Abstract
Purpose
The purpose of this study is to compare scapular alignment, muscle strength around the scapula and neck according to the classification of forward head posture (FHP), round shoulder posture (RSP) and forward head with round shoulder posture (FHRSP).
Methods
Scapular alignment, muscle strength around the scapula, and neck strength were measured according to the FHP and RSP alignment classification for male college students. Scapular alignment was confirmed by measuring acromial depression, scapular lateral displacement, and scapular acromion distance. Muscle strength was measured during isometric contraction of upper trapezius (UT), middle trapezius (MT), lower trapezius (LT), and neck muscles.
Results
Acromial depression was significantly greater in the FHP (7.20±1.02 cm) than in the RSP group (5.60±1.26 cm) and FHRSP (5.26±1.75 cm) (p<0.05). The strength of the UT was significantly greater in the FHRSP (1.12±0.12 N/BW) than in the FHP (0.87±0.19 N/BW), and the strength of the LT was significantly greater in the control group (0.20±0.04 N/BW) than in the FHP (0.15±0.03 N/BW) and RSP (0.15±0.04 N/BW) (p<0.05). The LT:UT ratio was significantly greater in the control group (0.20±0.05) than in the FHRSP (0.15±0.02) (p<0.05).
Conclusion
UT strength was higher in RSP subjects with scapular elevation accompanied by FHP than in those with FHP alone. And LT strength and the LT:UT ratio were higher in subjects withno abnormalities in postural alignment. We suggest that these results can serve as a reference for evaluation and intervention according to postural alignment in clinical practice.
장시간 컴퓨터 혹은 스마트폰 사용은 머리와 목을 앞쪽으로 더 기울이게 하여 앞쪽머리자세(forward head posture, FHP)를 유발할 수 있다1. 이런 자세의 변화는 신체 중력선에 비해 머리가 앞쪽으로 이동하면서 과도한 등뼈 뒤굽음과 함께 둥근어깨자세(round shoulder posture, RSP)를 유발할 수 있다2,3. FHP와 RSP는 목뼈, 등뼈 및 어깨의 통증과 기능장애의 원인이 되며, 상지(upper quarter)관절에 정렬의 변화를 초래한다4,5.
Kendall 등6은 사전적으로 앞쪽머리자세를 바깥귀길 (external acoustic meatus)이 어깨관절을 지나 중력선의 앞쪽에 위치한 것으로, 둥근어깨자세는 어깨뼈봉우리가 어깨관절을 지나 중력선의 앞쪽에 위치하는 것으로 정의하였다. 이런 자세들의 변화에 의해서 이론적으로 어깨뼈의 정렬이 달라질 수 있으며, 앞쪽머리자세의 경우 위쪽 등뼈의 굽힘이 증가되면서 어깨뼈가 내밈 및 앞쪽 기울임 된 위치가 나타날 수 있고7, 둥근어깨자세의 경우 어깨뼈가 내밈, 올림, 아래쪽 회전 및 앞쪽 기울임 되었다고 보고되었다6. 일반적으로 FHP에 따른 정렬 변화는 RSP로 이어질 수 있으며3, FHP와 RSP가 동반되어 나타날 수 있다고 보고되었다2. 또한, 이러한 두 자세는 상지의 비정상적인 정렬이 동반되어 나타나면 상부교차증후군(upper crossed syndrome, UCS)이라는 임상적인 증상을 유발할 수 있다8.
FHP 및 RSP가 동반된 UCS와 같은 비정상적인 정렬은 어깨뼈와 목의 가동성과 안정성을 제공하는 어깨뼈 주위 근육에 영향을 미쳐8,9, 앞톱니근, 마름근, 중간 및 아래등세모근(lower trapezius, LT)을 약화시킬 수 있다고 보고되었다8. 이처럼 자세 정렬의 변화는 근력에도 영향을 미칠 수 있으며9, 이는 근육의 길이-장력관계와 모멘트팔의 길이 변화와 관련 있다10. 길이-장력관계의 경우 근절(sarcomere)이 안정길이보다 더 길어지거나 짧아지게 될 때, 엑틴(actin)과 마이오신(myosin)의 교차연결(crossbridge) 수가 감소하여 근육을 최대 수축하려는 노력에도 생성되는 힘의 양이 감소하는 것으로 설명할 수 있고, 자세 정렬의 변화는 근육을 짧아지거나 길어진 위치에 놓이게 할 수 있다10. 모멘트팔의 경우 근육의 힘을 발생시키는 내적 모멘트팔과 부하에 해당하는 외적 모멘트팔의 길이 변화에 따라 생성하는 힘의 양이 변하는 것으로 설명되며10, 자세 정렬 변화로 인해 중력 중심선에서 관절 축 사이의 거리가 증가하여 해당 관절 축을 지나는 근육은 증가된 중력 모멘트를 상쇄하기 위해 근육의 내적인 모멘트 생성에 대한 요구도가 더욱 증가될 수 있다2. 이렇듯 자세 정렬의 변화로 인한 어깨뼈 정렬의 변화는 어깨관절에서 최적의 힘을 생성하는 것을 방해하고 어깨의 병리를 유발할 수 있으므로 각 근육의 근력뿐만 아니라 근력의 비율을 확인할 필요가 있다10,11.
이렇게 FHP 혹은 RSP가 되면 어깨뼈의 위치 변화가 발생할 수 있으며, 이로 인해 근육의 길이-장력관계와 모멘트팔의 길이에 영향을 미쳐 어깨뼈 주변 근육들의 근력에도 영향을 미칠 수 있다. 특히, FHP나 RSP 단일 형태의 자세 변화보다는 두 가지 자세 변화를 모두 가지고 있는 경우 어깨뼈의 정렬 변화가 더 많이 나타날 것으로 판단되며, 이로 인해 어깨뼈 주변 근육들을 포함하여 목 근육의 근력이 더 많은 영향을 받을 것으로 예상해 볼 수 있다. 이전에 일부 문헌에서는 FHP와 RSP의 어깨뼈 위치 변화에 대해 보고하고 있으나 어깨뼈의 위치 변화에 따른 근력의 변화를 알아본 연구는 없는 실정이며, 또한 FHP와 RSP의 단일 또는 복합 형태에 따라 어깨뼈의 위치 변화 및 근력의 차이를 비교한 연구도 없는 실정이다. 따라서 본 연구에서는 FHP와 RSP에 따른 어깨뼈 정렬과 어깨뼈 주위 근육의 근력과 근력 비율 및 목 근력을 비교하고자 한다. FHP와 RSP를 단일로 가지고 있는 대상자들보다 두 가지를 동시에 가지고 있는 대상자들의 어깨뼈 정렬이 더 많이 변화할 것으로 생각되며, 어깨뼈 주위 근육의 근력과 근력 비율 및 목 근력에 영향을 미칠 것이다.
