Abstract
Background
Histone deacetylase 6 (HDAC6), belonging to class IIb of histone deacetylases, regulates the acetylation of the cytoplasmic protein α-tubulin. The overexpression of HDAC6 is linked to the development of tumors, and inhibiting HDAC6 is known to trigger apoptosis in multiple myeloma cells. In addition to its application in cancer treatment, bortezomib, a proteasome inhibitor, is widely used in managing multiple myeloma and has shown effectiveness in patients with both newly diagnosed and relapsed disease. However, the treatment regimen may be delayed or discontinued due to the risk of peripheral neuropathy, a significant non-hematologic side effect.
Methods
Animal models of peripheral neuropathy induced by various anti-cancer drugs were established, confirming the potential of HDAC6 inhibitors as a treatment for this condition. Six- to eight-week-old male Sprague Dawley rats were utilized to create these models. Mechanical allodynia and electron microscopy served as indicators of peripheral neuropathy. The HDAC6 inhibitor CKD-011 was administered at doses of 5, 10, 20, and 40 mg/kg.
Histone deacetylase (HDAC) is an enzyme that hydrolyzes the acetyl-L-lysine side chain in the N-terminal region of histones. Among the various HDAC subtypes, histone deacetylase 6 (HDAC6) is unique due to its dual catalytic domains and classification in the IIb group [1]. HDAC6 is instrumental in tumor progression and metastasis by modulating the stability of microtubules, which are vital for the cell cycle [2]. HDAC6 expression is upregulated in tumor cells, and HDAC6 inhibitors exert anticancer effects in vitro and in vivo by increasing intracellular α-tubulin acetylation [3].
Food and Drug Administration (FDA)–approved chemotherapy drugs for solid tumors include platinum-derived agents, proteasome inhibitors, taxanes, and vinca alkaloids. However, chemotherapy commonly induces peripheral neuropathy, characterized by nerve damage, and is known as chemotherapy-induced peripheral neuropathy (CIPN) [4–6].
Platinum-based chemotherapeutic agents are widely employed in cancer treatment due to their efficacy against various malignancies. However, their clinical use is often limited by the development of severe peripheral neuropathy, a debilitating side effect characterized by nerve damage and impaired sensory function. Cisplatin and oxaliplatin are two commonly used platinum-based drugs that are particularly notorious for inducing peripheral neuropathy. Cisplatin exhibits potent neurotoxicity, leading to alterations in sensory perception and bilateral degenerative changes in peripheral nerves. This neurotoxicity can significantly impair patients' quality of life and may even necessitate discontinuation of treatment [7–10]. Oxaliplatin also induces peripheral neuropathy through distinct mechanisms. It has been shown to increase mitochondrial biogenesis in peripheral nerves and activate astrocytes in the spinal cord. This astrocyte activation is associated with increased gap junction formation, leading to heightened pain sensitivity [11].
CIPN affects a significant portion of patients undergoing chemotherapy, occurring in 30%–80% of patients and severely negatively impacting quality of life of patients, often necessitating treatment discontinuation [6,12–15].
Bortezomib, a leading proteasome inhibitor, is a first-line therapy for multiple myeloma and targets the ubiquitin-proteasome pathway. In a phase 3 clinical trial involving patients with relapsed refractory multiple myeloma, 75% of the participants treated with bortezomib experienced grade 3/4 adverse events, with 8% developing peripheral neuropathy [16]. Bortezomib-induced peripheral neuropathy is not dose-dependent but age-dependent, with the risk increasing by 6% per year. HDAC6 inhibitors serves as an alternative multiple myeloma treatment to prevent bortezomib-induced peripheral neuropathy [17].
