Journal List > J Rheum Dis > v.32(3) > 1516091972

Suzuki, Komai, Koyama, Koda, Ueha, Shoda, and Fujio: Resolution of long-lasting laryngeal manifestations using glucocorticoids and tumor necrosis factor-α inhibitor therapy in a patient with mouth and genital ulcers with inflamed cartilage syndrome

Abstract

Mouth and genital ulcers with inflamed cartilage (MAGIC) syndrome is a rare disorder characterized by features of both relapsing polychondritis (RP) and Behçet’s disease (BD), with multi-organ involvement, including inflammation and destruction of cartilaginous tissues. This report describes a patient with MAGIC syndrome who responded to immunosuppressive therapy for long-lasting laryngeal inflammation and provides the first description of a patient with MAGIC syndrome positive for human leukocyte antigen (HLA)-A26. Here we present a 49-year-old male with recurrent oral and genital ulcers, hoarseness, and swallowing difficulties. Laryngoscopy showed bilateral vocal fold immobility, and contrast-enhanced magnetic resonance imaging (MRI) demonstrated inflammation in the cricoid, arytenoid, and auricular cartilages. The patient was diagnosed with MAGIC syndrome based on the presence of both RP and BD criteria. Treatment with high-dose corticosteroids and adalimumab biosimilar resulted in significant improvement in hoarseness and MRI findings of cartilage inflammation. This case highlights the effective use of immunosuppressive therapy for managing long-lasting laryngeal involvement in MAGIC syndrome, potentially avoiding the need for invasive interventions such as tracheostomy.

INTRODUCTION

Relapsing polychondritis (RP) is characterized by inflammation and destruction of cartilaginous tissues and affects a variety of organs including the ears, eyes, nose, peripheral joints, tracheobronchial tree, larynx, and blood vessels [1,2]. Mouth and genital ulcers with inflamed cartilage (MAGIC) syndrome is a rare entity that exhibits the clinical features of both RP and Behçet’s disease (BD). A recent observational cohort and systematic review indicated that MAGIC syndrome preferentially involves the ocular, cutaneous, gastrointestinal, and central nervous systems, with a higher prevalence of aortitis, Raynaud phenomenon, and anti-collagen type II antibodies compared with non-MAGIC RP; however, laryngeal involvement in MAGIC syndrome has not been clearly reported [1]. Here, we report the patient with MAGIC syndrome to undergo effective immunosuppressive therapy for long-lasting laryngeal inflammation; treatment efficacy is demonstrated using images from before and after treatment. This is also the first report to describe a patient with MAGIC syndrome who is positive for human leukocyte antigen (HLA)-A26.

CASE REPORT

A 49-year-old male with a history of recurrent noninfectious genital ulcers was referred to our department for recurrent painful oral ulcers for 20 years, worsening hoarseness for 4 years, and swallowing difficulty for 1 year. The cause of these symptoms had not been determined at other hospitals, and although tracheostomy was recommended, the patient refused this intervention. Three months prior to referral, he was diagnosed with a benign esophageal ulcer that improved after taking vonoprazan. This retrospective chart review and publication were approved by the Ethics Committee of The University of Tokyo (approval number: 11592). Written informed consent was obtained from the patient.
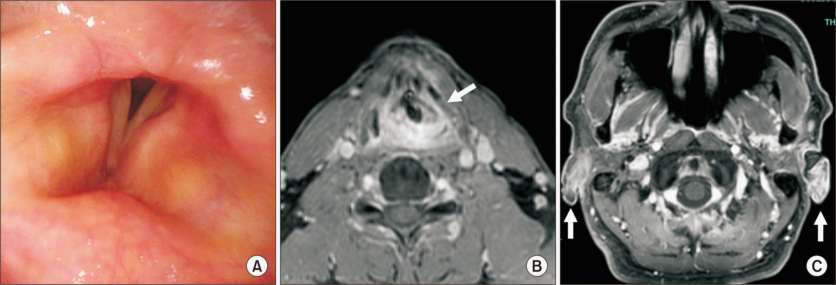
Upon presentation to our department, the patient described hoarseness and difficulty breathing with exertion. Physical examination revealed oral ulcers and a skin rash similar to folliculitis on his left lower leg, but genital ulcers and auricular abnormalities were not observed. Laboratory investigation revealed a normal erythrocyte sedimentation rate and C-reactive protein level; autoantibodies (including rheumatoid factor, antinuclear antibody, and antineutrophil cytoplasmic antibody) were not detected. Viral tests for hepatitis B virus, hepatitis C virus, and human immunodeficiency virus, along with a T-SPOT test for mycobacterial infection, were all negative. Furthermore, electromyography tests on the sternocleidomastoid and orbicularis oris muscles were normal, and a repetitive stimulation study of the facial and accessory nerves showed no evidence of waning. Serologic HLA analysis demonstrated A24, A26, B54, and B61. Laryngoscopy revealed bilateral vocal fold immobility with impairment of adduction and abduction (Figure 1A and Supplementary Video 1). Contrast-enhanced magnetic resonance imaging (MRI) demonstrated inflammation in the cricoid and arytenoid cartilages, the surrounding tissue, and bilateral auricular cartilages (Figure 1B and 1C). We could not biopsy the patient’s laryngeal cartilage because he did not give consent, and histologic examination of an auricular cartilage biopsy did not reveal chondritis. He met the diagnostic criteria for BD established by the Behçet’s Disease Research Committee of Japan [3] and had auricular and laryngotracheal chondritis detected by MRI.
The patient’s oral ulcers and difficulty breathing with exertion gradually decreased over 1 month of treatment with prednisolone (1 mg/kg/day). His hoarseness, measured by a visual analogue scale, decreased from a score of 73/100 before treatment to 37/100 at 1 month after starting treatment. Contrast-enhanced MRI 4 weeks after starting treatment demonstrated improvement of the inflammation in the laryngeal and auricular cartilages (Figure 2A and 2B). Since his laryngotracheal and auricular chondritis responded to corticosteroids, the diagnosis of RP was made according to Damiani’s diagnostic criteria [4], and the patient was diagnosed with MAGIC syndrome.
Follow-up laryngoscopy performed 3 months after starting treatment revealed improvement in bilateral vocal fold mobility (Figure 2C and Supplementary Video 2). The patient’s long-lasting clinical findings had improved with prednisolone, and the addition of an adalimumab biosimilar allowed us to taper the glucocorticoid dose. After approximately 1 year, prednisolone was successfully tapered off, with continued treatment using adalimumab biosimilar at a dose of 40 mg biweekly. His clinical findings have remained stable, and the glucocorticoid dose has been successfully reduced and discontinued with no exacerbation of laryngeal symptoms.