본 연구의 대상자는 만19세 이상 남자 대학생으로 우세측 목이나 어깨에 부상 또는 병력이 없는 건강한 대상자로 선정하였으며, 병력과 관련한 사전 조사를 실시하여 근력과 상지 운동범위에 영향을 미치는 모든 신경학적 상태가 있는 자, 어깨 올림이 140° 미만인 자, 우세측 어깨의 이전 수술력이 있는 자, 류마티스관절염이 있는 자는 제외하였다12. 본 연구 절차는 부경대학교의 생명윤리위원회로부터 승인을 얻었고(No. 1041386-202312- HR-144-02), 본 연구의 목적, 절차 및 방법에 대해 상세한 설명을 들은 후 서면 동의서를 작성한 85명의 대상자가 자발적으로 참여하였으며, 모든 임상 이미지를 포함한 본 연구의 출판에 대해 대상로부터 서면 동의를 받았다. 이후 집단을 분류하기 위해 머리 어깨 정렬을 측정하여, 자세 정렬에 변화가 없는 대상자를 대조(control) 집단으로 분류하고 자세 정렬 변화에 따라 FHP 집단, RSP 집단, 두 가지 자세 정렬을 모두 가지고 있는(forward head with round shoulder posture, FHRSP) 집단으로 각각 12명씩 네 집단으로 분류하여 총 48명의 대상자로 연구를 진행하였다. 연구대상자의 인구통계적 특성은 Table 1과 같다.
측정을 위해 대상자는 상의를 탈의하고 신발로 인해 대상자 간 자세가 달라지는 것을 방지하기 위해 맨발로 실험에 참여하였다. 모든 측정은 동일한 검사자에 의해 진행되었으며, 목과 어깨 자세 정렬, 어깨뼈 정렬, 어깨뼈 주위 근력 및 목 근력 검사 순서로 진행하였다. 목과 어깨 자세 정렬 및 어깨뼈 정렬을 측정하는 동안 발 위치를 표준화하기 위해 미리 그어둔 기준선에 뒤꿈치를 맞춰 서도록 하였다13.
Kendall 등6은 사전적으로 머리와 어깨 정렬을 중력선을 기준으로 나누어 정의하였으나, 이러한 정의는 임상적인 평가를 위해 중력선의 기준으로 하여 해부학적 지점이 어디에 위치하고 있는지 관찰하여 분류하는 방법이다. Kendall 등6이 제시한 기준으로 자세 정렬을 분류한 연구들이 있으나, 자세 정렬의 정도를 정량적으로 평가하는 데 제한점이 있거나 거리로 정량화 하는 방법은 낮은 타당성을 보인다고 보고되었으며 수치적인 기준은 없는 실정이다. 자세 정렬을 정량적으로 분석하는 방법으로 시상면에서의 각도를 분석하는 것이 있는데, 이는 시각적 관찰을 통해 자세를 분류하는 방법보다 더 정확하고 신뢰할 수 있다고 보고되었으며14, 자세 정렬을 평가하기 위해 일반적으로 가장 많이 사용되는 방법이다. 따라서 본 연구에서는 시상면의 각도를 기준으로 자세 정렬을 분류하였다.
FHP와 RSP를 평가하기 위해 두개 척추 각도(cranio-vertebral angle, CVA)와 앞 어깨 각도(forward shoulder angle, FSA)를 2회 측정하여 평균값을 분석에 사용하였다. 측정 전 우세측 귀구슬(tragus), 7번 목뼈 가시돌기 및 어깨뼈봉우리에 반사 마커를 부착하였으며, 삼각대를 사용하여 스마트폰(Galaxy Fold 5, Samsung)을 대상자의 눈높이에 맞게 높이를 조정하고 대상자로부터 1 m 떨어진 곳에 고정하였다15. 이후 대상자들을 미리 그어진 선에 발꿈치를 맞춰 서도록 하고 편안한 자세를 유지하도록 한 후 우세측 시상면을 촬영하였다. 촬영한 사진은 Kinovea version 0.8.15 (Kinovea) 소프트웨어를 사용하여 분석하였다. FHP를 평가하기 위한 CVA는 귀구슬과 7번 목뼈 가시돌기를 잇는 선과 귀구슬을 통과하는 수평선 사이의 각도로 정의하였으며16, RSP를 평가하기 위한 FSA는 7번 목뼈 가시돌기와 어깨뼈봉우리를 잇는 선과 어깨뼈봉우리를 통과하는 수평선 사이의 각도로 정의하였다5. CVA가 50° 미만일 경우 FHP를 보이는 것으로 정의하고 FSA가 52° 미만일 경우 RSP를 보이는 것으로 정의하였다(Fig. 1)16. 선행연구 결과에서 CVA 및 FSA 측정값은 높은 신뢰도(각각 intraclass correlation coefficient [ICC]=0.85–0.89, ICC=0.80)를 보였으며, Kinovea 소프트웨어를 사용하여 관절 각도를 측정하는 것 또한 신뢰도(ICC=0.95–0.98)가 높았다. 본 연구의 CVA 및 FSA 측정값에 대한 측정-재측정 신뢰도는 각각, ICC=0.93, ICC=0.97로 확인되었다.
