Abstract
Solid pseudopapillary neoplasms (SPNs) are uncommon pancreatic tumors that primarily affect young females. We report a case of a 24-year-old female diagnosed with SPN and liver metastasis during a routine examination. Imaging revealed an 8-cm pancreatic mass with multiple liver metastases. Histopathology confirmed SPN. Subsequent next-generation sequencing revealed a CTNNB1 mutation. The patient underwent a total pancreatectomy with splenectomy, right hemihepatectomy, and intraoperative radiofrequency ablation. Two years after the surgery, she remained complication-free. She is under regular surveillance. This case underscores the importance of early detection and comprehensive management of SPN.
Solid pseudopapillary neoplasms (SPNs) are rare pancreatic tumors predominantly found in young females, especially in their mid-20s. SPNs account for approximately 80% to 90% of cases in females [1]. These tumors often present with vague symptoms such as mild abdominal pain, bloating, or tenderness. The most common presentation is an asymptomatic upper abdominal mass. Rarely, patients may experience hemoperitoneum or jaundice due to tumor rupture. Like other cystic tumors of the pancreas, SPNs are frequently discovered incidentally during health check-ups or surgical procedures. They are often relatively large compared to other tumors, averaging approximately 8 to 10 cm in size. Typically located in the body or tail of the pancreas, SPN consists of solid components mixed with cysts resulting from internal bleeding. It often shows calcification [2,3]. While its exact etiology remains unknown, lesions such as nonepidermal ulcer infections or mycosis fungoides might be involved in the development of the tumor. Some studies have suggested a potential hormonal influence, given its female predominance. There are cases in which malignant SPNs have been treated with endocrine therapy [4].
Most SPNs are benign or of low malignant potential. However, approximately 10% of SPN cases have been reported to exhibit invasion or distant metastasis during follow-up [3,5]. Distinguishing between benign and malignant SPN based on microscopic features alone can be challenging. While the presence of vascular or perineural invasion and nuclear atypia can suggest malignancy, most diagnoses rely on clinical features [6]. Surgical resection is the primary treatment once an SPN is diagnosed, with a generally favorable prognosis after surgery [1]. However, some cases may still present with multiple metastases despite initial treatment. This report presents a case of a young female with a large SPN discovered incidentally during a routine medical examination, revealing extensive liver metastasis.
A 24-year-old female with no significant medical history presented with an abdominal mass detected by ultrasonography during a routine health examination. Subsequent magnetic resonance imaging and computed tomography (CT) revealed an 8 cm mass located at the head of the pancreas accompanied by multiple liver metastases. A liver needle biopsy and a histopathological examination identified an SPN. Following a comprehensive assessment at the initial hospital, the patient was referred to a tertiary hospital for surgical interventions.
On clinical evaluation, the patient denied experiencing abdominal pain, weight loss, diarrhea, or jaundice. Physical examination did not reveal any significant findings such as tenderness, rebound tenderness, or a palpable abdominal mass. Routine blood test results and serum biochemical analyses were within normal limits. Tumor markers included carbohydrate antigen 19-9 at 30.8 U/mL (reference range, 0.0–37.0 U/mL) and carcinoembryonic antigen at 1.2 ng/mL (reference range, 0.0–5.0 ng/mL).
Abdominal CT revealed a mass in the head and neck region of the pancreas, suggesting a direct invasion of the SPN into the superior mesenteric and proximal main portal veins (Fig. 1). Abdominal magnetic resonance imaging revealed a 9 cm lobulated, enhanced, soft tissue mass with significant internal hemorrhagic necrosis in the head and neck of the pancreas along with multiple liver metastatic lesions, the largest being 7 cm, dispersed in segment 4 and the right hepatic lobe (Fig. 2).
During the surgical procedure, a sizable mass was identified in the head and neck regions of the pancreas under general anesthesia. Total pancreatectomy with splenectomy and right hemihepatectomy was performed. An intraoperative radiofrequency ablation of segment 4 was also performed. The surgery lasted for 10 hours and 46 minutes, with an estimated blood loss of 2,300 mL.
Postoperative histopathological evaluation confirmed the diagnosis of SPN (Fig. 3). Total pancreatectomy, duodenectomy, cholecystectomy, and splenectomy were performed. The main finding was the presence of a well-demarcated, encapsulated, multilobulated, friable mass measuring 10.0 cm × 7.5 cm × 5.5 cm in the pancreatic head. The mass suggested a SPN. The tumor extended into the peripancreatic soft tissue, duodenum, and portal veins. Lymphovascular invasion was present. However, no perineural invasion was observed. Resected margins of the duodenum, common bile duct, retroperitoneum, portal vein, and circumferential margins were free of the tumor. Lymph nodes were also free from tumor involvement. Chronic pancreatitis with parenchymal atrophy and fibrosis were associated findings. Immunohistochemical staining showed nuclear expression of β-catenin and positive staining for the progesterone receptor in tumor cells, with a Ki67 labeling index < 1%.
