Abstract
Primary cholangiocarcinoma is a rare bile duct epithelial neoplasm that can present with atypical clinical manifestations, complicating its diagnosis. A 62-year-old male showed symptoms suggestive of a complicated hepatic cyst that was later identified as intrahepatic cholangiocarcinoma. The patient presented with abdominal discomfort without fever. Imaging revealed a large cystic lesion in the liver. Despite the initial treatment for a presumed abscess, a biopsy confirmed cholangiocarcinoma. This case highlights the diagnostic challenge of distinguishing between benign complicated hepatic cysts and malignancies, particularly when typical markers of infection are absent. Early biopsy and vigilant assessments are crucial in such presentations to avoid a delayed diagnosis and initiate appropriate treatment.
Primary cholangiocarcinoma is a relatively uncommon neoplasm originating from the bile duct epithelial cells.1,2 This case is unique because of its presentation, mimicking a complicated hepatic cyst, which leads to significant diagnostic challenges. Cholangiocarcinoma can closely resemble the clinical and radiological features of a complicated hepatic cyst, making it difficult to diagnose without further invasive investigation.3 This report highlights the importance of considering a malignancy in cases that initially appear benign, such as liver abscesses, underscoring the need for vigilance and comprehensive evaluation.
A 62-year-old male presented with persistent abdominal discomfort without fever. He had no significant prior medical history or risk factors for liver disease. The patient reported upper abdominal discomfort and a sensation of distension. The examination showed no fever and no other specific abnormalities. The patient's vital signs were stable: body temperature of 36.6°C, pulse rate of 102 beats/min, respiration rate of 18/min, and blood pressure of 111/79 mmHg.
The liver function tests revealed a cholestatic pattern. The results were as follows: aspartate aminotransferase 135 U/L, alanine aminotransferase 158 U/L, alkaline phosphatase 756 U/L, gamma-glutamyl transferase 2,558 U/L, and total bilirubin 2.1 mg/dL. The tumor markers included alpha-fetoprotein at 1.7 ng/mL (within normal range), carbohydrate antigen 19-9 (CA 19-9) at 5.7 U/mL (within normal range), and carcinoembryonic antigen (CEA) level of 2.36 ng/mL (within normal range). The C-reactive protein (CRP) was mildly elevated at 1.72 mg/dL.
An abdominal ultrasound, which was performed initially, revealed a cystic lesion measuring 11 cm in length and a hypoechoic mass of 6 cm. No dilation of the common bile duct was observed (Fig. 1). An abdominal computed tomography (CT) scan revealed a lobulated cystic lesion exceeding 12 cm in size in the left lobe of the liver, characterized by thin rim enhancement and associated parenchymal shadowing changes, indicating a complicated cystic lesion (Fig. 2). Enhancing wall thickening was observed in the hilar bile duct, causing dilation of the intrahepatic bile ducts (Fig. 2B). Liver magnetic resonance imaging (MRI) revealed a 12 cm thick-walled cystic mass replacing much of the left lobe, with septations noted (Fig. 3A). Bilateral intrahepatic duct dilation was observed, predominantly affecting the left lobe (Fig. 3B). Based on the findings of a presumed abscess in the left lobe with bilateral intrahepatic duct dilation, the tumor markers were ordered, and a discussion was planned with the endoscopic retrograde cholangiopancreatography team regarding potential intervention. CA 19-9 was measured to evaluate the possibility of cholangiocarcinoma, yielding a result of 5.70 (reference range: 0–34), which was within the normal range. The initial diagnosis was a benign lesion, and despite the normal CA 19-9 levels, the possibility of a malignancy could not be completely ruled out. After consultation with the biliary team, the lesion suspected to be a common bile duct malignancy on MRI was considered more likely to be related to inflammation than a malignancy.
Initially, empirical antibiotic treatment with moxifloxacin was started, and percutaneous catheter drainage (PCD) was performed to manage the suspected liver abscess. The drainage fluid was yellowish and turbid, with the analysis showing a white blood cell count exceeding 100,000 cells/mm³ with 97% polymorphonuclear neutrophils, a protein level of 1,490 mg/dL, an albumin concentration of 940 mg/dL, and a CEA level of 10,600 ng/mL. The cytology of the fluid revealed a few atypical cells, but subsequent evaluations were negative for malignant cells (Fig. 4). The entamoeba histolytica IgG serology was negative. No growth was observed in cultures. A liver biopsy performed six days after sufficient drainage revealed a moderately differentiated adenocarcinoma with tumor necrosis, leading to the final diagnosis of primary cholangiocarcinoma (Fig. 5). Positron emission tomography-computed tomography revealed hypermetabolic lesions in segment 4 and the right internal mammary nodal chain (Fig. 6). A biliary CT was performed 22 days after inserting the PCD, which showed that the abscess had collapsed compared to previous imaging. On the other hand, the lesion suspected to be cholangiocarcinoma showed no significant change (Fig. 7). The PCD output remained consistently brown-yellowish, with daily volumes ranging from 100 to 150 cc since its insertion, and never decreased below 50 cc. The drainage characteristics were not thick or pus-like, and the output remained stable despite being drained for more than 21 days, which reduced the likelihood of a liver abscess. Consequently, the catheter was maintained in situ. Nevertheless, the drainage volume remained above a certain level, so the patient continued the drainage while initiating systemic chemotherapy.
