Abstract
Rhino-orbito-cerebral mucormycosis (ROCM) is a rare fungal infection that may be fatal in immunocompromised patients. Acupuncture is commonly used in Eastern Asia in addition to steroid medication for the treatment of Bell’s palsy. For such patients with comorbid medical conditions, potential risks might arise after the acupuncture procedure; however, ROCM following acupuncture therapy has not been reported to date. Here we present a rare case of invasive mucormycosis that began from the facial skin after acupuncture procedure. In this case, the patient was suspected of ROCM infection and emergently treated with surgical debridement and antifungal therapy. Despite early surgical debridement and medical treatment, the patient died due to brain infarction and invasion of mucormycosis into the internal carotid artery and cavernous sinus. Although acupuncture therapy is considered relatively safe in general, care should be taken when performing acupuncture in patients with underlying diseases that cause immunosuppression.
Mucormycosis, caused by organisms in the Mucoraceae family, is a rare infection that frequently affects the head and neck region [1]. And if the infection involves the nasal cavities, paranasal sinuses, eyes, and brain, it is called rhinocerebral mucormycosis, or rhino-orbito-cerebral mucormycosis (ROCM) [2]. The spores first infect the primary site, but they may then spread to the paranasal sinuses, the orbits, the skull base, and the brain as the mucor fungus can invade vessels, especially in high-risk patients. The major risk factors for invasive mucormycosis are uncontrolled diabetes, organ or bone marrow transplantation, treatment with corticosteroids, neutropenia, trauma, burns, and malignant hematologic disorders [3-6].
Bell’s palsy is the most common type of acute idiopathic peripheral facial palsy, and current guidelines recommend high-dose corticosteroid therapy [7,8]. In addition to steroid medication, acupuncture is commonly used to treat Bell’s palsy in Eastern Asia [9,10]. with recent Korean national health insurance data showing that 98.3% of patients received acupuncture-based treatment [11]. However, there is a lack of consensus on acupuncture therapy for Bell’s palsy, especially for patients with comorbid medical conditions. Therefore, more investigation should be conducted on the potential risks that might arise after the procedure in high-risk patients.
In this manner, we present a patient with fatal ROCM that occurred after acupuncture therapy for the treatment of Bell’s palsy with multiple comorbid medical conditions.
A seventy-five-year-old female with diabetes and liver cirrhosis was referred to our clinic with three days of progressive right facial swelling and pain. She had a history of treatment for Bell’s palsy one week before, with three times of acupuncture. The initial physical examination showed small black eschars on the right cheek, with black necrotic skin lesions from the lower lip to the eyebrow (Fig. 1A). As the extent of the lesion was rapidly increasing within a few hours, she was emergently admitted for rapid diagnostic work up and treatment.
A contrast-enhanced CT scan of the head and neck was performed, and it showed a right anterior maxillary wall defect and hemifacial cellulitis with air formation without definitive abscess formation (Fig. 1C and D). Considering disease progression, empirical intravenous antibiotics were initiated with piperacillin/tazobactam, clindamycin, and vancomycin, and surgical debridement was carried out at the same time. Extensive debridement was performed until fresh tissue was seen, and most of the nasal mucosa, partial nasal bone, and partial anterior maxilla were resected and drilled out as they were found to be necrotic (Fig. 1B). The surgical defect in her facial lesion was initially planned to be reconstructed with a secondary surgery, such as an anterolateral free flap, after complete recovery from the infection, depending on the extent of the defect.
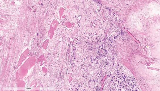
The pathologic diagnosis was confirmed as invasive mucormycosis (Fig. 2), and intravenous amphotericin B liposome (ambisome) was added to the patient’s treatment regimen. Despite management, her mental status changed to confusion with left-eye pupil dilation on the third day of admission. Brain magnetic resonance imaging showed multifocal acute ischemic lesions near the right middle cranial artery and the left corona radiata. In addition, both cavernous sinuses and internal carotid arteries appeared to be involved with invasive mucormycosis (Fig. 1E and F). Given the patient’s anticipated fatal prognosis due to disease progression and brain infarction, her family chose not to pursue further surgical interventions or diagnostic procedures. The patient developed septic shock from the progressive infection, exhibited unstable vital signs and a loss of spontaneous respiration, and passed away on the sixth day of hospitalization.
We presented a patient with diabetes mellitus and liver cirrhosis who died from being infected by invasive mucormycosis that began from the facial skin after acupuncture, which had not been reported in previous cases.
The treatment of invasive mucormycosis includes early surgical debridement with pathologic confirmation and initiation of antifungal therapy. In addition, management of any underlying disease is crucial for successful treatment outcomes [5]. In this case, we conducted surgical debridement and administered appropriate medical treatments, including intravenous antifungal therapy. Despite our efforts, we were unable to halt the progression of the aggressive infection, which is recognized as an indicator of poor prognosis in cases of ROCM.
Acupuncture has been widely performed for the treatment of Bell’s palsy, with some studies supporting its efficacy [12,13]. Also, it is considered relatively safe as its prevalence rate of side effect has been reported to be 3.7% [14]. But in actual practice, as acupuncture needles are inserted deep into the muscle repeatedly during the procedure, it has the potential to be infected if the needles are used within an insufficiently sterilized environment. A previous systemic review by Zhang, et al. [15] reported that most infectious complications after acupuncture were caused by septic procedures induced by an uneducated acupuncture operator. Also, it is well known that uncontrolled diabetes, penetrating trauma or burns, immunodeficiency, and hematological malignancies are risk factors for infection after acupuncture [2,5,6,15]. Therefore, acupuncture therapy must be carefully considered in patients with underlying medical disorders, and meticulous follow-up is required if the procedure is performed.
In conclusion, we presented a case with ROCM that arose after acupuncture for Bell’s palsy, which was rapidly progressive and destructive. Although acupuncture therapy has been reported to have few side effects, care should be taken when performing acupuncture in patients with underlying diseases that cause immunosuppression.
REFERENCES
2. Peterson KL, Wang M, Canalis RF, Abemayor E. Rhinocerebral mucormycosis: evolution of the disease and treatment options. Laryngoscope. 1997; 107(7):855–62.

