Abstract
Weight-bearing computed tomography (WBCT) is an advanced imaging modality that allows for a three-dimensional assessment of the foot and ankle under a physiological load. It overcomes the limitations of traditional radiographs and non-weight-bearing CT/MRI by providing a more precise evaluation of the joint space narrowing, malalignment, and dynamic changes associated with ankle arthritis. Recent studies have shown the advantages of WBCT in classifying ankle arthritis, revealing previously unrecognized deformities such as valgus tilting in medial gutter arthritis. WBCT also enhances the diagnostic accuracy by quantifying talar rotation, hindfoot alignment, and subtalar joint compensation, which are critical for treatment planning. In addition, WBCT has proven useful in surgical applications, including supramalleolar osteotomy and total ankle arthroplasty, by aiding in preoperative planning, patient-specific instrumentation, and postoperative assessments. It also enables the early detection of complications such as implant malalignment and periprosthetic osteolysis. As WBCT technology continues to evolve, WBCT is expected to play a growing role in optimizing the diagnostic precision and improving treatment outcomes for ankle arthritis. Future research should focus on standardizing WBCT-based measurements and integrating quantitative analysis to enhance clinical decision-making.
발 및 발목 부위의 해부학적 구조와 생체역학적 상호작용은 복잡하여 정확한 평가가 필수적이다. 특히, 보행 시 체중부하에 따른 위치 및 정렬 변화를 고려하지 않으면 병적 상태를 간과할 수 있다. 병적 상태인 충돌 증후군(impingement), 관절 간격 협소(joint space narrowing), 그리고 정렬 이상(malalignment) 등은 체중부하 상태에서만 명확히 드러날 수 있으며, 비체중부하 상태에서 평가하면 진단이 어려울 수 있다.1) 전통적인 체중부하 단순 방사선 검사는 유용하지만, 해상도가 낮고 뼈 중첩(bone superimposition)으로 인해 정확한 평가가 제한적이다.2) 이를 극복하기 위해 컴퓨터 단층촬영(computed tomography, CT) 및 자기공명영상(magnetic resonance imaging)을 이용한 진단이 시도되었으나, 대부분의 경우 환자가 바로 누운 자세에서 촬영이 이루어져 실제 체중부하 상태를 반영하지 못하는 단점이 있다. 체중부하 상태를 재현할 수 있는 맞춤형 장비를 활용한 연구가 진행되었으나, 이 방법 또한 부분적인 체중부하만 가능하여 정상적인 생리적 부하와 근육 활성도를 충분히 반영하지 못하였다.3-5)
