Abstract
This study highlights the role of intraoperative sonography (IOS) using a high-frequency transducer in living donor liver transplantation (LDLT) with modified right-lobe grafts. IOS is pivotal for the real-time assessment of vascular patency and anastomotic integrity, providing crucial insights into hepatic artery, portal vein, and hepatic vein configurations. The technique's high spatial resolution allows for the early detection of potential vascular complications, which are significant predictors of postoperative outcomes. Through detailed illustrations of vascular anastomoses and hemodynamics, this article discusses technical and anatomical considerations of IOS and demonstrates its effectiveness in screening and managing vascular complications in LDLT, thereby enhancing surgical precision and patient safety.
The evolution of living donor liver transplantation (LDLT) provides the only realistic option to overcome organ shortages for patients with end-stage liver disease, particularly in many Asian countries where organ procurement from brain-dead donors is restricted. For LDLT, the graft-to-recipient weight ratio (GRWR) should be greater than 0.8%, to meet the metabolic demand [1]. The modified right-lobe graft is preferred and left-lobe graft, right posterior section graft, or dual grafts may be an alternative option in adult-to-adult LDLT. In addition to ensuring sufficient graft volume, establishing optimal hepatic inflow (hepatic artery [HA] and portal vein [PV]) and outflow (hepatic vein [HV] and bile duct) is crucial for the success of LDLT.
Early detection of vascular complications and their timely and appropriate management can contribute to a reduction in postoperative morbidity and mortality after LDLT [2]. Intraoperative sonography (IOS) can offer the earliest chance of the evaluation of vascular patency. Particularly in LDLT with a right-lobe graft, the open space around the hepatic hilum allows direct access to the vascular anastomoses using a high-frequency transducer, which permits high spatial resolution. Therefore, together with conventional Doppler parametric evaluation, IOS using high-frequency transducer can demonstrate the configuration of the vascular anastomosis as it is and may play a crucial role as a screening for vascular complication [3].
Therefore, this article aims to review technical and anatomic aspects of IOS with high-frequency transducer during the LDLT, to illustrate anastomotic configuration of hepatic vasculature and its hemodynamics, and to present various vascular complications.
The linear array transducer of high frequency (8-12-MHz), also equipped with color Doppler flow and pulsed Doppler imaging capabilities, is preferred for IOS.
The radiologist should scrub in using standard sterile surgical practices and wear typical surgical apparel, including a gown, mask, cap, and gloves. The transducer should be clothed in a sterile sheath filled with sterile gel and the cable in a sterile sleeve.
The examination is usually performed from the patient’s right side. The operating table tilting in 10o-20o right anterior oblique is preferred to avoid fluid spillage. First, the vascular anastomoses are carefully inspected visually for sonographic localization. Secondly, a warmed saline irrigation solution is injected into the abdominal cavity to enable the ultrasound beam path. Then, the transducer is placed over the vascular anastomoses, with a short (1-2 cm) distance [4]. Direct contact between the transducer and the vessels is not necessary. Particularly, it is important to avoid applying pressure on the vessels.
Despite technical advances in LDLT, including the adoption of surgical loupes and operative microscopes [5], HA anastomosis remains challenging due to its small caliber (2-3 mm) and susceptibility to complications such as thrombosis, stenosis, and dissection [6,7].