Currently, there are no FDA-approved treatments for CIPN, although anti-depressant drugs such as Duloxetine are used to manage symptoms. HDAC6 inhibitors could offer therapeutic benefits for CIPN [18,19].
Consequently, the aim of this study was to evaluate the therapeutic potential of novel HDAC6 inhibitors in ameliorating CIPN.
Chemotherapy drugs, including oxaliplatin, cisplatin, and paclitaxel were purchased from Tokyo Chemical Industry. The HDAC6 inhibitor ACY-1215 (Ricolinostat) was purchased from Selleckchem.
The animal study protocol was approved by the Institutional Animal Care and Use Committee at Inje University College of Medicine of Korea (2016-046).
Six- to 8-week-old male Sprague Dawley rats were obtained from Orient. The animals were maintained in a controlled laboratory environment with a consistent 12-hr light/dark cycle and provided unrestricted access to food and water. A CIPN rat model was established via chemotherapy drug administration. Subsequently, the degree of induction was confirmed using the von Frey filament test.
Bortezomib (TOKYO Chemical Industry), a proteasome inhibitor used as an anti-cancer drug, was used to establish the anticancer drug-induced CIPN model. Bortezomib was diluted with phosphate-buffered saline and administered intraperitoneally four times (Days 0, 2, 4, and 6) at 0.2 mg/kg. Oxaliplatin (5 mg/kg) was intraperitoneally administered on days 0, 3, and 6. Paclitaxel (8 mg/kg) was intraperitoneally administered on days 0, 2, 4, and 6. Cisplatin (3 mg/kg) was intraperitoneally administered on days 0, 6, 13, and 20. CKD-011 (developed by CKD pharm.), an HDAC6 inhibitor, was dissolved in saline and administered intraperitoneally once a day at doses of 5, 10, 20, and 40 mg/kg. Gabapentin (Tokyo Chemical Industry) was dissolved in saline and administered intraperitoneally at a dose of 60 mg/kg.
This test was conducted with a dynamic plantar aesthesiometer (Ugo Basile). Following each drug administration, the rat was placed in a wire mesh-enclosed box and allowed to acclimate for a minimum of 15 minutes. As the rat adapted to the box, the strength of the plastic filament (0.5 mm in diameter) in the hind paw was gradually increased and a von Frey stimulus was applied. The intensity of the stimulus was increased from 1 g/sec by 2.5 g/sec, to a final 50 g/sec. The stimulus intensity was gradually increased until the animal exhibited a withdrawal response, which was recorded in grams (g) and seconds (sec), and the results were statistically analyzed [20].
Electron microscopy was performed for histopathological analysis. After drug administration, rat sciatic nerves were harvested and prepared into tissue sections for electron microscopy. Sciatic nerves were fixed in 4% paraformaldehyde in 0.1 M phosphate buffer (pH 7.4) and subsequently post-fixed in 1% osmium tetroxide. The samples were then dehydrated through a graded ethanol series and embedded in epoxy resin. Ultrathin sections (< 100 nm) were prepared using an ultramicrotome and mounted onto Formvar/carbon-coated grids to provide adequate support during imaging. Transmission electron microscopy was conducted using an H-7600 (Hitachi). Sciatic nerve damage was evaluated using a four-grade scoring system. Grade 0 (normal) was defined as intact axons with uniformly thick myelin sheaths. Grade 1 (mild damage) was characterized by axonal swelling or mild myelin thinning. Grade 2 (moderate damage) involved partial demyelination, irregular myelin thickness, and axonal shrinkage. Grade 3 (severe damage) was marked by complete axonal disintegration, total myelin loss, extensive extracellular debris, and disrupted Schwann cell morphology [20–23].
