Abstract
This report presents radiologic changes after clinical improvement in a patient with acute interstitial nephritis (AIN). A 45-year-old female patient was referred for decreased renal function. Eight months prior, she had undergone hysterectomy and received chemotherapy. At the start of chemotherapy, her baseline creatinine level was 0.55 mg/dL, which rose to 1.46 mg/dL. Multiple imaging modalities performed when decreased renal function was observed revealed bilateral renal enlargement with increased cortical attenuation on computed tomography (CT), cortical hyperechogenicity on ultrasonography, and diffusion restriction in the renal cortices on magnetic resonance imaging. A renal biopsy was performed, and AIN was diagnosed. Follow-up laboratory tests showed that kidney function had improved to normal levels, and CT at that time showed a reduction in the size of both kidneys. Radiologic changes can serve as clues for the diagnosis of AIN. This is the first report to confirm radiological changes after the clinical improvement of AIN, thereby providing novel information about the course of AIN.
Acute interstitial nephritis (AIN) is one of the common causes of acute kidney injury, accounting for up to 14%–22% of all acute kidney injuries following kidney biopsy [1]. The most common causes of AIN are drugs, including antimicrobials and nonsteroidal anti-inflammatory drugs [2]. Allergic reactions such as fever, skin rash, arthralgia, and peripheral eosinophilia may occur and play an important role in guiding the clinical diagnosis; however, in most cases, all symptoms are not present. Approximately 10% of cases exhibit the classic triad of fever, rash, and eosinophilia [3].
Discontinuation of the causative drug is key to treatment, and administration of steroids within 7 days after diagnosis can reduce the risk of chronic kidney failure [4]. AIN is confirmed through kidney biopsy with no specific imaging findings. A previous case report described diffused enlargement of both kidneys with a persistent nephrogram on computed tomography (CT) [5,6]. Several cases documenting ultrasound (US) findings have commonly reported renal enlargement with diffused or multifocal cortical hyperechogenicity [6,7], and unusual sonographic findings of discrete mass lesions in the kidney parenchyma bilaterally were reported in children [7]. In other cases, AIN presents as a striated nephrogram on CT or magnetic resonance imaging (MRI) [8,9].
Because AIN often presents with acute kidney injury, CT or MRI are not commonly performed; thus, imaging features have not been well documented. To our knowledge, no study has reported the multimodal imaging features or radiological changes of AIN in follow-up imaging studies. Our report features imaging findings from multiple modalities, including US, CT, and MRI, as well as follow-up imaging results corresponding to clinical improvement in a patient with AIN confirmed through a kidney biopsy.
Ethical statements: This study was approved by the Institutional Review Board (IRB) of Inje University Haeundae Paik Hospital (IRB No. 2024-12-025). Written informed consent was obtained from the patient to participate in the study.
A 45-year-old female patient was referred to the nephrology department due to decreased kidney function. She was diagnosed with right endometrioid carcinomas of the ovary stage 1C 8 months ago and underwent total laparoscopic hysterectomy with bilateral salpingoophorectomy, lymph node dissection and omentectomy. Seven months ago, she underwent right ureterolysis and a right ureteral stent due to adhesions, and the ureteral stent was removed after improvement in hydronephrosis. Abdominal CT images taken 3 months before her referral to the nephrology department showed mild right hydronephrosis remaining but without delayed nephrogram nor other obstructing cause (Fig. 1). The right kidney is 10.9 cm and the left kidney is 10.1 cm.