It has been shown that high-frequency (8-12-MHz) IOS, with superb resolution visualizing reverberation echo from each of anastomotic stitches, is capable of assessing the HA anastomosis as it is [3] (Fig. 1). There may be a technical difficulty in case of vascular tortuosity and small size of the vessels.
To detect HA stenosis, the diameter of HA anastomosis is first measured, followed by color and spectral Doppler US of the graft HA to identify abnormal Doppler parameters indicative of HA insufficiency, as follows: peak systolic velocity <30 cm/s, resistive index <0.5, and systolic acceleration time >0.08 seconds [3] (Fig. 2).
The IOS evaluation of HA should include not only the anastomosis but also the perianastomotic graft and recipient HA to identify thrombus, intimal flap, or mural thickening suggestive of HA dissection.
HA thrombosis after LDLT occurs with an incidence of 1.4% [8]. Its relatively low prevalence compared to cadaveric donor liver transplantation (LT) is expected, given that LDLT offers the advantage of significantly reduced graft preservation time, often to less than a few hours. On sonographic evaluation, thrombus typically appears as echogenic filling defect within the arterial lumen. Lack of flow within the intrahepatic arterial branches can be documented by IOS (Fig. 3) [4].
HA dissection is an uncommon complication after LT. Several authors have suggested that this condition may be attributed to a honeycomb-like intimal deformity of the recipient’s HA in chronic liver disease [9]. Intimal dissection of HA can extend both to the graft HA or to the proximal common hepatic artery of the recipients. IOS may demonstrate double lumen of HA, intimal flap, and no color flow signal in the false lumen, with or without significant compromise of intrahepatic arterial flow distal to the dissection (Fig. 4). Significant compromise of intrahepatic arterial flow in HA dissection is suspected when a combination of resistive index <0.5 and systolic acceleration time >0.08 seconds are present, or when no detectable flow is present at graft HA [10].
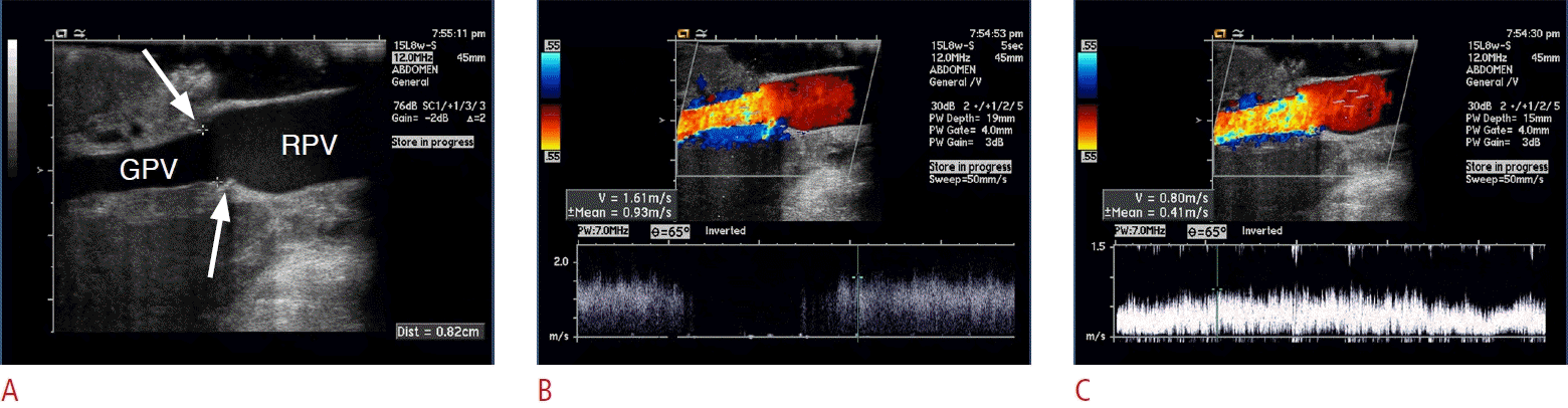
In uncomplicated cases, IOS evaluation of the PV anastomosis, straight and large enough, is relatively easy. Significant PV stenosis is suspected, when there are (1) a PV diameter of ≤2.5 mm, (2) Doppler abnormality of an acceleration of flow at the stricture or a poststenotic jet of PV flow, or (3) both [11]. There may be size discrepancy between the donor and recipient PVs at the anastomotic site, producing considerable velocity increase across the anastomosis, without significant stenosis (Fig. 5). It has been shown that there is no significant relationship between the graft PV velocity and anastomotic stenosis [12]. Flow velocity at the graft PV may vary depending on factors such as flow modulation or the degree of preexisting portal hypertension [13].
PV complication may be an issue in recipients with chronic partial thrombosis, wall calcification, and luminal narrowing of PV, which can be managed by simple thrombectomy, an eversion technique and/or incision technique, intraoperative metallic stent insertion via the inferior mesenteric vein, or a total portal removal including the thrombus with graft interposition [14]. In these cases, unexpectedly, thromboembolus may occlude intrahepatic PV branch, hence IOS need a thorough review of not only PV anastomosis but intrahepatic PV branches. Similarly, thromboembolus of PV may be found in patients with portosystemic collateral embolization [15] or splenectomy. IOS show intraluminal filling defect in case of PV thromboembolus (Fig. 6).
