Abstract
Nerve growth factor (NGF) is a neurotrophic factor usually involved in the survival, differentiation, and growth of sensory neurons and nociceptive function. Yet, it has been suggested to play a role in the pathogenesis of osteoarthritis (OA). Previous studies suggested a possible relationship between NGF and OA; however, the underlying mechanisms remain unknown. Therefore, we investigated the impact of NGF in chondrogenesis using human induced pluripotent stem cells (hiPSCs)-derived chondrogenic pellets. To investigate how NGF affects the cartilage tissue, hiPSC-derived chondrogenic pellets were treated with NGF on day 3 of differentiation, expression of chondrogenic, hypertrophic, and fibrotic markers was confirmed. Also, inflammatory cytokine arrays were performed using the culture medium of the NGF treated chondrogenic pellets. As a result, NGF treatment decreased the expression of pro-chondrogenic markers by approximately 2∼4 times, and hypertrophic (pro-osteogenic) markers and fibrotic markers were increased by approximately 3-fold or more in the NGF-treated cartilaginous pellets. In addition, angiogenesis was upregulated by approximately 4-fold or more, bone formation by more than 2-fold, and matrix metalloproteinase induction by more than 2-fold. These inflammatory cytokine array were using the NGF-treated chondrogenic pellet cultured medium. Furthermore, it was confirmed by Western blot to be related to the induction of the glycogen synthase kinase-3 beta (GSK3β) pathway by NGF. In Conclusions, these findings provide valuable insights into the multifaceted role of NGF in cartilage hypertrophy and fibrosis, which might play a critical role in OA progression.
Cartilage can be roughly categorized into three types; hyaline cartilage, fibrotic cartilage and hypertrophic cartilage. Among them, articular cartilage is mainly known as hyaline cartilage, which is smooth and translucent cartilage composed of proteoglycan, Collagen Type II, and chondrocytes with in lacunae. The chondrocytes embedded in the dense extracellular matrix (ECM) is supplied with nutrients by tissue fluid without blood vessels or lymphatic vessels. Additionally, as it covers the surface of the bone, it absorbs external pressure or stimulation, allowing joint movement without pain and with less friction.
Osteoarthritis (OA) is a degenerative disease that commonly affects the cartilages of the hands, hips, and knee (1). It is characterized by pain, swelling, and loss of mobility due to mild inflammation, which reduces the patient’s quality of life (2). Cartilage damage in the joint can also induce bone spur, also known as osteophyte formation, which are bony growths affecting the subchondral bone remodeling in OA. Although OA is mostly treated using nonsteroidal anti-inflammatory drugs, no current treatment can stop osteophyte formation in OA joints and the exact mechanism underlying OA progression and osteophyte formation remain unknown (3).
Nerve growth factor (NGF) belongs to a family of neurotrophic factors and functions in sensory neuron growth, as well as in nociceptive function (4). NGF also function in cell survival, differentiation, and has been recently suggested as an important factor in OA that can induce inflammation-associated hyperalgesia and joint damage (5, 6). Inflamed tissues resulting from joint pain, increase the expression of NGF, which leads to increased pain sensation (7). NGF targeting drugs has been developed and Tanezumab, a monoclonal anti-NGF antibody that blocks NGF activity by selectively targeting the NGF receptors tropomyosin receptor kinase A (TrkA) and p75NTR was treated to OA patients (8). Tanezumab showed therapeutic effectiveness in reducing pain-related behaviors in OA antimal models (9). Nevertheless, side effects such as rapidly progressive OA and allodynia due to nerve damage have been reported in few patients (10).
OA pathogenesis was usually focused on low state inflammation and cartilage degeneration by generated defect or the increased production of matrix-degrading enzymes (11). However, the hypertrophic and fibrotic changes that occurs in the OA chondrocytes and cartilage are now suggested as one of the major hallmarks of OA, gaining more focus in research (12). When the cartilage tissue is injured or degenerated, cartilage changes toward fibrotic or hypertrophic chondrocytes. Cartilage hypertrophy can be characterized by the shift from hyaline-like Collagen Type II proteins to Collagen Type X and increased activity of degradative enzymes such as Matrix metalloproteinase 13 (MMP13). Also, markers that increase during bone formation such as RUNX2, osteocalcin, vascular endothelial growth factor A (VEGFA), as well as inflammatory cytokines are increased as well (13). On the other hand, fibrosis is evinced by the deposition of Collagen Type I and III. Recently, a study by Jiang et al. (14). confirmed the involvement of NGF signaling in in vitro calcification of human articular chondrocytes (hACs). Using a small peptide of NGF, increased mineralization and hypertrophic marker expression was confirmed in hACs, suggesting its role in early development of OA. However, the effect of NGF in chondrocytes, chondrogenesis, and OA pathogenesis still remains poorly understood.
In this study, we attempted to further investigate the effects of NGF on normal cartilage tissue using human induced pluripotent stem cell (hiPSC)-derived chondrogenic pellets. We first determined NGF expression in cartilage tissue from OA patients and in chondrogenic pellets derived from hiPSCs treated with NGF. Chondrogenic pellets were analyzed based on expression levels of pro-chondrogenic markers along with OA-specific markers, particularly hypertrophic and fibrosis markers. Through this study, we hope to contribute to confirming the effect of NGF on phenotypic changes in cartilage tissue.
hiPSCs used in this study were generated using umbilical cord blood mononuclear cells and cells were cultured as described previously (15, 16). Cells were maintained in Essential 8 medium (Thermo Fisher Scientific) on vitronectin-coated dishes (Thermo Fisher Scientific), and attached cells were maintained at 37℃ in 5% CO2.
This study was approved by the Institutional Review Board of the Catholic University of Korea (approval number: No. MC22SISI0085). written informed consents were obtained from all participants. Synovial fluid (SF) was obtained from the knee joints of patients with OA (n=3) by Seoul St. Mary’s Hospital and transferred to a 15 mL conical tube. The samples were centrifuged at 1,800 g for 10 minutes. The supernatant was collected, aliquoted, and stored at −80℃. After random selection, Chondrogenic pellets in the samples were treated with 5% SF in medium once on day 3 of differentiation (17).