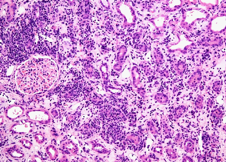
The patient received a total of six rounds of paclitaxel and cisplatin adjuvant chemotherapy. Her height was 161.1 cm, weight 48.2 kg, body surface area 1.469 m2, and she was administered paclitaxel 175 mg/m2 and cisplatin 70 mg/m2. Her baseline creatinine at the time of starting chemotherapy was 0.55 mg/dL, cancer antigen 125 (CA-125) 50.2 U/mL (reference value, 0–35 U/mL), blood urea nitrogen 10.2 mg/dL, hemoglobin 12.1 g/dL, white blood cell 5.05×109/L (eosinophil 2.0%), total protein 7.9 g/dL, albumin 4.3 g/dL. No sediment or abnormal findings were identified in urinalysis tests, and spot urine protein creatinine ratio 238.0 ratio (mg/g Cr). The renal function level was maintained similar to creatinine of 0.64 mg/dL until the 6th chemotherapy. Creatinine rose to 1.46 mg/dL during regular follow-up 3 months after the end of chemotherapy. The patient's other blood and urine tests at that time were as follows; CA-125 28.6 U/mL (reference value, 0–35 U/mL), blood urea nitrogen 25.4 mg/dL, cystatin C 2.80 mg/L, total protein 7.0 g/dL, albumin 2.7 g/dL, lactate dehydrogenase 90 U/L (reference value, 0–250 U/L), calcium 11.2 mg/dL (reference value, 8.6–10.0 mg/dL), hemoglobin 10.2 g/dL, white blood cell 10.47×109/L (eosinophil 0.6%). No sediment or abnormal findings were identified in urinalysis tests, and spot urine protein creatinine ratio 1,509 ratio (mg/g Cr). The cryoglobulin test result was negative, and anti-nuclear antibody was positive at 1:640 with a speckled pattern. Anti-double stranded DNA was negative, myeloperoxidase antibodies (perinuclear antineutrophil cytoplasmic antibodies) were positive, and proteinase three antibodies (cytoplasmic antineutrophil cytoplasmic antibodies) were negative. Although albumin globulin ratio reverse and hypercalcemia were confirmed, no specific findings were found in 24-hour urine protein electrophoresis, and serum protein electrophoresis showed polyclonal gammopathy, and the kappa lambda ratio was 1.06 ratio (reference value, 0.26–1.65). Normocytic hypochromic red blood cells with moderate rouleaux formation were confirmed in the peripheral blood smear. Therefore, bone marrow examination was performed, and the result was normocellular marrow. It was determined that an abdominopelvic CT scan could be performed with adequate hydration despite the high creatinine levels. Additionally, detecting tumor recurrence or differentiating the postrenal cause of acute kidney disease by imaging test was considered important. CT images before contrast injection and during 70-second delayed portal venous phase which was scanned slightly earlier than nephrographic phase (85–120 seconds), were obtained (Fig. 2). Kidney sizes are as follows: right kidney 16.4 cm, left kidney 14.8 cm. Unenhanced CT images showed diffuse enlargement in both kidneys with increased cortical attenuation despite the absence of recent contrast material usage. In portal venous phase scan, both renal cortices showed relatively homogeneous enhancement, although slightly decreased compared to normal brisk renal cortical enhancement. Bilateral perirenal fat infiltration was observed, but there was no striated nephrogram to suggest pyelonephritis. Although mild right hydronephrosis remained, there was no unilateral delayed nephrogram to suggest significant obstructive uropathy. There was no urinary calculus nor mass that could obstruct urinary tract. Based on the CT findings, both non-neoplastic disease and neoplastic conditions such as lymphoma or metastasis were suspected. A whole-body MRI was performed to exclude any possibility of hematologic disorder (Fig. 3). The right kidney is 9.9 cm and the left kidney is 9.9 cm. The MRI consisted of sequences of T2-weighted images and diffusion-weighted whole-body image with background suppression. T2-weighted images displayed multiple wedge-shaped hyperintense areas in the renal parenchyma. Diffusion-weighted images (DWIs) showed hyperintensity in both kidneys, indicating diffusion restriction. A kidney biopsy was performed to determine the cause of acute kidney disease. US images during the kidney biopsy also revealed diffuse renal enlargement with heterogeneous hyperechogenecity in the renal cortices (Fig. 4). Hematoxylin and eosin staining shows moderately interstitial inflammatory infiltrate composed predominantly of plasma cells with lymphocytes, eosinophils and neutrophils. Periodic acid-Schiff staining shows mild tubulitis and acute tubular injury characterized by mildly open lumens, epithelial attenuation and reduced brush border. Twenty-seven glomeruli are mainly well-preserved with no evidence of proliferation, except for two glomeruli with mild ischemic collapse. One glomerulus is globally sclerotic. Moderate tubular atrophy and interstitial fibrosis are observed. The blood vessels are unremarkable. There is no evidence of immune complex deposits in this case by immunofluorescence. Immunofluorescence shows weak IgM (1+) and C3 (1+) staining in the mesangium. Electron microscopy reveals focal effacement of podocyte foot processes (Fig. 5).