In small-for-size grafts (defined as GRWR <0.8%), excessive portal flow may cause graft damage, which has been a topic of much debate recently. Some investigators advocate portal inflow modulation might be required in order to improve the early postoperative outcome when PV pressure exceeds 25 mmHg [16]. IOS is a noninvasive and effective technique for quantification of PV flow [17]. Software accommodated in the ultrasonography machine automatically calculates PV flow based on the diameter, and maximal and minimal velocity which we enter; Flow volume=Area×Mean velocity×60 (mL/min) [18]. Excessive portal inflow for small grafts may be characterized by portal flow exceeding 250-260 mL/min per 100 g of graft weight based on previous studies [16].
A hallmark that differentiates LDLT with a right lobe graft from cadaveric whole-liver transplantation is the presence of multiple hepatic venous outflows. Although the right HV (RHV) typically serves as the primary drainage route for the right-lobe graft, a substantial portion of right anterior sector drains into the middle HV (MHV). However, because the MHV is usually preserved in the donor for safety reasons, the right anterior sector is prone to congestion unless the corresponding HV tributaries are reconstructed using an interposed venous conduit. Similarly, a considerable portion of the right posterior sector may drain into the inferior RHV (IRHV). Therefore, without anastomosis of IRHV to inferior vena cava, the right posterior sector may also become congested. Nonetheless, the indication for reconstruction of these venous tributaries remains subject of debate, as the development of intrahepatic veno-venous collaterals may save these areas from congestion [4].
When the MHV tributaries of the anterior sector are large enough (>5 mm caliber), they are reconstructed via interposition vein graft (autologous [recipient’s great saphenous vein, external iliac vein, umbilical collateral vein], cryopreserved cadaveric cavo-iliac vein, or polytetrafluoroethylene grafts) into the recipient’s MHV and/or left HVs or inferior vena cava) in our institution. Similarly, inferior RHVs are directly anastomosed to the inferior vena cava, if large enough (>5 mm caliber). All of these HVs, together with RHV, are confidently evaluated by IOS (Fig. 7).
HV complications are relatively common in LDLT with modified right-lobe graft. IOS visualize anastomotic site directly and hemodynamic effect by changes in flow velocity and waveform [19]. Pathologic state that compromises the HVs produce a dampening of the Doppler tracing, with loss of various component of the normal triphasic pattern (Fig. 8). There has been controversy regarding as the relationship between the HV velocity within the graft and anastomotic stenosis [12,20]. Particularly in MHV tributaries and interposition vein graft, there are tendency of very rapid thrombus formation with flow stasis. Thrombus may appear as echogenic filling defect within the lumen in IOS (Fig. 9) [21].
High-resolution IOS with a high-frequency transducer enables precise visualization of the anastomotic configuration of hepatic vasculatures. Thus, it enables radiologists to make an earliest diagnosis of various vascular complications of LDLT, and subsequently it enables the surgeon to make a timely and appropriate management.
Notes
Author Contributions
Conceptualization: Kim KW, Song GW. Data acquisition: Kim KW, Choi ES. Data analysis or interpretation: Kim JS, Choi ES. Drafting of the manuscript: Kim JS, Choi ES. Critical revision of the manuscript: Kim KW, Song GW. Approval of the final version of the manuscript: all authors.
References
1. Lee SG, Park KM, Hwang S, Lee YJ, Kim KH, Ahn CS, et al. Adult-to-adult living donor liver transplantation at the Asan Medical Center, Korea. Asian J Surg. 2002; 25:277–284.