Cholangiocarcinoma can present with similar clinical and imaging features to liver abscesses, which can lead to diagnostic confusion. In the present case, the differential diagnosis initially included an amebic liver abscess, given the cystic lesion and the absence of systemic symptoms such as fever. On the other hand, the imaging findings, including enhancing wall thickening and bile duct dilation, suggested the need for further evaluation to exclude an underlying malignancy.
Abdominal contrast-enhanced CT revealed cyst wall thickening and high signal intensity on diffusion-weighted MRI, characteristic of a complicated hepatic cyst. These imaging features can make it difficult to differentiate from cholangiocarcinoma. On the other hand, the presence of a fluid–fluid level within the cyst, gas bubbles inside the cyst, or debris with a thick wall, typically associated with infection, are distinguishing features that help differentiate a complicated hepatic cyst from cholangiocarcinoma.4
The differential diagnosis for this patient included a pyogenic liver abscess, hepatocellular carcinoma, metastatic liver lesions, and intrahepatic cholangiocarcinoma. Each condition has overlapping imaging features, making careful differentiation essential.5,6 Intrahepatic cholangiocarcinoma presenting as a liver abscess is rare, but several cases have been reported.
Intrahepatic cholangiocarcinoma (ICC) mimicking a liver abscess is a rare and challenging diagnostic scenario. This condition is characterized by nonspecific clinical features, laboratory tests, and radiological findings that can be mistaken for a liver abscess. Hence, histological and immunohistochemical confirmation is crucial for a definitive diagnosis of ICC, particularly in cases of non-resolving liver abscesses or those unresponsive to antibiotic treatment.7-10
According to a study conducted in Korea from January 2011 to December 2018, 120 patients were assessed for the diagnostic ability of inflammatory markers, divided into two groups: 40 patients with intrahepatic mass-forming cholangiocarcinoma (IMCC) and 80 patients with a pyogenic liver abscess (LA). The results showed that inflammatory markers in the LA group were generally higher than in the IMCC group. Specifically, the initial CRP levels were a significant predictor in distinguishing between the two groups (odds ratio: 1.290; p<0.001).11 In the case report, despite a mild increase in CRP levels (CRP=1.72), it did not strongly indicate significant inflammation. Hence, although the CRP levels may aid in the differential diagnosis of cholangiocarcinoma, they should be interpreted cautiously and in conjunction with other diagnostic findings, particularly when distinguishing cholangiocarcinoma from liver abscess.
The imaging characteristics that differentiate ICC from a liver abscess include a large, patchy necrotic area without enhancement in the mass, absence of the double target sign, rough and irregular inner wall and bile duct dilatation adjacent to the mass. Such imaging characteristics observed in a liver abscess highlight the need for careful imaging analysis to ensure an accurate diagnosis and appropriate treatment.12
In the present case, the imaging characteristics of the 12 cm-sized mass formation, irregular walls within the mass, and inner bile duct dilation observed around the mass warrant consideration of cholangiocarcinoma. On the other hand, cholangiocarcinoma can present atypically with multiple variable- sized hypodense masses with peripheral rim enhancement throughout the liver, necessitating a differential diagnosis from conditions such as echinococcal hepatic cysts or cystic metastases. In such cases, a tissue biopsy is essential for an accurate diagnosis.13 CA 19-9 and CEA are commonly used tumor markers to evaluate cholangiocarcinoma.1,14 In this case, the CA 19-9 levels were within the normal limits, which complicated the diagnosis. This underscores the importance of histological confirmation when the imaging findings are ambiguous.
This case highlights the necessity for an early biopsy in atypical complicated hepatic cyst presentations, particularly when initial treatments do not lead to significant clinical improvement. The case also highlights the importance of considering malignancy in the differential diagnosis of liver cystic lesions, even in the absence of typical infectious markers.
The presented case highlights the diagnostic challenges of differentiating between complicated hepatic cysts and intrahepatic cholangiocarcinoma. Clinicians must maintain a high index of suspicion for malignancies in patients presenting with liver abscess-like lesions that do not exhibit the typical signs of infection or fail to respond to standard treatment. Hence, early biopsy and comprehensive imaging evaluation are critical to avoiding a delayed diagnosis and ensuring timely intervention.
REFERENCES
1. Liang B, Zhong L, He Q, et al. 2015; Diagnostic accuracy of serum CA19-9 in patients with cholangiocarcinoma: A systematic review and meta-analysis. Med Sci Monit. 21:3555–3563. DOI: 10.12659/MSM.895040. PMID: 26576628. PMCID: PMC4655615.

