Abstract
Immunoglobulin G4-related disease (IgG4-RD) is a chronic fibroinflammatory systemic disorder. Predominantly, patients with submandibular swelling are diagnosed with this disease in otorhinolaryngology. However, due to its rarity and the limited understanding of the disease, accurate diagnosis can be challenging. Through a retrospective review of seven cases of IgG4- RD patients, our study analyzed the symptoms, diagnostic approaches, treatment modalities, and prognosis of the condition, contributing to a better understanding of IgG4-RD.
면역글로불린 G4 연관 질환(immunoglobulin G4-related disease, IgG4-RD)은 비교적 최근에 전신질환으로 인지되기 시작된 만성 섬유염증성 질환으로, 림프형질세포의 침윤과 나선형의 섬유화, 혈중 immunoglobulin G4 (IgG4) 양성 형질세포와 혈청 IgG4의 상승을 특징으로 한다[1,2]. 자가면역 췌장염 환자들에게서 췌장 외의 장기 침범이 처음 발견되어 연구되기 시작하였다. 침샘, 눈물샘, 림프절, 대동맥, 담관, 신장, 폐, 갑상선, 유방, 전립선, 심장막, 피부 등 다양한 장기에서 유사한 조직병리학적 소견이 확인되면서 IgG4-RD가 전신질환으로 인식되었고[3], 현재까지는 전신 스테로이드가 주된 치료 방법으로 알려져 있다[4]. 그럼에도 아직 이 질환에 대해 밝혀지지 않은 부분이 많이 남아있으며, 특히 두경부에서 진단되는 경우도 상당히 드문 실정이다. 따라서 본 논문에서 이비인후-두경부외과에서 이 질환으로 확진된 7예에 대해 보고하는 바이며(Table 1), 환자의 임상 진료 기록을 후향적으로 검토하기 위해 Institutional Review Board 승인을 받았다(2024GR0070).
고혈압 및 뇌전증 병력의 66세 남자 환자가 내원 3주 전 처음 인지한 우측 악하선 종물을 주소로 내원하였다. 신체검사에서 우측 경부 level II에 딱딱하고 고정된 압통 없는 악하선 종대 소견이 있었고 인후두경 검사상 특이소견은 없었다. 흡연력은 없으며, 음주력은 40대까지 소주 3병씩 주 4회 정도로 적지 않았으나 이후 맥주 4잔씩 월 3회 정도로 음주량이 감소하였다고 한다. 침샘 전산화단층촬영 검사에서는 비교적 대칭적이나 우측 악하선이 약간 더 큰 양상으로 주변 림프절의 특이소견은 확인되지 않았다. 초음파 검사상 우측 악하선의 다낭성 소견이 확인되어 세침흡인검사를 시행하였고(Fig. 1), 검사 결과 악성 소견 없이 염증세포 사이에 장액 및 상피세포가 관찰되었다. 항생제를 포함하여 경구 투약하며 2주간 경과관찰을 하였으나 종대 소견이 지속되어 진단 및 치료 목적으로 우측 악하선 절제술을 계획하였다. 술전 말초혈액검사에서 혈색소 15.5 g/dL, 백혈구 5700/mm3, 혈소판 183000/mm3, C-반응성 단백질(C-reactive protein, CRP) 0.19 mg/L, 적혈구 침강속도(erythrocyte sedimentation rate, ESR) 2 mm/hr 등으로 확인되었다. 