이러한 제한점들을 극복하기 위해 체중부하 컴퓨터 단층촬영(weight-bearing CT, WBCT)이 도입되었으며, 이는 생리적 체중부하 상태에서 발과 발목의 골격 구조를 고해상도 3D 영상으로 촬영할 수 있는 기술적 발전을 이루었다(Fig. 1). WBCT는 짧은 촬영 시간, 비용 절감, 낮은 방사선 피폭 등의 장점을 가지며, 10년 이상 임상에서 활용되면서 다양한 연구가 수행되었다.6,7) WBCT를 이용하여 발목 관절염(ankle arthritis), 원위경비관절 손상(syndesmosis injury), 후족부 변형(hindfoot deformity), 편평족 질환(progressive collapsing foot deformity), 리스프랑 관절 손상(Lisfranc injury), 무지외반증(hallux valgus) 등과 같은 다양한 발과 발목 질환에 대한 진단을 위해 기존 방법으로는 측정할 수 없었던 새로운 지표를 개발하고 검증하였다.8)
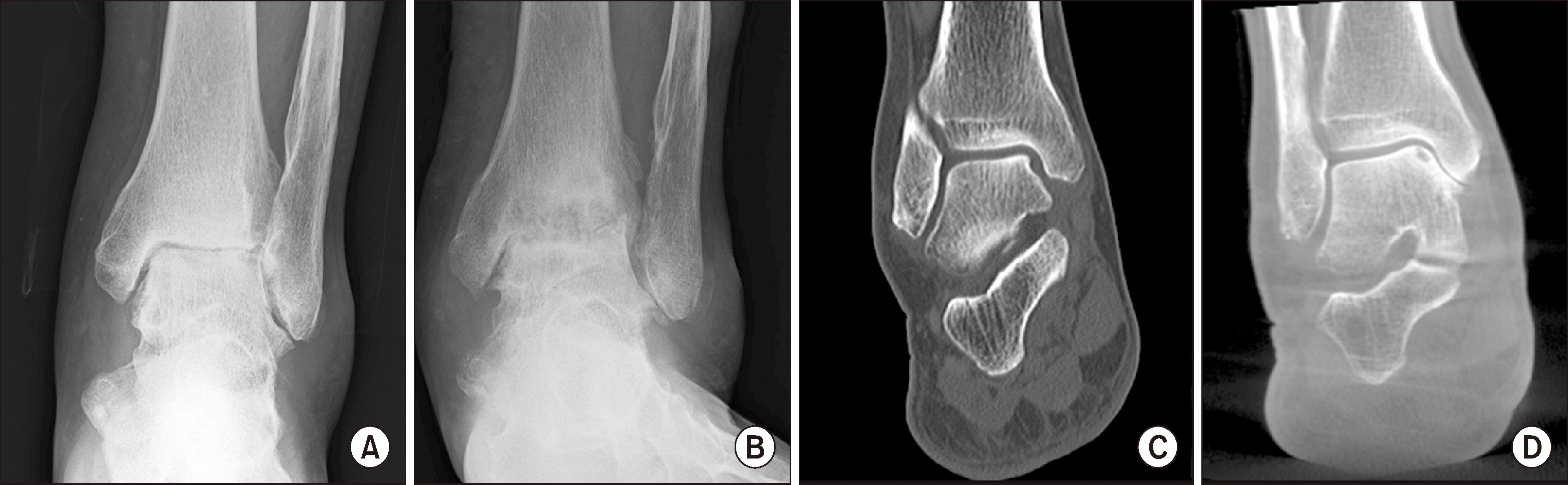
다양한 발과 발목 질환들 중에서 특히, 발목 관절염은 단순 방사선 검사뿐만 아니라 CT에서도 촬영 시 환자의 체중부하 여부에 따라 진단 결과가 달라질 수 있어 체중부하를 이용한 영상학적 검사가 필요한 대표적 질환이다(Fig. 2). 따라서, 본 연구는 발목 관절염에서 WBCT의 활용에 대해 최근 문헌 고찰과 함께 분석해 보고자 한다.
발목 관절염에서 많이 사용되고 있는 Takakura 분류법은 체중부하 단순 방사선 영상을 기반으로 관상면(coronal view)에서 발목 관절염의 진행을 평가하는 방식으로, 특히 내반(varus) 관절염의 진행에 대한 병기(stage) 분류 체계로 알려져 있었다. 하지만, 단순히 2차원적 영상만을 기반으로 분류가 되므로 모든 유형의 발목 관절염을 설명하는 데 명확한 한계가 있다. 이에 대해 Kim 등9)은 발목관절의 내측 구(gutter) 관절 간격의 경-거골 관절 간격에 대한 비율이 0.5 미만인 경우 발목 내측 구 관절염(ankle medial gutter arthrisits)으로 정의하고, WBCT를 이용하여 관상면상에서 전방, 중간, 후방 발목관절의 경거골 경사각을 분석하였다. 그 결과, 발목관절의 전방부에서는 내반이 아닌 외반(valgus)의 경-거골 경사가 관찰되었는데(Fig. 3), 이는 기존의 Takakura 분류법에서 언급한 발목 내측 구 관절염이 내반 관절염(varus arthritis)의 분류에 속한다는 개념과 상충하는 결과를 나타낸다. 또한, 다른 단순 방사선 기반 분류법 역시 3차원적인 발목관절 구조를 충분히 반영하지 못한다는 한계를 시사하였다.10,11)
