Abstract
Hepatic tuberculosis, typically associated with miliary tuberculosis, can occasionally present as localized liver lesions. This case report describes a 77-year-old male presenting with persistent abdominal pain and fever, following an endoscopic retrograde cholangiopancreatography for bile duct sludge removal. Subsequent computed tomography revealed focal liver lesions. Despite initial treatment with antibiotics for a suspected inflammatory liver abscess, his condition did not improve. A liver biopsy was performed, revealing caseous granulomas, and the tuberculosis polymerase chain reaction result was positive. The patient was diagnosed with primary hepatic tuberculosis, which later disseminated. Oral anti-tuberculosis therapy was initiated and is currently being closely monitored. This case emphasizes the importance of considering hepatic tuberculosis in the differential diagnosis of liver lesions, particularly in cases involving cholestatic liver function tests, and persistent symptoms unresponsive to conventional antibiotics.
The diagnosis of extrapulmonary tuberculosis (TB) presents a significant challenge due to its diverse range of clinical manifestations.1 In contrast to pulmonary TB, the clinical manifestations of extrapulmonary TB are atypical, as a result of which it is often underdiagnosed and misdiagnosed.2,3 Hepatic TB is a rare form of extrapulmonary TB and represents only a small fraction of TB cases. It is associated with miliary TB or occurs as isolated hepatic lesions.4 The diagnosis of hepatic TB is further complicated by its non-specific clinical presentation and may mimic a pyogenic abscess or malignant tumor during imaging.5
A 77-year-old male presented at the hepatology clinic with a history of persistent abdominal pain and fever. The patient was referred to our clinic for further investigation following the identification of two focal liver lesions on computed tomography (CT) at another medical facility. The patient had undergone endoscopic retrograde cholangiopancreatography (ERCP) to remove bile duct sludge seven days prior. He had presented with abnormal liver function tests (LFTs) showing a cholestatic pattern and underwent an ERCP, which revealed only some sludge without any significant findings. There was no improvement in clinical symptoms. The case was referred to us for evaluation and management of the liver lesions, which were suspected to be the cause of the patient's abdominal pain. Unfortunately, the patient did not bring the specific LFT results. Hence, the evaluation was initiated at our institution with a follow-up assessment of the LFTs.
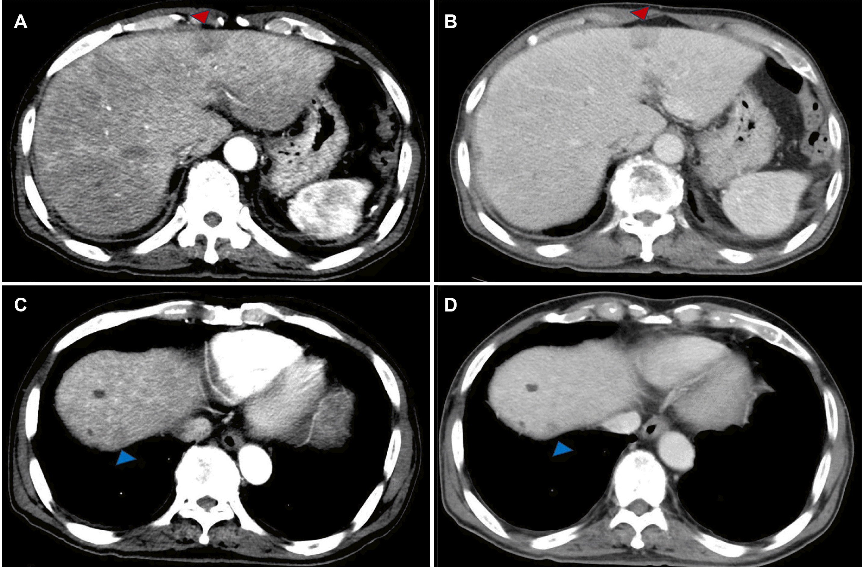
Upon examination, the patient's vital signs were found to be stable, with a body temperature of 36℃, a pulse rate of 102 beats/min, a respiratory rate of 18/min, and a blood pressure of 111/79 mmHg. Liver function tests demonstrated a cholestatic pattern with the following results: Aspartate aminotransferase level of 132 U/L, alanine transaminase level of 36 U/L, alkaline phosphatase (ALP) level of 501 U/L, and gamma-glutamyl transpeptidase level of 522 U/L. Abdominal CT demonstrated a 2.5 cm-sized heterogeneous nodule within S3/4 of the liver, exhibiting diffusion restriction but unclear margins prior to contrast enhancement. Furthermore, a 1 cm-sized low-density lesion was identified in S8 of the liver (Fig. 1).
These were initially diagnosed as benign lesions, suspected to be inflammatory liver abscesses. The patient was treated with an empiric regimen of piperacillin-tazobactam for one week. However, the patient's symptoms persisted. Follow-up imaging did not demonstrate any improvement (Fig. 2).
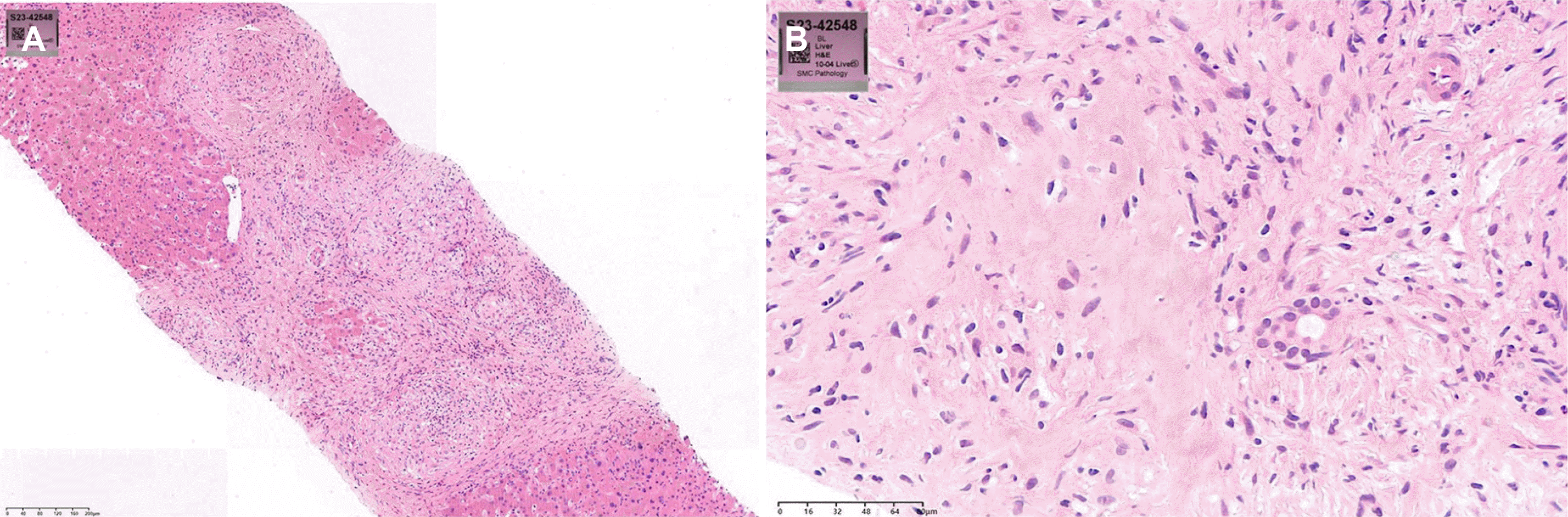
An ultrasound-guided liver biopsy was performed on the lesion in S3/4 of the liver. Histological examination revealed the presence of caseous granulomas and a negative acid-fast bacilli smear. However, the tuberculosis polymerase chain reaction (TB-PCR) was positive (Fig. 3). Further investigations included sputum analysis and chest CT, which confirmed the diagnosis of miliary TB (Fig. 4). Based on the initial presentation with isolated hepatic symptoms and subsequent development of miliary pattern, the patient was diagnosed with primary hepatic TB that later disseminated. He was initiated on a course of oral anti-TB medication. The regimen included isoniazid 300 mg, rifampicin 600 mg, ethambutol 1,200 mg, pyrazinamide 1,500 mg, and pyridoxine 50 mg to prevent peripheral neuropathy associated with isoniazid therapy. He is being monitored closely, and respiratory isolation measures have also been implemented.
