Abstract
Background/Aims
Small polyps are the most frequently detected lesions during colonoscopy, with an incomplete resection rate of 6.8% to 15.9%. This study aimed to improve small polyp cold snare resection radicality using submucosal contrast dye pre-lifting (PL+CSP).
Methods
This single-center, prospective, randomized controlled trial compared the standard cold snare polypectomy technique (PL-CSP) with PL+CSP to evaluate endoscopic and histological complete resection rates, adverse events, procedural times, and polyp retrieval failure rates.
Results:
In 143 patients consecutively enrolled, 186 small polyps were detected and randomly assigned following a 1:1 ratio to the PL-CSP (n=97, 51.6%) and PL+CSP (n=90, 48.4%) techniques. Endoscopic (p=0.97) and histologic (p=0.23) complete resection rates did not differ significantly even in univariate analysis. The intraprocedural bleeding rate was significantly higher in the PL+CSP group as confirmed by the univariate analysis (35.8% vs. 8.3%, p<0.001). The polyps retrieval failure rates were similar (p=0.83). Procedural time was significantly longer for PL+CSP (median time, 75 vs. 45 seconds; p<0.001), without impacting colonoscopy withdrawal time (p=0.215).
Small polyps (<10 mm) are the most frequently detected polypoid lesions on colonoscopy (90%).1 However, despite their small dimensions, a considerable rate (4.6%–27%) of these lesions carry histological features of advanced adenoma.2,3
The European Society of Gastrointestinal Endoscopy (ESGE) guidelines recommend cold snare polypectomy (CSP) as the treatment of choice for endoscopic resection of sessile small polyps,4 given its good safety profile5 and efficacy in terms of radical resection.6 However, the incomplete resection rate of small polyps currently ranges from 6.8% to 15.9%.7,8 Furthermore, the CSP technique is significantly associated with polyp retrieval failure during colonoscopy9 due to the fragmentation of specimens inside the suction channel10 or the loss of fecal waste. Given that incomplete polyp resection has been estimated to cause 10% to 28% of all interval colorectal cancers (CRCs),11 the selection of the best endoscopic resection technique, even for small polyps, is crucial to guarantee radical removal of the lesion. Submucosal injection during CSP for endoscopic resection of small non-pedunculated polyps failed to show improvement in histological complete resection and the rate of adverse events compared with hot snare polypectomy12 or CSP not preceded by submucosal saline injection.13-15
Therefore, we postulated that submucosal pre-lifting with a contrast dye solution (saline and indigo carmine), routinely employed for hot snare endoscopic mucosal resection, could lead to a higher complete resection rate of non-pedunculated small polyps (6–9 mm) by CSP given the better demarcation of margin lesions by the contrast dye thus aiding the endoscopist during the procedure. This study is a prospective randomized trial that aimed to compare routine CSP (PL-CSP) to the same technique preceded by a submucosal pre-lifting with saline-indigo carmine solution (PL+CSP) for removal of non-pedunculated small polyps (6–9 mm) in terms of (1) endoscopic complete resection (ECR), (2) histologic complete resection (HCR) rate, (3) early and late adverse events rate, (4) polyp retrieval failure rate, and (5) procedure time.
This prospective single-center randomized controlled clinical trial conducted in the Complex Gastroenterology Department of Bologna Azienda Unità Sanitaria Locale (AUSL) aimed to compare the PL+CSP and PL-CSP techniques for the resection of non-pedunculated small polyps (6–9 mm). All the Digestive Endoscopic Service points, afferent to the Complex Gastroenterology Department of Bologna AUSL and situated in five different hospitals (Bellaria, Maggiore, Bentivoglio, San Giovanni in Persiceto, and Bazzano Hospitals), were involved in the experiment.
This study aimed to evaluate the following aspects of the performance of the two resection techniques: (1) The ECR rate was defined as the absence of visible residual adenomatous tissue after margin inspection with narrow-banding imaging (NBI) at the end of polypectomy; (2) The HCR rate, which is defined by polyp margin specimens free from adenomatous tissue at histopathological analysis. Margins were considered negative if at least one non-dysplastic crypt was present on both sides of the polyp; (3) Early and late adverse event rates; (4) Polyp retrieval failure rate; and (5) Procedure time.
The study was conducted from September 1, 2021, to May 1, 2023. The endoscopic procedures were performed at all Digestive Endoscopic Service points, which shared the same medical staff, who worked in shifts in all five hospitals, and were equipped with the same endoscopic instruments and devices.
