Abstract
Purpose
Forefoot ulcers have been implicated as a causative factor in diabetic foot amputation. The treatment of a bunionette deformity with an ulcer is not well established. This study examined the outcomes of a S.E.R.I. (simple, effective, rapid, and inexpensive) operation for bunionette deformity with ulcers in diabetic neuropathy.
Methods
Materials and Between January 2014 and June 2022, 20 patients (20 feet) treated for the bunionette deformity with a S.E.R.I. operation were reviewed retrospectively. All patients had diabetic neuropathy. Eleven patients were female, and the mean age at the time of surgery was 62 years. The mean follow-up time was 16 months. Radiologically, the 4th, 5th intermetatarsal angle (4, 5 IMA), lateral deviation angle (LDA), and the length of the 5th metatarsal bone were analyzed preoperatively and after a 1-year follow-up, and the clinical healing time of the ulcer was also reviewed.
Results
The 4, 5 IMA and LDA were reduced from the mean preoperative values of 11.4° and 7.9° to 4.8° and 3.8°, respectively (p<0.05). The mean 5th metatarsal length was reduced from 64.3 mm to 61.2 mm (p<0.05). All ulcers were healed at 3 months with no recurrence at the final follow-up. Four patients showed delayed union, and nine patients had developed hard corn around the previous lesion.
재봉사들이 책상다리(cross-legged position)를 하고 오래 앉아 작업함으로써 족부 외측과 땅바닥 간의 압력과 마찰이 원인이 되어 발생했다 하여 Tailer’s bunion이라고 불리는 소족지 건막류(bunionette) 병증은 제 5중족골 두의 외측이나 족저면에 통증과 발적 등과 함께 점액낭염 또는 굳은살과 같은 과각화성 병변을 유발하는 질환이다.1)
치료에 있어 보조기나 볼이 넓은 신발의 착용, 비스테로이드성 진통소염제 복용 등의 보존적 치료를 우선 시행하며, 증상의 호전을 보이지 않는 경우에 발의 폭과 제 5중족골 두 외측 돌출의 정도를 감소시키기 위하여 골두의 외측 일부를 절제하거나 중족골 두 하방이나 간부에 대한 다양한 절골술을 시행하기도 한다.1,2) 특히, Giannini등3)은 S.E.R.I. (simple, effective, rapid, and inexpensive) 수술법이라 하여 연부조직의 절개를 적게 하고 제 5중족골 원위 간부에 사면 절골술을 시행하는 술식으로 양호한 임상 결과를 보고하였다.
한편, 당뇨 환자들 중에는 약 15%에서 족부의 궤양이 일생 동안 한 번 이상 발생하며, 매년 당뇨 환자의 2%에서 족부 궤양이 새롭게 발병하는 유병률을 보인다.4,5) Ramsey 등6)은 약 8,900명의 당뇨 환자들에 대하여 3년 동안 추시한 결과 514명(5.8%)은 족부 궤양이 발생하였으며, 이들 중 약 80명(15.6%)은 골수염으로 인한 절단술을 시행하였고, 족부 궤양을 가진 당뇨 환자의 3년 생존율은 72%였던 반면, 족부 궤양을 가지지 않았던 당뇨 환자의 생존률은 87%로 의미있는 차이를 보였다고 보고하였지만, 당뇨 환자의 소족지 건막류에 기인한 궤양 발생의 유병률이나 그에 따른 합병증의 발생과 치료에 대한 연구는 아직 알려진 바 없다.7)
저자들은 당뇨성 신경병증을 가진 환자의 소족지 건막류에 발생한 궤양에 대하여 비교적 간단한 술식으로 수술 당일 퇴원이 가능하였던 제 5중족골 간부에 대한 S.E.R.I 절골술의 치료 효과를 알아보고자 하였다.
2014년 1월부터 2022년 6월까지 당뇨성 신경병증을 가진 환자들 중 소족지 건막류에 의한 궤양에 대하여 S.E.R.I 절골술을 시행한 총 20명의 환자, 20예(우족부 7예, 좌족부 13예)의 환자들에 대한 의무기록과 영상기록을 후향적으로 열람 분석하였다(Table 1).
환자들의 평균 나이는 62세(범위: 52∼75세)였으며, 11명의 환자가 여성이었고 평균 추시 기간은 16개월(범위: 7∼42개월) 이었으며, 지역 병원이나 저자들이 근무하는 병원의 내분비내과 또는 성형외과에서 최소 4주 이상 소족지 건막류 주위 궤양에 대한 보존적 치료를 시행하였음에도 불구하고 병증의 호전과 악화를 반복하여 정형외과 외래로 전원 또는 협진 의뢰되었다.
외래 진료 시 휴대용 도플러 초음파(portable doppler ultrasound)를 이용하여 후경골 동맥과 발등(dorsalis pedis) 동맥의 혈류가 확인되고 족지의 모세혈관 충만(capillary refill) 시간이 3초 이내의 양호한 소견을 보이는 환자들을 대상으로 하였고, 발목-상완지수(ankle-brachial index) 값이 0.9 미만으로 혈관조영 컴퓨터 단층촬영(angio computed tomography) 검사에서 하지 동맥의 폐색이나 협착으로 족부의 허혈 소견을 보였던 환자들의 경우에는 순환기내과 또는 혈관외과 등과의 협진을 진행하여 입원 가료를 통해 혈관 중재술 후 수술을 진행하였기에 대상에서 제외하였다. 또한, 제 5중족골 골두의 외측이나 족저부에 발생한 궤양에서의 농양 형성과 방사선 검사상 골흡수, 족지의 괴사 등의 소견을 보였던 Wagner 분류8) 3 또는 4단계 환자들의 경우에도 입원 가료를 통한 반복되는 변연 절제술 및 절골술을 시행하였기에 본 연구에서 제외하였으며, 같은 이유로 무지외반증이 동반되어 제 1중족골에 대한 교정적 절골술을 동시에 시행한 환자들도 제외하였다.
