Abstract
The ultimate goal of modern restorative dentistry is to achieve harmonious “white” and “pink” esthetics, especially in esthetically sensitive areas. In patients with severe periodontitis—marked by significant attachment loss and reduced bone support—compromised esthetics can pose a serious concern for both patients and clinicians, particularly when involving the maxillary anterior region. The restoration of lost interdental papillae remains one of the most challenging and unpredictable procedures in periodontal therapy. This study presents current multidisciplinary, non-surgical treatment modalities aimed at correcting black triangles around natural teeth and discusses key factors that influence the selection of appropriate treatment options.
초록
현대 심미 수복 치료의 궁극적인 목표는 심미적으로 민감한 부위에서 치아의 심미뿐 만 아니라 치주조직과도 조화로운 심미를 달성하는 것이다. 치주조직의 부착 상실과 골 지지 감소가 동반된 중증 치주염 환자에서는, 특히 상악 전치부와 같이 심미적으로 중요한 부위에서 이러한 심미성의 손상은 환자와 치과의사 모두에게 큰 어려움을 야기한다. 특히 치간유두의 소실은 치주치료에서 가장 도전적이고 예측이 어려운 치료 중 하나로 여겨진다. 본 증례 보고에서는 치아 주변에 발생한 치간 공극(black triangle)을 개선하기 위해 적용할 수 있는 다양한 비수술적 다학제 치료법들을 소개하고, 적절한 치료 옵션 선택에 영향을 미치는 주요 요소들을 논의하고자 한다.
The ultimate goal of modern restorative dentistry is to achieve harmonious “white” and “pink” esthetics in esthetically critical zones. The interdental papilla, located between two adjacent teeth, protects the periodontal tissues and plays a vital role in dental esthetics.1 Loss of the papilla can result in cosmetic concerns—commonly referred to as “black triangles”—as well as phonetic issues and lateral food impaction.
The presence or absence of the interdental papilla is influenced by multiple factors, including crestal alveolar bone height,2 the distance from the contact point to the alveolar bone crest,3 periodontal bioform,4 periodontal biotype,5 and tooth morphology.5 Advanced periodontal disease is characterized by significant attachment loss and diminished bony support. When the maxillary anterior teeth are affected, severe esthetic issues—such as gingival margin recession and loss of the interdental papilla—can arise. Although the etiologies of papilla loss are well established, the restoration of lost interdental papillae remains one of the most challenging and unpredictable procedures in periodontal therapy.
Multidisciplinary approaches, including nonsurgical and surgical approaches, are proposed in the periodontal literature. Nonsurgical methods include correcting traumatic oral hygiene habits,6 repeated curettage of the papilla,7 restorative or prosthetic interventions, and orthodontic approaches. Among these, forced eruption is a valuable orthodontic approach for restoring lost papillae by re-establishing positive interdental architecture.8 Several surgical reconstruction techniques have also been suggested for specific cases, typically after inflammation has been controlled. Most surgical approaches involve a combination of specific incision techniques and subepithelial connective tissue grafting.9,10 However, these procedures remain highly challenging for clinicians and may require multiple interventions to achieve predictable outcomes.
This study presents current multidisciplinary non-surgical treatment modalities recommended for the correction of black triangles around natural teeth and discusses key factors that influence the selection of appropriate treatment options.
A 26-year-old male patient presented to the Department of Periodontics at the Dental Hospital with a chief complaint of generalized gingival swelling and bleeding. The patient had no significant systemic conditions affecting his dental health, except for a history of smoking. Severe plaque accumulation was observed throughout the dentition due to poor oral hygiene, particularly in the interdental areas. Gingival swelling and bleeding on probing, including the interdental papillae, were noted (Fig. 1). A crater-like depression of the interdental papilla between the central incisors was observed, caused by poor oral hygiene with heavy plaque and calculus accumulation. Following periodontal treatment, a more pronounced depression was anticipated. Probing depths of the maxillary central incisors were each measured at 5 mm on the mesiobuccal sites prior to treatment.
The initial objective of treatment was to resolve gingival inflammation through non-surgical periodontal therapy, which included oral hygiene instruction as well as supra- and subgingival scaling and root planing (SRP) and curettage. One month after treatment, signs of gingival inflammation—such as swelling and bleeding—had subsided; however, recession of the interdental papilla and interdental soft tissue crater was noted.