이에 WBCT를 활용한 새로운 발목 관절염 분류법이 제안되었는데, Richter 등12)은 WBCT 영상을 기반으로 발목 관절염을 4단계로 세분화하였다. 1단계는 관절 간격이 완전히 소실되지 않고 골극이 형성된 상태이며, 2단계는 부분적 또는 전체적인 관절 간격 소실을 보이는 상태로 정의하였다. 3단계에서는 관절면의 상합(congruence)은 유지된 상태로 연골하 낭종(subchondral cyst)이 존재하는 반면에, 4단계는 관절면의 불상합(incongruence)과 함께 관절 파괴가 진행된 상태로 정의하였다(Fig. 4). 이러한 새로운 분류법은 관절염의 기본적인 특징인 관절 간격 감소, 골극 형성, 연골하 낭종을 고려하였다는 장점이 강조된다. 또한, Tazegul 등13)은 WBCT 영상에서 Hounsfield 단위를 활용하여 발목 관절염을 정량적으로 평가하는 방법을 개발하였다. 관절 내 특정 부위를 네 개의 부위로 나누고, 각 부위의 Hounsfield 단위를 기반으로 관절 간격 및 연골 변화가 일어나는 부위를 보다 객관적으로 분석할 수 있었다. 비록 해당 연구는 소규모 샘플을 대상으로 시행한 방법론적 제안에 불과하지만, 향후 WBCT를 이용한 정량적 분석이 발목 관절염 분류의 신뢰성과 재현성을 향상하는 데 기여할 가능성이 크다.
발목 관절염의 진단에서 WBCT의 활용은 발목관절의 격자(mortise)에서 거골의 위치를 파악하는 것에서 시작되며 거골 위치의 병적인 상태는 관절염의 중증도를 시사할 수 있다. Kim 등14)은 거골 회전 비율(talus rotation ratio)을 이용하여 축상면(axial plane)에서 비정상적인 거골의 내회전을 정량화하였으며, 내반 관절염 환자에서 이러한 거골의 내회전이 유의하게 증가함을 확인하였다(Fig. 5). 또한, 중등도보다 심한 내반 관절염 환자에서 비정상적인 거골의 내회전이 더 빈번하게 관찰됨을 보고하였다. 이러한 연구 결과는 발목 관절염 환자를 진단할 때, 기본적인 단순 방사선 검사에서 쉽게 평가할 수 있는 관상면(coronal plane) 및 시상면(sagittal plane)의 변형뿐만 아니라, WBCT를 이용하여 축상면의 변형까지 고려해야 함을 시사한다.
또한, WBCT를 이용하여 관절 간격의 폭(joint space width)의 측정을 통해 발목 관절염에 대한 진단적 접근을 보고하기도 하였다. Willey 등15)은 외상 후 발목 관절염 환자들을 대상으로 WBCT를 활용하여 관절 간격의 감소 정도를 평가하였으며, 높은 신뢰성과 재현성을 보이는 것으로 나타났다. 초기 연구에서는 단일 측정값을 이용한 2차원적인 방식으로 특정 위치에서 관절 간격을 측정하였지만, 기술 발전과 함께 소프트웨어 기반의 3차원적인 측정이 가능해졌으며, 이를 통해 관절 생체역학을 보다 직관적으로 시각화하는 것뿐만 아니라 관절 간격 감소를 정밀하게 모니터링하여 관절염 진행 정도에 대한 지표로 활용할 수 있는 가능성을 제시하였다.16)
한편, 발목 관절염에서 후족부 정렬(hindfoot alignment)과 거골하 관절의 보상 기전에 대한 진단은 발목 관절염에 대한 치료 계획을 수립하는 데 중요한 요소에 해당된다. 단순 방사선 사진을 이용한 후족부 정렬 측정은 촬영 시 방사선 투사 각도의 영향을 크게 받기 때문에, WBCT를 이용하면 보다 정확한 평가가 가능하다. Krähenbühl 등17)은 초기 연구에서 관상면 WBCT 영상을 이용하여, 내반 발목 관절염에서는 거골하 관절의 내반 정렬, 외반 발목 관절염에서는 거골하 관절의 외반 정렬을 보인다고 보고하였다가, 이후 확대된 샘플 분석을 통해 내반 발목 관절염에서는 거골하 관절이 외반 정렬되는 보상 작용을 하는 것으로 보고하였다.18) Kang 등19)은 진행된 내반 발목 관절염 환자를 대상으로 거골하 관절의 보상 작용 유무에 따라 구분하여 비교 분석을 진행하였는데, 경거골 경사각이 9.5° 이상 증가한 경우에는 뒤꿈치의 보상 기전이 현저히 감소한다는 점을 보고하였다(Fig. 6).
