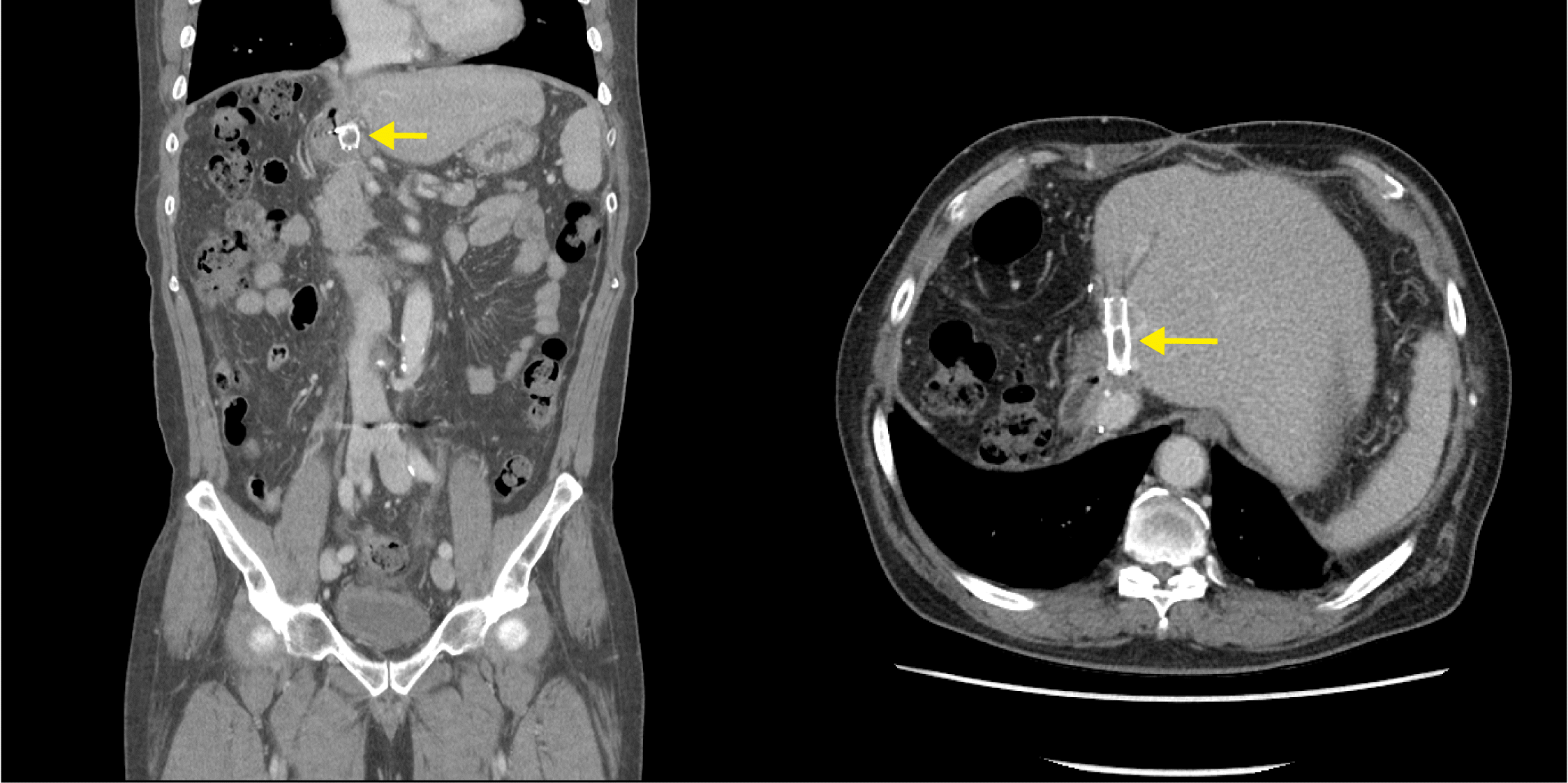
A 68-year-old man presented with recurrent melena for 1 year. A 9.6-cm-sized cholangiocarcinoma in the right liver lobe was identified 2 years prior, and the patient underwent right trisectionectomy with caudate lobectomy. Postoperative doppler ultrasonography and computed tomography (CT) demonstrated narrowing of the portal vein anastomosis site, and stent insertion was performed. He had no history of medication use, including nonsteroidal anti-inflammatory and anti-acid drugs. However, 1 year postoperatively, he was re-admitted to an emergency center with hematemesis. Upper endoscopy revealed an active ulcer and exposed vessels in the duodenal bulb (Fig. 1A). Bleeding was controlled by hemoclipping, and rapid urease test results were negative. The patient experienced intermittent, small-volume melena 8 months after bleeding control, and endoscopic evaluation was performed again. The ulceration persisted in the duodenal bulb, and a metallic material was observed, which was suspected to be stent exposure (Fig. 1B). A recent CT scan confirmed complete thrombotic occlusion of the portal vein stent, and it was determined that the previous surgery resulted in adhesion between the stent and duodenum (Fig. 2). The ulcer worsened due to portal stent exposure. The patient was treated conservatively and was discharged with ulcer medications. A follow-up endoscopy revealed an almost completely healed ulceration (Fig. 3).
Stent migration into the gastrointestinal tract can cause recurrent bleeding,1,2 and portal venous stent migration into the duodenum following liver resection is rare. If repeated duodenal ulcerations persist, with or without stent exposure, the cause should be assessed. Conservative treatment may be more effective, compared with stent removal. Herein, we describe an extremely rare case of refractory duodenal ulcer caused by portal stent exposure.
Notes
Author Contributions
Conceptualization: GHL, CKN; Data curation: GHL; Investigation: GHL, CKN; Methodology: GHL, CKN; Project administration: CKN; Resources: GHL, CKN; Supervision: CKN, KML; Validation: CKN; Visualization: GHL, CKN; Writing–original draft: GHL, CKN; Writing–review & editing: CKN, KML.
REFERENCES
1. Garcia-Alonso FJ, Sanchez-Ocana R, Peñas-Herrero I, et al. Cumulative risks of stent migration and gastrointestinal bleeding in patients with lumen-apposing metal stents. Endoscopy. 2018; 50:386–395.
2. Hong S, Kim GH. Aortoduodenal fistula bleeding caused by an aortic stent graft. Clin Endosc. 2024; 57:407–408.



PDF
Citation
Print



XML Download