The gingiva exhibited a thick biotype, and the distance from the contact point to the alveolar bone crest was approximately 5 mm (Fig. 2). Following clinical and radiographic evaluation, papilla creeping was induced using the periodic curettage technique proposed by Shapiro.7 Periodic supportive periodontal therapy, including subgingival SRP and curettage every three months, led to complete recovery of the interdental papilla over a period of 1.5 years, resulting in a satisfactory esthetic outcome for the patient (Fig. 1).
A 52-year-old female patient complaining of pus discharge and a diastema between the maxillary central incisors visited the Department of Periodontics, Dental Hospital. She was diagnosed with severe periodontal inflammation consistent with Stage IV periodontitis, and pathological tooth migration of the anterior teeth was noted (Fig. 3A). Surgical periodontal treatment was performed on the entire dentition after nonsurgical periodontal treatment because most teeth had a deep periodontal probing depth of more than 5 mm, and irregular alveolar bone resorption was observed.
Following comprehensive periodontal treatment, the health of the periodontal tissues was restored through the resolution of inflammation; however, the diastema remained a concern for both the patient and the clinician (Fig. 4A). Due to the patient’s severely compromised periodontium, minor tooth movement in conjunction with supportive periodontal therapy was proposed to close the diastema. Before orthodontic treatment, the teeth had a triangular shape with contact points located in the coronal area, making closure of interdental spaces challenging. To address this, interproximal reduction was performed to flatten the proximal tooth surfaces, thereby repositioning the contact points more apically and facilitating orthodontic space closure. To facilitate restoration of the interdental papilla, minor tooth movement was cautiously carried out with gentle compression of the papilla and modification of the tooth contact surfaces to a flattened shape. After seven months of treatment, the diastema was successfully closed and the interdental papilla was restored (Fig. 4).
Aesthetics were restored through orthodontic treatment in combination with periodontal surgery, and periodontal health was reestablished, including the improvement of multiple intrabony defects. Notably, significant regeneration was observed in the deep and wide intrabony defect on the mesial aspect of the right central incisor (Fig. 3B).
A 49-year-old female patient presented to the Department of Periodontics at the Dental Hospital with complaints of gingival swelling and bleeding. Clinical and radiographic examinations led to a diagnosis of Stage III periodontitis. Severe attachment loss, deep periodontal probing depths, and pronounced deep and wide intrabony defects were observed around the maxillary right lateral incisor and canine, which posed a potential risk for significant esthetic issues following periodontal treatment (Fig. 5A and 5B).
Following successful subgingival SRP and curettage, the deep periodontal pockets were reduced, and periodontal health was restored. However, as expected, a wide black triangle developed (Fig. 5A). To close the black triangle and enhance esthetics, forced eruption in conjunction with endodontic treatment was performed, followed by final prosthetic rehabilitation.
Forced eruption was performed for six months following endodontic treatment. Coronal movement of the alveolar bone and gingiva transformed the periodontally unfavorable negative bone architecture into a favorable positive architecture. After the retention period, esthetics were restored with a full veneer crown on the maxillary right lateral incisor (Fig. 5D). The deep intrabony defects and unfavorable gingival architecture were successfully improved through coordinated periodontal and orthodontic treatment, with stable results maintained for two years (Fig. 5E).
In this study, various treatment modalities for papilla optimization were addressed. Approaches ranging from simple repeated curettage to multidisciplinary interventions yielded favorable esthetic outcomes, owing to appropriate diagnosis and case-specific treatment planning.
In Case 1, the lost interdental papilla was restored using the method introduced by Shapiro,7 involving repeated SRP and curettage. Although a black triangle was present between the esthetically sensitive maxillary incisors and substantial plaque and calculus accumulation were observed, the distance from the contact point to the alveolar bone crest was within 5 mm (Fig. 2), the patient was young, and the periodontal biotype was thick. Therefore, creeping of the interdental papilla was anticipated. The level of the interproximal bone is a key determinant of both the presence and the vertical height of the papilla.11
In Cases 2 and 3, an orthodontic approach was selected. Prior to orthodontic therapy, periodontal health was restored through both non-surgical and surgical periodontal treatments, tailored to the stage of periodontitis. Nevertheless, deficiencies in periodontal tissue and unaesthetic appearances remained a concern. Despite the severity of the periodontal condition, periodontal health was successfully reestablished through accurate diagnosis and appropriate treatment, and esthetics were improved through the synergistic effect of orthodontic intervention. When the periodontal health and esthetics of the alveolar ridge are severely compromised, multidisciplinary treatment planning offers greater synergy and better outcomes than treatment by a single specialty alone. In Case 2, minor tooth movement combined with regenerative periodontal surgery resulted in superior outcomes compared to those expected from orthodontic treatment alone.
