Abstract
Gastric outlet obstruction (GOO) is a condition characterized by a mechanical obstruction of the stomach or duodenum, caused by either benign or malignant disease. Traditionally, surgical gastrojejunostomy (SGJ) has been the standard treatment for malignant GOO and endoscopic stenting (ES) offers a less invasive option, but it often requires repeat interventions. Recently, endoscopic ultrasound (EUS)-guided gastroenterostomy (EUS-GE), an innovative technique, has been applied as an alternative to SGJ and ES for GOO patients. Direct EUS-GE, device-associated EUS-GE, and EUS-guided double balloon-occluded gastrojejunostomy bypass are the most commonly used techniques with reported technical success rates ranging from 80% to 100%, and clinical success rates between 68% and 100%. Adverse event (AE) rates range from 0% to 28.2% and the stent misdeployment is the most common while other AEs include abdominal pain, bleeding, infection, peritonitis, bowel perforation, gastric leakage, and stent migration. It is clear that EUS-GE may achieve a similar clinical success to SGJ with fewer AEs and a shorter hospital stay. Compared to ES, EUS-GE showed higher clinical success, fewer stent obstructions, and lower reintervention rates.
Gastric outlet obstruction (GOO) is a clinical feature of mechanical obstruction of the stomach or duodenum that causes symptoms such as epigastric pain, vomiting, weight loss, and bloating.1 GOO may be attributed to a variety of benign or malignant diseases (Table 1). In recent decades, malignant disease has been the leading cause of GOO, including gastric, pancreatic, ampulla of Vater, duodenal, and metastatic cancers. Peptic ulcers are the most common benign cause of mechanical obstruction.2,3 Surgical gastrojejunostomy (SGJ), a bypass surgery for maintaining oral nutrition, is the conventional mainstay of treatment for malignant GOO. A meta-analysis of 13 studies showed that the incidence of major complications, including respiratory tract infection, myocardial infarction, acute renal failure, sepsis, and liver failure, was higher in the open surgical jejunostomy group.4 Enteral metal stent placement is a less invasive alternative treatment for the palliation of malignant GOO. Patients with endoscopic stenting (ES) had a shorter hospital stay, earlier oral intake, and fewer surgical site infections but a higher reintervention rate.5
Endoscopic ultrasound (EUS)-guided gastroenterostomy is a novel approach that serves as an alternative to SGJ and ES in patients with GOO. This technique involves the placement of a lumen-apposing metal stent (LAMS) between the stomach and a loop of the duodenum or jejunum to create an effective bypass for the obstruction. EUS-guided gastrostomy was first described by Fritscher-Ravens et al.6 in 2002 using an animal model to perform EUS-guided suturing of the stomach and small intestine for anastomosis. In 2011, Binmoeller and Shah7 first reported the use of LAMS for EUS-guided transluminal drainage. The LAMS is a dumbbell-shaped fully covered metal stent with perpendicular flanges that creates an anastomosis between the two structures. The stent with the electrocautery-enhanced delivery system developed by Dr. Binmoeller combined puncture, dilation, and metal stent placement in a single device. In the early days, the placement of LAMS without an electrocautery tip device required a more complicated process, involving an initial needle puncture, followed by passing a guidewire through the needle tract and dilating the tract with a balloon or cautery dilator catheter. Finally, the stent is deployed under guidewire guidance. This process presents challenges, as the guidewire could push the small intestine out of the endoscopic view or result in loss of the target site. To overcome these challenges, various types of LAMS have been designed and reported (Table 2). These advancements have simplified the procedure and improved its overall effectiveness.8 The EUS-guided gastroenterostomy technique may offer a balance between the advantages and disadvantages of the SGJ and ES, providing a minimally invasive alternative for patients with GOO.
Indications for EUS-guided gastroenterostomy (EUS-GE) include symptomatic malignant GOO in patients who are unwell or at high surgical risk or have benign GOO, where conventional endoscopic or surgical options are not feasible or have failed.9 Afferent loop syndrome is a possible indication for EUS-GE, particularly in patients with malignancies. Under EUS guidance, a dilated blind loop can be easily identified as the puncture site, providing an effective and minimally invasive treatment method. Meta-analysis of a total of 35 cases showed high technical and clinical success rates (100%, 35/35). The adverse event (AE) rate was 11.4% (4/35), all of which involved abdominal pain.10
EUS-GE is contraindicated in patients with massive ascites, diffuse infiltrative gastric cancer, or extensive peritoneal carcinomatosis.9 Diffuse gastric cancer infiltration thickens the stomach, and an appropriate bowel loop close to the stomach cannot be identified under EUS. Peritoneal metastases may present as distal or multiple intestinal strictures. In addition, large amounts of ascites may destabilize the small intestine and increase the risk of mispuncture.
Comprehensive imaging studies are recommended before the EUS-GE procedure, including abdominal computed tomography and upper gastrointestinal (GI) series (Fig. 1), and are conducted to assess the length of the GOO and the anatomical relationship between the stomach and small intestine to predict the difficulty of performing EUS-GE.11 This approach excluded the possibility of multi-segment stenosis, peritoneal metastasis, or identification of any potential anatomical variations or complications, such as the presence of adhesions or a distorted anatomy due to previous surgeries.
Prevention of bowel spasms is important. Warm saline, hyoscine butylbromide (Buscopan®), and glucagon have also been suggested. When the small intestine remains peristaltic, a puncture or LAMS placement is difficult to achieve. Therefore, it is important to reduce or inhibit peristalsis in the small intestine. The use of warm normal saline to distend the small intestine can reduce peristalsis and spasms.12 Hyoscine butylbromide, an anticholinergic drug, acts on the smooth muscles of the intestine. By blocking the acetylcholine receptors at nerve endings, it reduces smooth muscle contraction and peristalsis, leading to anti-spasmodic and anti-motility effects. Glucagon is a hormone that plays an important role in glucose metabolism by inhibiting intestinal motility in the GI system through smooth muscle relaxation and decreased acetylcholine release. As an immediate reduction in intestinal motility is required during the procedure, glucagon is administered via intravenous injection for a rapid onset of action.13
Although several EUS-GE techniques have been published, no standard guidelines have been established. This procedure can be broadly divided into two parts: the creation and identification of bowel dilation and stent placement. Currently, direct EUS-GE, device-associated EUS-GE, and EUS-guided double balloon-occluded gastrojejunostomy bypass (EPASS) are the most commonly used techniques.
The echoendoscope was advanced into the middle body of the stomach to identify the loop of the small intestine adjacent to the stomach that could be safely accessed. Anti-peristaltic drugs, such as glucagon or hyoscine butylbromide, can be administered to reduce intestinal peristalsis. If visualization of the jejunal loop under EUS was inadequate, a 22-gauge needle was punctured into the jejunum and saline was infused to distend the bowel loop. Subsequently, a 19-gauge needle puncture (Fig. 2A) was used to deliver the contrast medium, methyl blue, or indigo carmine with saline to identify the small intestine. Once the target intestinal loop was adequately visualized, a 19-gauge needle was used to aspirate the blue fluid and ensure target-loop puncture. This was followed by advancing a 0.025-inch or 0.035-inch guidewire from the needle into the downstream intestine. The needle tract is subsequently dilated using either a balloon or an electrocautery dilator. The LAMS was then deployed over the guidewire.14-30
Direct deployment with electrocautery-enhanced LAMS offers a convenient alternative, eliminating the need for a guidewire step and preventing accidental displacement of the target loop during guidewire manipulation. Furthermore, direct insertion of the LAMS device makes the procedure more efficient.