2. Florio AA, Ferlay J, Znaor A, et al. 2020; Global trends in intrahepatic and extrahepatic cholangiocarcinoma incidence from 1993 to 2012. Cancer. 126:2666–2678. DOI: 10.1002/cncr.32803. PMID: 32129902. PMCID: PMC7323858.

3. Forner A, Vidili G, Rengo M, Bujanda L, Ponz-Sarvisé M, Lamarca A. 2019; Clinical presentation, diagnosis and staging of cholangiocarcinoma. Liver Int. 39 Suppl 1:98–107. DOI: 10.1111/liv.14086. PMID: 30831002.

4. European Association for the Study of the Liver. 2022; EASL Clinical Practice Guidelines on the management of cystic liver diseases. J Hepatol. 77:1083–1108. DOI: 10.1016/j.jhep.2022.06.002. PMID: 35728731.
5. Lardière-Deguelte S, Ragot E, Amroun K, et al. 2015; Hepatic abscess: Diagnosis and management. J Visc Surg. 152:231–243. DOI: 10.1016/j.jviscsurg.2015.01.013. PMID: 25770745.

6. Khim G, Em S, Mo S, Townell N. 2019; Liver abscess: diagnostic and management issues found in the low resource setting. Br Med Bull. 132:45–52. DOI: 10.1093/bmb/ldz032. PMID: 31836890. PMCID: PMC6992887.

7. Sungtong P. 2005; CT appearance of amoebic and pyogenic liver abscesses. ASEAN J Radiol. 11:141–154.
8. Yacoub H, Hassine H, Boukriba S, et al. 2020; Intrahepatic cholangiocarcinoma mimicking a liver abscess. Clin Case Rep. 8:2510–2513. DOI: 10.1002/ccr3.3201. PMID: 33363768. PMCID: PMC7752610.

9. Shah V, Arora A, Tyagi P, et al. 2015; Intrahepatic cholangiocarcinoma masquerading as liver abscess. J Clin Exp Hepatol. 5:89–92. DOI: 10.1016/j.jceh.2014.12.006. PMID: 25941437. PMCID: PMC4415198.

