초록
전치부 외상 중 치관-치근 파절에서 파절선이 치은 연하에 위치하는 경우 외과적 정출술을 치료 방법으로 고려할 수 있다. 외과적 정출술은 치아를 발거하여 치근 표면 및 파절선을 육안으로 관찰할 수 있고, 단기간에 시행할 수 있는 치료법이다. 반면 발치 중 치아가 손상될 수 있고 백악질 층의 손상으로 인한 치근 흡수 또는 유착과 같은 위험 요소가 존재하여 치료법으로 선택할 때 고려해야하는 부분이 있다. 본 증례 보고에서는 외과적 정출술을 통해 치관-치근 파절이 발생한 상악 전치를 치료한 증례를 보고하고자 한다.
Abstract
In the case of crown-root fracture due to traumatic injury in anterior tooth and the fracture margin is located subgingivally, surgical extrusion can be considered as one of the treatment choices. Surgical extrusion is a one-step and less time-consuming procedure that allows dentist to examine the root fractured surface, but there are some risk factors such as tooth fracture or damage to cementum layer during extraction. The following case reports present surgical extrusion as a treatment option of crown-root fracture in maxillary anterior tooth.
치조골 및 치아에 가해지는 외력은 치아와 주위 조직에 다양한 손상을 유발할 수 있다. 치관-치근 파절은 법랑질, 상아질, 백악질을 모두 포함하는 파절로 치수 손상 포함 유무에 따라 단순 또는 복잡 치관-치근 파절로 분류할 수 있다.1 치관-치근 파절이 상악 전치에서 발생할 경우 순측 파절선은 주로 치은 근처 또는 상방에 존재하나 구개측 파절선은 치조골 하방으로 연장되는 양상을 보인다. 반면 상악 전치부 치조골의 형태는 구개측 치조골이 순측에 비해 치관부 방향으로 치조골연이 더 높아 구개측의 치은연하 파절선으로의 접근을 더욱 어렵게 한다.2 치은 연하 파절이 발생한 치아를 수복할 때 생물학적 폭경을 침범하면 치은염, 임상적 부착 수준 소실 및 골 소실을 유발할 수 있다. 따라서 파절된 치아의 생물학적 폭경을 재건하는 것이 필요하며 치관 연장술, 교정적 정출술, 외과적 정출술이 흔히 적용되고 있다.3
외과적 정출술은 치경부 파절선이 치은연하에 위치한 경우, 치아를 외과적으로 발거한 후 치관부 방향으로 재위치시키는 방법으로 Tegsjõ 등4이 처음 소개하였다. 교정적 정출술에 비해 치료 시간과 전체 치료 기간이 단축된다는 장점이 있으며, 비용 또한 저렴하다.5 하지만 치아를 인위적으로 탈구 시키는 과정은 치아에 외상을 줄 수 있으며 이로 인해 이차적인 치아 파절 또는 치근 흡수 등의 부작용이 나타날 수 있다.6 부작용을 최소화하기 위해서는 치근면이 손상되지 않도록 주의하고 구외 시간을 15분 이내로 하는 것이 가장 중요하다.6
외과적 정출술이 소개된 이후 관련된 많은 연구와 문헌들이 있었으나 아직 정형화된 술식이 부재하여 임상 적용에 어려움이 있으며, 연구마다 성공률의 편차가 존재한다.7 그럼에도 외상으로 치관-치근 파절이 발생한 치아를 발거하지 않고 보존하고자 할 때, 외과적 정출술은 술자가 고려할 수 있는 치료 방법이며, 이를 시행하기 전 환자와 치아에 대한 여러 요소를 평가하는 것이 중요하다.5 먼저 환자의 술식에 대한 이해가 필요하며 다른 가능한 치료 방법과 비교하여 환자의 여건에 맞는 치료 방법을 선택할 수 있게 해야 한다. 술자는 파절선을 고려하여 예상되는 정출량과 발치 가능 여부를 평가하고, 치근 표면에 대한 처치나 치근단 절제술 및 역충전이 필요한지를 치아의 성장 정도와 치근단 병소의 유무 등을 고려하여 평가해야 한다. 또한 정출술을 시행한 후 예상되는 최종 수복물의 형태에 대해서도 고려해야 한다.
본 증례에서는 치은연하로 연장된 치관-치근 파절이 발생한 치아를 180°회전을 동반한 외과적 정출술로 치료하였으며, 1년간의 경과를 관찰하였다.