2. Gad EH, Alsebaey A, Lotfy M, Eltabbakh M, Sherif AA. Complications and mortality after adult to adult living donor liver transplantation: a retrospective cohort study. Ann Med Surg (Lond). 2015; 4:162–171.

3. Mun HS, Kim KW, Song GW, Ahn CS, Kim SY, Hwang S, et al. Evaluation of the hepatic artery anastomosis by intraoperative sonography with high-frequency transducer in right-lobe graft living donor liver transplantation. J Clin Ultrasound. 2010; 38:10–16.

4. Waldman DL, Lee DE, Bronsther O, Orloff MS. Use of intraoperative ultrasonography during hepatic transplantation. J Ultrasound Med. 1998; 17:1–6.

5. Sugawara Y, Makuuchi M. Technical advances in living-related liver transplantation. J Hepatobiliary Pancreat Surg. 1999; 6:245–253.

6. Kim JS, Kim KW, Choi SH, Jeong SY, Kwon JH, Song GW, et al. Hepatic artery occlusion after liver transplantation in patients with Doppler ultrasound abnormality: increasing sensitivity of contrast-enhanced ultrasound diagnosis. Korean J Radiol. 2019; 20:459–468.

7. Kim JS, Kim KW, Lee J, Kwon HJ, Kwon JH, Song GW, et al. Diagnostic performance for hepatic artery occlusion after liver transplantation: computed tomography angiography versus contrast-enhanced ultrasound. Liver Transpl. 2019; 25:1651–1660.

8. Lin CC, Chuang FR, Wang CC, Chen YS, Chen CL, Liu YW, et al. Early postoperative complications in recipients of living donor liver transplantation. Transplant Proc. 2004; 36:2338–2341.

9. Asonuma K, Ohshiro H, Izaki T, Okajima H, Ueno M, Kodera A, et al. Rescue for rare complications of the hepatic artery in living donor liver transplantation using grafts of autologous inferior mesenteric artery. Transpl Int. 2004; 17:639–642.

10. Jeong SY, Kim KW, Kim JS, Lee S, Kim SY, Song GW, et al. Doppler ultrasonography in liver transplant recipients with hepatic artery dissection: association of Doppler abnormalities with disease severity. Br J Radiol. 2018; 91:20180182.

11. Lee J, Ben-Ami T, Yousefzadeh D, Ramirez J, Funaki B, Rosenblum J, et al. Extrahepatic portal vein stenosis in recipients of living-donor allografts: Doppler sonography. AJR Am J Roentgenol. 1996; 167:85–90.

12. Choi JY, Lee JY, Lee JM, Kim SH, Lee MW, Han JK, et al. Routine intraoperative Doppler sonography in the evaluation of complications after living-related donor liver transplantation. J Clin Ultrasound. 2007; 35:483–490.

13. Jang YJ, Kim KW, Jeong WK, Shin YM, Song GW, Hwang S, et al. Influence of preoperative portal hypertension and graft size on portal blood flow velocity in recipient after living donor liver transplantation with right-lobe graft. AJR Am J Roentgenol. 2010; 194:W165–W170.

14. Egawa H, Tanaka K, Kasahara M, Takada Y, Oike F, Ogawa K, et al. Single center experience of 39 patients with preoperative portal vein thrombosis among 404 adult living donor liver transplantations. Liver Transpl. 2006; 12:1512–1518.

15. Jang HY, Kim KW, Kwon JH, Kwon HJ, Kim B, Seo N, et al. N-butyl-2 cyanoacrylate (NBCA) embolus in the graft portal vein after portosystemic collateral embolization in liver transplantation recipient: what is the clinical significance? Acta Radiol. 2017; 58:1326–1333.

16. Troisi R, Cammu G, Militerno G, De Baerdemaeker L, Decruyenaere J, Hoste E, et al. Modulation of portal graft inflow: a necessity in adult living-donor liver transplantation? Ann Surg. 2003; 237:429–436.

17. Marcos A, Olzinski AT, Ham JM, Fisher RA, Posner MP. The interrelationship between portal and arterial blood flow after adult to adult living donor liver transplantation. Transplantation. 2000; 70:1697–1703.

18. Kawasaki T, Itani T, Mimura J, Komori H. Portal venous volume flow: in vivo measurement by time-domain color-velocity imaging. Ultrasound Med Biol. 1999; 25:915–921.

19. Kim KW, Kim TK, Kim SY, Kim MJ, Park MS, Lee MG, et al. Doppler sonographic abnormalities suggestive of venous congestion in the right lobe graft of living donor liver transplant recipients. AJR Am J Roentgenol. 2007; 188:W239–W245.

