Abstract
This case report details a rare presentation of multifocal osteomyelitis with bilateral femoral pathologic fractures caused by Klebsiella pneumoniae sepsis in a 54-year-old female patient. In the initial evaluation, the patient presented with swelling and pain in the left lower limb. Imaging revealed multiple liver abscesses and deep vein thrombosis. Further bone scan assessments confirmed extensive osteolytic lesions in the femurs and left tibias, which is consistent with multifocal osteomyelitis. Initial management involved broad-spectrum antibiotics and debridement. On the other hand, temporary circular wiring and intramedullary nailing were required for stabilization as fractures developed in both femurs, including additional fixation for a fracture at the curettage site on the contralateral femur. Infected tibial lesions were treated with antibiotic-loaded cement beads after abscess drainage to control local infection. Despite the complexities, the patient ultimately achieved bone union after a year-long recovery, including dynamic conversion of femoral fixation. This paper reports a rare experience in treating multiple osteomyelitis and introduces the emergence of a highly pathogenic hypervirulent K. pneumoniae strain (hvKP), causing invasive infections, including metastatic and severe infections (e.g., osteomyelitis). Furthermore, the authors emphasize that early identification of hvKP and coordinated treatment strategies are crucial for improving the outcomes in severe hvKP-related infections.
본 증례 보고는 국민건강보험 일산병원의 기관생명윤리위원회의 심의를 통과하였다(IRB No. 2024-07-010).
54세 여환으로 1주 전부터 발생한 좌측 하퇴의 부종 및 통증으로 내원하였으며, 열감, 발적이 동반되어 연부조직염과 심부정맥 혈전증 의심하에 본원 응급실 내원하였다. 환자는 내과적 질환으로 치료받았던 과거력은 없었으며, 발열 동반한 상태로 혈액 배양 검사, 복부 컴퓨터 단층촬영, 혈관 조영 컴퓨터 단층촬영 시행하였으며 다발성 간농양 소견과 좌측 하퇴의 다발성 정맥 혈전 소견이 관찰되었다(Fig. 1). 감염내과에 입원하여 광범위 경험적 항생제 치료(ampicillin sulbactam 3 g 하루 4회)를 시작하였으나, 좌측 하지의 연부조직염 증상의 악화 및 우측 대퇴로도 증상이 발생하여 정형외과로 협의 진료 의뢰되었다(Fig. 2). 혈액 배양 검사 결과상 K. pneumonia가 동정되었고, 항생제는 균혈증에 효과적으로 알려져 있는 cefotaxime 2 g 하루 3회, amikacin sulfate 1 g 하루 1회 정주하는 병합요법으로 교체하여 2주간 더 유지하였다. 이후에는 piperacillin/tazobactam 4.5 g 하루 4회 정주로 퇴원 시까지 유지하였다.