The retrograde technique offers an alternative approach (Fig. 2B) with the initial steps following the standard procedure described above. A 0.025-inch or 0.035-inch guidewire was advanced through the needle, passed from the jejunum to the stomach, and then exited through the mouth. The guidewire was securely tracked and the LAMS was deployed antegrade over the guidewire. Another method for retrograde LAMS deployment is the use of a linear echoendoscope to advance and pass through the stricture over the guidewire (Fig. 2C). In this approach, the LAMS is deployed from the small intestine into the stomach over a guidewire, creating a gastroenterostomy.
Unlike the direct method, various specialized devices, such as double-balloon catheters, retrieval balloons, nasojejunal tubes, and ultraslim endoscopes, are used to cross the stricture and infuse warm saline into the target intestine. Hyoscine butylbromide and glucagon were prescribed before and during the procedures. Under EUS guidance, the target site for LAMS puncture is a dilated balloon (balloon-assisted) or the distended intestine (assisted by orojejunal catheter or an ultraslim endoscope). The LAMS was deployed to create a gastroenterostomy with or without a guidewire.
A 0.025-inch or 0.035-inch guidewire was carefully maneuvered through the stricture site into the proximal jejunum under endoscopic and fluoroscopic guidance. The endoscope was then slowly withdrawn under fluoroscopic guidance, and the balloon catheter (retrieval balloon catheter, dilation balloon catheter, or double balloon catheter) was advanced over the guidewire below the obstruction site and into the jejunum (Fig. 2D). Under EUS guidance, a 19-gauge needle was used to puncture the inflated balloon. Another 0.025-inch or 0.035-inch guidewire was then passed through the needle and further into the jejunum. The LAMS was deployed as described above to perform a gastroenterostomy.14-17,19,22,25-27,29-31
Similar to the balloon method, a 7-10 Fr orojejunal catheter (nasobiliary drain tube or 14 Fr nasojejunal tube) was inserted over the guidewire (Fig. 2E). The endoscope was slowly withdrawn, leaving a nasojejunal tube in the proximal jejunum. Warm saline was infused through a nasojejunal tube to fill and distend the small intestinal lumen. The addition of a contrast medium, methyl blue, or indigo carmine to saline can help identify the small intestine. A dilated enteric loop adjacent to the stomach wall is identified under EUS guidance. The deployment of the LAMS, as described above, or with an electrocautery tip without a guidewire creates a gastroenterostomy (Fig. 3).15,19,23,24,26,30,32-43
An ultraslim endoscope was advanced into the stricture and carefully and slowly passed through the stricture into the small intestine. Saline was infused into the small intestine using an ultraslim endoscope to distend the jejunum. The linear echoendoscope was then advanced into the stomach along the side of the ultraslim endoscope (Fig. 2F). A distended jejunal loop and ultraslim endoscope can be detected using EUS. A 19-gauge needle was used to puncture the small intestine and a 0.025-inch or 0.035-inch guidewire was passed through the needle downstream of the dilated intestine. An ultraslim endoscope can visualize the guidewire directly. The LAMS was deployed to create a gastroenterostomy, as described above.15,26,40,44,45
This novel device and technique were published by Itoi et al.,46 with a double-balloon enteric tube (Tokyo Medical University type; Create Medic Co., Ltd.) being advanced into the proximal jejunum under guidewire and fluoroscopic guidance (Fig. 2G). Two balloons (20 cm apart) were inflated with saline and contrast media at the two ends. The tubular balloon between the two end balloons was inflated with saline and identified using a linear echoendoscope. The electrocautery-enhanced LAMS was punctured and deployed in one step, as described above.16,25,27,33,46-50
EUS-guided gastroenterostomy has been shown to be an effective treatment for malignant and benign GOO. Several recent studies have reported technical success rates ranging from 80% to 100%, and clinical success rates ranging from 68% to 100%, as summarized in Table 3.14-45,46,49,50 Most clinical success rates were defined as a GOO score (no diet=0, liquid=1, semi-solid=2, solid/full diet=3) ≥2 points or an increase in the GOO score by at least one point.51 The AEs rates were 0% to 28.2%, and commonly reported AEs included abdominal pain, bleeding, infection, peritonitis, bowel perforation, gastric leakage, stent migration, and stent occlusion. The diameters of the commonly used LAMS are 15-mm and 20-mm. Bejjani et al.22 reported that both 15-mm and 20-mm LAMS are safe and effective in patients with malignant GOO. However, the 20-mm LAMS facilitated a more advanced diet. A meta-analysis of 13 studies, including 685 patients, revealed that the technical success rate, clinical success rate, and AEs were not significantly different between 15-mm and 20-mm LAMS. There was a statistically significant increase in the reintervention for patients who received the 15-mm LAMS compared to the 20-mm LAMS (15-mm LAMS, 10.3%; 20-mm LAMS, 3.5%).52
Recently, systematic reviews and meta-analyses of EUS-GE outcomes have been published. Iqbal et al.53 conducted a systematic review and meta-analysis of 12 studies, including 285 patients, to evaluate the efficacy and safety of EUS-GE in 2019. The average technical success rate was found to be 92% (95% confidence interval [CI], 88%–95%), while the average clinical success rate was 90% (95% CI, 85%–94%). The overall AE rate was 12% (95% CI, 8%–16%), with stent misdeployment (SM), abdominal pain, bleeding, peritonitis, and stent migration being the most common complications. Unexpected reintervention was noted in 9% of patients (95% CI, 6%–13%). In 2022, Ribas et al.54 reviewed and analyzed 20 studies involving 863 patients and showed that the technical success rates were 94.8% in direct puncture group and 93.6% in balloon-assisted group, whereas the clinical success rates were 90.6% in direct puncture group and 88.9% in balloon-assisted group. No statistically significant differences were observed in technical and clinical success rates. However, as compared to balloon-assisted techniques, direct puncture techniques resulted in a lower rate of AEs (direct puncture, 9.3% vs. balloon-assisted, 21.4%; p=0.001), and a shorter length of hospital stay (direct puncture, 4.17±7.1 days vs. balloon-assisted, 6.85±9.33 days; p=0.001). In a sub-analysis, balloon-assisted GE demonstrated a lower rate of AEs compared to that of EUS-EPASS group (balloon-assisted, 8.9% vs. EPASS, 28.5%; p=0.004).
