초록
치아 부식에 의한 치질 손상은 기능 및 심미성에 영향을 줄 수 있으며, 이환 정도와 범위가 광범위할수록 포괄적인 수복 치료가 필요하다. 이를 위해 보철물 제작 시 디지털 안궁 이전을 활용할 때는 각 방법의 특성을 고려하여 선택하는 것이 필요하다. 본 증례의 환자는 20대 여성으로 신경성 폭식증을 앓고 있었고, 자발적 구토로 인한 치아 부식으로 저작기능과 심미성이 저해되어 있었다. 이에 표준화 사진, 안면 스캔, 하악운동 추적장치(jaw motion tracker)의 세 가지 디지털 안궁을 사용하여 임시 치아 단계에서 구치부 저작 기능을 평가하고 여러 가지 전방 유도각과 절단연 길이를 가진 임시 치아를 장착하여 전치부 기능 및 심미성을 평가한 후 지르코니아관을 제작하여 최종 수복하였다. 일련의 과정을 통해 양호한 심미와 기능을 회복하였기에 이를 보고한다.
Abstract
Loss of tooth structures caused by dental erosion can compromise both function and esthetics, and extensive involvement often necessitates comprehensive restorative treatment. When utilizing a digital facebow transfer for prosthesis fabrication, the characteristics of each method must be carefully considered to choose the most appropriate technique an appropriate approach. This case report describes the prosthetic rehabilitation of a female patient with a history of bulimia nervosa. The patient presented with severely eroded dentition due to self-induced vomiting, resulting in impaired masticatory function and esthetics. For the restoration, three types of digital facebow transfer methods—standardized photography, facial scanning, and jaw motion tracking—were employed during the provisional phase to assess posterior function. Various provisional restorations with different lengths of incisal edge lengths and anterior guidance angles were tested to evaluate anterior function and esthetics. Definitive restorations were fabricated using monolithic zirconia crowns. This case report presents the successful recovery of esthetics and function through a digitally guided, full-mouth rehabilitation approach.
치아 부식은 내인성, 외인성 및 습관성 요소가 관여하는 다인자적 현상이며 발생 원인에 따라 다양한 위치와 분포 양상을 나타낸다.1,2 연구 보고된 지역과 나이에 따라 다르지만 20 - 45%의 성인이 치아 부식에 이환되고, 특히 탄산음료 섭취의 증가로 전 세계적으로 대두되는 문제이다.3 이 중 상악 전치부의 구개측 부식은 섭식 장애로 인한 자발적 구토와 밀접한 관련이 있다. 치아 부식과 관련된 대표적인 섭식장애는 신경성 거식증과 폭식증이 있는데 이 둘은 기전과 양상이 다르다.4 그중 폭식증은 단시간 내 과도한 섭취 후 구토, 과도한 운동과 다이어트 약제 복용과 같은 보상 행동이 반복되는 binge-purge cycle을 특징으로 하며, 이는 치아 부식, 우식 그리고 치은염을 포함해 구강 환경에 부정적인 영향을 미친다. 부식에 의한 치질 손상의 경우 치료목표를 부식 이환 치아의 기능, 건강 및 심미의 회복과 추가적인 손상의 예방으로 수립할 수 있다.5 그 중 심한 치아 부식이 심한 기능적 및 심미적 문제를 야기하는 경우에는 광범위한 수복 치료가 요구된다. 임상적으로 이러한 광범위한 수복치료 과정에는 진단 단계에서부터 치료 과정 및 최종 수복물 장착에 이르기까지 정밀함이 필수적이며 이를 위해 안궁 이전을 통한 모형 부착 과정이 포함한다.
최근 디지털 기술의 발전으로 다양한 디지털 안궁을 이용한 가상교합기의 이용이 전통적인 방법의 단점을 극복하고 대체 방법으로 자리잡고 있다.6 데이터 수집 방법에 따른 디지털 안궁은 다양한데 대표적으로 디지털 사진, 콘빔 컴퓨터 단층촬영(cone beam computed tomography; CBCT), 안면 스캔, 그리고 하악 운동 추적장치(jaw motion tracker)의 디지털 안궁이 있다.7 디지털 사진 안궁은 2차원 사진 데이터와 구내 스캔 데이터를 정합한 후 디지털 안궁 이전을 실시하는 방법이다. CBCT와 안면 스캔을 활용한 방법은 환자 특이적인 해부학적 지표를 통해 구내 스캔과 중첩 후 안궁 이전을 시행할 수 있다. 마지막으로 하악 운동 추적장치의 디지털 안궁을 활용한 방법은 하악 운동 기록 시 측정한 정보를 바탕으로 시행된다. 각 방법 별 경제적, 접근성, 사용자 친화성 등을 고려한 장단점이 있기에 디지털 안궁에 대한 표준화된 방법은 아직 확립되지 않았다.8 따라서 술자는 각 디지털 안궁 방식의 특성과 장단점을 고려하여 적절한 방법을 선택하는 것이 필요하다.
본 증례는 신경성 폭식증으로 인한 심한 치아부식을 가진 환자에서 임플란트 식립과 지르코니아 전부관을 계획한 후, 여러 가지 디지털 안궁을 이용해 제작한 임시 치아 시적 및 평가 후, 최종 디지털 안궁으로 안면 스캔으로 채택하여 지르코니아 전부관 수복을 통해 기능과 심미를 적절히 회복하였기에 이를 보고하는 바이다.
