Journal List > Korean J Gastroenterol > v.85(1) > 1516089872

Ayesha, Karim, Ali, Shahid, and Adil: Microangiopathic Hemolytic Anemia: A Rare Complication of Acute Pancreatitis

Abstract

Microangiopathic hemolytic anemia (MAHA) is a rare subtype of hemolytic anemia characterized by elevated hemolytic markers and red blood cell destruction. Though uncommon, MAHA can occur as a complication of acute pancreatitis because of the associated inflammatory response. Patients with MAHA secondary to pancreatitis show favorable outcomes when treated with plasma exchange. This paper presents the case of a patient diagnosed with acute pancreatitis-induced hemolytic anemia and thrombocytopenia, who was managed successfully with plasma exchange, steroids, and rituximab. Clinicians should maintain a high index of suspicion in patients with acute pancreatitis who present with anemia, thrombocytopenia, and schistocytes on peripheral smears, even in the absence of end-organ injuries and with normal ADAMTS13 activity. The early initiation of plasmapheresis can be lifesaving. The timely introduction of rituximab in cases where plasma exchange and steroids are insufficient, despite the ADAMTS13 activity status, may lead to better outcomes.

INTRODUCTION

Microangiopathic hemolytic anemia and thrombocytopenia (MAHA-T) is an uncommon complication of acute pancreatitis.1 The reason for this pathological state after acute pancreatitis appears to be multifactorial; one potential mechanism is likely to be a pancreatitis-induced systemic inflammatory response mediated endothelial injury.2 It has been hypothesized that cytokines, such as interleukin-1 and tumor necrosis factor-α, are released during pancreatitis, causing vascular endothelial injury. This compromises the integrity of endothelial cells, promotes platelet aggregation, and forms microthrombi, leading to vessel occlusion and mechanical damage to red blood cells (RBCs).3 Many clinical entities have addressed this condition with therapeutic plasma exchange (TPE) and have shown beneficial results. On the other hand, conservative therapy sometimes fails, necessitating the administration of rituximab in refractory MAHA cases.
This paper presents a unique case of acute pancreatitis-induced MAHA-T, characterized by anemia, thrombocytopenia, and schistocytes on a peripheral smear, but with no evidence of end-organ injuries and normal ADAMST13 activity. The patient was treated successfully with a brief course of rituximab after showing an inadequate response to TPE and steroid administration.
Informed consent was obtained from the patient for the publication of the case report.