EUS-guided GE and SM are distinct approaches for managing malignant GOO. In a propensity score-matched retrospective study conducted by Conti Bellocchi et al.,55 EUS-GE (n=65, matched n=45) was compared with ES (n=130, matched n=45) for patients with malignant GOO. There were no significant differences in technical success rates (EUS-GE, 100% vs. ES, 100%), clinical efficacy (EUS-GE, 95.6% vs. ES: 86.7%; p=0.226), or AE rate (EUS-GE, 15.5% vs. ES, 33.3%; p=0.085) between the two groups. Stent dysfunction requiring reintervention occurred more commonly in the ES group (EUS-GE, 4.4% vs. ES, 20.0%; p=0.022) while a significantly shorter hospital-stay was observed in EUS-GE group (EUS-GE, 7.5±4.9 days vs. ES, 12.5±13.0 days; p=0.018). A recent meta-analysis that included 13 studies with a total of 1,762 patients showed a technical success rate of 95.59% in EUS-GE group and 97.96% in ES group. The average clinical success rate of EUS-GE group was higher than that of ES group (EUS-GE, 93.63% vs. ES, 85.57%; pooled odds ratio, 2.72). The average AE rate was 8.97% and 19.63% for EUS-GE and ES, respectively. The average reintervention rate for EUS-GE was lower that for ES (EUS-GE, 3.77% vs. ES, 25.13%).56
Traditionally, SGJ has been used to treat GOO. Kouanda et al.57 reported that patients with EUS-GE have shorter procedure time, earlier oral intake (EUS-GE, 1.3±1.0 days vs. SGJ, 4.7±2.7 days; p<0.001), shorter hospital stay (EUS-GE, 5 days vs. SGJ, 14.5 days; p<0.001) as compared to those with SGJ. In addition, the hospitalization costs in EUS-GE group were less than SGJ (EUS-GE, 49,387±33,067 United States dollars [USD] vs. SGJ, 124,912±32,855 USD; p<0.001). In 2023, Canakis et al.58 reported a multicenter retrospective comparative study demonstrating that the technical (EUS-GE, 97.4% vs. SGJ, 100%) and clinical success rates (EUS-GE, 94.1% vs. SGJ, 94.3%) were similar between the two groups. The EUS-GE group had lower AE rates (EUS-GE, 13.4% vs. SGJ, 33.3%) but higher reintervention rates (EUS-GE, 15.5% vs. SGJ, 1.6%). Additionally, patients who underwent EUS-GE received chemotherapy significantly sooner after the procedure (EUS-GE, 16.6 days vs. SGJ, 37.8 days). Furthermore, large prospective randomized trials comparing EUS-GE with SGJ and ES for the management of malignant or benign GOO are needed.
SM is a serious and common AE of EUS-GE that can lead to intestinal perforation or gastrocolic fistulas. The AE rate of SM was 4.6% according to a meta-analysis reported by Giri et al. in 2024.59 Ghandour et al.60 classified SM during EUS-GE into four types. Type I SM refers to the deployment of the distal flange in the peritoneum and the proximal flange in the stomach without enterotomy. Type II SM occurs when the distal and proximal flanges are in the peritoneum and stomach, respectively, with the stent penetrating and migrating out of the small bowel. Type III SM involves the distal flange in the small bowel and the proximal flange in the peritoneum. Type IV SM is defined by the localization of the distal flange in the colon and the proximal flange in the stomach, creating a gastrocolic anastomosis. Type I SM was the most common (63.1%), followed orderly by types II (30.4%), type IV (4.3%), and type III (2.2%). SM of all types, except type III, can be salvaged by endoscopic management, including LAMS redeployment, duodenal stenting, or duodenal dilatation, while one case of type III SM was subjected to surgical GE. The feasibility of endoscopic rescue should be determined based on certain factors, including patient condition, endoscopist expertise, and availability of materials and devices. Kuo and Wang61 reported that the presence of a tent-like sign when puncturing the LAMS was an indicator of SM in the peritoneum (Fig. 4). Direct freehand techniques for the puncture and deployment of LAMS result in a lower incidence rate of SM than wire-guided insertion.59 For successful LAMS deployment, the distance between the targeted bowel loop and stomach wall must be shorter than the length of the LAMS (e.g., Hot AXIOS, distance <1–1.5 cm). This distance ensures safe and full deployment of the stent and the creation of a mature anastomotic tract. In addition, the target bowel loop must be expanded as much as possible using saline to avoid opening the distal flange within the peritoneum due to insufficient distance.
The learning curve is particularly important, owing to the complexity of EUS-GE procedures. In addition to familiarity with the steps of EUS-GE, it is necessary to handle procedure-related complications. Tyberg et al.62 demonstrated that ample experience with at least seven cases of EUS-GE may reduce the procedure time. Furthermore, the learning curve for EUS-GE reported by Jovani et al.21 suggests that approximately 25 procedures are the minimum requirement for proficiency, whereas approximately 40 cases are required to achieve the master level. The rate of AEs is largely influenced by proficiency level.
Although EUS-GE has developed over the years and has become increasingly popular, the technologies available for EUS-GE are diverse, and there is no unified procedure. Most of the current research is retrospective, and there are no prospective studies focusing on the comparison of different techniques. A specially designed double-balloon enteric tube (Tokyo Medical University type) for EPASS is only available in some countries. Therefore, the choice of EUS-GE technique remains based on endoscopist discrimination. Various LAMSs have recently been developed. The AXIOS stent (Boston Scientific) was the most commonly used stent in the studies, while the Spaxus stent (Taewoong Medical) was used in a few studies.20,35 Mangiavillano et al.35 reported a novel electrocautery LAMS (Hot-Spaxus) for GOO with a technical success rate of 100%, but a clinical success rate of 68%, which is lower than other studies. The author pointed out that this may be related to the smaller stent sizes used in the first five cases because the endosonographers were unfamiliar with the EUS-GE procedure. However, whether different LAMS have different outcomes needs to be verified in future research.
Peritoneal carcinomatosis and massive ascites are contraindications for EUS-GE, but are also a challenge in SGJ. The presence of moderate to severe ascites was identified as a predictor of procedural failure, with a significantly lower technical success rate of 42.9% compared to patients with mild or no ascites (89.3%, p=0.018) undergoing EUS-GE.20 Basha et al.33 published that there was no significant difference in technical success rate (91.6% vs. 89.4 %, p=0.841), clinical success rate (83.3% vs.89.4%, p=0.619), mean procedure time (32 min vs. 31.6 min, p=0.968), or AEs (0% vs. 10.5%, p=0.245) between patients with or without ascites. EPASS was applied in 87% of patients, and the rest used nasobiliary drain assisted method. However, the median survival time of the patients with ascites was shorter than that of the patients without ascites (36 vs. 290 days, p<0.001). Abbas et al.45 reported the outcomes of EUS-GE and SGJ for malignant GOO in patients with peritoneal carcinomatosis. The technical success rate (EUS-GE, 100%; SGJ, 100%) and clinical success rates (EUS-GE, 88% vs. SGJ, 85%; p>0.99) were not significantly different in both groups. The recurrence rate of obstruction in the EUS-GE group was lower than that in the SGJ group (EUS-GE, 28% vs. SGJ, 41%; p=0.13). Therefore, whether ascites or peritoneal cancer is an absolute contraindication depends on the patient's condition, and more prospective randomized trials are required.
In conclusion, EUS-guided gastroenterostomy has emerged as an effective and safe treatment option for patients with GOO. The available evidence suggests that EUS-GE is associated with improved outcomes and reintervention rates compared with enteral stenting, with earlier oral intake and shorter hospital stay compared with SGJ, making it a valuable and minimally invasive alternative for the management of GOO. For beginners performing EUS-GE, it is important to be familiar with the deployment steps of LAMS and EUS-GE to avoid AEs. Development of appropriate training models can increase procedural proficiency and reduce the incidence of AEs. However, the effectiveness of the different methods and the relative advantages of EUS-GE should be validated through prospective randomized controlled trials.
REFERENCES
1. Green ST, Drury JK, McCallion J, et al. Carcinoid tumor presenting as recurrent gastric outlet obstruction: a case of long-term survival. Scott Med J. 1987; 32:54–55. DOI: 10.1177/003693308703200212. PMID: 3602991.
2. Shone DN, Nikoomanesh P, Smith-Meek MM, et al. Malignancy is the most common cause of gastric outlet obstruction in the era of H2 blockers. Am J Gastroenterol. 1995; 90:1769–1770. PMID: 7572891.
3. Papanikolaou IS, Siersema PD. Gastric outlet obstruction: current status and future directions. Gut Liver. 2022; 16:667–675. DOI: 10.5009/gnl210327. PMID: 35314520.
4. Ly J, O'Grady G, Mittal A, et al. A systematic review of methods to palliate malignant gastric outlet obstruction. Surg Endosc. 2010; 24:290–297. DOI: 10.1007/s00464-009-0577-1. PMID: 19551436.
