisional crowns on maxillary anterior and mandibular posterior areas in a proper CR position, (D) A digital image depicting the provisional state is shown.
Fig. 6
The pre-scanning image prior to the acquisition of the lower right molar implant abutment and the upper anterior crowns is also provided.
Fig. 8
(A) The panorama image of the final treatment, (B) The intraoral image and facial profile after final treatment.
Fig. 9
(A) 6 months follow-up oral examination, (B) panoramic images of 6 months follow-up, (C) cephalometric images of 6months follow-up.
Fig. 10
The Highness base abutment offers up to 34 degrees of angulation correction, enabling prosthetic connection despite a 34-degree divergence between two implants. A: Diameter; B: Post length; C: Post angle.
Table 1
Availability of the Highness base abutments in multiple sizes, each offering distinct post angulations to accommodate diverse prosthetic requirements



PDF
Citation
Print



XML Download