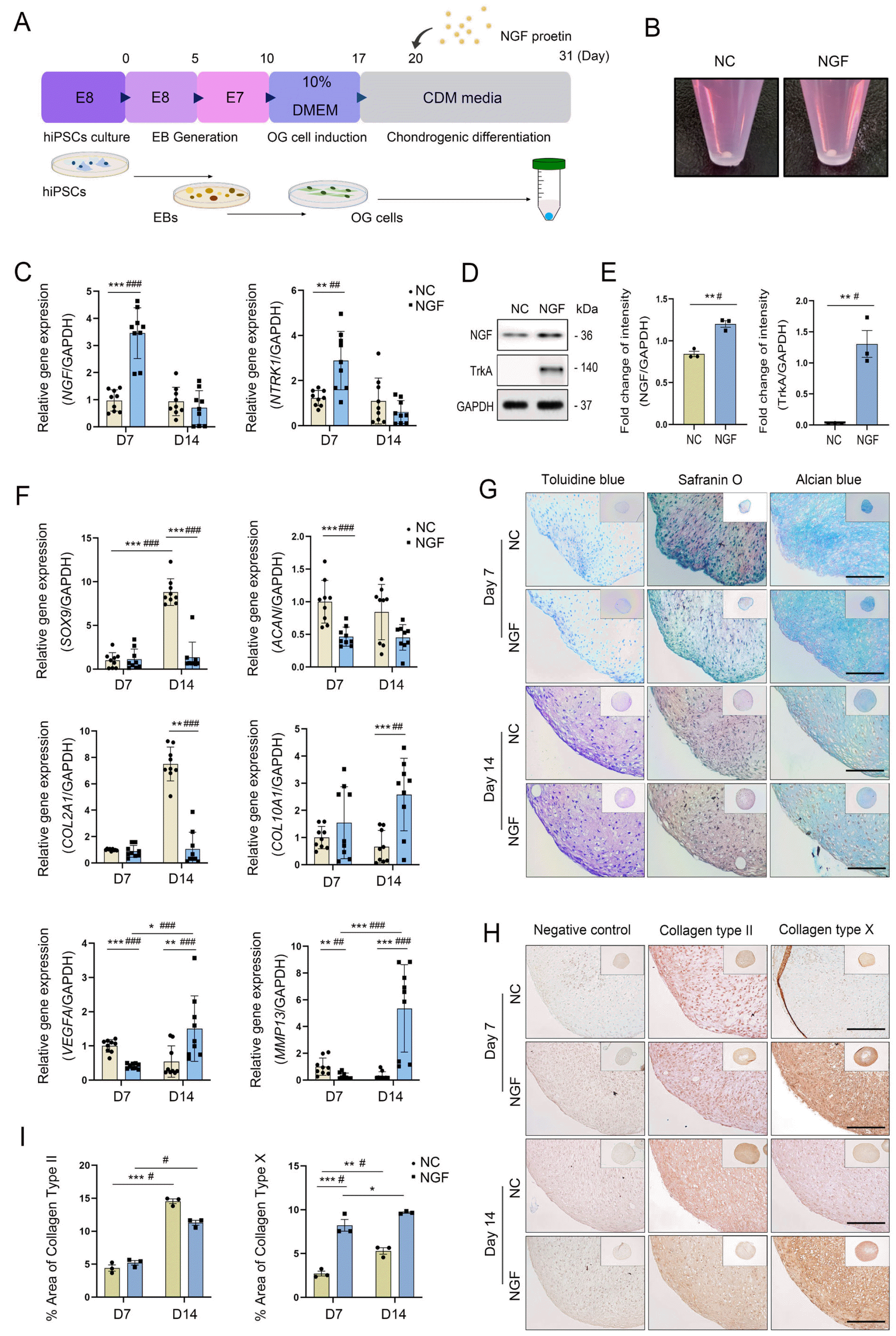
hiPSCs were expanded and 4.5×106 cells were seeded into Aggrewell plates (STEMCELL Technologies) and cultured in T75 cell culture flasks to generate embryoid bodies (EBs). EBs were harvested and placed in a 0.1% gelatin-coated dish to induce cell outgrowth. Next, 3×105 outgrowth cells (OGCs) were resuspended in chondrogenic differentiation medium (DMEM containing 20% knockout serum replacement, 1× non-essential amino acids, 1 mM L-glutamine, 1% sodium pyruvate, 1% insulin-transferrin-selenium+, 10−7 M dexamethasone, 50 mM ascorbic acid, and 40 μg/mL L-proline supplemented with 10 ng/mL recombinant human bone morphogenetic protein 2 and transforming growth factor beta-3 and transferred to a 15 mL conical tube. The cells were then centrifuged at 1,800 g for 5 minutes. The generated pellets were maintained for 14 days, and medium was replaced every other day (18). Recombinant human NGF protein (10 ng/mL; Abcam) (14, 19) was added to the differentiated chondrogenic pellets on day 3 and its expression level was analyzed on days 7 and 14 of differentiation.
Samples of total RNA were extracted using TRIzol reagent (Thermo Fisher Scientific). cDNA synthesis was performed using a RevertAid first strand cDNA synthesis kit (Thermo Fisher Scientific). Real-time polymerase chain reaction (RT-PCR) was performed using the StepOneTM Real-Time PCR System (Thermo Fisher Scientific). Gene expression was normalized to that of glyceraldehyde-3-phosphate dehydrogenase and relative gene expression was calculated using the 2−ΔΔCt method. The PCR primer sequences used are listed in Table 1.
Proteins were extracted from the chondrogenic pellets using radioimmunoprecipitation assay buffer (Sigma-Aldrich). Protein concentration was measured using the Bradford assay (Bio-Rad). Protein samples were loaded onto a 10% sodium dodecyl sulfate-polyacrylamide gel and transferred using nitrocellulose membrane (Cytiva). The membranes were blocked with 3% bovine serum albumin in Tris-buffered saline containing 0.1% TweenⓇ 20 detergent (TBST) for 1 hour. The primary antibodies used were: anti-NGF (1:1,000, ab52918; Abcam), anti-TrkA (1:1,000, 06-574; Sigma- Aldrich), anti-Collagen Type III (1:1,000, ab7778; Abcam),anti-Alpha-smooth muscle actin (4A4) (1:1,000, MA5-15871; Invitrogen), anti-ALP (1:1,000, ab67228; Abcam), anti-RUNX2 (1:1,000, ab23981; Abcam), anti-GSK3β (1:1,000, ab32391; Abcam), anti-phospho-GSK3β (Ser9) antibody (serine 9) (1:500, ab75814; Abcam) were incubated at 4℃ overnight. The membranes were washed with 0.1% TBST and incubated for 1 hour with horseradish peroxidase-conjugated secondary antibodies. After three washes with 0.1% TBST, proteins were detected using a Bio-Image Analysis System (Amersham Imager 600; Fuji Photo Film Co., Ltd.). The all images are shown in Supplementary Fig. S1 and band intensity was analyzed using ImageJ software (National Institutes of Health).
Three slides containing OA cartilage samples were provided by Dr. Chan Kwon Jung. All slide samples were deparaffinized using two cycles of xylene treatment and then rehydrated. Samples were stained with toluidine blue for 10 minutes using 0.05% toluidine staining reagent and then washed with tap water. Alcian blue staining was performed by incubating the slides in hematoxylin for 5 minutes, followed by washing with tap water for 5 minutes. The slides were then treated with 1% Alcian blue solution for 30 minutes and washed with tap water. The slides were incubated with nuclear fast red dye for 1 minute. Safranin O staining was performed by incubating the slides with 0.001% fast green solution (Sigma-Aldrich) for 5 minutes. After dipping in 1% acetic acid for 5 minutes, the slides were incubated with 0.1% Safranin O (Sigma-Aldrich) for 5 minutes. Finally, after all staining procedures were performed, the slides were dehydrated and samples were mounted. The stained slides were observed under a light microscope.