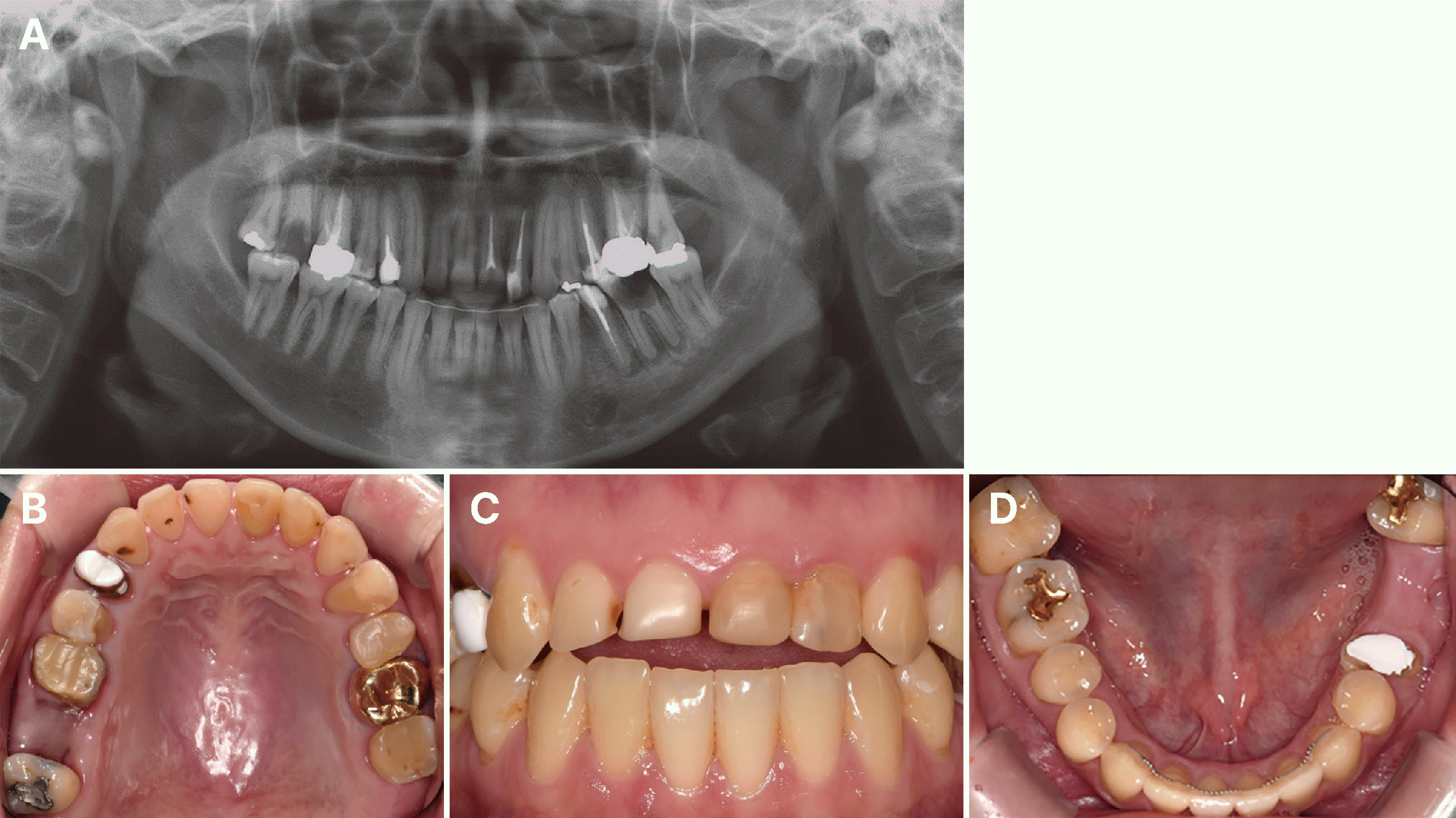
상기 환자는 20대 여성으로, 저작 불편을 주소로 내원하였다. 의과적 병력으로 신경성 폭식증을 가지고 있었으며 구외 평가 시, 상악 전치부의 심한 부식으로 인해 미소 시 하순의 상연과 반대되는 형태의 오목한 미소선이 관찰되었다. 초진 방사선사진 검사 상 상악 전치부를 포함한 다수의 치아에 우식이 관찰되었고, 이 중 상악 우측 제2구치와 하악 좌측 제1대구치는 광범위한 우식을 보였다. 구치부에는 치근단 병소가 존재하였으며, 광범위한 우식으로 인해 우측 상악 제2구치와 좌측 하악 제1대구치는 발거를 결정하였다. 구내 검사 시 상악 치열의 전반적인 부식이 존재했는데 그 중 전치부 구개측 부식이 특징적으로 확인되었고, 비심미적인 코어가 관찰되며 상악 대구치는 치관 수복물이 제거된 상태였다(Fig. 1).
알지네이트 인상 채득과 초경석고를 사용하여 진단 모형 제작하였고 분석을 위해 습관적 폐구위에서 악간 관계 기록을 채득한 뒤 안궁 이전을 통해 교합기에 부착하였다. 모형 상에서는 부식으로 인한 전치부 개방 교합이 확인되었고, 우측에 비해 좌측 Spee 만곡이 더 가파르게 나타났다(Fig. 2).
