Abstract
In the field of orthopedics, deep vein thrombosis (DVT) is a rare but serious condition that can be life-threatening once it occurs. DVT is most commonly reported after hip and knee arthroplasty or multiple traumas, but rarely cases in the foot and ankle regions have been encountered. This paper reports a case of DVT that occurred after ankle ligament repair surgery with a review of relevant literature.
53세 여자 환자가 내리막길을 내려오던 중 발목을 접질리면서 발생한 좌측 발목의 부종 및 통증으로 응급실로 내원하였다. 고혈압이나 당뇨는 없었으며 신체질량지수는 23.78 kg/m2였다. 단순 방사선 영상 촬영을 시행하였으며 좌측 족관절 외과 하단부의 견열 골절이 확인되었다(Fig. 1). 좌측 족관절 자기공명영상 소견에서 외측 인대 복합체의 파열 소견이 보였으며(Fig. 2) 족관절 불안정성 및 골절 부위의 간격이 증가하는 소견으로 수술적 치료를 결정하였다. 봉합 나사를 이용하여 파열된 외측 인대 복합체를 견열 골절된 부위와 함께 고정하였다(Fig. 3). 수술 후 단하지 석고 부목을 시행하였으며 3일후 부종 감소 소견 보여 단하지 석고 붕대 고정술로 바꾼 뒤 수술 1주일째 퇴원하였다. 수술 후 2주째 봉합사 제거를 시행하고 석고 붕대 고정을 유지한 채로 부분 체중부하를 시작하였다. 수술 후 3주째 석고 붕대 고정 부위를 포함하여 좌측 하지의 전반적인 부종 및 통증을 주소로 외래로 내원하였다. 진찰 소견상 좌측 하지의 심한 부종 및 압통이 있었으며 보행에 제한 소견을 보였다. 석고 붕대 고정을 제거한 뒤에도 증상은 지속되어 심부 정맥 혈전증 의심 하에 혈관 외과로 협진 후 혈관외과에 입원하였다. 혈액 응고 검사는 정상 범위였으나 D-dimer 4,722 ng/mL 소견을 보이고 있었다. 혈관 초음파 및 혈관 컴퓨터 단층촬영 영상에서 총장골 정맥, 대퇴 정맥 및 슬와 정맥에서 혈전이 관찰되었고(Fig. 4) 혈전 제거술 및 풍선 확장술을 시행하고 하대정맥 필터 삽입술 후 약 3주째 제거하였다(Fig. 5). 수술 후 10개월째 정형외과 외래 내원하였으며 좌측 하지의 부종은 없는 상태로 통증 소견 및 족관절 불안정성 없이 일상 생활을 하는 만족스러운 결과를 보였다(Fig. 6). 본 증례 보고는 삼성창원병원 윤리심의위원회의 심의를 통과하였다(IRB No. 2024-09-016).
심부 정맥 혈전증 발생의 위험인자로는 심혈관 질환, 투석, 당뇨, 비만, 응고 장애, 골반 골절 및 하지 골절 등의 다발성 외상, 고관절 및 슬관절 인공관절 전치환술 등이 알려져 있다.1) 정형외과 영역에서 심부 정맥 혈전증은 대부분 다발성 외상이나 인공관절 전치환술 수술 환자에서 발생하게 되는데, 일정 기간 동안의 하지의 고정으로 Virchow의 삼징후(Virchow’s triad)인 정맥 혈류의 정체, 혈관 내막 손상, 과응고 상태에 영향을 주게 된다.1,2) 족부족관절 부위의 수술은 고관절, 슬관절의 인공관절 전치환술보다는 심부 정맥 혈전증 발생률이 매우 낮은 것으로 보고되고 있다.3,4) 하지만 폐색전증으로 진행될 경우에는 심한 합병증이 발생할 수 있기 때문에 족부족관절 분야에서도 심부 정맥 혈전증에 대하여 항상 경각심을 가져야 한다.