Multidisciplinary consultation was performed with the departments of radiology, pathology, nephrology, and oncology, and the patient was diagnosed with drug-induced AIN. Since the drug most suspected to be the cause of AIN was cisplatin, follow-up was continued without additional chemotherapy. Five milligrams of prednisolone per day was administered for 2 months. Blood and urine tests after 2 months are as follows; creatinine 1.23 mg/dL, cystatin C 2.13 mg/L, blood urea nitrogen 27.1 mg/dL, white blood cell 4.15×109/L (eosinophil 0.2%). spot urine protein creatinine ratio 222.9 ratio (mg/g Cr). Follow-up CT images were obtained after 3 months (Fig. 6). The sizes of both kidneys were markedly reduced, and corticomedullary phase scans revealed multiple nodular or wedge-shaped low attenuation lesions with perirenal fat stranding. Most of these were presumed to be cortical scars, but some lesions resembled findings of pyelonephritis.
We report the US, CT, and MRI findings of biopsy-confirmed AIN, which characteristically presented as diffused enlargement of both kidneys, with increased cortical attenuation on unenhanced CT, cortical hyperechogenicity on US, and diffusion restriction of the renal cortices on MRI. After the acute stages were completed and the patient showed clinical improvement, follow-up CT showed a marked reduction in the size of both kidneys, along with multiple nodular or wedge-shaped low attenuation lesions in the renal cortices. Cortical hyperattenuation, as observed in certain nephropathies, is distinguishable from other renal pathologies such as acute tubular necrosis (ATN), chronic interstitial nephritis, and infiltrative diseases. In ATN, the imaging findings typically show diffuse low attenuation in the renal cortex, often with delayed contrast enhancement, which contrasts with the high attenuation observed in cortical hyperattenuation. Chronic interstitial nephritis may show nonspecific cortical changes and delayed excretion of contrast, but it lacks the characteristic hyperattenuation pattern seen in cortical involvement. In infiltrative diseases, such as lymphoma or metastasis, there is often asymmetric cortical thickening and nodular enhancement, which is quite different from the diffuse nature of cortical hyperattenuation.
Furthermore, diffusion restriction is a key finding in many renal pathologies and refers to the limited movement of water molecules within the tissue, as seen on DWI. Diffusion restriction is often associated with areas of increased cellularity, such as in acute inflammatory processes or tumors. In cases like ATN or infiltrative diseases (e.g., lymphoma or metastasis), diffusion restriction may indicate cellular edema, inflammatory infiltration, or fibrosis, where water molecules are hindered in their motion due to the high cell density. In contrast, cortical hyperattenuation, observed on CT scans, is more indicative of vascular changes, altered perfusion, or tubular changes rather than cellular changes and increased water content. Notably, Sato et al. [9] described infliximab-induced tubulointerstitial nephritis, which demonstrated a striated nephrogram pattern on imaging, similar to the findings of cortical hyperattenuation in some cases of Crohn's disease. Furthermore, Saunders et al. [10] explored the CT nephrogram in evaluating urinary tract diseases, highlighting the diagnostic significance of specific patterns, including those associated with hyperattenuation in various renal pathologies.
