Abstract
Purpose
This study compared the treatment outcomes between fixation using screws and suture buttons for addressing distal tibiofibular syndesmosis diastasis combined with ankle fractures.
Methods
Materials and A retrospective study was conducted involving 20 patients with ankle fractures treated with screws and 21 patients treated with suture buttons for distal tibiofibular syndesmosis diastasis. The postoperative clinical outcomes were assessed using the American Orthopedic Foot and Ankle Society (AOFAS) score, while the radiological outcomes were determined by measuring the tibiofibular clear space, tibiofibular overlap, and medial clear space on the pre- and post-operative radiographs. In addition, factors such as the need for internal fixation removal surgery and the incidence of internal fixation damage were investigated.
Results
One-year post-surgery, the average AOFAS score showed no significant difference between the screw and suture button surgery groups. Initially, measurements of the tibiofibular clear space, tibiofibular overlap, and medial clear space did not exhibit significant differences between the two groups. On the other hand, significant differences were observed one-year post-surgery. All patients in the screw surgery group underwent screw removal surgery. Within this group, two cases of screw breakage and one case of surgical wound infection were recorded.
Conclusion
When treating distal tibiofibular syndesmosis diastasis, the screw surgery group and the suture button surgery group showed similar clinical outcomes measured by AOFAS one year after surgery, but the suture button surgery group had better results in radiological evaluation and complication frequency.
원위경비관절은 인대 결합으로 안정성이 유지되며1) 인대에 의해 축성 외력, 회전력, 전단력에 대한 저항력이 생겨 경골과 비골이 분리되지 않고 발목관절이 정상적으로 작동하도록 되어 있다.2) 원위경비인대 결합 손상의 80%는 발목 골절과 동반되어 발생하며 Weber B, C 유형에서 나타난다.3) 주된 손상 기전은 족관절의 외회전이고 족관절의 외전에 의해서도 발생할 수 있다. 족관절의 회내-외회전, 회외-외회전, 또는 회내-외전 손상 시에 발생한다.4) 경비인대 결합의 손상이 간과되거나 적절하게 치료되지 않을 경우 지속적인 발목의 통증과 기능저하가 발생할 수 있다. 이러한 상태가 지속되면 외상성 관절염이 발생할 수 있어 정확한 진단과 적절한 정복을 회복하는 것이 중요하다.5)
전통적으로 원위경비인대 결합의 손상으로 인한 관절 이개의 치료로 탈구 정복 후 경비인대 나사못을 이용한 고정술이 표준 치료법으로 사용되어 왔다. 최근에는 TightRope (Arthrex)와 같은 봉합사 단추를 이용한 고정술이 도입 되었고 여러 연구들에서 봉합사 단추를 이용한 고정술의 여러 장점이 보고되고 있다.5) 봉합사 단추를 이용한 고정술은 경비인대의 생리학적 움직임을 허용하고 내고정물의 제거가 필요치 않으며 술 후 관절 이개가 다시 생기는 경우가 드물고, 조기 체중부하가 가능하여 빠른 재활 및 더 나은 삶의 질을 얻을 수 있다고 보고되고 있다.5-9)
본 연구에서는 발목 골절에 동반된 원위경비관절 이개의 치료 시 봉합사 단추를 이용한 고정법과 나사못 고정법의 수술 후 결과를 비교하고자 하였다. 봉합사 단추 고정술의 생리학적 이점을 고려하여, 봉합사 단추를 이용한 고정법이 나사못 고정법보다 우수한 치료 결과를 보일 것으로 가정하였다.
치료 결과의 판단은 American Orthopaedic Foot and Ankle Society (AOFAS) 설문 조사로 임상적 결과를 판단하였고 일반 방사선 사진 계측으로 방사선학적 결과를 판단하였고 합병증을 비교 분석하였다.
본 연구는 제주한라병원 임상연구윤리위원회의 승인을 받았으며, 후향적 연구로 사전 동의는 면제되었다(IRB no. 2023-L08-01). 2015년 10월부터 2023년 6월까지 발목 골절과 동반된 원위경비결합 이개로 수술적 치료를 받은 환자는 95명이었다. 2015년 10월부터 2019년 2월까지 내원한 환자는 나사못 고정 수술을 받았고 2019년 3월부터 2023년 6월까지 내원한 환자는 봉합사 단추의 장점이 보고된 바에 근거하여 봉합사 단추를 이용한 고정 수술을 받았다. 포함 기준은 2015년 10월부터 2023년 6월까지 발목 골절과 동반된 원위경비 결합 이개로 수술받은 환자, 1년 이상 추시관찰이 되었던 환자, 추시 과정 중 체중부하 영상으로 추시되었던 환자, 동반 손상이 없어 체중부하의 제한이 없었던 환자이며 제외 기준은 발목 골절과 동반된 원위 결합 이개에 대하여 수술을 받았으나 1년 이상 추시되지 못하였던 환자, 추시 중 체중부하 영상으로 추시되지 않았던 환자, 또한 동반 손상으로 체중부하가 불가하였던 환자들이었다. 해당 기간 원위경비 결합 이개로 수술 받았던 95명 중 1년 이상 외래 추시가 되지 않았던 환자 28명은 연구에서 제외되었다. 추시 과정 중 체중부하 영상으로 평가하지 않았던 23예도 연구 대상에서 제외되었다. 발목 골절과 동반 골절이 있었던 환자가 3명이었는데 반대측 경골 골절 환자 2명, 동측 대퇴 골절이 동반되었던 환자 1명이 있었고 이들은 동반 손상으로 인한 체중부하가 불가하여 연구 대상에서 제외하였다. 연구 대상은 총 41명이었고 이중 20명이 원위경비 나사못 고정 수술을 시행받았고 21명이 봉합사 단추 고정 수술을 받았다.