Patients aged 18 to 85 years who were able to provide written informed consent were prospectively enrolled if one or more 6 to 9 mm non-pedunculated polyps were detected during elective colonoscopy. The exclusion criteria were the following: (1) Boston bowel preparation scale (BBPS) less than 6, (2) patient history of intestinal inflammatory disease, (3) known coagulopathy (international normalized ratio ≥1.5 or platelet count ≤50,000/mm3), (4) double antiplatelet or anticoagulant therapy not discontinued following ESGE recommendations,16 (5) personal history of gastrointestinal polyposis, and (6) pregnancy.
Each patient scheduled for elective colonoscopy at the Digestive Endoscopy Service points was invited to participate in this study. After obtaining written informed consent, the patients were enrolled if one or more eligible polyps were detected.
Enrolled patients were assigned following a 1:1 ratio to an endoscopic resection technique (PL+CSP or PL-CSP) after consultation with a block randomization sequence available at each Digestive Endoscopy Service point previously generated by specific software. The assigned technique was then applied to each small (6–9 mm) non-pedunculated polyp detected during colonoscopy and performed at each involved Digestive Endoscopy Service point during the same session. When different techniques were applied by the endoscopist, data were collected using the study Case Report Form.
All procedures were performed by twelve experienced endoscopists at the five mentioned Digestive Endoscopy Service points. Colonoscopies were performed after routine bowel preparation under conscious sedation following patient preference using standard, pediatric, or long colonoscopes (Olympus) equipped with NBI technology.
The polyp size was estimated by visual comparison with the snare diameter (10 mm) or snare/needle catheter diameter (3 mm). The polyp morphology was described following the Paris classification.17 After eligible polyps were identified and the randomization list was consulted, polypectomy was performed as follows: (1) PL-CSP technique: The polyp was resected by a currently used 10 mm diameter snare polypectomy (Meditalia; Biomedica S.R.L.). The specimen was collected in a polyp trap after suction. The polypectomy site was carefully inspected using NBI to check for residual adenomatous tissue. In the absence of residual tissue, the ECR was considered satisfactory. If residual adenomatous tissue was detected at the polypectomy site, it was resected using CSP or biopsy forceps, following the dimensions of the residual polyps and the endoscopist’s preference. (2) PL+CSP technique: Using a 23 gauge needle (Boston Scientific), the polyp was first lifted by submucosal injection of a mixture of saline solution and indigo carmine. Polypectomy was performed using the PL-CSP.
During the polypectomy procedures, the endoscopist also checked for intraprocedural bleeding (spurting or oozing active bleeding lasting for more than 60 seconds or requiring endoscopic hemostasis) and signs of early post-polypectomy perforation. The procedural time was calculated from the introduction of devices for polypectomy inside the working channel to the appearance of specimens inside the polyp trap. Withdrawal time was calculated during colonoscope retraction from the cecum to the anus.
Enrolled patients underwent clinical observation for at least 1 hour after colonoscopy to check for early adverse events. Thirty days after hospital discharge, each enrolled patient was interviewed by phone and asked about late post-procedure adverse events.
All eligible specimens were collected in separate formaldehyde containers (BiopSafe; Axlab) with the cutting base oriented on graph paper and enclosed inside a white cassette for histopathologic analysis. After proper fixation (12–24 hours), samples were macroscopically examined by two dedicated pathologists (PB or AF). If the specimen was ≥8 mm in the greatest axis, it was removed from the graph paper and cut into two parts along the longitudinal axis. If it was <8 mm, it was left on the graph paper and processed for histopathological analysis. Hematoxylin and eosin (H&E) slides were examined at least at three levels, the distance of which being 250 microns, or until consumption of the sample if the polyp base was not visible.
Excision margins were classified as not assessable, negative, or positive/intralesional. A polyp base with an intact or fragmented muscularis mucosa was the conditio sine qua non for margins to be considered assessable (Figs. 1, 2). Margins were considered negative if at least one non-dysplastic crypt was present on either side of the polyp. Pathological diagnoses were made following the 2019 World Health Organization classification of digestive system tumors.
The sample size calculation was made employing the “Sample Size Calculator” from www.statology.org, considering the reported rates of histological complete resection by standard CSP (72%–73%)15 and the results of histological radicality obtained by contrast dye-preceded submucosal infiltration CSP in our pilot study (90%). The pilot study was performed by a small group of endoscopists (RS, AMP, FL, unpublished observations), and the results obtained were in line with those of the pilot study of Shimodate et al. (88%).15
Therefore, given 80% statistical power and a 0.05 alpha error, the required sample size was at least 142 required cases. Considering a 5% rate of study dropout and that ≥1 small polyp may be detected in each patient, 150 patients were enrolled with at least one small polyp detected; 75 patients each were assigned to the PL-CSP and PL+CSP groups.
