초록
치과 치료의 대부분은 환자의 구강이라는 한정된 공간에서 수행되어지기 때문에, 치과의사가 치료를 진행하는 도중에 치료기구나 치과보철물을 환자의 구강 내에 떨어뜨리는 일이 나타날 수 있다. 치과보철물은 크기가 작고 표면이 매끄럽기 때문에 치과의사가 환자의 구강 내에 떨어뜨렸을 경우, 환자가 이를 삼킬 가능성도 크다. 환자가 보철물을 삼키거나 흡인을 했을 경우 큰 합병증이 발생할 수 있으므로, 치과의사는 이러한 보철물의 삼킴을 주의하고 발생하지 않도록 예방을 하여야 한다. 그러나 주의를 하였음에도 삼킴이 발생하였을 경우에는 치과의사의 적절한 대처가 반드시 필요하다. 본 증례에서는 치과 치료 중 돌발적으로 발생한 보철물의 삼킴 사례를 확인하고, 임상적인 후속 대처에 대해 검토함으로써 환자의 안전을 도모하고자 한다.
Abstract
Dental treatments are predominantly performed within the confined space of the oral cavity, which poses a risk of accidental dropping of dental instruments or prostheses during procedures. Dental prostheses are typically small and have smooth surfaces, increasing the likelihood of accidental ingestion if dropped in the patient’s mouth. Ingestion or aspiration of a dental prosthesis can lead to serious complications, necessitating careful prevention and prompt management by dental professionals. Despite taking precautions, accidental ingestion may still occur, and in such cases, the dentist must respond swiftly and appropriately. This case report aims to review an incident of accidental ingestion of a dental prosthesis during treatment, discuss the clinical management that followed, and emphasize measures to enhance patient safety and treatment success.
치과 치료 중에는 다양한 이물질이 환자의 구강 내에서 삼켜지거나 흡입이 발생될 수 있다. 이러한 이물질에는 치과보철물, 카이이드 버, 다이아몬드 포인트, 근관치료용 파일, 임플란트 기구나 부속 등이 있다. 이러한 이물질을 환자가 삼키거나 흡인하는 경우는 10 - 19세와 60 - 79세에서 가장 많이 나타나며, 여성보다 남성에서 더 많이 발생한다.1 이전 연구에 따르면 정신질환, 알코올 중독, 지적 장애, 불안과 초조함을 가진 환자, 과도한 구토 반사가 있는 환자의 경우 이물질을 삼키거나 흡입할 가능성이 더 높고,2,3 작은 구강구조, 짧은 구개부, 큰 혀와 같은 해부학적인 제한이 있는 환자와 비만 환자에서 위험성이 증가한다고 하였다.4
환자가 이물질이 삼켜서 식도로 넘어간 경우, 대부분 10일 이내에 자연스럽게 체외로 배출된다.5 그러나 환자의 기도로 넘어가거나 소화관의 점막에 손상을 일으킨 경우에는 폐렴, 혈종, 농양이나 천공 등을 유발할 수 있어, 적절한 조치가 이루어지지 않으면 치명적인 결과를 초래할 수 있다.6 따라서 치과의사는 환자의 의학적 병력에 대한 면밀한 조사가 필요하며, 이물질의 삼킴과 흡인 시 대처가 가능한 프로토콜을 숙지하고, 이러한 일이 나타나지 않도록 예방하기 위하여 노력하여야 한다.
본 증례는 치과 치료에서 발생한 치과 보철물을 삼킨 경우로, 임상에서의 대처과정에 대해 알아보고자 한다. 이번 연구는 연구대상자의 개인정보나 개인식별정보는 수집하지 않으며, 보건복지부지정 공용기관생명윤리위원회 심의면제(P01-202311-01-051)를 승인을 받은 후 시행하였다.