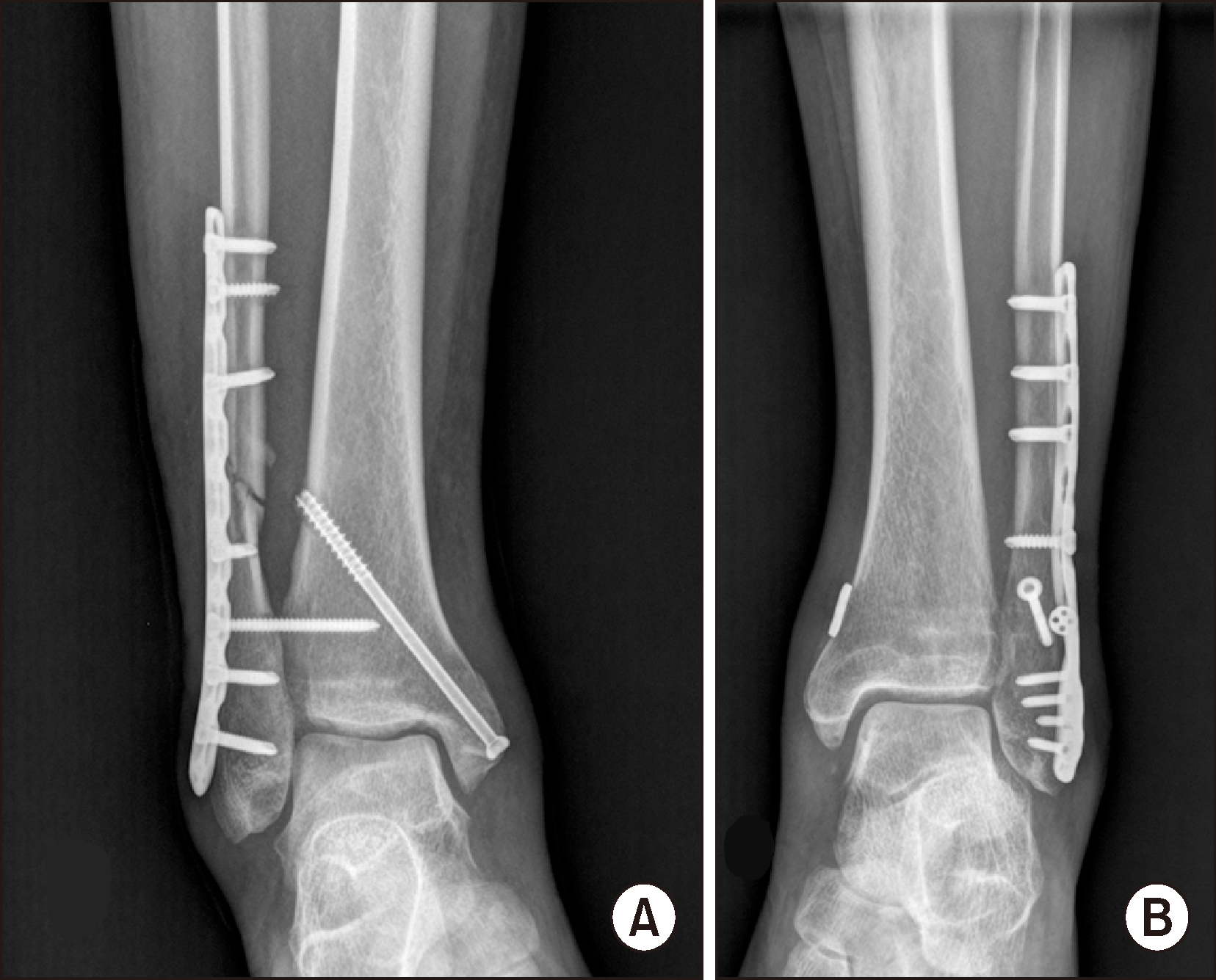
나사못 고정 수술의 경우 골절을 정복하고 내고정을 시행한 뒤 뼈 갈고리(bone hook)를 비골의 내측에 걸어 외측으로 당겨 영상 증폭기상에 경골과 비골 사이가 3∼4 mm 이상 벌어지는 경우에 수술을 시행하였다. 기존의 피부 절개를 통하여 족관절의 전방 원위경비골관절의 앞부분이 정복이 된 것을 확인 후에 손으로 정복을 유지하거나 겸자로 정복을 유지한 상태로 영상 증폭기로 원위경비 간격, 경비 겹침, 내측 빈 공간이 정상적으로 정복된 것을 확인 후 족관절을 중립 위치로 유지한 상태에서 수술하였다.10,11) 수술 시 전방 원위관절의 앞부분이 정복된 것을 확인하여 정복의 정확성을 기하였을 뿐 아니라 영상 증폭기 상의 mortise 영상에서 내측과 외측 그리고 상부 빈 공간이 동일한 것이 확인되었을 경우 관절면 2∼3 cm 상방에서 관절면에 평행하게 비골에서 경골 방향으로 20°∼30° 전방을 향하여 3개나 4개의 피질을 3.5 mm 피질골 나사못이나 4.0 mm 해면골 나사못 1개 내지 2개로 고정하였다(Fig. 1A). 정복은 다공증이 있어서 나사못이 단단히 삽입되지 않거나12) 골의 크기가 커서 견고히 고정되지 않는 경우에는 2개의 나사못을, 그렇지 않은 경우는 1개의 나사못을 삽입하였다.13) TightRope 봉합사 단추를 이용한 술식의 경우 동일한 방법으로 정복을 시행한 뒤 봉합사 단추가 통과할 수 있는 구멍을 뚫은 후 직사각형 단추를 구멍을 통해 반대측 내과로 빠져 나오게 하였고 끈을 당겨 직사각형 단추가 경골과 평행하게 된 것을 확인한 후 봉합사를 팽팽하게 당긴 뒤 고정하였다(Fig. 1B).
수술 후 나사못 고정군에서는 수술 후 10주 전까지는 발목의 운동 범위 회복을 위한 움직임은 허용하였으나 나사못의 파손을 우려하여 체중부하를 금하였고 10주 이후부터 부분 체중부하로부터 전체중부하까지 점진적으로 허용하였다. 봉합사 단추 고정군에서는 술 후 4주까지는 체중부하를 금하였고 그 이후로는 환자가 통증 호소가 없는 범위 내에서 체중부하를 점차로 증가시키도록 하였다.