Right hepatectomy revealed a metastatic SPN of the pancreas. Multiple, well-defined, multilobulated, and friable masses were identified in various liver segments, with the largest measuring 7.5 cm × 4.5 cm × 4.0 cm. All lesions were tumor-free at resection margins except for one lesion in segment 6 that abutted the resection margin. Multiple portal vein thrombi were observed. Immunohistochemical staining was consistent with pancreatic tumor findings, showing nuclear expression of β-catenin and positive staining for the progesterone receptor in tumor cells, with a Ki67 labeling index < 1%.
Postoperatively, the patient experienced moderate ascites, as evident on follow-up CT, and systemic edema. Both conditions were effectively managed using diuretics. The patient commenced oral intake on the second postoperative day. Sutures were removed on postoperative day 10. Antibiotics were continued until day 8. No blood transfusions were required. The patient was discharged in a stable condition. Two years postoperatively, the patient continues to show no signs of complications, recurrence, or metastasis. She remains asymptomatic. The patient is under periodic surveillance in both surgery and endocrinology departments.
SPN of the pancreas has historically been considered a rare disease. However, a significant increase has been noted in both reported and research cases over the past few decades. This increase can be attributed to advancements in imaging techniques, early detection capabilities provided by modern technology, and heightened awareness among clinicians [7,8]. As a result, there is a surge of research focusing on the prevalence, genetic associations, malignancy risk factors, and recurrence risk factors of SPN [9,10].
Unlike other pancreatic cystic lesions such as serous cystic neoplasms or intraductal papillary mucinous neoplasms, SPNs typically exhibit a low degree of malignancy [3,6]. They are characterized by minimal local infiltration and favorable outcomes after surgical resections [3]. However, certain features may indicate a higher risk of aggressive behavior and metastasis in SPN [11]. These factors include male sex, tumor size, location, R1 resection margin, lymphovascular invasion, capsule invasion, and positive lymph nodes. In this case, the metastatic spread could be attributed to the presence of lymphovascular invasion and extension of the tumor to the peripancreatic soft tissue, duodenum, and portal vein. These factors may facilitate dissemination of tumor cells into the liver. Additionally, multiple portal vein thrombi might have provided a conduit for metastatic spread, explaining the involvement of the liver.
SPN can metastasize to various organs [12,13], among which liver metastasis is most likely. There have been case reports of massive or difficult-to-treat liver metastasis [7,14,15]. However, clear treatment guidelines need to be established. Studies have reported treatments of liver metastases using chemotherapy, transcatheter arterial chemoembolization, radiofrequency ablation, and liver transplantation in cases where resection is not possible [7,15,16]. In this case, we decided to perform a right hemihepatectomy to address extensive multiple liver metastases and intraoperative radiofrequency ablation for the residual lesion in segment 4. Intraoperative radiofrequency ablation was performed successfully without complications. Two years of outpatient follow-up did not detect any recurrent lesions in the left lobe. These findings suggest that intraoperative radiotherapy is a viable approach for treating liver metastases in cases of SPN.
SPNs are notably characterized by somatic mutations in the CTNNB1 gene, specifically in exon 3. These mutations lead to hotspot alterations that can stabilize the β-catenin protein and result in abnormal accumulation and nuclear localization [17]. The nuclear β-catenin is a critical factor in the WNT signaling pathway, which regulates developmental processes and stem cell behavior under normal conditions. However, disruption of this pathway contributes to uncontrolled cell proliferation and tumorigenesis [18]. In SPN, CTNNB1 mutations cause constitutive activation of the WNT pathway. This activation increases the transcription of downstream target genes such as LEF1 and AXIN2 known to promote cell growth and survival. CTNNB1 mutations play a significant role in SPNs because they drive the pathogenesis of tumors by aberrantly activating the WNT signaling pathway. Reinforcing this perspective, Selenica et al. [17] have further confirmed that SPNs possess simple genomes that are uniformly driven by specific CTNNB1 exon 3 mutations, consistently activating WNT signaling. Their findings underscore the potential of future therapeutic strategies that can directly target β-catenin, offering promising avenues for treating this disease.
In conclusion, this patient underwent extensive surgical procedures, including total pancreatectomy, right hepatectomy, and splenectomy for SPN, followed by intraoperative radiofrequency ablation for residual lesions. No recurrence was observed during the follow-up period. Future medications directly targeting β-catenin could also offer potential therapeutic benefits for this condition.
ACKNOWLEDGEMENTS
I would like to express my gratitude and condolences to late Professor Myung Sik Lee for his invaluable guidance and support in the preparation of this manuscript.
References
1. Butte JM, Brennan MF, Gönen M, Tang LH, D'Angelica MI, Fong Y, et al. 2011; Solid pseudopapillary tumors of the pancreas. Clinical features, surgical outcomes, and long-term survival in 45 consecutive patients from a single center. J Gastrointest Surg. 15:350–357. DOI: 10.1007/s11605-010-1337-1. PMID: 20824369.