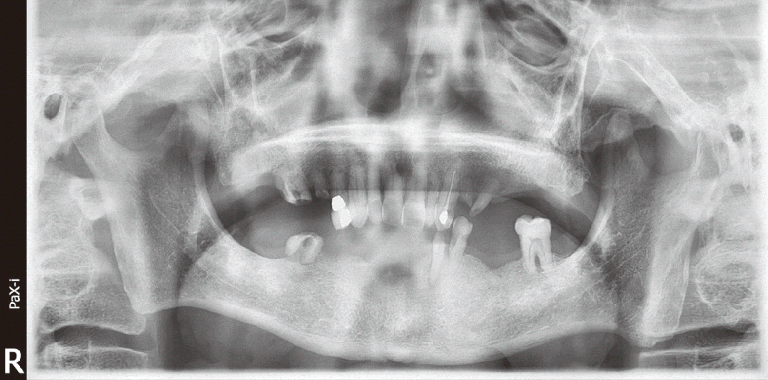
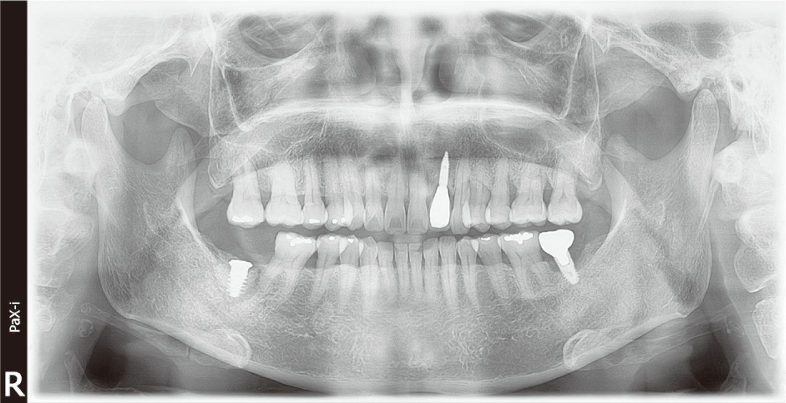
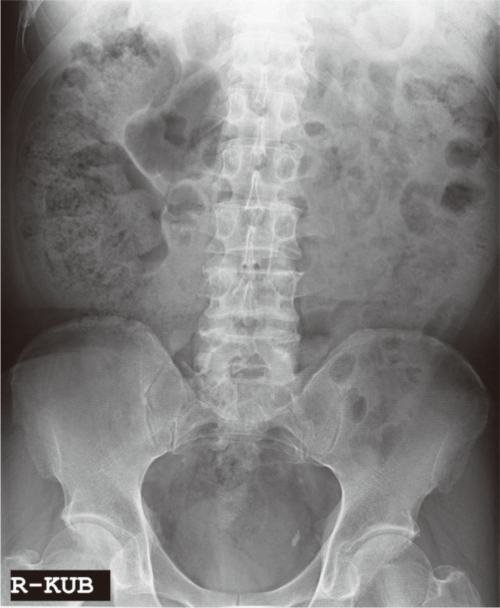
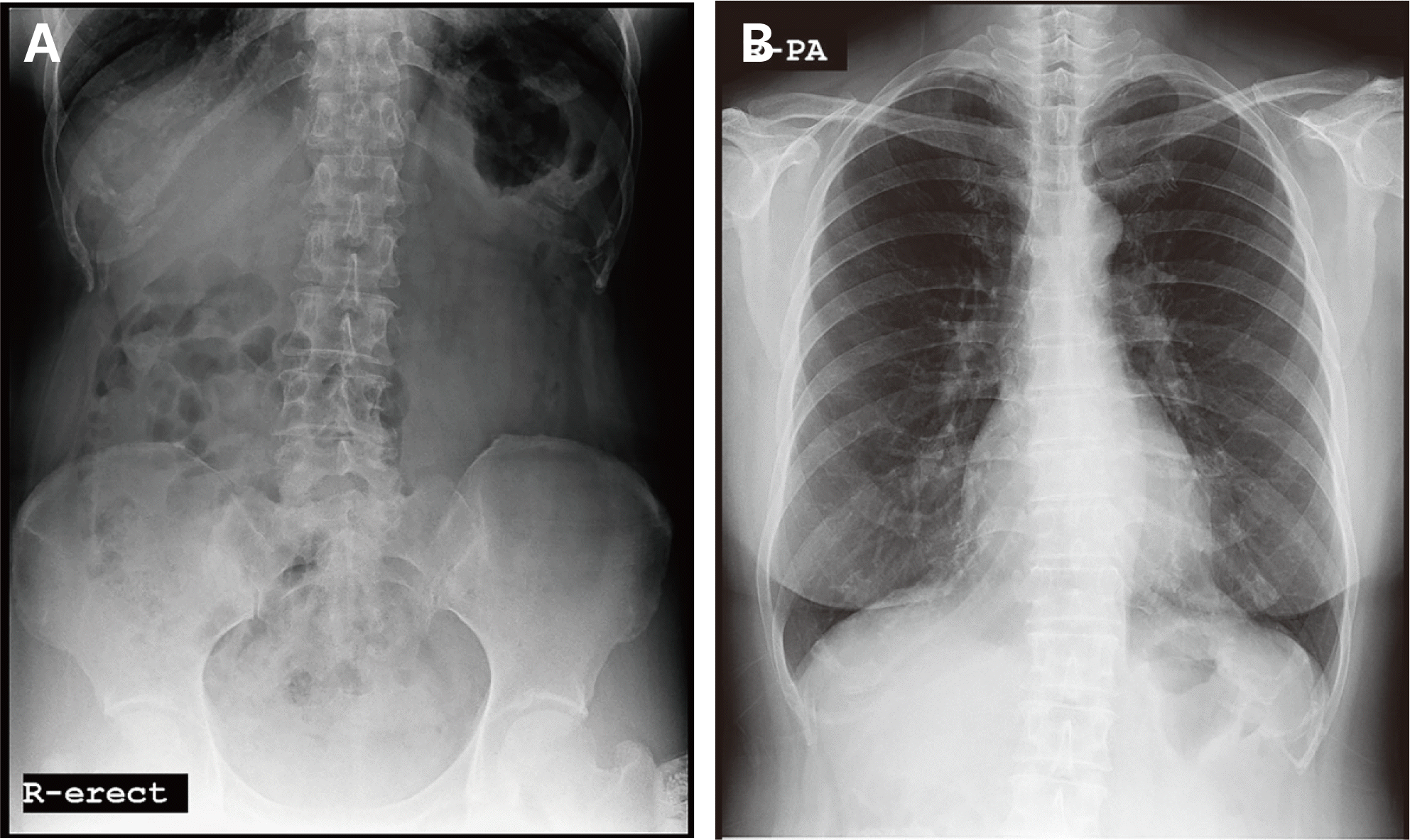
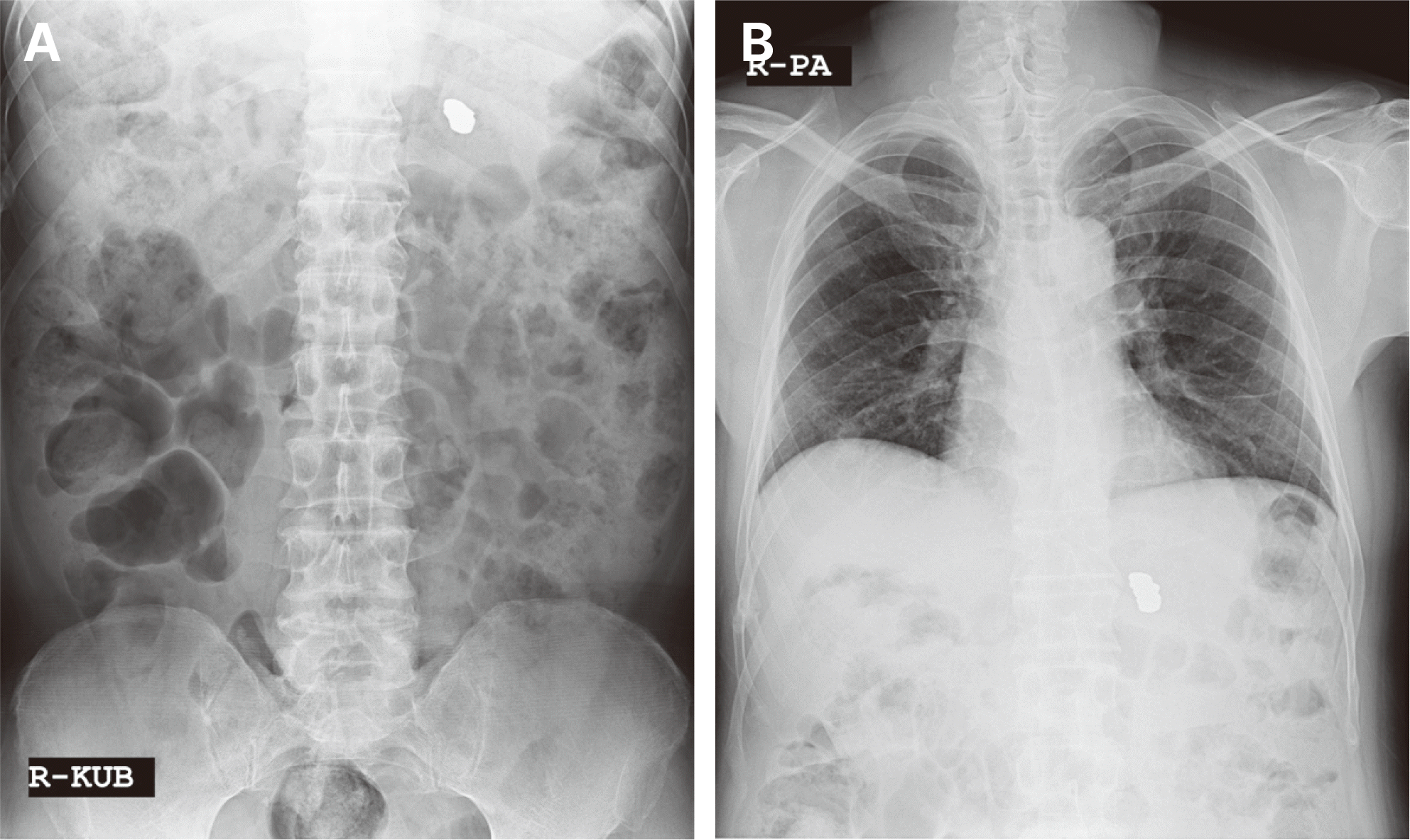
60세 남자 환자로 전체적인 치과치료를 위해 본원에 내원하였다. 환자는 의과적으로 기질성 정신장애를 진단을 받았으며, 거동이 불편하고 보행이 불가능하여 요양병원에서 입원 치료 중이었다. 정신건강의학과에서 환자의 정신장애에 대해 치료상태가 안정된 상태임을 확인한 후, 치과치료를 진행하였다. 파노라마 방사선 사진 및 구강검사에서 상악 우측 제1소구치와 제1대구치, 좌측 제제1, 2소구치, 하악 우측 제1대구치에 잔존 치근이 존재하였으며, 상악 우측 견치와 하악 좌측 견치 및 소구치에서 치아우식증이 관찰되었다(Fig. 1). 환자의 의과적 병력과 치료의 협조도, 구강위생 조절 능력 등을 고려했을 때, 가철성 보철물의 유지와 관리가 어렵다고 판단되어 고정성 보철물로 수복을 계획하였다. 