Abstract
Abdominal tuberculous lymphadenopathy is a rare condition that can cause obstructive jaundice. The feature of tuberculosis lymphadenopathy may resemble those of cancer, metastasis, or lymphoma on computed tomography (CT) or magnetic resonance imaging; therefore, physicians must perform appropriate examinations, make correct diagnoses, and conduct suitable treatment. Herein, we report a case of obstructive jaundice caused by tuberculous lymphadenopathy. The patient was 27 years old, with an initial serum total bilirubin level of 6.76 mg/dL and a direct bilirubin level of 5.64 mg/dL. Aspartate transaminase and alanine transaminase levels were 466 and 801 IU/L, respectively. Abdominal CT revealed a mass-like effect and extraluminal compression accompanying bile duct obstruction. An abrupt bile duct stricture was observed on endoscopic retrograde cholangiopancreatography; thus, a biopsy was performed. However, the specimen which was taken by endoscopic retrograde cholangiopancreatography was confirmed to constitute superficially biopsied bile duct mucosa and benign-looking epithelial cell stripes. Positron emission tomography-CT showed a hypermetabolic lesion in the hepato-duodenal ligament with small lymph nodes in the aortocaval and retrocaval spaces. Additionally, it showed hypermetabolism of the neck lymph node at level II. The neck lymph node was biopsied. Granulomatous inflammation was observed and nested tuberculosis polymerase chain reaction was positive. The patient was treated with anti-tuberculosis medications and underwent endoscopic retrograde biliary drainage without surgery.
Obstructive jaundice can occur for several reasons [1]. Tuberculosis (TB) is an infectious disease that occurs worldwide, but lymphadenopathy caused by abdominal TB is rare [2]. Obstructive jaundice caused by tuberculous lymphadenitis is a rare manifestation of TB, with 15 cases reported in Korea [3]. Obstructive jaundice can be caused by tuberculous enlargement of the pancreatic head, tuberculous lymphadenitis, tuberculous stricture of the biliary tract, and retroperitoneal space TB mass effect [4]. Because obstructive jaundice caused by abdominal TB is rare, it is difficult to distinguish between biliary tract cancers in patients with TB caused by obstructive jaundice. In this case, the obstructive jaundice was caused by a mass in the pancreatic head that was difficult to differentiate from pancreatic head cancer or lymphoma. The detailed diagnostic process and treatment are discussed below.
A 27-year-old male patient was transferred to our hospital. Abdominal computed tomography (CT) performed at another hospital revealed obstructive jaundice due to a pancreatic head mass suggestive of lymphoma or pancreatic head cancer. One year ago, he was diagnosed with an esophageal perforation. He had no unusual medical history.
A physical examination revealed an icteric sclera. No abdominal tenderness, hepatomegaly, splenomegaly, or ascites were observed. The serum total bilirubin was 6.76 mg/dL, and the direct bilirubin levels were 5.64 mg/dL. Aspartate transaminase (AST) and alanine transaminase (ALT) levels were 466 and 801 IU/L, respectively. Serum blood urea nitrogen, creatinine, amylase, and lipase levels were within normal ranges. Viral marker assays were negative for the hepatitis B surface antigen, immunoglobulin M anti-hepatitis A virus, and anti-hepatitis C virus antibodies. Sputum acid-fast bacteria (AFB) staining and culture results were negative. Interferon-gamma release assays (IGRAs) were negative.
Chest radiography revealed the absence of active lesions. A chest CT revealed no active lesions. Abdominal CT revealed a large mass-like lesion in the pancreatic head and mild dilatation of the common bile duct (CBD). The distal CBD was encased in a mass-like lesion (Fig. 1). Magnetic resonance cholangiopancreatography showed a conglomerated mass with internal necrotic foci and infiltration of the caudate lobe of the liver. Moreover, it shows encasement of the CBD, portal vein, and celiac axis (Fig. 2). The endoscopic retrograde cholangiopancreatography (ERCP) showed a stricture in the mid-CBD. During ERCP, no significant resistance was observed after passing through strictures. Endoscopic ultrasound (EUS)-guided biopsy, brush cytology, and endoscopic retrograde biliary drainage (ERBD) were performed (Fig. 3). Before ERBD insertion, the peak total bilirubin was 6.79 mg/dL. AST and ALT levels were 466 and 801 U/L, respectively. After ERBD insertion, the total bilirubin level decreased to 1.00 mg/dL, and AST and ALT levels decreased to 27 and 65 U/L, respectively, on the 9th day after the procedure. An EUS-guided biopsy confirmed the superficially biopsied bile duct mucosa and benign-looking epithelial cell stripes. The cytological analysis revealed only a limited number of cells.