Most cases of drug-induced AIN occur days, weeks, or months after the drug exposure [11]. The classic triad of fever, rash, and eosinophilia all appear in approximately 10% of cases. Fever, rash, and eosinophilia are reported at a frequency of 35%–70%, 25%–40%, and 35%–60%, respectively [3]. Laboratory findings include increased blood urea nitrogen and serum creatinine levels. Salt retention, edema, and high blood pressure, which are the main features of glomerular diseases, are rare [11]. Renal dysfunction ranges from mild to severe [3,12]. Kidney enlargement, reflecting interstitial edema, is often observed in imaging tests; however, its diagnostic specificity is low [5,6]. AIN is challenging to diagnose because it shows nonspecific symptoms and signs, and an accurate diagnosis is essential to avoid unnecessary treatment. For drug-induced AIN, treatment involves the discontinuation of the suspected drug. However, the benefits of steroid use in the treatment of AIN remain controversial [3,13]. Regarding prognosis, recovery from kidney damage to pre-AIN level, irreversible kidney injury, and partial recovery were reported in approximately 60%–65%, 5%–10%, and 10%–20% of cases, respectively [14,15]. According to our search of previous studies, reports on changes in clinical symptoms and the prognosis of blood or urine tests in AIN are lacking, making this study the first report on the radiological prognosis.
Bilateral renal enlargement, known as nephromegaly, can be caused by various diseases, including diabetic nephropathy, acute pyelonephritis, renal involvement with lymphoma, AIN, acute glomerulonephritis, acute urate nephropathy, vasculitis/autoimmune diseases, human immunodeficiency virus-associated nephropathy, leukemia, autosomal recessive polycystic kidney disease, sickle cell disease, amyloidosis, and multiple myeloma [10,16]. These diagnoses are usually differentiated based on clinical features or imaging tests. However, bilateral symmetrical renal enlargement can be observed in both malignant and benign infiltrative diseases, making differential diagnosis important [17]. In particular, the patient we reported had symptoms of anemia, azotemia, and a reverse albumin/globulin ratio and showed rouleaux formation in a peripheral blood smear. Therefore, differentiation for hematologic malignancy was necessary; thus, this patient underwent a bone marrow examination and MRI. In such cases, the differential diagnosis of renal enlargement becomes important.
Increased cortical attenuation on unenhanced CT scans has not been documented in previous AIN case reports and is first described in this case. The precise mechanism of hyperattenuation of the renal cortices is unclear; however, it can be explained by increased cellularity due to inflammatory cells and interstitial infiltrates. This finding is nonspecific; however, it can serve as a differentiating point, as it is not commonly observed in other nephropathy cases. For instance, although ATN may present with mild renal swelling, it typically does not exhibit the prominent cortical hyperattenuation seen in AIN. In tumorous conditions such as lymphoma, the mass generally appears as an iso- to low attenuation lesion rather than a high attenuation hemorrhagic mass [18]. In chronic interstitial nephritis, some areas may show cortical hyperattenuation, but this is often due to multifocal calcifications rather than true cortical hyperattenuation. Additionally, chronic interstitial nephritis differs in that the kidneys are usually small [19]. Similarly, renal cortices could show hyperechogenicity on US and diffusion restriction on MRI; however, these findings are still nonspecific, as other diffuse nephropathies could also demonstrate them. However, all multimodal images lacked the typical striated pattern that suggests pyelonephritis, although they appeared to be somewhat inhomogeneous.
On the 3-month follow-up images, the kidneys showed a marked reduction in size and multiple low attenuation lesions in the renal cortices, which were observed in the corticomedullary phase. Several reports on chronic interstitial nephritis [19] or nodular AIN [20] have documented similar findings, which can sometimes mimic neoplastic conditions such as lymphoma, metastasis, or, rarely, sarcoidosis. As demonstrated in the present case, late-stage AIN can manifest as multiple cortical lesions without definite renal enlargement.