Statistical analysis was performed using the “R Core Team ver. 2021: a language and environment for statistical computing” software (Foundation for Statistical Computing). Continuous variables were described using median value and interquartile range (IQR), while categorical variables were expressed as frequencies and proportions. Qualitative and quantitative variables were compared using the χ2 and Mann-Whitney U-tests, respectively. p-values <0.05 were considered statistically significant.
The primary outcome of this study was to compare the efficacy of the two techniques (PL+CSP vs. PL-CSP) in terms of (1) the ECR rate (absence of visible residual adenomatous tissue after margin inspection with NBI) and (2) the HCR rate (polyp margin specimen free from adenomatous tissue).
Secondary outcomes compared the procedures’ safety in terms of (1) intraprocedural bleeding rate (spurting or oozing active bleeding lasting for more than 60 seconds or requiring endoscopic hemostasis), (2) early post-procedural bleeding rate (active bleeding occurring after the end of the colonoscopy, until patient discharge from the observation room), (3) early perforation rate (endoscopic signs of iatrogenic perforation on polypectomy site or radiologic signs of perforation in patients with suspected clinical signs observed during post-colonoscopy observation), (4) late post-procedural bleeding rate (bleeding from the polypectomy site occurring from patient discharge until 30 days after the procedure), and (5) late post-procedural iatrogenic perforation rate related to the polypectomy observed and documented after patient discharge within 30 days after procedure. Finally, procedural time and polyp retrieval failure rate were compared.
The study protocol conformed to the ethical guidelines of the 1975 Declaration of Helsinki18 and was approved by the Comitato Etico Area Vasta Emilia Centro (AVEC) (October 9, 2020, CE AVEC n. 852-2020-SPER-AUSLBO). Moreover, it was accompanied by an additional insurance policy for each enrolled patient to promote patient coverage for study-related adverse events. Written informed consent was obtained from each study participant, and written documents describing the study details were provided to each enrolled patient.
One hundred and fifty patients were consecutively enrolled for the study following eligibility criteria. However, seven participants dropped out during different phases of the study; three retracted their consent after the endoscopic procedures, while four of them were unavailable at the “re-calling” phase 30 days after the procedure. Figure 3 illustrates a flowchart reporting all phases of study enrollment. Therefore, 143 enrolled patients completed the study. The study was concluded in June 2023 after reaching the minimum sample size (n=150) expected to be sufficient to reach primary and secondary outcomes, as hypothesized during the drafting protocol.
Table 1 summarizes the patients’ overall characteristics. The median age was 66 years old (IQR, 61–73), and 48 (33.6%) were female, while 95 (66.4%) were male. Most participants were enrolled in the Bellaria Hospital Colon Unit (48.3%). The most common indications for colonoscopy were colorectal cancer screening (47.6%), post-polypectomy surveillance (20.3%), and colorectal bleeding (10.5%). In total, 29 (20.3%) and 6 (4.2%) patients were taking antiplatelet and anticoagulant drugs, respectively. However, these drugs were discontinued appropriately before the procedure. Regarding comorbidities, 80 (55.9%), 11 (7.7%), and 5 (3.5%) had hypertension, chronic kidney disease, and chronic heart failure (functional class I-II, New York Heart Association), respectively. None of the patients had liver cirrhosis. Meanwhile, 72 patients (50.3%) were randomly assigned to the PL-CSP technique, while 71 (49.7%) were assigned to the PL+CSP group.
Tables 2 and 3 report the patient and polyp characteristics, respectively, subdivided by the polypectomy technique. Among 186 detected eligible polyps, 96 (51.6%) and 90 (48.4%) were resected using the PL-CSP and PL+CSP techniques, respectively. Comparing the clinical characteristics of the two groups, only BBPS, differed significantly between the two populations. In particular, a better median score was observed in the PL-CSP population compared to the PL+CSP group (8 vs. 7, p=0.043).
Table 4 reports the primary and secondary outcomes. The ECR was reached in all PL-CSP polypectomy cases. In one PL+CSP polypectomy case, the ECR was not satisfied, and the residual visible adenomatous tissue was resected by cold biopsy forceps. The ECR rates were not significantly different (p=0.97): 100% and 98.8% for PL-CSP and PL+CSP, respectively. Similarly, the HCR rates did not differ significantly (p=0.23): 35.4% and 41.1% for the PL-CSP and PL+CSP techniques, respectively. Among cases wherein the HCR was unsatisfactory in the PL-CSP group, four cases (4.2%) had positive margins in histological specimens, whereas in most cases (n=58; 60.4%), the histological radicality was unclear. In the PL+CSP group, eight cases (8.9%) had positive margins, while in 45 cases (50.0%), histological radicality was not clearly definable.