수술 소견상 우측 악하선은 장경 4.5 cm로 딱딱하였으며 주변 조직과의 유착 정도는 심하지 않아 박리 및 절제가 잘 이루어졌다. 술후 환자는 안면마비 등의 합병증 없이 잘 회복되어 퇴원하였다. 조직검사 결과에서 림프형질세포의 침윤이 동반된 불규칙한 모양의 반응성 배중심이 확인되며 나선형 섬유화와 폐색정맥염, IgG4 양성의 형질세포가 다수 관찰되었다. 면역조직화학검사에서 IgG4 양성 형질세포가 100/HPF 이상 보이며 IgG/IgG4 양성 형질세포 비율은 0.4 이상이었다(Fig. 2). 혈청 IgG4 142.9 mg/dL (참고값: 3.9-86.4 mg/dL), 혈청 IgG 1298 mg/dL (참고값: 700-1600 mg/dL)로 상승 소견을 보였다. 이상의 소견을 종합하여 “definite” IgG4-RD로 진단하였고, 본원 소화기내과 협의 진료 시행하여 췌장에는 특이소견 없음을 확인하였다. 술후부터 경구 스테로이드(methylprednisolone, 8 mg/day) 투약 중 혈청 IgG4가 감소 추세를 보여(Fig. 3), 스테로이드 감량(4 mg/day) 후 투약 지속하며 경과관찰 중이다.
고혈압 및 고지혈증이 있는 71세 남자 환자가 내원 15일 전 처음 인지한 우측 악하부 종물을 주소로 내원하였다. 환자는 목 안이 따끔거리는 증상도 호소하였으나 인후두 검사상 특이소견은 없었다. 신체검사에서 우측 악하부 부위에 1 cm 크기의 단단하지만 압통 없는 종물이 촉지되었고 좌측 갑상선 부위가 부은 양상이 확인되었다. 음주력은 없으나 18년 전부터 금연 중인 10갑년의 흡연력이 있었다. 경부 및 갑상선 초음파 검사상 전반적으로 커진 우측 악하선에 다발의 저에코 병변 및 고혈관성 소견이 확인되었으며, 좌측 갑상선에 4.5 cm의 경계가 명확한 동일에코의 종물이 확인되었다. 우측 악하선에서 시행한 세침흡인검사에서는 악성소견은 확인되지 않았으며 좌측 갑상선 종물에서 시행한 검사에서 불충분한 세포 충실도 소견을 받았다. 말초혈액검사에서 혈색소 15.8 g/dL, 백혈구 4200/mm3, 혈소판 150000/mm3, CRP 1.33 mg/L, ESR 13 mm/hr로 측정되었다. 악성종양 배제를 위해 시행한 경부 전산화단층촬영 검사에서 3 cm 크기의 균질성 조영 증강의 우측 악하선 및 4.6 cm 크기의 비균질성 조영증강의 좌측 갑상선이 확인되었으며, 이외 림프절 종대 등의 특이소견은 없었다. 이상의 소견을 종합하여 만성 악하선염 및 갑상선 종물에 대해 우측 악하선 절제술 및 좌측 갑상선 절제술을 계획하였다. 수술 소견에서 우측 악하선과 좌측 갑상선의 박리와 절제는 잘 이루어졌으며, 술후 합병증 없이 퇴원하였다. 조직검사 결과에서 좌측 갑상선 여포선종 및 림프구성 갑상선염으로 진단되었다. 우측 악하선에서는 정상 침샘 구조를 파괴 및 침윤하고 있는 림프형질세포들과 불규칙하게 커져 있는 배중심, 나선형 섬유화가 확인되었으며, 면역조직 화학검사에서 IgG4 양성 형질세포가 30/HPF 이상 보이고, IgG/IgG4 양성 형질세포 비율이 0.4 이상으로 확인되었다. 술후 시행한 혈청 IgG4 74.6 mg/dL (참고값: 3.9-86.4 mg/dL), 유리 T4 0.98 ng/dL (참고값: 0.70-1.80 ng/dL), 갑상선 자극호르몬 2.42 uIU/mL (참고값: 0.17-4.05 uIU/mL), 항갑상글로불린 항체 및 항마이크로좀 항체 음성 소견이었다. 이에 우측 악하선에 발생한 “probable” IgG4-RD으로 진단하였다. 추가 경구 스테로이드 투약 없이 3개월 추적관찰 후 재 시행한 말초혈액검사상 혈청 IgG4 159.2 mg/dL로 상승 소견이 확인되어 “definite” IgG4-RD로 생각할 수 있었으며, 이후 환자는 연고지 관계로 지속적인 치료를 위해 타원으로 전원되었다.