Diagnosis is generally made through renal biopsy rather than imaging alone, owing to the nonspecific nature of imaging findings. In the present case, the patient had a systemic condition that allowed a biopsy; therefore, we were able to perform a kidney biopsy and bone marrow examination. However, since biopsy may be impossible in some cases depending on the clinical condition of the patient, we believe that our report has the following implications. First, the size of both kidneys, as well as the CT attenuation, US echogenicity, and MRI signal intensities of the renal cortices, can be key clues for AIN diagnosis. This current case lacked any striated pattern suggestive of pyelonephritis. Second, as this is the first report to confirm that AIN showed clinical improvement followed by radiological changes, it could add new information to the course of AIN. We believe that in cases where a biopsy is unavailable, these radiological changes could be one of the clues for differential diagnosis. Third, since there is still no standardized imaging classification for AIN in nephrology, it is expected that a scoring system or pattern recognition model can be developed based on multimodal imaging findings starting from our report.
In conclusion, our findings have remarkable implications. First, the size of both kidneys, CT attenuation, US echogenicity, and MRI signal intensities of the renal cortices can be key clues to diagnosing AIN. Second, as this is the first report to confirm that AIN showed clinical improvement followed by radiological changes, it could add new information to the course of AIN.
References
1. Haas M, Spargo BH, Wit EJ, Meehan SM. Etiologies and outcome of acute renal insufficiency in older adults: a renal biopsy study of 259 cases. Am J Kidney Dis. 2000; 35:433–47. DOI: 10.1016/s0272-6386(00)70196-x. PMID: 10692269.
2. Praga M, González E. Acute interstitial nephritis. Kidney Int. 2010; 77:956–61. DOI: 10.1038/ki.2010.89. PMID: 20336051.
3. Clarkson MR, Giblin L, O'Connell FP, O'Kelly P, Walshe JJ, Conlon P, et al. Acute interstitial nephritis: clinical features and response to corticosteroid therapy. Nephrol Dial Transplant. 2004; 19:2778–83. DOI: 10.1093/ndt/gfh485. PMID: 15340098.
4. Shibasaki T, Ishimoto F, Sakai O, Joh K, Aizawa S. Clinical characterization of drug-induced allergic nephritis. Am J Nephrol. 1991; 11:174–80. DOI: 10.1159/000168299. PMID: 1962663.
5. Van Liedekerke L, Beckers R, Carels K, De Cocker L. Acute interstitial nephritis manifesting as a persistent nephogram. Radiol Case Rep. 2022; 18:184–7. DOI: 10.1016/j.radcr.2022.10.010. PMID: 36340231.
6. Hiraoka M, Hori C, Tsuchida S, Tsukahara H, Sudo M. Ultrasonographic findings of acute tubulointerstitial nephritis. Am J Nephrol. 1996; 16:154–8. DOI: 10.1159/000168989. PMID: 8919233.
7. Connors J, Aronov R, Malaga-Dieguez L, Vento S, Pehrson LJ, Wu M, et al. Interstitial nephritis: two pediatric cases with atypical radiological features. Radiol Case Rep. 2018; 13:1003–6. DOI: 10.1016/j.radcr.2018.07.011. PMID: 30116463.
8. Moinuddin I, Bracamonte E, Thajudeen B, Sussman A, Madhrira M, Costello J. Allergic interstitial nephritis manifesting as a striated nephrogram. Case Rep Med. 2015; 2015:250530. DOI: 10.1155/2015/250530. PMID: 26664405.
9. Sato T, Kawasaki Y, Ito A, Izumi H, Kawamorita N, Yamashita S, et al. Infliximab-induced tubulointerstitial nephritis with image findings of striated nephrogram in Crohn’s disease. Tohoku J Exp Med. 2018; 245:149–52. DOI: 10.1620/tjem.245.149. PMID: 29973427.