The MM.1s cell line, a human multiple myeloma cell line obtained from ATCC, is widely used in research on multiple myeloma. For histone isolation, MM.1s cells were harvested 24 hours after drug reaction. Next, the cell pellet was resuspended in IP Lysis buffer (100 mM Tris-HCl at pH 7.5, 500 mM NaCl, 0.2% NP40, and 10 mM EDTA) and incubated on ice for 5 minutes. Following incubation, the cells were centrifuged at 10,000 × g and 10 minutes, and the supernatant was stored at –80°C. Histones were precipitated from the pallet, resuspended in TE buffer (10 mM Tris-HCl at pH 7.4 and 13 mM EDTA) and centrifuged at 600 × g for 5 minutes. After removing the supernatant, 0.4N H2SO4 was added, and the mixture was continuously rotated using a rotary mixer overnight at 4°C. Subsequently, the pallet was washed with acetone and air-dried. The histones were resuspended in 500 μL distilled water and quantified using bicinchoninic acid analysis.
Proteins and histones were separated by 4%–12% gradient SDS-PAGE using protease inhibitor (Roche)-containing RIPA buffer (Sigma, R0278) and transferred to a nitrocellulose membrane. The membranes were blocked with Tris-buffered saline containing 0.1% Tween 20 and 3% bovine serum albumin for 1 hour. Subsequently, the membranes were incubated with primary antibodies overnight at 4°C, followed by incubation with secondary antibodies at 37°C for 1 hour. The primary and secondary antibodies used in the study are as follow: acetylated tubulin (1:2,000, Sigma, T6793), alpha tubulin (1:2,000, Cell Signaling, 2144), ubiquitin (1:2,000, Enzo Life Sciences, BML-PW8810-0500), GAPDH (1:2,000, Thermo Fisher Scientific, PA19046), Acetyl-Histone H3 (1:2,000, Cell Signaling, 9649), and Histone H3 (1:2,000, Cell Signaling, 3638). For signal visualization, using the ChemiDocTM MP Imaging System (Bio-Rad) and the ECL validation kit (GE Healthcare).
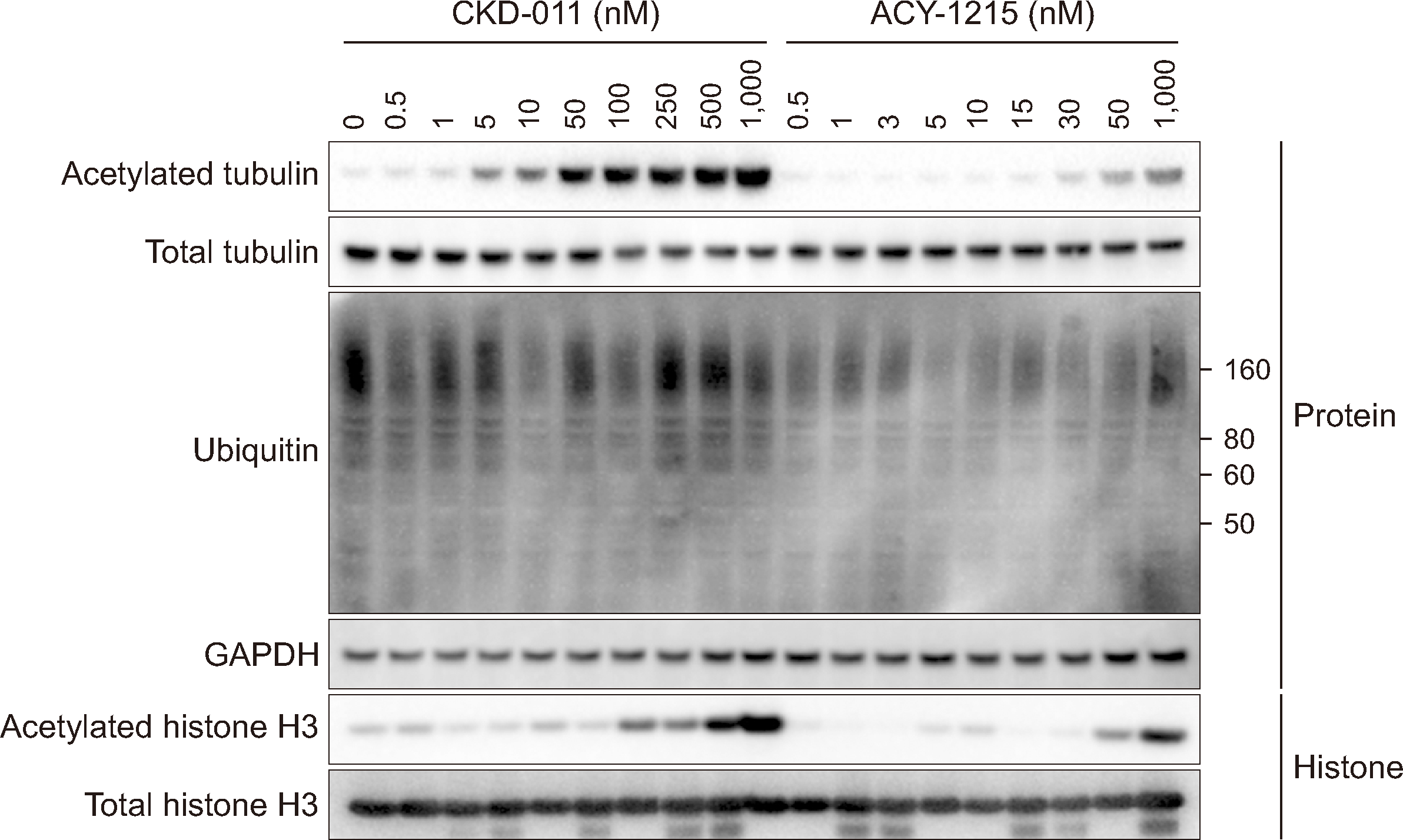
In this study, HDAC6 inhibitor activity was measured using α-tubulin acetylation. Acetylation levels of α-tubulin were measured following treatment of multiple myeloma cell, MM1.s, with various concentrations of the selective HDAC6 inhibitors CKD-011 and ACY-1215 (Ricolinostat). Acetylated tubulin levels increased at 5 nM (Fig. 1). Peripheral neuropathy significantly improved in the 40 mg/kg CKD-011 group (Fig. 2). In addition, CKD-011 administration (once daily for 15 days) significantly improved peripheral neuropathy at all doses (Fig. 2). These findings indicate that CKD-011 is a promising therapeutic option for managing bortezomib-induced peripheral neuropathy in the treatment of multiple myeloma.
The authors found that peripheral neuropathy was alleviated by CKD-011. In addition, by observing rat sciatic nerve tissue sections under an electron microscope, it was found that CKD-011 reversed axon and myelin damage. The efficacy of CKD-011 was confirmed to be similar to that of the control gabapentin (60 mg/kg) in a cisplatin-induced peripheral neuropathy rat model and oxaliplatin-induced peripheral neuropathy rat model (Figs. 3, 4) [24,25]. The authors found that CKD-011 alleviated peripheral neuropathy three hours after the last administration.
Paclitaxel induces changes in mitochondrial morphology and function, and disrupts axonal transport through inflammation. These pathological changes result in a loss of nerve fibers [26,27]. In the rat model, it was confirmed that paclitaxel-induced CIPN was alleviated by CKD-011. The effect of CKD-011 was comparable across different doses (5 mg/kg and 10 mg/kg; Fig. 5). In addition, the effect of CKD-011 was comparable to that of gabapentin (60 mg/kg), which was used as a positive control (Fig. 5). Rat weight was measured 24 hours after the last administration; a significant weight loss was observed in the CKD-011 10 mg/kg administration group (Fig. 5E).