각 수술의 임상적 결과를 비교하기 위해 술 후 1년이 지난 시점에서 AOFAS ankle-hindfoot score를 조사하였다. 1년이 지난 시점에서 평가를 한 것은 수술 후 초기 회복 기간은 수개월까지 지속되며 이 시기는 부종, 통증, 조직 치유 과정이 영향을 미쳐 정확한 기능 평가가 어려울 수 있고, 1년이 지나면 골유합이나 관절의 적응과정이 충분히 이루어져 일상생활에 적응된 안정화된 상태에서 평가가 가능할 것으로 판단하였기 때문이다.
각 수술의 방사선학적 결과를 평가하기 위해 수술 전과 수술 직후 그리고 수술 후 1년이 지난 시점의 발목 전후면 방사선 사진상 경비 간격(tibiofibular clear space)과 경비 겹침(tibiofibular overlap)을 측정하였고 발목 격자 촬영상에서 내측 빈 공간(medial clear space)을 측정하였다. 경비 간격은 비골의 내측 경계와 비골 절흔에 이르는 후과의 외측 경계 사이 거리를 측정하였는데 족관절의 원위 경골 관절면보다 1 cm 근위부에서 측정하였다. 경비 겹침은 외과와 전 경골 결절의 외측면과 겹침으로 경골 관절면 기준 1 cm 근위부에서 측정하였다. 내측 빈 공간은 내과 외측면과 거골의 안쪽 경계면 사이의 간격으로 거골의 천장 위치(dome level)에서 측정하였다(Fig. 2). 수술 전과 수술 직후 그리고 수술 후 1년 뒤의 경비 간격, 경비 겹침, 내측 빈 공간을 측정하여 그 평균값과 표준편차를 구하였다. 측정은 한 명의 정형외과 전공의와 한 명의 정형외과 전문의가 시행하였다. 정형외과 전문의는 1차 측정 후 1주일이 경과한 시점에서 2차 측정을 하였다. 관찰자간과 관찰자내의 측정값의 차이가 있는지를 보기 위하여 짝을 이룬 t-검정을 시행하였으며(Table 1), 급간 내 상관 계수를 구하여 각 측정치의 신뢰의 정도를 평가하였다(Table 2). 연구에는 정형외과 전문의의 측정치를 이용하였다.
각 수술을 시행한 후 창상 주위 감염, 나사못 부러짐 등의 합병증 여부에 대해서도 조사하였다.