10. Saunders HS, Dyer RB, Shifrin RY, Scharling ES, Bechtold RE, Zagoria RJ. The CT nephrogram: implications for evaluation of urinary tract disease. Radiographics. 1995; 15:1069–85. DOI: 10.1148/radiographics.15.5.7501851. PMID: 7501851.
11. Raghavan R, Eknoyan G. Acute interstitial nephritis: a reappraisal and update. Clin Nephrol. 2014; 82:149–62. DOI: 10.5414/cn10838. PMID: 25079860.
12. Rossert J. Drug-induced acute interstitial nephritis. Kidney Int. 2001; 60:804–17. DOI: 10.1046/j.1523-1755.2001.060002804.x. PMID: 11473672.
13. Gonzalez E, Gutierrez E, Galeano C, Chevia C, de Sequera P, Bernis C, et al. Early steroid treatment improves the recovery of renal function in patients with drug-induced acute interstitial nephritis. Kidney Int. 2008; 73:940–6. DOI: 10.1038/sj.ki.5002776. PMID: 18185501.
14. Rosen S, Stillman IE. Acute tubular necrosis is a syndrome of physiologic and pathologic dissociation. J Am Soc Nephrol. 2008; 19:871–5. DOI: 10.1681/asn.2007080913. PMID: 18235086.
15. Neilson EG. Mechanisms of disease: fibroblasts. A new look at an old problem. Nat Clin Pract Nephrol. 2006; 2:101–8. DOI: 10.1038/ncpneph0093. PMID: 16932401.
16. Hricak H, Bree RL, Cohan R, Sandler CM, Siegelman ES. Genitourinary radiology. Radiology. 1996; 198:603–12. DOI: 10.1148/radiology.198.2.8596877. PMID: 8596877.
17. Dash SC, Purohit K, Mohanty SK, Dinda AK. An unusual case of bilateral renal enlargement due to primary renal lymphoma. Indian J Nephrol. 2011; 21:56–8. DOI: 10.4103/0971-4065.78081. PMID: 21655173.
18. Ganeshan D, Iyer R, Devine C, Bhosale P, Paulson E. Imaging of primary and secondary renal lymphoma. AJR Am J Roentgenol. 2013; 201:W712–9. DOI: 10.2214/ajr.13.10669. PMID: 24147501.
19. Murashima M, Tomaszewski J, Glickman JD. Chronic tubulointerstitial nephritis presenting as multiple renal nodules and pancreatic insufficiency. Am J Kidney Dis. 2007; 49:e7–10. DOI: 10.1053/j.ajkd.2006.10.025. PMID: 17185138.
20. Mix TC, Stillman IE, McNamara A, Steinman TI. A 57-year-old woman with gross hematuria and bilateral renal masses: an unusual presentation of acute interstitial nephritis. Am J Kidney Dis. 2002; 39:653–8. DOI: 10.1053/ajkd.2002.31421. PMID: 11877586.
Fig. 1.
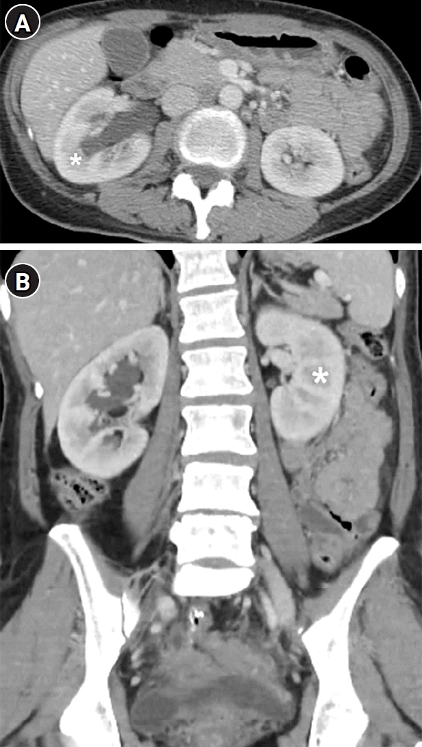
Axial (A) and coronal (B) contrast-enhanced abdominal computed tomography images during the 70-second delayed portal venous phase, scanned 3 months before referral to the nephrology department, show right hydronephrosis without delayed nephrogram in the right kidney. Both kidneys show brisk enhancement in the renal cortices and slight low attenuation remaining in the renal medullae (asterisks). Renal sizes are within the normal range. There is no evidence of urinary calculus or a mass obstructing the urinary tract; therefore, the right hydronephrosis was thought to be due to postoperative adhesion with no clinical significance.