과상부 절골술(supramalleolar osteotomy)은 발목 관절염 환자에서 외반 또는 내반 변형을 교정하는 수술적 방법을 통하여 관절을 보존하는 술식으로 초기 및 중등도의 발목 관절염의 치료에서 주로 사용된다.20) 과상부 절골술의 시행 전, 절골 시 변형에 대한 교정 정도의 예상치를 결정하고, 수술 후 발목관절 위치에 대한 3차원적인 평가 시 WBCT가 활용될 수 있다(Fig. 7).21) 또한, Burssens 등22)은 과상부 절골술 후 시상면 및 축상면에서의 거골하 관절의 정렬의 변화를 보고하였는데, 이 연구 결과는 WBCT가 기존 2차원적인 접근 방식에서 간과될 수 있는 거골하 관절의 변화를 설명하는 데 유용할 수 있음을 제시하였다.
WBCT는 환자 맞춤형 기구(patient-specific instrumentation)를 개발하는 데 활용되어 교정 절골술의 정확도를 향상시킬 수 있는 가능성을 제시하기도 하였다. 환자 맞춤형 가이드를 사용하면, 절골의 적절한 위치를 가이드의 적합성을 기반으로 결정할 수 있고, 원하는 위치에 도달할 때까지 가상 교정을 시행할 수 있으며, WBCT 기반 3차원적 프린팅을 이용한 돔형 과상부 절골술이 기존의 과상부 절골술의 기술적 한계를 극복할 수 있음을 제안하기도 하였다.23)
발목 관절염의 진단 및 치료 계획 수립에서 WBCT는 기존 영상 검사법의 한계를 극복할 수 있는 유용한 도구로 자리 잡고 있다. WBCT는 발목 및 후족부 정렬을 보다 정밀하게 평가할 수 있으며, 3차원적인 분석을 통해 관절염의 병태생리를 보다 정확하게 이해하는 데 기여하고 있다. 또한, 교정 절골술 및 인공 발목관절 치환술과 같은 치료적 접근에서도 WBCT의 활용이 증가하면서 환자 맞춤형 치료 계획 수립과 합병증 조기 발견에 중요한 역할을 하고 있다. 향후 WBCT의 지속적인 발전과 더불어, 이를 활용한 정량적 분석 기법이 발목 관절염의 진단 및 치료 성과를 더욱 향상시킬 것으로 기대된다.
REFERENCES
Barg A., Bailey T., Richter M., de Cesar Netto C., Lintz F., Burssens A, et al. 2018. Weightbearing computed tomography of the foot and ankle: emerging technology topical review. Foot Ankle Int. 39:376–86. doi: 10.1177/1071100717740330. DOI: 10.1177/1071100717740330. PMID: 29171283.
Lintz F., de Cesar Netto C., Barg A., Burssens A., Richter M. Weight Bearing CT International Study Group. 2018. Weight-bearing cone beam CT scans in the foot and ankle. EFORT Open Rev. 3:278–86. doi: 10.1302/2058-5241.3.170066. DOI: 10.1302/2058-5241.3.170066. PMID: 29951267. PMCID: PMC5994636.