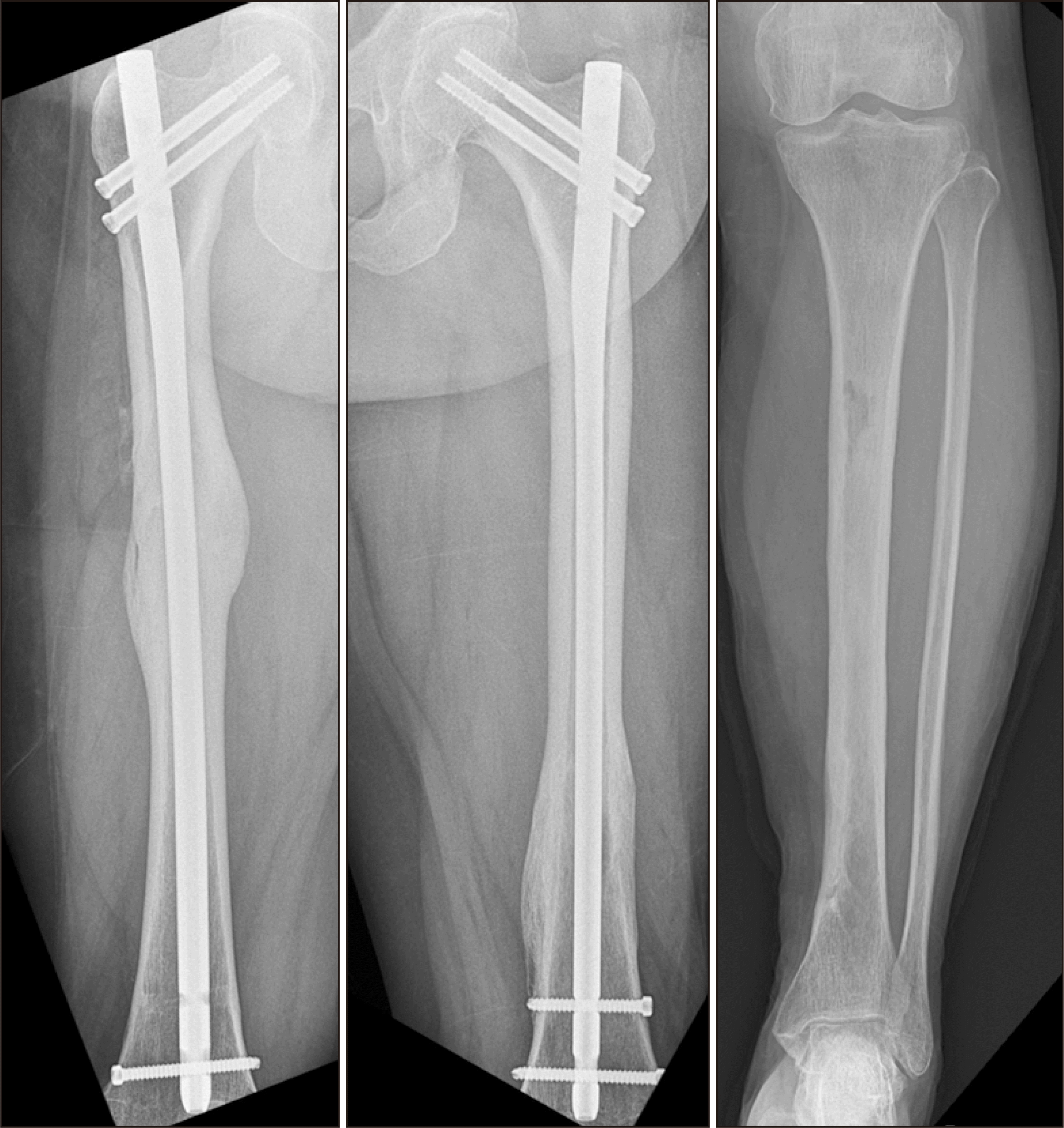
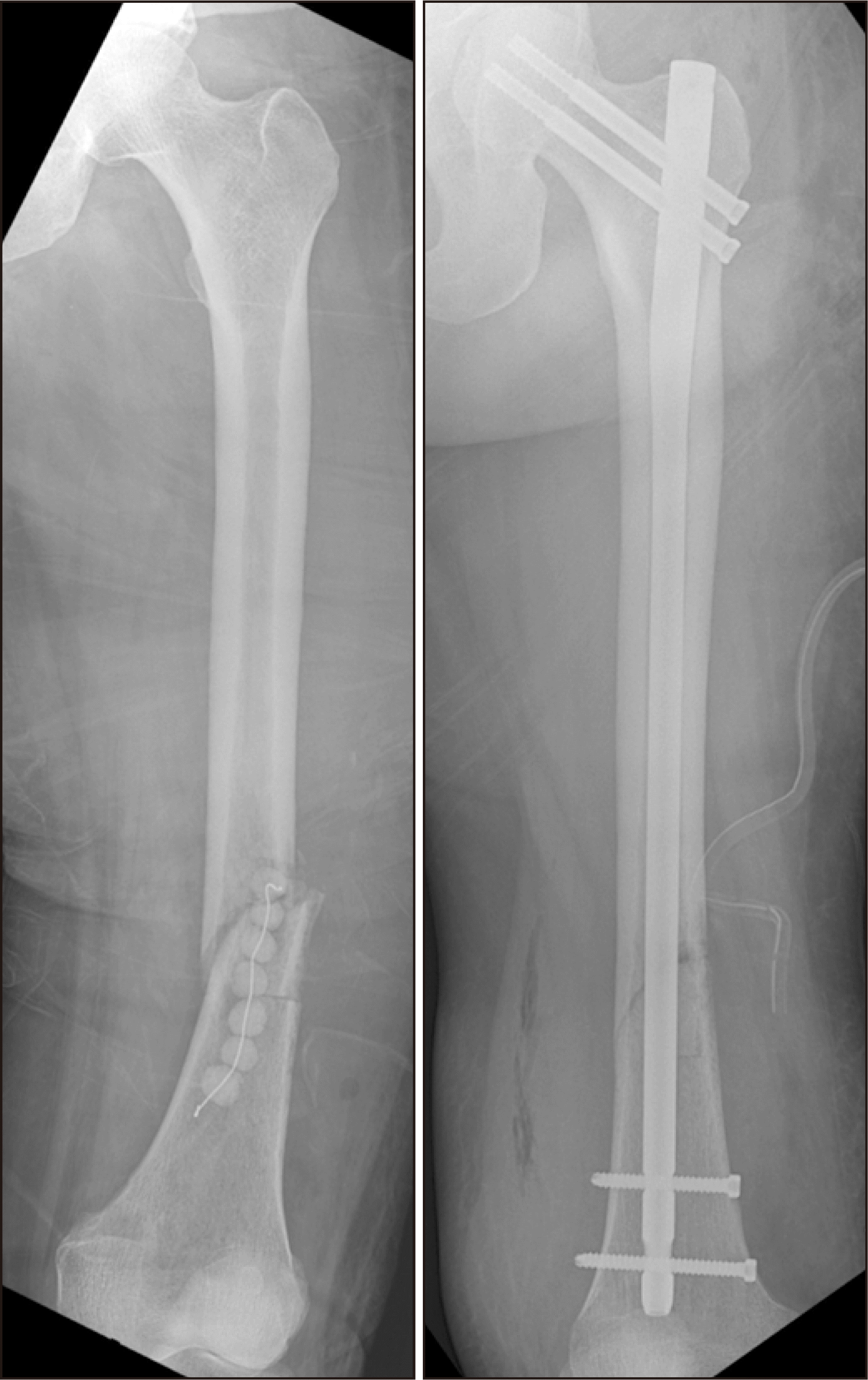
입원 1주 후 환자는 침상에서 일어서는 중 우측 대퇴골의 골절이 발생하였으며 삼상골 스캔 검사와 우측 대퇴 조영 자기공명영상(magnetic resonance imaging, MRI) 시행상 병적 골절이 의심되었고 골절 주변으로 농양과 함께 골수염 소견이 관찰되었으며, 좌측 대퇴 및 하퇴로도 골수염 의심 소견이 골 스캔 검사에서 관찰되었다(Fig. 3, 4A). 좌측 하퇴의 연부조직염 악화로 농양에 대해 절개 배농 후 시행한 세균 배양 검사상 K. pneumoniae가 동정되었으며 좌측 하퇴 조영 MRI상 경골 전장에 골수염 소견 관찰되었다(Fig. 4B). 우측 대퇴에 대하여 절개 배농술 후 골 소파술 시행하였으며 골절에 대해서는 환상강선으로 임시적으로 전위를 최소화하도록 하였으며 1주 후 골수정 삽입술을 시행하였다(Fig. 5A). 우측 대퇴 골절부위에서 시행한 골조직 검사 결과는 급성 골수염 소견이었으며 세균 및 진균 감염을 확인하기 위해 시행한 염색 검사는 음성이었다(Fig. 6). 좌측 원위 대퇴골과 경골 전장에 걸친 농양과 골수염 소견에 대하여도 절개 배농 및 골 소파술과 항생제 시멘트 삽입술을 시행하였다(Fig. 5B, C). 이후 창상 처치를 시행하며 입원 치료 중, 3주 후 침상에서 체위 변경 중 좌측 원위 대퇴골 골절이 발생하였으며, 골수정 삽입술을 시행하였다(Fig. 7). 좌측 하퇴의 창상 부위의 벌어짐 등으로 창상 처치 및 항생제 유지하며 입원 치료 5주 후 환자는 퇴원할 수 있었으며, 외래 추시 중 우측 대퇴골 수술 부위의 지연 유합 소견이 있어 원위부 교합 나사 하나를 제거하여 동적 전환(dynamization)을 시행하였고, 수술 후 1년 3개월째 최종 추시상 시행한 방사선 검사에서 양측 대퇴골의 골유합 및 좌측 경골의 골 소파술 부위 유합을 확인하였다(Fig. 8).