예후가 불량한 상악 우측 견치, 제1소구치, 제1대구치와 좌측 제제1, 2소구치, 하악 좌측 견치, 제1소구치와 우측 1대구치를 발치 한 후, 치아 상실부위에 임플란트 식립을 하였고(Fig. 2), 골유착 기간을 거쳐 최종인상을 채득하였다. 제작한 임플란트 보철물을 장착하던 과정에서 치과의사는 하악 우측 제제1, 2소구치와 제1대구치로 이루어진 3본 지르코니아 보철물이 환자의 구강 내로 떨어뜨렸고, 떨어진 즉시 환자의 두부를 좌측으로 돌려 환자가 보철물을 삼키지 않도록 노력하였으나, 환자가 보철물을 삼키게 되었다. 환자가 보철물을 삼킨 이후 기침이나 구토 반사 등의 특이적 소견을 보이지 않았으며, 호흡상태는 양호하였다. 환자 보호자에게 보철물 장착과정에서 보철물을 구강 내로 떨어뜨렸고, 이후 삼킴이 발생하였음을 설명하였다. 그리고 삼켜진 보철물의 위치 확인을 위하여 인근 내과로 전원 의뢰를 시행하였다. 전원 의뢰된 당일, 내과에서 복부 방사선 사진을 촬영하였고, 판독 결과 보철물이 위장에 위치를 하고 있음을 확인하였다. 24시간 이후 배출될 것으로 예상되어 48시간 후 재촬영이 필요할 것이라는 회신서를 확인하였다(Fig. 3). 2일 후 환자를 내원하도록 하여 추가로 복부 방사선 사진을 촬영하였다. 방사선 사진에서 위장관 내에서 보철물 확인되었다. 