For immunohistological (IHC) staining, sample slides were heated at 60℃ in an oven for 10 minutes and deparaffinized using xylene following rehydration. Endogenous peroxidase activity was blocked via treatment with 3% hydrogen peroxide (Sigma-Aldrich) for 10 minutes. The slides were washed and blocked with 1× tris-buffered saline (TBS) containing 10% normal goat serum for 20 minutes at room temperature (RT). Primary antibodies were diluted in the blocking solution at the following ratios: NGF (1:250), TrkA (1:200), Collagen Type II (1:200, ab34712; Abcam), Collagen Type X (1:250, ab58632; Abcam), Osteocalcin (1:100, sc-30044; Santa Cruz Biotechnology), and Collagen Type I (1:400, ab138492; Abcam). The samples were incubated with the diluted primary antibodies at 4℃ overnight. The next day, the slides were washed in 1× TBS and incubated with a biotinylated secondary antibody for 40 minutes. The slides were washed and treated with avidin-biotin complex reagent (Vector Laboratories) for 30 minutes. The washed slides were subsequently incubated with DAB solution (Vector Laboratories) for 1 minute. Finally, the slides were counterstained with Mayer’s hematoxylin (Sigma-Aldrich) for 1 minute followed by dehydration and mounting.
For immunofluorescence staining, the slides were washed with 1× TBS and treated with Alexa Fluor-594 and -488-conjugated secondary antibodies diluted in blocking buffer after primary antibody treatment. Secondary antibodies were then incubated for 40 minutes at RT. The slides were stained with 4’,6-diamidino-2-phenylindole (10236276001; Roche) for 10 minutes. Subsequently, the slides were washed with 1× phosphate-buffered saline (PBS) and mounted using antifade. All immunostained samples were analyzed using bright-field or fluorescence microscopy.
The Human XL Cytokine Array Kit (ARY022B; R&D Systems) for cytokine analysis in culture medium was used according to the protocol. The experiment began with the membranes being blocked using blocking buffer for 1 hour at RT. and then incubated with cell culture supernatant overnight at 4℃. The next day, washed with the 1× wash buffer contained in the kit for 10 minutes. After, detection antibody cocktail diluted in 1x array buffer was added and incubated for 1 hour. Finally, 1× streptavidin-HRP was added to the wells and incubate for 30 minutes at RT. Images were detected by a bio-image analysis system (Amersham Imager 600).
Paraffin sections were deparaffinized. The slides were washed with 1× PBS. Alizarin Red S solution (#8678; ScienCell Research Laboratories) was added to the slides at RT for 30 minutes. The stained slides were then washed with distilled water. Calcium deposition on the samples was confirmed using light microscopy analysis.
Von Kossa staining was performed on paraffin slides. The slides were washed with tap water after deparaffinization and incubated with 5% silver nitrate solution under a UV lamp for 40 minutes. The slides were washed with tap water and then treated with 5% sodium thiosulfate for 20 minutes. Stained slides were viewed under a light microscope.
All experiments were performed identically in triplicate, and graphs of the experimental data were generated using GraphPad Prism 9 (GraphPad Software). To analyze non-parametric quantitative data sets, we used t-tests and calculated one-sided p-values. Values indicate significance using t-test analyzed (*p<0.05, **p<0.01, and ***p<0.001). Otherwise, the difference values between the two groups were analyzed to indicate significance using the Mann– Whitney U-test (#p<0.05, ##p<0.01, and ###p<0.001).
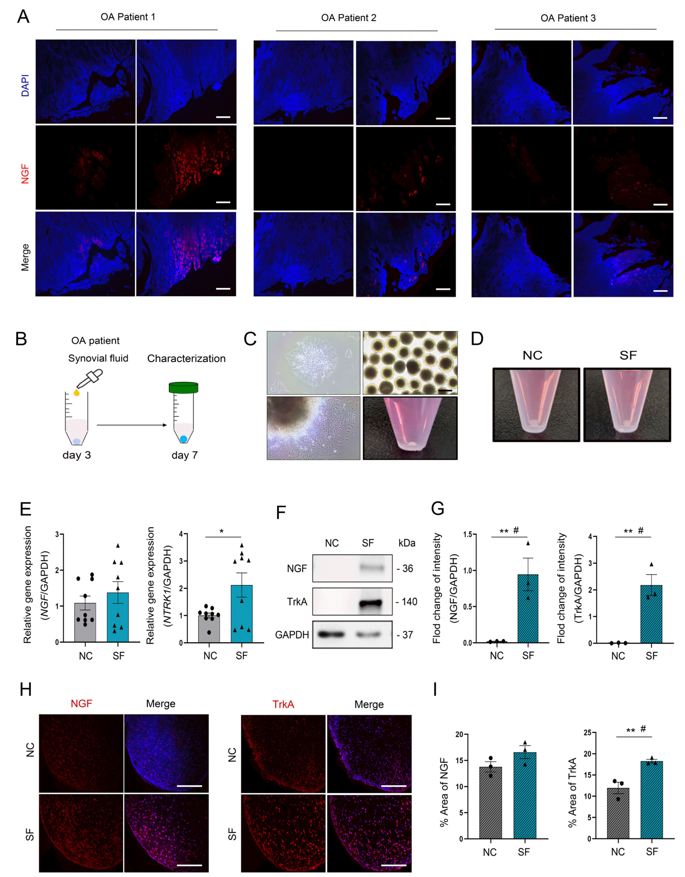
We first evaluated NGF expression in the OA articular cartilage tissue. NGF expression was the highest in the damaged regions, suggesting that NGF may be involved in OA progression (Fig. 1A). Next, we attempted to confirm if treating OA patient-derived SF can induce NGF expression in hiPSCs-derived chondrogenic pellets and mimic the OA microenvironment (Fig. 1B). OA-SF was treated once on day 3 differentiated chondrogenic pellets. OA-SF treatment did not induce any morphological changes in the EBs and mesenchymal-like OGCs while differentiating chondrogenic pellets (Fig. 1C). Also, we expected that the aggregates in SF-treated cartilaginous pellets would be larger, not perfectly spherical, and show morphological changes such as vacuoles, but we did not observe any specific morphological changes in pellet images after treating OA patient’s SF in the cartilaginous pellets compared to the normal control and SF-treated pellets. (Fig. 1D). The change in NGF and its receptor, NTRK1 gene expression was evaluated in the SF-treated pellets. NGF gene expression did show any difference, however, NTRK1 was significantly increased (p<0.001, t-test and Mann–Whitney U-test) on day 7 chondrogenic pellets treated with OA-SF (Fig. 1E). A similar trend was seen in protein expression of NGF and TrkA (Fig. 1F). Quantitative evaluation also showed that NGF and TrkA protein expression was significantly increased (p<0.001, t-test and Mann–Whitney U-test) in SF-treated pellets at day 7 (Fig. 1G). In addition, the expression of NGF and TrkA was confirmed through immunofluorescence staining of chondrogenic pellets (Fig. 1H). Quantitative evaluation showed that NGF showed similar expression levels in both groups, whereas TrkA expression was increased by OA-SF treatment (Fig. 1I). Taken together, we confirmed that NGF was induced in chondrogenic pellets treated with OA-SF. as well as its receptor TrkA.