5. Khamar J, Lee Y, Sachdeva A, et al. Gastrojejunostomy versus endoscopic stenting for the palliation of malignant gastric outlet obstruction: a systematic review and meta-analysis. Surg Endosc. 2023; 37:4834–4868. DOI: 10.1007/s00464-022-09572-5. PMID: 36138247.
6. Fritscher-Ravens A, Mosse CA, Mills TN, et al. A through-the-scope device for suturing and tissue approximation under EUS control. Gastrointest Endosc. 2002; 56:737–742. DOI: 10.1067/mge.2002.129084. PMID: 12397289.
7. Binmoeller KF, Shah J. A novel lumen-apposing stent for transluminal drainage of nonadherent extraintestinal fluid collections. Endoscopy. 2011; 43:337–342. DOI: 10.1055/s-0030-1256127. PMID: 21264800.
8. Jang DK, Lee DW, Kim SH, et al. Advances in self-expandable metal stents for endoscopic ultrasound-guided interventions. Clin Endosc. 2024; 57:588–594. DOI: 10.5946/ce.2023.169. PMID: 38978397.
9. van der Merwe SW, van Wanrooij RL, Bronswijk M, et al. Therapeutic endoscopic ultrasound: European Society of Gastrointestinal Endoscopy (ESGE) guideline. Endoscopy. 2022; 54:185–205. DOI: 10.1055/a-1717-1391. PMID: 34937098.
10. Shiomi H, Sakai A, Nakano R, et al. Endoscopic ultrasound-guided gastroenterostomy for afferent loop syndrome. Clin Endosc. 2021; 54:810–817. DOI: 10.5946/ce.2021.234. PMID: 34775697.
11. Nutahara D, Nagai K, Sofuni A, et al. Morphological study of the gastrointestinal tract around the ligament of Treitz using upper gastrointestinal radiography: fundamental data for EUS-guided gastrojejunostomy. J Hepatobiliary Pancreat Sci. 2021; 28:1023–1029. DOI: 10.1002/jhbp.1018. PMID: 34181825.
12. Church JM. Warm water irrigation for dealing with spasm during colonoscopy: simple, inexpensive, and effective. Gastrointest Endosc. 2002; 56:672–674. DOI: 10.1067/mge.2002.128916. PMID: 12397274.
13. Van Dam J, Catalano MF, Ferguson DR, et al. A prospective, double-blind trial of somatostatin analog (octreotide) versus glucagon for the inhibition of small intestinal motility during endoscopic retrograde cholangiopancreatography. Gastrointest Endosc. 1995; 42:321–324. DOI: 10.1016/s0016-5107(95)70130-3. PMID: 8536900.
14. Khashab MA, Kumbhari V, Grimm IS, et al. EUS-guided gastroenterostomy: the first U.S. clinical experience (with video). Gastrointest Endosc. 2015; 82:932–938. DOI: 10.1016/j.gie.2015.06.017. PMID: 26215646.
15. Tyberg A, Perez-Miranda M, Sanchez-Ocaña R, et al. Endoscopic ultrasound-guided gastrojejunostomy with a lumen-apposing metal stent: a multicenter, international experience. Endosc Int Open. 2016; 4:E276–E281. DOI: 10.1055/s-0042-101789. PMID: 27004243.
16. Chen YI, James TW, Agarwal A, et al. EUS-guided gastroenterostomy in management of benign gastric outlet obstruction. Endosc Int Open. 2018; 6:E363–E368. DOI: 10.1055/s-0043-123468. PMID: 29527559.
17. Chen YI, Kunda R, Storm AC, et al. EUS-guided gastroenterostomy: a multicenter study comparing the direct and balloon-assisted techniques. Gastrointest Endosc. 2018; 87:1215–1221. DOI: 10.1016/j.gie.2017.07.030. PMID: 28750837.
18. Kerdsirichairat T, Irani S, Yang J, et al. Durability and long-term outcomes of direct EUS-guided gastroenterostomy using lumen-apposing metal stents for gastric outlet obstruction. Endosc Int Open. 2019; 7:E144–E150. DOI: 10.1055/a-0799-9939. PMID: 30705945.
19. James TW, Greenberg S, Grimm IS, et al. EUS-guided gastroenteric anastomosis as a bridge to definitive treatment in benign gastric outlet obstruction. Gastrointest Endosc. 2020; 91:537–542. DOI: 10.1016/j.gie.2019.11.017. PMID: 31759034.
20. Wannhoff A, Ruh N, Meier B, et al. Endoscopic gastrointestinal anastomoses with lumen-apposing metal stents: predictors of technical success. Surg Endosc. 2021; 35:1997–2004. DOI: 10.1007/s00464-020-07594-5. PMID: 32358692.
21. Jovani M, Ichkhanian Y, Parsa N, et al. Assessment of the learning curve for EUS-guided gastroenterostomy for a single operator. Gastrointest Endosc. 2021; 93:1088–1093. DOI: 10.1016/j.gie.2020.09.041. PMID: 32991868.
22. Bejjani M, Ghandour B, Subtil JC, et al. Clinical and technical outcomes of patients undergoing endoscopic ultrasound-guided gastroenterostomy using 20-mm vs. 15-mm lumen-apposing metal stents. Endoscopy. 2022; 54:680–687. DOI: 10.1055/a-1654-6914. PMID: 34569611.
23. Monino L, Perez-Cuadrado-Robles E, Gonzalez JM, et al. Endoscopic ultrasound-guided gastroenterostomy with lumen-apposing metal stents: a retrospective multicentric comparison of wireless and over-the-wire techniques. Endoscopy. 2023; 55:991–999. DOI: 10.1055/a-2119-7529. PMID: 37380033.
24. On W, Huggett MT, Young A, et al. Endoscopic ultrasound guided gastrojejunostomy in the treatment of gastric outlet obstruction: multi-centre experience from the United Kingdom. Surg Endosc. 2023; 37:1749–1755. DOI: 10.1007/s00464-022-09692-y. PMID: 36217058.
25. Chen YI, Itoi T, Baron TH, et al. EUS-guided gastroenterostomy is comparable to enteral stenting with fewer re-interventions in malignant gastric outlet obstruction. Surg Endosc. 2017; 31:2946–2952. DOI: 10.1007/s00464-016-5311-1. PMID: 27834024.
26. Perez-Miranda M, Tyberg A, Poletto D, et al. EUS-guided gastrojejunostomy versus laparoscopic gastrojejunostomy: an international collaborative study. J Clin Gastroenterol. 2017; 51:896–899. DOI: 10.1097/mcg.0000000000000887. PMID: 28697151.
27. Khashab MA, Bukhari M, Baron TH, et al. International multicenter comparative trial of endoscopic ultrasonography-guided gastroenterostomy versus surgical gastrojejunostomy for the treatment of malignant gastric outlet obstruction. Endosc Int Open. 2017; 5:E275–E281. DOI: 10.1055/s-0043-101695. PMID: 28382326.
28. Ge PS, Young JY, Dong W, et al. EUS-guided gastroenterostomy versus enteral stent placement for palliation of malignant gastric outlet obstruction. Surg Endosc. 2019; 33:3404–3411. DOI: 10.1007/s00464-018-06636-3. PMID: 30725254.
29. Kastelijn JB, Moons LM, Garcia-Alonso FJ, et al. Patency of endoscopic ultrasound-guided gastroenterostomy in the treatment of malignant gastric outlet obstruction. Endosc Int Open. 2020; 8:E1194–E1201. DOI: 10.1055/a-1214-5659. PMID: 32904815.