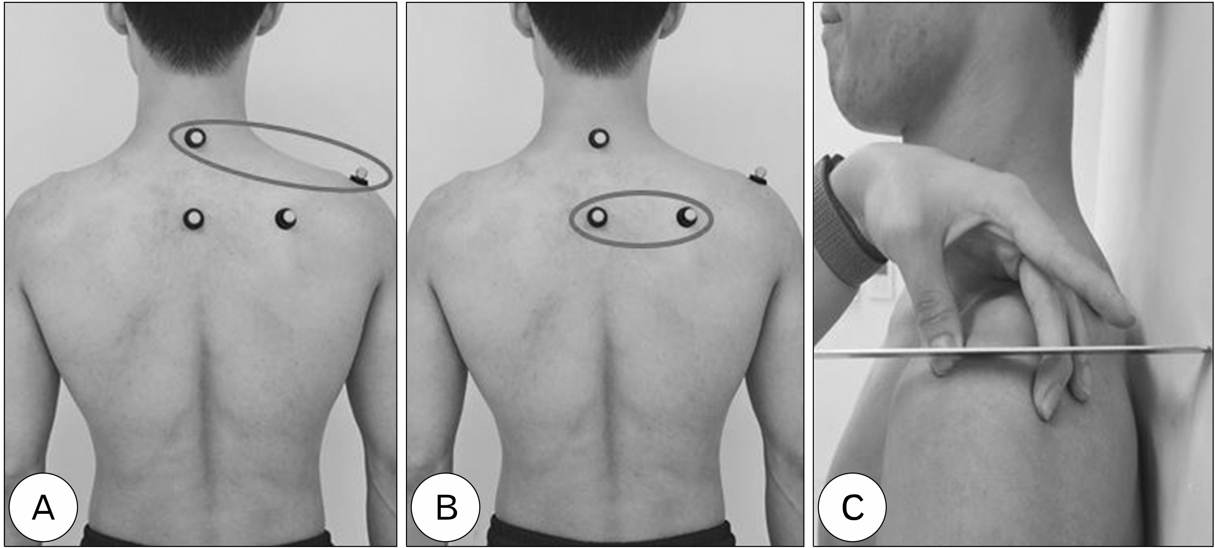
어깨뼈 정렬은 어깨뼈봉우리 내림(acromial depression), 어깨뼈 가쪽 변위(scapular lateral displacement), 어깨뼈봉우리 거리를 측정하여 확인하였다. 어깨뼈 정렬을 측정하기에 앞서 대상자의 7번 목뼈 가시돌기, 어깨뼈봉우리와 어깨뼈 뿌리, 4번 척추뼈 가시돌기를 촉진하고 수성 팬을 사용하여 위치를 표시하였다5,13,15-17. 어깨뼈봉우리 내림은 palpation meter (PALM, Performance Attainment Associates)를 사용하여 측정하였으며, 대상자가 앞을 바라보고 편안하게 서 있으면 검사자는 palpation meter 다리 하나를 7번 목뼈 가시돌기에 두고 다른 하나는 어깨뼈봉우리에 두어 목뼈 7번 가시돌기와 어깨뼈봉우리 사이의 거리와 기울기를 기록하였다. 측정한 거리와 기울기 값을 palpation meter calculater (Performance Attainment Associates)에 대입하여 어깨뼈봉우리 내림값을 산출하였다(Fig. 2A)13,18. 어깨뼈봉우리 내림을 측정하는 방법은 좋은 신뢰도(ICC=0.76)를 보인다13. 어깨뼈 가쪽 변위는 palpation meter를 사용하여 측정하였으며, 대상자가 앞을 바라보고 편안하게 서 있으면 검사자는 palpation meter 다리 하나를 4번 척추뼈 가시돌기에 두고 다른 하나는 어깨뼈 뿌리(root of scapular spine)에 두어 4번 척추뼈 가시돌기와 어깨뼈 뿌리 사이의 거리를 기록하였다(Fig. 2B)13,18,19. 어깨뼈 가쪽 변위를 측정하는 방법은 좋은 신뢰도(ICC=0.81)를 보인다. 어깨뼈봉우리 거리는 막대자를 이용하여 측정하였으며, 대상자가 벽에 등을 대고 편안하게 서 있으면 어깨뼈봉우리와 벽 사이의 수평 거리를 기록하였다(Fig. 2C)17,18. 어깨뼈봉우리와 벽 사이의 수평 거리를 측정하는 방법은 좋은 신뢰도(ICC=0.72)를 보인다. 1회 측정한 값을 사용하였으며, 측정 간 별도의 휴식시간은 제공하지 않았다.
동력계(hand-held dynamometer, compuFET, Hoggan Health Industries Inc.)를 사용하여 위등세모근(upper trapezius, UT), 중간등세모근(middle trapezius, MT), LT, 목 굽힘근(neck flexors), 목 폄근(neck extensors)의 등척성 수축 동안 근력을 측정하였다20. 동력계를 사용한 근력 측정은 높은 신뢰도(ICC=0.89–0.96)를 보인다. UT의 근력을 측정하기 위해 동력계를 대상자의 측정할 어깨뼈 위에 위치하도록 하고, 검사자가 어깨뼈 내림 방향으로 힘을 가할 때 대상자가 어깨뼈 올림을 수행하도록 하였다21. MT와 LT의 경우 대상자가 엎드린 자세에서 측정하였으며(Fig. 3A), MT의 근력은 대상자의 어깨관절을 90° 벌림과 최대 바깥돌림한 상태에서 동력계를 대상자의 손목 먼쪽(노뼈 가쪽)에 위치하도록 하고 검사자가 수평 모음 방향으로 힘을 가할 때 대상자가 어깨관절 수평 벌림을 수행하도록 하였다(Fig. 3B)22. LT의 근력은 대상자의 어깨관절을 145° 벌림과 최대 바깥돌림한 상태에서 동력계를 손목 먼쪽(노뼈 가쪽)에 위치하도록 하고 검사자가 바닥과 수직 방향으로 힘을 가할 때 대상자가 팔을 들어 올리도록 하였다(Fig. 3C)22.
목 굽힘근의 근력은 대상자가 바로 누워 목을 30° 굽히고 턱을 당긴 자세에서 측정하였으며, 대상자의 이마 중심에 동력계를 위치하도록 하고 검사자가 목의 폄 방향으로 힘을 가할 때 대상자가 목을 굽히도록 하였다(Fig. 4A)23. 목 폄근의 근력은 대상자의 어깨가 침대의 가장자리에 위치하도록 엎드려 눕도록 한 후 머리를 중력에 대항하여 유지하는 자세에서 측정하였으며, 대상자의 머리 뒤쪽 중심에 동력계를 위치하도록 하고 검사자가 목의 굽힘 방향으로 힘을 가할 때 대상자는 목 중립 위치를 유지하도록 하였다(Fig. 4B)23. 각 측정과 각 근육 사이에 1분간 휴식시간을 제공하였으며, 3회 실시 후 평균값을 산출하여 분석에 사용하였다12. 각 근육 사이에 측정된 힘값(N)은 참가자의 체중(kg)으로 정규화하였다20.