통계적 분석은 측정값들을 SPSS/PC+ 통계 패키지(IBM SPSS Statistics 19.0, IBM Corp.)를 이용하여 검정하였다. 각 검정에서 p 값이 0.05 미만인 경우를 유의미한 것으로 판단하였다. 각 측정치의 분포는 정규분포성 여부를 Kolmogorov-Smirnov 테스트를 통하여 검사하였고 모든 측정치의 분포가 정규분포를 이루는 것을 확인하였다. 치료군 내에서 치료 전후의 방사선학적 측정값의 차이를 비교하기 위해 대응표본 t-test를 실시하였으며 두 군간의 방사선학적 측정값과 AOFAS 점수를 비교하기 위해 독립표본 t-test를 시행하였다.
남자 33명, 여자 8명으로 총 41명이었으며, 이 중 원위경비 나사못 고정술을 받은 환자(나사못 고정군)는 남자 15명, 여자 5명으로 총 20명이었고 TightRope 봉합사 단추를 이용한 고정술을 받은 환자(봉합사 단추 고정군)는 남자 18명, 여자 3명으로 총 21명이었다. 나사못 고정군의 연령은 23.0세에서 68.0세까지로 평균 40.7세였고 봉합사 단추 고정군은 20.0세부터 70.3세까지 평균 35.8세였다. 각 환자별로 발목 골절의 유형을 Lauge-Hansen 분류와 Danis-Weber 분류에 따라 분류하였다. 분류별 비교에서 Lauge-Hansen, Weber 유형에 따른 분류는 Table 3과 같았다. 두 군에 대하여 성별 차이가 있는지에 대하여 Fisher의 정확검정 결과 두 군간 차이가 없었고, 나이 및 추시 기간에 대해서는 독립표본 t-검정 결과 유의한 차이가 없었으며 각 군별 Lauge-Hansen 분류와 Weber 분류에 대하여 Fisher의 정확 검정 결과 유의한 차이가 없었다. 이러한 결과는 본 연구가 무작위 대조 시험 모형은 아니었으나 비교군간에 선택 편향에 의한 치우침을 해소할 수 있는 결과로 해석되었다. 경비인대 나사못을 이용한 고정술을 시행한 환자군에서 나사못을 1개 사용한 환자군은 13명, 2개 사용한 환자군은 7명이었다.
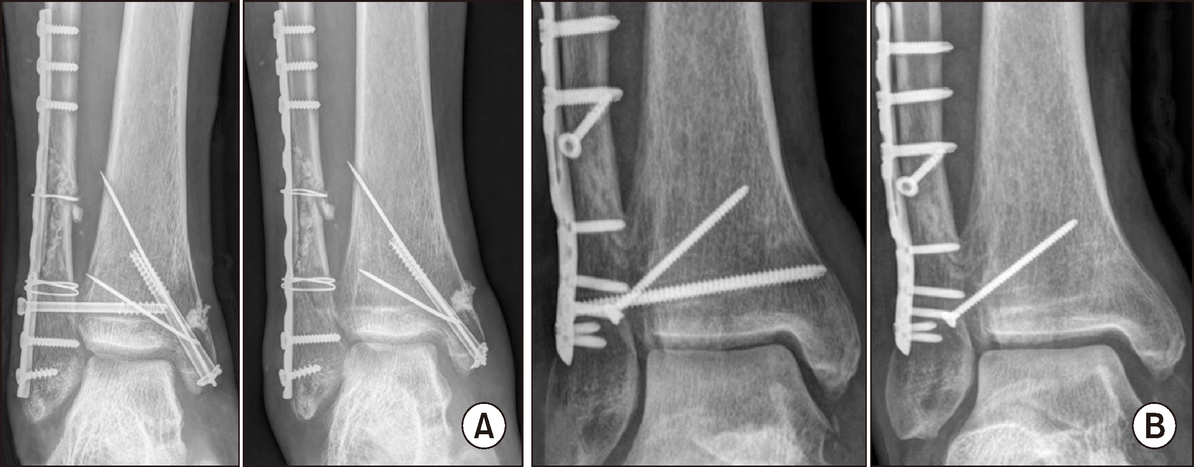
방사선학적 결과상 경비 간격, 경비 겹침, 내측 빈 공간의 측정치는 수술 전, 수술 직후 나사못 고정군과 봉합사 단추 고정군간에 통계학적으로 의미있는 차이가 없었으나 술 후 1년에서는 두 군간에 통계학적으로 의미있는 차이가 있었다(Table 4). 나사못 고정군과 봉합사 단추 고정군에서 수술 전과 수술 후 1년에 측정된 지표는 대응표본 t-test상 유의미한 정복 정도를 보여 나사못 고정 수술이나 봉합사 단추 고정 모두 효과적인 치료인 것으로 나타났다(Table 5). 나사못 고정군과 봉합사 단추 고정군의 수술 직후와 수술 후 1년의 측정된 지표에 대하여 대응표본 t-test를 하였는데 나사못 고정군은 의미있는 차이를 보여 수술 직후 정복된 정도가 1년이 지나자 다소 정복이 느슨해지는 것으로 나타났으며(Fig. 3), 봉합사 단추 고정군은 그 차이가 없어 수술 직후의 정복이 수술 후 1년이 지나도 잘 유지되는 것으로 판단되었다(Table 6).