Hepatic TB is an uncommon manifestation of extrapulmonary TB. It can present in three primary forms: (1) Associated with pulmonary or miliary TB, where liver involvement is part of a systemic infection; (2) Primary disseminated hepatic TB, characterized by diffuse liver involvement without the presence of TB in other organs; and (3) Localized hepatic TB, which presents as multiple nodules or abscesses, commonly referred to as tuberculomas.6 The diagnosis of hepatic TB can be particularly challenging due to its nonspecific clinical and radiological features, which often mimic other hepatic conditions such as pyogenic abscesses, fungal infections, or malignancies.7 In patients presenting with a cholestatic pattern on liver function tests and an elevated ALP, particularly when imaging reveals hepatic nodules and the biliary tract appears normal, hepatic TB should be a key differential diagnosis.8 Imaging findings in hepatic TB can vary, with micronodular patterns representing miliary involvement and macronodular patterns associated with larger, tumor-like lesions.7
Several cases of hepatic tuberculosis have been previously reported in Korea, showing various presentations ranging from tuberculosis cyst to hepatic tuberculoma.9-13 The cases reported in The Korean Journal of Gastroenterology with a macronodular pattern did not include any instances of miliary TB (Table 1). The radiological features of hepatic TB lesions found in miliary TB include multiple tiny hypodense masses with no or subtle peripheral enhancement.14 However, according to a study in the Korean population, of 8,733 TB patients diagnosed from January 1989 to September 2008, 212 were diagnosed with miliary TB, and 8 of them were diagnosed with hepatic TB through tissue biopsy. Among the 8 patients with miliary tuberculosis, 5 underwent contrast-enhanced CT or abdominal ultrasound, with 3 showing normal results, 1 showing multiple intrahepatic nodules, and 1 showing an abscess.8 This case is significant as a rare example of miliary TB presenting as a primary hepatic abscess.
Severe caseous necrosis seen in some cases can further complicate the diagnosis, as it may closely resemble cystic liver disease or abscesses caused by other pathogens.
The case presented here emphasizes the challenges of diagnosing hepatic TB, particularly in patients who do not respond to broad-spectrum antibiotics. This failure to respond should prompt further investigation, including liver biopsy and molecular testing, such as TB-PCR, which can confirm the diagnosis when conventional diagnostic methods fall short. Furthermore, hepatic TB is often underrecognized due to its rarity and overlapping symptoms associated with more common hepatic conditions. The global burden of TB and the rise of multidrug-resistant TB strains make it essential to consider hepatic TB in the differential diagnosis of unexplained hepatic lesions, especially in endemic regions and immunocompromised patients.15,16 Early and accurate diagnosis is critical, as prompt initiation of anti-TB therapy can lead to the resolution of lesions and prevent unnecessary surgical interventions, thereby reducing patient morbidity and healthcare costs.
In conclusion, hepatic TB, though rare, is an important differential diagnosis in patients with atypical liver lesions, especially when conventional treatments such as broad-spectrum antibiotics fail to result in clinical improvement.17 This case underscores the need for a high index of suspicion for TB in patients with persistent hepatic abnormalities and highlights the critical role of biopsy and molecular diagnostics in achieving a definitive diagnosis. Early recognition and timely initiation of anti-TB therapy are essential for effective management, as they can improve patient outcomes, prevent disease progression, and reduce the risk of dissemination. Clinicians should particularly consider hepatic TB in the differential diagnosis of liver lesions in patients from TB-endemic areas as early intervention can significantly reduce the morbidity and mortality associated with this challenging condition.
REFERENCES
1. Yoon HJ, Song YG, Park WI, Choi JP, Chang KH, Kim JM. 2004; Clinical manifestations and diagnosis of extrapulmonary tuberculosis. Yonsei Med J. 45:453–461. DOI: 10.3349/ymj.2004.45.3.453. PMID: 15227732.