족부족관절 수술 후 심부 정맥 혈전증의 위험인자로는 앞서 언급한 위험인자들을 제외하면 긴 지혈대 사용 시간, 수술 시간 또는 외상후 수술까지의 시간이 긴 경우, 수술 후 석고 붕대 고정술이나 장기간 비체중부하를 시행하는 경우 등이 있다.2,5) 석고 붕대 등을 이용한 하퇴부의 고정(immobilization)은 Virchow의 삼징후를 악화시킴으로써 심부 정맥 혈전증의 중요한 위험인자들 중 하나로 보고되고 있다.6) 특히, 하지의 석고 붕대 고정술을 시행하는 경우에는 종아리 근육의 수축을 억제하기 때문에 혈류가 정체되고 감소하게 된다. 혈류의 정체가 지속적으로 유지되면 혈액의 점도가 높아질 수 있으며 혈액의 응고성을 증가시키게 된다.1,2,6) 또한 하지의 외상도 혈전이 발생하게 되는데 중요한 역할을 한다. 외상으로 인해 혈관벽이 손상되고 혈액이 콜라겐과 조직인자들에 노출되어 응고 연쇄반응이 작동하게 되면 혈액은 과응고 상태로 변하기 때문이다.6)
하지만, 다른 연구에서는 하퇴부의 고정을 시행 받은 환자의 대부분에서 가족력, 혈액 응고 이상, 비만 등의 위험인자를 동반하고 있어서 하퇴부 고정을 심부 정맥 혈전증의 단독적인 위험인자로 고려할 수 없다고 하였다.5,7) 또한 단하지 석고 붕대나 부목을 사용하는 경우에 다발성 외상이나 골절을 동반한 경우가 대부분이어서 심부 정맥 혈전증과의 연관성이 과대평가 되었을 가능성도 있다.6)
족부족관절 분야에서 심부 정맥 혈전증 발생률이 굉장히 드물기 때문에 예방 치료의 시행 여부에 대하여 논란의 여지가 있다.4-9) 하지만 하지 고정술 외에 다른 위험인자가 있는 경우에는 선택적으로 예방 치료를 실시하는 것도 고려해 볼 수 있다고 하였다.4-6) 본 증례에서는 다른 위험인자가 없는 상태에서 심부 정맥 혈전증이 발생한 경우로 비체중부하 및 석고고정이 어느 정도의 역할을 했을 것으로 생각되었다. 하지만 예방적 치료에 대해서는 더 많은 증례를 가지고 추가적인 연구가 필요하다고 생각된다.
족관절 인대 봉합술 후 석고 붕대 고정술을 계획할 경우 심부 정맥 혈전증의 발생 가능성에 대하여 주의를 기울여야 하고 환자에게도 충분한 설명이 필요하리라 생각된다. 또한 추가적인 연구를 통하여 족부족관절 분야에서도 심부 정맥 혈전증 예방에 대한 권고 지침이 필요하리라 생각된다.
REFERENCES
Pastori D., Cormaci VM., Marucci S., Franchino G., Del Sole F., Capozza A, et al. 2023. A comprehensive review of risk factors for venous thromboembolism: from epidemiology to pathophysiology. Int J Mol Sci. 24:3169. doi: 10.3390/ijms24043169. DOI: 10.3390/ijms24043169. PMID: 36834580. PMCID: PMC9964264.
Lim SJ. 2010. VTE prophylaxis in the polytrauma patient. J Korean Fract Soc. 23:404–11. doi: 10.12671/jkfs.2010.23.4.404. DOI: 10.12671/jkfs.2010.23.4.404.
Shibuya N., Frost CH., Campbell JD., Davis ML., Jupiter DC. 2012. Incidence of acute deep vein thrombosis and pulmonary embolism in foot and ankle trauma: analysis of the National Trauma Data Bank. J Foot Ankle Surg. 51:63–8. doi: 10.1053/j.jfas.2011.10.017. DOI: 10.1053/j.jfas.2011.10.017. PMID: 22196459.
Zambelli R., Bastos M., Rezende SM. 2020. Prophylaxis of venous thromboembolism in ankle and foot surgeries. Rev Bras Ortop (Sao Paulo). 56:697–704. doi: 10.1055/s-0040-1715512. DOI: 10.1055/s-0040-1715512. PMID: 34900096. PMCID: PMC8651438.