Ellis SJ., Deyer T., Williams BR., Yu JC., Lehto S., Maderazo A, et al. 2010. Assessment of lateral hindfoot pain in acquired flatfoot deformity using weightbearing multiplanar imaging. Foot Ankle Int. 31:361–71. doi: 10.3113/FAI.2010.0361. DOI: 10.3113/FAI.2010.0361. PMID: 20460061.
Hirschmann A., Pfirrmann CW., Klammer G., Espinosa N., Buck FM. 2014. Upright cone CT of the hindfoot: comparison of the non-weight-bearing with the upright weight-bearing position. Eur Radiol. 24:553–8. doi: 10.1007/s00330-013-3028-2. DOI: 10.1007/s00330-013-3028-2. PMID: 24071992.
Kang DH., Kang C., Hwang DS., Song JH., Song SH. 2019. The value of axial loading three dimensional (3D) CT as a substitute for full weightbearing (standing) 3D CT: comparison of reproducibility according to degree of load. Foot Ankle Surg. 25:215–20. doi: 10.1016/j.fas.2017.10.014. DOI: 10.1016/j.fas.2017.10.014. PMID: 29409280.
Godoy-Santos AL., Bernasconi A., Bordalo-Rodrigues M., Lintz F., Lôbo CFT., de Cesar Netto C. 2021. Weight-bearing cone-beam computed tomography in the foot and ankle specialty: where we are and where we are going - an update. Radiol Bras. 54:177–84. doi: 10.1590/0100-3984.2020.0048. DOI: 10.1590/0100-3984.2020.0048. PMID: 34108765. PMCID: PMC8177673.
Richter M., Lintz F., de Cesar Netto C., Barg A., Burssens A. 2020. Results of more than 11,000 scans with weightbearing CT - impact on costs, radiation exposure, and procedure time. Foot Ankle Surg. 26:518–22. doi: 10.1016/j.fas.2019.05.019. DOI: 10.1016/j.fas.2019.05.019. PMID: 31239196.
Li J, Fang M, Van Oevelen A, Peiffer M, Audenaert E, Burssens A; International Weightbearing CT Society. 2024. Diagnostic applications and benefits of weightbearing CT in the foot and ankle: a systematic review of clinical studies. Foot Ankle Surg. 30:7–20. doi: 10.1016/j.fas.2023.09.001. DOI: 10.1016/j.fas.2023.09.001. PMID: 37704542.
Kim JB., Park CH., Ahn JY., Kim J., Lee WC. 2021. Characteristics of medial gutter arthritis on weightbearing CT and plain radiograph. Skeletal Radiol. 50:1575–83. doi: 10.1007/s00256-020-03688-2. DOI: 10.1007/s00256-020-03688-2. PMID: 33410964.
Holzer N., Salvo D., Marijnissen AC., Vincken KL., Ahmad AC., Serra E, et al. 2015. Radiographic evaluation of posttraumatic osteoarthritis of the ankle: the Kellgren-Lawrence scale is reliable and correlates with clinical symptoms. Osteoarthritis Cartilage. 23:363–9. doi: 10.1016/j.joca.2014.11.010. DOI: 10.1016/j.joca.2014.11.010. PMID: 25463444.
Krause FG., Di Silvestro M., Penner MJ., Wing KJ., Glazebrook MA., Daniels TR, et al. 2010. Inter- and intraobserver reliability of the COFAS end-stage ankle arthritis classification system. Foot Ankle Int. 31:103–8. doi: 10.3113/FAI.2010.0103. DOI: 10.3113/FAI.2010.0103. PMID: 20132745.
Richter M., de Cesar Netto C., Lintz F., Barg A., Burssens A., Ellis S. 2022. The assessment of ankle osteoarthritis with weight-bearing computed tomography. Foot Ankle Clin. 27:13–36. doi: 10.1016/j.fcl.2021.11.001. DOI: 10.1016/j.fcl.2021.11.001. PMID: 35219362.