In the orthodontic procedure of Case 2, prior to orthodontic treatment, the teeth exhibited a triangular shape with contact points located coronally, making interdental space closure challenging. Therefore, interproximal reduction was performed to create a more flattened proximal tooth contour, allowing the contact points to be positioned more apically. Lowering the contact point position by ‘stripping’ off the proximal surfaces has been favored to improve papilla fill and papilla height level could move coronally by creeping of the proximal gingiva as well as by squeezing the gingival volume in the proximal embrasure space during orthodontic closure.12
In Case 3, forced eruption was selected due to the presence of negative interdental bone architecture and a distance greater than 5 mm between the contact point and the alveolar bone crest. The extent of papilla loss was too great for a single surgical procedure to be effective. As an alternative to surgery, forced eruption may be a better choice, as bone is generated from the host’s own attachment apparatus.13 With appropriate interdisciplinary collaboration for diagnosis and treatment planning, deep and wide intrabony defects were improved through combined periodontal and orthodontic management without surgical intervention. Additionally, the morphology of the interdental bone transformed from a negative architecture to a positive architecture, contributing to the long-term maintenance of periodontal health and esthetics.
The success of forced eruption depends on the presence of an intact attachment apparatus extending at least one-fourth of the root length from the apex.14 The new bone formed through forced eruption is of higher quality than that obtained from autografts or xenografts, as it contains living osteocytes within bone lacunae.15 A positive correlation has been observed between the level of interproximal alveolar bone and the presence of the interdental papilla.16
The cervical width of a single-rooted tooth gradually narrows from the cementoenamel junction toward the apex. This anatomical characteristic can lead to more complex esthetic challenges, such as the formation of wider black triangles after forced eruption. Therefore, the need for prosthetic treatment should be carefully considered prior to initiating orthodontic extrusion.
Understanding the specific roles of each specialty and ensuring precise interdisciplinary communication are essential for developing treatment plans aimed at restoring severely compromised esthetics, such as interdental papilla loss caused by periodontitis. Close collaboration among periodontics, orthodontics, and restorative dentistry is critical for effective treatment planning and achieving long-term successful outcomes.
References
1. Zetu L, Wang HL. 2005; Management of inter-dental/inter-implant papilla. J Clin Periodontol. 32:831–9. DOI: 10.1111/j.1600-051X.2005.00748.x. PMID: 15966894.
2. Tal H. 1984; Relationship between the interproximal distance of roots and the prevalence of intrabony pockets. J Periodontol. 55:604–7. DOI: 10.1902/jop.1984.55.10.604. PMID: 6593454.
3. Tarnow DP, Magner AW, Fletcher P. 1992; The effect of the distance from the contact point to the crest of bone on the presence or absence of the interproximal dental papilla. J Periodontol. 63:995–6. DOI: 10.1902/jop.1992.63.12.995. PMID: 1474471.
4. Salama H, Salama M, Garber D, Adar P. 1995; Developing optimal peri-implant papillae within the esthetic zone: guided soft tissue augmentation. J Esthet Dent. 7:125–9. DOI: 10.1111/j.1708-8240.1995.tb00729.x. PMID: 8527199.
5. Kois JC. 2001; Predictable single tooth peri-implant esthetics: five diagnostic keys. Compend Contin Educ Dent. 22:199–206. quiz 208
6. Agudio G, Pini Prato GP, Nevins M, Cortellini P, Ono Y. 1989; Esthetic modifications in periodontal therapy. Int J Periodontics Restorative Dent. 9:288–99.
7. Shapiro A. 1985; Regeneration of interdental papillae using periodic curettage. Int J Periodontics Restorative Dent. 5:26–33.
8. Ochsenbein C. 1986; A primer for osseous surgery. Int J Periodontics Restorative Dent. 6:8–47.
9. Azzi R, Takei HH, Etienne D, Carranza FA. 2001; Root coverage and papilla reconstruction using autogenous osseous and connective tissue grafts. Int J Periodontics Restorative Dent. 21:141–7.
10. Tinti C, Benfenati SP. 2002; The ramp mattress suture: a new suturing technique combined with a surgical procedure to obtain papillae between implants in the buccal area. Int J Periodontics Restorative Dent. 22:63–9.
11. Funato A, Salama MA, Ishikawa T, Garber DA, Salama H. 2007; Timing, positioning, and sequential staging in esthetic implant therapy: a four-dimensional perspective. Int J Periodontics Restorative Dent. 27:313–23.