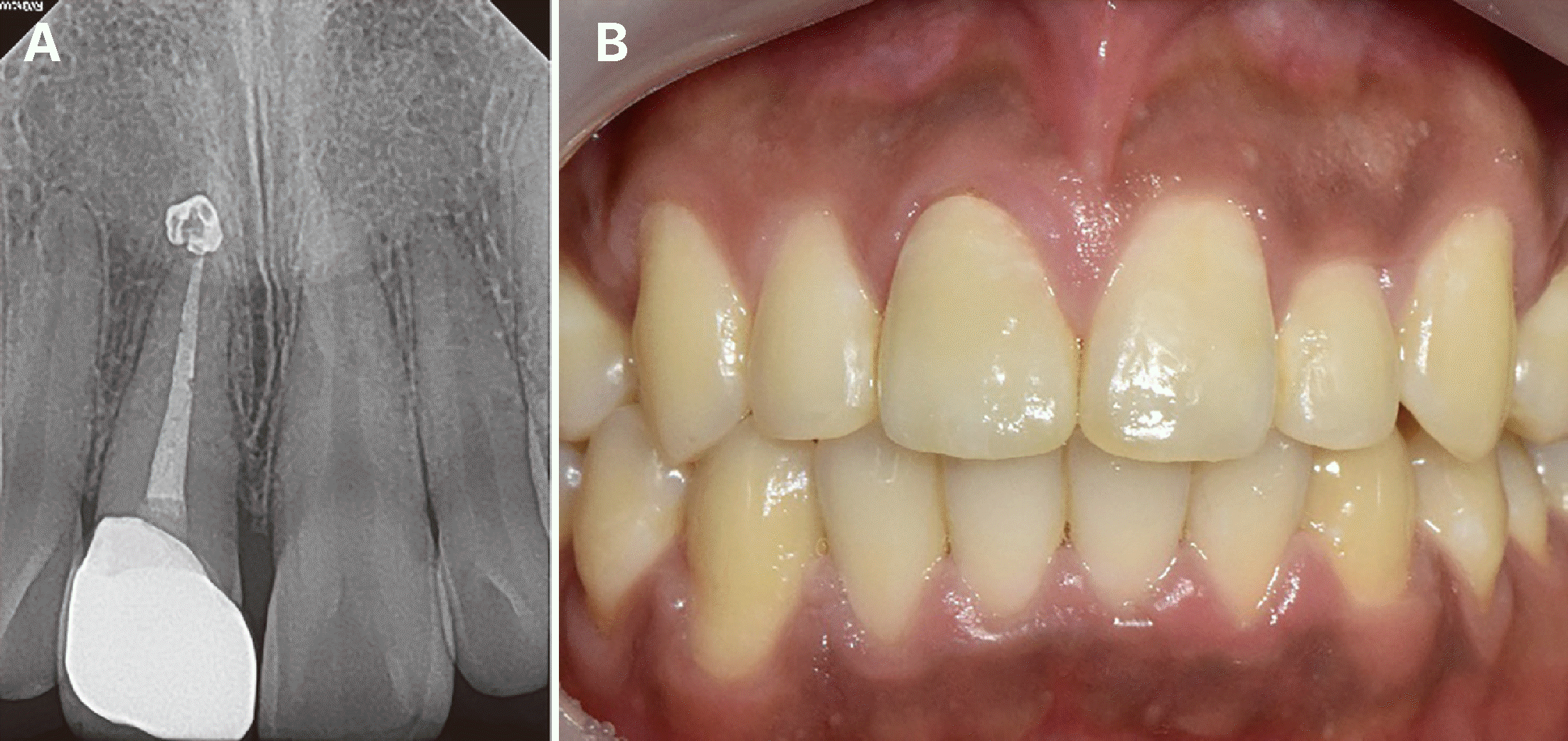
28세 남자 환자가 3일 전 넘어져서 치아가 부러졌다는 주소로 내원하였다. 외상 발생 다음날 개인 치과에서 파절편 제거, 발수 및 근관 성형 시행 후 본과로 의뢰되었으며 임상 검사 및 방사선 검사 상 우측 상악 중절치의 치수강을 침범한 치관-치근 파절이 관찰되었다. 파절선은 협면 절단측 1/3 경계에서 시작하여 구개측 치은연하로 연장되었으며 5 - 6 mm의 치주낭 깊이를 보였다. 동요도는 없었으나 잔존 치관부에 균열선이 관찰되었으며 타진 및 촉진에 통증을 호소하였다(Fig. 1). 이에 따라 우측 상악 중절치의 복잡 치관-치근 파절로 진단하였다. 첫 내원일에 추가적인 근관 성형과 세정을 시행하였다. 해당 치아에 러버댐 격리를 위한 클램프를 직접 적용하면 통증을 유발할 수 있기 때문에 상악 양측 견치에 클램프를 적용하여 격리를 시행하였다. 근관치료를 위한 국소마취를 시행하지 않았음에도 근관 내 기구조작에 통증을 호소하지 않았다. 페이퍼 포인트를 적용하였을 때 근관 건조가 잘 되는 것을 확인하고 수산화칼슘 첩약 후 임시가봉을 시행하였다. 환자가 심미적 불편감을 호소하여 협측 치관 파절 부위에 레진 수복을 추가적으로 시행하였다. 치아에 대한 전반적인 평가를 시행한 후 환자에게 구개측 치은 연하로 연장된 파절선에 대한 처치가 필요하며 이를 위해 교정적 정출술과 외과적 정출술 중에 선택할 수 있음과 각각의 방법, 기간 및 장단점에 대해 설명하였다. 환자는 치료를 단기간에 끝내야 하고, 재발의 위험성이 적은 방법을 선호하여 외과적 정출술을 시행하기로 결정하였다. 또한, 치아의 구개측 파절선이 협측에 비해 치은연하로 연장된 형태이기 때문에 외과적 정출술을 시행할 때 180°회전 식립하여 협설측 치조골의 높이 차이를 이용해 정출량을 감소시키고 치근 길이를 더 확보할 수 있음을 설명하였다.