10. Wang Y, Ming JL, Ren XY, et al. 2020; Sarcomatoid intrahepatic cholangiocarcinoma mimicking liver abscess: A case report. World J Clin Cases. 8:208–216. DOI: 10.12998/wjcc.v8.i1.208. PMID: 31970189. PMCID: PMC6962087.

11. Lee SC, Kim SJ, Yu MH, Lee KJ, Cha YS. 2020; Uses of inflammatory markers for differentiation of intrahepatic mass-forming cholangiocarcinoma from liver abscess: Case-control study. J Clin Med. 9:3194. DOI: 10.3390/jcm9103194. PMID: 33019760. PMCID: PMC7599997.

12. Liu M, Chen J, Huang R, et al. 2021; Imaging features of intrahepatic cholangiocarcinoma mimicking a liver abscess: an analysis of 8 cases. BMC Gastroenterol. 21:427. DOI: 10.1186/s12876-021-02002-1. PMID: 34772340. PMCID: PMC8588691.

13. Lee SH, Ryu SH, Lee DH, et al. 2020; Rare clinical and radiologic case of cholangiocarcinoma mimicking pyogenic abscess, hepatic echinococcal cysts, and metastases. J Liver Cancer. 20:173–176. DOI: 10.17998/jlc.20.2.173. PMID: 37384316. PMCID: PMC10035679.

14. Moro A, Mehta R, Sahara K, et al. 2020; The impact of preoperative CA19-9 and CEA on outcomes of patients with intrahepatic cholangiocarcinoma. Ann Surg Oncol. 27:2888–2901. DOI: 10.1245/s10434-020-08350-8. PMID: 32198569.