임상 및 방사선 검사 상 측두하악관절 병적 소견은 관찰되지 않았고, 안모 비율 분석에서 상안모 : 중안모, 중안모 : 하안모 비율이 약 1 : 1로 특이사항은 없었으며, 교합 안정 거리는 2 mm로 측정되었다(Fig. 3).
구치부 지지의 감소는 있었으나 이에 따른 수직 고경의 감소는 확인되지 않아, 환자는 Turner-Missirlian씨 분류9 category 2에 해당하는 것으로 판단되었다.
환자의 첫 번째 문제 목록은 심한 부식으로 인한 상악 전치부의 오목한 미소선으로 심미성이 결여되어 있었다는 것이다. 부식정도에 따라 분악당 0 - 3점을 부여하는 BEWE (Basic Erosive Wear Examination) 점수를 통해 부식을 평가했을 때 6분악의 부식 점수의 총합 14점으로 가장 높은 단계인 high risk에 해당하였으며, 이 경우 수복 치료가 권장된다.10 두 번째는 부식으로 인한 해부학적 외형 소실로 전방 유도 및 구치부 저작 능력의 저하였다. 두가지 문제사항을 고려하여 발거하기로 결정한 우측 상악 제2구치와 좌측 하악 제1대구치는 임플란트 식립을 통해 수복하기로 결정하였다. 상악 치아들은 부식으로 인해 해부학적 외형 소실이 심하여 전부 지르코니아 전부관 수복 계획하였고 하악 치아는 대부분 해부학적 외형이 보존되어 잔존 치질이 부족한 하악 좌측 제2소구치만 지르코니아 전부관 수복으로 치료 계획을 수립하였다.
환자는 광범위한 치료의 필요성을 스스로 인지하고 있었지만, 내원 약속을 반복적으로 취소하였고, 재상담만 진행하는 등 치료 의지가 부족하였다. 이에 따라 상악 4전치에 대한 진단 왁스업을 기반으로 아크릴 레진(Luxatemp Plus, DMG, Hamburg, Germany)을 사용한 목업(mock-up) 형식의 임시 수복만을 시행하여 심미성을 개선함으로써 치료에 대한 동기부여를 하였다. 임시 수복물로 인해 이전보다 심미성이 향상되었으나, 하순의 상연과 미소선은 완전히 평행하지는 않았다(Fig. 4).
전방 유도각 설정을 위해 하악 운동 추적장치(Zebris for ceramill, Zebris Medical, Isny im Allgäu, Germany)를 이용하여 시상 과두 경사각을 측정하였으며, 하악운동 기록 센서를 부착하기 위한 지그(jig)를 디자인하고 3D 프린팅하였다. 구내 간섭을 제거한 후 어태치먼트(attachment)를 이용해 센서를 고정하고 하악 운동을 기록하였다(Fig. 5). 측정된 시상 과두 경사각을 바탕으로 전방 유도 경사를 설정하였다.
전치부는 심한 치아 부식으로 형태가 결손되어 있어 전방 유도와 심미성 확보에 어려움이 있었다. 일반적으로는 시상 과두 경사각에 5°를 더하여 전방 유도각을 부여하나, 일부 저자는 10°를 더할 것을 제안하였고, Hobo는 교합 양식에 따라 다른 가중치를 부여하는데 본 증례에서 견치 유도 교합은 7°를 더하여 설정해야 하였다.11-13 시상 과두 경사각에 대한 전방 유도각의 설정은 저자마다 상이하므로, 다양한 전방 유도각을 적용한 임시 수복물을 제작하여 평가하기로 하였다.
치료 계획에 따라 임플란트를 식립하고 지대치를 삭제한 후(Fig. 6), 실리콘 인상재(I-Sil Putty, regular & light body, Spident, Incheon, Korea)를 사용해 인상을 채득하였다.
첫 번째 임시 수복물은 가상교합기(Exocad 3.0, GmbH, Darmstadt, Germany)에서 평균치 모형 부착 이용해 제작하였는데, 실리콘 교합 인기재와 브러시를 활용해 동공간선 정보를 기록하고, 새로운 전방 유도에 적응할 수 있도록 각각 0.5 mm의 얕은 수직 피개와 수평 피개를 설정하였다(Fig. 7). 임시 수복물 시적 시 동공 간선과 전치부 교합평면이 평행하지 않았고, 전방운동 시 좌우 구치부의 이개량이 서로 달랐으며, 특히 하악 좌측 제1대구치 부위에서 이개량이 부족하였다. 이를 해결하기 위해 세 가지 방법의 디지털 안궁을 적용하여 임시 치아를 제작하고 비교 및 평가하였다. 환자의 두부 위치 표준화를 위해 NHP (nautral head position)로 유도하는 보조 안경을 제작하였다. 세 개의 bubble level을 활용해 수평계를 구성하였고, 두 개의 평행한 거울을 이용해 두부 위치를 표준화하였다.
첫번째로 사진 기반 안궁 이전은 NHP 상태에서 디지털 카메라(D5300, Nikon, Tokyo, Japan)를 사용해 사진을 촬영하였다. 흰색 배경에서 환자와 1.5 m 떨어진 상태에서 카메라 렌즈를 환자의 눈높이 상에서 사진을 촬영하였다. 그 후 CAD 프로그램에서 구내 스캐너(Primescan, Dentsply Sironia, Charlotte, USA)를 사용한 구내 스캔 파일과 중첩하였다. CAD 프로그램의 가상교합기에서 사진의 수직봉과 절치핀을 일직선상에 위치시키고 동공간선과 교합기의 상암과 평행하게 안궁이전을 실시하였으며 임시 수복물을 디자인하여 STL 파일로 추출하였다(Fig. 8).