Jameson SS., Augustine A., James P., Serrano-Pedraza I., Oliver K., Townshend D, et al. 2011. Venous thromboembolic events following foot and ankle surgery in the English National Health Service. J Bone Joint Surg Br. 93:490–7. doi: 10.1302/0301-620X.93B4.25731. DOI: 10.1302/0301-620X.93B4.25731. PMID: 21464488.
van Adrichem RA., Debeij J., Nelissen RG., Schipper IB., Rosendaal FR., Cannegieter SC. 2014. Below-knee cast immobilization and the risk of venous thrombosis: results from a large population-based case-control study. J Thromb Haemost. 12:1461–9. doi: 10.1111/jth.12655. DOI: 10.1111/jth.12655. PMID: 25040873.
Jørgensen PS., Warming T., Hansen K., Paltved C., Vibeke Berg H., Jensen R, et al. 2002. Low molecular weight heparin (Innohep) as thromboprophylaxis in outpatients with a plaster cast: a venografic controlled study. Thromb Res. 105:477–80. doi: 10.1016/s0049-3848(02)00059-2. DOI: 10.1016/S0049-3848(02)00059-2. PMID: 12091045.
Calder JD., Freeman R., Domeij-Arverud E., van Dijk CN., Ackermann PW. 2016. Meta-analysis and suggested guidelines for prevention of venous thromboembolism (VTE) in foot and ankle surgery. Knee Surg Sports Traumatol Arthrosc. 24:1409–20. doi: 10.1007/s00167-015-3976-y. DOI: 10.1007/s00167-015-3976-y. PMID: 26988553. PMCID: PMC4823373.
Douillet D., Chapelle C., Ollier E., Mismetti P., Roy PM., Laporte S. 2022. Prevention of venous thromboembolic events in patients with lower leg immobilization after trauma: systematic review and network meta-analysis with meta-epsidemiological approach. PLoS Med. 19:e1004059. doi: 10.1371/journal.pmed.1004059. DOI: 10.1371/journal.pmed.1004059. PMID: 35849624. PMCID: PMC9342742.
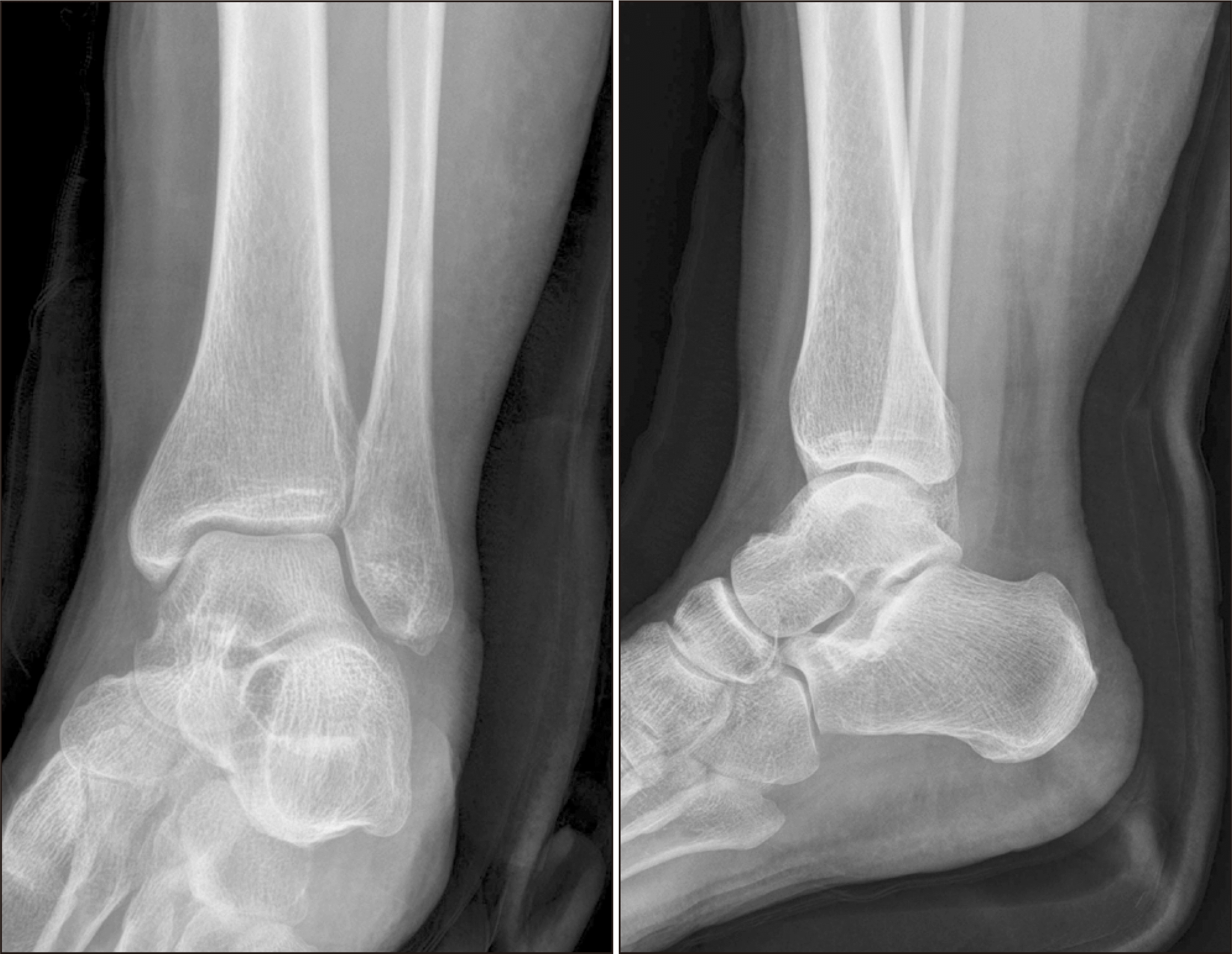
Figure 1
Simple radiographs of the left ankle show an avulsion fracture of the lateral malleolus (arrow).
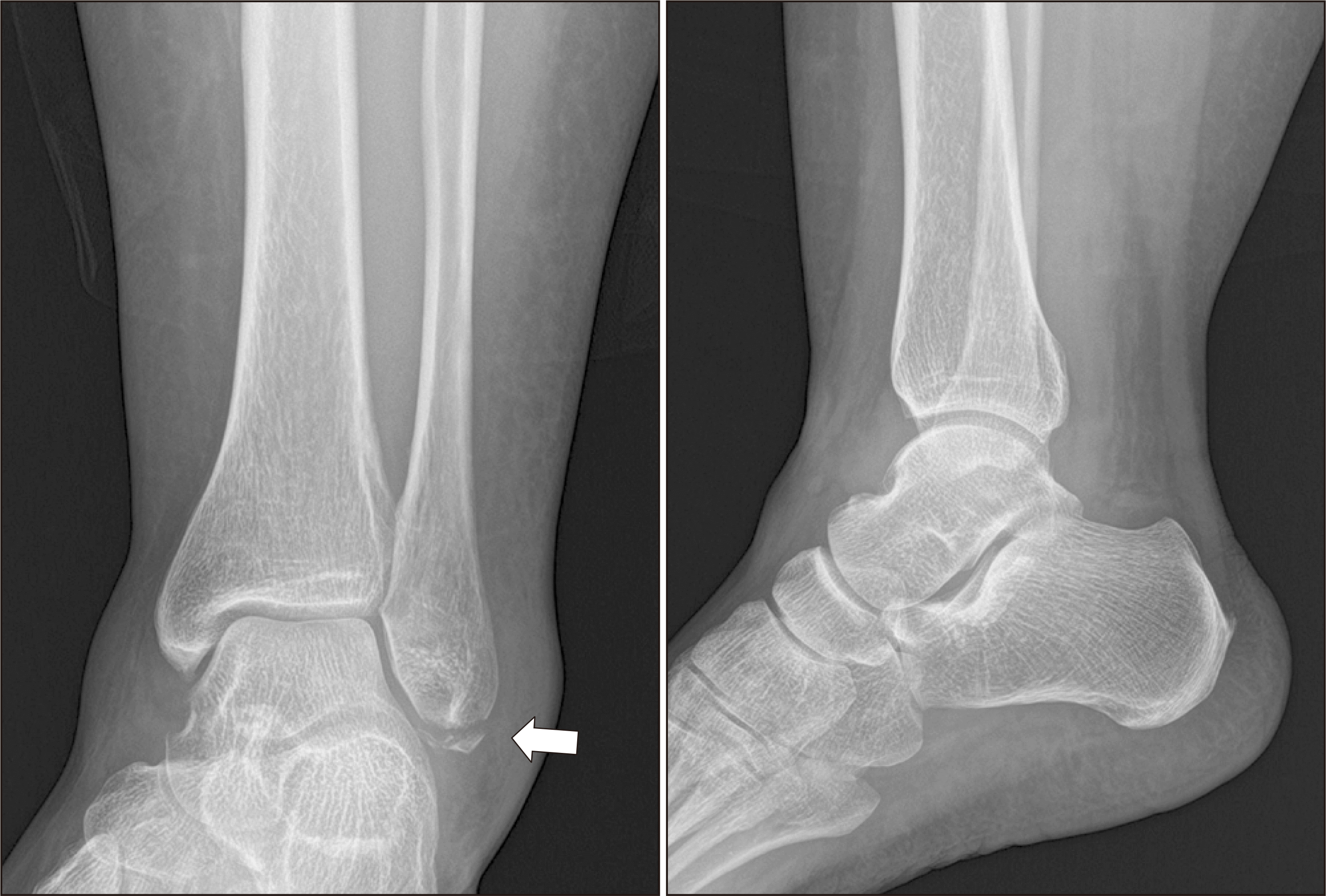
Figure 2
Magnetic resonance imaging of the left ankle. T1- and T2-weighted image show anterior talofibular ligament tear with an avulsion fracture of the lateral malleolus (arrow) in the left ankle.