30. Mahmoud T, Storm AC, Law RJ, et al. Efficacy and safety of endoscopic ultrasound-guided gastrojejunostomy in patients with malignant gastric outlet obstruction and ascites. Endosc Int Open. 2022; 10:E670–E678. DOI: 10.1055/a-1797-9318. PMID: 35571468.
31. Sobani ZA, Paleti S, Rustagi T. Endoscopic ultrasound-guided gastroenterostomy using large-diameter (20 mm) lumen apposing metal stent (LLAMS). Endosc Int Open. 2021; 9:E895–E900. DOI: 10.1055/a-1399-8442. PMID: 34079873.
32. van Wanrooij RL, Vanella G, Bronswijk M, et al. Endoscopic ultrasound-guided gastroenterostomy versus duodenal stenting for malignant gastric outlet obstruction: an international, multicenter, propensity score-matched comparison. Endoscopy. 2022; 54:1023–1031. DOI: 10.1055/a-1782-7568. PMID: 35325931.
33. Basha J, Lakhtakia S, Yarlagadda R, et al. Gastric outlet obstruction with ascites: EUS-guided gastro-enterostomy is feasible. Endosc Int Open. 2021; 9:E1918–E1923. DOI: 10.1055/a-1642-7892. PMID: 34917463.
34. Nguyen NQ, Hamerski CM, Nett A, et al. Endoscopic ultrasound-guided gastroenterostomy using an oroenteric catheter-assisted technique: a retrospective analysis. Endoscopy. 2021; 53:1246–1249. DOI: 10.1055/a-1392-0904. PMID: 33860483.
35. Mangiavillano B, Larghi A, Vargas-Madrigal J, et al. EUS-guided gastroenterostomy using a novel electrocautery lumen apposing metal stent for treatment of gastric outlet obstruction (with video). Dig Liver Dis. 2023; 55:644–648. DOI: 10.1016/j.dld.2023.02.009. PMID: 36890050.
36. Rai P, Kumar P, Goel A, et al. Nasojejunal tube-assisted endoscopic ultrasound-guided gastrojejunostomy for the management of gastric outlet obstruction is safe and effective. DEN Open. 2023; 3:e210. DOI: 10.1002/deo2.210. PMID: 36733904.
37. Bronswijk M, Vanella G, van Malenstein H, et al. Laparoscopic versus EUS-guided gastroenterostomy for gastric outlet obstruction: an international multicenter propensity score-matched comparison (with video). Gastrointest Endosc. 2021; 94:526–536. DOI: 10.1016/j.gie.2021.04.006. PMID: 33852900.
38. Havre RF, Dai C, Roug S, et al. EUS-guided gastroenterostomy with a lumen apposing self-expandable metallic stent relieves gastric outlet obstruction: a Scandinavian case series. Scand J Gastroenterol. 2021; 56:972–977. DOI: 10.1080/00365521.2021.1925338. PMID: 34236273.
39. Sánchez-Aldehuelo R, Subtil Iñigo JC, Martínez Moreno B, et al. EUS-guided gastroenterostomy versus duodenal self-expandable metal stent for malignant gastric outlet obstruction: results from a nationwide multicenter retrospective study (with video). Gastrointest Endosc. 2022; 96:1012–1020. DOI: 10.1016/j.gie.2022.07.018. PMID: 35870508.
40. Fischer H, Rüther K, Abdelhafez M, et al. Technical feasibility and clinical success of direct "free hand" EUS-guided gastroenterostomy in patients with gastric outlet obstruction. Endosc Int Open. 2022; 10:E1358–E1363. DOI: 10.1055/a-1907-5393. PMID: 36262515.
41. Choi JH, Kozarek RA, Larsen MC, et al. Effectiveness and safety of lumen-apposing metal stents in endoscopic interventions for off-label indications. Dig Dis Sci. 2022; 67:2327–2336. DOI: 10.1007/s10620-021-07270-1. PMID: 34718905.
42. Perez-Cuadrado-Robles E, Alric H, Aidibi A, et al. EUS-guided gastroenterostomy in malignant gastric outlet obstruction: a comparative study between first- and second-line approaches after enteral stent placement. Cancers (Basel). 2022; 14:5516. DOI: 10.3390/cancers14225516. PMID: 36428609.
43. Garcia-Alonso FJ, Chavarria C, Subtil JC, et al. Prospective multicenter assessment of the impact of EUS-guided gastroenterostomy on patient quality of life in unresectable malignant gastric outlet obstruction. Gastrointest Endosc. 2023; 98:28–35. DOI: 10.1016/j.gie.2023.02.015. PMID: 36801458.
44. Kahaleh M, Tyberg A, Sameera S, et al. EUS-guided gastroenterostomy: a multicenter international study comparing benign and malignant diseases. J Clin Gastroenterol. 2024; 58:570–573. DOI: 10.1097/mcg.0000000000001903. PMID: 37646532.
45. Abbas A, Dolan RD, Bazarbashi AN, et al. Endoscopic ultrasound-guided gastroenterostomy versus surgical gastrojejunostomy for the palliation of gastric outlet obstruction in patients with peritoneal carcinomatosis. Endoscopy. 2022; 54:671–679. DOI: 10.1055/a-1708-0037. PMID: 35120397.
46. Itoi T, Ishii K, Ikeuchi N, et al. Prospective evaluation of endoscopic ultrasonography-guided double-balloon-occluded gastrojejunostomy bypass (EPASS) for malignant gastric outlet obstruction. Gut. 2016; 65:193–195. DOI: 10.1136/gutjnl-2015-310348. PMID: 26282674.
47. Itoi T, Itokawa F, Uraoka T, et al. Novel EUS-guided gastrojejunostomy technique using a new double-balloon enteric tube and lumen-apposing metal stent (with videos). Gastrointest Endosc. 2013; 78:934–939. DOI: 10.1016/j.gie.2013.09.025. PMID: 24237949.
48. Itoi T, Ishii K, Tanaka R, et al. Current status and perspective of endoscopic ultrasonography-guided gastrojejunostomy: endoscopic ultrasonography-guided double-balloon-occluded gastrojejunostomy (with videos). J Hepatobiliary Pancreat Sci. 2015; 22:3–11. DOI: 10.1002/jhbp.148. PMID: 25155270.
49. Xu G, Shen Y, Lv Y, et al. Safety and efficacy of endoscopic ultrasound-guided gastroenterostomy using double balloon occlusion methods: a clinical retrospective study in 36 patients with malignant gastric outlet obstruction. Endosc Int Open. 2020; 8:E1690–E1697. DOI: 10.1055/a-1221-9656. PMID: 33140026.
50. Chan SM, Dhir V, Chan YY, et al. Endoscopic ultrasound-guided balloon-occluded gastrojejunostomy bypass, duodenal stent or laparoscopic gastrojejunostomy for unresectable malignant gastric outlet obstruction. Dig Endosc. 2023; 35:512–519. DOI: 10.1111/den.14472. PMID: 36374127.
51. Adler DG, Baron TH. Endoscopic palliation of malignant gastric outlet obstruction using self-expanding metal stents: experience in 36 patients. Am J Gastroenterol. 2002; 97:72–78. DOI: 10.1016/s0002-9270(01)03985-5. PMID: 11808972.
52. Vedantam S, Shah R, Bhalla S, et al. No difference in outcomes with 15 mm vs. 20 mm lumen-apposing metal stents for endoscopic ultrasound-guided gastroenterostomy for gastric outlet obstruction: a meta-analysis. Clin Endosc. 2023; 56:298–307. DOI: 10.5946/ce.2022.299. PMID: 37259242.