We confirmed that OA-SF treatment induced NGF and TrkA expression in iPSC-derived chondrogenic pellets. To confirm the direct effect of NGF during in vitro chondrogenesis, we treated the cells with human recombinant NGF protein on day 3 of chondrogenic differentiation and analyzed the pellets on days 7 and 14 (Fig. 2A). There was no significant difference in pellet morphology or size between normal and NGF-treated pellets (Fig. 2B). Interestingly, NGF treatment temporarily increased the NGF gene expression on day 7, as well as NTRK1 (Fig. 2C). Protein expression of NGF and TrkA treatment increased NGF expression in the chondrogenic pellets on day 7 (Fig. 2D). Also, the expression of TrkA was simultaneously detected (Fig. 2E).
We confirmed the expression of pro-chondrogenic markers, including SOX9, ACAN, and COL2A1, as well as the expression of hypertrophic markers, COL10A1, VEGFA, and MMP13. The expression of SOX9, ACAN, and COL2A1 greatly decreased on day 14 in the NGF-treated pellets (Fig. 2F). However, the expression of hypertrophic markers appeared to increase in NGF-treated pellets on day 14. Additionally, Toluidine blue, Safranin O, and Alcian blue staining were further performed to confirm ECM accumulation in differentiated chondrogenic pellets. The morphology of the chondrogenic pellets and ECM accumulation levels did not show any significant difference between the two groups (Fig. 2G). Increased ECM accumulation was confirmed during chondrogenesis in both groups on day 14 of differentiation. The expression of the hyaline cartilage marker Collagen Type II and the hypertrophy marker Collagen Type X was confirmed in the chondrogenic pellets (Fig. 2H). Notably, Collagen Type II levels decreased in the NGF treatment group at both time points. In contrast, Collagen Type X expression was significantly higher in the NGF treatment group (Fig. 2H). Quantification of the Collagen Type II and type X positive area showed increased hypertrophic markers in pellets treated with NGF (Fig. 2I). To confirm, if there is any iPSC clone heterogeneity, we confirmed whether the changes induced by NGF in chondrogenic pellets were consistently observed in two additional hiPSC clones. As a result, chondrogenic markers tended to be decreased and hypertrophic markers increased in the NGF-treated group by IHC staining, and osteogenesis markers were increased used IFA staining (Supplementary Fig. S2). Given the heterogeneity of hiPSCs, hiPSC clones are receiving constant attention and should therefore always be analyzed together in future additional experiments (Supplementary Fig. S2). Collectively, we confirmed that NGF treatment during in vitro chondrogenesis can induce a hypertrophic cartilage-like conditions.
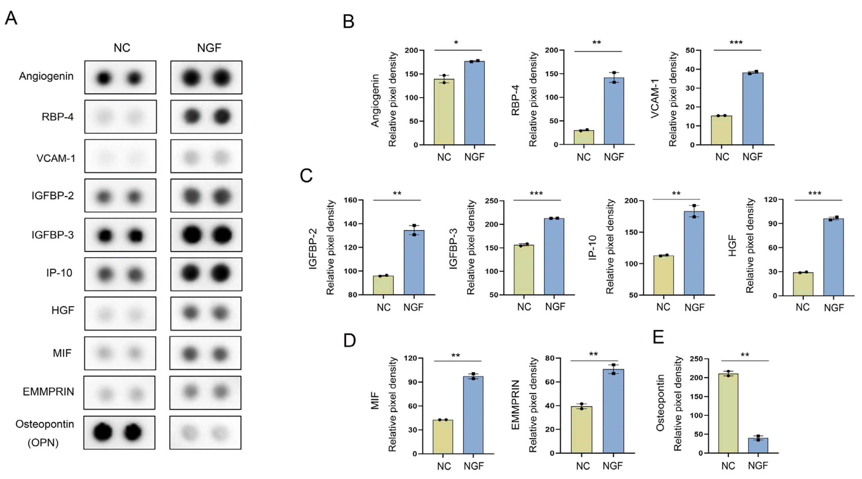
To confirm additional changes induced by NGF treatment, inflammatory cytokine expression was analyzed in the cultured media of chondrogenic pellets (Fig. 3A, Supplementary Fig. S3A). In the NGF-treated group, increased expression of angiogenesis related markers, angiogenin, RBP-4, and VCAM-1 was confirmed (Fig. 3B). RBP-4 was significantly increased by more than 5-fold and VCAM-1 (CD106) also increased by 4-fold relative to control. Increased levels of pro-osteogenic cytokines, IGFBP-2, IGFBP-3, IP-10, and HGF were confirmed (Fig. 3C). The levels of IGFBP-2, -3, and IP-10 (CXCL10) increased approximately 2-fold, and HGF was higher expressed more than 3-fold, showing a significant difference. Additionally, MIF and EMMPRIN are known to induce MMPs expression during inflammation. MIF and EMMPRIN (CD147) were found to increase approximately 2-fold in NGF-treated media (Fig. 3D). However, Osteopontin (OPN), which its role is controversial in chondrogenesis, increased noticeably in the normal group and decreased in the NGF-treated group (Fig. 3E). Other markers related to inflammation showed a slight change in expression (Supplementary Fig. S3A). Inflammatory markers such as chitinase 3-like 1, DPPIV (CD26), and MCP-1 (CCL2) showed a slight decrease in the NGF-treated group. Although some of the markers showed no significant difference, Cystatin C, Dkk-1, GDF-15, and Upar were increased, among which IL-17A increased approximately 3-fold (Supplementary Fig. S3B).