Analysis of rat sciatic nerve tissue sections confirmed that CKD-011 repaired axon and myelin damage. The authors found that CKD-011 administration significantly alleviated bortezomib-induced peripheral neurotoxicity. A decrease in axonal degeneration was observed starting from CKD-011 10 mg/kg, and statistical significance was observed in the 20 mg/kg and 40 mg/kg dose groups. The alleviation of myelin degeneration did not reach statistical significance; however, at doses of 20 and 40 mg/kg, the damage decreased to a level similar to that observed in the solvent group. Collectively, CKD-011 administration significantly reduced axonal and myelin damage induced by bortezomib (Fig. 6A, E, F) Furthermore, CKD-011 also reduced peripheral neurotoxicity induced by other platinum-based drugs like oxaliplatin and cisplatin, particularly showing excellent efficacy against cisplatin-induced neurotoxicity (Fig. 6B, C, G–J). However, in paclitaxel-induced peripheral neurotoxicity, CKD-011 did not significantly restore axonal and myelin damage (Fig. 6D, K, L).
HDAC6 inhibitors have been suggested as potential therapies for neurodegenerative diseases and are being considered as candidates for the treatment of CIPN. HDAC6 inhibitors act as therapeutic agents for neurodegenerative diseases by regulating key proteins involved in cell migration, alleviating cell damage, and recovering nerve damage and pain [28–30]. Acetylated tubulin formation was confirmed at the cellular level to confirm that CKD-011 effectively inhibits HDAC6, and it was found that CKD-011 exhibits excellent activity even at low doses.
CIPN is a side effect of anticancer medications that results in motor and sensory neuron abnormalities and degeneration of nerve fibers [31,32]. The main symptom of CIPN is numbness and cold pain, which in most cases is caused by cumulative administration of anti-cancer drugs. Many studies have confirmed that HDAC6 inhibitors can be used as a treatment for CIPN induced by various chemotherapy regimens [33]. Animal CIPN models were established using cisplatin, paclitaxel, oxaliplatin, and bortezomib, and the improvement of symptoms was confirmed by the developed HDAC6 inhibitor. Bortezomib induces peripheral neuropathy, and currently, there is no approved treatment for bortezomib-induced CIPN [34–36]. In a rat model, it was confirmed that CKD-011, at a dose of 40 mg/kg, significantly alleviated bortezomib-induced CIPN symptoms. These findings show that CKD-011, an HDAC6 inhibitor, can be used as a treatment for bortezomib-induced CIPN.
The incidence of peripheral neuropathy and pain resulting from the administration of platinum-based complexes is strongly correlated with the cumulative drug dosage and the frequency of anticancer treatments [37]. Oxaliplatin exhibits more pronounced neurotoxicity than other platinum-based drugs [38]. Taxane acute pain syndrome is also known to occur acutely after the administration of taxane drugs. When chemotherapy begins, muscle and joint pain occurs and lasts for several days. CIPN commonly occurs in patients undergoing treatment with paclitaxel, a widely utilized therapy for solid tumors. This is a significant factor contributing to dose reductions and treatment constraints [39–41]. Among platinum-based drugs, the CIPN recovery ability of CKD-011 was confirmed in a rat model treated with oxaliplatin and cisplatin. In this study, the recovery characteristics of CKD-011 were confirmed using a rat model treated with paclitaxel, a taxane drug-induced CIPN, and CKD-011, a new HDAC6 inhibitor, which could be used as a treatment for CIPN management.
Notes
DATA AVAILABILITY
Data files are available from Harvard Dataverse: https://doi.org/10.7910/DVN/NYQF7R.
REFERENCES
1. Ho TCS, Chan AHY, Ganesan A. 2020; Thirty years of HDAC inhibitors: 2020 insight and hindsight. J Med Chem. 63:12460–84. DOI: 10.1021/acs.jmedchem.0c00830. PMID: 32608981.

