A 49-year-old female with an 8-year history of diabetes mellitus presented with a 1-year history of synchronous skin tightness affecting all four limbs and the anterior abdominal wall, with notable sparing of the hands, feet, back, and face. The patient reported associated symptoms of pain, stiffness, itching, and a brief episode of polyarthralgia. However, there was no history of Raynaud’s phenomenon, dyspepsia, dyspnea, fever and prior exposure to intravenous gadolinium. She had prior biopsy-confirmed skin lesions of lichen planus (Figure 1A), predominantly affecting her lower limbs. Physical examination revealed characteristic skin changes, including a “peau d’orange” appearance and the presence of a distinctive “groove sign” (Figure 1B~1D). Informed written patient consent was obtained for publication purpose. Further diagnostic workup like anti-nuclear antibody testing, serum protein electrophoresis and contrast-enhanced computed tomography of chest and abdomen were carried out to rule out scleroderma mimickers like connective tissue disorder, monoclonal gammopathy and malignancy respectively, particularly in the context of her uncontrolled diabetes (HbA1c: 9.7%). Diabetes-related microvascular and macrovascular complications were excluded through appropriate objective assessments. The diagnosis of eosinophilic fasciitis was further substantiated by the presence of peripheral eosinophilia (2,700 cells/μL) and MRI evidenced hyper intense thickened fascia with gadolinium enhancement (Figure 2). A full-thickness biopsy from the forearm revealed predominant mononuclear inflammatory cell with few eosinophil infiltration of the fascia (Figure 3). The patient responded remarkably well to oral glucocorticoid therapy with methotrexate.
Scleroderma mimics include a wide range of differential diagnoses. Comprehensive clinical evaluation and tailored management plan is the key for successful treatment of this kind of complex clinical scenario. Early identification of characteristic clinical signs like “Groove sign” [1] in eosinophilic fasciitis and “Shar pei” sign in scleromyxedema is essential for establishing an early accurate diagnosis and guiding targeted treatment. Although eosinophilic fasciitis is primarily a clinical diagnosis particularly in presence of characteristic linear depression along the course of superficial veins, i.e., the “groove sign,” it usually warrants further laboratory evaluation like anti cell antibody testing, serum protein electrophoresis and malignancy screen to rule out scleroderma mimics. In cases of eosinophilic fasciitis, once diagnosed, the prognosis is typically favorable if treated adequately with glucocorticoid and glucocorticoid-sparing agent like methotrexate and mycophenolate mofetil. Uncontrolled diabetes in our patient prompted consideration of diabetic dermopathy, particularly scleredema diabeticorum, as an important differential diagnosis. However, this was ruled out based on skin biopsy findings and the absence of objective evidence of diabetes-related micro- and macrovascular complications. Lichen planus is an immune-mediated chronic inflammatory mucocutaneous disorder rarely associated with eosinophilic fasciitis, particularly in the context of graft-versus-host disease [2]. We consider this a rare chance association in our patient. This case highlights the importance of thorough clinical evaluation and individualized treatment in managing complex connective tissue disorders, especially in patients with underlying comorbidities such as uncontrolled diabetes.
REFERENCES
1. Camard M, Maisonobe T, Flamarion E. 2022; The groove sign in eosinophilic fasciitis. Clin Rheumatol. 41:3919–20. DOI: 10.1007/s10067-022-06311-y. PMID: 35907103.
2. Moghadam P, Bellaiche S, Mausoleo A, Cassius C, Zuelgaray E, Mahevas T, et al. 2023; Lichen planus associated with eosinophilic fasciitis outside the setting of chronic graft-versus-host disease. Ann Dermatol Venereol. 150:71–2. DOI: 10.1016/j.annder.2022.09.006. PMID: 36428118.
Figure 1
Clinical photographs. (A) Green arrows indicate flat topped skin lesions of lichen planus over anterior aspect of lower limbs. (B) Red arrows indicate characteristic linear depression along the course of veins of forearm, the “groove sign.” (C) Red arrows indicate characteristic linear depression along the course of veins at posterior aspect of bilateral knees, the “groove sign.” (D) Characteristic shiny, and “Peau d’orange” appearance of abdomen.