본 증례는 K. pneumoniae의 패혈증으로 발생한 다발성 하지의 골수염 소견 및 그로 인한 병적 골절 등 균주의 상당히 침습적인 감염을 보여주었다. 패혈증으로 발생한 골수염에 대한 증례 및 골수염으로 인해 병적 골절이 발생한 증례는 드물며, 양측 하지에 발생한 다발성 골수염 소견의 보고는 매우 드물다.2,3)
최근 문헌 보고에 따르면 기존의 K. pneumoniae (classical pathotype, cKP)와 달리 병원성이 굉장히 높은 K. pneumoniae 균주 (hypervirulent Klebsiella pneumoniae, hvKP)가 발견되었고, 특징적으로 원 감염 부위 외의 신체에 전이성을 보이며 심한 감염 양상을 보인다.3-5) 두 종류의 균주 모두 전세계에서 관찰되지만, hvKP는 최근 30년간 대만 등 아시아 태평양 일대 국가에서 발생이 지속적으로 증가하였다.6-9)
기존의 cKP는 주로 고령 및 면역 저하 환자에서 병원내 감염으로 주로 감염이 되었으나, hvKP는 모든 연령에서 기저질환이 없는 건강한 환자에서 감염이 되고, 지역사회 획득 감염의 빈도가 높았다.9) cKP에 비해 hvKP는 주로 아시아인, 태평양 섬 일대 주민 등 특정 인종의 감염 비율이 높다.9) 또한 cKP는 담관 질환이 동반하여 간농양이 발생하는 반면, hvKP는 동반된 담관 질환 없이 원발성 간농양이 종종 발생하고, 단일 부위의 감염이 주를 이루는 cKP와 달리 hvKP는 주로 다발성 감염을 보인다.9) hvKP는 전이성 감염도 일으키며 안내염(60%), 혈관내 혈전증(46%), 폐농양(40%), 뇌수막염(25%) 등이 발생할 수 있고, 4%에서는 정형외과적으로 응급인 괴사성 근막염과 드물게 골수염도 일으킨다.1,3,6,10) 전이성 감염은 hvKP가 외부에서 직접 상처 등을 통해 감염된 것보다는, 소화기관 등에서 집락형성(colonization)한 균주가 혈행을 통해 침습적인 감염을 보인다.3,8)
다발성의 감염 및 전이성 감염을 보이며 드물지만 굉장히 침습적인 성향을 보이는 hvKP는 다른 감염과 같이 당뇨병이 감염의 위험요인 중 하나로 추정된다.10) 또한 혈당조절이 잘 안되면 간농양이 있는 환자에서 괴사성 근막염 등 전이성 합병증이 증가할 수 있다.9,10) 하지만, hvKP의 감염은 젊고 건강한 사람들에서 자주 발견되었기 때문에, 면역 저하가 없는 환자에서도 hvKP 감염이 발생할 수 있음을 인식하고 있어야 한다.