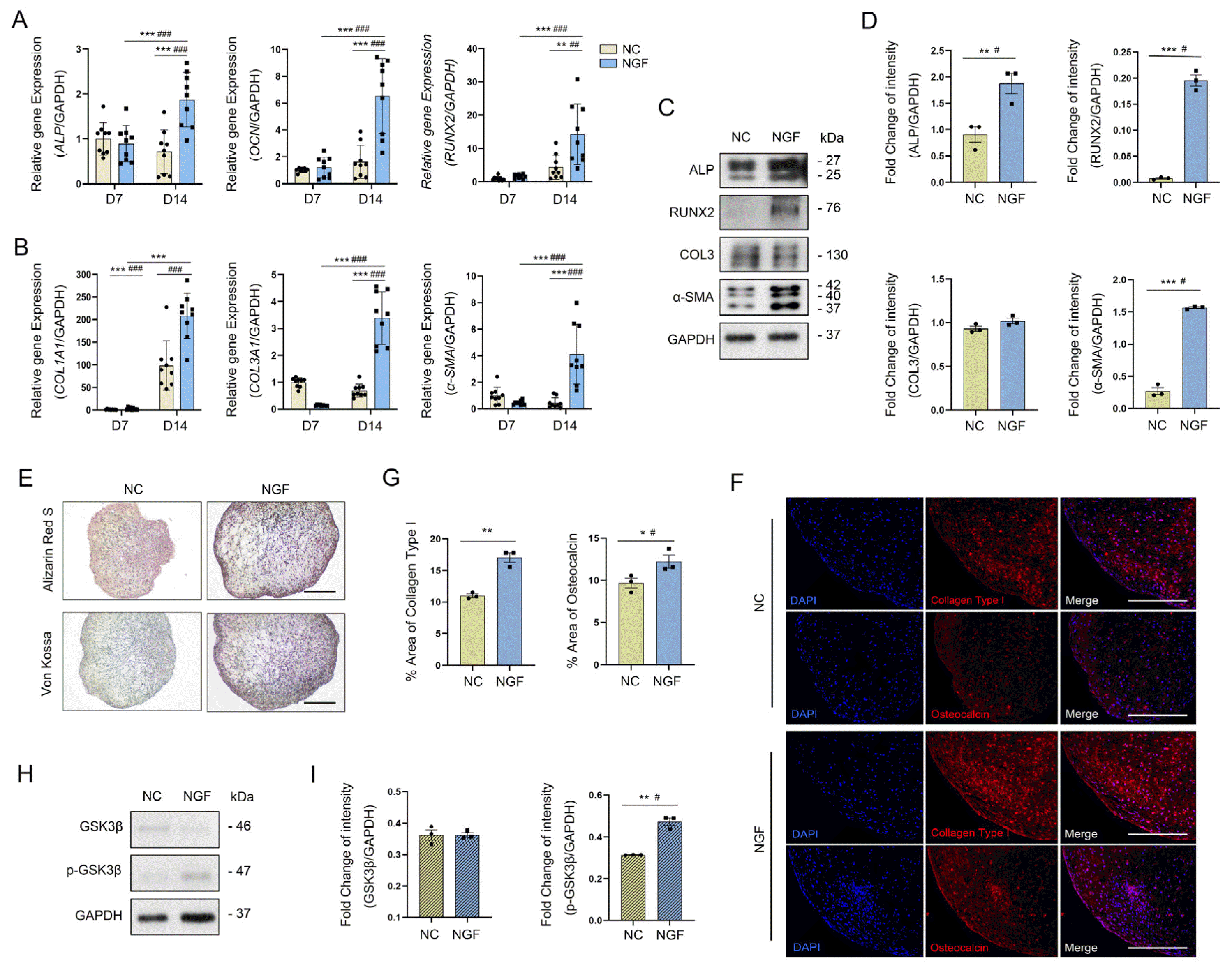
During OA progression, abnormal proliferative chondrocytes inevitably induce cartilage fibrosis and hypertrophy. We further determined whether osteogenic characteristics were induced in chondrogenic pellets treated with NGF. Interestingly, the gene level of osteogenic markers, including ALP, OCN, and RUNX2, was highly expressed in day 14 chondrogenic pellets treated with NGF (Fig. 4A). Likewise, the gene expression of fibrotic markers such as COL1A1, COL3A1, and α-SMA showed a similar tendency to that of the osteogenic markers (Fig. 4B). Increased protein levels of alkaline phosphatase (ALP) and RUNX2 were confirmed in day 7 NGF-treated pellets. Also the protein levels of Collagen Type III and α-SMA were also increased in day 7 chondrogenic pellets treated with NGF (Fig. 4C, 4D). Calcium deposition was confirmed via Alizarin Red S staining and Von Kossa staining and increased staining intensity was confirmed in both staining methods (Fig.s 4E). Further examination confirmed that NGF treated day 7 pellets had increased levels of Collagen Type I and osteocalcin were expressed in the NGF-treated pellets (Fig. 4F). When a quantitative evaluation was performed, it showed the same results (Fig. 4G). Increased canonical Wnt signaling expression inhibit chondrogenesis in both in vitro and in vivo, reducing Collagen Type II expression and activate RUNX2 expression, which leads to osteogenic stimulation. Additionally, the protein levels of glycogen synthase kinase-3 beta (GSK3β) and p-GSK3β were confirmed in the chondrogenic pellets (Fig. 4H). As a result, there was no significant difference in GSK3β between the two groups, but interestingly, p-GSK3β was highly expressed in the NGF-treated group (Fig. 4I). This may suggest that the Wnt signaling pathway may be involved in the fibrotic and hypertrophical changes induced by NGF treatment. Taken all together, we confirmed that NGF affect the expression of hypertrophic and fibrotic markers in the chondrogenic pellets and possibly through the Wnt signaling pathway.
OA is a degenerative disease that can affect any joint. It is characterized by mild inflammation and destruction of cartilage structures by osteophytes in which bone growth appears (20). This results in swelling, stiffness, pain, and loss of mobility. The use of tanezumab has received attention as a promising treatment for reducing pain in OA patients after blocking NGF; however, its use is currently being discontinued owing to various side effects (21). NGF is involved in nerve growth and survival, and reported to be associated with OA pain, however, the mechanisms underlying the effects of NGF on OA are yet to be elucidated (22).
To determine the effect of NGF on cartilage, we generated chondrogenic pellets from hiPSCs and treated them with human NGF protein. There were no significant changes in the size or shape of the pellets during chondrogenic differentiation with or without NGF treatment. Gene expression of chondrogenic markers SOX9, ACAN, and COL2A1, however, was decreased in the NGF-treated group and the expression of hypertrophic markers COL10A1, VEGFA, and MMP13 increased significantly, especially at day 14 of differentiation (Fig. 2F). Additionally, this was once again proven through histological analysis (Fig. 2G, 2H).
Based on the hypothesis that NGF levels are increased in OA joint cartilage, there may be also an imbalance between the pro-inflammatory cytokine components and expression levels (23). We performed an inflammatory cytokine array to determine which factors were altered by NGF treatment. Angiogenin, a key protein involved in angiogenesis, was increased in the NGF treatment group. BRP-4, a specific transporter of retinol (vitamin A) in the blood, showed high expression in the NGF-treated group, and is known to induce the expression of pro-inflammatory cytokines in macrophages involved in angiogenesis (24, 25) It has recently been reported to be present in the plasma and SF of OA patients. In addition, RBP-4 is known to induce VCAM-1 (CD106), a vascular cell adhesion molecule 1, and VCAM-1 (CD106) is expressed in large and small blood vessels after endothelial cells are stimulated by cytokines. These results suggest that increased levels of NGF induce angiogenin, RBP-4, and VCAM-1, which may be involve in angiogenesis in the OA cartilage (Fig. 3B). Next, it has been reported that IGFBP-2, -3 of insulin-like growth factor binding protein (IGFBP) increases in OA cartilage, inducing chondrocyte death and at the same time interfering with chondrocyte proliferation and proteoglycan secretion. This suggests that it may be an important factor in the development of OA (26). Also, IP-10 (CXCL10) involves in cartilage degeneration (27), and HGF is usually produced in subchondral bone osteoblasts and at a higher level in OA (28). The increase of these factors in the NGF treated chondrogenic pellet cultured media, suggest a possible role in chondrocyte hypertrophic and fibrotic changes. In addition, the release of pro-inflammatory cytokines such as MIF, which upregulates the expression of MMP13 (29) and EMMPRIM, also showed high expression (30). These results demonstrated that increased NGF might possibly induce increased levels of MMPs and inflammatory cytokine expression (Fig. 3C, 3D). Nevertheless, unlike previous results, OPN was decreased in the NGF-treated group and increased in the normal group (Fig. 3E). Recent studies have shown that it can be a promising therapeutic agent by promoting ECM synthesis in cartilage and up-regulation of CD44 and HA (31). Among the other cytokines that were altered by NGF treatment, IL-17A is usually expressed in synovial fibroblasts, macrophages, osteocytes, and osteocytes. It has been reported to promote bone formation by promote the production of inflammatory cytokines such as IL-6 and MMPs by interfering the ECM homeostasis that can lead to serious joint damage and pain (32). Taken all together, we suggest that increased NGF expression in the articular cartilage is related to all the hallmark symptoms of OA, which is (1) induced inflammation, (2) ECM degradation, (3) MMP induction, and (4) promoted angiogenesis. All these symptoms can possibly lead to pro-fibrotic and hypertrophic conditions in the articular cartilage.
