Abstract
Liver transplantation is accepted as an effective therapeutic option for unresectable hepatoblastoma. We present a pediatric case of hepatoblastoma patient with portal vein (PV) tumor thrombosis (PVTT) that occluded the main PV completely despite aggressive neoadjuvant chemotherapy. The patient was a 4-year and 2-month-old 17-kg boy suffering from hepatoblastoma with PVTT, which was partially regressed by neoadjuvant chemotherapy. Viable PVTT remained after right trisectionectomy and repetition of systemic chemotherapy. To remove the tumor completely, we performed living donor liver transplantation (LDLT) using his father’s left liver graft. The native PV was completely occluded with PVTT and abundant pericholedochal collaterals developed. The native PV was meticulously dissected to fully expose the superior mesenteric vein-splenic vein confluence. This confluence portion was deeply clamped and opened to use as a viable PV inflow source. A cold-stored fresh external iliac vein homograft was anastomosed to the confluence portion as an end-to-end fashion and passed through the native retropancreatic PV tract after mechanical dilatation of the tract. Left liver graft implantation was performed using standard procedures of pediatric LDLT. The patient recovered uneventfully. He will undergo scheduled adjuvant chemotherapy. Customized design for PV reconstruction using interposition vein graft with viable PV inflow source can result in successful PV reconstruction with complete removal of PVTT.
Hepatoblastoma is the most prevalent malignant liver tumor in young children, representing 60%–85% of pediatric liver cancers [1]. Surgical resection is the primary treatment, and advancements in imaging, chemotherapy, and surgery have significantly increased survival rates. For those with resectable tumors, disease-free survival rates range from 80%–90% [2,3]. However, many cases present as unresectable based on initial imaging. In some instances, systemic chemotherapy can shrink these tumors, making surgical removal possible. In cases where the tumor remains unresectable, liver transplantation (LT) becomes necessary, as it is considered an effective treatment option [4]. Tumors involving bilateral portal vein (PV) branches or the main PV with thrombosis are particularly difficult to resect [5]. While macrovascular invasion is generally a poor prognosis, LT aims to achieve complete tumor removal in chemo-sensitive cases [5,6].
We herein present a pediatric case of hepatoblastoma patient with portal vein tumor thrombosis (PVTT) that occluded the main PV completely after neoadjuvant chemotherapy and hepatectomy. The patient was successfully treated with living donor liver transplantation (LDLT) combined with PV interposition graft.
The patient was a 4-year and 2-month-old 17-kg boy suffering from hepatoblastoma with PVTT. At 30 months after birth, abdominal distension with palpable mass was detected, and workup studies confirmed the diagnosis of hepatoblastoma with pre-treatment extent of tumor (PRETEXT) stage IV with PVTT (Fig. 1A, B) [7]. He underwent systemic chemotherapy at an outside hospital. He was transferred to Asan Medical Center and underwent chemotherapy. The tumor was reduced markedly, but viable tumor with PVTT remained due to partial response (Fig. 1C, D). Right trisectionectomy with removal of PVTT was performed to remove the residual tumor at the right liver at the age of 35 months, in which a 6.5 cm-sized residual hepatoblastoma of mixed epithelial and mesenchymal cell type without teratoid features was diagnosed (Fig. 2). There were macrovascular and lymphovascular invasions with focal involvement of the PV resection margin. The patient recovered uneventfully from this hepatectomy.
The patient underwent scheduled adjuvant chemotherapy, but serum alpha-fetoprotein level increased, suggesting tumor recurrence. Some parts of the tumor remained, being partially responsive to systemic chemotherapy (Fig. 3).
Thus, we decided to perform LDLT to remove the tumor completely at the age of 4 years and 2 months. After we prepared a cold-stored fresh iliac homograft, which was recovered from a deceased organ donor, we performed an LDLT operation after living donor workup.