외과적 정출술을 시행하기 전 1 : 100,000 에피네프린이 함유된 2% 리도카인 한 앰플을 이용해 국소마취를 시행하였다. #15 blade를 이용해 치주인대를 절단하고 치은 섬유의 손상을 최소화하기 위해 젖은 멸균 거즈를 겸자와 치아 사이에 배치한 후 회전운동을 시행하여 치아의 동요도를 유도하였다. 치아를 치조와에서 완전히 분리하여 발거한 후 구개측 파절선의 경계를 확인하였으며 협측 치관부 중앙에서 관찰되었던 균열이 치근으로 연장되지는 않은 것 또한 확인할 수 있었다. 치아를 180°회전한 후, 구개측 파절선이 협측 치은연과 유사하게 위치되도록 재식 하였으며, 치축의 각도를 고려하되 치주인대에 압박이 가해지지 않도록 수동적으로 위치될 수 있도록 하였다. 정출은 2 - 3 mm 시행하였으며 수술에 소요된 총 구외시간은 5분 내외였다. 정출 후 스테인레스 스틸 와이어(TRU-CHROME® S.S., .016 × .022, Rocky Mountain Orthodontics, Denver, USA)를 사용하여 레진-강선 고정을 시행하였고 치아 양측 치은유두에 단순단속 봉합을 시행하였다(Fig. 2). 심미 목적으로 임시 수복했던 절단측의 레진과 구개측의 치질을 삭제하여 대합치와 교합되지 않도록 높이를 조정하였다. 환자는 유동식을 하도록 지시하였고 3일간 진통제와 항생제를 복용하도록 처방하였으며 2주간 클로르헥시딘으로 구강세척을 시행하였다.
재식 1주 후 치은유두 봉합사를 제거하였으며 재식 2주 후 근관 평가를 시행하였다. 상악 양측 견치에 클램프를 적용하여 격리를 시행하고 협측에 수경성 임시충전재와 레진으로 이중 가봉해둔 임시재료를 제거하여 근관 내로 접근하였다. 수산화칼슘 첩약제를 제거하고 근관 세정을 시행한 후 페이퍼 포인트를 이용해 근관 건조가 잘 되는 것을 확인하였다. 거타퍼챠 콘(DiaDent, Cheongju, Korea) 및 실러(AH Plus sealer, Dentsply Detrey GmbH, Konstanz, Germany)를 사용하여 열연화가압충전(Continuous wave technique)으로 근관 충전을 시행하였다. 근관 와동 부위는 복합레진(LuxaCoreZ Dual shade A3; DMG GmbH, Eldgaustrabe, Hamburg, Germany)으로 충전하였다(Fig. 3). 재식 3주 후 동요도가 감소하여 레진-강선 고정을 제거하였다. 전치부 치은이 완전히 치유되고 연조직 뿐만 아니라 경조직의 치유가 진행이 될 때까지 임시치아 상태로 8주간 경과관찰을 시행하였다.
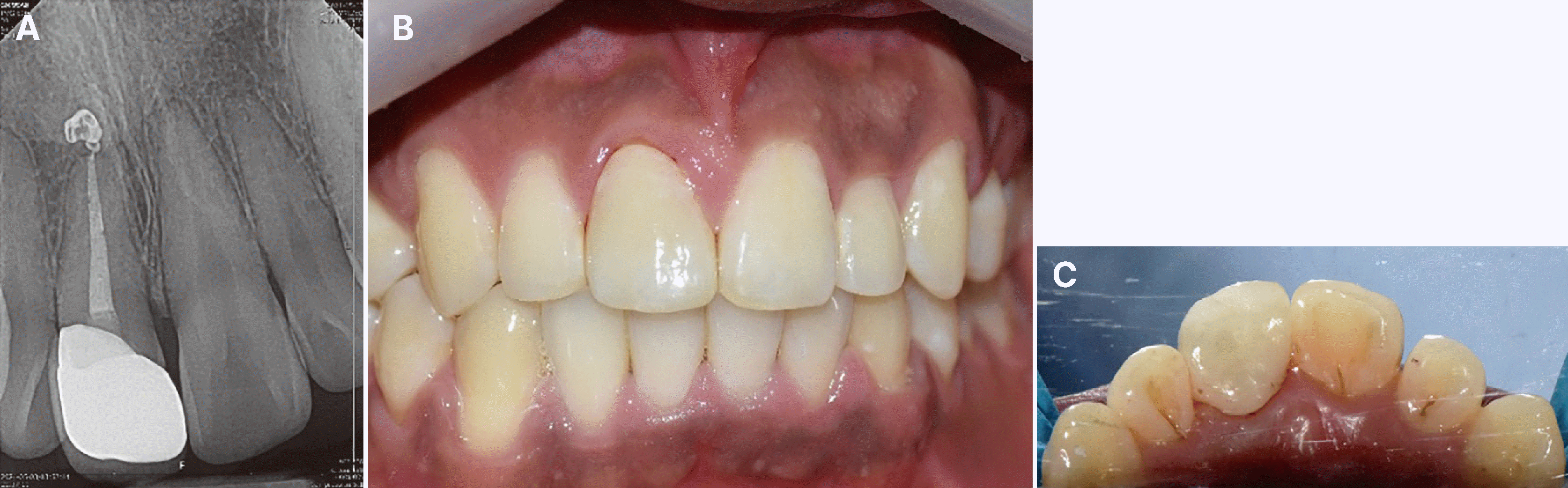
2달 경과관찰 후 임상 검사 시행 결과, 초기보다 동요도가 감소하여 생리적 범위였고, 타진 및 촉진에 불편감이 없었으며 정상적인 치주낭 깊이를 확인하였다. 방사선 사진 상 치근단 밖으로 정출된 실러가 흡수되지는 않았지만 치근 표면에 진행이 의심되는 흡수는 관찰되지 않았으며 환자의 통증이나 불편감은 없었다(Fig. 4). 최종 인상을 채득하고 도재-지르코니아 전장관으로 최종 수복물을 제작하여 레진 시멘트를 이용해 합착하였다. 6개월 및 1년 후 경과관찰 시행결과 치근단 밖으로 정출 된 실러가 흡수되지는 않았지만 치근 주변으로 골 조직이 형성되었으며 치조백선이 단절된 부분 없이 형성된 것을 확인하였다(Fig. 5, 6). 진행 중인 치근흡수나 치근 유착 또한 관찰되지 않았다. 환자의 불편감은 없었으며 동요도, 타진 반응, 치주낭 검사에 모두 음성 및 정상 범주의 결과를 관찰할 수 있었다. 다만 수복한 치아의 근심측에서 유리치은이 약간 증가한 경향이 있었는데 발치 후에 변연골이 일부 소실된 것과 치아를 정출하면서 근원심 폭이 감소하여 발생한 공간으로 치은이 증식한 것이 원인으로 분석되었다.