Fig. 2.
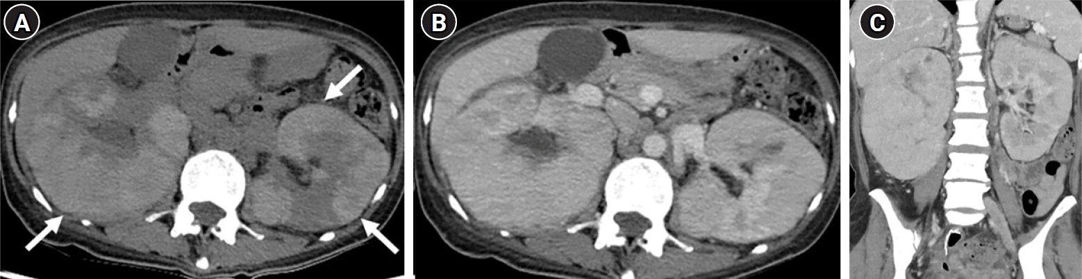
Axial unenhanced abdominal computed tomography (CT) image (A) and axial (B) and coronal (C) contrast-enhanced abdominal CT images during the 70-second delayed portal venous phase at the time of referral to the nephrology department show diffuse enlargement of both kidneys. In the axial unenhanced abdominal CT image (A), the attenuation of both kidneys is unevenly increased (arrows) despite the absence of contrast material usage in the near past. Both axial (B) and coronal (C) contrast-enhanced CT images show relatively homogeneous enhancement of both renal cortices, but with slightly decreased enhancement compared to normal brisk renal cortical enhancement. Bilateral perirenal fat infiltration is observed, but there is no striated nephrogram that would suggest pyelonephritis. Although right hydronephrosis is noted, there is no significant change compared to 3 months ago and no unilateral delayed nephrogram.
Fig. 3.
A coronal fat-suppressed T2-weighted magnetic resonance image (A) displays diffuse enlargement of both kidneys with multiple wedge-shaped hyperintense areas in the renal parenchyma (arrows). A coronal diffusion-weighted whole-body image (B) shows hyperintensity in both kidneys (arrowheads), indicating diffusion restriction.
Fig. 4.
Ultrasound images of the right (A) and left (B) kidneys reveal diffuse enlargement of both kidneys, along with heterogeneous hyperechogenecity in the renal cortices.
Fig. 5.
Interstitial inflammatory infiltrate composed of plasma cells, lymphocytes and eosinophils with tubular atrophy (×100, hematoxylin and eosin).
Fig. 6.