Figure 3
Postoperative radiographs of the left ankle show good reduction of the avulsed fracture fragment.
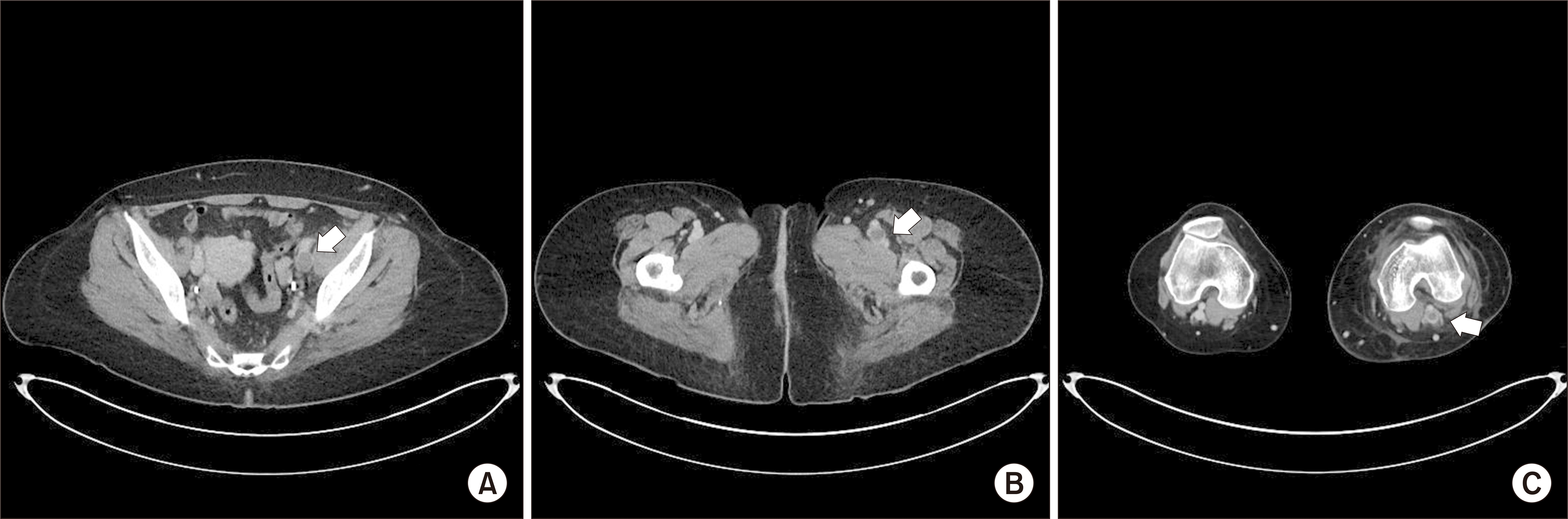
Figure 4
Venous phase in computed tomography angiography shows deep vein thrombosis (arrows) in left common iliac vein (A), femoral vein (B), and popliteal vein (C).



PDF
Citation
Print



XML Download