A 33-year-old female was referred to a tertiary hospital following an incidental finding of a large polyp in the duodenal bulb. The patient did not exhibit any gastrointestinal symptoms including abdominal pain, discomfort, or melena. Physical examination revealed no abnormal findings. Laboratory data revealed a hemoglobin level of 9.8 g/dL, consistent with the pattern of iron deficiency anemia. Other renal and liver function test results were within normal ranges. She had no significant medical history or current medications.
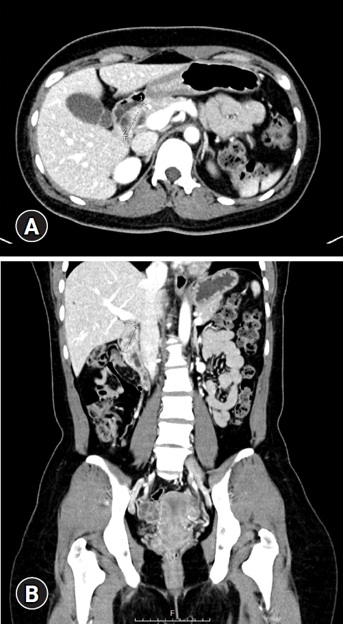
She had undergone esophagogastroduodenoscopy (EGD) at a local clinic 5 years prior, where a duodenal polyp approximately 3 cm in size was identified. The initial EGD at the tertiary hospital revealed a large duodenal polyp, measuring 8 cm, located in the duodenal bulb. The surface biopsy of the lesion showed chronic nonspecific inflammation. Abdominal and pelvis computed tomography (CT) scan also revealed a huge mass in the 1st and 2nd portions of the duodenum (Fig. 1). We decided to perform endoscopic mucosal resection (EMR) due to the progressive increase in the lesion’s size. The lesion was elevated via submucosal injection of a 5 mL mixture of epinephrine and hypertonic saline. Subsequently, EMR was performed using a snare (Fig. 2).
The tumor measured 8 cm×2 cm×2 cm and the final pathology was revealed (Fig. 3).
What is the most probable diagnosis?
Following EMR, the final pathology of the specimen was identified as a Brunner’s gland hamartoma. She was followed up in the outpatient clinic without complications and is scheduled for an EGD in six months.
Brunner’s glands are branched acinotubular glands primarily located in the submucosal layers of the proximal duodenum. The primary function of the Brunner’s gland is to secrete alkaline substances and bicarbonate, which protect the duodenal mucosa from gastric acid and help maintain an alkaline environment in the small intestine.
Brunner’s gland hamartoma, also known as Brunner’s gland adenoma is an uncommon, benign gastrointestinal tumor, representing 5% to 10% of benign duodenal tumors with an incidence rate of less than 0.01%.1 Most lesions are located in the proximal duodenum, with their frequency gradually decreasing as the distance from the pyloric ring increases.2
Similarly, Brunner’s gland hyperplasia is also a benign proliferative lesion of the duodenum. Brunner’s gland hyperplasia typically presents as small lesions, usually ranging from 0.5 cm to 1.0 cm in size. It is characterized by glands containing neutral mucin, which expand to occupy at least 50% of the duodenal mucosa in biopsy specimens. Histologically, it presents as single or multiple nodules formed by an overgrowth of Brunner’s glands, separated by fibrous septa. In contrast, Brunner’s gland hamartoma typically appears as an isolated mass, larger than 0.5 cm. The size of the lesions varies from 1.0 to 2.0 cm, rarely exceeding 5.0 cm, but in some cases, can reach up to 12.0 cm.3 Microscopically, it involves proliferating glands within the duodenal submucosa, mixed with cystically dilated glands and smooth muscle proliferation. It contains a mixture of Brunner’s gland, ducts, smooth muscle, fibrous tissue, adipose tissue, and lymphocytes.
The pathogenesis of Brunner’s gland hamartoma remains unclear; however, the most plausible hypothesis is that increased gastric acid secretion may trigger glandular hyperplasia.1 Other potential risk factors include Helicobacter pylori infection, chronic pancreatitis, inflammatory stimulation, and mucosal injury. Gastric foveolar metaplasia is often associated with Brunner’s gland hamartoma, suggesting that the mucosal repair mechanism involved in duodenal ulcer healing might promote the development of the condition.4
Most patients with Brunner’s gland hamartoma are asymptomatic; however, it can be a cause of underlying gastrointestinal bleeding, such as melena or intestinal obstruction.5,6
A final diagnosis of Brunner’s gland hamartoma requires pathological confirmation. Several diagnostic procedures may also be utilized. EGD allows direct visualization and accurate localization of the lesion. However, surface biopsies obtained via EGD are typically negative or reveal only Brunner gland hyperplasia, due to the submucosal nature of the tumor. On endoscopic ultrasonography (EUS), Brunner’s gland hamartoma appears as an inhomogeneous solid or cystic mass within the submucosa.7,8 EUS-guided fine-needle aspiration can improve diagnostic accuracy, but requires a high level of technical expertise. In some cases, larger Brunner’s gland hamartoma can be detected by CT,6,9 where internal cysts and pedicles may aid in its diagnosis.