12. Jeong JS, Lee SY, Chang M. 2016; Alterations of papilla dimensions after orthodontic closure of the maxillary midline diastema: a retrospective longitudinal study. J Periodontal Implant Sci. 46:197–206. DOI: 10.5051/jpis.2016.46.3.197. PMID: 27382507. PMCID: PMC4928207.
13. Uribe F, Taylor T, Shafer D, Nanda R. 2010; A novel approach for implant site development through root tipping. Am J Orthod Dentofacial Orthop. 138:649–55. DOI: 10.1016/j.ajodo.2009.01.027. PMID: 21055607.
14. Zuccati G, Bocchieri A. 2003; Implant site development by orthodontic extrusion of teeth with poor prognosis. J Clin Orthod. 37:307–11. quiz 313
15. Celenza F. 1997; The development of forced eruption as a modality for implant site enhancement. Alpha Omegan. 90:40–3.
16. Kwon EY, Lee JY, Choi J. 2016; Effect of slow forced eruption on the vertical levels of the interproximal bone and papilla and the width of the alveolar ridge. Korean J Orthod. 46:379–85. DOI: 10.4041/kjod.2016.46.6.379. PMID: 27896212. PMCID: PMC5118217.
Fig. 1
Clinical presentation of periodic curettage (case 1). Preoperative (A), One month after nonsurgical periodontal treatment, including oral hygiene instruction, subgingival scaling and root planing, and curettage (B), and 1.5 years after repeated subgingival scaling and root planning, and curettage performed every three months (C). Note that the black triangle observed at 1 month post-treatment is completely filled after 1.5 years.
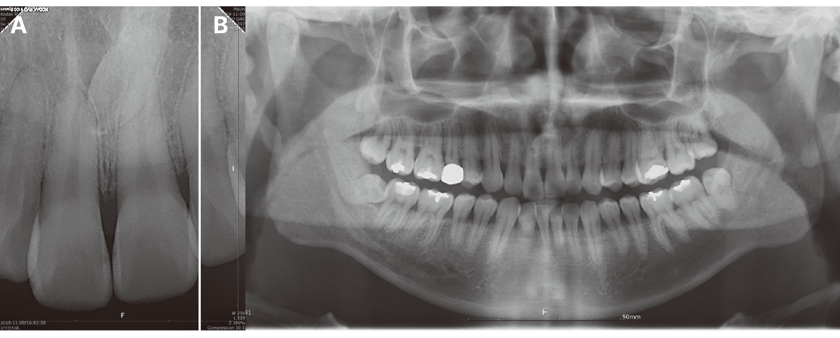
Fig. 2