hvKP는 침습성이 강하며 농양을 주로 형성하는 것으로 알려져 있다.6) rmpA (regulator of the mucoid phenotype) 유전자가 이러한 표현형(phenotype)에 중요하며, 세균의 피막 다당류 생성에 관여하여 강한 독성을 보이는 K1 또는 K2 피막 항원(serotype)의 발현을 유도한다.8,11) 한국에서 보고된 hvKP 증례에서 K1 피막 항원은 합병증과 좋지 않은 예후를 보였다.12)
hvKP의 치료는 농양을 주로 형성하는 감염의 특성상 형성된 농양의 위치에 따라 적절한 농양 치료와 경험적 항생제 투여가 이루어져야 한다.9) 본 증례에서도 골수염과 주변의 농양 형성이 관찰되었고 이에 대한 절개 배농 등의 수술적 치료를 조기에 시행하였다. 골수염 동반한 병적 골절의 경우는 매우 드물지만, 본 증례와 같이 임시적으로 외고정 혹은 강선 고정을 시행 후, 감염의 호전 시 내고정물 고정으로 전환해야한다. 괴사성 근막염이 발생하였을 경우 근막 절개술 등의 빠른 수술적 치료를 결정하여 시행해야 한다.
hvKP 감염 시 가장 효과적인 항생제에 대한 연구에 대한 정보는 없지만 경험적으로 추천되는 광범위 항생제(베타락탐 항생제/베타락타메이즈 억제제, 3세대 세팔로스포린, 플루오로퀴놀론, 카바페넴, 아미노글리코사이드 혼합 등)를 조기에 사용하며, 배양 균주의 항생제 감수성 결과에 따라 조정하여야 한다.10) 또한 항생제 치료 기간은 약 2~6주간 유지하는 것이 권고되고 있으며, 다발성으로 감염이 되어 남아 있는 농양 소견에 따라 항생제 사용 기간은 추가될 수 있을 것이다.10) 최근에는 카바페넴에 내성을 보이는 hvKP가 일부 국가에서 보고되고 있어 항생제 사용에 있어 항생제 감수성 검사 결과를 추적하고 감염내과와의 협업이 중요하다.13)
본 증례는 유전체 염기서열 분석(genome sequencing)이나 중합효소 연쇄반응(polymerase chain reaction, PCR)을 시행하여 정밀분석을 시행하지 못한 것에 제한점이 있다. K. pneumoniae가 동정되어 cKP와 hvKP의 감별이 필요할 때, 정밀분석을 시행하여 분리(isolation)해내는 것이 필요해 보인다. 임상현장에서 사용할 수 있는 신속하고 간단한 검사의 개발이 필요하겠지만, 동시에 감염의 임상양상을 바탕으로 hvKP를 조기에 의심하고 치료 전략을 수립할 수 있어야 한다. 연령에 상관없이 건강한 환자에서 원발성 간농양과 다발성 전이성 감염을 보이고, 특히 정형외과적으로 괴사성 근막염이나 골수염이 다발성 감염의 일부로 동반될 때 hvKP에 의한 감염 가능성을 의심하고 치료를 시작해야 할 것이다. 또한, 감염내과, 정형외과, 영상의학과 등 다양한 과에서 해당 질환에 대한 심각성을 인지하고 다발성 감염 증상이 동반되었을 때 협업하여 진단과 치료를 조기에 시행할 수 있어야 감염 증상으로 추가적인 합병증으로의 진행을 막을 수 있을 것이다.
본 증례가 hvKP에 대해 조기 진단과 함께 다발성으로 정형외과적으로 심각한 감염 소견을 보일 수 있음에 대한 경각심을 갖게 해주고 치료에 도움을 줄 것이라 기대한다.
REFERENCES
Sturm E., Tai A., Lin B., Kwong J., Athan E., Howden BP, et al. 2018. Bilateral osteomyelitis and liver abscess caused by hypervirulent Klebsiella pneumoniae- a rare clinical manifestation (case report). BMC Infect Dis. 18:380. doi: 10.1186/s12879-018-3277-4. DOI: 10.1186/s12879-018-3277-4. PMID: 30086713. PMCID: PMC6081821.
