Abstract
Central pontine myelinolysis (CPM) is a severe neurological complication observed after liver transplantation (LT), with a mortality rate exceeding 50%. This study presents a case report of a 43-year-old female patient with alcoholic liver cirrhosis who underwent liver transplantation and subsequently developed CPM. The patient admitted with symptoms and signs of acute on chronic liver failure, such as hyponatremia, and hepatic encephalopathy Grade 3 Glasgow Coma Scale (GCS) 10. Sodium benzoate was started together with lactulose. Ammonia level was decreased and mentality was also improved. However, sodium level was increased up to 160 mmol/L. After liver transplantation, the patient become drowsier (GCS 6–9) even with good liver function. The brain magnetic resonance imaging at the post-LT 5th day showed CPM. The mentality was slowly improved after conservative management with low level of tacrolimus. This case gives a lesson that pre-operative sodium benzoate treatment can increase the risk of CPM by increasing sodium level in patients with severe hyponatremia. Therefore, careful monitoring of sodium level is important when sodium benzoate is prescribed.
Central pontine myelinolysis (CPM) is a severe neurological complication following liver transplantation (LT), associated with a mortality rate exceeding 50% [1]. Although the precise etiology and pathogenesis of CPM remain largely unknown, its high incidence post-transplantation is primarily attributed to a combination of predisposing risk factors, significant volume shifts during transplant, and the use of postoperative immunosuppressive (IS) agents. A chronic hypoosmolar state (Na<120 mmol/L for more than 2 days) and its rapid correction (rather than an acute and brief episode of hyponatremia) are commonly implicated in the development of CPM [1,2]. Recently, the incidence of CPM after LT is lower due to better understanding of the risk factors and improved intraoperative management protocol. However, there is not so many reports that showed the preoperative management also can increase the risk of post-LT CPM. We report a case of CPM after living donor liver transplantation (LDLT) who experienced the sudden increase of sodium level by sodium benzoate treatment pre-operatively.
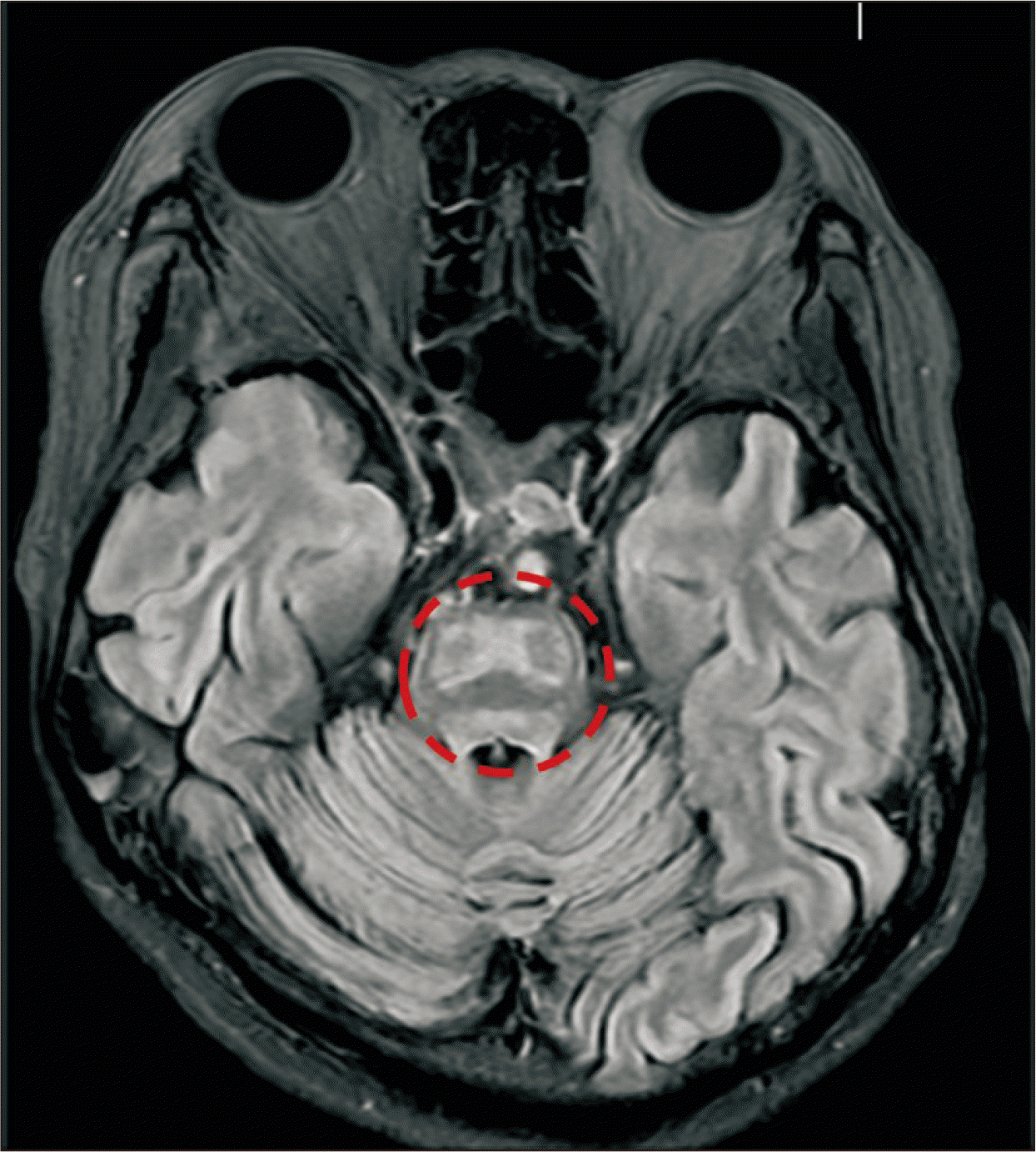
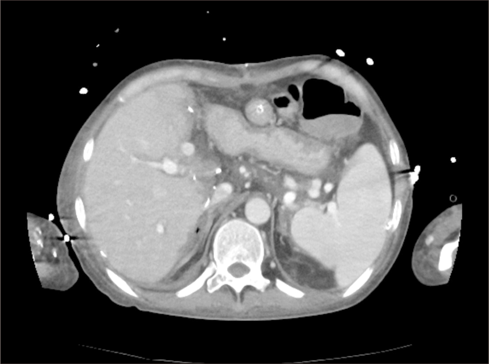