Fig. 1
Transabdominal US image obtained in a 62-year-old man shows (A) two hypoechoic lesions and (B) mixed-echogenicity lesions without biliary dilatation.
Fig. 2
(A) Probable 12 cm abscess in the left liver lobe. (B) Segmental enhancing wall thickening at the hilar bile duct resulting in upstream dilatation of intrahepatic ducts.
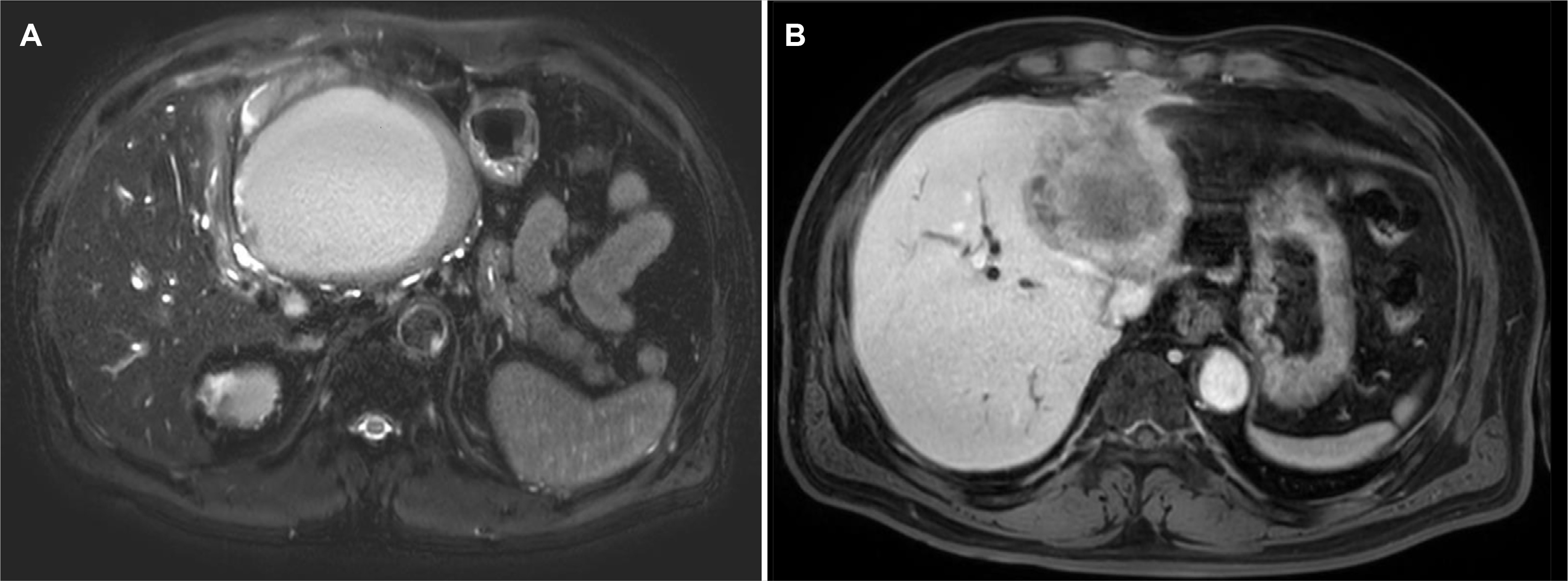
Fig. 3
(A) Magnetic resonance imaging (MRI) T2-weighted images showing a 12 cm high-signal lesion in the left lobe, which was presumed to be an abscess, with associated bilateral intrahepatic duct dilatation. (B) MRI T1 mDIXON portal phase revealed LI-RADS M, indicating definite or probable malignancy not specific to hepatocellular carcinoma.
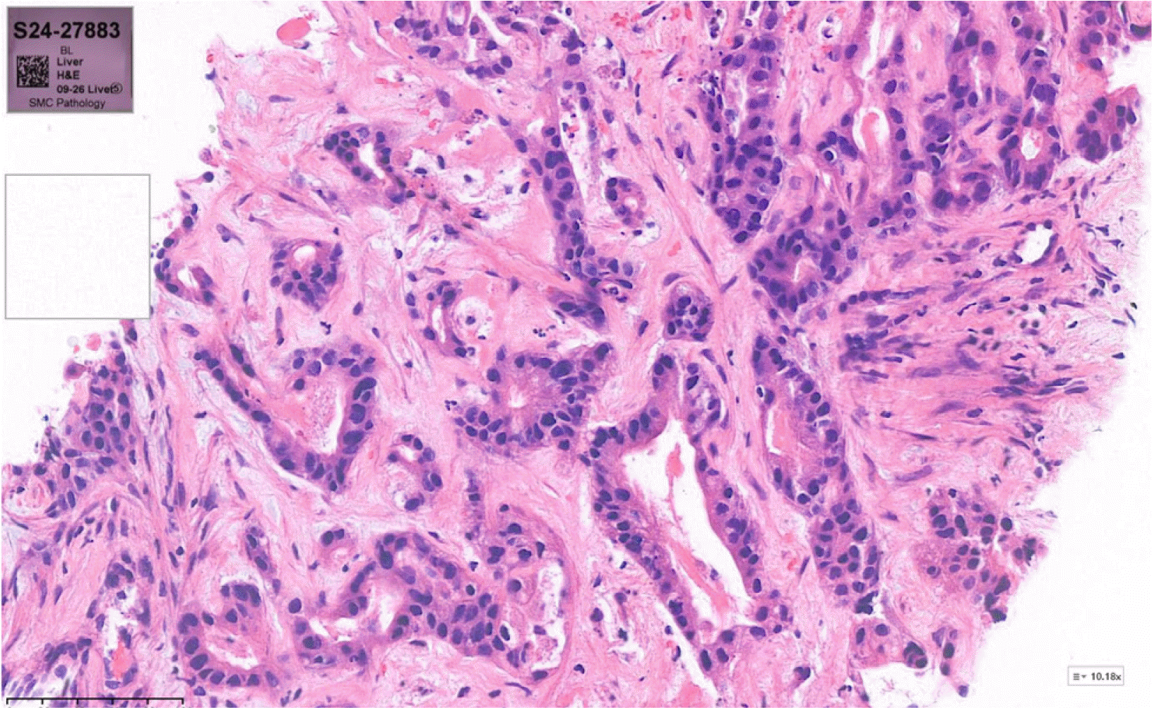
Fig. 5