CASE REPORT

A 39-year-old male with controlled diabetes mellitus presented with pain in the epigastrium radiating to the back that was associated with two episodes of vomiting over the last 10 days. He denied a history of fever, GI blood loss, trauma, or any drug use, but he was a chronic alcohol consumer. The patient had no relevant prior surgical or family history. An abdominal examination revealed epigastric tenderness with guarding, but the rest of his systemic examination was unremarkable.
Investigations revealed the following: serum amylase, 147 U/L; lipase, 359 U/L; total bilirubin, 2.5 mg/dL; indirect bilirubin, 1.6 mg/dL; GGT, 59 IU/L; aspartate aminotransferase, 34 U/L; alanine aminotransferase, 36 U/L; alkaline phosphate, 82 IU/L. The patient was diagnosed with acute pancreatitis from poor liver function tests.
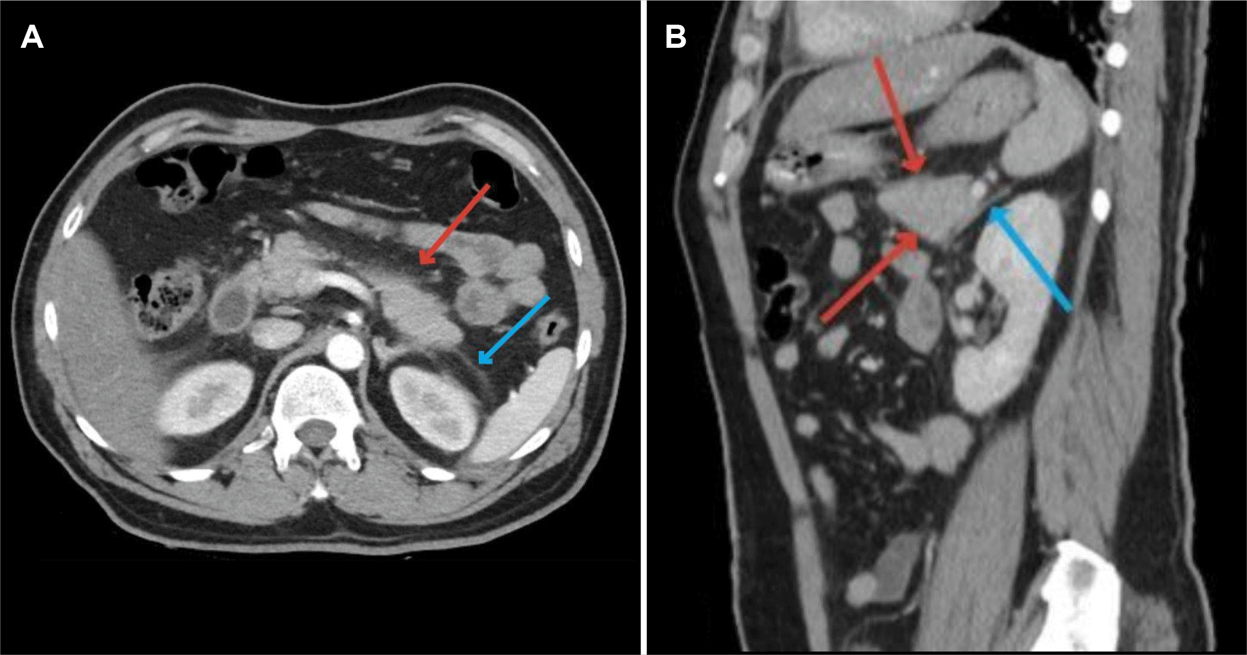
A computed tomography (CT) scan of the abdomen revealed findings consistent with non-necrotic acute pancreatitis with no demonstration of any mechanical obstruction of the biliary system (Fig. 1). Further laboratory workup revealed the following: hemoglobin, 7.1 g/dL; total leucocyte counts, 6.4×109 (total leucocyte counts 4.8–11.3); platelet counts, 10×109/L (154–433). More tests were ordered because of the bicytopenia, including iron 150 μg/dL, B12 321 pg/mL, retic count 4.50%, haptoglobin <0.01 g/L, Coombs negative, and lactate dehydrogenase (LDH) 987 I.U/L (120–256).
In the presence of a raised LDH level, the retic count suggested ongoing hemolysis. Therefore, peripheral blood film was examined, which showed microangiopathic hemolytic anemia that was highly suggestive of pancreatitis-induced hemolysis. The patient underwent a bone marrow trephine biopsy to exclude other causes of hemolysis, which revealed no evidence of bone marrow infiltration (Fig. 2). The patient was then tested for ADAMTS13 activity, which was within the normal limits.
The patient was initially treated for acute pancreatitis with conservative therapy, including IV hydration and pain management. This provided only symptomatic improvement because the significant laboratory abnormalities persisted in the patient. On the second in-patient day, the patient began receiving blood products and underwent multiple sessions of plasmapheresis, followed by pulse therapy on the fifth in-patient day to manage the MAHA. On the other hand, the patient did not respond well to these treatments. Hence, targeted therapy with rituximab was administered on the eighth in-patient day. Subsequently, his platelet counts showed an increasing trend, accompanied by a decrease in the LDH levels and the percentage of fragmented RBCs on the peripheral film (Fig. 3).
The patient was asked to abstain from alcohol. A psychiatric consultation was taken, and he was monitored for any withdrawal symptoms. Consequently, the patient was discharged home and was followed up at a clinic.

