This article has been corrected. See "A Case of Soft Tissue Myxoma Originating From the Mouth Floor" in Volume 68 on page 47.
Abstract
Myxoma is a benign tumor of mesenchymal origin that most commonly arises in the heart. It can arise in various sites including the subcutaneous tissue, bone, skin, and muscles. Myxomas in the head and neck region predominantly occur in the maxilla or mandible, accounting for 76% of the cases, while occurrences in the soft tissues are extremely rare. The floor of the mouth in the head and neck region is the rarest site for the occurrence of soft tissue myxomas. In the international literature, only two cases have been reported, and there have been no reported cases in the domestic literature. In this paper, we report, with a review of literatures, a case of a 74-year-old female patient who presented with a mass lesion found beneath the left mandible and was finally diagnosed with a myxoma.
점액종(myxoma)은 중간엽(mesenchyme) 기원의 양성 종양으로 심장, 피하조직, 뼈, 피부, 근육 등 다양한 위치에 생길 수 있다[1]. 두경부에 발생하는 점액종은 대부분 상악골이나 하악골에서 발생하며(76%) 연조직에서 발생하는 경우는 매우 드물다. 두경부에서 발생하는 연조직 점액종 중에서도 구강저에 발생하는 점액종은 가장 드물며[2], 해외 문헌에서는 2예가 보고되었고[3,4] 국내 문헌에서 아직 보고된 바 없다. 저자들은 좌측 턱밑 종물을 주소로 내원하여 점액종으로 최종 진단된 74세 여자 환자의 증례를 문헌고찰과 함께 보고하고자 한다.
74세 여자 환자가 내원 1개월 전부터 만져지는 좌측 턱밑의 종물을 주소로 내원하였다. 좌측 구강저가 우측에 비해 조금 부어있는 소견이 확인되었고 촉진에서 좌측 악하선의 앞쪽에 위치한 약 1×2 cm 크기의 부드럽고 움직이는 종물이 확인되었다(Fig. 1). 경부초음파에서 좌측 턱밑부위에 경계가 뚜렷한 약 3.0×2.5×1.7 cm 크기의 종물이 확인되었다(Fig. 2). 종물은 주변 근육에 비해 저에코의 비균질한 모양이었고, 후방음향증강을 보였으며 얇은 피막이 확인되었다. 목전산화단층촬영에서 3.1×2.1×3.2 cm의 경계가 뚜렷한 낭종성 병변이 좌측 설하선의 아래쪽, 좌측 턱끝혀근의 바깥쪽, 좌측 악설골근의 위쪽에 위치해 있는 것이 확인되었다. 병변은 조영증강되지 않았고, 경계가 뚜렷하였으며, 주변조직으로의 침윤은 없었다(Fig. 3). 병변에 대해 초음파 유도 미세침흡인검사를 시행하였으나 내용물은 잘 흡인되지 않았다. 채취된 검체에 대한 병리세포검사 결과 또한 세포가 없는 표본(virtually acellular specimen)으로 확인되었다. 저자들은 유피낭종이나 하마종을 의심하여 구강내 접근법을 이용한 수술을 계획하였다.
전신마취 후 구강저 점막에 절개를 가한 후 점막하 박리를 시행했다. 설하선을 주변조직과 박리하였고, 박리된 설하선 주위에는 하마종으로 의심할 수 있는 가성낭종의 소견은 확인되지 않았다. 악하선 관, 설신경을 박리하자 더 깊은 공간에 노란색과 회색이 섞인 반짝이는 종괴가 확인되었다. 이후 종물의 파열에 유의하면서 주변조직을 박리하였다. 종괴는 3.0×2.5 cm 크기의 타원형이었고, 껍질에 잘 쌓여 있는 양상이었다. 종괴는 주위조직과의 유착 없이 독립적으로 피막에 잘 덮여있어 피막외 절제로 완전절제를 시행하였다. 조직병리학적 검사상 풍부한 점액성 기질(mucoid matrix)과 함께 성상세포(stellate cell), 방추상 세포(spindle cell)가 확인되었으며, 면역 조직 화학 염색에서 vimentin에 염색되었고, S-100과 smooth muscle actin에는 염색되지 않아 점액종으로 최종 진단되었다(Fig. 4).
현재 술후 8개월째로, 종괴의 재발이 의심되는 증상은 확인되지 않았다.
점액종은 원시 배아 중간엽 세포 혹은 섬유아세포에서 기원하는 양성 종양으로 1871년 Virchow [5]에 의해 처음으로 기술되었다. 이후 1948년 Purdy Stout [1]는 성긴 점액성 간질(myxoid stroma)내에 미분화된 성상세포(undifferentiated stellate cell)로 구성된, 양성의(benign) 중간엽 종양(mesenchymal tumor)을 점액종의 병리학적 진단기준으로 보고하였고 이는 현재까지도 병리학적 진단기준으로 사용되고 있다.
