Abstract
Aneurysms of the pineal region are rare and theoretically could arise from the medial posterior choroidal artery (MPChoA) or lateral posterior choroidal arteries (LPChoA). A 64-year-old lady with subarachnoid haemorrhage (SAH) and intraventricular haemorrhage (IVH) due to a ruptured MPChoA aneurysm was treated with microsurgical aneurysm excision via an occipital interhemispheric approach. This case demonstrates the importance of being mindful of rare aneurysm locations when initial vascular imaging in SAH appears normal.
The pineal region is a notoriously challenging region of the brain to access due to its depth and multitude of critical venous structures. Tumours are the most common lesions of the pineal region however vascular lesions including arteriovenous malformations (AVMs), cavernomas and aneurysms have been described [5].
The prevalence of aneurysms within the pineal region has not been reported, likely due to its rarity as evidenced by Hernesniemi’s 35-year series of pineal region vascular lesions which includes only one aneurysm, a ruptured medial posterior choroidal artery (MPChoA) aneurysm [6]. No other cases of an idiopathic aneurysm arising from the MPChoA in the pineal region have been reported. The aim of this article is to describe our experience of managing a ruptured MPChoA aneurysm located in the pineal region.
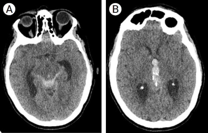
A 64-year-old lady with no past medical history presented with sudden onset headache, vomiting, and altered level of consciousness (Glasgow Coma Scale (GCS) E3V4M6). Her initial computed tomography (CT) scan showed predominantly intraventricular haemorrhage (IVH) with associated hydrocephalus, as well as subarachnoid blood in the ambient and quadrigeminal cisterns (Fig. 1a). A large 15 mm calcified pineal gland was noted within the blood clot (Fig. 1b). A CT angiogram (CTA) did not show a vascular abnormality and haemorrhage into a pineal tumour was the working diagnosis. She was intubated for transfer to our neurosurgery unit, underwent external ventricular drain (EVD) insertion and was extubated after 2 days on neuro intensive care with the EVD removed on day 4.
Due to the distribution of the blood on CT, negative CTA, and appearance of a related pineal lesion, an aneurysmal cause was not initially pursued for the bleed. Instead, a delayed angiogram was performed on day 6 predominantly to rule out a small AVM and confirm that underlying tumour was causative by exclusion of other causes. However, this digital subtraction angiogram (DSA) demonstrated what appeared to be a small saccular aneurysm in the pineal region (Fig. 2a), separate from the left posterior cerebral artery (PCA) and without any obvious feeding vessels, raising the possibility of a dissecting aneurysm. This was not accessible endovascularly and surgically would likely require sacrifice of the vessel. Given uncertainty over how aggressive its natural history might be, which was assumed to potentially resemble that of posterior circulation perforator aneurysms, it was initially managed conservatively reserving treatment in the event it grew.
A delayed DSA on day 12 demonstrated the aneurysm to the left of pineal gland had enlarged (now measuring 5×4×3 mm) with a clear feeding vessel arising from an early PCA branch, consistent with the MPChoA, running alongside the PCA and then turning forward on the left of pineal, terminating in the aneurysm (Figs. 2b and 3). Given clear evidence of an enlarging, ruptured aneurysm and lack of endovascular option, it was decided to proceed with surgical exploration.
In theatre, the patient was placed under general anaesthesia, had a lumbar drain inserted and then positioned on the operating table lateral with left side down and the head turned 45 degrees fixed in a Mayfield clamp. A linear left-sided paramedian incision was made and left occipital craniotomy was fashioned exposing the superior sagittal sinus. Cerebrospinal fluid drainage allowed retraction-free relaxation of the left occipital lobe. An interhemispheric approach followed the falx to the incisura and the straight sinus was localized with Doppler ultrasound. The tentorium was opened from posteriorly along the straight sinus into the incisura to expose the vein of Galen, bilateral internal cerebral and basal veins of Rosenthal, and the precentral cerebellar vein. Arachnoid over each of these was divided and thick adhesions to the cerebellum were also divided allowing access between the basal veins to the pineal region. The pineal gland was enlarged with a hard fibrous capsule. The left PCA was identified and a large proximal branch was seen that ran along the PCA before making a hairpin anteriorly. This was followed anteriorly along the pineal gland where it gave off a small branch that led to the neck of the aneurysm. This was in keeping with the DSA which showed the main vessel followed the inferior aspect of the splenium beyond the pineal towards the fornices. Indocyanine green (ICG) was administered intraoperatively, demonstrating a faint blush of the aneurysm dome (Fig. 4). The pineal gland was punctured with a needle releasing no fluid and just a small volume of blood. The pineal capsule was then coagulated and allowed the aneurysm dome to prolapse posteriorly and come better into view. The small branch entering the neck was divided and the aneurysm excised. The main vessel that ran over the aneurysm dome was followed anteriorly where it was seen to enter the third ventricle and choroid plexus. The dura was then closed and bone secured and the wound closed in layers.