본 연구에서 얻어진 모든 자료는 IBM SPSS version 23.0 (IBM Corp.)을 이용하여 기술통계량을 산출하였고, 모든 자료에 대해 Shapiro-Wilk의 정규성 검정을 실시한 결과에 따라 모수검정 방법 또는 비모수검정 방법을 사용하였다. 집단 간 변인의 차이를 확인하기 위해 일원 반복측정 분산분석(one-way repeated measures analysis of variance) 또는 크러스칼-왈리스 검정(Kruskal- Wallis test) 방법을 사용하였다. 사후분석은 Bonferroni 검정 방법을 사용하였으며, 모든 유의수준은 α=0.05로 설정하였다.
머리와 어깨 자세에 따른 어깨 정렬 차이를 비교 분석한 결과, 어깨뼈봉우리 내림은 FHP 집단(7.20±1.02 cm)에서 RSP 집단(5.60±1.26 cm)과 FHRSP 집단(5.26±1.75 cm)보다 유의하게 크게 나타났다(각각 p=0.048, p=0.010). 어깨뼈 가쪽 변위, 어깨뼈봉우리 거리는 집단 간 유의한 차이가 없었다(Table 2).
머리와 어깨 자세에 따른 어깨뼈 주위 근육 및 목 근력 차이를 비교 분석한 결과, UT의 근력이 FHRSP 집단(1.12±0.12 N)에서 FHP 집단(0.87±0.19 N)보다 유의하게 크게 나타났으며(p=0.012), LT의 근력이 대조 집단(0.20±0.04 N)에서 FHP 집단(0.15±0.03 N)과 RSP 집단(0.15±0.04 N)보다 유의하게 크게 나타났다(p=0.006) (Table 3).
머리와 어깨 자세에 따른 어깨뼈 주위 근육 근력 비율 차이를 비교 분석한 결과, LT:UT 비율은 대조 집단(0.20±0.05)에서 FHRSP 집단(0.15±0.02)보다 유의하게 크게 나타났다(p=0.023). MT:UT 비율은 집단 간 유의한 차이가 없었다(Table 4).
본 연구에서 건강한 대상자를 FHP, RSP, FHRSP 및 대조 집단으로 분류하여 어깨뼈 정렬, 어깨뼈 주위 근육의 근력과 근력 비율 및 목 근력 차이를 비교 분석하였다. 그 결과, 어깨뼈봉우리 내림은 FHP 집단이 RSP와 FHRSP 집단보다 크게 나타났으며, UT의 근력은 FHRSP 집단이 FHP 집단보다 크게 나타났고, LT의 근력은 대조 집단이 FHP와 RSP 집단보다 크게 나타났다. UT에 대한 LT의 비율은 대조 집단이 FHRSP 집단보다 높게 나타났으며, 다른 어깨뼈 정렬, 목 및 어깨 근력은 집단 간 차이가 나타나지 않았다.
FHP 집단의 어깨뼈봉우리 내림이 RSP 및 FHRSP 집단보다 크게 나타난 것은 FHP와 RSP의 정렬 변화와 특징적인 어깨뼈의 위치로 설명할 수 있다. Kendall 등6은 RSP를 어깨뼈의 내밂 및 올림 된 위치로 정의하고 있으며, 전방머리자세와 비교하여 RSP에서만 어깨뼈 올림 동작이 나타날 수 있다16. 본 연구와 같은 방법으로 건강한 대상자의 어깨뼈봉우리 내림을 측정한 결과 그 값이 6.9–7.3 cm로 나타났다13. 본 연구에서도 FHP 집단의 어깨뼈봉우리 내림이 7.20±1.02 cm로 건강한 대상자의 결과값과 유사한 했던 반면, RSP 정렬이 있는 RSP 및 FHRSP 집단은 각각 5.60±1.26 cm와 5.26±1.75 cm로 FHP 집단보다 어깨뼈가 상대적으로 더 올림 되어 있었고 이는 Kendall 등6의 이론과 부합하는 것으로 보인다. 본 연구에서 어깨뼈 가쪽 변위에서 집단 간 차이가 나타나지 않았다. 이전 선행연구에서는 건강한 대상자의 어깨뼈 가쪽 변위를 7.9–8.8 cm로 제시하고 있다13,24. 다만 이전 연구와 비교해 보았을 때, 본 연구에서 모든 집단의 어깨뼈 가쪽 변위가 상대적으로 크게 나타났으나 어깨뼈 가쪽 변위와 관련 있는 MT의 근력은 집단 간 차이가 없었으며, 전체 대상자 48명의 어깨뼈 가쪽 변위와 다른 변인과의 상관관계를 확인한 결과 상관관계가 확인되지 않았다. 이러한 결과들로 비추어 볼 때 적어도 증상이 없는 대상자들의 자세 정렬은 어깨뼈 가쪽 변위에 크게 영향을 미치지 않을 것으로 판단된다. 어깨뼈봉우리 거리 또한 집단 간 차이가 나타나지 않았다. 하지만 본 연구의 전체 대상자 48명의 어깨뼈봉우리 거리와 다른 변인과의 상관관계를 확인한 결과, LT 근력과 약한 정도의 음의 상관관계가 나타났으며(r=–0.304, p=0.035), LT의 근력은 대조 집단(0.20±0.04 N)이 FHP 집단(0.15±0.03 N)과 RSP 집단(0.15±0.04 N)보다 유의하게 크고, FHRSP 집단(0.16±0.02 N)보다는 유의하지 않지만 큰 경향을 보였다. 비록 본 연구에서 어깨뼈봉우리 거리는 집단 간 유의한 차이는 나타나지 않았으나 대조 집단(9.92±0.91 cm)보다 나머지 세 집단(10.73±0.63 cm–11.11±1.51 cm)이 큰 경향을 보이는 것을 확인할 수 있었다. 또한 이전 선행연구에서 건강한 대상의 어깨뼈봉우리 거리를 측정한 결과 7.2 cm로 나타났으며25, FHP와 RSP를 가진 대상자의 어깨뼈봉우리 거리를 측정한 연구에서는 각각 8.8 cm 및 9.4 cm로 확인되어26,27 건강한 대상자들보다 어깨뼈가 앞쪽으로 기울어 있는 것을 확인할 수 있었다. 비록 본 연구와 선행연구의 어깨뼈봉우리 거리값은 상대적인 차이가 있지만, 본 연구에서도 선행연구와 유사하게 대조 집단보다 FHP와 RSP를 가진 대상자들의 어깨뼈봉우리 거리가 크게 나타나는 경향을 확인하였다. 이러한 결과를 종합해 보면 FHP와 RSP를 가지고 있는 사람들은 어깨뼈의 앞쪽 기울임을 조절할 필요가 있을 것으로 생각된다.