Regarding the minority of cases of indefinite histological margins in the PL+CSP group (58 vs. 45), the rates of all unsatisfactory HCR cases (positive margins and indefinite margins) were compared but the difference was not statistically significant for both the positive (p=0.517) and indefinite (p=0.15) margins.
Moreover, the polypectomy technique did not affect the HCR in the univariate analysis compared to other factors (polyp size, morphology, location, and BBPS), as illustrated in Table 5.
Regarding procedural safety, early or late post-procedural bleeding and iatrogenic perforation were not observed. However, intraprocedural bleeding was observed in 40 cases (21.5%) and was successfully treated with mechanical hemostasis (endoclips) in all cases; 32 in the PL+CSP group and eight in the PL-CSP group. The intraprocedural bleeding rates were 35.8% and 8.3%, respectively, and the difference was statistically significant (p<0.001).
Therefore, univariate analysis (Table 6) was employed to evaluate which factors were associated with intraprocedural bleeding, comparing polypectomy technique to patient age, antiplatelet and anticoagulant drug use, comorbidities, BBPS, and polyp characteristics (location, size, and morphology). The factors associated with this complication were polypectomy technique (p<0.001) and polyp size (p=0.009).
However, when comparing the potential risk factors associated with intraprocedural bleeding between the two techniques (PL+CSP vs. PL-CSP), patient age (p=0.178), antiplatelet and anticoagulant drug use (p=0.658), comorbidity (p=0.249), polyp right location (p=0.173), size (p=912), and villous/tubulovillous histology (p=0.925) were not statistically significantly different.
Polyp morphology (p=0.008) differed significantly between the two groups. However, the only category resulting in a significant difference was flat morphology (p=0.04), which was more frequent in the PL+CSP group (Table 3). Sessile (p=0.073) and semi-pedunculated (p=0.728) morphologies, which are expected to be associated with more frequent intraprocedural bleeding, were not significantly different between the two populations.
The overall polyp retrieval failure rate was 5.3%. In the PL-CSP and PL+CSP groups two (2.1%) and eight (8.9%) polyps, respectively, were lost during the retrieval phase. However, this difference was not statistically significant (p=0.83). These cases comprised a group of undetermined HCRs and are not illustrated in Table 4. In the univariate analysis (Table 7), the only factor associated with polyp retrieval failure was the bowel preparation score (p=0.035). The bowel preparation score differed significantly between the two groups (p=0.043; Table 2), with lower scores in the PL+CSP group.
As expected, the PL+CSP technique was significantly (p<0.001) more time-consuming than PL-CSP given the procedural polypectomy time (median 75 seconds for PL+CSP vs. 45 seconds for PL-CSP procedure). However, the polypectomy technique did not affect overall colonoscopy withdrawal time (p=0.215).
The current study demonstrated that contrary to our speculations, contrast dye submucosal pre-lifting is not advantageous in terms of both endoscopic and histological radicality for small polyp cold snare resection. Moreover, this technique does not improve polyp sample retrieval. Rather, PL+CSP showed a higher rate of intraprocedural bleeding and resulted in longer procedure times.
The ECR rates between the two procedures (PL+CSP vs. PL-CSP) were not significantly different (p=0.97), confirming previous observations by Mou et al.13 and Song et al.14 In contrast to these studies wherein pre-lifting was performed using a saline solution,13,14 we employed a contrast dye solution, postulating the potential advantages of margin demarcation. The failure to demonstrate the advantages of the technique in our study could be justified by the small sample size and the unsatisfactory number of exiguous cases of ECR.
In contrast to the studies by Mou et al.13 and Song et al.,14 we also analyzed HCR. In both studies, complete resection was defined when the endoscopist could correctly inspect the polypectomy site margins and exclude macroscopic adenomatous tissue. Only among patients with clearly visible or suspected residual adenomatous tissue were adjunctive resections14 or targeted biopsies13 performed.
Shimodate et al.15 analyzed histological radicality by evaluating (1) the rate of complete muscularis mucosa resection (defined by the proportion of muscularis mucosa under the tumor being more than 80% of the tumor's horizontal dimension), (2) the rate of negative lateral, and (3) vertical margins. Regarding the first parameter, the difference between the two techniques was not statistically significant, while the rates of negative lateral and vertical margins were significantly lower in cases of submucosal infiltration (p=0.03 and p=0.006, respectively).