53. Iqbal U, Khara HS, Hu Y, et al. EUS-guided gastroenterostomy for the management of gastric outlet obstruction: a systematic review and meta-analysis. Endosc Ultrasound. 2020; 9:16–23. DOI: 10.4103/eus.eus_70_19. PMID: 31898587.
54. Ribas PH, De Moura DT, Proença IM, et al. Endoscopic ultrasound-guided gastroenterostomy for the palliation of gastric outlet obstruction (GOO): a systematic review and meta-analysis of the different techniques. Cureus. 2022; 14:e31526. DOI: 10.7759/cureus.31526. PMID: 36540454.
55. Conti Bellocchi MC, Gasparini E, Stigliano S, et al. Endoscopic ultrasound-guided gastroenterostomy versus enteral stenting for malignant gastric outlet obstruction: a retrospective propensity score-matched study. Cancers (Basel). 2024; 16:724. DOI: 10.3390/cancers16040724. PMID: 38398115.
56. Asghar M, Forcione D, Puli SR. Endoscopic ultrasound-guided gastroenterostomy versus enteral stenting for gastric outlet obstruction: a systematic review and meta-analysis. Therap Adv Gastroenterol. 2024; 17:17562848241248219. DOI: 10.1177/17562848241248219. PMID: 38855340.
57. Kouanda A, Binmoeller K, Hamerski C, et al. Endoscopic ultrasound-guided gastroenterostomy versus open surgical gastrojejunostomy: clinical outcomes and cost effectiveness analysis. Surg Endosc. 2021; 35:7058–7067. DOI: 10.1007/s00464-020-08221-z. PMID: 33479837.
58. Canakis A, Bomman S, Lee DU, et al. Benefits of EUS-guided gastroenterostomy over surgical gastrojejunostomy in the palliation of malignant gastric outlet obstruction: a large multicenter experience. Gastrointest Endosc. 2023; 98:348–359. DOI: 10.1016/j.gie.2023.03.022. PMID: 37004816.
59. Giri S, Harindranath S, Mohan BP, et al. Adverse events with endoscopic ultrasound-guided gastroenterostomy for gastric outlet obstruction: a systematic review and meta-analysis. United European Gastroenterol J. 2024; 12:879–890. DOI: 10.1002/ueg2.12576. PMID: 38747173.
60. Ghandour B, Bejjani M, Irani SS, et al. Classification, outcomes, and management of misdeployed stents during EUS-guided gastroenterostomy. Gastrointest Endosc. 2022; 95:80–89. DOI: 10.1016/j.gie.2021.07.023. PMID: 34352256.
61. Kuo YT, Wang HP. A tent-like sign during endoscopic ultrasound-guided gastroenterostomy: an indication of a misdeployed stent in the peritoneum. Endoscopy. 2023; 55(S 01):E934–E935. DOI: 10.1055/a-2106-1544. PMID: 37500085.
62. Tyberg A, Kats D, Choi A, et al. Endoscopic ultrasound guided gastroenterostomy: what is the learning curve? J Clin Gastroenterol. 2021; 55:691–693. DOI: 10.1097/mcg.0000000000001400. PMID: 32740096.
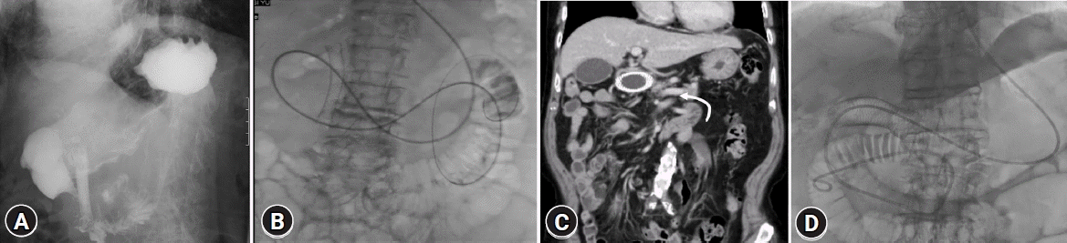
Fig. 1.
(A) Upper gastrointestinal (UGI) series image shows the filling defect (tumor) is noted at the second portion of duodenum (type II gastric outlet obstruction). The direction and pattern of the proximal small intestine are visualized by the contrast media enhancement. (B) A 7-Fr nasobiliary catheter tube is inserted through the guidewire into the proximal jejunum. Saline and contrast media is infused through the nasobiliary drainage tube and the pattern of the small intestine is similar to that visualized by UGI series. (C) Abdominal computed tomography (CT) reveals the proximal jejunum goes to the right side after the small intestine passes through the ligament of Treitz. (D) The direction and pattern of the proximal jejunum is also similar with abdominal CT image.
Fig. 2.
Techniques of endoscopic ultrasound-guided gastroenterostomy (EUS-GE). (A) Direct technique. (B) Rendezvous guidewire technique. (C) Retrograde deployment technique. (D) Balloon-assisted technique. (E) Orojejunal catheter (nasobiliary drain, nasojejunal tube)-assisted technique. (F) Ultraslim endoscope assisted. (G) EUS-guided double balloon-occluded gastrojejunostomy bypass. LAMS, lumen-apposing self-expandable metal stent.
Fig. 3.
Steps of endoscopic ultrasound (EUS)-guided gastroenterostomy using nasobiliary drain assisted technique. (A) A 0.035-inch guidewire is passed into the proximal jejunum guided by large size of retrieval balloon. (B) Under endoscopic and fluoroscopic guidance, a 7-Fr nasobiliary catheter tube is inserted through the guidewire into the proximal jejunum. (C) Saline and contrast media are infused through the nasobiliary drainage tube to inflate the proximal enteric loops. (D) The saline-distended loops of the proximal small bowel are identified by using EUS. (E) EUS-guided puncture and successful deployment of lumen-apposing metal stents (LAMS). (F) The endoscopic view of the deployed LAMS is confirmed by visualizing blue-dyed water (methylene blue) infused through the nasobiliary drain.
Fig. 4.
Type I stent misdeployment. (A) A tent-like sign of the bowel wall (arrows) is visualized by endoscopic ultrasound (EUS) and it means that the EUS-guided puncture does not actually penetrate into the lumen of the small intestine. (B) The distal flange of the lumen-apposing metal stent opens in the peritoneum outside the small intestine.
Table 1.
Etiology of gastric outlet obstruction
Table 2.
Type of lumen-apposing metal stents
Table 3.