2. Dhungel S, Mishra S. 2023; Tubercular hepatic abscess: An incidental finding. Cureus. 15:e35447. DOI: 10.7759/cureus.35447.

3. Wu Z, Wang WL, Zhu Y, et al. 2013; Diagnosis and treatment of hepatic tuberculosis: report of five cases and review of literature. Int J Clin Exp Med. 6:845–850.
4. Shin YM. 2010; Hepatic tuberculosis presenting as a large liver mass. Korean J Hepatol. 16:197–200. DOI: 10.3350/kjhep.2010.16.2.197. PMID: 20606506.

5. Chen HC, Chao YC, Shyu RY, Hsieh TY. 2003; Isolated tuberculous liver abscesses with multiple hyperechoic masses on ultrasound: a case report and review of the literature. Liver Int. 23:346–350. DOI: 10.1034/j.1478-3231.2003.00861.x. PMID: 14708895.

6. Spiegel CT, Tuazon CU. 1984; Tuberculous liver abscess. Tubercle. 65:127–131. DOI: 10.1016/0041-3879(84)90065-5. PMID: 6464195.

7. Harisinghani MG, McLoud TC, Shepard JA, Ko JP, Shroff MM, Mueller PR. 2000; Tuberculosis from head to toe. Radiographics. 20:449–470. quiz 528–529. 532DOI: 10.1148/radiographics.20.2.g00mc12449. PMID: 10715343.

8. Hwang SW, Kim YJ, Cho EJ, et al. 2009; Clinical features of hepatic tuberculosis in biopsy-proven cases. Korean J Hepatol. 15:159–167. DOI: 10.3350/kjhep.2009.15.2.159. PMID: 19581768.