2. Goh BK, Tan YM, Cheow PC, Chung AY, Chow PK, Wong WK, et al. 2007; Solid pseudopapillary neoplasms of the pancreas: an updated experience. J Surg Oncol. 95:640–644. DOI: 10.1002/jso.20735. PMID: 17477365.

3. Reddy S, Cameron JL, Scudiere J, Hruban RH, Fishman EK, Ahuja N, et al. 2009; Surgical management of solid-pseudopapillary neoplasms of the pancreas (Franz or Hamoudi tumors): a large single-institutional series. J Am Coll Surg. 208:950–957. discussion 957–959. DOI: 10.1016/j.jamcollsurg.2009.01.044. PMID: 19476869. PMCID: PMC3109868.

4. Kornietskaya A, Evdokimova S, Kachmazov A, Fedenko A, Bolotina L, Sidorov D, et al. 2022; Endocrine therapy for metastatic solid pseudopapillary neoplasm of the pancreas: a case report. Front Oncol. 12:970142. DOI: 10.3389/fonc.2022.970142. PMID: 36176411. PMCID: PMC9514425.

5. Stark A, Donahue TR, Reber HA, Hines OJ. 2016; Pancreatic cyst disease: a review. JAMA. 315:1882–1893. DOI: 10.1001/jama.2016.4690. PMID: 27139061.
6. Kim MJ, Choi DW, Choi SH, Heo JS, Sung JY. 2014; Surgical treatment of solid pseudopapillary neoplasms of the pancreas and risk factors for malignancy. Br J Surg. 101:1266–1271. DOI: 10.1002/bjs.9577. PMID: 25052300.

7. Lord J, Baralle D. 2021; Splicing in the diagnosis of rare disease: advances and challenges. Front Genet. 12:689892. DOI: 10.3389/fgene.2021.689892. PMID: 34276790. PMCID: PMC8280750.

8. Law JK, Ahmed A, Singh VK, Akshintala VS, Olson MT, Raman SP, et al. 2014; A systematic review of solid-pseudopapillary neoplasms: are these rare lesions? Pancreas. 43:331–337. DOI: 10.1097/MPA.0000000000000061. PMID: 24622060. PMCID: PMC4888067.
9. Gao H, Gao Y, Yin L, Wang G, Wei J, Jiang K, et al. 2018; Risk factors of the recurrences of pancreatic solid pseudopapillary tumors: a systematic review and meta-analysis. J Cancer. 9:1905–1914. DOI: 10.7150/jca.24491. PMID: 29896274. PMCID: PMC5995943.

10. Kang CM, Choi SH, Kim SC, Lee WJ, Choi DW, Kim SW. Korean Pancreatic Surgery Club. 2014; Predicting recurrence of pancreatic solid pseudopapillary tumors after surgical resection: a multicenter analysis in Korea. Ann Surg. 260:348–355. DOI: 10.1097/SLA.0000000000000583. PMID: 24743622.

11. Yepuri N, Naous R, Meier AH, Cooney RN, Kittur D, Are C, et al. 2020; A systematic review and meta-analysis of predictors of recurrence in patients with solid pseudopapillary tumors of the pancreas. HPB (Oxford). 22:12–19. DOI: 10.1016/j.hpb.2019.06.005. PMID: 31350105.

12. Lee HS, Kim HK, Shin BK, Choi JH, Choi YJ, Kim HY. 2017; A rare case of recurrent metastatic solid pseudopapillary neoplasm of the pancreas. J Pathol Transl Med. 51:87–91. DOI: 10.4132/jptm.2016.06.16. PMID: 27498546. PMCID: PMC5267534.

13. Papavramidis T, Papavramidis S. 2005; Solid pseudopapillary tumors of the pancreas: review of 718 patients reported in English literature. J Am Coll Surg. 200:965–972. DOI: 10.1016/j.jamcollsurg.2005.02.011. PMID: 15922212.

14. Ranaweera K, Nandasena M, de Silva U, Jayarajah U, Delwatta S, de Silva C, et al. 2022; Solid pseudopapillary neoplasm of the pancreas with multiple liver metastases successfully managed with staged resection. SAGE Open Med Case Rep. 10:2050313X221101995. DOI: 10.1177/2050313X221101995. PMID: 35646369. PMCID: PMC9136567.