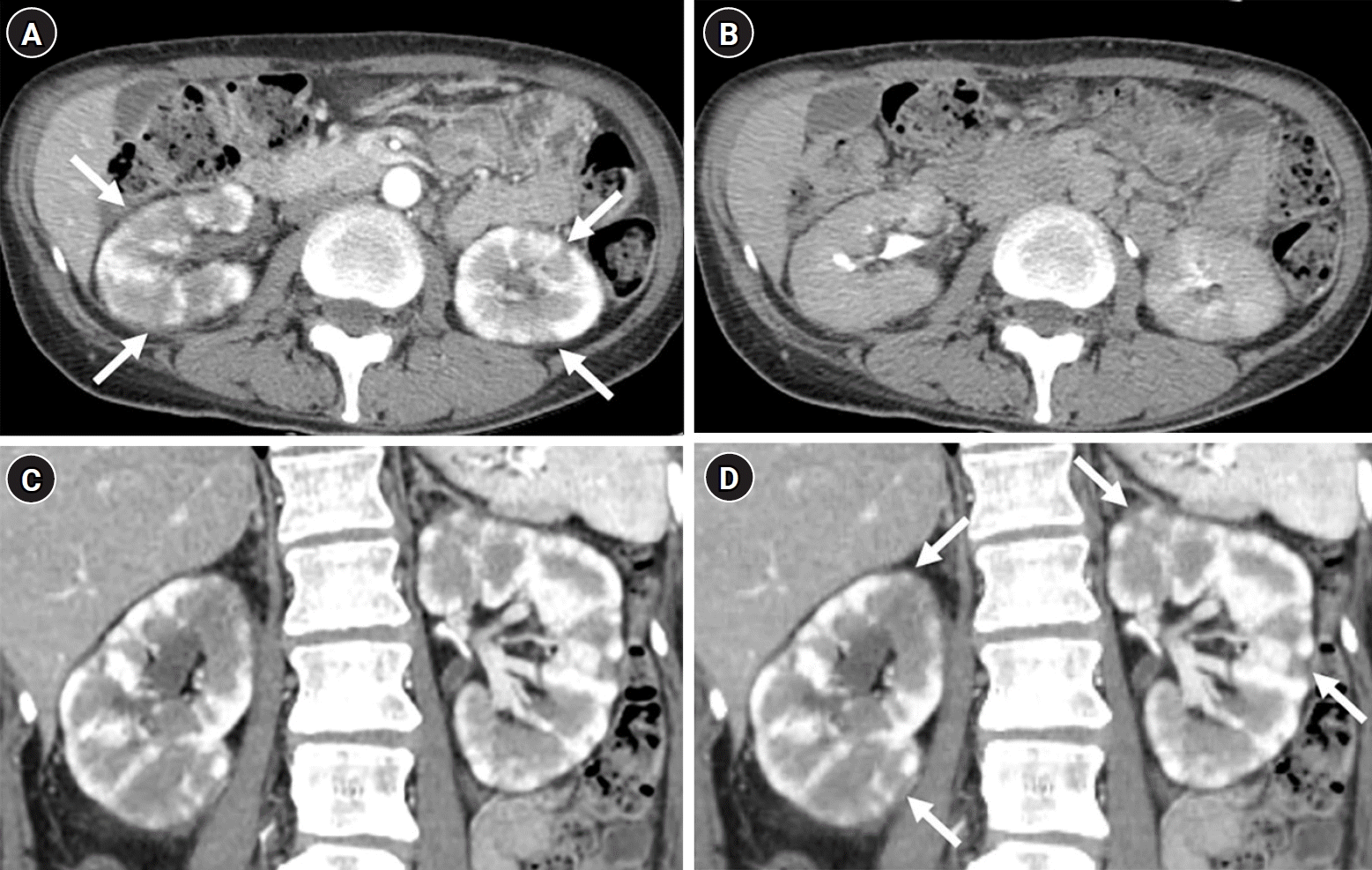
Axial unenhanced computed tomography (CT) image (A) and axial contrast-enhanced CT images during the corticomedullary phase (B) and late excretory phase (C), obtained as 3-month follow-up imaging, show a reduction in the size of both kidneys with no significant change in right hydronephrosis. Axial (A) and coronal (D) corticomedullary phase scans reveal multiple nodular or wedge-shaped low attenuation lesions (arrows) with perirenal fat stranding, resembling pyelonephritis.



PDF
Citation
Print



XML Download