수술 1년 후에 조사한 AOFAS 점수는 나사못 고정술을 시행한 군에서 86.8점, 봉합사 단추 고정군에서 87.5점이었으며 이는 통계학적으로 유의미한 차이가 아니었다(p=0.728) (Table 7).
나사못 고정술을 시행한 환자군 전례에서 평균 109.0일 이후에 나사못 제거술을 시행하였다. 나사못 고정술을 시행한 환자군에서 2명의 환자에서 나사못 부러짐이 발생하였다(Fig. 4). 나사못 고정군의 1명의 환자에서 상처 감염이 있었으며 상처 소독과 경구 항생제 복용을 통하여 치료되었다.
원위경비인대 이개의 치료는 전통적으로 관절을 정복한 뒤 나사못으로 고정하는 치료를 해 왔다. 그런데 Scranton 등14) 은 비골은 보행 중 움직임이 생겨 발목을 동적으로 지지한다고 보고하였고 지난 10∼15년간 경비결합 손상을 봉합사 단추로 동적 고정을 하는 치료가 시행되어 좋은 치료 결과가 발표되고 있다.
술 후 기능적 결과에 대한 보고가 여러 논문에서 발표되었는데 Coetzee 등15)은 봉합사 단추를 이용한 고정술로 치료한 환자군이 나사못 고정술로 치료한 환자군보다 3년 후 더 나은 AOFAS 점수를 보였다고 보고하였고, Kortekangas 등6)도 봉합사 단추를 이용한 동적 고정이 더 나은 기능적 결과를 보인다고 하였다. 하지만 Zhang 등5)은 체계적 문헌 고찰에서 두 군에서 비슷한 기능적 결과를 보인다 하였다. 본 연구에서는 수술 12개월 후 AOFAS score를 이용하여 임상적 기능을 비교하였는데 봉합사 단추로 치료한 환자군에서 다소 높은 점수를 보였으나 통계적으로 유의미하지는 않았다.
경비 결합 나사못을 이용한 고정술과 봉합사 단추를 이용한 고정술을 시행한 환자에서 방사선학적 지표에 대한 연구들은 여러 논문에서 다루어졌다. Laflamme 등7)은 동적 고정이 정적 고정보다 더 나은 방사선학적 결과를 보인다 하였다. Zhang 등5)은 봉합사 단추로 수술한 경우 부정 정복의 위험이 덜하다고 하였다. 본 연구에서는 경비인대 나사못을 이용한 환자군과 봉합사 단추를 이용한 환자군에서 수술 직후 방사선적 지표는 차이가 없었으나 수술 1년 후 방사선학적 지표를 비교하였을 때 봉합사 단추로 치료한 환자군이 수술 직후의 관절 정복된 정도를 수술 1년까지도 변함없이 유지하는 것으로 나타났다. 나사못 고정으로 치료한 환자군은 수술 직후에 얻었던 정복이 수술 1년이 지난 뒤에는 다소 느슨해 지는 것으로 확인되었다. Schepers 등16)은 나사못 제거 후에 6.6%에서 원위경비관절의 재이개가 발생하였음을 보고하면서 나사못을 조기에 제거하는 경우 재이개의 발생이 높아지니 최소 수술 후 8∼12주 후에 제거할 것을 권하였다. 그러나 본 연구에서는 전례에서 12주 이상이 지나서 나사못을 제거하였는데 재이개까지는 아니었지만 원위경비관절이 다소 벌어지는 것으로 나타났다. 이렇게 다소 느슨해지는 현상이 어떤 결과를 초래할지에 대해서는 장기적인 추시가 필요한 부분이나 술 후 1년이 지난 시점에서 AOFAS 점수로 평가한 임상적인 결과는 봉합사 단추 고정군과 차이는 없었다. Jordan 등17)과 Hosin 등18)도 나사못 제거 후 원위경비관절이 벌어지는 것을 보고하였다. 그러나 경미하게 벌어지는 것이 임상 결과에는 영향이 없음을 보고하였는데 본 연구의 결과와 유사한 소견이다. 12주가 인대가 하중을 견딜만큼 견고한 치유를 얻기에 부족한 기간인지 아니면 체중부하를 허락하지 않는 치료법이 인대의 재형성에 좋지 않은 영향을 미치는 것인지는 명확한 판단이 힘들 것으로 보인다.
van den Bekerom 등19)은 나사못 삽입 수술의 경우 원위경비간 골성 결합, 나사못 파손, 재이개의 합병증을 보고하였고 Schepers 등16)은 나사못 제거 수술 시에 나사못이 부러지는 것과 상처 감염의 합병증을 보고한 바 있다. 본 연구에서는 20명의 환자중 전례에서 나사못 제거 수술을 받았으며 2명에서 나사못 부러짐이 있었으나 이로 인한 통증이나 운동 범위 저하 등의 임상 결과에 영향은 없었다. 1명에 환자에서 나사못 제거 수술 후 상처 감염이 있었다.