2. Aldana-Masangkay GI, Sakamoto KM. 2011; The role of HDAC6 in cancer. J Biomed Biotechnol. 2011:875824. DOI: 10.1155/2011/875824. PMID: 21076528. PMCID: PMC2975074.

3. Dowling CM, Hollinshead KER, Di Grande A, Pritchard J, Zhang H, Dillon ET, et al. 2021; Multiple screening approaches reveal HDAC6 as a novel regulator of glycolytic metabolism in triple-negative breast cancer. Sci Adv. 7:eabc4897. DOI: 10.1126/sciadv.abc4897. PMID: 33523897. PMCID: PMC7810372.

4. Bhagra A, Rao RD. 2007; Chemotherapy-induced neuropathy. Curr Oncol Rep. 9:290–9. DOI: 10.1007/s11912-007-0036-x. PMID: 17588354.

5. Was H, Borkowska A, Bagues A, Tu L, Liu JYH, Lu Z, et al. 2022; Mechanisms of chemotherapy-induced neurotoxicity. Front Pharmacol. 13:750507. DOI: 10.3389/fphar.2022.750507. PMID: 35418856. PMCID: PMC8996259.

6. Cavaletti G, Marmiroli P. 2015; Chemotherapy-induced peripheral neurotoxicity. Curr Opin Neurol. 28:500–7. DOI: 10.1097/WCO.0000000000000234. PMID: 26197027.

7. Cetinkaya-Fisgin A, Luan X, Reed N, Jeong YE, Oh BC, Hoke A. 2020; Cisplatin induced neurotoxicity is mediated by Sarm1 and calpain activation. Sci Rep. 10:21889. DOI: 10.1038/s41598-020-78896-w. PMID: 33318563. PMCID: PMC7736304.

8. Santos NAGD, Ferreira RS, Santos ACD. 2020; Overview of cisplatin-induced neurotoxicity and ototoxicity, and the protective agents. Food Chem Toxicol. 136:111079. DOI: 10.1016/j.fct.2019.111079. PMID: 31891754.

9. Saif MW, Reardon J. 2005; Management of oxaliplatin-induced peripheral neuropathy. Ther Clin Risk Manag. 1:249–58.
10. Carozzi VA, Renn CL, Bardini M, Fazio G, Chiorazzi A, Meregalli C, et al. 2013; Bortezomib-induced painful peripheral neuropathy: an electrophysiological, behavioral, morphological and mechanistic study in the mouse. PLoS One. 8:e72995. DOI: 10.1371/journal.pone.0072995. PMID: 24069168. PMCID: PMC3772181.

11. Canta A, Pozzi E, Carozzi VA. 2015; Mitochondrial dysfunction in chemotherapy-induced peripheral neuropathy (CIPN). Toxics. 3:198–223. DOI: 10.3390/toxics3020198. PMID: 29056658. PMCID: PMC5634687.

12. Corso A, Mangiacavalli S, Varettoni M, Pascutto C, Zappasodi P, Lazzarino M. 2010; Bortezomib-induced peripheral neuropathy in multiple myeloma: a comparison between previously treated and untreated patients. Leuk Res. 34:471–4. DOI: 10.1016/j.leukres.2009.07.022. PMID: 19674790.

13. Staff NP, Grisold A, Grisold W, Windebank AJ. 2017; Chemotherapy-induced peripheral neuropathy: a current review. Ann Neurol. 81:772–81. DOI: 10.1002/ana.24951. PMID: 28486769. PMCID: PMC5656281.

14. Zajączkowska R, Kocot-Kępska M, Leppert W, Wrzosek A, Mika J, Wordliczek J. 2019; Mechanisms of chemotherapy-induced peripheral neuropathy. Int J Mol Sci. 20:1451. DOI: 10.3390/ijms20061451. PMID: 30909387. PMCID: PMC6471666.