본 연구 결과 UT의 근력이 FHP 집단보다 FHRSP 집단에서 29%만큼 유의하게 크게 나타났다. 모멘트팔의 관점에서 보았을 때 자세 정렬 변화에 따라 중력 중심선을 기준으로 관절 축까지의 거리가 변하여 좌우축을 지나는 근육의 외적 모멘트팔이 달라질 수 있다12. 그러나 RSP에서 나타나는 어깨뼈 올림 동작은 복장빗장관절의 앞뒤축을 지나는 UT의 작용이며16 UT의 먼쪽 부착 부위가 빗장뼈의 가쪽이기 때문에16 외적, 내적 모멘트팔의 길이가 변하지 않을 것으로 생각된다. 따라서 UT의 근력 차이는 모멘트팔의 차이로 인해 나타난 것으로 보이지 않으며, 이러한 차이는 어깨뼈의 올림 및 내림 된 자세에 따른 근육의 길이-장력관계의 변화와 관련 있다고 생각된다. 어깨뼈 내림 결과는 FHP 집단이 대조 집단보다 더 내림 된 결과를, FHRSP 집단은 대조 집단보다 더 올림 된 결과를 보인만큼 FHP 집단에서 UT는 더 길어진 위치에 놓이게 되어 근육의 길이-장력 관계에 따라 UT의 근력이 FHRSP 집단(1.12±0.12)보다 FHP 집단(0.87±0.19)에서 낮게 나타난 것으로 생각된다. 또한 어깨뼈 위치와 UT의 활성도의 연관성을 확인한 연구에서는 어깨뼈 올림과 UT의 활성도는 정적인 상관관계가 있다고 보고되었다28. 이는 어깨뼈가 올림 될수록 UT의 동원이 증가하는 것으로 생각해 볼 수 있으며, 본 연구 결과를 뒷받침할 수 있다고 생각된다. 집단 간 MT의 근력이 차이 나지 않은 것은 어깨뼈 정렬과 관련 있는 것으로 생각된다. MT는 어깨뼈 뒤당김 작용을 하는데10, 본 연구에서 어깨뼈 뒤당김 정렬을 나타내는 어깨뼈 가쪽 변위가 집단 간 차이가 나타나지 않아 위와 같은 작용을 하는 근육의 근력의 차이가 나타나지 않은 것으로 생각된다. LT의 근력은 대조 집단이 FHP와 RSP 집단보다 크게 나타났다. 이는 어깨뼈의 앞쪽 기울임 정도와 관련 있다고 생각된다. 앞서 언급한 것처럼 본 연구의 상관분석 결과 어깨뼈봉우리 거리와 LT의 근력 사이에는 음의 상관관계가 나타났는데, 이는 어깨뼈의 앞쪽 기울임이 증가할수록 LT의 근력이 약해진다는 것을 의미한다. LT는 어깨뼈의 위쪽돌림과 뒤쪽 기울임에도 관여하는데16, 앞쪽 기울임이 증가하면 LT의 길이도 늘어날 수 있으며, 근육의 길이-장력관계에 의해 근력의 약화가 발생할 수 있을 것으로 판단된다. 또한 본 연구에서 대조 집단보다 나머지 세 집단에서 어깨뼈봉우리 거리가 더 큰 경향을 보이는 것 또한 LT의 근력 차이 결과를 뒷받침할 수 있다고 생각된다. 목 폄근과 굽힘근의 근력 또한 집단 간 차이가 나타나지 않았는데, 이는 목 근력 측정 자세와 관련 있다고 생각된다. 이전 연구에서 아래쪽 목뼈의 네 가지 위치(폄, 중립, 약간 굽힘, 매우 굽힘)와 위쪽 목뼈의 세 가지 위치(굽힘, 중립, 폄)에서 최대 목 폄 동작을 수행하는 동안 고리뒤통수관절(atlanto-occipital joint)의 안∙가쪽축에 대한 폄 모멘트를 확인하였는데, 목뼈의 위치에 따라 최대 모멘트에 차이가 없다고 보고되었다29. 본 연구에서는 목 폄근의 근력을 측정하기 위한 자세로 아래쪽 목뼈를 중립으로 유지한 상태에서 위쪽 목뼈를 폄 하도록 하였고, 이전 선행연구 결과와 같이 위∙아래쪽의 목뼈의 자세에 따라서 목뼈의 폄 모멘트에는 영향을 미치지 않아 집단간 목뼈 근력의 차이가 나타나지 않은 것으로 생각된다. 또한 본 연구의 대상자들은 변화된 자세 정렬을 가지고 있으나, 사전 설문지를 통해 통증을 포함한 목과 어깨의 기능장애 지수를 확인하였을 때, 관련 증상은 없었기 때문에 근력의 차이가 없었을 것으로 생각된다.