환자의 거동이 불편하여 위장관 운동이 저하되어 있는 상태이기 때문에 배출이 지연될 수 있다는 의과적 소견을 회신 받았다(Fig. 4). 8일 후 환자의 복부 방사선 사진을 촬영하였으며, 보철물이 위장관에서 완전히 배출되어 체 내에 있지 않음을 확인하였다(Fig. 5). 이 후 하악 우측 제1, 2소구치와 제1대구치에 새로운 보철물을 제작하여 최종 합착(Rely-X, 3M ESPE, St Paul, USA)을 시행하였다(Fig. 6).
59세 여자 환자로 심한 치주염으로 예후가 불량한 하악 우측 제2대구치 발치 및 임플란트 식립을 위해 본원에 내원하였다(Fig. 7). 하악 우측 제2대구치를 발치하고 임플란트 식립하였다(Fig. 8). 골유착기간을 기간을 거쳐 임플란트 최종인상을 채득하였다. 하악 우측 제2대구치 임플란트 부위에 맞춤 지대주와 상부 임시 치관을 장착하였고, 적응도를 평가하기 위해 경과 관찰을 시행하였다. 4일 후 환자가 상부 임시 치관을 분실하였다고 내원하였다. 환자는 식사 시에 임시치관이 탈락한 느낌이 없었으며, 기상 시에 갑자기 없는 것을 확인한 것으로 보아 취침 중에 삼킨 것 같다고 하였다. 단일 임시 치관의 형태와 크기, 방사선 불투과성에 대해서 설명하였고, 삼켰을 경우 나타날 수 있는 합병증의 가능성을 설명한 후, 인근 내과로 전원 의뢰하였다. 