In our study, after polyp sample histological preparation, two experienced and dedicated pathologists inspected the horizontal specimen margins to evaluate the presence or absence of adenomatous tissue. Strict histopathological criteria were used in the present study. Specifically, margins were considered assessable when the polyp base, along with intact or fragmented muscularis mucosae, was present in at least one of the H&E levels obtained, and when no less than one non-dysplastic crypt was present on both sides of the polyp. When these criteria were not met and in cases of polyp loss or fragmentation, HCR was considered indefinite. The results obtained in our study demonstrated a non-significant difference between the two techniques (PL+CSP vs. PL-CSP) in terms of (1) rate of histological specimens with margins free from adenomatous tissue (41.1% vs. 35.4%, p=0.23), (2) rate of specimens with margins involved by adenomatous tissue (8.9% vs. 4.2%, p=0.263), and (3) rate of specimens with indefinite margins (50% vs. 60.4%, p=0.153). Even when comparing the rate of polyps with satisfactory HCR and cases with unsatisfactory HCR (defined as the sum of positive and indefinite margins), the difference was not statistically significant (p=0.517). Univariate analysis, as illustrated in Table 5, confirmed the unsatisfactory results. Furthermore, the histological evaluation of the specimen margins did not benefit from the contrast dye solution because the latter was removed using formaldehyde.
The main reason for the high rate of indefinite HCR is the size and nature of the specimen, which could not enable proper orientation. Colonic mucosal fragments are very soft, even when adenomatous, and tend to curl up, especially when immersed in formalin. Even when placed on graph paper, the polyp base is often undetectable in histological sections.
In contrast to previous studies, we compared ECR and HCR between the two techniques. ECR and HCR rates displayed non-negligible discrepancies in the same categories. In fact, polyps resected using the PL+CSP technique achieved a high ECR rate (98.8%) but a low HCR rate (41.1%), and polyps resected using the PL-CSP technique achieved ECR in all cases (100%), while the histological radicality was low (35.4%). These observations emphasize that in small polyp resection, the apparent macroscopic radicality is confirmed by histological analysis in some cases. This aspect must be considered during the endoscopic approach for such small lesions. Moreover, considering that a non-negligible rate of small polyps (ranging from 4.6%–27%) carries histological features of advanced adenoma,3,7 more efforts must be made to optimize the radical endoscopic resection of small polyps.
No serious or life-threatening adverse events were observed regarding the safety of this new technique (PL+CSP) (Table 4). Only cases of intraprocedural bleeding that resolved with mechanical hemostasis were reported. Surprisingly, the rate of this event was significantly higher in the PL+CSP population (35.6% vs. 8.3%, p<0.001), and this observation was independent of other contributing factors (age, drugs, comorbidities, and polyp characteristics), except for polyp size (p=0.009).
However, when comparing the polyp characteristics between the two groups (PL+CSP vs. PL-CSP) (Table 3), only polyp morphology differed significantly (p=0.008), particularly flat morphology (p=0.04), which was more frequent in the PL+CSP population (Table 3). In contrast, sessile (p=0.073) and semi-pedunculated (p=0.728) morphologies, which are associated with a higher bleeding risk, as well as polyp size (p=0.912), were not significantly different between the two populations.
We postulated that repeated attempts at needle mucosal puncture to provide the correct submucosal infiltration of such small polyps would contribute to an increased rate of intraprocedural bleeding. Moreover, the observed higher incidence of flat polyps in which endoscopic resection is more technically difficult, especially for small flat polyps, may have contributed to the increased bleeding rate in the PL+CSP population. Furthermore, the worse bowel preparation score observed in the PL+CSP group (Table 2) might have increased the technical difficulties during polypectomy in this group, even if the preparation score did not impact intraprocedural bleeding in univariate analysis (Table 6). However, no severe or refractory bleeding was observed. As such, refining the infiltration strategy of small polyps, such as employing thinner needles (25 gauge), may decrease the intraprocedural bleeding rate.
Statistically significant differences between the two techniques were also observed in procedural time, which was significantly higher in the PL+CSP technique (median 75 vs. 45 seconds, p<0.001), confirming Mou et al.’s study results (108 vs. 48 seconds, p<0.001).13 However, even if these results make PL+CSP "time-consuming,” the overall withdrawal time was not impacted.