안면 스캔 기반 디지털 안궁에서는 스캔 데이터 중첩을 위해 헤어밴드와 구외 스캔 바디를 제작하였다. 안면 스캐너(Ray Face 2.0, RayDent, Hwaseong, Korea)를 사용한 안면 스캔 시 헤어밴드를 장착한 상태로 스캔을 진행하였다. 개구 운동 시 측두하악관절을 촉진하여 임의 접번축을 설정하였고, 이를 지나는 수평면을 기준평면으로 추출하였다. 안정위, 미소 시, 그리고 구외 스캔 바디 장착한 상태로 안면 스캔 후 스캔 데이터간 중첩을 프로그램 내 단면도로 확인하고 OBJ 확장자 파일로 추출하였다(Fig. 9). 교합포크와 실리콘 인상재를 사용하여 교합흔을 인기하여 구외 스캔 바디를 제작하였고, 이를 안면 스캔과 구내 스캔 중첩에 활용하였다. CAD 프로그램에서 안면 스캔, 스캔 바디, 구내 스캔 파일을 불러온 뒤 중첩하였으며 디지털 안궁 이전을 바탕으로 임시 수복물을 디자인하였다(Fig. 10).
마지막으로 하악 운동 추적장치의 디지털 안궁을 이용한 이전을 실시했다. 전용 교합포크와 상악 석고모형을 기공 스캐너로 스캔하여 CAD 프로그램의 라이브러리를 통해 중첩하였다. 또한 디지털 안궁을 사용한 안궁 정보를 jawmotion 확장자로 추출하여 가상교합기 상에서 입력하여 임시 수복물을 디자인하였다(Fig. 11). 세 가지 디지털 안궁을 통한 임시 치아는 레진 블록을 절삭가공(Rainbow Mill, Dentium, Seongnam, Korea)하여 제작하였다.
전방 유도각 평가를 위해 세 가지 서로 다른 각도의 상악 6전치 임시 수복물을 디자인하였다. 좌우측 시상 과두 경사각 평균값인 32.5 °에서 각각 5°, 7°, 10°를 더한 37.5°, 39.5°, 42.5°의 전방 유도각을 갖는 임시 수복물을 디자인 후 구내 시적하였다. 환자에게 전방운동을 지시했을 때 하악 좌측 제1대구치 이개량이 부족하여 협측 교두 경사를 조정하였다. 구치부 이개 최소량과 좌우 균일한 이개를 고려하여 전방 유도각 42.5°의 임시 치아가 가장 적절하다고 판단하였다.
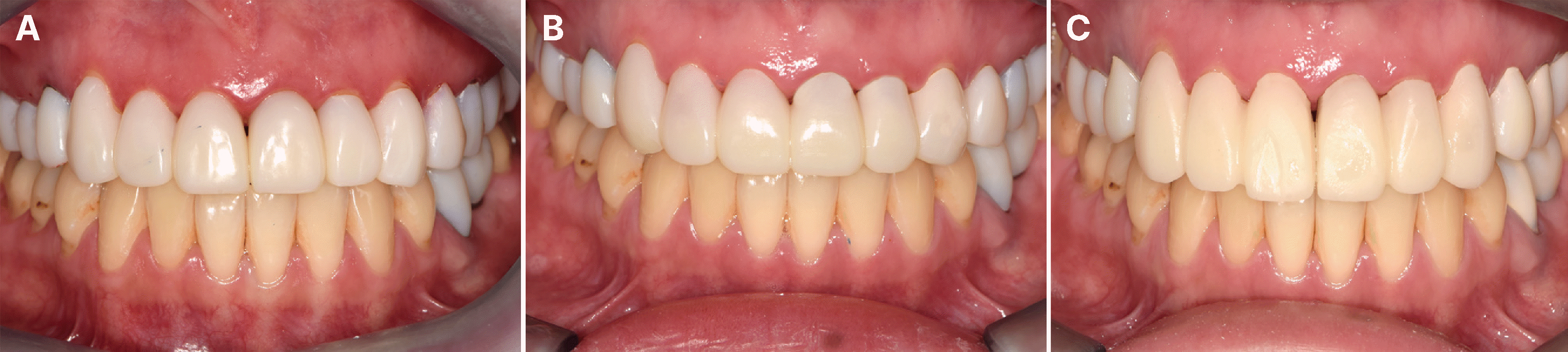
또한 서로 다른 세 가지 절단연 길이를 갖는 임시 수복물을 디자인하여 평가하였다. 각각 수직 피개가 0.5, 1.0, 1.5 mm인 상악 6전치 임시 수복물을 시적 후 평가했을 때, 1.0 mm 길이의 임시 수복물에서 가장 심미적인 교합 평면이 확인되어 이를 절단연 길이로 설정하였다(Fig. 12). 이를 고려한 최종 임시 수복물을 시적하였을 때, 정면에서 교합 평면의 기울어짐이 해소되었고, 적절한 미소선이 확인되었다(Fig. 13).