일부 저자들은 봉합사 단추를 이용한 동적 고정은 경비 결합의 생리적인 미세 움직임을 허용하고 나사못 고정과 같이 파손의 가능성이 적어 조기 체중부하를 하고 조기에 관절 운동 범위의 회복을 가능하게 한다고 주장한다. 반대로 나사못 고정은 나사못이 부러지거나 풀릴 수 있어 조기 관절 운동이나 체중부하를 허락하지 않는 경우가 있다. 그러나 술자에 따라 조기에 체중부하를 허용하는 수도 있다.20) 따라서 봉합사 단추를 이용한 수술이 더 빠른 체중부하와 일상생활로의 복귀가 가능한 것이 장점이라는 주장은 술자의 임의적인 치료 방침일 수 있어 해석의 오류를 유발할 수 있을 것으로 보인다.21-24)
두 수술법을 비교했을 일부 연구에서 봉합사 단추가 외회전에 약하다는 보고와25) 이와는 상반되게 외회전력에도 비교적 안정성이 유지된다는 보고가26) 있으나 외회전에 대한 저항력이 떨어지는 것이 임상적인 결과를 저하시키는 것은 아닌 것으로 판단된다. 또한 봉합사 단추가 경골과 비골을 통과하기 위해 확공을 시행하는데, 이 직경이 봉합사보다 넓기 때문에 미세 움직임이 허용되는데 이러한 반복되는 미세 움직임으로 인해 봉합사의 포복(creep) 현상이27) 나타나 고정이 느슨해질 수 있고 봉합사 단추에 의한 골미란(bone erosion)이 보고되고 있어24,27) 이에 대한 장기적인 추시도 필요할 것으로 사료된다.
본 연구는 제한점이 있다. 후향적인 연구이고 환자군이 다소 적은 소규모 연구라 통계적 의미가 적었다. 또한 대상 환자 전례에서 수술 중 영상 증폭기 영상에서 내측과 외측 및 상부 빈 공간이 일치하는 것을 확인하였고 수술 후 방사선 사진상으로도 상기의 빈 공간이 일치되어 있는 것을 확인하여 정복의 정확성을 평가하였으나 방사선학적 지표는 일반 방사선 사진을 기준으로 판단한 것이라서 컴퓨터 단층촬영에서 축성 단면상에서 정복의 정도를 판단하는 것에 비해 정확성이 떨어진다는 점이다. 또한 영상의학적 검사 계측값의 부분에서 두 수술 방법간의 비교 시에 각 수술 방법에 따른 개개인 환자의 건측과 비교 후 그 결과를 두 군끼리 서로 비교하는 것이 더 의미가 있었을 것으로 판단된다. 본 연구에서는 비교하지 못했지만 두 수술법의 체중부하 시기가 10주, 4주로 차이가 있었던 것만큼 체중부하 시점을 기준으로부터 일정 기간 지난 시점에서 평가하는 방법도 유용할 수 있을 것으로 여겨진다.
REFERENCES
Hermans JJ., Beumer A., de Jong TA., Kleinrensink GJ. 2010. Anatomy of the distal tibiofibular syndesmosis in adults: a pictorial essay with a multimodality approach. J Anat. 217:633–45. doi: 10.1111/j.1469-7580.2010.01302.x. DOI: 10.1111/j.1469-7580.2010.01302.x. PMID: 21108526. PMCID: PMC3039176.
Snedden MH., Shea JP. 2001. Diastasis with low distal fibula fractures: an anatomic rationale. Clin Orthop Relat Res. 197–205. doi: 10.1097/00003086-200101000-00027. DOI: 10.1097/00003086-200101000-00027. PMID: 11153988.
Qiu HB., Jiang J., Porter D. 2017. A new intraoperative syndesmosis instability classification system: utility and medium-term results in closed displaced ankle fractures. Orthop Surg. 9:365–71. doi: 10.1111/os.12355. DOI: 10.1111/os.12355. PMID: 29178310. PMCID: PMC6584141.
Peña FA., Coetzee JC. 2006. Ankle syndesmosis injuries. Foot Ankle Clin. 11:35–50. doi: 10.1016/j.fcl.2005.12.007. DOI: 10.1016/j.fcl.2005.12.007. PMID: 16564452.
Zhang P., Liang Y., He J., Fang Y., Chen P., Wang J. 2017. A systematic review of suture-button versus syndesmotic screw in the treatment of distal tibiofibular syndesmosis injury. BMC Musculoskelet Disord. 18:286. doi: 10.1186/s12891-017-1645-7. DOI: 10.1186/s12891-017-1645-7. PMID: 28676078. PMCID: PMC5496349.