Meanwhile, the polyp retrieval failure rate did not differ significantly between the two techniques (p=0.083). Even in the univariate analysis, as illustrated in Table 7, the only factor correlated with polyp retrieval failure was the bowel preparation score (p=0.035). The statistically significant difference in bowel preparation scores between the two groups (median, 7; IQR, 6–8 for the PL+CSP technique vs. median, 8; IQR, 6–9; p=0.043; Table 2) and the worse bowel preparation score in the PL+CSP population may have contributed to our failure to demonstrate the advantages of this technique in polyp retrieval rate. In fact, contrast dye submucosal infiltration may theoretically contribute to improving polyp sample retrieval due to better visualization of indigo carmine-contrasted resected polyps and the increase in sample volume from submucosal infiltration. Therefore, worse preparation in the PL+CSP group might have affected the retrieval failure of polyps.
In the case of sample retrieval failure, the HCR was considered undetermined. Despite the number of indefinable HCR cases was not significantly different between the two groups and fewer cases were observed in the PL+CSP group (Table 4), this aspect may have affected our failure to demonstrate the advantages of submucosal contrast dye infiltration on histological radicality.
The current study has some limitations. First, the small sample size and, consequently, the exiguous number of cases in which ECR was not satisfied (only in 1 case of 186 total enrolled polyps) makes the comparison of ECR rates between the two techniques scarcely conclusive and unrealistic.
Second, HCR rates were affected by a small number of cases with indefinite specimen margins (103 of 186 total polyps or 55.4% of cases). Most cases of indefinite margins were due to specimen fragmentation (a commonly observed drawback during small polyp cold snare resection) and incorrect orientation of the specimens. During pathological analysis, both the lateral and deep (presence/absence of muscularis mucosae) margins were evaluated. Taking into account the deep (vertical) and lateral (horizontal) margins separately yielded different results. Evaluating lateral margins can be difficult for different reasons, such as tissue damage/fragmentation (through the suction channel) and especially for the retraction of the muscularis mucosae, which causes curling of the healthy edges of the fragment. This complicated correcting the orientation of the specimen.
Moreover, the 4% formaldehyde fixative solution removed indigo carmine from the specimen very quickly because indigo carmine is a water-soluble dye. Thus, submucosal indigo carmine infiltration of polyps does not help evaluate specimen orientation and histological lateral margins. Consequently, research on other contrast dye solutions, available for endoscopic procedures and resistant to formaldehyde, would help overcome this limitation. The technical skills of both the endoscopic nursing staff during sample placement on the graph paper and the histopathology technicians during paraffin embedding procedures should also be improved. Refining nursing staff on correct specimen collection by employing auxiliary devices (e.g., a magnifying glass) could enhance the histological margin evaluation.
Third, the worse BBPS in the PL+CSP group may have contributed to an increase in indefinite HCRs due to sample retrieval failure. In fact, even in the univariate analysis (Table 5), the preparation score did not impact HCR, and in the PL+CSP population, the number of indefinite HCR cases was inferior to that in the PL-CSP group (45 vs. 58). The number of polyps that were not negligible (8 in PL+CSP vs. 2 in PL-CSP) might have impacted our failure to demonstrate the advantages of submucosal infiltration on HCR results.
Fourth, the infiltration needle employed (23 gauge) might have influenced the intraprocedural bleeding rate observed in the PL+CSP population, as well as the procedural time (due to the difficult submucosal infiltration of such small polyps). Therefore, employing a thinner needle (25 gauge) may obviate these disadvantages.
In conclusion, our study failed to demonstrate the advantages of the PL+CSP technique, even with contrast dye solution, over the standard CSP technique for small (5–9 mm) non-pedunculated polyp resection in terms of macroscopic and microscopic radicality, as well as for polyp retrieval failure. The PL+CSP technique resulted in longer procedure times without significant impact on colonoscopy withdrawal time and was affected by higher intraprocedural bleeding rates, even if without serious adverse events. Better results could be obtained by increasing the sample size and improving the specimen collection. However, our study highlighted that the techniques routinely employed for the resection and histological analysis of large polyps failed to achieve the same efficacy on small polyps. Therefore, experiences extrapolated from the approach to large polyps seem to collapse in front of the less-known “small polyps world”.
Notes
Author Contributions
Conceptualization: RS, PB, AF, FL, AG, VC; Data curation: RS, PB, AF, FL, AG, VC; Formal analysis: DA; Investigation: all authors; Methodology: RS, PB, AF, FL, AG, VC; Project administration: RS, FL, VC; Supervision: RS, FL, VC; Validation: RS, FL, VC; Writing–original draft: RS; Writing–review & editing: all authors.
REFERENCES
1. Vleugels JL, Hazewinkel Y, Fockens P, et al. Natural history of diminutive and small colorectal polyps: a systematic literature review. Gastrointest Endosc. 2017; 85:1169–1176. DOI: 10.1016/j.gie.2016.12.014. PMID: 28024986.