점액종은 심장에서 가장 흔히 발생하며, 그 외 피하조직, 뼈, 피부, 근육 등 다양한 위치에 생길 수 있다[1]. 두경부에 발생하는 점액종은 대부분 상악골, 하악골에서 발생하는 치원성 점액종(76%)이며, 연조직에서 발생하는 경우는 매우 드물다. 구강에서 발견되는 연조직 점액종은 구개에서 가장 흔하며(41%), 다음으로 볼(18.2%), 입술(13.6%), 잇몸(13.6%) 순으로 발생한다. 본 증례처럼 구강저에서 발생하는 점액종은 연조직 점액종 중 4.5%로, 이는 연조직 점액종 중 가장 드문 경우이며[2] 해외 문헌에 2예가 보고되었고[3,4], 국내 문헌에서는 아직 보고된 증례가 없다.
점액종은 대부분 무통성의 종괴로 나타나며, 느리게 자라는 종괴의 특성 때문에 증상을 발생시킬 만한 크기까지 종괴가 커지는 경우는 거의 없다. 하지만, 국소 침윤하는 특성이 있기 때문에 종괴가 자라게 되면 주변조직을 파괴하여 치명적인 결과를 가져올 수 있어 조기에 적절한 진단과 치료가 필요하다[1].
점액종의 질병 특이적인 방사선학적 소견은 없으나, 초음파, CT 등의 영상 검사는 점액종의 감별진단에 도움을 줄 수 있다. 점액종은 초음파에서 비교적 경계가 잘 그려지며, 비균질한 저에코의 종괴로 나타난다. 점액종의 기질은 에코 투과의 경향이 있어 후방음향증강을 보이는 경우가 많고, 색도플러검사에서 혈류는 없거나 감소하여 보인다. 드물게 다발성의 격막이 벌집(honeycomb) 혹은 테니스 라켓(tenis-racquet) 모양을 보이는 경우가 보고된 예도 있다[6,7]. 대부분은 피막이 보이지 않지만(67%), 본 증례처럼 피막이 보이는 경우(33%)도 있다[8]. 점액종에 세침흡인검사를 시행할 경우 투명하고 점성이 있는 내용물이 흡인되며, 흡인 시 젤 양상의 내용물이 바늘을 막는 경향이 있어 검체 채취가 어렵다[9]. 본 증례에서도 21 G 바늘을 이용하여 흡인을 시도하였으나 충분한 검체가 채취되지 않았다. 전산화단층촬영에서 점액종은 저음영의 비교적 경계가 잘 그려지는 종물로 보이며, 대부분 균질한 음영을 보이지만 세포와 점액양 조직이 많을 경우 비균질하게 나타나는 경우도 있다[8]. 종물 내 섬유성 격막(fibrous band)이 존재할 경우 선상 조영증강이 보이는 경우도 있지만 종물 자체는 조영증강 되지 않고, 석회화는 보고된 예가 없다[8]. 육종, 중간엽종 등의 악성 종양은 방사선학적으로 경계가 불분명하며, 비균질한 음영을 보여 점액종과 구분된다. 하지만 경계가 잘 그려지고 균질한 음영의 종괴도 악성의 가능성을 완전히 배제할 수 없고, 종괴의 내용물과 발생 위치에 따라 점액종도 다양한 영상학적 소견으로 나타날 수 있어 병리조직학적 진단이 반드시 필요하다.
병리조직학적 검사에서 성상세포, 방추상 세포와 함께 히알루론산이 포함된 풍부한 점액질 기질이 있고, 그 안에 불규칙한 망상섬유(reticular fiber) 그물(meshwork)이 있을 경우 점액종으로 진단할 수 있다[7]. 섬유종, 거대세포 섬유종, 섬유점액종, 신경섬유종등의 섬유성 종양이 점액성 변성(myxomatous degeneration)을 통해 점액종과 비슷한 현미경학적 소견을 보일 수 있기 때문에 감별진단을 위한 면역형광염색이 도움이 된다.
두경부에 발생하는 점액종의 치료는 외과적 절제술이지만, 절제술의 범위에 대해서는 현재까지도 정해진 바가 없다. 단순 종양절제(enucleation)부터[10] 충분한 절제연을 포함한 광범위 절제술[11] 등을 시행할 수 있다. 수술 시 연조직 점액종은 타원형 혹은 구형의 회색빛 젤라틴 덩어리로 관찰되는데 종괴는 언뜻 보면 섬유성 피막으로 잘 덮여 있는 것처럼 보이나, 자세히 보면 피막이 불완전한 경우가 많고, 주변 조직 내로 국소 침윤하고 있는 소견이 확인된다[7]. 따라서, 술자가 잘 박리되는 피막을 따라 피막외 절제를 시행하면 종괴의 잔존 조직이 있더라도 완전절제를 했다고 오인할 수 있다. 따라서, 연조직 섬유종의 수술은 충분한 절제연을 포함한 광범위 절제술을 기본으로 하되, 광범위 절제술이 기능적, 미적인 손상을 크게 초래할 것으로 판단되면, 단순 종양절제 후 초음파, CT 등으로 면밀한 추적관찰을 시행하는 것이 좋겠다. 단, 단순 종양절제를 시행할 경우 절제된 종물에서 피막의 결손부위 여부와 잔존조직 우뮤를 면밀히 확인해야 한다. 본 증례처럼, 비교적 좁은 시야로 수술해야 하는 구강 내 접근 시, 점액종의 잔존조직이 남을 가능성이 높기 때문에 수술 시 혀를 정상측으로 충분히 거상하여 수술 시야를 최대한 확보해야 하고, 종괴를 제거한 후 피막의 결손과 잔존조직의 여부를 면밀히 확인하는 것이 중요하다.
Notes
Author Contribution
Conceptualization: Dong Kun Lee. Data curation: Young Bin Yun. Formal analysis: Young Bin Yun. Funding acquisition: Dong Kun Lee. Investigation: Young Bin Yun. Methodology: Dong Kun Lee. Project administration: Dong Kun Lee. Resources: Seo Hee Rha, Hyung-geun Lee. Software: Hyung-geun Lee. Supervision: Dong Kun Lee. Validation: Dong Kun Lee. Writing—original draft: Young Bin Yun. Writing—review & editing: Dong Kun Lee.
REFERENCES
1. Purdy Stout A. Myoxma, the tumor of primitive mesenchyme. Ann Surg. 1948; 127(4):706–19.
2. Rapidis AD, Triantafyllou AG. Myxoma of the oral soft tissues. J Oral Maxillofac Surg. 1983; 41(3):188–92.