구내 스캔을 통한 교합 양상을 분석한 결과, 디지털 사진 안궁 이전에서는 우측에 비해 좌측 교합이 더 강하게 나타났으며 안면 스캔과 하악 운동 추적장치를 사용하여 제작한 임시 치아에서는 양측 구치부에서 비슷한 교합양상이 관찰되었다. T-scan (T-scan Novus, Tekscan, Boston, USA) 검사에서도 사진 안궁 이전에서 좌측으로 치우친 교합을 보였고, 하악 운동 추적장치에서는 균형 있는 양측 구치부 교합 보였으나 우측 대구치 한 부위에서 강한 교합을 나타냈으며, 안면 스캔에서 가장 균일한 구치부 교합을 보였다(Fig. 14). 부드러운 빵 저작을 지시했을 때 사진 안궁 이전을 사용한 임시 수복물에서 간섭이 발생하였고, 하악 운동의 편향이 관찰되었다. 따라서 안면 스캔을 최종 보철물 제작을 위한 디지털 안궁으로 선택하였다. 조정을 마친 2차 임시 수복물을 스캔하여 안면 스캔과 중첩한 뒤, 기존 치아 삭제 모형 스캔 파일과 중첩하여 최종 보철물을 디자인하였다. 안면 스캔에서 미소선을 기준으로 상악 전치부 심미를 평가했으며 가싱교합기를 이용하여 균형 있는 중십교합 및 전방 유도를 설정하였다. 지르코니아 전부관으로 최종 보철물을 제작하였으며, 구내 시적 후 견치 유도 교합을 형성하였고, 좌우의 균형 있는 교합을 확보한 상태에서 합착하였다(Fig. 15). 합착 후 전방 유도와 측방 운동 시 좌우측 구치부의 적절한 이개량을 확인하였으며, 견치 유도 교합과 양측 구치부의 균형 있는 교합을 확인하였다. 정면에서 환자의 하순의 상연과 미소선의 평행을 확인하였으며, 환자도 심미와 기능 모두에 만족하였다. 이후 정기 검진을 통해 교합 조정 및 불소 바니시(NT Clear Varnish, Denbio, Suwon, Korea)를 시행하고 있다.
신경성 폭식증으로 인한 자발적 구토로 생긴 심한 치아 부식을 가진 환자에서 세 가지 디지털 안궁을 사용한 임시 수복물로 기능과 심미를 평가한 뒤, 이를 최종 보철물에 반영하여 수복하였다.
신경성 폭식증은 인지 행동 치료, 대인관계 심리 치료 그리고 약물 치료들이 제시되어 왔다.14 하지만 대부분의 환자들이 치료를 받지 않은 상태로 남아 있으며, 치료 효과 또한 50% 이하로 보고되고 있다.15,16 Nijakowski 등4의 체계적 문헌 고찰에 따르면 폭식증 환자의 약 54%에서 치아 부식이 발생하며, 일반인과 비교할 때 odds ratio는 약 10배, 유사 섭식장애인 거식증과 비교 시 약 4배 높은 것으로 보고되었다. 본 증례의 환자는 초기에 치과 치료를 지속적으로 연기하였으나, 상악 전치부에 시행한 목업(mock-up) 형식의 임시 수복물이 긍정적인 심리적 효과를 유도하였고, 이는 궁극적으로 치과 치료에 대한 환자의 수용성과 동기 향상으로 이어졌던 것으로 추정된다.
치아 부식은 치질 내 무기질 성분의 손실로 인해 전단 결합 강도(shear bond strength)가 감소한다. Mohammad와 Thyab17의 연구에 따르면, 부식치아의 전단결합강도를 비부식 치아와 비교했을 때 모든 군에서 낮은 값을 보였다. 상악 전치부 부식을 분류한 ACE classification18에 따르면 본 증례의 환자는 순면까지 이환되었지만 치수 노출은 없는 Class V에 해당하고 이때 sandwich 기술을 사용한 직접 레진 수복은 실험적이라고 평가되고 있다. 따라서 본 증례에서는 직접 레진 수복은 배제하였다. 본 환자의 치아는 삭제된 것처럼 보일 정도로 심한 치질 손상을 보였고, 확실한 지지가 필요한 견치와 제1대구치에는 높은 강도, 생체 적합성 및 산 부식에 대한 화학적 저항성을 고려하여 지르코니아 전부관을 수복 재료로 선택하였다.19
디지털 안궁 중 디지털 사진 기법은 사용 방법이 간편하고 경제적으로 저렴하다는 장점이 있지만 좌우 구치부에서 균등하지 못한 교합양상이 관찰되었는데, 이는 3차원 정보를 2차원 영상에 중첩하는 과정에서 발생하는 내재적 한계에 기인한 것으로 판단된다. 이와 관련한 정확도 비교 문헌에서, 사진 안궁 이전은 교합 평면이 수평면과 평행할 때 전통적인 안궁 이전보다 정확도가 높지만, 교합 평면이 수평면과 약 15° 각도차이가 있는 환경에서는 모든 측정에서 전통적인 안궁 이전과 비교하여 부정확한 결과가 나왔고 본 증례와 유사한 결과를 보였다.20,21
디지털 안궁으로써 안면 스캔은 해부학적 지표를 사용하여 환자 특이적인 안궁 이전을 하면서 동시에 심미성을 평가할 수 있는 장점이 있다. 스마트폰, 태블릿, 안면 스캐너 등을 사용하여 안면 스캔 정보를 얻을 수 있으나 사용하는 기기에 따른 해상도 및 정확도 차이를 보인다.22 안면 스캔 데이터끼리 중첩 시 사용하는 알고리즘에 따른 정확도 차이도 존재하는데 Revilla-León 등23의 연구에서는 reference best-fit과 landmark-based best fit 알고리즘 간 정확도와 정밀도의 차이를 보고하였다.