치관-치근 파절이 발생한 치아를 보존하고자 할 때 치관 연장술, 외과적 정출술, 교정적 정출술을 고려할 수 있다. 치관 연장술은 치조골 삭제를 통해 파절 부위를 노출시키고 생물학적 폭경을 확보할 수 있으나 심미성이 요구되는 전치부에서 만족스러운 치료 결과를 얻기 어렵다.7 교정적 정출술은 파절선을 치은 연상으로 노출시키면서 하방 골과 치주조직의 재형성을 통해 부착 소실 없이 생물학적 폭경을 재확립할 수 있지만, 치료 기간이 길며 정출 후 치근이 원래 위치로 돌아가서 재발하는 부작용이 흔히 발생하고, 이를 방지하기 위해 장기간 유지 기간이 필요하다는 단점이 있다.8 또한 유착 및 과백악질증, 수직 치근 파절이 존재하는 경우, 인접치와 치근이 근접한 경우, 심각한 치근 내흡수 또는 외흡수가 존재하는 경우, 치료되지 않은 치주염 및 치근단 염증이 존재하는 경우, 치근이 짧거나 치근 이개부가 노출된 경우는 교정적 정출술이 금기이다.7 외과적 정출술은 치료 기간이 짧으며 치근을 육안으로 직접 관찰하여 결손부를 확인할 수 있다는 장점이 있다. 하지만 발치 과정에서 치아에 손상이 가해지지 않도록 주의해야 하며 다근치와 같이 해부학적으로 발거가 어려운 치아에서는 불리할 수 있고, 치료 후 유착 및 치근 흡수 발생 가능성이 존재한다.7,9
Elkhadem 등의 외과적 정출술 후 발생할 수 있는 부작용에 대한 체계적 문헌고찰에서 검토한 바에 따르면 분석에 포함된 233개의 치아 중 유착이 발생한 치아는 없었고 진행되지 않는 치근 흡수 발생율이 30%로 가장 호발하였으며 진행성 치근흡수는 242개 치아 중 8개로 백악질 층에 손상을 입은 경우 발생한다고 하였다.9 치근 표면의 치주인대 손상 부위가 4 mm2 이상인 경우 유착 발생 가능성이 증가하며 백악질 층이 손상되지 않는 것이 새로운 기능성 치주인대 생성에 중요한 인자임이 알려져 있다.9 치주인대 손상을 최소화하기 위해 Benex root extraction system (Benex; Helmut Zepf Medizintechnik GmbH, Seitingen-Oberflacht, Germany)과 같이 치조골의 손상 없이 발치력을 효율적으로 전달할 수 있는 특별하게 디자인된 기구를 사용하는 것이 유리하다. 반면 이 기구를 사용할 때는 스크류의 적용을 위해 건전한 치질을 삭제해야 하는 단점이 있으며 치근에 금이 발생할 수 있기 때문에 주의해야 한다.10 본 증례에서 외상이 발생한 치아의 구개측 파절편은 개인 치과에서 제거하고, 협측 치질은 잔존한 상태로 내원하였는데 치관부에 겸자로 파지할 수 있는 치아 구조가 존재하였기 때문에 겸자를 이용해 회전력을 가하면서 발치를 시행하였고 치아에 추가적인 손상 없이 치주인대와 분리할 수 있었다. 치경부나 백악법랑경계부 하방에서 수평으로 파절이 발생한 경우 발치 기자(periosteal molt-9 elevator)를 부드럽게 적용하여 탈구시키는 방법을 시행할 수 있다.11 그러나 치주인대 손상 및 변연 골 손상이 증가할 수 있으므로 주의가 필요하다.