Her post-operative course was unremarkable with no new neurological deficits. Both an immediate post-operative CT angiogram and a 3-month DSA showed successful treatment of the aneurysm.
The current case describes the management of a ruptured MPChoA aneurysm within the pineal region. This is a rare clinical pathology with only 1 idiopathic case being previously described in the literature6. Further cases have been reported in the setting of AVM [1] and Moya Moya [10].
In addition to the pineal region, other reported locations for MPChoA aneurysms include: its origin from the PCA [11], the ambient cisternal segment [8,12], or distally in the ventricles [1,14]. The lateral posterior choroidal arteries have also been reported to have aneurysms in the ventricle [2,15] or pineal region [7]. The pineal region aneurysm in the series by Brotchi et al. doesn’t specify which choroidal vessel the aneurysm arises from [3].
In the absence of an established practice for these lesions, management is handled on a case-by-case basis. The management of any ruptured intracranial aneurysm is based on the balance of rebleeding risk versus risks from endovascular or microsurgical aneurysm occlusion. Due to the small number of cases presented and their unknown pathogenesis, it is not known whether or not MPChoA aneurysms mirror the rebleeding risks seen in typical saccular aneurysms. Of the cases presented in the literature only one, secondary to Moya Moya, rebled [10]. It is a situation not dissimilar to posterior circulation perforator aneurysms which are rare, arise from small vessels, are purported to be fusiform and dissecting, and are believed by some to pose less and others the same risk as saccular aneurysms. We therefore managed this in a similar fashion where it was followed up and treated on discovering growth. However, in the absence of any other reassuring evidence, it would also be reasonable to treat upon diagnosis.
The choice of technique for aneurysm occlusion favours microsurgical approaches over endovascular due to the narrow calibre of the MPChoA. The only MPChoA aneurysm in the literature treated with endovascular occlusion was in the setting of AVM flow aneurysm and a hypertrophied parent vessel. Microsurgical routes to the pineal region are well described of which supracerebellar infratentorial [6] has been reported for MPChoA aneurysms. We opted for an occipital interhemispheric approach based on superior aneurysm location with reference to the veins, which has also been used for lateral posterior choroidal artery (LPChoA) aneurysms [7].
Given the rarity of aneurysms in this location, they may have different underlying mechanisms of formation than typical circle of Willis saccular aneurysms. Furthermore, all of the cases described to date are of ruptured aneurysms where one would expect to see reports of incidental unruptured aneurysms if the pathogenesis was similar to more proximal aneurysms. Distal PCA aneurysms are believed to be frequently due to arterial dissection based on their imaging appearances. These are namely features on DSA including narrowed irregular or segmental stenosis, occlusion, irregular fusiform or aneurysmal dilation, pearl-andstring sign, double lumen, and retention of contrast agent. Based on angiography, 17 out of 26 distal PCA aneurysms were considered dissecting in one series [4]. Another series included magnetic resonance imaging (MRI) features of a disordered pathological wall (double lumen, intimal flap, and intramural haematoma) in its definition and found all 26 of their distal PCA aneurysms to be dissecting [13]. Separately, we have noted that basilar artery perforator aneurysms have similar appearances of dissection and are associated with a high rate of enhancement on MRI vessel wall imaging [9]. Although we did not have any MRI in our case, the angiographic appearances would fit with dissection and mechanistically it would seem possible considering the aneurysm was adjacent to a calcified pineal gland with dense arachnoid adhesions tethering the vessels.
There can be technical difficulties with making the initial diagnosis of an MPChoA aneurysm. The initial CT angiogram in this case was unable to differentiate aneurysm from calcified pineal gland and subsequent digital subtraction angiogram was also unable to clearly delineate the vascular anatomy. Repeat angiography with selective injections were required to make the diagnosis in Ohta et al. [12]. This case serves to highlight the importance of being mindful of rare aneurysm locations as a cause for SAH/IVH and ensuring imaging quality is sufficient to rule them out.
Notes
REFERENCES
1. Alshumrani GA, Al-Qahtani S. Endovascular embolization of a giant aneurysm in medial posterior choroidal artery with associated arteriovenous malformation. Ann Saudi Med. 2013; May. 33(3):307–9.