Although Brunner’s gland hamartoma is usually benign, the growth of these benign proliferative lesions may lead to the development of mucosal ulcers. This can subsequently initiate a repair process involving gastric foveolar metaplasia with papillary structures, potentially resulting in malignant transformation over time.4
For asymptomatic patients with Brunner’s gland hamartoma, conservative management may be appropriate. However, for patients experiencing symptoms or for lesions that are large or growing, excision should be considered. Brunner’s gland hamartomas ranging in size from 0.5 to 5 cm are typically resected endoscopically. In the case of complex lesions or large/sessile tumors, surgical resection, such as wedge duodenal resection, partial duodenotomy, or pancreaticoduodenectomy, may be required. However, due to its lower invasiveness and greater safety, EMR is preferred over conventional surgery, provided it can be performed safely and result in an en bloc resection.9 Approximately 37% of polyps may recur within an average of 26 months, commonly as polyps less than 2 cm.10 Therefore, post resection surveillance is recommended for the early detection of recurrence.
In conclusion, as demonstrated in our case, when a huge duodenal polyp is suspected upon endoscopy, less invasive therapies, such as EMR, can be an effective tool for both diagnosis and treatment.
Notes
REFERENCES
1. Abbass R, Al-Kawas FH. Brunner gland hamartoma. Gastroenterol Hepatol (N Y). 2008; 4:473–475. PMID: 21960922.
2. Zhu M, Li H, Wu Y, et al. Brunner’s gland hamartoma of the duodenum: a literature review. Adv Ther. 2021; 38:2779–2794. DOI: 10.1007/s12325-021-01750-6. PMID: 33914269.
3. Gao YP, Zhu JS, Zheng WJ. Brunner’s gland adenoma of duodenum: a case report and literature review. World J Gastroenterol. 2004; 10:2616–2617. DOI: 10.3748/wjg.v10.i17.2616. PMID: 15300922.
4. Akaki M, Taniguchi S, Hatakeyama K, et al. Duodenal mucosal damage is associated with proliferative activity of Brunner’s gland hamartoma: a case report. BMC Gastroenterol. 2014; 14:14. DOI: 10.1186/1471-230x-14-14. PMID: 24422755.
5. Levine JA, Burgart LJ, Batts KP, et al. Brunner’s gland hamartomas: clinical presentation and pathological features of 27 cases. Am J Gastroenterol. 1995; 90:290–294. PMID: 7847303.
6. Stolpman DR, Hunt GC, Sheppard B, et al. Brunner’s gland hamartoma: a rare cause of gastrointestinal bleeding: case report and review of the literature. Can J Gastroenterol. 2002; 16:309–313. DOI: 10.1155/2002/797934. PMID: 12045780.
7. Choe Y, Cho YK, Kim GH, et al. Prevalence, natural progression, and clinical practices of upper gastrointestinal subepithelial lesions in Korea: a multicenter study. Clin Endosc. 2023; 56:744–753. DOI: 10.5946/ce.2023.005. PMID: 37621066.
8. Lee KJ, Park B, Kim HM. Endoscopic ultrasonography findings for Brunner’s gland hamartoma in the duodenum. Clin Endosc. 2022; 55:305–309. DOI: 10.5946/ce.2020.259. PMID: 33906330.
9. Kitagawa Y, Osumi H, Kawachi H, et al. Giant duodenal Brunner’s gland hamartoma successfully treated via endoscopic mucosal resection. Arab J Gastroenterol. 2018; 19:125–129. DOI: 10.1016/j.ajg.2018.08.004. PMID: 30243896.
10. Hizawa K, Iwai K, Esaki M, et al. Endosonographic features of Brunner’s gland hamartomas which were subsequently resected endoscopically. Endoscopy. 2002; 34:956–958. DOI: 10.1055/s-2002-35849. PMID: 12471538.
Fig. 1.
Contrast-enhanced abdominal pelvis computed tomography scan findings. (A, B) Axial and coronal images revealed a large polypoid mass in the duodenal bulb extending to the 2nd portion, measuring 4 cm in size.
Fig. 2.
Esophagogastroduodenoscopy findings. (A) An 8-cm sized large duodenal polyp was noted at the bulb to 2nd portion of duodenum. The overlying mucosa exhibited a smooth surface. (B) The lesion was elevated following submucosal injection of a 5 mL mixture of epinephrine and hypertonic saline. (C) The snare was positioned on the base of the lesion. (D) Subsequently, the endoscopic mucosal polypectomy was performed using a snare. (E) Following the procedure, the exposed vessels at the base of mucosa were electrocauterized and three prophylactic hemoclips were applied. (F) The gross specimen was retrieved and measured.
Fig. 3.
Histopathologic findings of the resected specimen. (A) The gross endoscopic resection specimen revealed a large duodenal lesion measuring 8 cm×2 cm×2 cm. (B) Massive hyperplasia of Brunner’s glands, mixed with smooth muscle, infiltrating inflammatory cells, and adipose tissue that represents Brunner’s gland hamartoma (hematoxylin & eosin stain, ×30). (C) Proliferated Brunner’s glands in lobules of various size (hematoxylin & eosin stain, ×150).



PDF
Citation
Print



XML Download