3. Matsumara T, Hasegawa K, Isono K, Kawakatsu K. Congenital fibromyxoma: report of case. J Oral Surg. 1977; 35(4):313–5.
4. Swart JG, van der Kwast WA, Snow GB, van der Waal I. Possible myxoma of the floor of the mouth: report of case. J Oral Surg. 1977; 35(6):501–3.
5. Virchow R. [Die cellularpathologie in ihrer begrundung auf physiologische und pathologische gewebelehre]. 4th ed. Brelin, Germany: Hirschwald;1871. p.563. German.
6. Kang MJ, Cho WH, Kim SH. [A case report of intramuscular myxoma in the paraspinal space]. J Korean Radiol Soc. 2008; 59(1):9–12. Korean.

7. Andrews T, Kountakis SE, Maillard AA. Myxomas of the head and neck. Am J Otolaryngol. 2000; 21(3):184–9.

8. Murphey MD, McRae GA, Fanburg-Smith JC, Temple HT, Levine AM, Aboulafia AJ. Imaging of soft-tissue myxoma with emphasis on CT and MR and comparison of radiologic and pathologic findings. Radiology. 2002; 225(1):215–24.

9. Caraway NP, Staerkel GA, Fanning CV, Varma DG, Pollock RE. Diagnosing intramuscular myxoma by fine-needle aspiration: a multidisciplinary approach. Diagn Cytopathol. 1994; 11(3):255–61.

Fig. 1.
Figure shows an endoscopic photograph of the patient’s oral cavity. There is swelling on the left floor of the mouth compared to the right side (arrowhead).
Fig. 2.
Ultrasonography of the patient. A heterogenous, predominantly hypoechoic mass is seen, distinct from the surrounding muscles (white arrowhead). Posterior acoustic enhancement (white arrow) and a thin capsule (black arrow) are also seen.
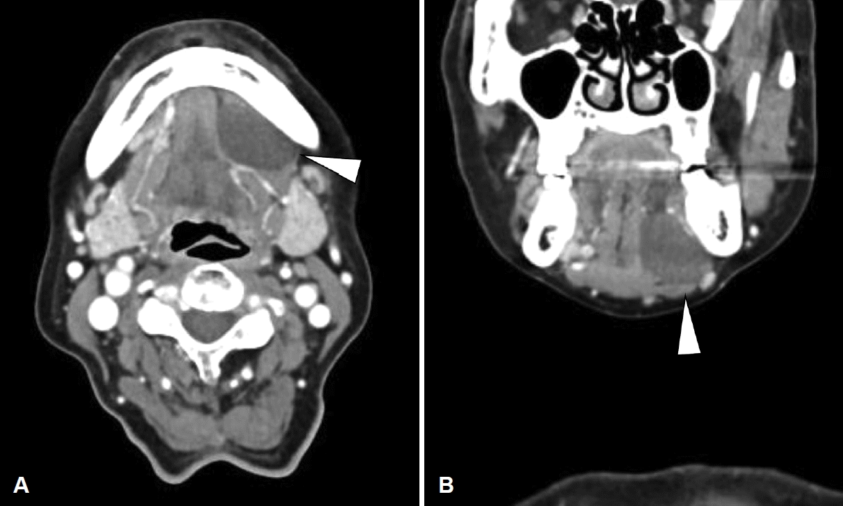
Fig. 3.
Neck CT of the patent. Axial view (A), coronal view (B). Well-defined cystic mass located below the left sublingual gland, lateral to the left geniohyoid muscle, and above the left mylohyoid muscle (arrowhead).
Fig. 4.
Pathologic findings. A: The tumor is composed of stellate (arrowhead) and spindle cells (arrow) in abundant mucoid stroma (hematoxylin and eosin stain). B: The tumor cells are positive for vimentin but negative for smooth muscle actin and S-100 (not shown) (anti-vimentin immunohistochemistry).



PDF
Citation
Print



XML Download