Figure 2
Magnetic resonance imaging (MRI) images. (A) Blue arrows indicate thickened fascia with contrast enhancement in MRI Ax T1 FS sequence of bilateral thighs. (B) Red arrow indicates hyper intense fascia on T2 sequence on forearm axial cut section.
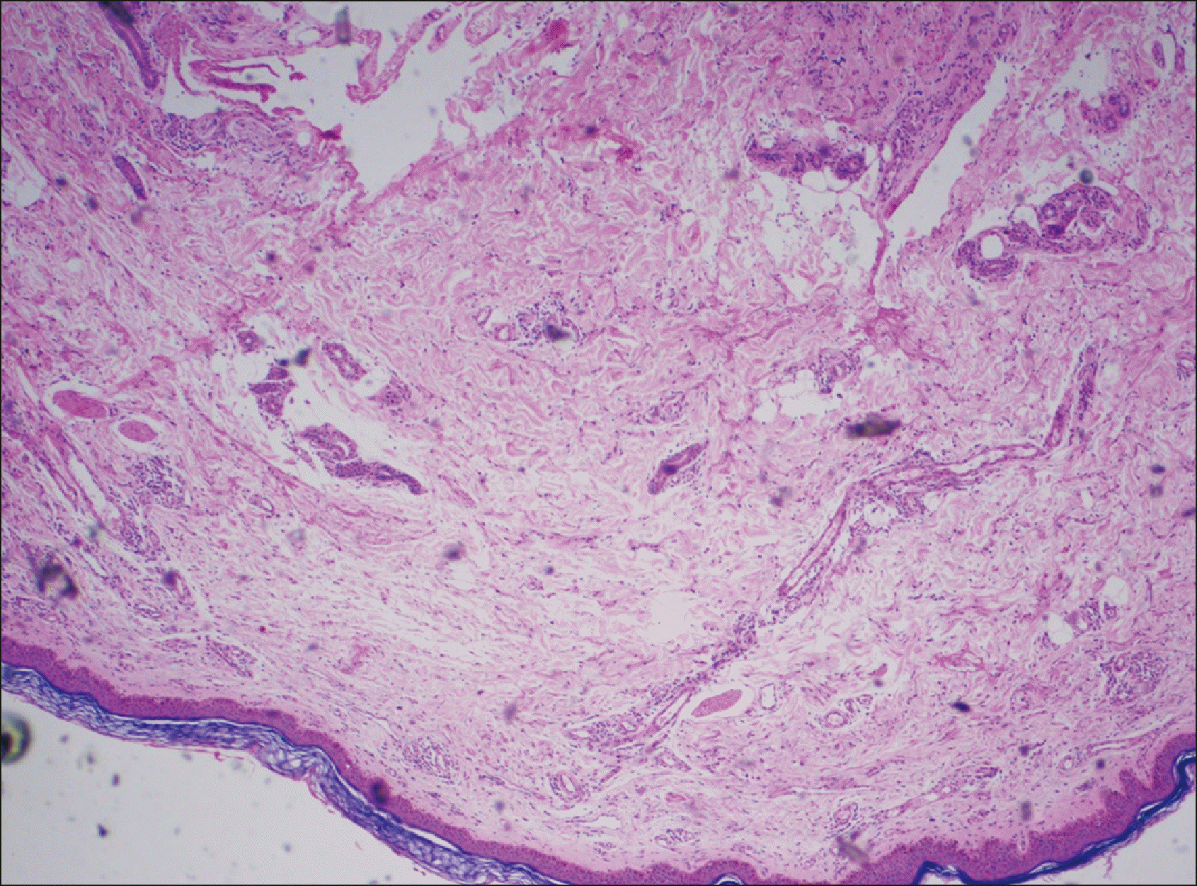
Figure 3
Histopathology image (stain H&E, magnification x100). Epidermis shows keratinisation, flattening of rete ridges, and acanthosis; upper dermis shows inflammatory infiltrate comprising of lymphocytes, plasma cells, and eosinophils and fibrosis of sweat glands; and subcutis shows septal lymphocytic infiltrate with few eosinophils.



PDF
Citation
Print



XML Download