당뇨병이 있는 62세 남자 환자가 내원 4개월 전부터 발생한 양측 턱밑 종대를 주소로 내원하였다. 신체검사상 확인된 양측 딱딱한 악하선 종물에 대해 경부 초음파 및 초음파 유도하 총생검을 시행하였으며, 검사 결과 섬유화와 림프형질 세포의 침윤이 관찰되며 IgG4 양성 형질세포가 10/HPF 이상 보이고 IgG/IgG4 양성 형질세포 비율이 0.4 이상으로 확인되었다. 혈청 IgG4 350 mg/dL, 혈청 IgG 1699 mg/dL, CRP 1.44 mg/L의 상승 소견도 보였다. 이상의 소견을 종합하여 “definite” IgG4-RD로 진단하였다. 이에 경구 스테로이드(methylprednisolone, 24 mg/day) 치료를 시작한 뒤 추적한 혈청 IgG4 및 IgG 수준은 전반적으로 감소하고 환자의 증상 또한 호전되어 스테로이드 감량(8 mg/day) 후 경과관찰 중이다(Fig. 3).
특이병력 없는 69세 남자 환자가 양측 악하선 종대를 주소로 내원하였다. 신체검사상 상기 외에 특이소견은 확인되지 않았으며, 말초혈액검사상 혈청 IgG4 360 mg/dL, 혈청 IgG 1612 mg/dL, CRP 6.77 mg/L로 상승 소견을 보였다. 경부 초음파에서 4 cm 크기의 우측 악하선 저에코 병변이 확인되었으며, 진단을 위해 초음파 유도하 총생검을 시행하였다. 조직검사 결과에서 섬유화와 IgG/IgG4 양성 형질세포 비율이 0.4 이상으로 확인되어 최종 “definite” IgG4-RD로 진단되었다. 이에 경구 스테로이드(methylprednisolone, 24 mg/day) 치료를 시작하였다. IgG4-RD의 췌장 침범 여부를 확인하기 위해 복부 초음파 및 복부 자기공명검사를 시행하였으나 특이소견이 없었으며, 본원 소화기내과에서 추적관찰 중이다.
특이병력이 없는 48세 남자 환자가 양측 악하선 부위 붓는 증상을 주소로 내원하였다. 종양을 감별하기 위해 침샘 전산화단층촬영 검사를 시행하였으며, 검사상 양측의 전반적인 비균질성 조영증강 소견으로 종양은 확인되지 않았다. 말초혈액검사에서 혈청 IgG4 308.7 mg/dL로 측정되었다. 상기 소견으로 “possible” IgG4-RD로 진단하였다. 경구 스테로이드(methylprednisolone, 24 mg/day)를 투약하면서 환자의 증상이 호전되며 혈청 IgG4는 감소하는 양상을 보여(Fig. 3), 스테로이드를 감량(8 mg/day)하여 지속 추적관찰 중이다.
고혈압이 있는 74세 남자 환자가 좌측 악하선 부위 종대를 주소로 내원하였다. 신체검사상 3.3 cm 크기의 딱딱한 종물이 좌측 악하선 부위에서 촉진되었다. 시행한 경부 초음파 검사에서 좌측 악하선 종대가 마찬가지로 확인되었으며, 초음파 유도하 총생검에서 림프형질세포의 침윤 및 섬유화, IgG4 양성 형질세포가 10/HPF 이상 보이고 IgG/IgG4 양성 형질 세포 비율이 0.7 이상으로 확인되었다. 말초혈액검사에서 혈청 IgG4 673.0 mg/dL로 측정되었고, 상기 소견을 종합하여 “definite” IgG4-RD로 진단하였다. 이후 좌측 악하선 종대 크기가 감소하는 등 자발적으로 증상 호전되는 추세로 확인되어 경과관찰을 하던 중 양측 악하선에 다시 종대 발생하는 등의 증상으로 내원하였다. 이에 종양 감별을 위해 침샘 전산 화단층촬영 검사를 시행하였고 양측 악하선에 비균질성 조영증강 외에 종양은 확인되지 않고 경부 림프절 종대 등 다른 특이소견이 없어 치료 없이 경과관찰 중이다.