Considering the above test results, the large mass in the pancreatic head was thought to be a lymphoma or an infectious lesion, such as tuberculous lymphadenitis. However, the TB interferon-gamma test result was negative; therefore, we proceeded with the test, considering the high possibility of lymphoma.
Positron emission tomography-CT (PET-CT) showed a hypermetabolic mass in the hepatoduodenal ligament with small lymph nodes (LNs) in the aortocaval and retrocaval spaces. Additionally, it showed hypermetabolism of the bilateral palatine tonsils and small hypermetabolic LNs in both neck level II, right supraclavicular space, right upper and lower paratracheal space, and right 2nd internal mammary space (Fig. 4).
Due to the high possibility of lymphoma, an excision biopsy was performed on the neck LNs observed on PET-CT. After multidisciplinary care, excision biopsy was performed after discovering a hyperplastic mass located posterior to the internal jugular vein. AFB-positive bacilli were not identified. No fungi were identified using Periodic acid-Schiff or Grocott methenamine silver staining. However, nested-TB polymerase chain reaction (PCR) showed a positive reaction in the LNs. Therefore, the final pathological examination revealed granulomas in the LNs due to TB (Fig. 5). The patient was treated with anti-TB medications. Three months after ERBD insertion and anti-TB medication (isoniazid, rifampin, ethambutol, and pyrazinamide) administration, bilirubin levels and other liver function test results were normal. Strictures in the mid-CBD and lymphadenopathies improved.
TB is an infectious disease that occurs worldwide. However, lymphadenopathy caused by abdominal TB is rare. Obstructive jaundice caused by TB lymphadenopathy is rare. Hepatobiliary TB accounts for 1.05% of all TB infections annually [3]. Hepatobiliary TB can occur in two ways. First, caseous material can spread from the portal tract to the bile duct. Second, secondary inflammation related to tuberculous periportal adenitis can spread to the biliary tract. In addition, both methods can result in bile duct strictures. Pericholedochal TB and pericholedochal lymphadenopathies compress the biliary tree [4].
If a low-density center with enhanced surrounding edges is observed on a CT scan, TB lymph-adenopathy may be suspected; however, it is difficult to differentiate it from diseases such as lymphoma [5]. A fine-needle aspiration biopsy using EUS or CT can be helpful in the diagnosis. However, fine-needle aspiration biopsies are more commonly used to assess the dissemination of Mycobacterium tuberculosis and cancer cells. Moreover, it can yield false negative results [6].
ERCP can help to determine the location and degree of obstruction or stricture and can help to decompress the biliary tract by using stents to relieve jaundice and to obtain samples for examination such as cytology, histology, AFB staining, culture, and TB-PCR [5]. However, in this case, if jaundice is caused by extrinsic compression of LNs and if there is no invasion of the bile duct wall or affected lesions such as fistulas, clinicians cannot obtain appropriate samples and results from ERCP [7]. Recently, IGRAs (QuantiFERON) have been used to diagnose latent TB. Moreover, it is more specific for M. tuberculosis than the tuberculin skin test and is not affected by Bacillus Calmette-Guérin vaccination. In addition, it does not cross-react with non-tuberculous mycobacteria. Therefore, this method is useful for diagnosing suspected TB lymphadenopathy.
In this case, the patient was improved after standard anti-TB medication treatment, and we recommend this approach. Additionally, it is best to avoid surgery with anti-TB treatment, but there is a problem as the prevalence of multidrug-resistant strains is increasing, and repeated inflammation may cause irreversible stricture of the bile duct [8,9].
TB is highly prevalent in Korea [8]. Therefore, clinicians need to consider TB lymphadenopathy as the cause of obstructive jaundice in patients with risk factors, such as a history of TB or residency in endemic areas. Biliary obstruction caused by TB must be suspected and diagnosed early to prevent irreversible damage to the biliary tract.
Notes
Author contributions
Conceptualization: JIJ, JWL. Data curation: JIJ, JWL. Formal analysis: JIJ, JWL. Investigation: JIJ, JWL. Resources: JIJ, JWL. Supervision: JIJ, JWL. Validation: JIJ, JWL. Visualization: JIJ, JWL. Writing – original draft: JIJ, JWL. Writing – review & editing: JIJ, JWL. All authors read and approved the final manuscript.
References
1. Modha K. Clinical approach to patients with obstructive jaundice. Tech Vasc Interv Radiol. 2015; 18:197–200.
2. Colovic R, Grubor N, Jesic R, Micev M, Jovanovic T, Colovic N, et al. Tuberculous lymphadenitis as a cause of obstructive jaundice: a case report and literature review. World J Gastroenterol. 2008; 14:3098–100.
3. Baik SJ, Yoo K, Kim TH, Moon IH, Cho MS. A case of obstructive jaundice caused by tuberculous lymphadenitis: a literature review. Clin Mol Hepatol. 2014; 20:208–13.