본 증례의 치아를 발치하기 전 치주낭 탐침기를 이용해 구개측 치주낭 깊이를 측정하였을 때 치은 연하 6 mm까지 저항감 없이 접근 가능했다. 파절선은 협면 절단측에서 시작하여 구개측 치은연하로 연장되었으며 발치 후 확인한 결과 파절선이 백악법랑경계를 지나 치근 구개측 상부 1/3 경계에서 끝나는 형태로 깊게 형성되어 있었다. 교정적 정출술을 통해 해당 치아의 생물학적 폭경 및 페룰 효과를 위한 치질을 확보하려면 7 - 8 mm의 많은 정출이 필요하였다. 정출량이 증가하면 치근 길이 감소로 최종 수복 후 치관-치근 비율이 불량해진다. 또한 치경부에서 근단부로 갈수록 단면적이 감소하는 치근의 형태적 특성으로 인해 최종 보철물의 치은 변연이 치근의 더 좁은 부위에 형성되어 비심미적인 보철물이 제작되고, 인접치아와 조화를 이루기 어려우며 치근 간 거리가 멀어져 치간 유두의 면적이 지나치게 넓어지거나 치간 공극이 발생할 수 있다.11 이를 보완하기 위해 구개측 파절선이 협측에 비해 치은연하로 많이 연장된 경우에는 재식하는 과정에서 치아를 180°회전하여 식립하는 방법으로 협설측 치조골 높이 차이만큼 정출량을 줄일 수 있다. 본 증례에서도 이러한 방법을 통해 3 mm정도의 정출만으로 최종 수복을 위한 치질을 확보할 수 있었으며 최종 보철 후에도 1 : 1.5 정도의 양호한 치관-치근 비율을 확보할 수 있었다. 또한 치경부에서 사선으로 파절이 발생하여 상부의 치아 파절편을 제거하면, 구개측 치질이 소실되는 경우가 많은데 180°회전하여 재식하는 방법은 구개측에 더 많은 건전한 치아 구조를 확보할 수 있는 방법이며 이것은 응력 분포 측면에서 치아의 전반적인 생체역학적 성능을 향상시키고 잔존 치근-최종 수복물 결합체의 파절 저항성을 개선하는 데 도움이 될 수 있다.12
외상이나 의도적 재식술 후 동요도가 있는 치아에서 연성 고정을 시행하는 것은 치아의 생리적 동요도를 허용해 유착의 위험을 감소시킬 수 있다.13 Berthold 등에 의하면 0.41 mm 사각 교정용 와이어, 0.45 mm multistranded flexible 교정용 와이어, titanium trauma splint등을 이용한 레진-강선 고정은 연성 고정으로 분류할 수 있으며 외상 치아와 인접한 외상 당하지 않은 한 개 또는 두개의 치아를 같이 고정하는 것이 적절하다고 하였다.14 본 증례에서는 외과적 정출술을 시행하여 치아와 치조골 사이에 공간이 존재하고 동요도가 증가한 상태이기 때문에 연성 고정 중에서 강성이 높은 편인 0.016 × 0.022 스테인리스 스틸 와이어를 사용하였다. 외과적 정출술을 시행한 경우 고정 기간은 2주 - 6주이며 발치와와 정출된 치아 사이에 공간이 형성되었기 때문에 의도적 재식술을 시행한 경우보다 고정기간이 연장될 수 있으며 치아 동요도가 높은 경우 6주까지 연장할 수 있다.15 수복은 외과적 정출술 시행 후 6 - 8주 경과 후 시행하는 것이 일반적이다.15 본 증례에서는 3주간 고정을 시행하였으며 와이어 제거 직후에는 약간의 동요도가 있었지만 2달 후 경과관찰을 시행하였을 때는 생리적 동요도만 존재하였고 안정적으로 유지되어 최종 보철 수복을 시행할 수 있었다. 교정적 정출술을 시행하는 경우 치아를 정출하는데 소요되는 기간은 평균 4 - 6주 정도이지만 목표하는 정출량에 따라 기간이 증가하고, 치아가 원래 위치로 돌아가는 재발을 방지하기 위해 최소 4주에서 최대 6개월까지 추가적인 유지기간이 필요하다. 그럼에도 불구하고 교정적 정출술 후 최종 수복을 완료한 후에도 치아 이동이 발생하여 재발하는 것은 자주 발생하는 부작용으로 알려져 있으며 이를 방지하기 위해 섬유절제술을 시행하는 것이 필요하다.7