DISCUSSION

MAHA is a subclass of hemolytic anemia involving the intravascular breakdown of red blood cells that is nonimmune mediated, resulting in fragmented RBCs.1 MAHA is a very uncommon complication of acute pancreatitis reported in adults.4 Similarly, the patient was initially diagnosed with acute pancreatitis, most likely secondary to alcohol use, based on clinical, radiological, and laboratory evidence. The evidence included a typical clinical presentation, mildly elevated levels of amylase and lipase, and notable findings on the abdominal CT scan, including a normal-sized pancreas with minimal fat stranding and peripancreatic fat stranding, along with bilateral thickening of Gerota’s fascia, which has been reported in most cases of acute complicated pancreatitis in a previous study.5
The abnormalities in the patient’s CT scan and the mildly elevated amylase and lipase levels are consistent with the findings from previous studies, where patients were also diagnosed with acute pancreatitis based on these criteria. Further analysis led to an additional diagnosis of MAHA as a complication of acute pancreatitis after excluding other causes of hemolysis, including normal ADAMTS13 activity, a negative Coombs test, and unremarkable findings from a bone marrow trephine biopsy.3-5 The pancreatitis and MAHA had already developed before the patient presented to the hospital, resulting in simultaneous diagnoses.
MAHA must be differentiated from all other forms of hemolysis. The pathognomonic findings in MAHA include the following: 1) Clinicopathologic features of hemolysis, 2) negative Coombs test, 3) schistocytes on a microscopic examination of the peripheral blood smear, and 4) thrombocytopenia.6
The peripheral film showing schistocytes (fragmented red blood cells) suggests red blood cell injury from damaged endothelium and is a characteristic feature of MAHA.6 The endothelial injury caused by the inflammatory process occurring in acute pancreatitis can be a potential mechanism of MAHA in this disease.2
In addition, the elevated liver function test (LFT) levels in this patient are likely due to alcohol-induced liver injury. The patient’s LFTs revealed a total bilirubin of 2.5 mg/dL, with an indirect bilirubin of 1.6 mg/dL, indicating hepatocellular and hemolytic components. Elevated gamma-glutamyl transferase (GGT) at 59 IU/L and mildly increased aspartate aminotransferase (AST) and alanine aminotransferase (ALT) levels (34 U/L and 36 U/L, respectively) further supported the diagnosis of alcohol-related liver injury. The absence of a mechanical biliary obstruction on the CT scan reinforced the likelihood that alcohol-induced damage had contributed to the abnormal LFTs.
The optimal treatment of this condition is not properly defined, but several reports have reported improved outcomes using plasmapheresis.2 Plasmapheresis reduces the inflammatory response by removing cytokines, immune complexes, protein-bound toxins, autoantibodies, and large molecular- weight solutes. This decreases endothelial injury, halts microthrombus formation, and restores deficient plasma components, such as ADAMTS13, promoting normal microvascular function and improving red blood cell survival.1,7
Steroids are potent anti-inflammatory and anti-proliferative agents, indicating their role in promoting endothelial healing.8 Pulse therapy is the intermittent intravenous infusion of high-dose corticosteroids, often combined with immunosuppressive agents, over a short period. This approach aims for faster and more effective treatment while reducing the side effects associated with long-term steroid use.9 The commonly used treatment options for MAHA include plasma exchange that can be increased in frequency from once to twice daily, corticosteroids, which are given concomitantly with plasma exchange, and rituximab with or without cyclophosphamide.
Thrombotic thrombocytopenic purpura, as a complication of acute pancreatitis, is rare and mediated by a systemic inflammatory response. It is characterized by microangiopathic hemolytic anemia, severe thrombocytopenia, and ischemic end-organ injury. This condition is typically associated with ADAMTS13 deficiency, caused mainly by anti-ADAMTS13 autoantibodies.10 On the other hand, the patient did not exhibit any end-organ or ischemic injuries and had normal ADAMTS13 activity, which excluded a diagnosis of TTP. Despite this, the patient did not respond well to plasmapheresis and corticosteroid administration. Rituximab is a B-cell-depleting monoclonal antibody targeting CD20, a surface protein involved in producing anti-RBC antibodies. Immunosuppressive therapy with rituximab, which targets these autoantibodies, is often included in the initial treatment regimen. Rituximab shows a high efficacy rate of approximately 84% in AIHA and MAHA and an even higher rate of approximately 93% in the MAHA subgroup, despite MAHA not resulting directly from B cell dysregulation.11,12
Therefore, this patient was managed with nine sessions of plasma exchange, concomitantly with steroids, followed by rituximab, which ultimately resulted in a marked improvement in the patient’s hemolytic markers and platelet count.
This case highlights that although MAHA is a rare complication of acute pancreatitis, it should be suspected in patients presenting with anemia, low platelet counts, and schistocytes in the peripheral smear secondary to acute pancreatitis. Early treatment with plasmapheresis and steroids may be lifesaving. In some resistant MAHA cases, however, such as the present chronic alcoholic patient, plasmapheresis and steroids may not be sufficient despite the absence of end-organ injuries and TTP. To the best of the authors’ knowledge, this unique presentation of MAHA, which was unresponsive to conservative therapy but managed effectively with rituximab, despite the lack of end-organ damage and normal ADAMTS13 activity, has not been reported. Therefore, this case report provides additional insight and strengthens clinical evidence regarding effective treatment for this unique presentation. Hence, rituximab should be initiated promptly in refractory MAHA cases to achieve better outcomes, regardless of the ADAMTS13 activity status. Nevertheless, further studies are needed to determine if chronic alcohol use is an independent factor in refractory MAHA cases requiring rituximab despite the absence of end-organ injuries and normal ADAMTS13 activity.