DISCUSSION

Approximately half of patients with RP have laryngeal involvement and often manifest symptoms such as hoarseness, dyspnea, cough, and stridor; tracheostomy is occasionally required to avoid serious complications [2]. In contrast, only 3 of the 45 previously reported patients with MAGIC syndrome had laryngeal inflammation [5-7], and only two of them underwent tracheostomy [5,7]. Our patient experienced hoarseness for 4 years, but his laryngeal symptoms that were later diagnosed as being associated with MAGIC syndrome resolved with immunosuppressive therapy; tracheostomy was not required. As tracheostomy is associated with an increase in short-term mortality [2], this patient’s therapeutic response, even with long-lasting laryngeal inflammation, provides useful knowledge for clinicians.
This patient’s diagnosis was ultimately determined to be MAGIC syndrome but considering the episodic and relapsing nature of both BD and RP, as well as the diagnostic challenges posed by their overlapping features, the possibility that cartilage inflammation in BD may be misinterpreted as RP remains. One study demonstrated that imaging findings from CT and MRI correlate more strongly with clinical markers of disease activity in RP than with inflammatory laboratory markers [8]. This observation underscores the clinical value of imaging modalities such as MRI in diagnosing conditions like MAGIC syndrome, especially when histopathological confirmation is not available.
HLA typing revealed that this patient with MAGIC syndrome had HLA-A26, which is associated with the coexistence of uveitis and gastrointestinal involvement in patients with BD [9]. However, our patient had gastrointestinal involvement but not uveitis. Since HLA-A26 is associated with uveitis and its severity in BD patients with HLA-B51 [9] and considering the importance of strong immunosuppression to evaluate the effects of long-lasting inflammation in this patient, we determined the therapeutic strategy. Given the overlap in immunological backgrounds and clinical features between BD and RP, patients with MAGIC syndrome harboring HLA-A26 have not been documented previously [10], further research is needed to better understand this relationship, especially in the context of MAGIC syndrome.

SUMMARY

This case highlights the importance of imaging studies for a patient with hoarseness to evaluate for laryngeal inflammation. It also demonstrates that immunosuppressive therapy may be effective, even for patients with longstanding laryngeal chondritis.

SUPPLEMENTARY DATA

Supplementary data can be found with this article online at https://doi.org/10.4078/jrd.2024.0144
Supplementary Video 1. Bilateral vocal fold movements are impaired in both adduction and abduction.
Supplementary Video 2. Bilateral vocal fold movement impairment is markedly improved.

ACKNOWLEDGMENTS

None.

Notes

FUNDING

None.