Kortekangas T., Savola O., Flinkkilä T., Lepojärvi S., Nortunen S., Ohtonen P, et al. 2015. A prospective randomised study comparing TightRope and syndesmotic screw fixation for accuracy and maintenance of syndesmotic reduction assessed with bilateral computed tomography. Injury. 46:1119–26. doi: 10.1016/j.injury.2015.02.004. DOI: 10.1016/j.injury.2015.02.004. PMID: 25769201.
Laflamme M., Belzile EL., Bédard L., van den Bekerom MP., Glazebrook M., Pelet S. 2015. A prospective randomized multicenter trial comparing clinical outcomes of patients treated surgically with a static or dynamic implant for acute ankle syndesmosis rupture. J Orthop Trauma. 29:216–23. doi: 10.1097/BOT.0000000000000245. DOI: 10.1097/BOT.0000000000000245. PMID: 25260059.
Xu G., Chen W., Zhang Q., Wang J., Su Y., Zhang Y. 2013. Flexible fixation of syndesmotic diastasis using the assembled bolt-tightrope system. Scand J Trauma Resusc Emerg Med. 21:71. doi: 10.1186/1757-7241-21-71. DOI: 10.1186/1757-7241-21-71. PMID: 24053432. PMCID: PMC3849036.
Neary KC., Mormino MA., Wang H. 2017. suture button fixation versus syndesmotic screws in supination-external rotation type 4 injuries: a cost-effectiveness analysis. Am J Sports Med. 45:210–7. doi: 10.1177/0363546516664713. DOI: 10.1177/0363546516664713. PMID: 27601151.
Rammelt S., Zwipp H., Grass R. 2008. Injuries to the distal tibiofibular syndesmosis: an evidence-based approach to acute and chronic lesions. Foot Ankle Clin. 13:611–33. doi: 10.1016/j.fcl.2008.08.001. DOI: 10.1016/j.fcl.2008.08.001. PMID: 19013399.
de-Las-Heras Romero J., Alvarez AML., Sanchez FM., Garcia AP., Porcel PAG., Sarabia RV, et al. 2017. Management of syndesmotic injuries of the ankle. EFORT Open Rev. 2:403–9. doi: 10.1302/2058-5241.2.160084. DOI: 10.1302/2058-5241.2.160084. PMID: 29071125. PMCID: PMC5644422.
Ziegler P., Bahrs C., Konrads C., Hemmann P., Ahrend MD. 2023. Ankle fractures of the geriatric patient: a narrative review. EFORT Open Rev. 8:1–10. doi: 10.1530/EOR-22-0082. DOI: 10.1530/EOR-22-0082. PMID: 36705613. PMCID: PMC9969005.
Azar FM., Canale ST., Beaty JH. 2022. Campbell's operative orthopaedics. 14th Ed. Elsevier Inc;Philadelphia: p. 2817–2818. DOI: 10.1016/j.fcl.2008.08.001.
Scranton PE Jr., McMaster JG., Kelly E. 1976. Dynamic fibular function: a new concept. Clin Orthop Relat Res. 76–81. DOI: 10.1097/00003086-197607000-00015. PMID: 954295.
Coetzee JC., Ebeling PB. Treatment of syndesmoses disruptions: a prospective, randomized study comparing conventional screw fixation vs TightRope® fiber wire fixation - medium term results. 32-7;SA Orthop 2009;8:
Schepers T., Van Lieshout EM., de Vries MR., Van der Elst M. 2011. Complications of syndesmotic screw removal. Foot Ankle Int. 32:1040–4. doi: 10.3113/FAI.2011.1040. DOI: 10.3113/FAI.2011.1040. PMID: 22338952.
Jordan TH., Talarico RH., Schuberth JM. 2011. The radiographic fate of the syndesmosis after trans-syndesmotic screw removal in displaced ankle fractures. J Foot Ankle Surg. 50:407–12. doi: 10.1053/j.jfas.2011.03.014. DOI: 10.1053/j.jfas.2011.03.014. PMID: 21596590.
Hosin S., Vermesan D., Prejbeanu R., Crisan D., Al-Qatawneh M., Pop D, et al. 2022. Avoiding the removal of syndesmotic screws after distal tibiofibular diastasis repair: a benefit or a drawback? J Clin Med. 11:6412. doi: 10.3390/jcm11216412. DOI: 10.3390/jcm11216412. PMID: 36362640. PMCID: PMC9659076.
van den Bekerom MP., Kloen P., Luitse JS., Raaymakers EL. 2013. Complications of distal tibiofibular syndesmotic screw stabilization: analysis of 236 patients. J Foot Ankle Surg. 52:456–9. doi: 10.1053/j.jfas.2013.03.025. DOI: 10.1053/j.jfas.2013.03.025. PMID: 23632070.