내과에서 촬영한 복부 방사선 사진에서 임시치관을 관찰할 수 없었으며(Fig. 9), 임시치관 재료의 방사선 불투과성으로 인해 나타나지 않을 수도 있음을 추가로 설명하였다. 환자에게 일주일 정도의 경과 관찰이 필요함을 설명하였고, 그 기간 동안 특이 소견이 없음을 확인하였다. 이 후 최종 보철물을 제작하여 합착(Rely-X, 3M ESPE)을 시행하였다(Fig. 10).
치과 치료 과정 중 발생하는 이물질의 삼킴은 임상적으로 중대한 문제로 환자의 안전과 치료 결과에 영향을 줄 수 있다. 특히 고정성 보철물은 크기가 작고 표면이 활택하여 미끄러지기 쉬우며 탈락할 경우 삼키거나 호흡기로 흡입될 위험성이 크다. 치과 치료시에 구강내 접근이 원활하도록 환자는 앙와위(supine position) 상태에서 치료받기 때문에 구강-인두-기관이 일직선이 되고 보철물이 탈락하게 되면 인두중앙부로 넘어가거나 기도로 흡인될 위험성이 항상 존재한다.7 Bang 등8은 치과의사의 99%가 치료 도중 구강내 이물질을 떨어뜨린 경험이 있으며, 50% 이상이 이물질의 삼킴과 흡인이 발생하였고, 그 중 삼킴이 90% 이상을 차지한다고 하였다. 따라서 치과의사는 보철물 탈락에 대한 위험성을 인지하고 있어야 하며, 삼킴 시 발생하는 대처과정에 대해 준비가 필요하다.