Outcome of endoscopic ultrasound-guided gastroenterstomy
| Study | Type of study | No. of sizes (n) | Etiology | Technique | Type of LAMS | Diameter of LAMS (mm) | Technical success (%) | Clinical success (%) | AE (%) | Detail of AEs | Recurrent GOO (%) |
|---|---|---|---|---|---|---|---|---|---|---|---|
| Khashab et al. (2015)14 | Multicenter, retrospective | 10 | Malignant, n=3; benign, n=7 | Direct, n=1; balloon-assisted, n=9 | NEC LAMS (AXIOS) | 15×10 | 90 | 90 | 0 | 0 | 0 |
| Itoi et al. (2016)46 | Single center, prospective | 20 | Malignant, n=20 | EPASS, n=20 | EC LAMS (Hot AXIOS) | 15×10 | 90 | 90 | 10 | Misdeployment and pneumoperitoneium, n=2 | 0 |
| Tyberg et al. (2016)15 | International multicenter, retrospective | 26 | Malignant, n=17; benign, n=9 | Direct, n=3; balloon-assisted, n=13; nasobiliary drain, n=3; USE-assisted, n=5; NOTES, n=2 | NEC LAMS, n= 17 | 15×10, n=25; 10×10, n=1 | 92 | 85 | 11.5 | Peritonitis, n=1; bleeding, n=1; abdominal pain, n=1 | 0 |
| EC LAMS (Hot AXIOS), n= 9 | |||||||||||
| Chen et al. (2017)25 (EUS-GE vs. ES) | International multicenter, retrospective | 30 | Malignant, n=30 | Direct, n=2; balloon-assisted, n=6; EPASS, n=22 | EC LAMS (Hot AXIOS), n=20; NEC LAMS (AXIOS), n=7; NECL LAMS (Spaxus), n=2 | 15×10 | 86.7 | 83.3 | 10 | Misdeployment, n=3 | 4.3 |
| Perez-Miranda et al. (2017)26 (EUS-GE vs. SGJ) | Multicenter, retrospective | 25 | Malignant, n=17; benign, n=8 | Direct, n=6; balloon-assisted, n=9; USE-assisted, n=7; nasobiliary drain, n=3 | EC LAMS (Hot AXIOS), NEC LAMS (AXIOS) | NA | 88 | 84 | 12 | Bleeding, n=2; peritonitis, n=1 | 0 |
| Khashab et al. (2017)27 (EUS-GE vs. SGJ) | International multicenter, retrospective | 30 | Malignant, n=30 | Direct, n=2; balloon-assisted, n=6; EPASS, n=22 | EC LAMS (Hot AXIOS), n=21; NEC LAMS (AXIOS), n=7; NEC LAMS (Spaxus), n=2 | NA | 87 | 87 | 16 | Misdeploymenet, n=3; abdominal pain, n=2 | 3 |
| Chen et al. (2018)16 | International multicenter, retrospective | 26 | Benign, n=26 | Direct, n=15; balloon-assisted, n=7; EPASS, n=4 | NEC LAMS, n=2; EC LAMS (Hot AXIOS), n=24 | 15×10 | 96 | 84 | 11.5 | Misdeployment, n=2; gastric leakage, n=1 | 4.8 |
| Chen et al. (2018)17 | Multicenter, retrospective | 74 | Malignant, n=49; benign, n=25 | Direct, n=52; balloon-assisted, n=22 | NEC LAMS, n=14; EC LAMS (Hot AXIOS), n=59 | 15×10 | 93.2 (direct, 94.2%; balloon-assisted, 90.9%) | 91.9 (direct: 92.3%; balloon-assisted, 90.9%) | 6.8 (direct: 5.8%; balloon-assisted, 9.1%) | Misdeployment, n=5 | 9.5 |
| Ge et al. (2019)28 (EUS-GE vs. ES) | Single center, retrospective | 22 | Malignant, n=22 | Direct, n=22 | EC LAMS (Hot AXIOS) | 15×10 | 100 | 96 | 18.1 | Misdeployment, n=2; LAMS mesh erosion, n=1; stent ingrowth, n=1 | 4.5 |
| Kerdsirichairat et al. (2019)18 | Single center, retrospective | 57 | Malignant, n=34; benign, n=23 | Direct, n=57 | EC LAMS (Hot AXIOS) | 15×10 | 92.9 | 89.5 | 3.5 | Leakage, n=1; hemoperitoneium, n=1 | 15.1 |
| James et al. (2020)19 | Single center, retrospective | 22 | Benign, n=22 | Direct, n=9; balloon-assisted, n=8; orojejunal, n=5 | NEC LAMS, EC LAMS (Hot AXIOS) | 15×10, n=16; 20×10, n=5 | 95.4 | NA | 19 | Abdominal pain, n=1; bleeding, n=1; stent migration, n=1; necrotizing pancreatitis, n=1 | 23.8 |
| Kastelijn et al. (2020)29 | International multicenter, retrospective | 45 | Malignant, n=45 | Direct, n=36; balloon-assisted, n=9 | EC LAMS (Hot AXIOS) | 15×10, n=32; 20×10, n=12 | 86.7 | 73.3 | 26.7 | Misdeploymenet, n=5; infection, n=6; stent dislocation, n=1 | 6.1 |
| Xu et al. (2020)49 | Single center, retrospective | 36 | Malignant, n=36 | EPASS, n=36 | EC LAMSa) | NA | 100 | 94.4 | 25 | Misdeploymenet, n=1; bleeding, n=2; metal stent cutting the guidewire, n=3; stent migration, n=2; peritonitis, n=3; delayed bleeding, n=2 | 2.7 |
| Wannhoff et al. (2021)20 | Single center, retrospective | 35 | Malignant, n=33; benign, n=2 | Direct, n=22; nasobiliary, n=10; others, n=2 | NEC LAMS (Spaxus; HANARO), EC LAMS (Hot AXIOS) | Hot AXIOS, n=31; 10×10, n=1; 15×10, n=18; 20×10, n=12; Niti-S Spaxus, 16×20, n=2; HANARO, 16×40, n=1 | 80 | 74.3 | 14.3 | Peritonitis, n=3; perforation, n=1; misdeployment, n=1 | NA |
| Bronswijk et al. (2021)37 (EUS-GE vs. SGJ) | International multicenter, retrospective | 77 | Malignant, n=74; benign, n=3 | Nasobiliary, n=77 | EC LAMS (Hot AXIOS) | NA | 94.8 | 92.2 | 6.5 | Misdeployment, n=2; fever, n=2; sepsis, n=1 | 0 |
| Havre et al. (2021)38 | Single center, retrospective | 33 | Malignant, n=28; benign, n=5 | Nasobiliary, n=33 | EC LAMS (Hot AXIOS) | 15×10, n=22; 20×10, n=7 | 100 | 0.91 | 30 | Stent migration, n=3; bleeding, n=2; pneumonia, n=3; refeeding syndrome, n=1; more puncture, n=1 | 0 |
| Jovani et al. (2021)21 | Single center, retrospective | 73 | Malignant, n=64; benign, n=9 | Direct, n=73 | EC LAMS (Hot AXIOS) | 15×10, n=64; 20×10, n=4 | 93 (68/73) | 97 (66/68) | 7.4 | Misdeployment, n=3; hemoperitoneium, n=1; stent migration, n=1 | 15 |
| Sobani et al. (2021)31 | Single center, retrospective | 31 | Malignant, n=23; benign, n=8 | Balloon-assisted, n=31 | EC LAMS (Hot AXIOS) | 20×10 | 100 | 93.5 | 3.2 | Bleeding, n=1 | 0 |
| Basha et al. (2021)33 | Single center, retrospective | 31 | Malignant, n=29; benign, n=2 | EPASS, n=27; nasobiliary, n=4 | EC LAMS (Hot AXIOS) | 15×10, 20×10 | 90.3 (ascites, 91.6%; without ascites, 89.4%) | 87.1 (ascites, 83.3%; without ascites, 89.4%) | 6.4 (ascites, 0%; without ascites, 10.5%) | Colonic perforation, n=1; bleeding, n=1 | NA |
| Nguyen et al. (2021)34 | Single center, retrospective | 42 | Malignant, n=35; benign, n=7 | oroenteric catheter-assisted | EC LAMS (Hot AXIOS) | 15×10 | 98 | 93 | 7 | Misdeployment, n=1; stent occlusion, n=2 | NA |