The expression of GSK3β in the NGF treatment group was confirmed using Western blot (Fig. 4H). On day 7, the expression of phosphorylated GSK3β was increased in the NGF-treated group (Fig. 4I). The GSK3β signaling pathway consists of GSK3α/β and is known to affect a variety of cells (33) and involved in several signaling pathways (34). Especially, the Wnt signaling pathway is involved in diverse roles in cell survival, differentiation, and apoptosis (35). According to previous research, abnormal Wnt signaling pathway promotes osteogenic differentiation and causes fibrosis by inducing markers such as RUNX2 and Dkk-1 (36, 37). Interestingly, Wnt signaling may also be involved in vascular development and homeostasis. It was found that when an abnormal Wnt ligand binds to the receptor in endothelial cells, increased expression of VCAM-1 is upregulated, as confirmed in the cytokine analysis results (Fig. 3A) (38).
OA further induces ECM differentiation due to the imbalance of cartilage ECM degrading enzymes during the disease progression, and ECM degradation induces inflammation from the synovium, while simultaneously inducing the release of cytokines and chemokines that induce chondrocytes and cartilage destruction. This process promotes phenotypic transformation of chondrocytes and dedifferentiation into fibrotic chondrocytes (e.g., fibroblasts) by abnormal proliferation and secretion of ECM proteins such as Collagen Type I. In addition, osteoclasts in the subchondral bone are activated in response to inflammatory mediators, which increase bone resorption and bone formation of osteoclast-derived mediators that regulate sensory innervation and vascular invasion, and abnormal bone remodeling that induces subchondral osteosclerosis, which is a pathological process of OA. Recently, it has been reported that osteogenic conditions created by increased NGF levels in OA result in the formation of calcified cartilage (39, 40). We confirmed that calcification was initiated in the NGF-treated chondrogenic pellets using Alizarin Red S and Von Kossa staining. In addition, the analysis confirmed that osteogenic markers were expressed in NGF-treated pellets. These findings suggest that when NGF expression is increased in articular cartilage, an OA environment develops accompanied by an increase in fibrosis and hypertrophy rather than cartilage differentiation, resulting in osteogenic differentiation and chondrocalcinosis. This suggests that the progression of osteogenesis by NGF in chondrogenic pellets differentiated from hiPSCs may represent an important cause of osteophyte formation. limitations of the study, we only treated the chondrogenic pellets with NGF once on day 3. It was interesting to find that a single NGF treatment during chondrogenesis, can affect and alter the gene expression of pro-chondrogenic, fibrosis, hypertrophic markers, and MMPs on late stages of differentiation. However, continuous treatment for a longer period would be more interesting to confirm the role of NGF on OA progression and osteophyte formation. Previously, our laboratory successfully generated human iPSCs from fibroblast-like synoviocytes of patients with OA and confirmed the expression of OA-related markers by differentiating human iPSCs from patients with early-onset finger OA into chondrogenic pellets. However, we could not confirm whether there was a difference in NGF-induced hypertrophy and fibrosis after differentiation of normal and patient-derived hiPSCs into chondrocyte pellets. Therefore, additional studies are needed in the future, and we plan to further analyze its role in vivo by confirming the effect of NGF in an OA animal model.
Taken together, we found that NGF treatment in chondrogenic pellets decreased expression of pro-chondrogenic markers and increased expression of hypertrophic and fibrotic markers. Furthermore, activation of GSK3β by NGF treatment was confirmed through the results. This study suggests a possible role for NGF in OA progression through inflammation-induced cartilage fibrosis and hypertrophy.
Supplementary data including three figures can be found with this article online at https://doi.org/10.15283/ijsc24097
Acknowledgements
We thank Professor Chan Kwon Jung (Department of Pathology, Catholic University of Korea) for providing the OA cartilage sample slides for analysis.
Notes
Authors’ Contribution
Conceptualization: SIJ, JHJ. Data curation: SIJ, YAR, JHJ. Formal analysis: SIJ, SHC, YAR. Funding acquisition: YAR, JHJ. Investigation: SIJ, YAR, JWK. Methodology: SIJ, SHC, JL, JWK, YAR. Project administration: SIJ, YAR, JHJ. Resources: YAR, JHJ. Software: SIJ, SHC, JL. Supervision: YAR, JHJ. Validation: SIJ, SHC, YAR, JHJ. Visualization: SIJ, SHC, YAR. Writing – original draft: SIJ. Writing – review and editing: SIJ, SHC, JWK, JL, YAR, JHJ.
References
1. Rim YA, Nam Y, Ju JH. 2020; The role of chondrocyte hypertrophy and senescence in osteoarthritis initiation and progression. Int J Mol Sci. 21:2358. DOI: 10.3390/ijms21072358. PMID: 32235300. PMCID: PMC7177949.
2. O'Brien MS, McDougall JJ. 2019; Age and frailty as risk factors for the development of osteoarthritis. Mech Ageing Dev. 180:21–28. DOI: 10.1016/j.mad.2019.03.003. PMID: 30898635.
3. Jang S, Lee K, Ju JH. 2021; Recent updates of diagnosis, pathophysiology, and treatment on osteoarthritis of the knee. Int J Mol Sci. 22:2619. DOI: 10.3390/ijms22052619. PMID: 33807695. PMCID: PMC7961389.
4. Enomoto M, Mantyh PW, Murrell J, Innes JF, Lascelles BDX. 2019; Anti-nerve growth factor monoclonal antibodies for the control of pain in dogs and cats. Vet Rec. 184:23. DOI: 10.1136/vr.104590. PMID: 30368458. PMCID: PMC6326241.
5. Barker PA, Mantyh P, Arendt-Nielsen L, Viktrup L, Tive L. 2020; Nerve growth factor signaling and its contribution to pain. J Pain Res. 13:1223–1241. DOI: 10.2147/JPR.S247472. PMID: 32547184. PMCID: PMC7266393.
6. Eitner A, Hofmann GO, Schaible HG. 2017; Mechanisms of osteoarthritic pain. Studies in humans and experimental models. Front Mol Neurosci. 10:349. DOI: 10.3389/fnmol.2017.00349. PMID: 29163027. PMCID: PMC5675866.
7. Wild KD, Bian D, Zhu D, et al. 2007; Antibodies to nerve growth factor reverse established tactile allodynia in rodent models of neuropathic pain without tolerance. J Pharmacol Exp Ther. 322:282–287. DOI: 10.1124/jpet.106.116236. PMID: 17431136.
8. Neogi T, Hunter DJ, Churchill M, et al. 2022; Observed efficacy and clinically important improvements in participants with osteoarthritis treated with subcutaneous tanezumab: results from a 56-week randomized NSAID-controlled study. Arthritis Res Ther. 24:78. DOI: 10.1186/s13075-022-02759-0. PMID: 35351194. PMCID: PMC8966257.