본 연구 결과 UT에 대한 MT의 근력 비율은 집단 간 차이가 나타나지 않았으나, UT에 대한 LT의 근력 비율은 대조 집단이 FHRSP 집단보다 크게 나타났다. 근력을 기능적 관점에서 보게 되면 근육 간의 균형이 중요한데, FHP 혹은 RSP 대상자들은 중간 및 LT 약화와 함께 UT 과활성화로 인해 등세모근 내에서도 근육 불균형이 나타날 수 있으며20,30,31, 이로 인해서 어깨뼈 운동형상학의 변화가 발생하여 봉우리밑충돌증후군과 같은 여러 질환을 유발할 수 있다32,33. 본 연구에서 UT에 대한 MT의 근력 비율의 차이가 나타나지 않은 것은 네 집단 간 어깨뼈 가쪽 변위와 MT의 근력의 차이가 나타나지 않은 것과 관련 있다고 생각된다. 비록 UT의 근력의 차이는 있었지만 근력 비율에 영향을 줄 만큼의 변화가 아닌 것으로 생각해 볼 수 있으며, 증상이 없는 대상자들의 자세 정렬이 UT에 대한 MT의 비율에 크게 영향을 미치지 않을 것으로 판단된다. 본 연구에서 UT에 대한 LT의 비율이 대조 집단이 FHRSP 집단보다 크게 나타난 것은 자세 정렬에 따른 LT의 근력과 관련 있다고 생각된다. 앞서 언급한 바와 같이, 본 연구에서 전체 대상자 48명의 상관관계를 분석한 결과, 어깨뼈봉우리 거리와 LT 근력 간에는 약한 음의 상관관계가 나타났다. 또한, 대조 집단과 비교했을 때 나머지 세 집단에서 어깨뼈봉우리 거리가 더 큰 경향을 보였다. 이러한 결과로 인해 대조 집단의 LT 근력이 상대적으로 더 컸으며, 이에 따라 UT에 대한 LT 비율에서도 차이가 나타난 것으로 생각된다. 비록 대조 집단(0.20±0.05)과 FHRSP 집단(0.15±0.02) 간의 유의한 차이만 나타났으나, FHP 집단(0.17±0.04)과 RSP 집단(0.15±0.04)도 대조 집단에 비해 낮게 나타나는 경향을 보이는 것을 확인할 수 있었다. 또한 이전 선행연구에서 건강한 청소년 엘리트 테니스 선수를 대상으로 어깨 주변의 근력과 근력 비율을 확인한 결과 UT에 대한 LT의 비율이 0.20로 나타났으며20, 본 연구에서도 대조 집단의 UT에 대한 LT의 비율이 0.20±0.05로 선행연구와 유사하였다. 이러한 결과를 종합해보면 LT의 근력은 자세 정렬에 영향을 받으며 UT에 대한 LT의 비율에도 영향을 줄 수 있는 것으로 보인다. 따라서 자세 정렬의 문제를 가지고 있는 대상자의 근육들의 개별적인 근력도 중요하지만, 특정 근육의 과사용과 길항근의 상대적인 약화는 근력의 불균형을 유발할 수 있다. 이러한 불균형은 우세한 특정 근육의 작용 방향에 따라 자세 정렬에 영향을 미칠 수 있는 만큼, 이를 고려한 관리가 필요할 것으로 생각된다.
연구에는 몇 가지 제한점이 있다. 첫 번째, 본 연구에서는 집단을 선행연구에 따라 각도를 기준으로 나누었으나, 아직까지는 명확한 임계값(cut-off value)에 대한 근거가 부족하므로 결과를 해석하고 이전 연구 결과들과 비교할 때 이러한 점을 고려할 필요가 있다. 두 번째, 각 자세 정렬에 따른 어깨뼈 정렬을 정적인 자세에서만 평가하였다. 추후 팔을 들어올리는 동작과 같은 기능적인 동작을 수행하는 동안 어깨뼈 정렬과 어깨뼈 움직임을 측정하여 자세 정렬에 따른 어깨뼈의 동적인 특성 및 주위 근육과의 관계를 확인하는 연구가 필요하다. 세 번째, 본 연구 대상자는 건강한 20대 남성으로, 모든 대상자에게 일반화할 수 없다. 추후 연구에서는 어깨뼈 운동이상증 혹은 어깨충돌증후군 등 어깨관절과 관련한 병력이 있는 대상자를 대상으로 한 연구가 진행될 필요가 있을 것으로 생각된다. 마지막으로, 본 연구에서는 자세에 따른 어깨뼈 주변 근육의 근력만 평가하였다. 추후에는 근력 평가와 함께 근활성도를 평가하여 근력과의 관계를 확인하는 연구가 진행될 필요가 있을 것으로 생각된다.
결론으로, 본 연구에서 FHP와 RSP가 각각 독립적으로 나타날 수도 있고, 두 가지가 동반되어 나타날 수도 있다는 것을 확인하였다. 또한 RSP를 가진 대상자들은 어깨뼈가 올림 되고, FHP를 동반한 경우 UT의 근력이 FHP만 가진 대상자보다 강하며, 자세 정렬의 문제가 없는 대상자들의 LT 근력이 FHP와 RSP를 가진 대상자보다 강한 것으로 나타났다. 자세 정렬의 문제가 없는 대상자들의 UT에 대한 LT의 비율이 FHP와 RSP를 동시에 가지고 있는 대상자들보다 큰 것을 확인할 수 있었다. 이러한 결과를 종합하면, 적어도 증상이 없는 대상자들의 어깨뼈 가쪽 변위와 MT는 자세 정렬에 영향을 미치지 않는 것으로 보이나 LT는 자세 정렬에 영향을 미칠 가능성이 있어 LT의 근력을 평가하고 관리하는 것이 필요할 것으로 생각된다. 본 연구 결과는 임상에서 자세 정렬에 따른 평가 및 중재에 대한 참고자료가 될 수 있을 것으로 제안한다.
Notes
Author Contributions
Conceptualization, Data curation, Software: KYJ, TGK. Formal analysis: KYJ, TGK, IYY. Investigation, Methodology: all authors. Project administration, Validation: KYJ, TGK, SYK. Resources, Supervision, Visualization: all authors. Writing–original draft: KYJ, TGK. Writing–review & editing: all authors.
REFERENCES
1. Silva AG, Johnson MI. 2013; Does forward head posture affect postural control in human healthy volunteers? Gait Posture. 38:352–3. DOI: 10.1016/j.gaitpost.2012.11.014. PMID: 23219786.
2. Kwon JW, Son SM, Lee NK. 2015; Changes in upper-extremity muscle activities due to head position in subjects with a forward head posture and rounded shoulders. J Phys Ther Sci. 27:1739–42. DOI: 10.1589/jpts.27.1739. PMID: 26180310. PMCID: PMC4499973.
3. Lee JH. 2016; Effects of forward head posture on static and dynamic balance control. J Phys Ther Sci. 28:274–7. DOI: 10.1589/jpts.28.274. PMID: 26957773. PMCID: PMC4756019.
4. Singla D, Veqar Z. 2017; Association between forward head, rounded shoulders, and increased thoracic kyphosis: a review of the literature. J Chiropr Med. 16:220–9. DOI: 10.1016/j.jcm.2017.03.004. PMID: 29097952. PMCID: PMC5659804.