2. Hassan C, Pickhardt PJ, Kim DH, et al. Systematic review: distribution of advanced neoplasia according to polyp size at screening colonoscopy. Aliment Pharmacol Ther. 2010; 31:210–217. DOI: 10.1111/j.1365-2036.2009.04160.x. PMID: 19814745.
3. Tsai FC, Strum WB. Prevalence of advanced adenomas in small and diminutive colon polyps using direct measurement of size. Dig Dis Sci. 2011; 56:2384–2388. DOI: 10.1007/s10620-011-1598-x. PMID: 21318587.
4. Ferlitsch M, Moss A, Hassan C, et al. Colorectal polypectomy and endoscopic mucosal resection (EMR): European Society of Gastrointestinal Endoscopy (ESGE) Clinical Guideline. Endoscopy. 2017; 49:270–297. DOI: 10.1055/s-0043-102569. PMID: 28212588.
5. Ichise Y, Horiuchi A, Nakayama Y, et al. Prospective randomized comparison of cold snare polypectomy and conventional polypectomy for small colorectal polyps. Digestion. 2011; 84:78–81. DOI: 10.1159/000323959. PMID: 21494037.
6. Kim JS, Lee BI, Choi H, et al. Cold snare polypectomy versus cold forceps polypectomy for diminutive and small colorectal polyps: a randomized controlled trial. Gastrointest Endosc. 2015; 81:741–747. DOI: 10.1016/j.gie.2014.11.048. PMID: 25708763.
7. Pedersen IB, Bretthauer M, Kalager M, et al. Incomplete endoscopic resection of colorectal polyps: a prospective quality assurance study. Endoscopy. 2021; 53:383–391. DOI: 10.1055/a-1243-0379. PMID: 32961579.
8. Li X, Zhu H, Li F, et al. Different endoscopic treatments for small colorectal polyps: a systematic review, pair-wise, and network meta-analysis. Front Med (Lausanne). 2023; 10:1154411. DOI: 10.3389/fmed.2023.1154411. PMID: 37089613.
9. Komeda Y, Suzuki N, Sarah M, et al. Factors associated with failed polyp retrieval at screening colonoscopy. Gastrointest Endosc. 2013; 77:395–400. DOI: 10.1016/j.gie.2012.10.007. PMID: 23211749.
10. Ichihara S, Uraoka T, Oka S. Challenges associated with the pathological diagnosis of colorectal tumors less than 10 mm in size. Dig Endosc. 2018; 30 Suppl 1:41–44. DOI: 10.1111/den.13038. PMID: 29658649.
11. Pohl H, Anderson JC, Aguilera-Fish A, et al. Recurrence of colorectal neoplastic polyps after incomplete resection. Ann Intern Med. 2021; 174:1377–1384. DOI: 10.7326/m20-6689. PMID: 34370514.
12. Papastergiou V, Paraskeva KD, Fragaki M, et al. Cold versus hot endoscopic mucosal resection for nonpedunculated colorectal polyps sized 6-10 mm: a randomized trial. Endoscopy. 2018; 50:403–411. DOI: 10.1055/s-0043-118594. PMID: 28898922.
13. Mou Y, Ye L, Qin X, et al. Impact of submucosal saline injection during cold snare polypectomy for colorectal polyps sized 3-9 mm: a multicenter randomized controlled trial. Am J Gastroenterol. 2023; 118:1848–1854. DOI: 10.14309/ajg.0000000000002329. PMID: 37207320.
14. Song JH, Friedland S. Is submucosal injection helpful in cold snare polypectomy for small colorectal polyps? Clin Endosc. 2021; 54:397–403. DOI: 10.5946/ce.2020.226. PMID: 33557513.
15. Shimodate Y, Itakura J, Takayama H, et al. Impact of submucosal saline solution injection for cold snare polypectomy of small colorectal polyps: a randomized controlled study. Gastrointest Endosc. 2020; 92:715–722. DOI: 10.1016/j.gie.2020.05.039. PMID: 32492377.
16. Veitch AM, Radaelli F, Alikhan R, et al. Endoscopy in patients on antiplatelet or anticoagulant therapy: British Society of Gastroenterology (BSG) and European Society of Gastrointestinal Endoscopy (ESGE) guideline update. Endoscopy. 2021; 53:947–969. DOI: 10.1055/a-1547-2282. PMID: 34359080.
17. The Paris endoscopic classification of superficial neoplastic lesions: esophagus, stomach, and colon: November 30 to December 1, 2002. Gastrointest Endosc. 2003; 58(6 Suppl):S3–S43. DOI: 10.1016/s0016-5107(03)02159-x. PMID: 14652541.