고혈압, 당뇨, 고지혈증이 있는 70세 남자 환자로 IgG4 연관 췌장염 및 담관염으로 소화기내과에서 4개월간 고용량 경구 스테로이드(prednisolone, 30 mg/day) 치료 후 관해되었다. 이후 저용량 스테로이드(5 mg/day) 유지치료 중 우측 턱밑에 3 cm 크기의 딱딱한 종물이 발생하고 크기가 커졌다 줄어드는 양상이 반복되어 본과로 진료 의뢰되었다. 신체검사에서 우측 악하선 종물이 확인되었고, 악성종양 등을 감별하기 위해 경부 전산화단층촬영 검사를 시행하였다. 영상 검사에서 우측 악하선 종대와 비균질성 조영증강, 양측 이하선 비균질성 조영증강 보여 우측 악하선염 및 양측 이하선염으로 의심되는 소견 외 종양 등 다른 특이소견은 없었다. 경구 스테로이드 치료를 지속하며 증상이 호전되어 조직검사를 시행하지 않았으나 말초혈액검사에서 혈청 IgG4 752.0 mg/dL, 혈청 IgG 1834 mg/dL로 상승되어 있었다. 상기 소견을 종합하여 우측 악하선을 침범한 “possible” IgG4-RD로 진단하였다. 진단 이후 시행한 흉부 및 복부 전산화단층촬영 검사에서 폐와 신장 등 다른 기관에도 침범 양상이 확인되어 IgG4-RD의 전신침범으로 진단하였고, 혈청 IgG4 추적관찰하며 류마티스내과 협진하에 치료를 지속하는 중이다.
면역글로불린 G4 연관 질환(IgG4-RD)은 침샘, 췌장, 신장, 폐 등 여러 기관을 침범할 수 있는 드문 섬유염증성 질환으로[1,2], 혈청 IgG4의 상승이 동반되며 임상적으로 조직이 붓고 조직학적으로 림프형질세포의 침윤을 특징으로 한다. 아직까지 정확한 병리생리학적 발생 기전이 규명된 바는 없으나, 질환의 시작과 진행에 관여할 것으로 생각되는 요소들이 점차 밝혀지고 있다. B세포와 형질모세포가 자가면역 항체를 분비하고 T세포를 유도하는 항원제시세포로서의 역할을 하면서 질환의 진행에 주요한 역할을 하는 것으로 받아들여지고 있다. 형질모세포 수가 면역억제 치료 중 감소하였다가 질환이 재발하면 다시 증가하는 소견을 보인다는 점에서 중증도나 재발을 나타내는 인자로서 활용될 수 있음을 시사한다[5]. Th2 세포에 의한 면역반응에 따라 interleukin (IL)-4, IL-5, IL-10, IL-13 등의 사이토카인이 침범된 조직에 많아지면서 유도되는 호산구 증가증이나 혈청 IgE 상승이 IgG4-RD 환자 중 40% 정도에서 관찰된다는 점에서 T세포 또한 질환의 진행에 주요한 역할을 하는 것으로 생각되고 있다[6-8]. IgG4-RD가 발생하는 기전 중에는 유전적 요소도 연구되고 있다. HLA의 아형 DRB1*0405과 DQB1*0401 유전자가 일본 인구에서 이 질환의 감수성을 증가시킨다는 보고가 있으며, 아스파르트산이 없는 DQβ1-57 유전자는 한국 인구에서 질환의 재발과 관련이 있는 것으로 생각되고 있다[9,10]. 이와 같은 유전적 소인이 있는 환자에서 특정 균에서 발현되는 단백질과의 분자적 유사성으로 인해 형성된 항체가 자가항체로 작용하여 질환이 발생한다는 가설도 연구되고 있다[11].
IgG4-RD는 임상적인 특징과 혈청학적 소견, 조직학적 소견 등을 종합하여 진단이 이루어지며, 현재 가장 널리 적용되는 진단 기준은 Umehara와 Okazaki12)에 의해 제시되었다(Table 2). “Definite diagnosis”는 임상적, 혈청학적, 조직학적 소견이 모두 충족된 경우이며, 임상적 소견과 조직학적 소견만으로는 “probable”, 임상적 소견과 혈청학적 소견만으로는 “possible” 진단이 이루어지게 된다. IgG4-RD 환자의 대다수는 일측 또는 양측 악하부 종대를 주소로 내원하는 경우가 많은데, 이 질환으로 진단을 내리기 위해서는 우선 신체 검사와 말초혈액검사 등으로 감염성 질환을, 영상검사 및 세포검사 등에서 종양성 질환(림프종, 전이암 등)이 배제가 되어야 한다. 