15. Kim E. 2020; Chemotherapy-induced peripheral neuropathy: bench to clinical practice. Korean J Pain. 33:291–3. DOI: 10.3344/kjp.2020.33.4.291. PMID: 32989193. PMCID: PMC7532289.

16. Chen D, Frezza M, Schmitt S, Kanwar J, Dou QP. 2011; Bortezomib as the first proteasome inhibitor anticancer drug: current status and future perspectives. Curr Cancer Drug Targets. 11:239–53. DOI: 10.2174/156800911794519752. PMID: 21247388. PMCID: PMC3306611.

17. Richardson PG, Sonneveld P, Schuster MW, Irwin D, Stadtmauer EA, et al. Facon T; Assessment of Proteasome Inhibition for Extending Remissions (APEX) Investigators. 2005; Bortezomib or high-dose dexamethasone for relapsed multiple myeloma. N Engl J Med. 352:2487–98. DOI: 10.1056/NEJMoa043445. PMID: 15958804.

18. Velasco R, Besora S, Argyriou AA, Santos C, Sala R, Izquierdo C, et al. 2021; Duloxetine against symptomatic chemotherapy-induced peripheral neurotoxicity in cancer survivors: a real world, open-label experience. Anticancer Drugs. 32:88–94. DOI: 10.1097/CAD.0000000000001005. PMID: 33332891.

19. Krukowski K, Ma J, Golonzhka O, Laumet GO, Gutti T, van Duzer JH, et al. 2017; HDAC6 inhibition effectively reverses chemotherapy-induced peripheral neuropathy. Pain. 158:1126–37. DOI: 10.1097/j.pain.0000000000000893. PMID: 28267067. PMCID: PMC5435512.

20. Thangamani D, Edafiogho IO, Masocha W. 2013; The anticonvulsant enaminone E139 attenuates paclitaxel-induced neuropathic pain in rodents. ScientificWorldJournal. 2013:240508. DOI: 10.1155/2013/240508. PMID: 24385872. PMCID: PMC3872104.

21. Kim MH, Lee JK. 2000; Ultrastructural changes of nerve fibers using a neuropathic pain model in a rat. Korean J Anesthesiol. 38:742–52. DOI: 10.4097/kjae.2000.38.4.742.

22. Georgiou M, Bunting SC, Davies HA, Loughlin AJ, Golding JP, Phillips JB. 2013; Engineered neural tissue for peripheral nerve repair. Biomaterials. 34:7335–43. DOI: 10.1016/j.biomaterials.2013.06.025. PMID: 23834895.

23. Yuan XJ, Wei YJ, Ao Q, Gong K, Wang JY, Sun QS, et al. 2015; Myelin ultrastructure of sciatic nerve in rat experimental autoimmune neuritis model and its correlation with associated protein expression. Int J Clin Exp Pathol. 8:7849–58.
24. Authier N, Gillet JP, Fialip J, Eschalier A, Coudore F. 2003; An animal model of nociceptive peripheral neuropathy following repeated cisplatin injections. Exp Neurol. 182:12–20. DOI: 10.1016/S0014-4886(03)00003-7. PMID: 12821373.

25. Han FY, Wyse BD, Smith MT. 2014; Optimization and pharmacological characterization of a refined cisplatin-induced rat model of peripheral neuropathic pain. Behav Pharmacol. 25:732–40. DOI: 10.1097/FBP.0000000000000090. PMID: 25325291.

26. Bennett GJ, Liu GK, Xiao WH, Jin HW, Siau C. 2011; Terminal arbor degeneration--a novel lesion produced by the antineoplastic agent paclitaxel. Eur J Neurosci. 33:1667–76. DOI: 10.1111/j.1460-9568.2011.07652.x. PMID: 21395870. PMCID: PMC3086946.
27. Flatters SJL, Bennett GJ. 2006; Studies of peripheral sensory nerves in paclitaxel-induced painful peripheral neuropathy: evidence for mitochondrial dysfunction. Pain. 122:245–57. DOI: 10.1016/j.pain.2006.01.037. PMID: 16530964. PMCID: PMC1805481.

28. Cho Y, Cavalli V. 2014; HDAC signaling in neuronal development and axon regeneration. Curr Opin Neurobiol. 27:118–26. DOI: 10.1016/j.conb.2014.03.008. PMID: 24727244. PMCID: PMC4122610.