9. Ugolini G, Marinelli S, Covaceuszach S, Cattaneo A, Pavone F. 2007; The function neutralizing anti-TrkA antibody MNAC13 reduces inflammatory and neuropathic pain. Proc Natl Acad Sci U S A. 104:2985–2990. DOI: 10.1073/pnas.0611253104. PMID: 17301229. PMCID: PMC1815293.
10. Berenbaum F, Blanco FJ, Guermazi A, et al. 2020; Subcutaneous tanezumab for osteoarthritis of the hip or knee: efficacy and safety results from a 24-week randomised phase III study with a 24-week follow-up period. Ann Rheum Dis. 79:800–810. DOI: 10.1136/annrheumdis-2019-216296. PMID: 32234715. PMCID: PMC7286052.
11. Robinson WH, Lepus CM, Wang Q, et al. 2016; Low-grade inflammation as a key mediator of the pathogenesis of osteoarthritis. Nat Rev Rheumatol. 12:580–592. DOI: 10.1038/nrrheum.2016.136. PMID: 27539668. PMCID: PMC5500215.
12. Chawla S, Mainardi A, Majumder N, et al. 2022; Chondrocyte hypertrophy in osteoarthritis: mechanistic studies and models for the identification of new therapeutic strategies. Cells. 11:4034. DOI: 10.3390/cells11244034. PMID: 36552796. PMCID: PMC9777397.
13. Dreier R. 2010; Hypertrophic differentiation of chondrocytes in osteoarthritis: the developmental aspect of degenerative joint disorders. Arthritis Res Ther. 12:216. DOI: 10.1186/ar3117. PMID: 20959023. PMCID: PMC2990991.
14. Jiang Y, Hu C, Yu S, et al. 2015; Cartilage stem/progenitor cells are activated in osteoarthritis via interleukin-1β/nerve growth factor signaling. Arthritis Res Ther. 17:327. DOI: 10.1186/s13075-015-0840-x. PMID: 26577823. PMCID: PMC4650403.
15. Park N, Rim YA, Jung H, Nam Y, Ju JH. 2022; Lupus heart disease modeling with combination of induced pluripotent stem cell-derived cardiomyocytes and lupus patient serum. Int J Stem Cells. 15:233–246. DOI: 10.15283/ijsc21158. PMID: 34966002. PMCID: PMC9396017.
16. Mo H, Kim J, Kim JY, et al. 2023; Intranasal administration of induced pluripotent stem cell-derived cortical neural stem cell-secretome as a treatment option for Alzheimer's disease. Transl Neurodegener. 12:50. DOI: 10.1186/s40035-023-00384-8. PMID: 37946307. PMCID: PMC10634159.
17. Sayegh S, El Atat O, Diallo K, et al. 2019; Rheumatoid synovial fluids regulate the immunomodulatory potential of adipose-derived mesenchymal stem cells through a TNF/NF-κB-dependent mechanism. Front Immunol. 10:1482. DOI: 10.3389/fimmu.2019.01482. PMID: 31316519. PMCID: PMC6611153.
18. Nam Y, Rim YA, Jung SM, Ju JH. 2017; Cord blood cell-derived iPSCs as a new candidate for chondrogenic differentiation and cartilage regeneration. Stem Cell Res Ther. 8:16. DOI: 10.1186/s13287-017-0477-6. PMID: 28129782. PMCID: PMC5273802.
19. Pecchi E, Priam S, Gosset M, et al. 2014; Induction of nerve growth factor expression and release by mechanical and inflammatory stimuli in chondrocytes: possible involvement in osteoarthritis pain. Arthritis Res Ther. 16:R16. DOI: 10.1186/ar4443. PMID: 24438745. PMCID: PMC3978639.
20. Martel-Pelletier J, Barr AJ, Cicuttini FM, et al. 2016; Osteoarthritis. Nat Rev Dis Primers. 2:16072. DOI: 10.1038/nrdp.2016.72. PMID: 27734845.
21. Berenbaum F, Langford R, Perrot S, et al. 2021; Subcutaneous tanezumab for osteoarthritis: is the early improvement in pain and function meaningful and sustained? Eur J Pain. 25:1525–1539. DOI: 10.1002/ejp.1764. PMID: 33728717. PMCID: PMC8360021.
22. Mapp PI, Walsh DA. 2012; Mechanisms and targets of angiogenesis and nerve growth in osteoarthritis. Nat Rev Rheumatol. 8:390–398. DOI: 10.1038/nrrheum.2012.80. PMID: 22641138.
23. Segarra-Queralt M, Neidlin M, Tio L, et al. 2022; Regulatory network-based model to simulate the biochemical regulation of chondrocytes in healthy and osteoarthritic environments. Sci Rep. 12:3856. DOI: 10.1038/s41598-022-07776-2. PMID: 35264634. PMCID: PMC8907219.
24. Han H, Kim Y, Mo H, et al. 2022; Preferential stimulation of melanocytes by M2 macrophages to produce melanin through vascular endothelial growth factor. Sci Rep. 12:6416. DOI: 10.1038/s41598-022-08163-7. PMID: 35440608. PMCID: PMC9019043.
25. Moraes-Vieira PM, Yore MM, Dwyer PM, Syed I, Aryal P, Kahn BB. 2014; RBP4 activates antigen-presenting cells, leading to adipose tissue inflammation and systemic insulin resistance. Cell Metab. 19:512–526. DOI: 10.1016/j.cmet.2014.01.018. PMID: 24606904. PMCID: PMC4078000.
26. Wei Z, Li HH. 2015; IGFBP-3 may trigger osteoarthritis by inducing apoptosis of chondrocytes through Nur77 translocation. Int J Clin Exp Pathol. 8:15599–610.
27. Furman BD, Kent CL, Huebner JL, et al. 2018; CXCL10 is upregulated in synovium and cartilage following articular fracture. J Orthop Res. 36:1220–1227. DOI: 10.1002/jor.23735. PMID: 28906016. PMCID: PMC5851826.
28. Abed E, Bouvard B, Martineau X, Jouzeau JY, Reboul P, Lajeunesse D. 2015; Elevated hepatocyte growth factor levels in osteoarthritis osteoblasts contribute to their altered response to bone morphogenetic protein-2 and reduced mineralization capacity. Bone. 75:111–119. DOI: 10.1016/j.bone.2015.02.001. PMID: 25667190.
29. Liu M, Hu C. 2012; Association of MIF in serum and synovial fluid with severity of knee osteoarthritis. Clin Biochem. 45:737–739. DOI: 10.1016/j.clinbiochem.2012.03.012. PMID: 22449335.
30. Tomita T, Nakase T, Kaneko M, et al. 2002; Expression of extracellular matrix metalloproteinase inducer and enhancement of the production of matrix metalloproteinases in rheumatoid arthritis. Arthritis Rheum. 46:373–378. DOI: 10.1002/art.10050. PMID: 11840439.
31. Luo W, Lin Z, Yuan Y, Wu Z, Zhong W, Liu Q. 2022; Osteopontin (OPN) alleviates the progression of osteoarthritis by promoting the anabolism of chondrocytes. Genes Dis. 10:1714–1725. DOI: 10.1016/j.gendis.2022.08.010. PMID: 37397527. PMCID: PMC10311054.