하악 운동 추적장치의 디지털 안궁을 사용한 방법은 시간 단축과 완전조절성 교합기로의 사용이 가능하다는 장점이 있다.8 Gu 등24의 연구에 따르면 디지털 관절궤도측정과 비교하여 하악 운동 추적장치는 가벼운 무게로 인해 높은 환자의 편안함 수준을 보였으나, 높은 베넷각(Bennett angle)을 보고하여 사용 시 참고가 필요하다고 하였다. 하지만 높은 구매 비용과 디지털 장비 사용의 숙련도가 요구되기에 이를 고려해야 한다.
첫번째 임시 수복물을 제작할 때 CAD 소프트웨어에서 제공하는 평균값을 사용하여 모형의 위치를 설정하고 제작하였다. Bonwill’s triangle과 Balkwill angle 등의 평균적인 구내 정보를 바탕으로 안궁 이전이 실시되기 때문에 구외 정보의 부재와 환자 특이적인 안궁 이전이 불가능하다는 단점이 존재한다.25 본 증례에서도 평균값을 사용하여 제작한 임시 수복물은 정면에서 평가 시 동공간선과 평행하지 않았으며 전방운동 시 좌우측 구치부 이개량에서 차이를 보였다. 이를 극복하기 위하여 세 가지 방법의 디지털 안궁을 사용하여 임시 수복물을 제작하였고 비교 및 평가하였다.
본 증례의 환자에서 최종 보철물을 위한 디지털 안궁으로 안면 스캔을 선택하였다. 임시 수복물 제작 시 안면 스캔 방법이 교합 분석 시 안정적인 양측 구치부 교합을 보였고 구외 정보와 비교하여 심미적 평가가 가능한 장점이 있기 때문이다. 정확한 스캔 데이터 간 중첩을 위하여 헤어밴드를 제작하여 중첩점으로 사용하였고, 구내 스캔과의 정확한 중첩을 위해 구외 스캔 바디를 사용하였다. 안면 스캔 간 중첩에서 미소 시 변동이 적은 중첩점을 설정하는 것이 중요한데, 내안각, 코 등의 참고점이 해당한다.26 본 증례에서는 코의 첨점을 표시하고 임의 접번축과 헤어밴드의 점을 중첩점으로 사용함으로써 우수한 중첩 결과를 얻을 수 있었다. 스캔 바디의 사용에 관련한 안 면스캔과 구내 스캔의 중첩 정확도를 다룬 연구에 따르면, 세 가지 형태의 스캔 바디를 사용한 방법이 사용하지 않은 방법에 비하여 더 높은 정확도를 보고하였다.27 본 증례에서 안면 스캔 데이터와 구내 스캔 데이터를 중첩하는데 높은 정확도를 위하여 구외 스캔 바디를 사용하여 안면 스캔 데이터와 구내 스캔 데이터를 중첩하였다.
심한 부식으로 상실된 전방 유도와 좌측 저작 시 불편은 임시 수복물 및 최종 보철물 장착 후 주의 깊게 평가하였다. 새로운 전방 유도각 설정을 위하여 하악 운동 추적장치를 사용하여 시상 과두 경사각을 측정한 뒤, 세 가지 문헌11-13에 근거하여 각 전방 유도각을 갖는 임시 수복물을 제작하였다. 각 임시 수복물의 전방 유도각은 구치부 이개량을 기준으로 평가하였고 시상 과두 경사각보다 10° 큰 전방 유도각을 최종적으로 적용하였으나 여전히 구치부 이개량이 적은 문제가 발생하였다. 전방 유도각은 수평 피개와 수직 피개의 양에 따라 달라지는데 구치부 이개량을 증가시키며 환자의 심미적 요구를 만족시키기 위하여 수직 피개량을 증가시켜 전방 유도각을 변경하기로 하였다. 서로 다른 수직 피개량을 가진 임시 수복물을 평가하여 구치부 이개량 확보와 동시에 심미적으로 가장 양호한 1.0 mm의 수직 피개를 가진 보철물을 최종적으로 적용하였다. T-scan (T-scan Novus) 장비를 통해 중심 교합의 균형을 평가한 결과, 안면 스캔을 사용한 임시 수복울에서 좌우측 중심 교합이 가장 대칭적이었으며 이를 최종 디지털 안궁으로 선택하였다. 최종 보철물 장착 시에도 좌우측 교합의 대칭성을 평가하였으며, 정기적으로 교합 검사 및 조정을 진행하였다.
안면 스캔을 디지털 안궁으로 단독 사용 시, 하악 운동 추적장치를 사용한 환자 맞춤형 교합 분석은 불가능하다는 단점이 있는데, 이는 독립적인 방법이 아닌 디지털 안궁의 통합을 통해 극복할 수 있다. 하악 운동 추적장치의 운동 기록을 입력하여 완전 조절성 가상교합기를 형성한 후, 심미 평가를 위하여 안면 스캔을 중첩하면 두 가지 방법의 장점을 취합할 수 있으나, 본 증례에서는 시행하지 못하였다. 추후 다양한 데이터를 사용한 디지털 안궁으로 안궁 이전을 진행한다면, 환자 특이적인 보철물을 디자인하는데 도움이 될 것으로 생각된다.
