Abstract
Charcot neuroarthropathy (CN), also known as Charcot arthropathy, is a complex, progressive disorder primarily affecting the foot and ankle. This case report describes a multifaceted management strategy for a 54-year-old male with diabetes mellitus, end-stage renal disease, and presumed underlying Charcot arthropathy who experienced a traumatic ankle fracture. The initial surgical plans were delayed because of systemic infection indicators, including elevated C-reactive protein levels and high fever. The patient underwent multiple surgical interventions and faced challenges, including metal failure, implant-associated infection, and tibiotalar joint dislocation. A multidisciplinary approach involving orthopedic surgeons, nephrologists, and endocrinologists was crucial for managing the case effectively. In particular, the patient declined a below-knee amputation and opted for comprehensive surgical intervention, resulting in improved functionality at the latest follow-up. This case highlights the complexities of managing CN in patients with multiple comorbidities and emphasizes the need for a nuanced, patient-centered approach.
Charcot neuroarthropathy (CN), also known as Charcot arthropathy or Charcot foot and ankle, is a debilitating and progressive disorder affecting the bones, joints, and soft tissues of the foot or ankle.1) First described by neurologist Jean-Martin Charcot in 1868, the disease is particularly prevalent among individuals with conditions that affect the nervous system, such as diabetes mellitus (DM) and peripheral neuropathy.2) Notably, while the incidence of CN is less than 1% in the general population, the rate skyrockets to as high as 13% among high-risk diabetic patients, affecting both men and women equally.2)
The pathophysiology of CN remains a subject of ongoing debate, but most experts propose a multifactorial origin, dominated by neurovascular and neurotraumatic theories. In the neurotraumatic theory, unrecognized trauma to an insensate foot leads to progressive joint and bone destruction. On the other hand, the neurovascular theory suggests that neural-controlled vascular reflexes cause bone resorption and ligament laxity.3)
Initially, the condition often manifests as inexplicable swelling, redness, and localized warmth in the affected foot or ankle. As it progresses, changes in the structure of the foot or ankle may become evident, resulting in significant deformities. A key character of advanced cases is the ‘rocker bottom’ appearance caused by extensive mid-foot destruction.4) If not diagnosed and treated promptly, CN can result in devastating complications ranging from recurrent ulcers and infections to major limb amputations.5)
The objective of treatment is to achieve a stable, plantigrade foot that can fit into shoes and to prevent recurrent ulceration. The treatment modalities vary widely depending on various factors, including the phase of the disease, location of deformity, presence of infection, and other comorbidities. They range from basic shoe modification to more radical solutions like limb amputation.
This case report aims to present one of the potential treatment methods for managing a patient with DM and end-stage renal disease (ESRD) who experienced presumed underlying Charcot arthropathy with a subsequent traumatic ankle fracture. The goal is to highlight the challenges posed by these comorbidities and provide insights into a patient-centered approach to treatment.
The authors are accountable for all aspects of the work in ensuring that questions related to the accuracy or integrity of any part of the work are appropriately investigated and resolved. Written informed consent was obtained from the patient for publication of this study and any accompanying images.
The study was approved by the Institutional Review Board of the Chung-Ang University Hospital (IRB no. 2309-001-19486).
We present an intricate case of a 54-year-old male with a myriad of comorbid conditions, including DM, ESRD on hemodialysis, and hypertension. The patient had presumed underlying Charcot arthropathy, a condition notoriously difficult to diagnose and manage, particularly in its early stages.
The patient experienced a traumatic right ankle trimalleolar fracture following a slip on an icy surface (Fig. 1). Initial surgical intervention including open reduction and internal fixation (OR/IF) was planned. However, this was postponed due to unforeseen clinical manifestations: the patient developed a high fever of 38°C and elevated C-reactive protein (CRP) levels at 170.2 mg/L (normal range: 0.0∼5.0 mg/L), suggesting systemic inflammation or infection. Moreover, a hemorrhagic bulla rapidly emerged at the site of the medial malleolus deteriorating progressively (Fig. 2).