보철물을 삼킴에 대해 가장 중요한 대처 방법은 예방이다. 이를 위해 치과 치료 전 환자의 특성과 의과적인 병력에 대한 청취가 필요하다. 2015년 미국 National safety council 보고에 의하면 이물질에 의한 질식으로 인해 사망위험성이 높은 노인환자의 연령대는 75세 이상이었으며 이는 노화로 인해 감각 신경 및 운동신경의 반응이 떨어져 인후 반사 혹은 기침반사의 저하 때문으로 파악된다.9 또한 고령일수록 뇌혈관계 질환과 근신경계 질환 약물 복용 빈도가 증가한다. Nakagawa 등10은 뇌경색 환자에서 인후반사의 저하로 인해 연하장애 위험성이 높다고 하였고, Zitzmann 등11은 진정제, 안정제를 복용하거나 중추신경계에 이상이 있는 환자에서 흡인 위험성이 높다고 하였다. Son 등12은 기도내 이물질 흡인 환자 중 대부분이 60세 이상이며, 만성폐쇄성폐질환, 폐암, 결핵 등 호흡기 환자에서 비중이 높다고 하였다.
이러한 환자의 특성과 의과적인 병력을 파악하였다면 진료 중 구강내 삼킴 및 흡인을 예방하는 방법에 대해 숙지하여야 한다. Zitzmann 등11은 가장 기본이 되는 방법으로 러버댐을 사용하고 작은 기구는 결찰하며, 방어막으로 방사선 불투과성 물질이 포함된 거즈를 인두부위에 위치시켜 삼킴과 흡인을 예방하는 방법을 추천하였다. 치과의사는 임시보철물이 탈락하지 않도록 잘 고정시키며, 가철성 장치들의 유지가 충분한지 확인하여야 한다. 임플란트 보철물을 위치시킬 때는 구강 외에서 스크류를 위치시키고 보철물을 조심스럽게 장착한다. 상악 혹은 하악 치료 시 진료실 의자의 헤드 레스트를 올림으로서 환자의 두부 위치를 변경시켜 보철물이 탈락하여도 협점막으로 들어가도록 하며, 인후 반사가 예민한 환자는 앙와위 자세보다는 Upright position으로 치료 자세를 변경하는 것도 도움이 된다. 고위험군의 환자를 치료할 때는 성능이 좋은 흡인기를 사용하고 숙련된 보조인력을 배치하는 것도 좋은 방법이다.
이러한 예방법에도 불구하고 보철물이 구강내로 탈락하여 상부위장관이나 기도로 흡인되는 경우에는 치과의사가 대처방안에 대해 숙지하고 있어야 한다. 치과 치료 중 보철물이 구강 내로 탈락하면 즉시 두부를 측면으로 돌리거나 상체를 20 - 30도 세운 후 보철물을 제거해야 한다.7 구강 내에서 보철물이 확인되지 않으면, 신속하게 상부위장관으로 이동했는지, 호흡기관으로 이동했는지를 감별 진단하여야 한다. 만약 환자가 기침, 호흡곤란, 가래, 천명음, 통증 등의 증상을 보인다면 호흡기관으로 넘어간 것으로 판단하여 신속하게 기도유지와 산소공급을 시행하여야 한다. 치과의사는 일차적으로 환자의 기침을 유도하거나 등을 두드리고 복부를 압박하여 Heimlich maneuver를 시행한다.13 이 방법으로 제거가 안될 경우 맥길 겸자 등을 이용하여 구강으로 제거하는 것인데, 중요한 점은 보철물이 빠르게 제거가 안된다면 기도확보 상태에서 신속하게 응급실로 전원하여 기관지 내시경등의 적절한 처치를 받을 수 있도록 대처하는 것이다.14 만약 환자가 증상이 없다면 안심시키고 부작용과 필요한 처치들에 대해 설명하고 흉부방사선 사진 촬영검사를 통해 보철물의 위치를 확인한다.