After laparotomy, the hepatic hilum was meticulously dissected and the PV collaterals developed along the common bile duct was isolated. Soon after laparotomy, we found that the pericholedochal varices were too small to use as an inflow source of portal flow [8,9]. Thus, the obliterated main PV was meticulously dissected through the pancreas neck to fully expose the superior mesenteric vein (SMV) and splenic vein (SV) confluence (Fig. 4). This SMV-SV confluence portion was deeply clamped and opened to use as a viable PV vein inflow source (Fig. 5A–C). An intraoperative frozen-section biopsy of the native PV margin showed tumor-negative. A cold-stored fresh external iliac vein homograft was anastomosed to the SMV-SV confluence portion as an end-to-end fashion (Fig. 5D, E). Because the native PV tract posterior to the pancreas neck was markedly shrunken due to PV obliteration, it was meticulously dilated with gentle insertion of Hegar cervical dilators (Fig. 5F). Thereafter, the interposed PV conduit was passed through the native retropancreatic PV tract (Fig. 5G, H). We identified abundant blood flow from the PV conduit.
A left liver graft of 350 g was harvested from his 42-year-old father, resulting in a graft-to-recipient weight ratio of 2.06%.
For recipient hepatectomy, the common bile duct with pericholedochal varices was transected and securely ligated. The parenchyma of the native liver was completely removed from the recipient inferior vena cava.
For graft implantation, hepatic vein reconstruction was performed first, followed by PV reconstruction with careful length adjustment of the interposed vein conduit (Fig. 6). One graft left hepatic artery was reconstructed, and Roux-en-Y hepaticojejunostomy was performed. Since the liver graft was not large for the size of the recipient abdomen, the abdominal wall was repaired primarily.
The resected liver specimen showed absence of residual hepatoblastoma (Fig. 7). The PV showed fibromyxoid changes and organized thrombus.
No vascular complication developed after the LDLT operation (Fig. 8). This patient recovered uneventfully. He has been doing well with maintenance of normal alpha-fetoprotein level for 2 months to date. He will undergo scheduled adjuvant chemotherapy.
The criteria for LT in cases of unresectable hepatoblastoma include multifocal PRETEXT IV tumors without extrahepatic spread, centrally located unifocal PRETEXT II or III tumors involving the three main hilar structures or all three hepatic veins, and post-treatment extent of tumor (POST-TEXT) III with macroscopic vascular invasion [1-4,6]. In the present case, the tumor had extended into both PV branches and caused thrombosis in the main PV. Although neoadjuvant chemotherapy led to significant tumor regression and reduced the size of the PVTT, complete occlusion of the main PV and pericholedochal collateral development remained. Pretransplant imaging suggested viable tumor cells, prompting the decision to proceed with LDLT due to concerns about potential hematogenous tumor spread and incomplete PVTT removal during surgery. The primary challenge in planning LDLT for the present case was ensuring sufficient PV inflow. Two potential approaches were considered. The first involved utilizing the pericholedochal varices for portal inflow while closing the common bile duct, as shown in our previous cases [8,9]. The second option was to use a vein graft interposed at the SMV-SV confluence portion [10,11]. In the present case, the latter approach was selected, as it provided a significantly greater blood flow compared to the pericholedochal varices. Posttransplant imaging, including three-dimensional reconstruction, confirmed successful PV reconstruction with smooth, unobstructed blood flow from the SMV-SV confluence. PV jump graft in any non-anatomical pathway can result in lower long-term patency rates, thus we used the native anatomic pathway [12], in which the retropancreatic tunnel was meticulously widened with Hegar cervical dilators.
During the deceased donor recovery surgery, large vessel homografts were collected with proper written consent for tissue donation and subsequently stored in the institution’s tissue bank. To maintain the viability of these vessel grafts for use in a fresh state, they were preserved in a 4°C histidine-tryptophan-ketoglutarate solution for up to 7 days, which serves as an alternative to cryopreservation [13].
In conclusion, our patient underwent LDLT for hepatoblastoma with PVTT that occluded the main PV completely. Customized design for PV reconstruction using interposition vein graft with viable PV inflow source can result in successful PV reconstruction with complete removal of PVTT.
REFERENCES
1. Parkin DM, Stiller CA, Draper GJ, Bieber CA. 1988; The international incidence of childhood cancer. Int J Cancer. 42:511–520. DOI: 10.1002/ijc.2910420408. PMID: 3170025.