18. World Medical Association. World Medical Association Declaration of Helsinki: ethical principles for medical research involving human subjects. JAMA. 2013; 310:2191–2194. DOI: 10.1001/jama.2013.281053.
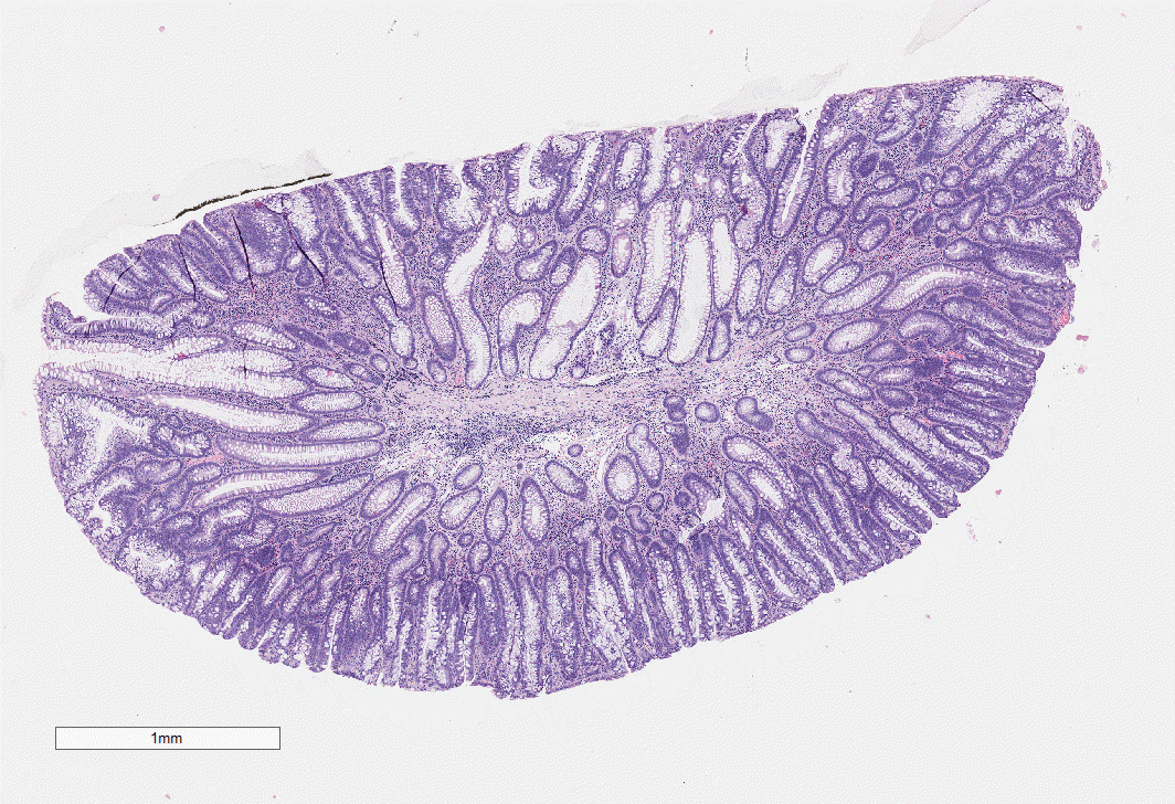
Fig. 1.
Complete resection of a tubular adenoma with low-grade dysplasia is illustrated here. Graph paper is visible at the base of the lesion (star), as well as a few non-dysplastic crypts in both lateral margins (arrows). Tiny smooth muscle bundles of the muscularis mucosae were also present (small arrow; hematoxylin and eosin stain, ×20).
Fig. 2.
Depicted is a tubular adenoma with low-grade dysplasia wherein histological resection is not assessable (hematoxylin and eosin stain, ×20).
Fig. 3.
Depicted is a flowchart illustrating the study enrollment of the population. PL+CSP, cold snare polypectomy preceded by submucosal pre-lifting; PL-CSP, standard cold snare polypectomy.
Table 1.
Patients’ clinical characteristics
Table 2.
Patient’s clinical characteristics, subdivided by polypectomy techniques
Table 3.
Polyps’ characteristics, subdivided by polypectomy techniques
Table 4.
Primary and secondary outcomes obtained in PL+CSP vs. PL-CSP technique
Table 5.
Univariate analysis of factors correlated to HCR
Table 6.
Univariate analysis of factors correlated to intraprocedural bleeding
Table 7.
Univariate analysis of factors correlated to polyps’ retrieval failure



PDF
Citation
Print



XML Download