Fig. 1.
Normal grayscale intraoperative ultrasonograms of hepatic artery.
Intraoperative ultrasonogram (A) shows short linear echoes encircling the lumen (arrowheads), suggesting reverberation echo from each of anastomotic stitches. The color Doppler (B) and spectral (C) ultrasonograms show normal color flow and spectral pattern of graft hepatic artery. GHA, graft hepatic artery; RHA, right hepatic artery.
Fig. 2.
Hepatic artery stenosis on intraoperative ultrasonograms.
A. Grayscale intraoperative sonogram shows mild waisting and angulation around the anastomosis (dashed circle). B. Color Doppler ultrasonogram shows weak flow of the graft hepatic artery, marked as dark blue color (arrows). C. Spectral Doppler ultrasonogram shows tardus parvus waveform of graft hepatic artery, with decrease of resistive index (<0.5) and prolonged systolic acceleration time (>0.08 seconds). D. Following the revision of the anastomosis, spectral Doppler ultrasonogram shows restored normal waveform of graft hepatic artery.
Fig. 3.
Hepatic artery thrombosis on intraoperative ultrasonograms.
Intraoperative ultrasonograms in longitudinal (A) and tangential direction (B) show echogenic filling defect within the perianastomotic lumen which indicates a thrombus (arrows). Mild waisting in the anastomosis is also noted (arrowheads in A).
Fig. 4.
Hepatic artery dissection on intraoperative ultrasonograms.
A, B. Grayscale intraoperative sonograms show intimal flap (arrows) in the recipient hepatic artery lumen. Hepatic artery anastomosis is noted by short reverberation echoes from the stitches (arrowheads in A). C. Color Doppler ultrasonogram shows absence of color flow in the false lumen (arrowheads). Flow in the true lumen is not compromised (arrows). D. Doppler ultrasonogram shows spectral waveform of the graft hepatic artery within normal limit.
Fig. 5.
Size discrepancy between the donor and recipient portal veins, without significant stenosis.
A. Grayscale intraoperative ultrasonograms show abrupt caliber change at the anastomosis (arrows). B, C. Color Doppler ultrasonograms show aliasing effect at the donor’s portal vein due to jet flow induced by the size discrepancy. Doppler spectrogram measures peak velocity of the portal flow at both sides of the donor’s (B) and recipient’s (C) portal veins. It reveals acceleration of peak portal flow velocity, approximately two times, through the portal vein anastomosis. GPV, graft portal vein; RPV, recipient portal vein.
Fig. 6.
Portal vein thromboembolus.
A. Coronal computed tomography image during the portal venous phase, obtained for preoperative work-up, shows thrombus (arrows) from the portal confluence to extrahepatic portal vein. B. Grayscale intraoperative ultrasonogram shows no residual thrombus at the extrahepatic portal vein after surgical thrombectomy and portal vein stent (asterisk) placement. Portal vein anastomosis is also noted (dashed circle). C, D. However, intraoperative ultrasonograms reveal partial thrombus at the intrahepatic portal branch, seen as filling defect with mild echogenicity (arrows). E, F. Color Doppler intraoperative ultrasonograms show partial void of color flow signal at the portal branches with thrombus (arrowheads). It would be supposed that the thrombus at the extrahepatic portal vein may have been incompletely removed and migrated distally after the anastomotic reconstruction and reperfusion.
Fig. 7.
Multiple hepatic venous-outflow reconstruction.
A. An illustration shows multiple hepatic venous-outflow reconstruction, a most characteristic feature of living donor liver transplantation with modified right-lobe graft. B-F. All of these hepatic veins are clearly demonstrated by intraoperative sonography with high-frequency transducer. IVC, inferior vena cava; IVG, interposition vein graft; RHV, right hepatic vein; IRHV, inferior right hepatic vein; V8, middle hepatic vein tributary in segment 8; V5, middle hepatic vein tributary in segment 5.
Fig. 8.
Tight stenosis at the venous anastomosis.
A. Grayscale intraoperative ultrasonogram shows tight stenosis at the anastomosis between right hepatic vein and inferior vena cava (arrows). Color Doppler ultrasonogram (B) and Doppler spectrogram (C) show focal aliasing of color signal at anastomosis and monotonous venous spectral waveform in the graft, which represent significantly disturbed hepatic venous-outflow. D. Computed tomography maximum intensity projection image obtained during hepatic venous phase on postoperative day 1 demonstrate tight stenosis at the anastomosis (arrow) between the right hepatic vein and inferior vena cava.
Fig. 9.
Thrombus in interposed venous conduit.
A, B. Grayscale (A) and color Doppler (B) intraoperative ultrasonograms of the middle hepatic vein tributary in segment 8 (V8) and interposing venous conduit, show echogenic intraluminal thrombus (arrows) and color signal void. C. Axial computed tomography scan obtained during hepatic arterial phase on postoperative day 1 demonstrates nonopacification of V8 (arrowheads) and well-demarcated, wedge-shaped area of hypoattenuation (arrows) in right anterior sector that corresponds to draining territory of V8. Vertex of wedge-shaped low attenuation area typically points to inferior vena cava. D. Hepatic venography reveals intraluminal thrombus of the middle hepatic vein tributary in V8, seen as filling defect (arrows). Endovascular stent placement was performed.



PDF
Citation
Print



XML Download