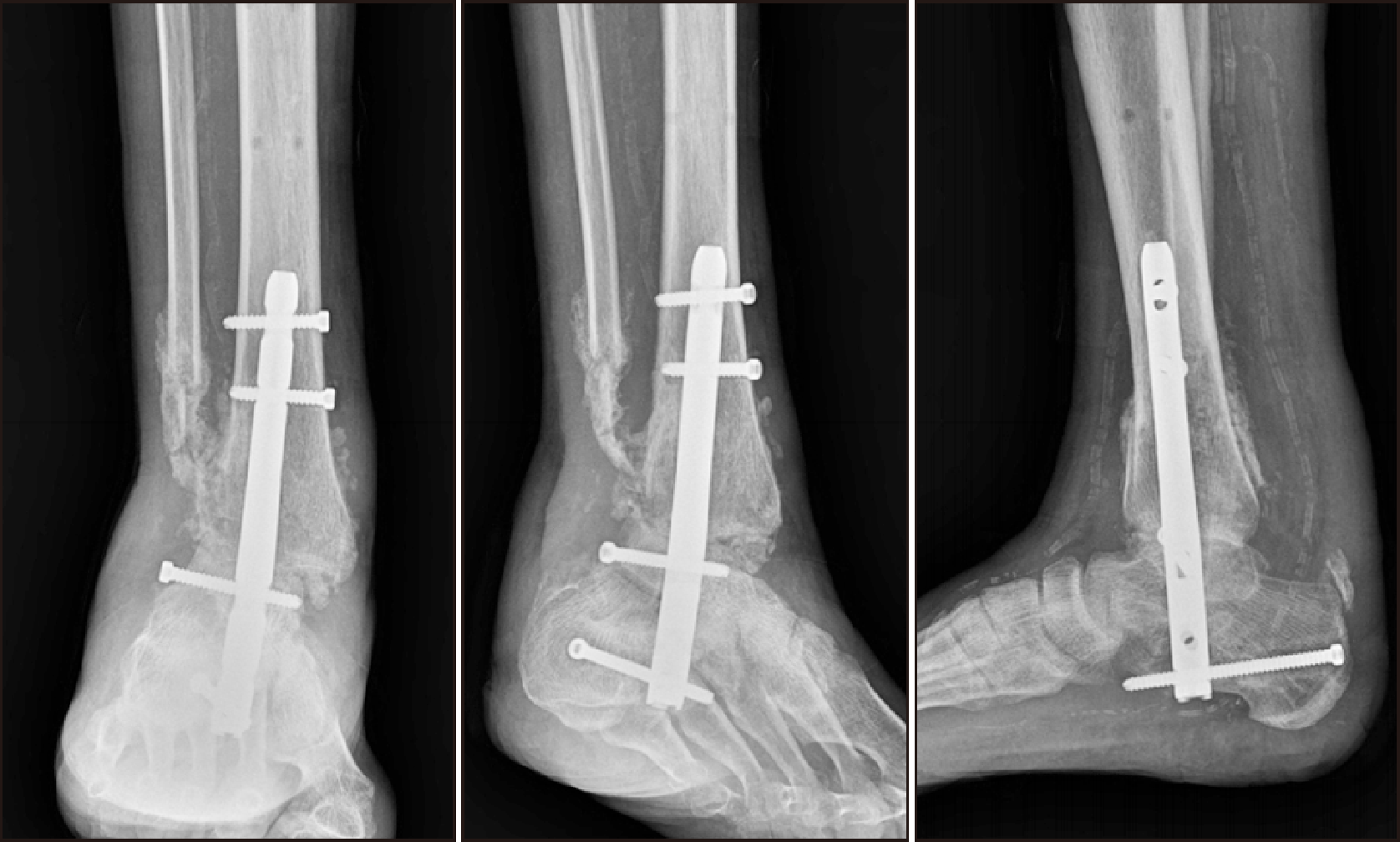
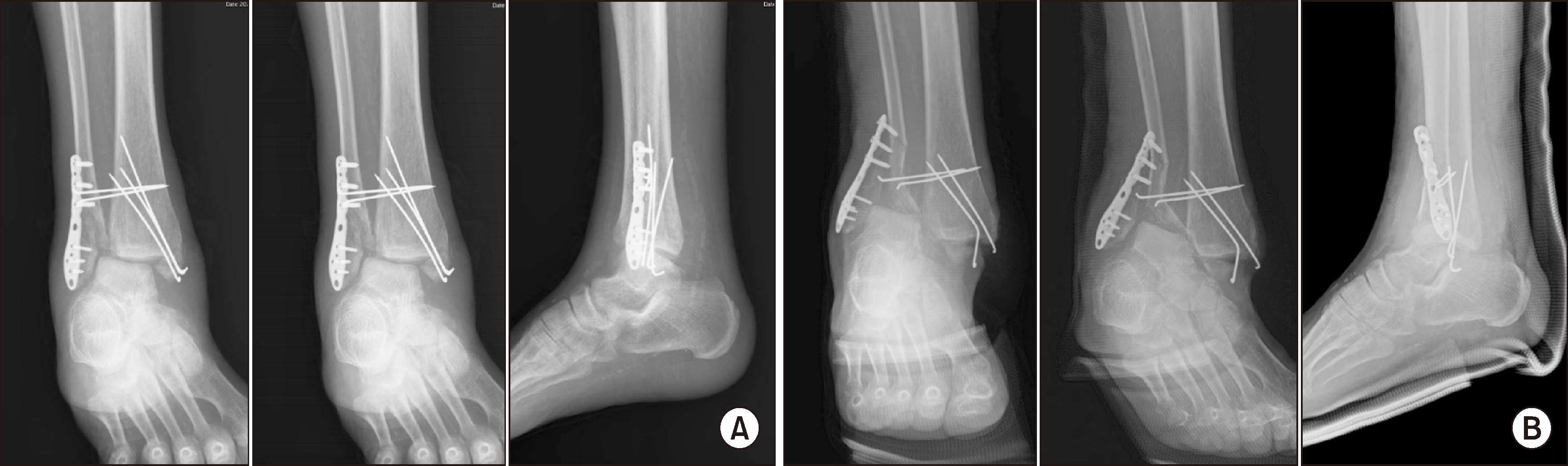
After the stabilization of the acute symptoms, the patient underwent OR/IF. A plate and screws were utilized for the lateral malleolus and K-wires were employed for the medial malleolus. In addition, syndesmotic fixation was performed to stabilize the distal tibiofibular joint (Fig. 3). In this case, K-wire was used for syndesmotic fixation due to the poor soft tissue condition observed around the medial malleolus. While screw fixation or suture anchor may provide stronger stability, the less invasive nature of K-wire was prioritized to minimize additional injury. Additionally, given the risk of poor bone quality we sought to avoid hardware failure or excessive stress. Upon observing a reduction in post-operative swelling, a short leg cast was applied (Fig. 4).