CONFLICT OF INTEREST

TK has received speaking fees and/or honoraria from Tanabe Mitsubishi, Pfizer, AbbVie, Chugai, Daiichi-Sankyo, Eli Lilly, Eisai, Novartis, Taisho Pharmaceutical, and Janssen and received grants and speaking fees from GlaxoSmithKline. HS has received fees from Pfizer, Bristol-Myers Squibb, Eli Lilly, Sanofi, AbbVie, GlaxoSmithKline, Gilead, Boehringer Ingelheim, Jansen, Novartis, Chugai, Astellas, Eisai, Asahi Kasei, Taisho Pharmaceutical, AstraZeneca, and Daiichi-Sankyo. KF has received speaking fees and/or honoraria from Tanabe Mitsubishi, Bristol-Myers Squibb, Eli Lilly, Chugai, Jansen, Pfizer, Ono, AbbVie, Ayumi, Astellas, Sanofi, Novartis, Daiichi Sankyo, Eisai, Asahi Kasei, Taisho, and AstraZeneca and has received research grants from Tanabe Mitsubishi, Bristol-Myers Squibb, Eli Lilly, Chugai, Eisai, Tsumura, AbbVie, and Asahi Kasei. The other authors do not have potential conflicts of interest relevant to this article.

AUTHOR CONTRIBUTIONS

TS and TK contributed to manuscript writing (original draft preparation), conceptualization, and visualization. MK, RU, HS, and KF contributed to manuscript writing (reviewing and editing). MK, KK, and RU contributed to collection of patient data. All authors have read and approved the final manuscript.

REFERENCES

1. Luo Y, Bolek EC, Quinn KA, Wells K, Rose E, Sikora K, et al. 2022; A prospective observational cohort study and systematic review of 40 patients with mouth and genital ulcers with inflamed cartilage (MAGIC) syndrome. Semin Arthritis Rheum. 52:151924. DOI: 10.1016/j.semarthrit.2021.10.007. PMID: 34972595.
crossref
2. Yin R, Xu D, Wang Q, Li M, Zhang W, Zhang F, et al. 2024; Predictors and prognosis of tracheostomy in relapsing polychondritis. Rheumatology (Oxford). 63:3042–9. DOI: 10.1093/rheumatology/kead588. PMID: 37934151.
crossref
3. Suzuki Kurokawa M, Suzuki N. 2004; Behcet's disease. Clin Exp Med. 4:10–20. DOI: 10.1007/s10238-004-0033-4. PMID: 15598081.
4. Damiani JM, Levine HL. 1979; Relapsing polychondritis--report of ten cases. Laryngoscope. 89(6 Pt 1):929–46. DOI: 10.1288/00005537-197906000-00009. PMID: 449538.
5. Chen Z, Zhang S, Wang L, Fei Y, Shen M, Wu H, et al. 2021; Anaplastic large cell lymphoma in a patient with MAGIC syndrome: a case and review of the literature. Clin Rheumatol. 40:2075–82. DOI: 10.1007/s10067-020-05384-x. PMID: 32914210.
crossref
6. Geissal ED, Wernick R. 2010; A case of severe MAGIC syndrome treated successfully with the tumor necrosis factor-alpha inhibitor infliximab. J Clin Rheumatol. 16:185–7. DOI: 10.1097/RHU.0b013e3181dfce16. PMID: 20414125.
crossref
7. Abduljalil M, Alsaied A, Bella A. 2019; Mouth and genital ulcers with inflamed cartilage (MAGIC) syndrome in pregnancy. Bahrain Med Bull. 41:281–4.
8. Thaiss WM, Nikolaou K, Spengler W, Spira D, Xenitidis T, Henes J, et al. 2016; Imaging diagnosis in relapsing polychondritis and correlation with clinical and serological data. Skeletal Radiol. 45:339–46. DOI: 10.1007/s00256-015-2270-x. PMID: 26490679.
crossref
9. Nakajima T, Tsuji H, Inaba R, Saito R, Nishimura K, Morinobu A. 2024; Significant association of HLA-A26 with uveitis and gastrointestinal involvement in patients with Behçet's disease in a multicentre study. Mod Rheumatol. 34:1221–5. DOI: 10.1093/mr/roae022. PMID: 38482606.
crossref
10. Shimizu J, Murayama MA, Mizukami Y, Arimitsu N, Takai K, Miyabe Y. 2023; Innate immune responses in Behçet disease and relapsing polychondritis. Front Med (Lausanne). 10:1055753. DOI: 10.3389/fmed.2023.1055753. PMID: 37435539. PMCID: PMC10331610.
crossref

Figure 1
Laryngoscopy and magnetic resonance imaging (MRI) before treatment. (A) Laryngoscopy reveals restricted abduction of both vocal cords on inhalation. (B, C) Contrast-enhanced MRI demonstrates thickening and increased enhancement of the arytenoid and cricoid cartilages (B, indicated by the arrow) and bilateral auricular cartilages (C, indicated by the arrows).
jrd-32-3-225-f1.tif
Figure 2
Laryngoscopy and magnetic resonance imaging (MRI) after treatment. (A, B) Four weeks after starting treatment, contrast-enhanced MRI demonstrates improvement in the thickening and enhancement of the arytenoid and cricoid cartilages (A) and bilateral auricular cartilages (B). (C) Three months after starting treatment, laryngoscopy reveals improved vocal cord abduction on inhalation.
jrd-32-3-225-f2.tif
TOOLS
Similar articles