9. Park EB, Ham HJ. 1984; Tuberculous cyst of the liver, a case report. Korean J Gastroenterol. 16:329–333.
10. Cho JY, Choi JD, Lee MS, Kim JH, Cho SW, Shim CS. 1992; Hepatic tuberculoma; 4 cases report. Korean J Gastroenterol. 24:322–328.
11. Oh JY, Choi JS, Kim YM, et al. 1995; A case of tuberculous abscess in liver and spleen. Korean J Gastroenterol. 27:363–368.
12. Kang GH, Kim YI, Kim CW. 1997; Confirmation of tuberculous hepatitis using polymerase chain reaction. Korean J Gastroenterol. 30:415–419.
13. Kim TK, Choi CW, Ha JK, et al. 2013; A case of tuberculous liver abscess developed during chemotherapy for tuberculous peritonitis as paradoxical response. Korean J Gastroenterol. 62:64–68. DOI: 10.4166/kjg.2013.62.1.64. PMID: 23954963.

14. Karaosmanoglu AD, Onur MR, Sahani DV, Tabari A, Karcaaltincaba M. 2016; Hepatobiliary tuberculosis: Imaging findings. AJR Am J Roentgenol. 207:694–704. DOI: 10.2214/AJR.15.15926. PMID: 27341483.

15. Ionescu S, Nicolescu AC, Madge OL, Marincas M, Radu M, Simion L. 2021; Differential diagnosis of abdominal tuberculosis in the adult-literature review. Diagnostics (Basel). 11:2362. DOI: 10.3390/diagnostics11122362. PMID: 34943598. PMCID: PMC8700228.

16. Al-Zanbagi AB, Shariff MK. 2021; Gastrointestinal tuberculosis: A systematic review of epidemiology, presentation, diagnosis and treatment. Saudi J Gastroenterol. 27:261–274. DOI: 10.4103/sjg.sjg_148_21. PMID: 34213424. PMCID: PMC8555774.
17. Esguerra-Paculan MJA, Soldera J. 2023; Hepatobiliary tuberculosis in the developing world. World J Gastrointest Surg. 15:2305–2319. DOI: 10.4240/wjgs.v15.i10.2305. PMID: 37969705. PMCID: PMC10642457.

Fig. 1
Axial contrast-enhanced computed tomography: (A) In the arterial phase, a heterogeneous hypodense hepatic nodule 2.5 cm in size is observed in S3/4 of the liver (red arrowhead). (B) In the portal phase, an ill-defined hypodense hepatic nodule is seen. (C) In the arterial phase, a heterogeneous hypodense hepatic nodule 1 cm in size is seen in S8 of the liver (blue arrowhead). (D) In the portal phase, an ill-defined hypodense hepatic nodule is seen (blue arrowhead).
Fig. 2
Axial magnetic resonance imaging shows the corresponding lesion. (A) On T1-weighted imaging, a slightly hypodense mass is observed in S3/4 of the liver (red arrowhead). (B) Mild peripheral enhancement is seen in the arterial phase after contrast administration. (C) In the arterioportal phase, the lesion margins remain mildly enhanced, with no enhancement in the central portion. (D) In the portal venous phase, contrast enhancement is more prominent toward the center of the lesion from the peripheral rim. (E) On diffusion-weighted imaging, the suspected area of hepatic tuberculosis shows a high signal. (F) On T2-weighted imaging, the lesion demonstrates a mixed pattern of hyperintense and hypointense signals.
Fig. 3
A liver biopsy revealed (A) Chronic granulomatous inflammation and (B) areas of tissue necrosis are observed (Hematoxylin and Eosin stain).
Fig. 4
Numerous newly noted micro-nodules are present in both lungs, indicating miliary tuberculosis.
Table 1
Cases of Hepatic Tuberculosis Reported in The Korean Journal of Gastroenterology
| S.N. | Author (yr) | Age/Sex | First diagnosis | Later diagnosis | Tubercle Bacillus in the liver FNA | Granulomatous inflammation in the liver FNA | PCR |
|---|---|---|---|---|---|---|---|
| 1 | Park et al. (1984)9 | 25/F | Tuberculous cyst of the liver | N/A | N/A | + | N/A |
| 2 | Cho et al. (1992)10 | 67/M | Pulmonary TB | Hepatic Tuberculoma | + | N/A | N/A |
| 34/M | Tuberculous pleuritis | Hepatic Tuberculoma | - | Surgical biopsy confirmed | N/A | ||
| 54/M | Pulmonary TB | Hepatic Tuberculoma | + | N/A | N/A | ||
| 40/F | Hepatic Tuberculoma | N/A | + | N/A | N/A | ||
| 3 | Oh et al. (1995)11 | 62/M | Tuberculous Abscess | N/A | + | N/A | N/A |
| 4 | Kang et al. (1997)12 | 29/M | Tuberculous pleurisy | Hepatic involvement of Tuberculosis | - | - | + |
| 5 | Kim et al. (2013)13 | 23/M | Tuberculous peritonitis | Tuberculous liver abscess | - | + | - |



PDF
Citation
Print



XML Download