| Bejjani et al. (2022)22 | International multicenter, retrospective | 267 | Malignant, n=267 | Direct, balloon-assisted | EC LAMS (Hot AXIOS) | 15×10, n=148; 20×10, n=119 | 95.5 (15-mm LAMS, 96%; 20-mm LAMS, 95%) | 87 (15-mm LAMS, 89.2%; 20-mm LAMS, 84.1%) | 12.4 (15-mm LAMS, 12.8%; 20-mm LAMS, 11.8%) | Misdeployment, n=23; aspiration pneumonia, n=3; small-bowl perforation, n=2; shock/bacteremia, n=2; peritonitis, n=1; others, n=2 | 1.9 (5/267) |
| Abbas et al. (2022)45 | Single center, prospective | 50 | Malignant, n=50 | USE-assisted | EC LAMS (Hot AXIOS) | 15×10, 20×10 | 100 | 92 | 4 | LAMS dislodgement, n=1; gastro-colonic fistula, n=1 | 16 |
| Sánchez-Aldehuelo et al. (2022)39 (EUS-GE vs. ES) | Multicenter, retrospective | 79 | Malignant, n=79 | Nasobiliary, n=79 | EC LAMS (Hot AXIOS) | 15×10, 20×10 | 93.7 | 92.4 | 10.1 | Misdeployment, n=3; bleeding, n=2; perforation, n=1; severe pain, n=1; aspiration, n=1 | 2.5 (2/79) |
| Fischer et al. (2022)40 | Two-center, retrospective | 45 | Malignant, n=39; benign, n=4; unclear, n=2 | USE-assisted, n=18; nasobiliary, n=27 | EC LAMS (Hot AXIOS) | 10×10, n=1; 15×10, n=14; 20×10, n=30 | 98 | 95 | 24 | Stent misplacement, n=7; bleeding, n=2; leakage, n=1; gastrojejunocolic fistula, n=1 | 18 |
| Choi et al. (2022)41 | Single center, retrospective | 52 | Malignant, n=41; benign, n=11 | Endoscope-assisted nasobiliary | NEC LAMS (AXIOS), n=6; EC LAMS (Hot AXIOS), n=46 | 10×10, n=3; 15×10, n=47; 20×10, n=1 | 92.3 | 80.8 | 26.9 | Misdeployment, n=7; pneumoperitoneium, n=2; migration, n=1; miscellaneous, n=4 | 17.3 |
| Mahmoud et al. (2022)30 | Single center, retrospective | 55 | Malignant, n=55 | Direct, n=7; dual scope assisted, n=10; balloon-assisted, n=8; nasobiliary, n=30 | NEC LAMS (AXIOS), n=1; EC LAMS (Hot AXIOS), n=54 | NA | 94.8 (55/58) | 91.7 (51/55) (ascites, 91.7%; without ascites, 93.5%) | 27.2 (15/55) (ascites, 37.5%; without ascites, 19.4%) | Misdeployment, n=5; stent migration, n=1; abdominal pain, n=5; DVT, n=1; tissue ingrowth, n=1; cholangitis, n=1; peritonitis, n=2; sepsis, n=2 | 3.6 |
| Perez-Cuadrado-Robles et al. (2022)42 | Single center, retrospective | 28 | Malignant, n=28 | Oroenteric catheter-assisted | EC LAMS (Hot AXIOS) | 20×10 | 89.3 | 88 | 7.1 | Gastrocolic fistula, n=1; colonic perforation, n=1 | 18.2 |
| van Wanrooij et al. (2022)32 (EUS-GE vs. ES) | International multicenter, retrospective | 107 | Malignant, n=107 | Nasobiliary | EC LAMS (Hot AXIOS) | 15×10, 20×10 | 94 | 91 | 10.2 | Misdeployment, n=3; aspiration pneumonia, n=1; cholangits, n=3; bleeding, n=1 | 1 |
| Garcia-Alonso et al. (2023)43 | Multicenter, prospective | 64 | Malignant, n=64 | Nasobiliary | EC LAMS (Hot AXIOS) | 15×10, 20×10 | 98.4 | 83.3 | 15.6 | Bleeding, n=2; perforation, n=2; stent dysfunction, n=1; bacteremia, n=1; aspiration pneumonia, n=1 | 15.2 |
| Chan et al. (2023)50 (EUS-GE vs. ES vs. SGJ) | Two-center, retrospective | 30 | Malignant, n=30 | EPASS, n=30 | EC LAMS (Hot AXIOS) | 15×10, 20×10 | 93.3 | 93.3 | 6.7 (2/30) | Misdeployment, n=1; biliary obstruction, n=1 | 1 |
| Monino et al. (2023)23 | Multicenter, retrospective | 71 | Malignant, n=57; benign, n=14 | Direct, n=30; nasojejunal draing, n=41 | EC LAMS (Hot AXIOS) | 20×10 | 85.9 (WEST, 95.1%; DTOG, 73.3%) | 94.1 (WEST, 97.5; DTOG, 89.3%) | 28.2 (WEST, 14.6%; DTOG, 46.7%) | Misdeployment, n=8; abdominal pain, n=5; vomiting, n=2; delayed bleeding, n=1; peritonitis, n=3; infection, n=3; stent occlusion, n=2; perforation, n=1; LAMS migration, n=1; gastrocolonic–jejunal fistula, n=1; massive jejunalischemia, n=1 | NA |
| Mangiavillano et al. (2023)35 | Multicenter, retrospective | 25 | Malignant, n=22; benign, n=3 | Nasobiliary, n=25 | EC LAMS (Hot-Spaxus) | 10×20, n=5; 16×20, n=20 | 100 | 68 | 0 | 0 | NA |
| Rai et al. (2023)36 | Single center, retrospective | 30 | Malignant, n=26; benign, n=4 | Nasojejunal tube-assisted, n=30 | EC LAMS (Hot AXIOS) | 20×10 | 96.7 (29/30) | 100 (29/29) | 6.7 | Bleeding, n=1; stent migration, n=1 | NA |
| Kahaleh et al. (2024)44 | International multicenter, retrospective | 103 | Malignant, n=72; benign, n=31 | Direct, balloon-assisted, | NEC LAMS (Axios), n=25; EC LAMS (Hot AXIOS), n=78 | 15×10, n=36; 20×10, n=67 | 82.5 (malignant, 83%; benign, 80.6%) | 81.6 (malignant, 83%; benign, 77.4%) | Immediate AE, 11.6% (malignant, 11%; benign, 13%); short-term AE, 19.4% (malignant, 15.2%; benign, 29%) | Misdeployment, n=2; infection, n=5; abdominal pain, n=3; bacterial peritonitis, n=5; ascites infection, n=1; | NA |
| USE-assisted, nasobiliary | GI bleeding, n=2; retroperitoneal abscess, n=1; LAMS-related jejunal ulcer with bleeding, n=1; pneumoperitoneium, n=1; perforation, n=2; hypotension, n=2; secondary obstruction, n=2 | ||||||||||
| On et al. (2023)24 | Multicenter, retrospective | 25 | Malignant, n=22; benign, n=3 | Direct, n=18; orojejunal tube, n=7 | EC LAMS (Hot AXIOS), n=25 | 15×10, n=4; 20×10, n=21 | 92 (23/25) | 100 (23/23) | 8 | Misdeployment, n=2 | 4.8 |
LAMS, Lumen-apposing metal stents; AE, adverse event; GOO, gastric outlet obstruction; NEC, non-electrocautery; EPASS, endoscopic ultrasound-guide double-balloon-occluded gastrojejunostomy bypass; EC, electrocautery; USE, ultraslim endoscope; NOTES, natural orifice transluminal endoscopic surgery; NA, not applicable; EUS-GE, endoscopic ultrasound-guided gastroenterostomy; ES: endoscopic stenting; SGJ, surgical gastrojejunostomy; WEST, wireless endoscopic simplified technique; DTOG, direct technique over a guidewire.



PDF
Citation
Print



XML Download