A 43-year-old female patient was diagnosed with acute on chronic liver failure associated with alcoholic liver cirrhosis (Fig. 1) with hyponatremia, and hepatic encephalopathy Grade 3 (Glasgow Coma Scale, GCS 10). Her medical history included partial gastrectomy for obesity in 2002. The patient underwent LDLT. Before transplantation, Rituximab infusion and one session of plasmapheresis were performed due to high titer of cytotoxic antibody. Sodium level was 125 mmol/L, and ammonia level was 231 mmol/L at the time of admission. GCS was 10. Sodium benzoate 4 g/20 mL and lactulose were initiated to decrease ammonia levels in the blood and improve mental status. Ammonia levels started decreasing after sodium benzoate and lactulose treatment, accompanied by slight improvement in mental status. One day before surgery, ammonia levels decreased from 231 mmol/L to 110 mmol/L (Fig. 2), while sodium levels increased from 125 mmol/L to 158 mmol/L. During surgery, a significant blood transfusion was performed, consisting of 8 L blood components - 12 units of red blood cell and 7 units of fresh frozen plasma. Sodium levels during surgery ranged from 150–153. Reperfusion caused severe bradycardia (heart rate 20), corrected by epinephrine 100 mcg IV. Post-LT, the patient was transferred to the intensive care unit. In postoperative period, liver doppler and liver function tests were normal, and postoperative liver computed tomography (CT) scan at postoperative 5th day showed normal findings (Fig. 3). Despite this, the patient remained unresponsive to commands and exhibited a tendency to sleep. Post-surgery ammonia levels decreased to 110 with a declining trend and normalized on post-operative day (POD)#2–3 (Fig. 2). However, the patient’s mental status deteriorated, with GCS score decreasing from 10 to 6. Sodium levels initially increased to 160 but normalized after POD#5. Electroencephalogram showed delta slowing, and Brain CT scan revealed no significant abnormalities. Magnetic resonance imaging (MRI)+diffusion-weighted imaging revealed CPM (Fig. 4). Conservative treatment was initiated, maintaining tacrolimus levels below 5 to prevent CPM progression, and vitamin B (thiamine) supplementation was provided. Levodopa was administered, resulting in improvement in mental status and GCS from 6 to 12 after POD#19.