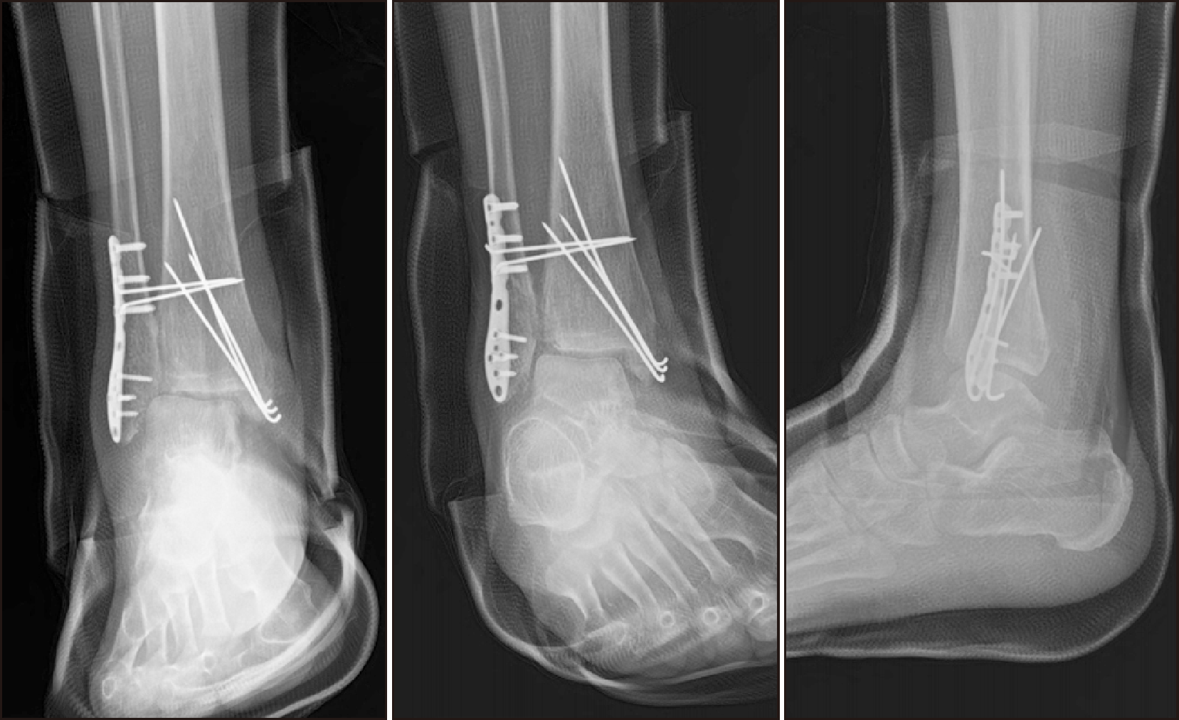
Subsequent imaging studies revealed non-union and lateral displacement of the fractures, prompting a revision OR/IF. The patient was also placed in isolation due to COVID-19, and further radiographs revealed metal failure and tibiotalar joint dislocation (Fig. 5). An implant-associated infection was confirmed, leading to subsequent procedures including metal removal, debridement, and the application of an external fixator (Fig. 6).
One week after applying the external fixator, tibiotalocalcaneal (TTC) fusion was performed using a retrograde T2 nail (T2 Alpha Retrograde Femur Nailing System, Stryker Corporation), and a fibular bone ostectomy was conducted to provide a bone graft at the fusion site (Fig. 7A). Additionally, there was a medial wound defect at the time of surgery, indicating the need for further interventions such as a flap in the future (Fig. 7B). Approximately 3 weeks after the TTC fusion, granulation tissue was observed in the medial wound. Kerecis GraftGuide (Kerecis Ltd.) was applied to cover the wound defect (Fig. 8).
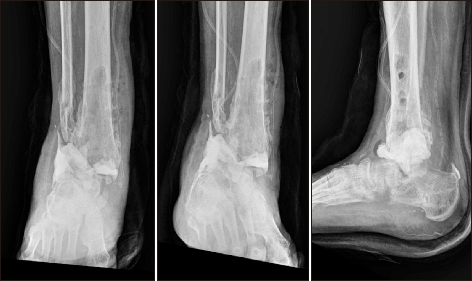
Six months post-operation, the patient presented with a plantar lesion emitting a foul odor, accompanied by a fever (39°C) and highly elevated CRP levels at 369.9 mg/L. At 3 months post-TTC fusion surgery, loosening of the fixed portion of the nail and loss of reduction were observed (Fig. 9). Imaging studies revealed a soft tissue defect at the sole, extending posteriorly to form a sinus tract or abscess (Fig. 10, 11). The patient underwent incision and drainage, along with removal of a loosened screw.