위장관으로 이동하는 경우에는 대부분 10일 이내에서 자연스럽게 배출되지만 이물질의 종류에 따라 응급상황이 발생할 수 있는 점 때문에 주의하여야 한다. 삼켜진 이물질의 크기가 작고 날카롭지 않다면 자연 배출될 가능성이 높지만, 날카로운 기구나 크기가 큰 보철물의 경우 합병증의 발생 위험성이 크다.14 흉부 방사선 사진과 복부 방사선 촬영을 시행하여 보철물의 위치와 이동 상황을 확인하고 배출될 때까지 경과관찰을 시행한다.15 만약 날카로운 기구 등이 위장관내에 위치한다면 내시경을 통해 제거가 가능하지만, 소장으로 넘어간 경우 제거가 어려우므로 경과 관찰한다. 장내 보철물이 10 - 14일 이상 자연 배출되지 않거나 4일이상 동일한 장소에 정체되어 있는 경우, 혹은 복부통, 촉진시 압통, 출혈, 발열 등의 증상을 호소하는 경우 개복술을 통한 보철물의 제거도 고려하여야 한다.16 금속이나 방사선 불투과성 물질의 보철물을 삼킬 경우 장내 보철물의 위치를 X-ray를 통해 쉽게 파악할 수 있지만 방사선 투과성의 치과 보철물을 삼킬 경우 추적관찰이 어렵다. Chawla 등17은 Polymethylmethacrylate (PMMA)등과 같이 방사선 투과성의 물질이 십이지장으로 넘어간 환자의 경우, 공통적으로 상복부의 통증을 호소하였고, X-ray상 관찰이 어려웠으며, Unenhanced Computed Tomography (CT)를 통해 이물질의 위치를 확인할 수 있었다. 이물질을 위내시경으로 제거하는데 실패하거나 십이지장 천공이 발생한 환자는 빠른 수술개입이 필요하다고 하였다. 따라서 방사선 투과상으로 인해 보철물의 위치 확인이 어려운 환자의 경우, 무증상의 경우 경과관찰이 우선시되나, 환자가 불편감을 호소하거나 보철물의 크기가 크고 형태가 날카로운 경우 복부 및 흉부 방사선 이외에도 추가적으로 CT 촬영이 필요하다.
본 연구에서 제시된 두 가지 증례를 통해 보철물 삼킴에 대한 실제 임상 대응 과정을 확인할 수 있었다. 이러한 사례들은 보철물 삼킴이 발생했을 때 적절한 진료 조치와 환자 관리의 중요성을 강조한다. 보철물이 상부 위장관으로 이동하였을 경우, 즉각적이고 적절한 의료 조치가 필요하며, 이는 환자의 빠른 회복과 합병증 예방에 결정적인 역할을 한다. 따라서 치과의사는 보철물 삼킴에 대비하여 예방, 신속한 대응, 그리고 적절한 환자 교육에 중점을 두어야 하며, 고위험군 환자에 대한 세심한 주의와 개별 환자의 특성에 맞는 맞춤형 치료 계획의 수립이 필수적이다. 이러한 접근은 치과 치료 중 발생할 수 있는 보철물 삼킴의 위험을 최소화하고, 적극적인 소통을 통해 환자의 안전과 치료 성공률을 높이는 데 기여할 것이다.
References
1. Hou R, Zhou H, Hu K, Ding Y, Yang X, Xu G, Xue P, Shan C, Jia S, Ma Y. 2016; Thorough documentation of the accidental aspiration and ingestion of foreign objects during dental procedure is necessary: review and analysis of 617 cases. Head Face Med. 12:23. DOI: 10.1186/s13005-016-0120-2. PMID: 27449659. PMCID: PMC4957346.