2. Perilongo G, Maibach R, Shafford E, Brugieres L, Brock P, Morland B, et al. 2009; Cisplatin versus cisplatin plus doxorubicin for standard-risk hepatoblastoma. N Engl J Med. 361:1662–1670. DOI: 10.1056/NEJMoa0810613. PMID: 19846851.

3. Trobaugh-Lotrario AD, Katzenstein HM. 2012; Chemotherapeutic approaches for newly diagnosed hepatoblastoma: past, present, and future strategies. Pediatr Blood Cancer. 59:809–812. DOI: 10.1002/pbc.24219. PMID: 22648979.

4. Kasahara M, Ueda M, Haga H, Hiramatsu H, Kobayashi M, Adachi S, et al. 2005; Living-donor liver transplantation for hepatoblastoma. Am J Transplant. 5:2229–2235. DOI: 10.1111/j.1600-6143.2005.01003.x. PMID: 16095502.

5. Kanazawa H, Sakamoto S, Matsunami M, Sasaki K, Uchida H, Shigeta T, et al. 2014; Technical refinement in living-donor liver transplantation for hepatoblastoma with main portal vein tumor thrombosis - a pullout technique. Pediatr Transplant. 18:E266–E269. DOI: 10.1111/petr.12357.

6. Otte JB, de Ville de Goyet J, Reding R. 2005; Liver transplantation for hepatoblastoma: indications and contraindications in the modern era. Pediatr Transplant. 9:557–565. DOI: 10.1111/j.1399-3046.2005.00354.x. PMID: 16176410.

7. Roebuck DJ, Aronson D, Clapuyt P, Czauderna P, de Ville de Goyet J, Gauthier F, et al. International Childrhood Liver Tumor Strategy Group. 2005 PRETEXT: a revised staging system for primary malignant liver tumours of childhood developed by the SIOPEL group. Pediatr Radiol. 2007; 37:123–132. DOI: 10.1007/s00247-006-0361-5. PMID: 17186233. PMCID: PMC1805044.

8. Moon DB, Lee SG, Ahn CS, Hwang S, Kim KH, Ha TY, et al. 2014; Restoration of portal flow using a pericholedochal varix in adult living donor liver transplantation for patients with total portosplenomesenteric thrombosis. Liver Transpl. 20:612–615. DOI: 10.1002/lt.23850. PMID: 24677674.

9. Namgoong JM, Hwang S, Park GC, Kwon H, Ha S, Kim KM, et al. 2021; Portal vein interposition in living donor liver transplantation for a pediatric hepatoblastoma patient with portal vein tumor thrombosis. Ann Liver Transplant. 1:180–186. DOI: 10.52604/alt.21.0030.

10. Hwang S, Kim DY, Ahn CS, Moon DB, Kim KM, Park GC, et al. 2013; Computational simulation-based vessel interposition reconstruction technique for portal vein hypoplasia in pediatric liver transplantation. Transplant Proc. 45:255–258. DOI: 10.1016/j.transproceed.2012.05.090. PMID: 23375311.

11. Namgoong JM, Hwang S, Oh SH, Kim KM, Park GC, Ahn CS, et al. 2020; Living donor liver transplantation with total pancreatectomy and portal vein homograft replacement in a pediatric patient with advanced pancreatoblastoma. Ann Hepatobiliary Pancreat Surg. 24:78–84. DOI: 10.14701/ahbps.2020.24.1.78. PMID: 32181434. PMCID: PMC7061052.

12. Sharshar M, Yagi S, Iida T, Yao S, Miyachi Y, Macshut M, et al. 2020; Liver transplantation in patients with portal vein thrombosis: a strategic road map throughout management. Surgery. 168:1160–1168. DOI: 10.1016/j.surg.2020.07.023. PMID: 32861438.

13. Hwang S, Bae JH, Kim IO, Hong JJ. 2021; Current vascular allograft procurement, cryopreservation and transplantation techniques in the Asan Medical Center Tissue Bank. Ann Liver Transplant. 1:79–85. DOI: 10.52604/alt.21.0016.