외과적 정출술을 시행할 때 근관치료를 시행하는 시기에 대해서 이견이 있으나 근관치료를 시행하지 않은 상태에서 외과적 정출술을 시행한 경우 염증성 치근 흡수의 발생을 줄이기 위해 7 - 10일 이내에 근관치료를 시행해야 한다.15 외과적 정출술을 시행하기 전에 근관치료를 시행할 경우 외과적 정출술을 시행하면서 치근단 절제와 역충전을 시행할 수 있고, 치근단 염증 발생 가능성을 낮출 수 있다는 장점이 있다. 그러나 치근단 절제술을 시행할 경우 치근의 길이가 짧아지고 치주인대에 추가적인 손상이 가해지며 구외시간이 길어진다는 단점이 있기 때문에 치근단 부위에 대한 처치의 필요성 유무에 따라 치근단 절제술을 시행할지 선택하여야 한다. 긴 치근, 치근의 미성숙으로 근단공이 열려있는 경우, 치근단 병소가 있는 경우에서는 치근단 절제술을 시행하는 것이 유리하다. 한편, 치관-치근 파절이 발생한 대부분의 치아에서 정출술을 시행하기 전에는 격리와 방습이 불리한 환경인 경우가 많다. 따라서 근관을 멸균된 상태로 밀폐할 수 있는 환경이 아닌 경우 근관치료를 선행하는 것은 추천되지 않는다.16
치근단 절제술을 시행하지 않고 외과적 정출술 후 근관 충전을 시행하는 경우 근관 충전 재료와 방법을 선택하는 데 있어 신중히 고려할 필요가 있다. 본 증례에서는 외래에서 일반적으로 사용하는 레진 계열 실러와 거타퍼챠를 이용해 열연화가압충전(continuous wave technique)을 시행하였다. 충전 과정에서 거타퍼챠가 과충전되지는 않았으나 근단공 밖으로 실러가 누출되어 충전 후 방사선 사진에서 확인이 되었다. 치아가 정출된 상태에서 근관충전을 시행하는 경우, 치근단 골이 흡수된 치아에서와 같이 정상 치근단 조직에서 근관충전을 시행할 때보다 치근단공 밖으로 재료 누출이 잘 발생할 수 있기 때문에 주의가 필요하다. 본 증례에서 사용한 레진 계열 실러는 경화 초기에 세포 독성이 있는 것으로 알려져 있어 정출술 후 치유 과정에서 부정적인 영향을 미쳤을 가능성이 있다. 1년 경과관찰시 임상 증상 없이 완전한 치근단 골 치유가 진행된 것을 확인하였지만 측방 가압법을 사용하거나 열연화가압 충전을 시행할 때 실러 누출에 유의하였다면 더 나은 결과를 기대할 수 있었을 것이다. AH Plus는 개선된 생체 적합성과 우수한 폐쇄성, 접착성으로 임상에서 오랫동안 성공적으로 사용되어 왔다. 그러나 최근 바이오세라믹 실러에 대한 연구와 다양한 상업 제품이 개발되었으며 사용이 편리하고 생체 친화적인 재료로서 임상에서 사용이 증가하고 있다. 바이오세라믹 실러의 생체 친화성은 여러 연구를 통해 검증되었으나 상업적으로 유통되는 제품들의 근관 충전 재료로서의 물성과 이것이 장기적 예후에 미치는 영향에 대해서는 추가적인 연구가 필요한 상황이다. 특히 여러 성분이 미리 혼합되어 있는 주사기 형태의 상품은 근관 내에서 경화가 충분히 진행되지 않거나 용해도가 높아 예측 가능한 결과를 판단하기 어렵다.17 유통되는 재료들의 장기적 예후에 대한 연구가 더 진행된다면 외과적 정출술을 시행할 때도 우선적으로 선택할 수 있는 재료로 고려할 수 있을 것으로 사료된다.
치관-치근 파절이 발생한 경우 파절선의 형태나 해당 치아의 치수 상태, 환자의 교합, 치열, 치주 건강, 나이, 협조도 등 주어진 조건이 다양하기 때문에 여러 인자를 고려하여 환자에게 적합한 치료 방법을 선택하는 것이 중요하다. 본 증례에서 치관-치근 파절이 발생한 상악 중절치에 대해 치아를 발거한 후 180°회전하여 재식하는 외과적 정출술을 시행하였으며 최종 수복물까지 치료기간은 약 9주 소요되었다. 치아를 회전함으로써 회전하지 않은 경우에 비해 정출량이 적어져 약 5 mm의 치근 길이를 더 확보하고, 치주적으로 유리한 결과를 얻을 수 있었으며 1년 경과관찰 시 경조직, 연조직의 치유와 양호한 심미적 결과를 확인하였다.