Liver biopsy showing moderately differentiated adenocarcinoma with tumor necrosis (H&E stain, ×200).
Fig. 6
(A) PET CT scan showing a hypermetabolic mass involving the segment 4 area of the liver. (B) Hypermetabolic lesions in the right internal mammary region. PET CT, positron emission tomography-computed tomography.
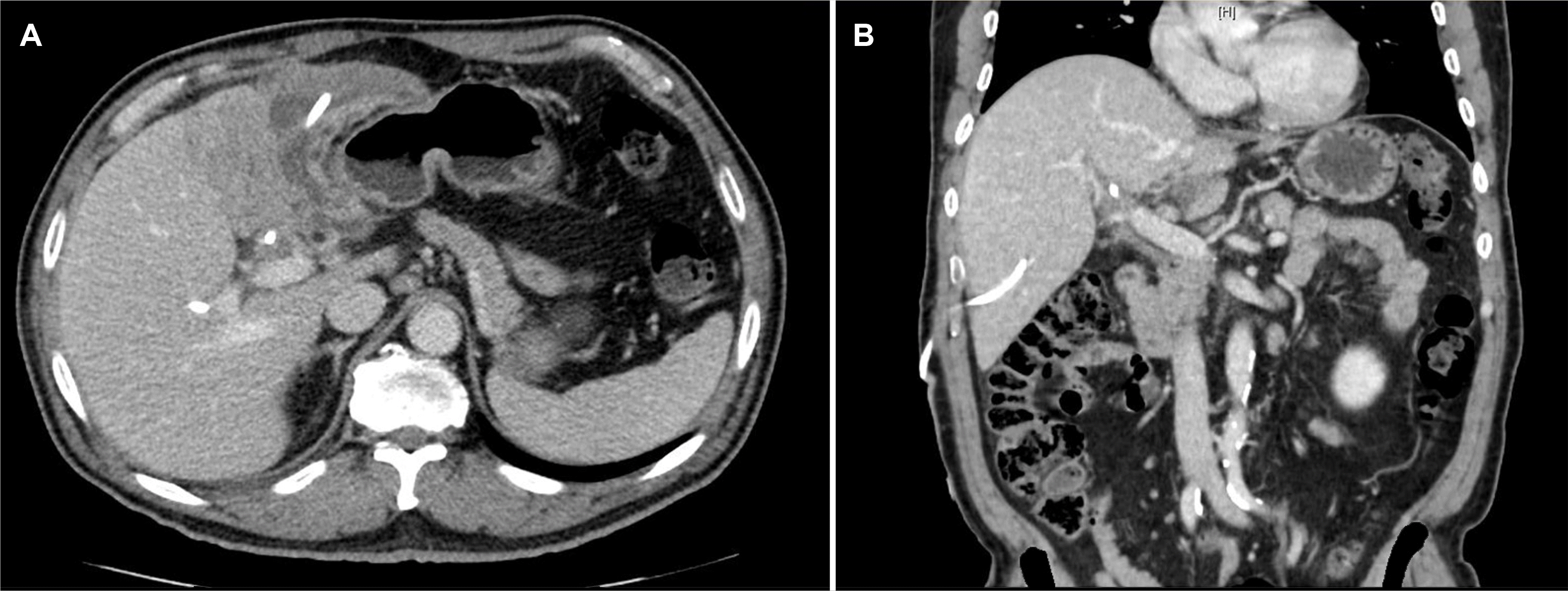
Fig. 7
Contrast-enhanced biliary CT image taken 22 days after inserting the PTBD (A) The cystic component still has a PCD inserted and appears more collapsed than before. (B) The cholangiocarcinoma in the left liver shows no significant change in the size of the solid portion; it continues to invade around the hilar duct. CT, computed tomography; PTBD, percutaneous transhepatic biliary drainage; PCD, percutaneous catheter drainage.



PDF
Citation
Print



XML Download