Figure 1
Preoperative computed tomography findings. (A,B) At 30 months of age, large tumors occupied the right liver. (C,D) Tumors were reduced after neoadjuvant chemotherapy and portal vein tumor thrombosis remained at the age of 34 months.
Figure 3
Pretransplant computed tomography findings at the age of 48 months. (A-C) Extensive intrahepatic and extrahepatic portal vein thromboses are identified. (D) Portal vein tumor thrombosis was extended to the superior mesenteric vein-splenic vein confluence with obliterated native portal vein (arrow).
Figure 4
Preplanned design to obtain portal blood flow at the superior mesenteric vein-splenic vein confluence portion. A dotted circle indicates the boundary of vein conduit anastomosis.
Figure 5
Intraoperative photographs showing PV interposition and reconstruction. (A) The neck of the pancreas was lifted after dissection of the obliterated native PV vein. (B,C) The dissected the SMV and SV confluence portion was deeply clamped and opened (arrow). (D,E) A cold-stored fresh external iliac vein homograft was anastomosed to the SMV-SV confluence portion as an end-to-end fashion. (F) The native PV tract posterior to the pancreas neck meticulously dilated with Hegar cervical dilators. (G,H) The interposed PV conduit was passed through the native retropancreatic PV tract. PV, portal vein; SMV, superior mesenteric vein; SV, splenic vein.
Figure 6
Intraoperative photograph showing portal vein reconstruction using an interposition vein graft.
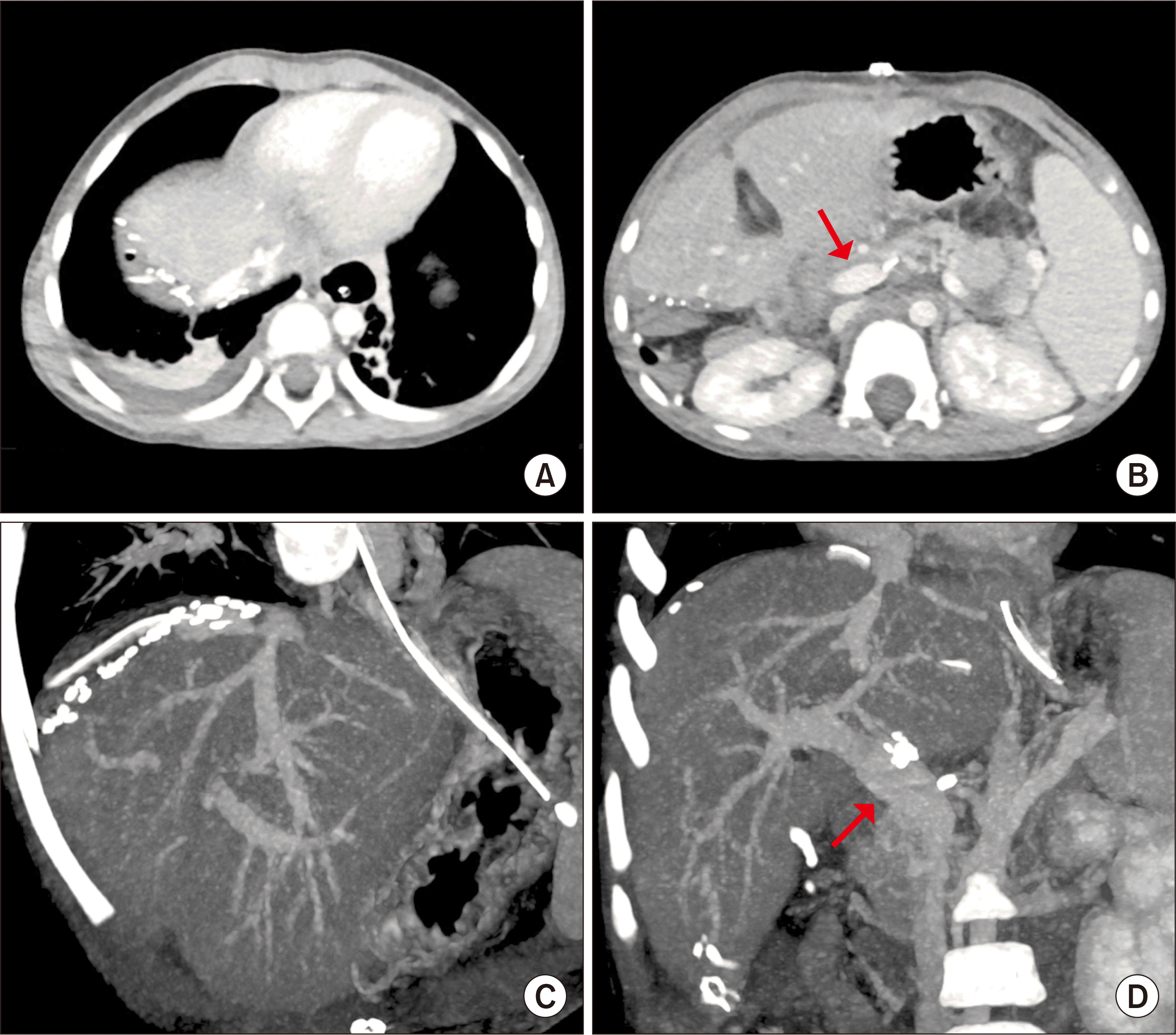
Figure 8
Post-transplant computed tomography finding taken at 5 days after transplantation. (A,B) Uneventful hepatic vein reconstruction was identified. (C,D) A large-sized streamline shape of the portal vein conduit is connected between the graft portal vein and the confluence portion of the superior mesenteric vein and the splenic vein (arrows).



PDF
Citation
Print



XML Download