2. Bozkurt G, Yaman ME, Çevik S, Kırbaş İ, Yağmurlu B. Massive primary intraventricular hemorrhage due to idiopathic lateral posterior choroidal artery aneurysm: Case illustration. World Neurosurg. 2018; Apr. 112:199–200.

3. Brotchi J, Levivier M, Raftopoulos C, Dewitte O, Pirotte B, Noterman J. Three-quarter prone approach to the pineal-tentorial region. Report of seven cases. Acta Neurochir Suppl (Wien). 1991; 53:144–7.

4. Chang SW, Abla AA, Kakarla UK, Sauvageau E, Dashti SR, Nakaji P, et al. Treatment of distal posterior cerebral artery aneurysms: A critical appraisal of the occipital artery-to-posterior cerebral artery bypass. Neurosurgery. 2010; Jul. 67(1):16–26.
5. Choque-Velasquez J, Colasanti R, Muhammad S, Chioffi F, Hernesniemi J. Vascular lesions of the pineal region: A comprehensive review of the therapeutic options. World Neurosurg. 2022; Mar. 159:298–313.

6. Choque-Velasquez J, Resendiz-Nieves J, Colasanti R, Collan J, Hernesniemi J. Microsurgical management of vascular malformations of the pineal region. World Neurosurg. 2018; Sep. 117:e669–e78.

7. Fukuda H, Munoz D, Macdonald RL. Spontaneous thalamic hemorrhage from a lateral posterior choroidal artery aneurysm. World Neurosurg. 2013; Dec. 80(6):900.

8. Grigoryan YA, Sitnikov AR, Timoshenkov AV, Grigoryan GY. [An aneurysm of the medial posterior choroidal artery: a case report and a literature review]. Zh Vopr Neirokhir Im N N Burdenko. 2017; 81(4):101–7.

9. Kaldas A, Zolnourian A, Ewbank F, Digpal R, Narata A, Ditchfield A, et al. Basilar artery perforator aneurysms: A comparison with non-perforator saccular aneurysms. Acta Neurochir (Wien). 2024; Mar. 166(1):141.

10. Kwak R, Yamamoto N, Ito S, Kadoya S. [A case of moyamoya disease associated with a peripheral artery aneurysm of the thalamus]. No Shinkei Geka. 1984; Nov. 12(12):1419–23.
11. Muzii VF, Dashti R, Toninelli S, Hernesniemi S. Completeloop of the posterior cerebral artery with ruptured aneurysm at the origin of the medial posterior choroidal artery. A case report. Surg Neurol. 2009; Oct. 72(4):403–5.
12. Ohta T, Ozawa H, Yamauchi T, Kubokura T. Ruptured aneurysm of the medial posterior choroidal artery first demonstrated by the microcatheter technique—case report. Neurol Med Chir (Tokyo). 2003; Dec. 43(12):601–4.

13. Qian Z, Feng X, Kang H, Wen X, Xu W, Li Y, et al. Dissecting aneurysms of the distal segment of the posterior cerebral artery: clinical presentation and endovascular management. Chin Neurosurg Jl. 2017; 3:7.

14. Ungersböck K, Perneczky A. Intraventricular aneurysm of the medial posterior choroid artery clipped via the contralateral transcallosal approach. Acta Neurochir (Wien). 1986; 82(1-2):24–7.
Fig. 1.
(A) Unenhanced CT taken at presentation with slices through the tectum, (B) Unenhanced CT taken at presentation with slices through the calcified pineal gland. CT, computed tomography
Fig. 2.
(A) Lateral view of left internal carotid artery injection (day 6), (B) Lateral view of left internal carotid artery injection (day 12).



PDF
Citation
Print



XML Download