3. Ibrahim AS, Spellberg B, Walsh TJ, Kontoyiannis DP. Pathogenesis of mucormycosis. Clin Infect Dis. 2012; 54(Suppl 1):S16–22.

4. Rammaert B, Lanternier F, Poirée S, Kania R, Lortholary O. Diabetes and mucormycosis: a complex interplay. Diabetes Metab. 2012; 38(3):193–204.

5. Spellberg B, Edwards J Jr, Ibrahim A. Novel perspectives on mucormycosis: pathophysiology, presentation, and management. Clin Microbiol Rev. 2005; 18(3):556–69.

6. Marr KA, Carter RA, Crippa F, Wald A, Corey L. Epidemiology and outcome of mould infections in hematopoietic stem cell transplant recipients. Clin Infect Dis. 2002; 34(7):909–17.

7. Zhang W, Xu L, Luo T, Wu F, Zhao B, Li X. The etiology of Bell’s palsy: a review. J Neurol. 2020; 267(7):1896–905.

8. Baugh RF, Basura GJ, Ishii LE, Schwartz SR, Drumheller CM, Burkholder R, et al. Clinical practice guideline: Bell’s palsy. Otolaryngol Head Neck Surg. 2013; 149(Suppl 3):S1–27.

9. Xia F, Han J, Liu X, Wang J, Jiang Z, Wang K, et al. Prednisolone and acupuncture in Bell’s palsy: study protocol for a randomized, controlled trial. Trials. 2011; 12:158.

10. between J, Yoon SR, Lim H, Choi HS. Distribution of medical service use for facial palsy between medicine and traditional Korean medicine based on population-based data of Korea. J Korean Med Sci. 2022; 37(15):e119.

11. Kim D, Jung B, Cho MU, Song SB, Chung SH, Park TY, et al. Analysis of medical services provided to patients with peripheral facial palsy in Korea: a descriptive, cross-sectional study of the health insurance review and assessment service national patient sample database. BMC Health Serv Res. 2021; 21(1):1178.

12. Zhang R, Wu T, Wang R, Wang D, Liu Q. Compare the efficacy of acupuncture with drugs in the treatment of Bell’s palsy: a systematic review and meta-analysis of RCTs. Medicine (Baltimore). 2019; 98(19):e15566.
13. Zhao Y, Feng G, Gao Z. Advances in diagnosis and non-surgical treatment of Bell’s palsy. J Otol. 2015; 10(1):7–12.

Fig. 1.
Facial photo and radiologic images of the patient. A: The initial physical examination shows blackish eschars on the right side of the face. B: Extensive debridement was performed, including the facial skin, maxillary bone, and nasal mucosa. C and D: Preoperative axial (C) and coronal (D) contrast-enhanced CT scans showed cellulitis with air formation without any definitive abscess. E: T1-weighted contrast-enhanced MRI revealed involvement of the cavernous sinus and internal carotid artery by infection. F: Diffusion-weighted imaging showed multifocal acute ischemic lesions on the right middle cerebral artery territory and the left corona radiata.



PDF
Citation
Print



XML Download