Notes

AUTHOR CONTRIBUTIONS

Dr. Syedda Ayesha: As the Chief Investigator, Dr. Ayesha identified the case as a rare presentation, followed the patient, conducted a comprehensive literature search, and structured the manuscript. Dr. Masood Karim: Dr. Karim contributed to interpreting the findings section, providing valuable insights into the data, proofreading the manuscript, and assisting in its design. Dr. Maria Ali: Dr. Ali played a significant role in interpreting the histological slides and peripheral film, which were instrumental in excluding other potential causes of the similar presentation. Abdul Hadi Shahid: Mr. Shahid contributed to editing, refining, organizing, and designing the case report to meet the journal's requirements. Dr. Salman Adil: Dr. Adil provided critical review, made final edits, and proofread the manuscript with his expertise, ensuring its accuracy and clarity. The final draft of this work has been endorsed by all authors, who also agree to take responsibility for every aspect of the work to ensure accuracy and integrity.

Financial support

None.

Conflict of interest

None.

REFERENCES

1. Hill KM, Moorman D, Mack J, Gonsalves C, Khalife R. 2020; A case of acute pancreatitis-induced microangiopathic hemolytic anemia with thrombocytopenia. J Thromb Thrombolysis. 49:159–163. DOI: 10.1007/s11239-019-01946-2. PMID: 31493291.
crossref
2. Ali MA, Shaheen JS, Khan MA. 2014; Acute pancreatitis induced thrombotic thrombocytopenic purpura. Indian J Crit Care Med. 18:107–109. DOI: 10.4103/0972-5229.126084. PMID: 24678155. PMCID: PMC3943117.
crossref
3. Bagai S, Malik V, Khullar D, Chakravarty MS, Sahu A. 2022; Thrombotic microangiopathy secondary to pancreatitis: A diagnostic enigma. Indian J Nephrol. 32:279–281. DOI: 10.4103/ijn.IJN_52_21. PMID: 35814326. PMCID: PMC9267086.
crossref
4. Bhardwaj A, Deswal S, Mohan N. 2020; Acute pancreatitis induced thrombotic microangiopathy with acute renal failure: A rare complication! JPGN Rep. 2:e038. DOI: 10.1097/PG9.0000000000000038. PMID: 37206945. PMCID: PMC10191473.
crossref
5. Wang HY, Wang SF. 2024; A rare manifestation presenting as acute pancreatitis of thrombotic thrombocytopenic purpura. Adv Dig Med. 11:179–182. DOI: 10.1002/aid2.13395.
crossref
6. Bong JJ, Ammori BJ, McMahon MJ, Kumar A, Turney JH, Norfolk DR. 2002; Thrombotic microangiopathy in acute pancreatitis. Pancreas. 25:107–109. DOI: 10.1097/00006676-200207000-00022. PMID: 12131780.
crossref
7. Serin I, Dogu MH. 2021; Hemolytic anemia and plasma exchange. Transfus Apher Sci. 60:103245. DOI: 10.1016/j.transci.2021.103245. PMID: 34412947.
crossref
8. Gökalp O, İşcan Ş, İner H, Gürbüz A. 2017; The effects of steroids on endothelial function. Anatol J Cardiol. 18:309. DOI: 10.14744/AnatolJCardiol.2017.8003. PMID: 29076817. PMCID: PMC5731529.