5. Ruivo RM, Pezarat-Correia P, Carita AI. 2014; Cervical and shoulder postural assessment of adolescents between 15 and 17 years old and association with upper quadrant pain. Braz J Phys Ther. 18:364–71. DOI: 10.1590/bjpt-rbf.2014.0027. PMID: 25054381. PMCID: PMC4183261.
6. Kendall FP, McCreary EK, Provance PG, Rodgers , et al. Muscles: testing and function with posture and pain. 5th ed. Lippincott Williams & Wilkins;2005.
7. Jung SH, Hwang UJ, Kim JH, Gwak GT, Kwon OY. 2022; Effect of improved thoracic kyphosis on forward shoulder posture after mobilization in individuals with thoracic hyperkyphosis. Clin Biomech (Bristol). 97:105707. DOI: 10.1016/j.clinbiomech.2022.105707. PMID: 35763888.
8. Chang MC, Choo YJ, Hong K, Boudier-Revéret M, Yang S. 2023; Treatment of upper crossed syndrome: a narrative systematic review. Healthcare (Basel). 11:2328. DOI: 10.3390/healthcare11162328. PMID: 37628525. PMCID: PMC10454745.
9. Cools AM, Struyf F, De Mey K, Maenhout A, Castelein B, Cagnie B. 2014; Rehabilitation of scapular dyskinesis: from the office worker to the elite overhead athlete. Br J Sports Med. 48:692–7. DOI: 10.1136/bjsports-2013-092148. PMID: 23687006.
10. Neumann DA. Kinesiology of the musculoskeletal system: foundations for rehabilitation. 3rd ed. Mosby;2016.
11. Cools AM, Witvrouw EE, Mahieu NN, Danneels LA. 2005; Isokinetic scapular muscle performance in overhead athletes with and without impingement symptoms. J Athl Train. 40:104–10.
12. Hannah DC, Scibek JS, Carcia CR. 2017; Strength profiles in healthy individuals with and without scapular dyskinesis. Int J Sports Phys Ther. 12:305–13.
13. da Costa BR, Armijo-Olivo S, Gadotti I, Warren S, Reid DC, Magee DJ. 2010; Reliability of scapular positioning measurement procedure using the palpation meter (PALM). Physiotherapy. 96:59–67. DOI: 10.1016/j.physio.2009.06.007. PMID: 20113764.
14. Çobanoğlu G, Demirkan MY, Ecemiş ZB, Güzel NA. 2024; Forward head posture and its effect on muscle activation. Gazi Sağlık Bilimleri Dergisi. 9:85–93. DOI: 10.52881/gsbdergi.1376080.
15. Horton SJ, Johnson GM, Skinner MA. 2010; Changes in head and neck posture using an office chair with and without lumbar roll support. Spine (Phila Pa 1976). 35:E542–8. DOI: 10.1097/BRS.0b013e3181cb8f82. PMID: 20445477.
16. Yip CH, Chiu TT, Poon AT. 2008; The relationship between head posture and severity and disability of patients with neck pain. Man Ther. 13:148–54. DOI: 10.1016/j.math.2006.11.002. PMID: 17368075.
17. Struyf F, Nijs J, Mottram S, Roussel NA, Cools AM, Meeusen R. 2014; Clinical assessment of the scapula: a review of the literature. Br J Sports Med. 48:883–90. DOI: 10.1136/bjsports-2012-091059. PMID: 22821720.
18. Nijs J, Roussel N, Vermeulen K, Souvereyns G. 2005; Scapular positioning in patients with shoulder pain: a study examining the reliability and clinical importance of 3 clinical tests. Arch Phys Med Rehabil. 86:1349–55. DOI: 10.1016/j.apmr.2005.03.021. PMID: 16003663.
19. Gallego-Izquierdo T, Arroba-Díaz E, García-Ascoz G, Val-Cano MD, Pecos-Martin D, Cano-de-la-Cuerda R. 2020; Psychometric proprieties of a mobile application to measure the craniovertebral angle a validation and reliability study. Int J Environ Res Public Health. 17:6521. DOI: 10.3390/ijerph17186521. PMID: 32911612. PMCID: PMC7559098.
20. Cools AM, Johansson FR, Cambier DC, Velde AV, Palmans T, Witvrouw EE. 2010; Descriptive profile of scapulothoracic position, strength and flexibility variables in adolescent elite tennis players. Br J Sports Med. 44:678–84. DOI: 10.1136/bjsm.2009.070128. PMID: 20587640.
21. Hislop HJ, Montgomery J. Daniels and Worthingham's muscle testing: techniques of manual examination. 6th ed. WB Saunders;1995.
22. Donatelli R, Ellenbecker TS, Ekedahl SR, Wilkes JS, Kocher K, Adam J. 2000; Assessment of shoulder strength in professional baseball pitchers. J Orthop Sports Phys Ther. 30:544–51. DOI: 10.2519/jospt.2000.30.9.544. PMID: 10994864.
23. Phillips BA, Lo SK, Mastaglia FL. 2000; Muscle force measured using "break" testing with a hand-held myometer in normal subjects aged 20 to 69 years. Arch Phys Med Rehabil. 81:653–61. DOI: 10.1016/S0003-9993(00)90050-9. PMID: 10807107.
24. Lee ST, Moon J, Lee SH, et al. 2016; Changes in activation of serratus anterior, trapezius and latissimus dorsi with slouched posture. Ann Rehabil Med. 40:318–25. DOI: 10.5535/arm.2016.40.2.318. PMID: 27152283. PMCID: PMC4855127.
25. Viriyatharakij N, Chinkulprasert C, Rakthim N, Patumrat J, Ketruang B. 2017; Change of pectoralis minor length, and acromial distance, during scapular retraction at 60° shoulder elevation. J Bodyw Mov Ther. 21:53–7. DOI: 10.1016/j.jbmt.2016.04.015. PMID: 28167190.
26. Hürer C, Angın E, Tüzün EH. 2021; Effectiveness of clinical Pilates and home exercises in sagittal cervical disorientation: randomized controlled study. J Comp Eff Res. 10:365–80. DOI: 10.2217/cer-2020-0186. PMID: 33706543.
27. Dewan N, Raja K, Balthillaya Miyaru G, MacDermid JC. 2014; Effect of box taping as an adjunct to stretching-strengthening exercise program in correction of scapular alignment in people with forward shoulder posture: a randomised trial. Int Sch Res Not. 2014:510137. DOI: 10.1155/2014/510137.