Tazegul TE., Anderson DD., Barbachan Mansur NS., Kajimura Chinelati RM., Iehl C., VandeLune C, et al. 2022. An objective computational method to quantify ankle osteoarthritis from low-dose weightbearing computed tomography. Foot Ankle Orthop. 7:24730114221116805. doi: 10.1177/24730114221116805. DOI: 10.1177/24730114221116805. PMID: 36478960. PMCID: PMC9720551.
Kim JB., Yi Y., Kim JY., Cho JH., Kwon MS., Choi SH, et al. 2017. Weight-bearing computed tomography findings in varus ankle osteoarthritis: abnormal internal rotation of the talus in the axial plane. Skeletal Radiol. 46:1071–80. doi: 10.1007/s00256-017-2655-0. DOI: 10.1007/s00256-017-2655-0. PMID: 28432396.
Willey MC., Compton JT., Marsh JL., Kleweno CP., Agel J., Scott EJ, et al. 2020. Weight-bearing CT scan after tibial pilon fracture demonstrates significant early joint-space narrowing. J Bone Joint Surg Am. 102:796–803. doi: 10.2106/JBJS.19.00816. DOI: 10.2106/JBJS.19.00816. PMID: 32379120.
Turmezei TD., Malhotra K., MacKay JW., Gee AH., Treece GM., Poole KES, et al. 2023. 3-D joint space mapping at the ankle from weight-bearing CT: reproducibility, repeatability, and challenges for standardisation. Eur Radiol. 33:8333–42. doi: 10.1007/s00330-023-09718-6. DOI: 10.1007/s00330-023-09718-6. PMID: 37256354. PMCID: PMC10598168.
Krähenbühl N., Tschuck M., Bolliger L., Hintermann B., Knupp M. 2016. Orientation of the subtalar joint: measurement and reliability using weightbearing CT scans. Foot Ankle Int. 37:109–14. doi: 10.1177/1071100715600823. DOI: 10.1177/1071100715600823. PMID: 26293157.
Krähenbühl N., Siegler L., Deforth M., Zwicky L., Hintermann B., Knupp M. 2019. Subtalar joint alignment in ankle osteoarthritis. Foot Ankle Surg. 25:143–9. doi: 10.1016/j.fas.2017.10.004. DOI: 10.1016/j.fas.2017.10.004. PMID: 29409290.
Kang HW., Kim DY., Park GY., Lee DO., Lee DY. 2022. Coronal plane calcaneal-talar orientation in varus ankle osteoarthritis. Foot Ankle Int. 43:928–36. doi: 10.1177/10711007221088566. DOI: 10.1177/10711007221088566. PMID: 35484934.
Butler JJ., Azam MT., Weiss MB., Kennedy JG., Walls RJ. 2023. Supramalleolar osteotomy for the treatment of ankle osteoarthritis leads to favourable outcomes and low complication rates at mid-term follow-up: a systematic review. Knee Surg Sports Traumatol Arthrosc. 31:701–15. doi: 10.1007/s00167-022-07144-7. DOI: 10.1007/s00167-022-07144-7. PMID: 36151410.
Song JH., Kang C., Kim TG., Lee GS., Lee JK., Ahn KJ, et al. 2021. Perioperative axial loading computed tomography findings in varus ankle osteoarthritis: effect of supramalleolar osteotomy on abnormal internal rotation of the talus. Foot Ankle Surg. 27:217–23. doi: 10.1016/j.fas.2020.04.006. DOI: 10.1016/j.fas.2020.04.006. PMID: 32402519.
Burssens A., Susdorf R., Krähenbühl N., Peterhans U., Ruiz R., Barg A, et al. 2022. Supramalleolar osteotomy for ankle varus deformity alters subtalar joint alignment. Foot Ankle Int. 43:1194–203. doi: 10.1177/10711007221108097. DOI: 10.1177/10711007221108097. PMID: 35786021.
Faict S., Burssens A., Van Oevelen A., Maeckelbergh L., Mertens P., Buedts K. 2023. Correction of ankle varus deformity using patient-specific dome-shaped osteotomy guides designed on weight-bearing CT: a pilot study. Arch Orthop Trauma Surg. 143:791–9. doi: 10.1007/s00402-021-04164-9. DOI: 10.1007/s00402-021-04164-9. PMID: 34562121.