그러나 아직까지 영상 검사의 소견만으로 IgG4-RD로 진단하는 것은 어려운 실정이며, 혈청학적 소견과 조직학적 소견을 함께 고려하여 쇼그렌 증후군, Castleman disease, 사르코이드증 등의 전신질환을 감별하는 것이 필요하다 한다. 따라서 염증성 질환이 의심되는 경우 진단 및 치료 목적으로 혈청 IgG4와 함께 가능하다면 수술적 절제를 통한 조직검사를 시행해 볼 수 있다. IgG4-RD 환자 중 침샘의 침범은 27%-53% 정도에서 보고되고 있으며[3], 한 연구에 따르면 침샘 중 악하선과 이하선의 침범 빈도는 각각 94%, 29% 정도로 악하선을 더 자주 침범하는 것으로 나타났다[1]. 그러나 아직까지 다른 침샘보다 악하선 침범이 더 많은 이유에 대해서는 알려진 바가 없으나, 악하선 종대가 있는 IgG4-RD 환자의 경우 다른 기관의 침범 빈도 또한 더 높다는 결과가 있어, 악하선을 침범한 IgG4-RD으로 진단된 경우에는 췌장을 포함하여 환자가 호소하는 증상에 따른 정밀검사를 시행하는 것이 반드시 필요하다[13].
치료로는 경구 스테로이드를 통한 면역억제 치료가 가장 핵심으로 자리잡고 있다. 증상이 없고 경도의 악하선 종대만 있는 경우에는 대기요법(watchful waiting)을 통해 경과를 지켜볼 수 있겠으나, 중등도 이상의 악하선 종대가 있거나 통증 등의 증상이 있는 경우에는 조기에 경구 스테로이드 치료를 적용함으로써 점진적으로 진행되는 침샘의 섬유화를 예방하여 기능을 보존하고 이 질환의 빠른 관해 및 재발을 낮추는 데 도움이 된다는 보고가 있다[4]. 현재는 관해요법으로 prednisolone을 기준으로 0.6 mg/kg/day의 용량으로 2-4주간 투약한 후 점차 용량을 감소하여 2.5-5 mg/day의 용량으로 3-6개월 이상, 3년까지 유지요법을 시행하는 방법이 통용되고 있다. 이 질환의 호전 여부를 판단하기 위해서는 전반적인 임상 상태의 호전, 혈청 IgG4의 현저한 감소, 방사선학적 이상 소견의 감소 등 세 가지 조건 중 두 가지 이상을 충족해야 한다. 그 외 azathioprine, methotrexate와 같은 약제도 유지치료제로 논의되고 있으며, rituximab은 재발성 또는 불응성의 경우에 사용해 볼 수 있다[14].
현재 gold standard로서의 진단 방법은 조직검사 등의 침습적인 검사가 필수적으로 활용되고 있으나, 점점 유병률이 증가하는 추세로[15] 자가면역 기전 등 발병 기전에 대해서 점차 밝혀지고 향후 덜 침습적인 방식의 효과적인 진단과 치료 방법에 대한 향후 연구가 이루어질 필요가 있다.
Notes
Author Contribution
Conceptualization: Jae-Gu Cho. Data curation: Wookjin Oh, Jaeman Park. Formal analysis: Jae-Gu Cho. Investigation: Jae-Gu Cho, Jaeman Park. Supervision: Jae-Gu Cho. Validation: Jae-Gu Cho, Taesung Jeon. Visualization: Taesung Jeon, Wookjin Oh. Writing—original draft: Jaeman Park. Writing—review & editing: Jae-Gu Cho.
REFERENCES
1. Brito-Zerón P, Ramos-Casals M, Bosch X, Stone JH. The clinical spectrum of IgG4-related disease. Autoimmun Rev. 2014; 13(12):1203–10.