외과적 정출술은 표준화된 술식이 정립되어 있지는 않지만 단기간에 치아를 재위치시킬 수 있는 치료법으로서, 다년간의 임상 경험을 통해 덜 침습적이고 더 예측 가능한 치료방법으로 고려되고 있다. 상악 전치의 치관-치근 파절에서 구개측 파절선이 치은연하로 연장된 경우 상악 전치부 치조골의 해부학적 형태를 고려했을 때 치아를 발거하여 180°회전하여 식립하는 것은 치아 정출량을 줄일 수 있는 방법이다. 이는 정출량이 증가했을 때 발생할 수 있는 치아 동요도, 치관 폭경 감소로 인한 비심미적 수복 등의 부작용을 줄여 환자의 만족도를 높일 수 있다.
Acknowledgements
This study was supported by the National Research Foundation of Korea (NRF) grant funded by the Korean government (MSIP) (Nos. 2022R1A2C1010249 and 2022R1A4A1029312).
References
1. Tsilingaridis G, Malmgren B, Andreasen JO, Malmgren O. 2012; Intrusive luxation of 60 permanent incisors: a retrospective study of treatment and outcome. Dent Traumatol. 28:416–22. DOI: 10.1111/j.1600-9657.2011.01088.x. PMID: 22107160.
2. Krastl G, Filippi A, Zitzmann NU, Walter C, Weiger R. 2011; Current aspects of restoring traumatically fractured teeth. Eur J Esthet Dent. 6:124–41.
3. Fariniuk LF, Ferreira EL, Soresini GC, Cavali AE, Baratto Filho F. 2003; Intentional replantation with 180 degrees rotation of a crown-root fracture: a case report. Dent Traumatol. 19:321–5. DOI: 10.1046/j.1600-4469.2003.00216.x. PMID: 15023000.
4. Tegsjõ U, Valerius-Olsson H, Olgart K. 1978; Intra-alveolar transplantation of teeth with cervical root fractures. Swed Dent J. 2:73–82.
5. Plotino G, Abella Sans F, Duggal MS, Grande NM, Krastl G, Nagendrababu V, Gambarini G. 2020; Clinical procedures and outcome of surgical extrusion, intentional replantation and tooth autotransplantation - a narrative review. Int Endod J. 53:1636–52. DOI: 10.1111/iej.13396. PMID: 32869292.
6. Andreasen JO. 1981; Relationship between cell damage in the periodontal ligament after replantation and subsequent development of root resorption. A time-related study in monkeys. Acta Odontol Scand. 39:15–25. DOI: 10.3109/00016358109162254. PMID: 6943905.
7. Cordaro M, Staderini E, Torsello F, Grande NM, Turchi M, Cordaro M. 2021; Orthodontic Extrusion vs. Surgical Extrusion to Rehabilitate Severely Damaged Teeth: A Literature Review. Int J Environ Res Public Health. 18:9530. DOI: 10.3390/ijerph18189530. PMID: 34574454. PMCID: PMC8469087.
8. Bach N, Baylard JF, Voyer R. 2004; Orthodontic extrusion: Periodontal considerations and applications. J Can Dent Assoc. 70:775–80.
9. Elkhadem A, Mickan S, Richards D. 2014; Adverse events of surgical extrusion in treatment for crown-root and cervical root fractures: a systematic review of case series/reports. Dent Traumatol. 30:1–14. DOI: 10.1111/edt.12051. PMID: 23796195.
10. Hong B, Bulsara Y, Gorecki P, Dietrich T. 2018; Minimally invasive vertical versus conventional tooth extraction: An interrupted time series study. J Am Dent Assoc. 149:688–95. DOI: 10.1016/j.adaj.2018.03.022. PMID: 29803427.
11. Jenisha J, Geeth Deepika KG, Sherwood IA, Abirami AA. 2024; Survival evaluation of surgical extrusion for the management of complicated crown-root fractured maxillary incisors: A clinical study. Aust Endod J. 50:629–39. DOI: 10.1111/aej.12889. PMID: 39253870.
12. Liu Y, Huang X, Ke H, Song X, Huang X, Sun S. 2024; Influence of Access Cavities on Maxillary Central Incisor Fracture Resistance: Finite Element Study. Int Dent J. 74:1248–57. DOI: 10.1016/j.identj.2024.04.017. PMID: 38692963. PMCID: PMC11551575.
13. Kahler B, Hu JY, Marriot-Smith CS, Heithersay GS. 2016; Splinting of teeth following trauma: a review and a new splinting recommendation. Aust Dent J. 61 Suppl 1:59–73. DOI: 10.1111/adj.12398. PMID: 26923448.
14. Berthold C, Auer FJ, Potapov S, Petschelt A. 2011; Influence of wire extension and type on splint rigidity - evaluation by a dynamic and a static measuring method. Dent Traumatol. 27:422–31. DOI: 10.1111/j.1600-9657.2011.01033.x. PMID: 21790987.
15. Plotino G, Abella Sans F, Duggal MS, Grande NM, Krastl G, Nagendrababu V, Gambarini G. 2022; Present status and future directions: Surgical extrusion, intentional replantation and tooth autotransplantation. Int Endod J. 55 Suppl 3:827–42. DOI: 10.1111/iej.13723. PMID: 35279858.