29. Kalinski AL, Kar AN, Craver J, Tosolini AP, Sleigh JN, Lee SJ, et al. 2019; Deacetylation of Miro1 by HDAC6 blocks mitochondrial transport and mediates axon growth inhibition. J Cell Biol. 218:1871–90. DOI: 10.1083/jcb.201702187. PMID: 31068376. PMCID: PMC6548128.

30. Chen S, Owens GC, Makarenkova H, Edelman DB. 2010; HDAC6 regulates mitochondrial transport in hippocampal neurons. PLoS One. 5:e10848. DOI: 10.1371/journal.pone.0010848. PMID: 20520769. PMCID: PMC2877100.

31. Argyriou AA, Bruna J, Marmiroli P, Cavaletti G. 2012; Chemotherapy-induced peripheral neurotoxicity (CIPN): an update. Crit Rev Oncol Hematol. 82:51–77. DOI: 10.1016/j.critrevonc.2011.04.012. PMID: 21908200.

32. Cavaletti G, Gilardini A, Canta A, Rigamonti L, Rodriguez-Menendez V, Ceresa C, et al. 2007; Bortezomib-induced peripheral neurotoxicity: a neurophysiological and pathological study in the rat. Exp Neurol. 204:317–25. DOI: 10.1016/j.expneurol.2006.11.010. PMID: 17214983.

33. Ma J, Trinh RT, Mahant ID, Peng B, Matthias P, Heijnen CJ, et al. 2019; Cell-specific role of histone deacetylase 6 in chemotherapy-induced mechanical allodynia and loss of intraepidermal nerve fibers. Pain. 160:2877–90. DOI: 10.1097/j.pain.0000000000001667. PMID: 31356453. PMCID: PMC6856416.

34. Kaplan GS, Torcun CC, Grune T, Ozer NK, Karademir B. 2017; Proteasome inhibitors in cancer therapy: treatment regimen and peripheral neuropathy as a side effect. Free Radic Biol Med. 103:1–13. DOI: 10.1016/j.freeradbiomed.2016.12.007. PMID: 27940347.

35. Meregalli C, Maricich Y, Cavaletti G, Canta A, Carozzi VA, Chiorazzi A, et al. 2021; Reversal of bortezomib-induced neurotoxicity by suvecaltamide, a selective T-type Ca-channel modulator, in preclinical models. Cancers (Basel). 13:5013. DOI: 10.3390/cancers13195013. PMID: 34638498. PMCID: PMC8507761.

36. Flatters SJL, Dougherty PM, Colvin LA. 2017; Clinical and preclinical perspectives on Chemotherapy-Induced Peripheral Neuropathy (CIPN): a narrative review. Br J Anaesth. 119:737–49. DOI: 10.1093/bja/aex229. PMID: 29121279.

37. Glendenning JL, Barbachano Y, Norman AR, Dearnaley DP, Horwich A, Huddart RA. 2010; Long-term neurologic and peripheral vascular toxicity after chemotherapy treatment of testicular cancer. Cancer. 116:2322–31. DOI: 10.1002/cncr.24981. PMID: 20225230.

38. Krishnan AV, Goldstein D, Friedlander M, Kiernan MC. 2005; Oxaliplatin-induced neurotoxicity and the development of neuropathy. Muscle Nerve. 32:51–60. DOI: 10.1002/mus.20340. PMID: 15880395.

39. Weaver BA. 2014; How Taxol/paclitaxel kills cancer cells. Mol Biol Cell. 25:2677–81. DOI: 10.1091/mbc.e14-04-0916. PMID: 25213191. PMCID: PMC4161504.

40. Fernandes R, Mazzarello S, Hutton B, Shorr R, Majeed H, Ibrahim MF, et al. 2016; Taxane acute pain syndrome (TAPS) in patients receiving taxane-based chemotherapy for breast cancer-a systematic review. Support Care Cancer. 24:3633–50. DOI: 10.1007/s00520-016-3256-5. PMID: 27146496.

41. Park SB, Goldstein D, Krishnan AV, Lin CS, Friedlander ML, Cassidy J, et al. 2013; Chemotherapy-induced peripheral neurotoxicity: a critical analysis. CA Cancer J Clin. 63:419–37. DOI: 10.3322/caac.21204. PMID: 24590861.