32. Mimpen JY, Baldwin MJ, Cribbs AP, et al. 2021; Interleukin-17A causes osteoarthritis-like transcriptional changes in human osteoarthritis-derived chondrocytes and synovial fibroblasts in vitro. Front Immunol. 12:676173. DOI: 10.3389/fimmu.2021.676173. PMID: 34054865. PMCID: PMC8153485.
33. Choi SH, Lee K, Han H, et al. 2023; Prochondrogenic effect of decellularized extracellular matrix secreted from human induced pluripotent stem cell-derived chondrocytes. Acta Biomater. 167:234–248. DOI: 10.1016/j.actbio.2023.05.052. PMID: 37295627.
34. Guidotti S, Minguzzi M, Platano D, et al. 2017; Glycogen synthase kinase-3β inhibition links mitochondrial dysfunction, extracellular matrix remodelling and terminal differentiation in chondrocytes. Sci Rep. 7:12059. DOI: 10.1038/s41598-017-12129-5. PMID: 28935982. PMCID: PMC5608843.
35. Wang X, Cornelis FMF, Lories RJ, Monteagudo S. 2019; Exostosin-1 enhances canonical Wnt signaling activity during chondrogenic differentiation. Osteoarthritis Cartilage. 27:1702–1710. DOI: 10.1016/j.joca.2019.07.007. PMID: 31330188.
36. Boland GM, Perkins G, Hall DJ, Tuan RS. 2004; Wnt 3a promotes proliferation and suppresses osteogenic differentiation of adult human mesenchymal stem cells. J Cell Biochem. 93:1210–1230. DOI: 10.1002/jcb.20284. PMID: 15486964.
37. Choi SH, Kim H, Lee HG, et al. 2017; Dickkopf-1 induces angiogenesis via VEGF receptor 2 regulation independent of the Wnt signaling pathway. Oncotarget. 8:58974–58984. DOI: 10.18632/oncotarget.19769. PMID: 28938611. PMCID: PMC5601707.
38. Akoumianakis I, Polkinghorne M, Antoniades C. 2022; Non-canonical WNT signalling in cardiovascular disease: mechanisms and therapeutic implications. Nat Rev Cardiol. 19:783–797. DOI: 10.1038/s41569-022-00718-5. PMID: 35697779. PMCID: PMC9191761.
39. Liu Z, Suh JS, Deng P, et al. 2022; Epigenetic regulation of NGF-mediated osteogenic differentiation in human dental mesenchymal stem cells. Stem Cells. 40:818–830. DOI: 10.1093/stmcls/sxac042. PMID: 35728620. PMCID: PMC9512103.
40. Lee J, Jung H, Park N, Park SH, Ju JH. 2019; Induced osteogenesis in plants decellularized scaffolds. Sci Rep. 9:20194. DOI: 10.1038/s41598-019-56651-0. PMID: 31882858. PMCID: PMC6934596.
Fig. 1
Nerve growth factor (NGF) expression in osteoarthritis (OA) cartilage tissues and chondrogenic pellets treated with synovial fluid (SF) of OA patients. (A) Immunofluorescence staining was performed to determine NGF expression in the cartilage tissues of patients (n=3). It was confirmed that the damaged area is different in the same patient's articular cartilage tissue, and the less damaged area is shown in the left panel, and the severely damaged area is shown in the lower panel. Scale bar=40 μm. (B) Schematic of treatment of chondrogenic pellets with human SF (n=3). (C) Morphology of induced pluripotent stem cells (iPSCs), embryoid bodies (EBs), outgrowth cells (OGCs), and chondrogenic pellets during differentiation. Scale bar=100 μm. Images of EBs and OGCs are shown at 100 μm magnification. (D) Images of normal and OA-SF-treated pellets. (E) Relative gene expression of NGF and NTRK1 in normal group and SF-treated pellets. (F) Protein levels of NGF and TrkA confirmed through western blot analysis using pellet extracts. (G) Quantitative analysis of band intensity using western blotting. (H) NGF and TrkA expression determined via immunofluorescence (IFA) staining in OA-SF-treated pellets on days 7. (I) Quantitative measurements of IFA staining area by ImageJ software (National Institutes of Health). Scale bar=200 μm magnification. Expression of proteins was normalized to that of GAPDH. Statistical analysis was performed using the t-test (*p<0.05, **p<0.01) and Mann–Whitney U-test (#p<0.05). Data are represented as mean±SEM. NC: normal control.
Fig. 2
Characterization of nerve growth factor (NGF)-treated chondrogenic pellets at day 7 and 14. (A) Scheme of chondrogenic differentiation with NGF treatment. (B) Pellets morphology of normal control (NC) and NGF treated group. (C) Relative mRNA levels of NGF and NTRK1 in pellets. (D, E) Western blot image and quantitative evaluation of NGF and TrkA in normal and NGF-treated pellets. (F) Relative gene expression of chondrogenic markers SOX9, ACAN, and COL2A1 on days 7 and 14 along with COL10A1, VEGFA, and MMP13 as hypertrophic markers. Statistical analysis using t-test (*p<0.05, **p<0.01, ***p<0.001) and Mann–Whitney U-test (#p<0.05, ##p<0.01, ###p<0.001) are represented as mean±SEM. Gene expression was normalized to that of GAPDH. (G) Pellet images after Toluidine blue staining, Safranin O staining and Alcian blue staining. (H, I) Pellets images after immunohistological staining of Collagen Type II and Collagen Type X. Scale bar=200 μm magnification. hiPSCs: human induced pluripotent stem cells, EB: embryoid body, OG: outgrowth.
Fig. 3
Inflammatory cytokine expression in nerve growth factor (NGF)-treated chondrogenic pellet culture medium. (A) Cytokine array results showing the most altered expression of markers related to (B) angiogenesis (angiogenin, RBP-4, VCAM-1), (C) osteogenesis (IGFBP-2, IGFBP-3, IP-10, HGF), (D) MMP induction (MIF, EMMRPIN), and (E) Osteopontin (OPN), which has showed a highly significant reduction. NC: normal control. *p<0.05, **p<0.01, ***p<0.001.
Fig. 4
Induction of cartilage hypertrophy and fibrosis by nerve growth factor (NGF) treatment in chondrogenic pellets. (A) Relative gene expression of hypertrophy markers, ALP, OCN, and RUNX2. (B) Relative gene expression of fibrosis markers, COL1A1, COL3A1, and α-SMA. (C) The protein expression levels of alkaline phosphatase (ALP), RUNX2, Collagen Type III (COL3), and α-SMA. (D) Quantitative evaluation of Western blot. (E) Alizarin red S and Von Kossa staining images of normal control (NC) and NGF-treated pellets. Scale bar=100 μm magnification. (F) Protein expression of fibrotic marker Collagen Type I and hypertrophic marker osteocalcin in NGF-treated pellets on day 14 and (G) quantitative evaluation. Image scale bar=200 μm magnification. Statistical significance is shown as t-test (*p<0.05, **p<0.01, ***p<0.001) and Mann–Whitney U-test (#p<0.05, ##p<0.01, ###p<0.001). (H) Western blot image of GSK3β and p-GSK3β. (I) Quantitative analysis of the western blot image of GSK3β and p-GSK3β.
Table 1
Primer sequences for polymerase chain reaction



PDF
Citation
Print



XML Download