16. Das B, Muthu MS. 2013; Surgical extrusion as a treatment option for crown-root fracture in permanent anterior teeth: a systematic review. Dent Traumatol. 29:423–31. DOI: 10.1111/edt.12054. PMID: 23802693.
17. Saghiri MA, Amanabi M, Samadi E, Asatourian A, Samadi F, Morgano SM. 2024; Evaluating the Solubility of Endodontic Sealers in Response to Static and Dynamic Stress: An In Vitro Study. Eur Endod J. 9:231–5. DOI: 10.14744/eej.2023.62207. PMID: 39213457. PMCID: PMC11413601.
Fig. 1
(A) Preoperative radiograph of maxillary right central incisor. (B) Photograph of palatal probing depth on maxillary right central incisor.
Fig. 2
Surgical extrusion. (A) Photograph of extracted maxillary right central incisor, (B) Photograph of replanted maxillary right central incisor after 180° rotation. Temporary filling material is partially removed for resin wire splint procedure. Intraoral photograph, (C) Buccal view, (D) Palatal view.
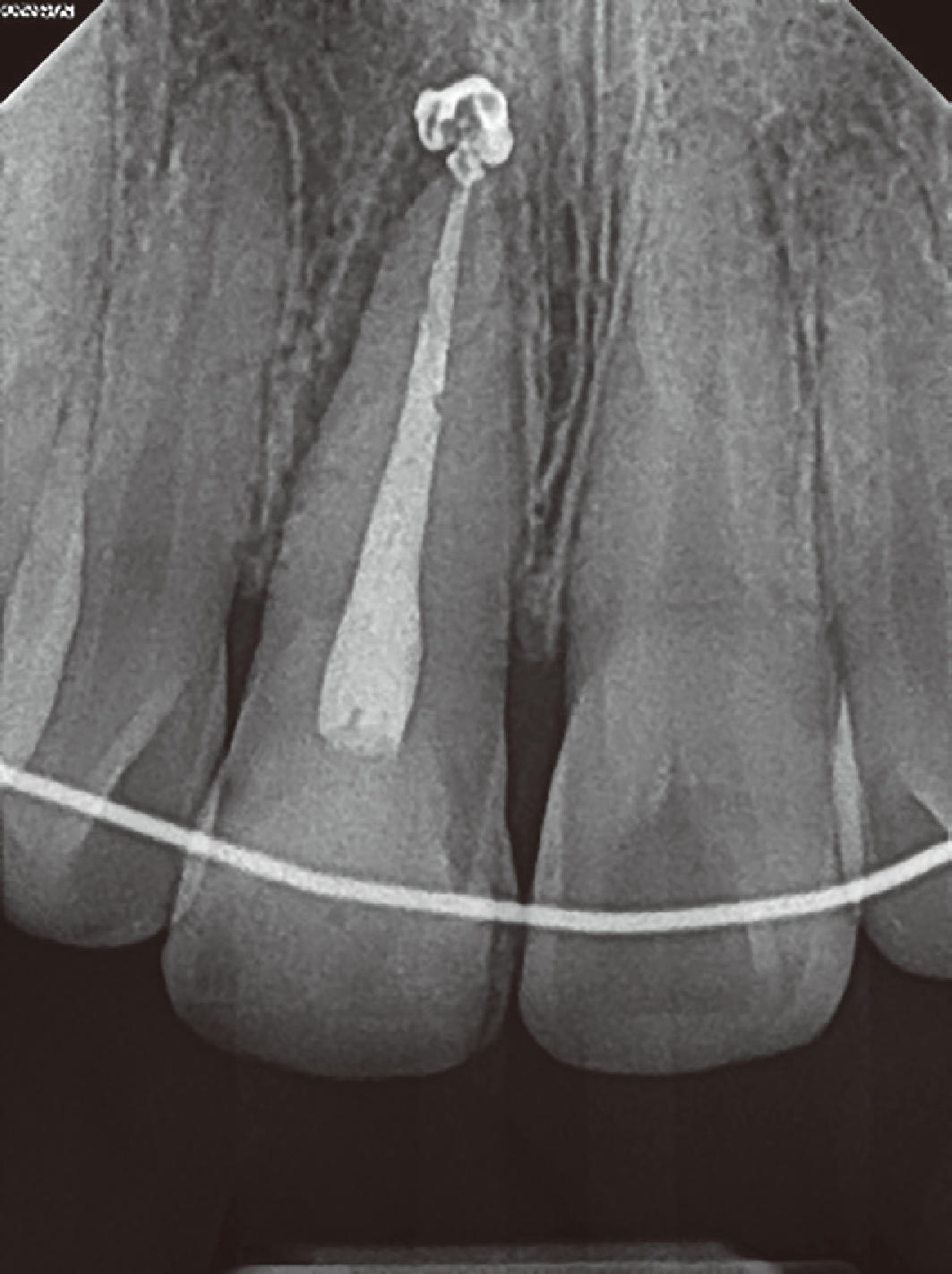
Fig. 4
2 months follow up. (A) Radiograph of maxillary right central incisor, (B) Temporary crown state.



PDF
Citation
Print



XML Download