15. Reddy SHS, Zen Y, Aluvihare V, Menon KV. 2022; Liver transplantation for metastases from solid pseudopapillary tumor of the pancreas: a case report and review of literature. Transplant Direct. 8:e1328. DOI: 10.1097/TXD.0000000000001328. PMID: 35620735. PMCID: PMC9128794.

16. Maffuz A, Bustamante Fde T, Silva JA, Torres-Vargas S. 2005; Preoperative gemcitabine for unresectable, solid pseudopapillary tumour of the pancreas. Lancet Oncol. 6:185–186. DOI: 10.1016/S1470-2045(05)01770-5. PMID: 15737835.

17. Selenica P, Raj N, Kumar R, Brown DN, Arqués O, Reidy D, et al. 2019; Solid pseudopapillary neoplasms of the pancreas are dependent on the Wnt pathway. Mol Oncol. 13:1684–1692. DOI: 10.1002/1878-0261.12490. PMID: 30972907. PMCID: PMC6670010.

18. Kim G, Kurnit KC, Djordjevic B, Singh C, Munsell MF, Wang WL, et al. 2018; Nuclear β-catenin localization and mutation of the CTNNB1 gene: a context-dependent association. Mod Pathol. 31:1553–1559. DOI: 10.1038/s41379-018-0080-0. PMID: 29795437. PMCID: PMC6168348.

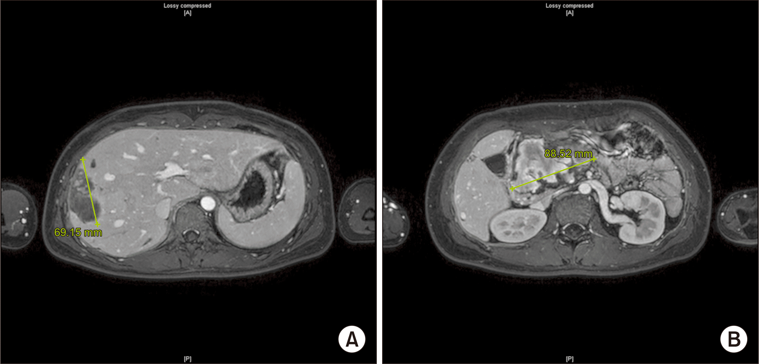
Fig. 1
Computed tomography findings of pancreatic tumor and liver metastases. (A, B) A 9.2-cm mass is observed in the head/neck of the pancreas, suggestive of a solid pseudopapillary neoplasm (indicated by a white asterisk). (C, D) This mass shows a direct invasion into superior mesenteric and proximal main portal veins (highlighted by a yellow arrow). A 6.5-cm lesion is seen in segment 5 (S5), a 2-cm lesion in S4, and at least 15 other smaller lesions scattered throughout the liver. Additionally, multiple lymph nodes up to 1.3 cm in the left para-aortic region are noted as possibly metastatic.
Fig. 2
Magnetic resonance imaging findings of pancreatic tumor and liver metastases. (A) Multiple metastases are observed, with sizes up to 7 cm, scattered in segment 4 (S4) and the right hepatic lobe. These metastases present with or without internal hemorrhaging. (B) A 9 cm lobulated, soft tissue-enhancing mass with significant internal hemorrhagic necrosis is seen in the head/neck portion of the pancreas.
Fig. 3
Specimen and pathology of pancreatic mass and liver metastases. Macroscopic and microscopic features of pancreatic and liver masses. (A) Total pancreatectomy specimen shows a 10.0 × 7.5 × 5.5 cm-sized, encapsulated, multilobulated, brownish friable mass with extensive hemorrhage and necrosis. (B) Viable tumor cells are located at the periphery of the tumor, with an infiltrative growth margin in the pancreatic parenchyma (H&E, 10×). (C, D) The tumor shows pseudopapillary structures or solid patterns composed of relatively uniform round cells with eosinophilic cytoplasm (H&E, 200× and 400×). (E) Serially cut surface of the right hepatectomy specimen shows seven red-brownish friable masses with hemorrhage and necrosis or without. (F) In low-power fields, multiple small metastatic masses are noted (indicated by a black arrow) (H&E, 7×). (G) In high-power fields, metastatic tumors comprise similar tumor cells as pancreatic solid pseudopapillary tumors (H&E, 200×). (H) Immunohistochemical staining for β-catenin shows aberrant nuclear expression in the pancreas and liver tumors (β-catenin, 400×).



PDF
Citation
Print



XML Download