CPM is defined as symmetrical demyelination of the central area of the pons. Based on autopsy results, the incidence of CPM after LT ascends to 17% and is associated with a high mortality rate (50% or higher) [3]. Liver transplant recipients have a high prevalence of predisposing factors for CPM, such as electrolyte imbalances, liver disease, diabetes mellitus, malnutrition, chronic hyponatremia, hypoxia, and certain medications (barbiturates, diuretics, cytostatics, sodium benzoate, lactulose). Changes in serum sodium due to large volume shifts during transplantation have been associated with CPM [2,4]. A chronic hypo-osmolar state (Na<120 mmol/L for more than 2 days) and its rapid correction (but not an acute and brief episode of hyponatremia) are common attributable factors for the development of CPM [1,2]. After 1979, the US Food and Drug Administration approved sodium benzoate to treat hepatic encephalopathy with hyperammonemia [5], but as with lactulose, the use of sodium benzoate may raise serum sodium levels and increase the chance of CPM [6,7], as in our patient’s case. In most cases developing CPM is based on postoperative and intraoperative processes but we described that there is also cases when perioperative care such as injection sodium benzoate and lactulose for decrease ammonia level and improve patient mental status can induced and increase CPM risk after LT. The clinical appearance of symptoms occurs from 2–7 days after the injury, depending on the brain areas affected. It can debut as progressive confusion, neuropsychiatric disorders, seizures, dysphagia and dysarthria, spastic quadriplegia, locked-in syndrome, or coma [4]. In patients who present with these signs and symptoms following liver transplant, suspicion of CPM should be raised, especially in high-risk patients, even in the absence of electrolyte imbalance, because radiological MRI imaging changes, which more accurately confirm the diagnosis, can take up to 20 days to appear [7].
In conclusion, this case gives a lesson that pre-operative sodium benzoate treatment can rapidly increase of sodium level and the risk of CPM. Therefore, careful monitoring of sodium level is important when sodium benzoate is prescribed. Patients at high risk of CPM must have fluid and electrolytes carefully titrated during surgery and the preoperative period. Additionally, medications that may rapidly increase sodium levels in the blood, such as sodium benzoate with lactulose to artificially decrease ammonia levels, should be avoided. In the presence of hyponatremia, sodium correction should be done slowly at a rate of 8 mmol/L/day. Control of the blood concentration of IS should be instituted and maintained at low ranges to prevent CPM progression.
Notes
CONFLICT OF INTEREST
Suk Kyun Hong is an editorial member of the journal but was not involved in the review process of this manuscript. Any other authors have no conflict of interest.
AUTHORS’ CONTRIBUTIONS
Conceptualization: KWL, NJY, YRC. Data curation: LJ, JYK. Formal analysis: KWL, LJ. Investigation: KWL, LJ. Methodology: KWL, LJ. Project administration: KWL, LJ. Resources: KWL, LJ. Software: KWL, LJ. Supervision: KWL, SKH. Validation: KWL, LJ. Visualization: KWL, LJ. Writing – original draft: LJ. Writing – review & editing: KWL, NJY, YRC, SKH, KSS.
REFERENCES
1. Kumar S, Fowler M, Gonzalez-Toledo E, Jaffe SL. 2006; Central pontine myelinolysis, an update. Neurol Res. 28:360–366. DOI: 10.1179/016164106X110346. PMID: 16687066.

2. Lee EM, Kang JK, Yun SC, Kim KH, Kim SJ, Hwang KS, et al. 2009; Risk factors for central pontine and extrapontine myelinolysis following orthotopic liver transplantation. Eur Neurol. 62:362–368. DOI: 10.1159/000242426. PMID: 19797900.

3. Gocht A, Colmant HJ. 1987; Central pontine and extrapontine myelinolysis: a report of 58 cases. Clin Neuropathol. 6:262–270.
4. Odier C, Nguyen DK, Panisset M. 2010; Central pontine and extrapontine myelinolysis: from epileptic and other manifestations to cognitive prognosis. J Neurol. 257:1176–1180. DOI: 10.1007/s00415-010-5486-7. PMID: 20148334.

5. Nettis E, Colanardi MC, Ferrannini A, Tursi A. 2004; Sodium benzoate-induced repeated episodes of acute urticaria/angio-oedema: randomized controlled trial. Br J Dermatol. 151:898–902. DOI: 10.1111/j.1365-2133.2004.06095.x. PMID: 15491435.

6. Biagio Murta EDFF, Machado Oliveira MV, Henrique Torres Menezes P, Delgado MA. 2023; Central pontine myelinolysis after liver transplant: a case report and an updated review. Saudi J Anaesth. 17:275–277. DOI: 10.4103/sja.sja_709_22. PMID: 37260634. PMCID: PMC10228860.