28. Gaffney BM, Maluf KS, Curran-Everett D, Davidson BS. 2014; Associations between cervical and scapular posture and the spatial distribution of trapezius muscle activity. J Electromyogr Kinesiol. 24:542–9. DOI: 10.1016/j.jelekin.2014.04.008. PMID: 24875461. PMCID: PMC9717492.
29. Harms-Ringdahl K, Schüldt K. 1989; Maximum neck extension strength and relative neck muscular load in different cervical spine positions. Clin Biomech (Bristol). 4:17–24. DOI: 10.1016/0268-0033(89)90063-6.
30. Abdollahzade Z, Shadmehr A, Malmir K, Ghotbi N. 2017; Research paper: effects of 4 week postural corrective exercise on correcting forward head posture. J Mod Rehabil. 11:85–92.
31. Valizadeh A, Rajab R, Rezazadeh F, Mahmoudpour A, Aali S. 2014; Comparison of the forward head posture on scapular muscle contributions during shoulder flexion of predominant arm in women with forward head posture. Zahedan J Res Med Sci. 16:68–72.
32. Ludewig PM, Cook TM. 2000; Alterations in shoulder kinematics and associated muscle activity in people with symptoms of shoulder impingement. Phys Ther. 80:276–91. DOI: 10.1093/ptj/80.3.276.
33. Lukasiewicz AC, McClure P, Michener L, Pratt N, Sennett B. 1999; Comparison of 3-dimensional scapular position and orientation between subjects with and without shoulder impingement. J Orthop Sports Phys Ther. 29:574–86. DOI: 10.2519/jospt.1999.29.10.574. PMID: 10560066.
Fig. 2
Shoulder alignment: acromial depression (A), scapular lateral displacement (B) and acromial distance (C).
Fig. 3
Shoulder muscle strength: upper trapezius muscle (A), middle trapezius muscle (B), and lower trapezius muscle (C).
Table 1
Characteristics of participants (n=48)
| Variable | Control groupa | FHP groupb | RSP groupc | FHRSP groupd | F (p)/χ2 (p) | Post-hoc test |
|---|---|---|---|---|---|---|
| No. of participants | 12 | 12 | 12 | 12 | ||
| Age (yr) | 21.83±2.28 | 20.91±1.62 | 21.66±2.42 | 22.08±2.19 | 2.930 (0.403)† | - |
| Height (cm) | 171.83±4.44 | 176.66±6.85 | 176.33±4.67 | 172.72±5.04 | 2.866 (0.068) | - |
| Weight (cm) | 69.50±8.06 | 72.83±8.93 | 71.91±7.44 | 71.33±7.59 | 0.371 (0.776) | - |
| CVA (°) | 53.16±2.32 | 44.41±5.31 | 53.16±3.01 | 45.08±2.67 | 34.821 (0.001)*,† | b,d<a,c |
| FSA (°) | 58.16±5.13 | 57.25±4.30 | 43.33±5.26 | 41.25±8.24 | 26.087 (0.001)* | c,d<a,b |
| Smartphone usage time (min) | 231.66±94.37 | 208.33±81.10 | 197.91±92.08 | 255.00±113.17 | 1.847 (0.605)† | - |
| Computer usage time (min) | 107.50±152.68 | 39.16±37.76 | 67.91±85.58 | 106.25±98.09 | 5.772 (0.123)† | - |
| Neck pain (VAS) | 0.56±1.32 | 1.86±2.31 | 0.50±1.73 | 0.72±1.06 | 5.417 (0.144)† | - |
| Shoulder pain (VAS) | 0.40±1.35 | 0.81±1.91 | 1.48±2.40 | 0.29±0.73 | 1.517 (0.678)† | - |
| Neck disability index | 2.75±3.36 | 4.66±3.82 | 4.33±5.03 | 2.50±1.88 | 2.309 (0.511)† | - |
Table 2
Differences in shoulder alignment variables (n=48)
| Variable | Control group (n=12)a | FHP group (n=12)b | RSP group (n=12)c | FHRSP group (n=12)d | F (p)/χ2 (p) | Post-hoc test |
|---|---|---|---|---|---|---|
| Acromial depression (cm) | 6.17±1.49 | 7.20±1.02 | 5.60±1.26 | 5.26±1.75 | 4.343 (0.009)* | c,d<b |
| Scapular lateral displacement (cm) | 10.26±1.11 | 10.18±0.56 | 10.06±0.84 | 10.71±1.24 | 6.529 (0.089)† | |
| Acromial distance (cm) | 9.92±0.91 | 10.97±1.18 | 10.73±0.63 | 11.11±1.51 | 2.692 (0.054) | - |
Table 3
Differences in shoulder muscle and neck muscle strength variables (n=48)
| Variable | Control group (n=12)a | FHP group (n=12)b | RSP group (n=12)c | FHRSP group (n=12)d | F (p) | Post-hoc test |
|---|---|---|---|---|---|---|
| UT (N/BW) | 1.07±0.27 | 0.87±0.19 | 1.00±0.10 | 1.12±0.12 | 4.075 (0.012)* | b<d |
| MT (N/BW) | 0.21±0.04 | 0.17±0.04 | 0.20±0.04 | 0.19±0.03 | 2.544 (0.068) | - |
| LT (N/BW) | 0.20±0.04 | 0.15±0.03 | 0.15±0.04 | 0.16±0.02 | 4.740 (0.006)* | b,c<a |
| NF (N/BW) | 0.35±0.07 | 0.31±0.06 | 0.36±0.08 | 0.36±0.09 | 0.864 (0.467) | - |
| NE (N/BW) | 0.68±0.14 | 0.76±0.14 | 0.81±0.08 | 0.80±0.12 | 1.978 (0.131) | - |
Table 4
Differences in shoulder muscle strength ratio (n=48)
| Variable | Control group (n=12)a | FHP group (n=12)b | RSP group (n=12)c | FHRSP group (n=12)d | F (p)/χ2 (p) | Post-hoc test |
|---|---|---|---|---|---|---|
| MT:UT | 0.21±0.06 | 0.20±0.05 | 0.20±0.04 | 0.17±0.03 | 5.021 (0.170)† | - |
| LT:UT | 0.20±0.05 | 0.17±0.04 | 0.15±0.04 | 0.15±0.02 | 3.497 (0.023)* | d<a |



PDF
Citation
Print



XML Download