crossref
9. Mustafi S, Sinha R, Hore S, Sen S, Maity S, Ghosh P. 2019; Pulse therapy: Opening new vistas in treatment of pemphigus. J Family Med Prim Care. 8:793–798. DOI: 10.4103/jfmpc.jfmpc_114_19. PMID: 31041203. PMCID: PMC6482734.
crossref
10. Sukumar S, Lämmle B, Cataland SR. 2021; Thrombotic thrombocytopenic purpura: Pathophysiology, diagnosis, and management. J Clin Med. 10:536. DOI: 10.3390/jcm10030536. PMID: 33540569. PMCID: PMC7867179.
crossref
11. Ruiz J, Koduri PR, Valdivieso M, Shah PC. 2005; Refractory post-pancreatitis thrombotic thrombocytopenic purpura: response to rituximab. Ann Hematol. 84:267–268. DOI: 10.1007/s00277-004-0971-7. PMID: 15538566.
crossref
12. Chao SH, Chang YL, Yen JC, et al. 2020; Efficacy and safety of rituximab in autoimmune and microangiopathic hemolytic anemia: a systematic review and meta-analysis. Exp Hematol Oncol. 9:6. DOI: 10.1186/s40164-020-00163-5. PMID: 32322437. PMCID: PMC7161265.
crossref

Fig. 1
(A) Computed tomography CT scan abdomen axial view–Minimal fat fuzziness is seen in the pancreatic location with peri-pancreatic fat stranding (red arrow) and mild thickening of the Gerota’s fascia bilaterally (blue arrow). These findings are consistent with acute pancreatitis. (B) CT scan abdomen sagittal view–Showing blurring of the outline of pancreatic clefts (red arrows). Mild thickening of the Gerota’s fascia bilaterally (blue arrow). These findings are also consistent with acute pancreatitis.
kjg-85-1-73-f1.tif
Fig. 2
(A) Bone marrow aspirate (normal) - Neutrophil (blue arrow) - Erythroblast (black arrow) - Basophilic Erythroblast (red arrow). (B) Trephine biopsy (normal) showing no evidence of bone marrow infiltration - Fat cells (blue arrow) - Megakaryocytes (red arrow).
kjg-85-1-73-f2.tif
Fig. 3
(A) Clustered bar graph illustrating the timing of the changes in the treatment strategy and the duration of each treatment in relation to trends in hemoglobin levels, fragmented RBC counts, platelet counts, and LDH levels. The colored dotted lines indicate the duration of each specific treatment. (B) Double-line graph depicting the timing of treatment adjustments and the duration of each therapy in relation to trends in platelet counts and LDH levels. Each specific treatment is represented by a distinct colored dotted line indicating its duration. (C) Double-line graph depicting the timing of treatment adjustments and the duration of each therapy in relation to the trends in hemoglobin levels and fragmented RBC counts. Each specific treatment is represented by a distinct colored dotted line indicating its duration. RBCs, red blood cells; LDH, lactate dehydrogenase.
kjg-85-1-73-f3.tif
TOOLS
Similar articles