7. Misel ML, Gish RG, Patton H, Mendler M. 2013; Sodium benzoate for treatment of hepatic encephalopathy. Gastroenterol Hepatol (N Y). 9:219–227.
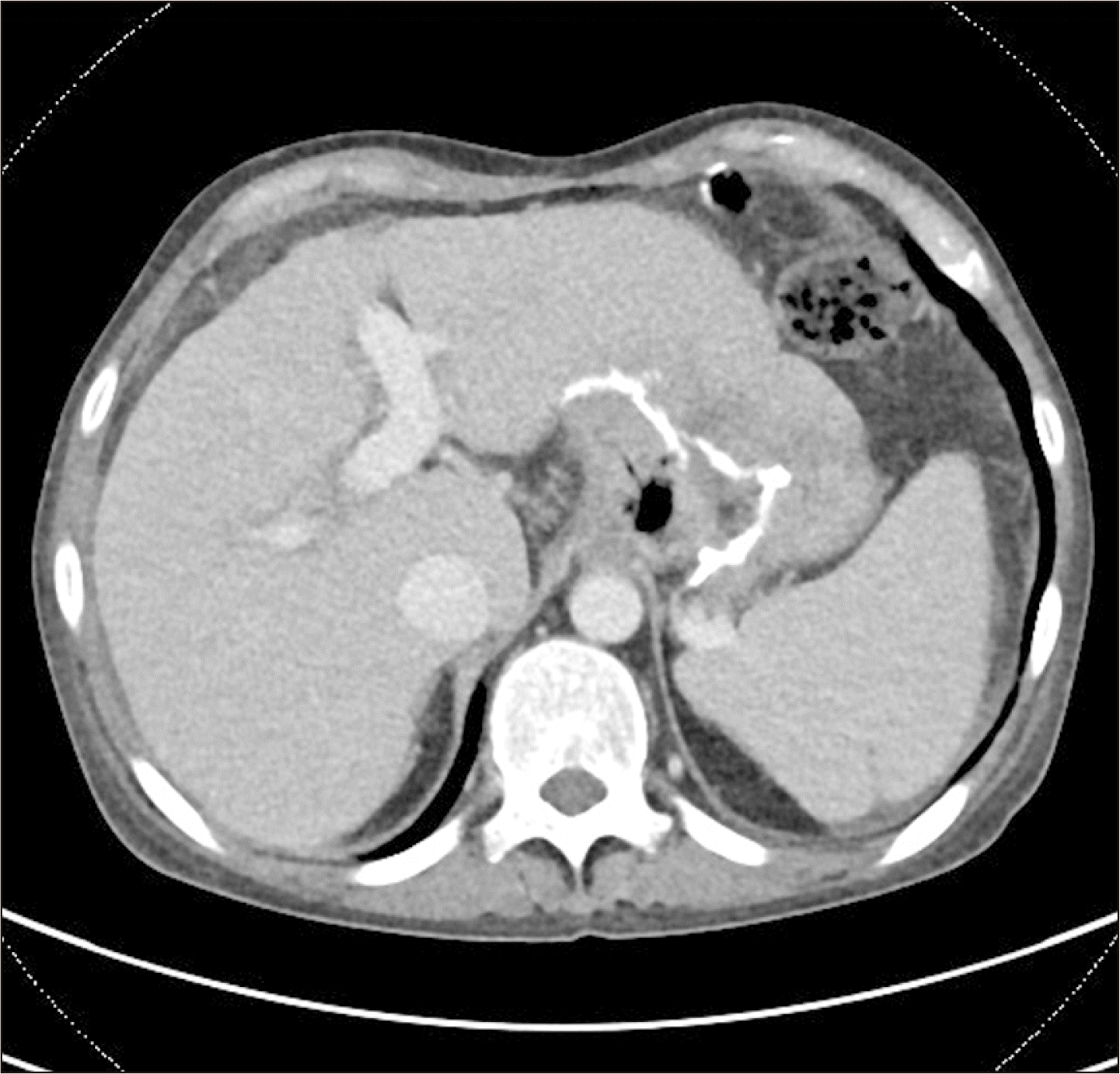
Figure 1
Pre-operative computed tomography shows acute liver damage and stapling line related with the previous partial gastrectomy for obesity.
Figure 2
The changes of the level of ammonia, sodium, and tacrolimus level and Glasgow Coma Scale (GCS). Sodium benzoate was treated preoperatively. OP-, pre-operative day; LDLT, living donor liver transplantation; POD, post-operative day.



PDF
Citation
Print



XML Download