Al-Hourani K., Stoddart M., Chesser TJS. 2019. Syndesmotic fixation in unstable ankle fractures: does early post-operative weight bearing affect radiographic outcomes? Injury. 50:790–5. doi: 10.1016/j.injury.2019.02.014. DOI: 10.1016/j.injury.2019.02.014. PMID: 30826089.
Naqvi GA., Cunningham P., Lynch B., Galvin R., Awan N. 2012. Fixation of ankle syndesmotic injuries: comparison of tightrope fixation and syndesmotic screw fixation for accuracy of syndesmotic reduction. Am J Sports Med. 40:2828–35. doi: 10.1177/0363546512461480. DOI: 10.1177/0363546512461480. PMID: 23051785.
Thornes B., Shannon F., Guiney AM., Hession P., Masterson E. 2005. Suture-button syndesmosis fixation: accelerated rehabilitation and improved outcomes. Clin Orthop Relat Res. 207–12. DOI: 10.1097/01.blo.0000151845.75230.a0. PMID: 15685077.
Cottom JM., Hyer CF., Philbin TM., Berlet GC. 2009. Transosseous fixation of the distal tibiofibular syndesmosis: comparison of an interosseous suture and endobutton to traditional screw fixation in 50 cases. J Foot Ankle Surg. 48:620–30. doi: 10.1053/j.jfas.2009.07.013. DOI: 10.1053/j.jfas.2009.07.013. PMID: 19857816.
Degroot H., Al-Omari AA., El Ghazaly SA. 2011. Outcomes of suture button repair of the distal tibiofibular syndesmosis. Foot Ankle Int. 32:250–6. doi: 10.3113/FAI.2011.0250. DOI: 10.3113/FAI.2011.0250. PMID: 21477543.
Forsythe K., Freedman KB., Stover MD., Patwardhan AG. 2008. Comparison of a novel FiberWire-button construct versus metallic screw fixation in a syndesmotic injury model. Foot Ankle Int. 29:49–54. doi: 10.3113/FAI.2008.0049. DOI: 10.3113/FAI.2008.0049. PMID: 18275736.
Thornes B., Walsh A., Hislop M., Murray P., O'Brien M. 2003. Suture-endobutton fixation of ankle tibio-fibular diastasis: a cadaver study. Foot Ankle Int. 24:142–6. doi: 10.1177/107110070302400208. DOI: 10.1177/107110070302400208. PMID: 12627622.
Kim J., Kwon M., Day J., Seilern und Aspang J., Shim J., Cho J. 2021. The impact of suture button removal in syndesmosis fixation. J Clin Med. 10:3726. doi: 10.3390/jcm10163726. DOI: 10.3390/jcm10163726. PMID: 34442022. PMCID: PMC8397003.
Figure 1
Examples of syndesmotic screw fixation (A) and suture button fixation (B) for syndesmosis injury.
Figure 2
Method of measuring medial clear space (A), tibiofibular clear space (B), tibiofibular overlap (C).
Table 1
The p-value of paired t-test for the interobserver and intraobserver difference
| Variable | Interobsever | Intraobserver |
|---|---|---|
| Tibiofibular clear space | 0.423 | 0.435 |
| Tibiofibular overlap | 0.211 | 0.342 |
| Medial clear space | 0.356 | 0.425 |
Table 2
Intra-class correlation coefficients in the interobsever and intraobserver measurements, with their 95% confidence intervals
| Variable | Interobserver | Intraobserver |
|---|---|---|
| Tibiofibular clear space | 0.935 | 0.925 |
| Tibiofibular overlap | 0.922 | 0.933 |
| Medial clear space | 0.947 | 0.955 |
Table 3
Demographic data of the study
| Variable | Screw fixation (n=20) | Suture buttons fixation (n=21) | p-value |
|---|---|---|---|
| Sex | 0.454* | ||
| Male | 15 | 18 | |
| Female | 5 | 3 | |
| Age (yr) | 0.197† | ||
| Mean±SD | 40.7±12.58 | 35.8±14.54 | |
| Range | 23.0 to 68.0 | 20.0 to 70.3 | |
| Lauge-Hansen classification | 0.893* | ||
| PER | 13 | 12 | |
| SER | 5 | 7 | |
| PAD | 2 | 2 | |
| Weber classification | 1.000* | ||
| A | 0 | 1 | |
| B | 4 | 5 | |
| C | 16 | 15 | |
| Follow up periods (days) | |||
| Mean | 454.7 | 459.5 | 0.489† |
Table 4
Preoperative and postoperative radiographic findings of screw fixation and suture buttons fixation
Table 5
Preoperative and postoperative radiographic findings of screw fixation and suture buttons fixation
Table 6
Immediately postoperative and 1 year postoperative radiographic findings of screw fixation and suture buttons fixation



PDF
Citation
Print



XML Download