References
1. Dhaliwal G, Ouanounou A. 2024; Tooth surface loss: causes, management, and prevention. Quintessence Int. 55:504–13.
2. Verrett RG. 2001; Analyzing the etiology of an extremely worn dentition. J Prosthodont. 10:224–33. DOI: 10.1111/j.1532-849X.2001.00224.x. PMID: 11781971.
3. Yanushevich OO, Maev IV, Krikheli NI, Andreev DN, Lyamina SV, Sokolov FS, Bychkova MN, Beliy PA, Zaslavskaya KY. 2022; Prevalence and Risk of Dental Erosion in Patients with Gastroesophageal Reflux Disease: A Meta-Analysis. Dent J (Basel). 10:126. DOI: 10.3390/dj10070126. PMID: 35877400. PMCID: PMC9316498.
4. Nijakowski K, Jankowski J, Gruszczyński D, Surdacka A. 2023; Eating Disorders and Dental Erosion: A Systematic Review. J Clin Med. 12:6161. DOI: 10.3390/jcm12196161. PMID: 37834805. PMCID: PMC10573129.
5. Lee GJ, Jin SY, Kim HJ, Min JB. 2017; Treatment of dental erosion caused by intrinsic and extrinsic etiology: a case report. J Dent Rehabil Appl Sci. 33:42–6. DOI: 10.14368/jdras.2017.33.1.42.
6. Lobo S, Argolinha I, Machado V, Botelho J, Rua J, Li J, Mendes JJ. 2025; Advances in Digital Technologies in Dental Medicine: Enhancing Precision in Virtual Articulators. J Clin Med. 14:1495. DOI: 10.3390/jcm14051495. PMID: 40094941. PMCID: PMC11900346.
7. Revilla-León M, Zeitler JM, Kois JC. 2024; An overview of the different digital facebow methods for transferring the maxillary cast into the virtual articulator. J Esthet Restor Dent. 36:1675–86. DOI: 10.1111/jerd.13264. PMID: 38778662.
8. Lepidi L, Galli M, Mastrangelo F, Venezia P, Joda T, Wang HL, Li J. 2021; Virtual Articulators and Virtual Mounting Procedures: Where Do We Stand? J Prosthodont. 30:24–35. DOI: 10.1111/jopr.13240. PMID: 32827222.
9. Turner KA, Missirlian DM. 1984; Restoration of the extremely worn dentition. J Prosthet Dent. 52:467–74. DOI: 10.1016/0022-3913(84)90326-3. PMID: 6389829.
10. Bartlett D, Ganss C, Lussi A. 2008; Basic Erosive Wear Examination (BEWE): a new scoring system for scientific and clinical needs. Clin Oral Investig. 12 Suppl 1:S65–8. DOI: 10.1007/s00784-007-0181-5. PMID: 18228057. PMCID: PMC2238785.
11. Mchorris WH. 1979; Occlusion with particular emphasis on the functional and parafunctional role of anterior teeth. Part 2. J Clin Orthod. 13:684–701.
12. Hobo S, Ichida E, Garcia LT. Osseointegration and occlusal rehabilitation. 1st ed. Chicago; Quintessence Publishing; 1989. p. 383-402.
13. Zoghby AE, Ré JP, Perez C. 2009; Functional harmony between the sagittal condylar path inclination and the anterior guidance inclination. Int J Stomatol Occlusion Med. 2:131–6. DOI: 10.1007/s12548-009-0024-x.
14. Agras WS, Walsh T, Fairburn CG, Wilson GT, Kraemer HC. 2000; A multicenter comparison of cognitive-behavioral therapy and interpersonal psychotherapy for bulimia nervosa. Arch Gen Psychiatry. 57:459–66. DOI: 10.1001/archpsyc.57.5.459. PMID: 10807486.
15. Wilson K, Kagabo R. 2024; Bulimia nervosa and treatment-related disparities: a review. Front Psychol. 15:1386347. DOI: 10.3389/fpsyg.2024.1386347. PMID: 39205982. PMCID: PMC11349707.
16. Linardon J, Wade TD. 2018; How many individuals achieve symptom abstinence following psychological treatments for bulimia nervosa? A meta-analytic review. Int J Eat Disord. 51:287–94. DOI: 10.1002/eat.22838. PMID: 29417609.
17. Mohammad MH, Thyab SA. Assessment of bond strength of different bonding systems to eroded dentin using sonic activation: in vitro study. Eur J Gen Dent 2024;13. doi: 10.1055/s-0044-1788720.
10.1055/s-0044-1788720
18. Vailati F, Belser UC. 2010; Classification and treatment of the anterior maxillary dentition affected by dental erosion: the ACE classification. Int J Periodontics Restorative Dent. 30:559–71.
19. Moreira A, Freitas F, Marques D, Caramês J. 2019; Aesthetic rehabilitation of a patient with bruxism using ceramic veneers and overlays combined with four-point monolithic zirconia crowns for occlusal stabilization: a 4-year follow-up. Case Rep Dent. 2019:1640563. DOI: 10.1155/2019/1640563. PMID: 31531247. PMCID: PMC6720662.