2. Chavda VP, Vaghasiya DD, Patel AB. Immunoglobulin G4-related disease: current status. Presse Med. 2022; 51(1):104118.

3. Floreani A, Okazaki K, Uchida K, Gershwin ME. IgG4-related disease: changing epidemiology and new thoughts on a multisystem disease. J Transl Autoimmun. 2020; 4:100074.

4. Inoue D, Yoshida K, Yoneda N, Ozaki K, Matsubara T, Nagai K, et al. IgG4-related disease: dataset of 235 consecutive patients. Medicine (Baltimore). 2015; 94(15):e680.
5. Wallace ZS, Mattoo H, Carruthers M, Mahajan VS, Della Torre E, Lee H, et al. Plasmablasts as a biomarker for IgG4-related disease, independent of serum IgG4 concentrations. Ann Rheum Dis. 2015; 74(1):190–5.

6. Stone JH. IgG4-related disease: pathophysiologic insights drive emerging treatment approaches. Clin Exp Rheumatol. 2016; 34(4 Suppl 98):66–8.
7. Kamisawa T, Anjiki H, Egawa N, Kubota N. Allergic manifestations in autoimmune pancreatitis. Eur J Gastroenterol Hepatol. 2009; 21(10):1136–9.

8. Zen Y, Fujii T, Harada K, Kawano M, Yamada K, Takahira M, et al. Th2 and regulatory immune reactions are increased in immunoglobin G4-related sclerosing pancreatitis and cholangitis. Hepatology. 2007; 45(6):1538–46.

9. Kawa S, Ota M, Yoshizawa K, Horiuchi A, Hamano H, Ochi Y, et al. HLA DRB1*0405-DQB1*0401 haplotype is associated with autoimmune pancreatitis in the Japanese population. Gastroenterology. 2002; 122(5):1264–9.

10. Park DH, Kim MH, Oh HB, Kwon OJ, Choi YJ, Lee SS, et al. Substitution of aspartic acid at position 57 of the DQβ1 affects relapse of autoimmune pancreatitis. Gastroenterology. 2008; 134(2):440–6.

11. Akitake R, Watanabe T, Zaima C, Uza N, Ida H, Tada S, et al. Possible involvement of T helper type 2 responses to Toll-like receptor ligands in IgG4-related sclerosing disease. Gut. 2010; 59(4):542–5.

12. Umehara H, Okazaki K. Comprehensive diagnostic criteria for IgG4-related disease. In: Umehara H, Okazaki K, Stone J, Kawa S, Kawano M, editors. IgG4-related disease. Tokyo: Springer;2014. p.35-9.
13. Martín-Nares E, Ángeles-Ángeles A, Hernandez-Molina G. Major salivary gland enlargement in IgG4-related disease is associated with multiorgan involvement and higher basal disease activity. Mod Rheumatol. 2020; 30(1):172–7.

14. Khosroshahi A, Wallace ZS, Crowe JL, Akamizu T, Azumi A, Carruthers MN, et al. International consensus guidance statement on the management and treatment of IgG4-related disease. Arthritis Rheumatol. 2015; 67(7):1688–99.