Preoperative periapical radiograph: note that the distance from the contact point to the alveolar bone crest is within 5 mm (A). Panoramic radiograph taken 9 years after periodic curettage: The crestal bone level has been well maintained over the 9- year period (B).
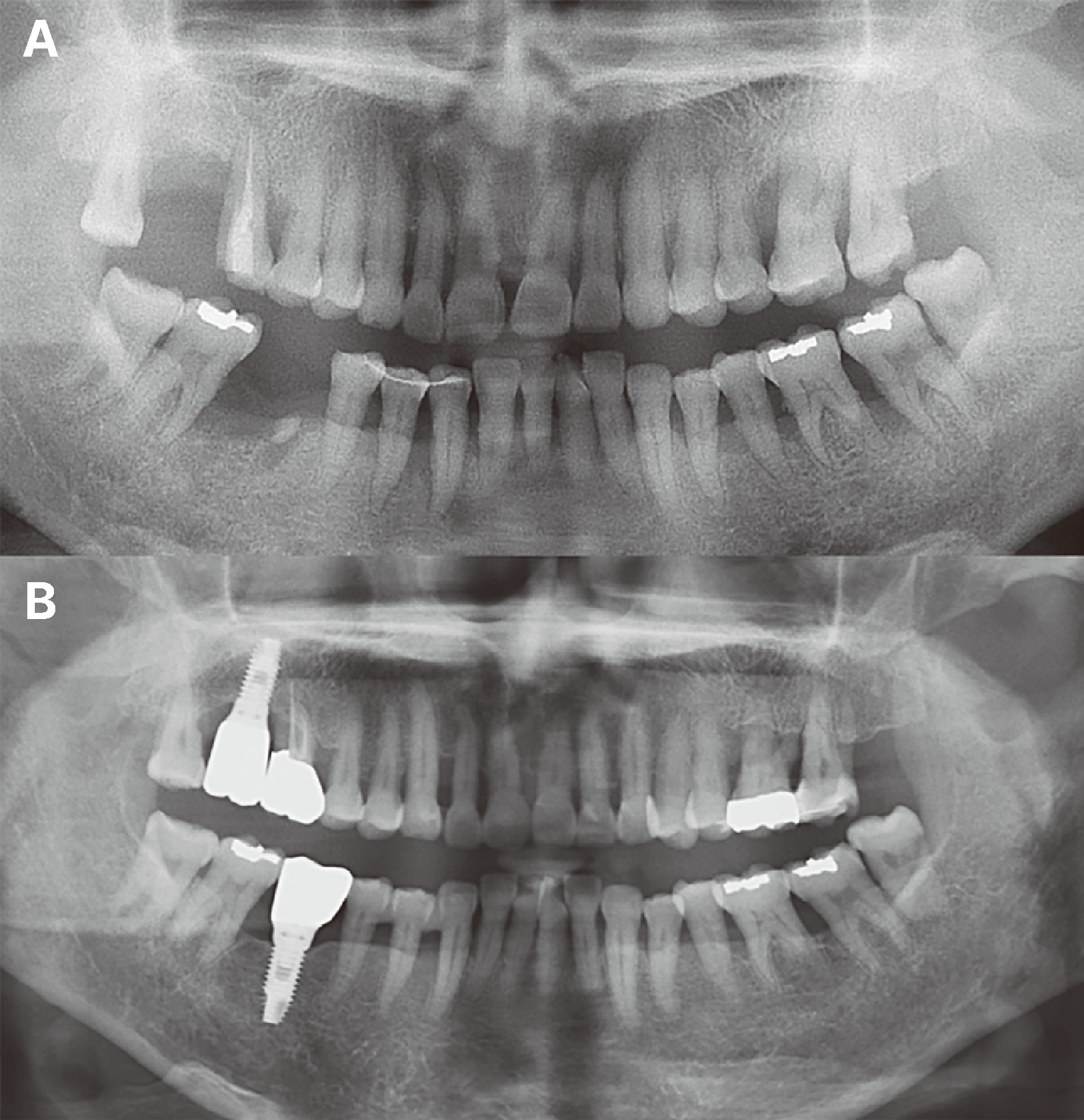
Fig. 3
Panoramic radiographs of Case 2: preoperative (A) and post-periodontal and orthodontic treatment (B). Severe intrabony defects involving multiple teeth were transformed into a flat bone morphology following successful periodontal therapy. Note the significant bone gain on the mesial aspect of the right maxillary central incisor, attributed to the synergistic effect of periodontal and orthodontic treatment (B).
Fig. 4
Clinical presentation of papilla creeping by tooth approximation in case 2. After periodontal treatment (A), immediately before orthodontic treatment (B), after performing interproximal reduction, orthodontic treatment was started (C), and six months later after minor tooth movement of the maxillary anterior teeth (D). Modification of the tooth shape lowered the contact point, resulting in complete recovery of the interdental papilla.
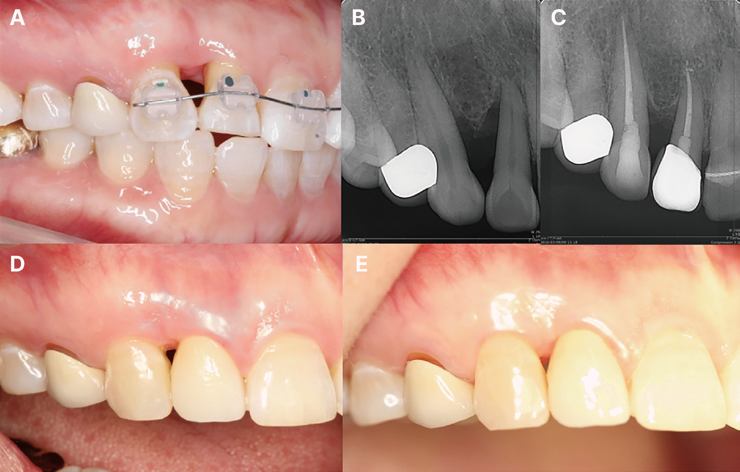
Fig. 5
Clinical presentation of forced eruption and prosthetic restoration (case 3). After periodontal and endodontic treatment (A), preoperative radiography (B), radiography after completion of all the treatment procedures (C), clinical view after treatment completion (D), and after a 2-year follow-up (E). Note the improvement of the intrabony defects and the aesthetic improvement of the soft tissue defect.



PDF
Citation
Print



XML Download