During outpatient follow-up, 8 months post-surgery, the patient exhibited signs of fever and operation site infection, along with evidence of metal loosening, necessitating hospital admission (Fig. 12). Despite the arduous clinical journey, the patient declined the option for a below-knee amputation. Given the ongoing complications, a decision was made to perform comprehensive surgical intervention. In light of evidence of implant-associated infection, metal removal was performed and anti-cement arthroplasty was carried out (Fig. 13). Three months after, this involved the insertion of a vancomycin-mixed cement filling, TTC fusion using a proximal humeral internal locking system (PHILOS) plate (DePuy Synthes) on the lateral side, and additional fixation using a 6.5 TCS (threaded cannulated screw) (Fig. 14).
Follow-up visits were promising: 2 months after TTC fusion, the patient could walk short distances without difficulty (Fig. 15). The most recent follow-up, 2 years post-TTC fusion, showed no major complications. The patient was able to engage in light daily activities. Radiograph images confirmed well-maintained fusion, with the exception of a broken screw in the second from the distal portion (Fig. 16).
This case illuminates the complexities and challenges involved in managing Charcot arthropathy especially in a patient with multiple co-morbidities. The multidisciplinary approach involving orthopedic surgeons, nephrologists, and endocrinologists was key to addressing these issues.
One significant point for discussion is the delicate balance in decision-making for surgical interventions, given the patient’s high-risk profile. The postponement of initial surgical intervention due to elevated CRP levels and fever underscored the necessity for a cautious approach in surgical management.
The length of the retrograde intramedullary (IM) nail for TTC fusion was determined intraoperatively using fluoroscopy. This allowed for precise assessment and alignment to ensure adequate coverage of the tibia, talus, and calcaneus. The use of an image intensifier helped confirm proper placement and alignment in multiple views (anteroposterior, lateral, and axial), ensuring that the nail provided sufficient stability while maintaining the desired hindfoot alignment.6) Slight valgus alignment observed in postoperative radiographs was noted; however, it was deemed clinically acceptable to achieve stability and functionality of the hindfoot.
IM nails, particularly those coated with antibiotic cement, provide excellent mechanical stability and effective infection control in TTC fusion. Herrera-Pérez et al.7) demonstrated the utility of cement-coated IM nails in achieving fusion and eradicating infection in refractory cases, highlighting their value in scenarios involving bone loss or infection.
Lateral plate fixation, on the other hand, offers unique benefits in specific contexts. It allows for multiple fixation points and avoids complications such as plantar nerve injury or infection seeding associated with intramedullary techniques. Furthermore, lateral plates provide rigid biomechanical stability, particularly in patients with poor bone quality. In this study, the lateral plate was chosen to accommodate soft tissue conditions and ensure precise alignment and compression at the fusion site. Future comparative studies may help further refine the indications for these techniques.
Furthermore, the complications observed in this case, such as implant-associated infection and metal failure, emphasize the necessity for vigilant post-operative follow-up. These complications may have been exacerbated by the patient’s pre-existing conditions, including ESRD and DM. Understanding the interaction between these co-morbidities and Charcot arthropathy is crucial for the surgeon.
Moreover, the patient’s refusal to proceed with a below-knee amputation elucidates the critical role of patient autonomy in medical decision-making. The patient was willing to endure the prolonged, and often distressing, course of treatment, indicating that quality of life and functional outcomes are subjective and may differ from patient to patient.
Lastly, the fact that the patient was able to walk and carry out light daily activities at the latest follow-up suggests that comprehensive and multi-disciplinary approaches can yield favorable outcomes, despite the challenging nature of Charcot arthropathy and its propensity for complications.
One limitation of this study is the use of lateral plate fixation in cases where bone cement remains at the fusion site. Since bone conduction does not occur through the cement, longer follow-up (beyond 1 year) is required to evaluate the durability of the construct and the risk of nonunion or mechanical failure. Future research should investigate the long-term impact of this technique on fusion outcomes and patient functionality.
In conclusion, managing Charcot arthropathy is a complex endeavor, often necessitating a multi-pronged and multidisciplinary approach. Early diagnosis, vigilant monitoring, and patient-centered decision-making are key elements in achieving positive outcomes.
REFERENCES
Yousaf S., Dawe EJC., Saleh A., Gill IR., Wee A. 2018. The acute Charcot foot in diabetics: diagnosis and management. EFORT Open Rev. 3:568–73. doi: 10.1302/2058-5241.3.180003. DOI: 10.1302/2058-5241.3.180003. PMID: 30662765. PMCID: PMC6335590.