15. Zen Y, Nakanuma Y. IgG4-related disease: a cross-sectional study of 114 cases. Am J Surg Pathol. 2010; 34(12):1812–9.
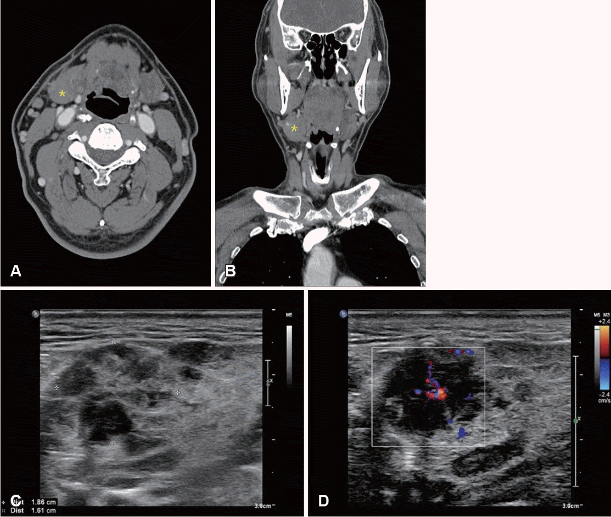
Fig. 1.
Radiologic and ultrasonic findings of patient case 1. A and B: Enhanced axial and coronal images of salivary gland CT scan show slightly enlarged to normal right submandibular gland (asterisk). C and D: Multicystic and hypervascular right submandibular gland on ultrasonography.
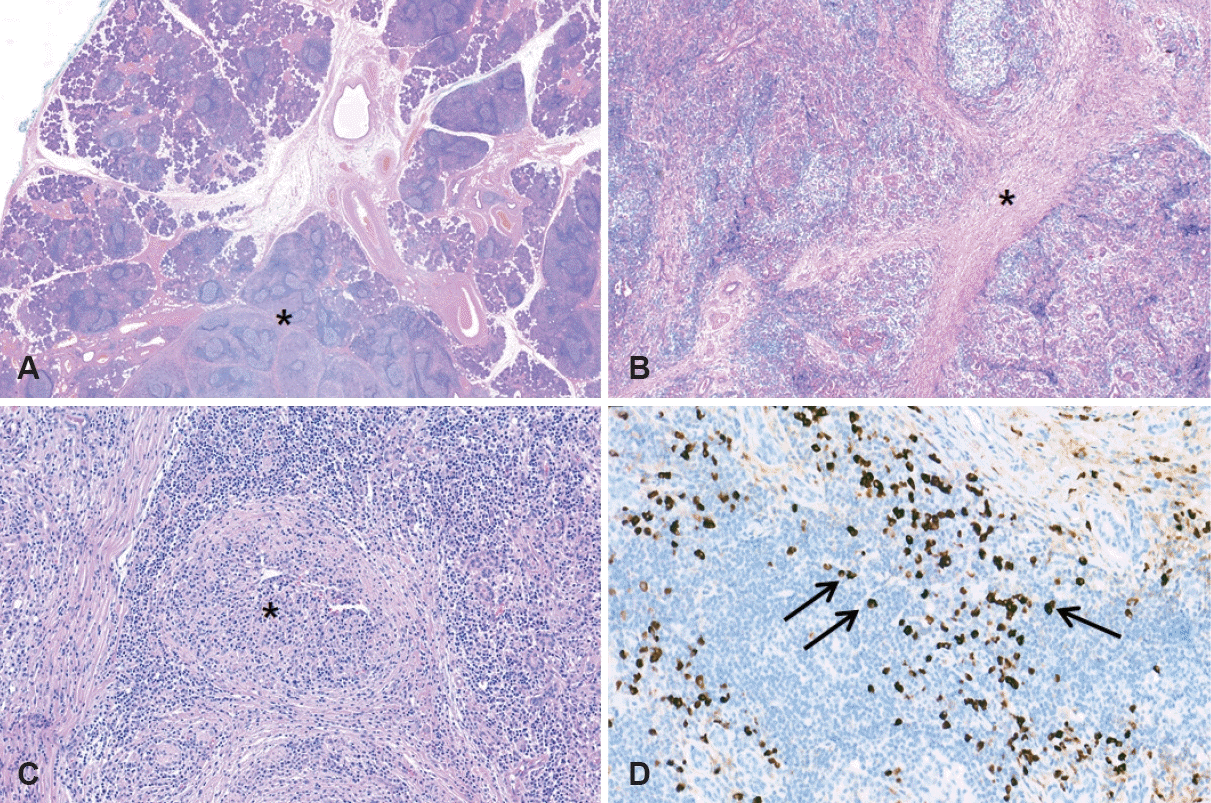
Fig. 2.
Histologic findings on hematoxylin and eosin staining (A-C) and on immunohistochemical staining for immunoglobulin G4 (IgG4)- positive plasma cells (D) of patient case 1. Lymphoplasmacytic infiltration with irregularly shaped reactive germinal centers (A; asterisk, ×20), storiform fibrosis (B; asterisk, ×100), obstructive phlebitis (C; asterisk, ×100) and IgG4-positive plasma cells greater than 100 per high power field (D; arrows, ×100).
Table 1.
Clinical data of the patients
Table 2.
Diagnostic criteria of immunoglobulin G4 (IgG4)-related disease



PDF
Citation
Print



XML Download