4. Kok KY, Yapp SK. Tuberculosis of the bile duct: a rare cause of obstructive jaundice. J Clin Gastroenterol. 1999; 29:161–4.
5. Chong VH. Hepatobiliary tuberculosis: a review of presentations and outcomes. South Med J. 2008; 101:356–61.
6. Jeremic L, Stojanovic M, Radojkovic M, Zlatic A, Ignjatovic N, Jeremic S. Tuberculous lymphadenitis as a cause of obstructive jaundice. Chirurgia (Bucur). 2013; 108:725–8.
7. Probst A, Schmidbaur W, Jechart G, Hammond A, Zentner J, Niculescu E, et al. Obstructive jaundice in AIDS: diagnosis of biliary tuberculosis by ERCP. Gastrointest Endosc. 2004; 60:145–8.
8. Cho KS. Tuberculosis control in the Republic of Korea. Epidemiol Health. 2018; 40:e2018036.
9. Yeh TS, Chen NH, Jan YY, Hwang TL, Jeng LB, Chen MF. Obstructive jaundice caused by biliary tuberculosis: spectrum of the diagnosis and management. Gastrointest Endosc. 1999; 50:105–8.
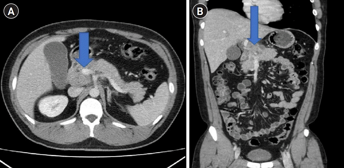
Fig. 1.
Liver computed tomography images. (A) Axial and (B) coronal views: a large, mass-like lesion was noted in the pancreatic head (blue arrow).
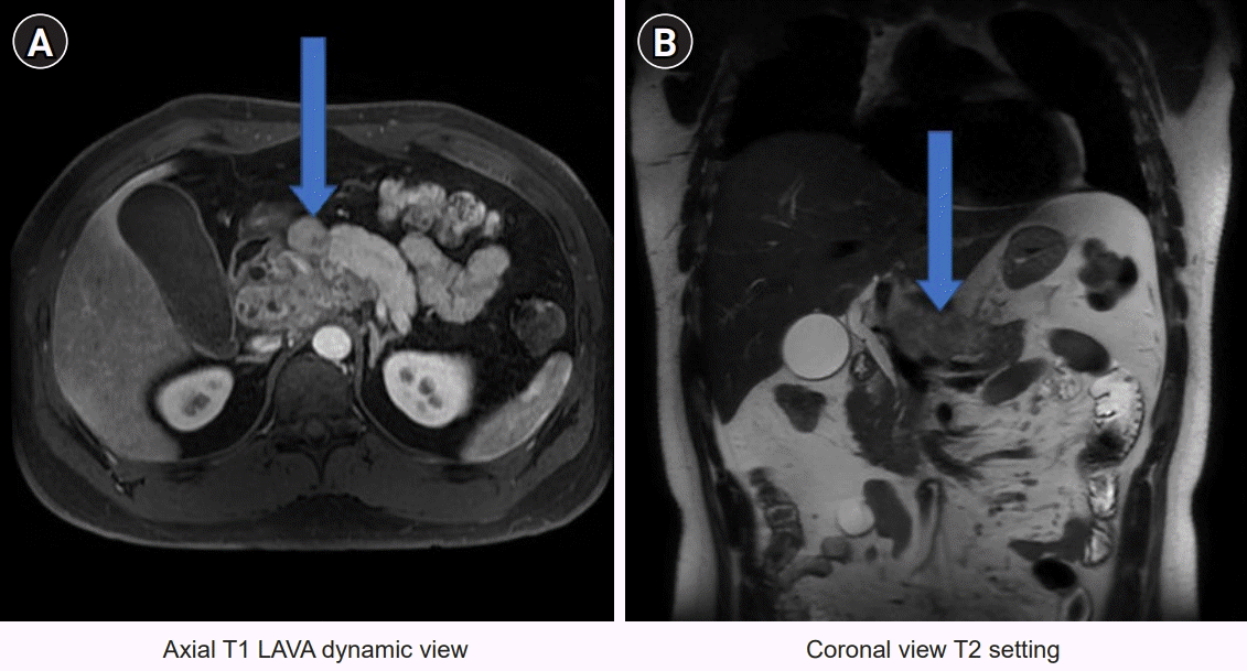
Fig. 2.
Magnetic resonance cholangiopancreatography images. (A) Axial and (B) coronal views. A conglomerated mass with internal necrotic foci was noted with encasement of the common bile duct, portal vein, and celiac axis (blue arrow).
Fig. 3.
Endoscopic retrograde cholangiopancreatography images. (A) A stricture in the mid-common bile duct (blue arrow). (B) Insertion of endoscopic retrograde biliary drainage. (C) After 3 months, the stricture was improved.



PDF
Citation
Print



XML Download