Gelfand MS., Cleveland KO., Heck RK., Goswami R. 2006. Pathological fracture in acute osteomyelitis of long bones secondary to community-acquired methicillin-resistant Staphylococcus aureus: two cases and review of the literature. Am J Med Sci. 332:357–60. doi: 10.1097/00000441-200612000-00010. DOI: 10.1097/00000441-200612000-00010. PMID: 17170628.
Prokesch BC., TeKippe M., Kim J., Raj P., TeKippe EM., Greenberg DE. 2016. Primary osteomyelitis caused by hypervirulent Klebsiella pneumoniae. Lancet Infect Dis. 16:e190–5. doi: 10.1016/S1473-3099(16)30021-4. DOI: 10.1016/S1473-3099(16)30021-4. PMID: 27402393.
Rahim GR., Gupta N., Maheshwari P., Singh MP. 2019. Monomicrobial Klebsiella pneumoniae necrotizing fasciitis: an emerging life-threatening entity. Clin Microbiol Infect. 25:316–23. doi: 10.1016/j.cmi.2018.05.008. DOI: 10.1016/j.cmi.2018.05.008. PMID: 29787886.
Lee HC., Chuang YC., Yu WL., Lee NY., Chang CM., Ko NY, et al. 2006. Clinical implications of hypermucoviscosity phenotype in Klebsiella pneumoniae isolates: association with invasive syndrome in patients with community-acquired bacteraemia. J Intern Med. 259:606–14. doi: 10.1111/j.1365-2796.2006.01641.x. DOI: 10.1111/j.1365-2796.2006.01641.x. PMID: 16704562.
Jin SS., Kim YJ., Kim SI., Hu JY., Kim YS., Cho SY, et al. 2013. Necrotizing fasciitis and psoas abscess caused by hypervirulent Klebsiella pneumonia. Korean J Med. 85:540–4. doi: 10.3904/kjm.2013.85.5.540. DOI: 10.3904/kjm.2013.85.5.540.
Shon AS., Bajwa RP., Russo TA. 2013. Hypervirulent (hypermucoviscous) Klebsiella pneumoniae: a new and dangerous breed. Virulence. 4:107–18. doi: 10.4161/viru.22718. DOI: 10.4161/viru.22718. PMID: 23302790. PMCID: PMC3654609.
Cheng NC., Yu YC., Tai HC., Hsueh PR., Chang SC., Lai SY, et al. 2012. Recent trend of necrotizing fasciitis in Taiwan: focus on monomicrobial Klebsiella pneumoniae necrotizing fasciitis. Clin Infect Dis. 55:930–9. doi: 10.1093/cid/cis565. DOI: 10.1093/cid/cis565. PMID: 22715175.
Russo TA., Marr CM. 2019. Hypervirulent Klebsiella pneumoniae. Clin Microbiol Rev. 32:e00001–19. doi: 10.1128/CMR.00001-19. DOI: 10.1128/CMR.00001-19. PMID: 31092506. PMCID: PMC6589860.
Choby JE., Howard-Anderson J., Weiss DS. 2020. Hypervirulent Klebsiella pneumoniae - clinical and molecular perspectives. J Intern Med. 287:283–300. doi: 10.1111/joim.13007. DOI: 10.1111/joim.13007. PMID: 31677303. PMCID: PMC7057273.
Yu WL., Ko WC., Cheng KC., Lee HC., Ke DS., Lee CC, et al. 2006. Association between rmpA and magA genes and clinical syndromes caused by Klebsiella pneumoniae in Taiwan. Clin Infect Dis. 42:1351–8. doi: 10.1086/503420. DOI: 10.1086/503420. PMID: 16619144.
Chung DR., Lee SS., Lee HR., Kim HB., Choi HJ., Eom JS, et al. 2007. ; Korean Study Group for Liver Abscess. Emerging invasive liver abscess caused by K1 serotype Klebsiella pneumoniae in Korea. J Infect. 54:578–83. doi: 10.1016/j.jinf.2006.11.008. DOI: 10.1016/j.jinf.2006.11.008. PMID: 17175028.