2. Worthington P. 1996; Ingested foreign body associated with oral implant treatment: report of a case. Int J Oral Maxillofac Implants. 11:679–81.
3. Limper AH, Prakash UB. 1990; Tracheobronchial foreign bodies in adults. Ann Intern Med. 112:604–9. DOI: 10.7326/0003-4819-112-8-604. PMID: 2327678.
4. Prakash UBS, Cortese DA. Prakash UBS, editor. Tracheobronchial foreign bodies. Bronchoscopy. 2nd ed. New York: Raven Press;1994. p. 253–77.
5. Park JH, Park CH, Park JH, Lee SJ, Lee WS, Joo YE, Kim HS, Choi SK, Rew JS, Kim SJ. 2004; Review of 209 cases of foreign bodies in the upper gastrointestinal tract and clinical factors for successful endoscopic removal. Korean J Gastroenterol. 43:226–33.
6. Parolia A, Kamath M, Kundubala M, Thomas M, Mohan M. 2010; Management of foreign body aspiration or ingestion in dentistry. Kathmandu Univ Med J. 7:165–71. DOI: 10.3126/kumj.v7i2.2715. PMID: 20071854.
7. Ryu SJ, Chun JW. 1996; A case report of the management of an ingested or aspirated iatrogenic foreign body during intraoral treatment. J Korean Assoc Maxillofac Plast Reconstr Surg. 18:428–34.
8. Bang KT, Jeon HS, Lee SK, Lee JI, Lee JH. 2022; The survey on foreign body ingestion and aspiration during the dental prosthetic treatment. J Dent Rehabil Appl Sci. 38:222–32. DOI: 10.14368/jdras.2022.38.4.222.
9. National Satery Council. Injury Facts®. 2015 ed. Itasca: National Satery Council;2015. p. 11.
10. Nakagawa T, Sekizawa K, Nakajoh K, Tanji H, Arai H, Sasaki H. 2000; Silent cerebral infarction: a potential risk for pneumonia in the elderly. J Intern Med. 247:255–9. DOI: 10.1046/j.1365-2796.2000.00599.x. PMID: 10692089.
11. Zitzmann NU, Elsasser S, Fried R, Marinello CP. 1999; Foreign body ingestion and aspiration. Oral Surg Oral Med Oral Pathol Oral Radiol Endod. 88:657–60. DOI: 10.1016/S1079-2104(99)70004-1. PMID: 10625844.
12. Son YJ, Ha BG, Jeon JH. 2012; Foreign body aspiration during dental procedure. J Korean Dent Assoc. 50:755–62. DOI: 10.22974/jkda.2012.50.12.005.
13. Heimlich HJ. 1977; The Heimlich Maneuver: prevention of death from choking on foreign bodies. J Occup Med. 19:208–10.
14. Venkataraghavan K, Anantharaj A, Praveen P, Rani SP, Krishnan BM. 2011; Accidental ingestion of foreign object: Systematic review, recommendations and report of a case. Saudi Dent J. 23:177–81. DOI: 10.1016/j.sdentj.2010.10.007. PMID: 23960513. PMCID: PMC3723260.
15. Adeyemo AO, Bankole MA. 1986; Foreign bodies in the tracheobronchial tree: management and complications. J Natl Med Assoc. 78:511–6.
16. Park WS, Kim ST, Park MS, Seo JS, Kim KD. 2011; Foreign Body Aspiration in Dental Clinic case: Case Series. J Korean Dent Soc Anesthesiol. 11:38–44. DOI: 10.17245/jkdsa.2011.11.1.38.
17. Chawla A, Bosco J, Subramanian M, Chokkapan K, Shenoy J, Lim TC. 2015; Imaging findings of swallowed dentures: a case series. Emerg Radiol. 22:717–21. DOI: 10.1007/s10140-015-1334-5. PMID: 26227416.



PDF
Citation
Print



XML Download