Frykberg RG., Belczyk R. 2008. Epidemiology of the Charcot foot. Clin Podiatr Med Surg. 25:17–28. doi: 10.1016/j.cpm.2007.10.001. DOI: 10.1016/j.cpm.2007.10.001. PMID: 18165108.
Kim SH., Kim WJ., Park ES., Kim JY., Lee YK. 2022. Iatrogenic ankle Charcot neuropathic arthropathy after spinal surgery: a case report and literature review. Medicina (Kaunas). 58:1776. doi: 10.3390/medicina58121776. DOI: 10.3390/medicina58121776. PMID: 36556978. PMCID: PMC9785748.
Shah M. Charcot arthropathy [Internet]. Medscape;Newark (NJ): Available from: https://emedicine.medscape.com/article/1234293. cited 2020 Feb 3.
Trieb K. The Charcot foot: pathophysiology, diagnosis and classification. Bone Jt J. 98:1155–9. doi: 10.1302/0301-620X.98B9.37038. DOI: 10.1302/0301-620X.98B9.37038. PMID: 27587513.
Ramakanth R., Sundararajan SR., D'souza T., Rajasekaran S. 2023. Hindfoot fusion with various auxiliary techniques in Charcot's management. Int J Orthop Surg. 31:65–73. doi: 10.4103/ijors.ijors_18_23. DOI: 10.4103/ijors.ijors_18_23.
Herrera-Pérez M., Díaz-Fernández R., Rendón-Díaz D., Boluda-Mengod J., Pais-Brito JL., Tejero S. 2020. Tibiotalocalcaneal fusion with antibiotic cement-coated nails for refractory deep infection after ankle ORIF. Foot Ankle Int. 41:1391–7. doi: 10.1177/1071100720939884. DOI: 10.1177/1071100720939884. PMID: 32713190.
Figure 1
(A) Initial radiograph imaging upon admission showing a right ankle trimalleolar fracture. (B) Initial clinical picture upon admission showing a right ankle trimalleolar fracture.
Figure 2
(A) Clinical picture on Day 5 showing the formation of a hemorrhagic bulla. (B) Clinical picture on Day 9 showing the formation of a hemorrhagic bulla.
Figure 4
Post-cast radiograph following the application of a short leg cast after the reduction of swelling.
Figure 5
(A) Five weeks post-surgery, radiograph confirming non-union and lateral displacement of the fractures. (B) Findings of metal failure and tibiotalar joint dislocation observed during COVID-19 isolation.
Figure 6
(A) Post-operative radiograph after applying external fixator for septic ankle findings. (B) Intra-operative clinical picture applying external fixator for septic ankle findings.
Figure 7
(A) Post-operative radiograph after tibiotalocalcaneal fusion using a retrograde T2 nail. (B) Clinical findings showing a medial wound defect at the time of surgery.
Figure 10
Clinical picture of soft tissue defect at the sole at 6 months post-tibiotalocalcaneal fusion.
Figure 11
(A) Radiograph at 3 months post-TTC fusion. (B) CT scan at 6 months post-TTC fusion showing soft tissue defect at the sole, extending posteriorly to form a sinus tract or abscess. TTC: tibiotalocalcaneal.
Figure 12
Findings at 8 months post-tibiotalocalcaneal fusion showing fever and operation site infection, accompanied by concurrent metal failure.
Figure 13
Post-operation radiograph following metal removal and anti-cement arthroplasty due to findings of implant-associated infection.
Figure 14
(A) Post-operation radiograph showing vancomycin-mixed cement filling, TTC fusion using a proximal humeral internal locking system (PHILOS) plate on the lateral side, and additional fixation with a 6.5 threaded cannulated screw. (B) Day 10 post-revision TTC fusion medial and lateral clinical pictures. TTC: tibiotalocalcaneal.



PDF
Citation
Print



XML Download