Thompson MJ., Consul D., Umbel BD., Berlet GC. 2021. Accuracy of weightbearing CT scans for patient-specific instrumentation in total ankle arthroplasty. Foot Ankle Orthop. 6:24730114211061493. doi: 10.1177/24730114211061493. DOI: 10.1177/24730114211061493. PMID: 35097485. PMCID: PMC8664310.
Zeitlin J., Henry J., Ellis S. 2021. Preoperative guidance with weight-bearing computed tomography and patient-specific instrumentation in foot and ankle surgery. HSS J. 17:326–32. doi: 10.1177/15563316211026325. DOI: 10.1177/15563316211026325. PMID: 34539274. PMCID: PMC8436345.
de Cesar Netto C., Day J., Godoy-Santos AL., Roney A., Barbachan Mansur NS., Lintz F, et al. 2022. The use of three-dimensional biometric foot and ankle offset to predict additional realignment procedures in total ankle replacement. Foot Ankle Surg. 28:1029–34. doi: 10.1016/j.fas.2022.02.007. DOI: 10.1016/j.fas.2022.02.007. PMID: 35190277.
Lintz F., Mast J., Bernasconi A., Mehdi N., de Cesar Netto C., Fernando C., Buedts K. International Weight-Bearing CT Society. 2020. 3D, weightbearing topographical study of periprosthetic cysts and alignment in total ankle replacement. Foot Ankle Int. 41:1–9. doi: 10.1177/1071100719891411. DOI: 10.1177/1071100719891411. PMID: 31779466.
Figure 1
Cone-beam computed tomography scanner (Planmed Verity Extremity, Planmed Oy) with flexible gantry movements allows weight bearing imaging in standing position.
Figure 2
(A) Non-weight-bearing simple radiograph, (B) weight-bearing simple radiograph, (C) Non-weight-bearing computed tomography. (D) Weight-bearing computed tomography. Ankle arthritis diagnosis can vary depending on whether the patient is weight-bearing, not only in simple radiograph but also in computed tomography.
Figure 3
(A) Standing ankle radiograph, (B) anterior, (C) middle, (D) posterior ankle images in coronal plane of weight-bearing computed tomography.
Figure 4
Ankle arthritis classification system by weight-bearing computed tomography. (A) First degree of osteoarthritis with osteophyte formation and joint space narrowing, but not complete loss. (B) Second degree of osteoarthritis with partial or complete loss of joint space. (C) Third degree of osteoarthritis with additional subchondral cysts, with remaining joint surface congruency. (D) Fourth degree of osteoarthritis with aggravated joint surface destruction and incongruence.
Figure 5
Abnormal internal rotation of the talus in the axial plane in varus ankle arthritis. (A) Plain weight-bearing anteroposterior ankle radiograph of a patient with moderate varus ankle arthritis, (B) WBCT axial image showing the talus abnormally internally rotated against the lateral malleolus, (C) plain weight-bearing anteroposterior radiography of patient with severe varus ankle arthritis, (D) WBCT axial image demonstrating more frequent and pronounced abnormal internal rotation of the talus in the axial plane. WBCT: weight-bearing computed tomography.
Figure 6
(A) Arthritis showing a difference in the talar tilt angle on standing radiographs of both sides. (B) The compensation of the subtalar joint on weight-bearing computed tomography is observed on the right side with a smaller talar tilt angle, but is not seen on the left side with a larger talar tilt angle.
Figure 7
(A) Preoperative weight-bearing computed tomography (WBCT) before supramalleolar osteotomy (SMO), (B) postoperative WBCT after SMO. These images reveal a significant correction of the abnormal internal rotation of the talus and recovered congruency of the ankle mortise in both the coronal (black arrow) and sagittal (white arrow) images.



PDF
Citation
Print



XML Download