Russo TA., Alvarado CL., Davies CJ., Drayer ZJ., Carlino-MacDonald U., Hutson A, et al. 2024. Differentiation of hypervirulent and classical Klebsiella pneumoniae with acquired drug resistance. mBio. 15:e0286723. doi: 10.1128/mbio.02867-23. DOI: 10.1128/mbio.02867-23. PMID: 38231533. PMCID: PMC10865842.
Figure 1
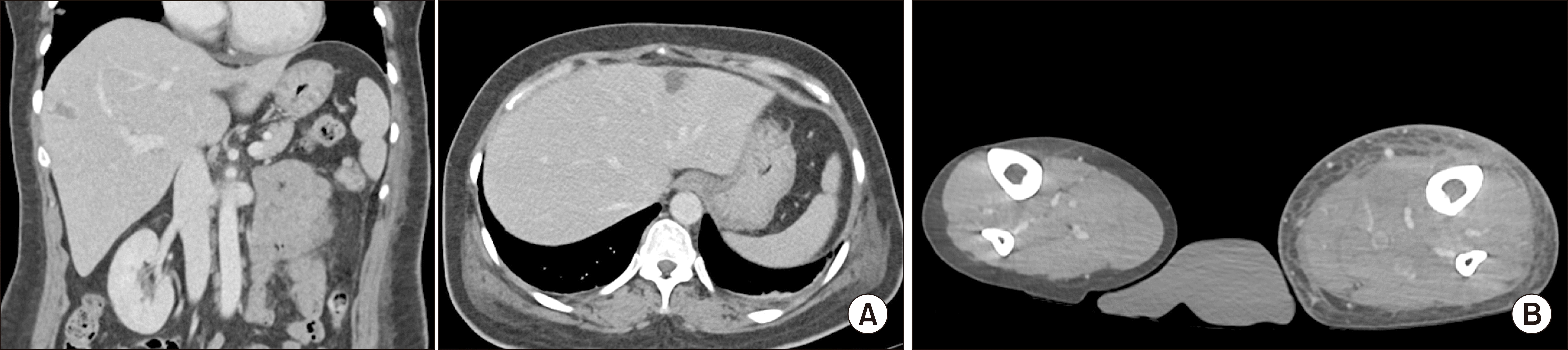
(A) The abdominal pelvic computed tomography (CT) shows multiple liver abscesses. (B) CT venography shows multifocal thromboses affecting left calf deep veins.
Figure 2
(A) The patient’s left lower leg showed redness and swelling. (B) Symptoms of left lower leg were getting worse and bulla formation was observed. (C) The plain radiograph of tibia shows soft tissue swelling and suspicious ostelytic lesion on the lateral cortex of mid tibia.
Figure 3
(A) The radiograph shows fracture of right femur shaft. There is the osteolytic lesion around fracture site. (B) In the enhanced magnetic resonance imaging, there are loculated fluid with thickened enhanced wall around fracture site in the muscles of right thigh.
Figure 4
(A) The three-phase bone scan shows positive uptake on the flow, blood pool and delayed phases on the left distal femur shaft and entire tibia and right femur shaft. (B) The enhanced magnetic resonance imaging of the left tibia shows whole tibia osteomyelitis and abscess pocket in subcutaneous and fascia layer of anterior lower leg.
Figure 5
(A) The radiograph shows temporary circular wiring was done to minimize displacement of femur fracture after abscess drainage and curettage. After 1 week, intramedullary nailing was done. (B, C) The radiographs show osteolytic lesions in the lateral cortex of each tibia and distal femur. After abscess drainage with incision, bone curettage was done through the bone window, and antibiotic cement beads were inserted.
Figure 6
(A) Marked necro-inflammatory exudates with acute osteomyelitis (H&E stain, ×40). (B) Intraosseous acute inflammatory cells with osteocytic necrosis (H&E stain, ×200). (C) Gram stain for bacteria was negative (Gram stain, ×200). (D) PAS stain for fungal organism was negative (PAS stain, ×200).



PDF
Citation
Print



XML Download