20. Revilla-León M, Zeitler JM, Barmak AB, Kois JC. Accuracy of the maxillary cast transfer into the virtual semi-adjustable articulator by using analog and digital facebow record methods. J Prosthet Dent 2024:S0022-3913(24)00204-X.
10.1016/j.prosdent.2024.03.011
21. Revilla-León M, Zeitler JM, Strommer S, Barmak AB, Kois JC. Accuracy comparison of the maxillary cast transfer into the virtual semi-adjustable articulator between an analog facebow record and a digital photography technique. J Prosthet Dent 2024:S0022-3913(24)00188-4.
10.1016/j.prosdent.2024.03.003
22. Amezua X, Iturrate M, Garikano X, Solaberrieta E. 2023; Analysis of the impact of the facial scanning method on the precision of a virtual facebow record technique: an in vivo study. J Prosthet Dent. 130:382–91. DOI: 10.1016/j.prosdent.2021.10.025. PMID: 34916065.
23. Revilla-León M, Pérez-Barquero JA, Barmak AB, Agustín-Panadero R, Fernández-Estevan L, Att W. 2021; Facial scanning accuracy depending on the alignment algorithm and digitized surface area location: an in vitro study. J Dent. 110:103680. DOI: 10.1016/j.jdent.2021.103680. PMID: 33901605.
24. Gu X, Hu T, Zhang Z, He F, Shi J, Yang H. 2025; Comparison of the accuracy of an ultrasonic-based jaw tracking device with conventional electronic tracking device. J Adv Prosthodont. 17:47–58. DOI: 10.4047/jap.2025.17.1.47. PMID: 40061026. PMCID: PMC11886402.
25. Inoue N, Scialabba R, Lee JD, Lee SJ. 2024; A comparison of virtually mounted dental casts from traditional facebow records, average values, and 3D facial scans. J Prosthet Dent. 131:136–43. DOI: 10.1016/j.prosdent.2022.03.001. PMID: 35382941.
26. Ozsoy O, Yilmaz B, Yildirim Y, Ozsoy U. 2023; Identification of Stable Anatomical Landmarks During Facial Expressions. Facial Plast Surg Aesthet Med. 25:420–4. DOI: 10.1089/fpsam.2022.0364. PMID: 36779993.
27. Revilla-León M, Zeitler JM, Barmak AB, Kois JC. 2024; Accuracy of the 3-dimensional virtual patient representation obtained by using 4 different techniques: an in vitro study. J Prosthet Dent. 131:1178–88. DOI: 10.1016/j.prosdent.2022.05.016. PMID: 35773020.
Fig. 1
Initial examination. (A) Panoramic x-ray, (B) Maxillary occlusal view, (C) Frontal view, (D) Mandibular occlusal view.
Fig. 2
Diagnostic cast. (A) Maxillary occlusal view, (B) Right lateral view, (C) Frontal view, (D) Left lateral view, (E) Mandibular occlusal view.
Fig. 3
Extraoral evaluation. (A) Facial scan for vertical facial proportion evaluation; a1≒a2 (Willis' method), b1≒b2 (Mc-Geés method), (B) Vertical dimension of occlusion and rest.
Fig. 4
Anterior mock-up restoration procedure. (A) Maxillary anterior tooth diagnostic wax-up, (B) Putty index fabrication, (C) Inner face of putty index, (D) Resin application with putty index, (E) Removal of excess, (F) Evaluation of smile line.
Fig. 5
Dynamic occlusion analysis. (A) Jig for attachment fixation, (B) Interference adjustment , (C) Jig and attachment for recording, (D) Application of facebow, (E) Results of the jaw motion tracking of patient. Left sagittal condyle inclination; 31.8°. Right sagittal condyle inclination; 33.5°.
Fig. 6
Intraoral photographs after tooth preparation and custom abutment connection. (A) Maxillary occlusal view, (B) Right lateral view, (C) Frontal view, (D) Left lateral view, (E) Mandibular occlusal view.
Fig. 7
Fabrication of 1st provisional crown. (A) Frontal view of average value mounting, (B) Lateral view of average value mounting, (C) Interpupillary line information transfer with silicone and brush, (D) Shallow overlap design, (E) Provisional restorations on stone cast, (F) Provisional restorations try-in.
Fig. 8
Provisional restorations design using extraoral photographs. (A) Alignment maxillary intraoral scan to photographs, (B) Digital facebow transfer using photographs, (C) Provisional restorations design.
Fig. 9
Facial scan data superimposition. (A) Facial scan with smile position, (B) Facial scan with extraoral scanbody, (C) Section view after superimposition.
Fig. 10
Provisional restorations design using facial scan. (A) Alignment extraoral scnabody data to facial scan, (B) Alignment maxillary scan data to scanbody, (C) Digital facebow transfer using facial scan, (D) Provisional restorations design.
Fig. 11
Digital facebow transfer using jaw motion tracker. (A) Alignment bitefork data using library data, (B) Alignment maxillary cast data to scan data, (C) Provisional restorations design.
Fig. 12
Occlusal plane evaluation with different length of overlap. (A) 0.5 mm, (B) 1.0 mm, (C) 1.5 mm.
Fig. 13
Esthetic evaluation. (A) Parallelism with interpupillary line, (B) Smile position, (C) Smile line analysis.



PDF
Citation
Print



XML Download