Fig. 1
The expression of acetylated tubulin by CKD-011 in MM1.S cells. CKD-011, an HDAC6 inhibitor, was added at different concentrations, and the expression of acetylated tubulin, total tubulin, ubiquitin, acetylated histone H3, and total histone H3 was confirmed using immunoblotting. HDAC6: histone deacetylase 6.
Fig. 2
Effect of HDAC6 inhibitor, CKD-011, in a bortezomib-induced peripheral neuropathy rat model. Effect of CKD-011, an HDAC6 inhibitor, in a rat model of bortezomib-induced peripheral neuropathy. CKD-011 was administered at 10, 20, or 40 mg/kg once daily for 10 days (A–E) or 15 days (F–H). Mechanical hypersensitivity or body weight was measured 3 hr (A, B) or 24 hr (C–H) after the last dose. Each bar represents mechanical withdrawal threshold in time or grams, or body weight in grams. Results are shown as mean ± standard error of the mean. HDAC6: histone deacetylase 6. ##P = 0.001; ###P < 0.001 compared to vehicle; *P = 0.02 (bortezomib + CKD-011 10 mg/kg), *P = 0.01 (bortezomib + CKD-011 20 mg/kg); ***P < 0.001 compared to bortezomib.
Fig. 3
Effect of HDAC6 inhibitor, CKD-011, in an oxaliplatin-induced peripheral neuropathy rat model. CKD-011 (5 or 10 mg/kg) or gabapentin (60 mg/kg) was administered intraperitoneally once a day for 10 times (5 times a week) (A–E) or 15 times (F–H). Mechanical hypersensitivity or body weight was measured was measured 3 hr (A, B) or 24 hr (C–H) after the last dose. Results are shown as mean ± standard error of the mean. HDAC6: histone deacetylase 6. ###P < 0.001 compared to vehicle; *P = 0.05; **P = 0.008; ***P < 0.001 compared to oxaliplatin.
Fig. 4
Effect of HDAC6 inhibitor, CKD-011, on cisplatin-induced chemotherapy-induced peripheral neuropathy. CKD-011 (5 or 10 mg/kg) or gabapentin (60 mg/kg) was administered intraperitoneally once a day for 5 times (5 times a week) (A–E) or 10 times (F–H). Mechanical hypersensitivity or body weight was measured was measured 3 hr (A, B) or 24 hr (C–H) after the last dose. Results are shown as mean ± standard error of the mean. HDAC6: histone deacetylase 6. ###P < 0.001 compared to vehicle; *P = 0.02 (E); *P = 0.03 (H); **P = 0.003; ***P < 0.001 compared to cisplatin.
Fig. 5
Effect of the HDAC6 inhibitor CKD-011 in the paclitaxel-induced peripheral neuropathy rat model. Gabapentin (60 mg/kg) or 5 mg/kg, 10 mg/kg of CKD-011 was administered intraperitoneally to the paclitaxel-induced chemotherapy-induced peripheral neuropathy rat model. CKD-011 or gabapentin was administered intraperitoneally once a day for 10 times (5 times a week) (A–E) or 15 times (F–H). Mechanical hypersensitivity or body weight was measured was measured 3 hr (A, B) or 24 hr (C–H) after the last dose. Results are shown as mean ± standard error of the mean. HDAC6: histone deacetylase 6. ###P < 0.001 compared to vehicle; ***P < 0.001 compared to paclitaxel.
Fig. 6
Sciatic nerve electron microscopy examination. Electron microscopy was used to analyze the effects of the HDAC6 inhibitor CKD-011 on bortezomib-induced peripheral neuropathy in rat sciatic nerve tissue (A). Sciatic nerve tissue from rats with cisplatin- or oxaliplatin-induced peripheral neuropathy was examined by electron microscopy to evaluate the effect of the HDAC6 inhibitor CKD-011 (B, C). Transmission electron microscopy analysis of paclitaxel-induced peripheral neuropathy in rats treated with the HDAC6 inhibitor CKD-011 (D). Graphical consequences of axonal and myelin damage (E–L). A–D shows 2,000× magnification (voltage condition 60 kV). Results are shown as mean ± standard error of the mean. HDAC6: histone deacetylase 6. #P = 0.03 compared to vehicle; **P = 0.001; ***P < 0.001 compared to bortezomib. ###P < 0.001 compared to vehicle; *P = 0.01; **P = 0.007; ***P < 0.001 compared to oxaliplatin. ###P < 0.001 compared to vehicle; **P = 0.001 (I, cisplatin + CKD-011 5 mg/kg, cisplatin + CKD-011 10 mg/kg), **P = 0.007 (I, cisplatin + gabapentin 60 mg/kg), **P = 0.002 (J, cisplatin + gabapentin 60 mg/kg); ***P < 0.001 compared to cisplatin. **P = 0.002 compared to paclitaxel.



PDF
Citation
Print



XML Download