환자들에게 외래 초진 당시 추가적인 보존적 치료 계획없이 가급적 이른 시간 내의 수술적 치료를 권유하였으며, 초진 후 수술을 시행하기까지 평균 7일(범위: 3∼16일)이 경과하였다. 수술 당일 단기 입원실에서 약 4시간 정도 경과 관찰 후 퇴원하였으며, 비록 당뇨성 신경병증에 의해 족지를 포함한 전족부의 감각 기능이 저하된 상태로 소족지 건막류 주위 병변에 핀셋을 이용한 꼬집기(pinch)에도 별다른 통증을 호소하지 않았지만 중족부에 대한 절골술과 지혈대를 적용함에 따른 통증 유발을 우려하여 환자들 모두 초음파 유도하 좌골신경 차단술을 시행한 후 수술을 진행하였다.
한편, 본 연구는 저자가 속한 기관의 임상연구 심의 위원회(institutional review board)의 승인을 얻은 후 진행하였다.
환자를 수술대 위에 앙와위 자세로 눕힌 상태에서 족관절 양과에서 약 20 cm 상방으로 종아리에 Esmarch 붕대를 이용하여 지혈하였으며, 제 5중족골 두 주위에 위치한 궤양과 주위 연부조직의 염증으로부터 최소 10 mm 이상 거리를 확보하기 위하여 환자에 따라 제 5중족골 원위부 또는 근위부에서 전외측에 약 15 mm 길이의 피부절개를 가한 후 골막을 박리하였다. 시상면에서 족저 근위부로부터 족배 원위부 방향으로, 축상면에서 중족골 간부에 수직으로 절골을 시행하였으며, 1.6 mm K-강선(Kirschner wire)을 절골 원위부 장축의 중앙에서 평행하게 삽입하여 도수 조작으로 K-강선을 촉지하면서 밀어 넣어 관절낭을 관통한 후 제 5족지 조갑 뿌리(nail bed)의 외측으로 나오게 하였다. 이 후 방사선(mini-C arm) 감시하에 K-강선을 절골 근위부 골수 공간(medullary canal)으로 역방향으로 다시 삽입하여 골간단부를 지나 위치시킴으로써 자연스런 중족골 두의 내측 전위를 유도하였다.3) Wagner 분류상 2단계의 중족골 두 주위 궤양에 대하여는 변연절제술 후 봉합술을 통해 궤양의 크기를 최소화하였다.
중족지 간 관절의 신전을 제한하는 무지 외반증 환자용 신발(stiff-soled postoperative shoes)을 착용하고 후족부 위주의 보행을 수술 후 좌골신경 차단술로부터 회복된 즉시 허용하였으며, 2주째 K-강선과 수술창 봉합사를 제거하고 볼이 넓은 일반 신발을 신도록 하고 환자 본인에 의한 궤양 부위 상처 소독을 교육하여 2주 간격으로 추시하였다.
수술 전과 수술 후 3개월과 6개월, 그리고 12개월에 족부에 대한 체중부하 기립 전후면 방사선 검사를 시행하여 제 4, 5중족골간각(4th, 5th intermetatarsal angle), 외측 편위각(lateral deviation angle), 제 5중족골의 길이 단축 등을 측정하였으며, 술 전 Fallat의 분류에 따라 네 가지 형태로 구분하였다.9) 여기에 측면과 사면을 추가로 촬영하여 절골부 골소주의 연결을 근거로 유합 여부를 판별하였다. 제 4중족골 간부를 이등분하는 종축선과 제 5중족골 내측 피질골에 평행한 선이 이루는 각도를 제 4, 5중족골간각으로, 제 5중족골의 골두와 경부의 중앙을 연결하는 선과 제 5중족골 근위부의 내측 피질골에 평행한 선이 이루는 각도를 외측 편위각으로 정의하였으며, 제 5중족골의 길이는 중족-지간 관절면을 이루는 골두 원위부와 중족-입방골관절을 이루는 기저면의 중앙부 사이의 거리로 계측하였다.2)
한편, 기존의 소족지 건막류에 대한 수술 후 치료 결과를 알아보기 위한 연구들의 임상 지표로서 통증의 정도가 주된 평가 항목인 American Orthopaedic Foot and Ankle Society 소족지 중족족지-족지간관절 점수(lesser metatarsophalangeal-interphalangeal score)나 시각 아날로그 척도(visual analogue scale) 등의 임상적 평가는 당뇨성 신경병증을 가진 환자들의 수술 전 후 주된 증상이 통증이 아니었던 이유로 본 연구에서는 시행하지 않았으며, 추시과정 중 기존의 궤양에 대한 치유 및 재발 또는 전족부의 새로운 궤양이나 굳은살 발생 여부 등을 관찰하였다.
통계 분석은 SPSS 12(SPSS Inc.)을 이용한 윌콕슨 부호순위 검정법(Wilcoxon matched pairs signed-rank test)으로 분석하였고, 유의 수준은 5%로 하였다.
술 전 체중부하 기립 전후면 방사선 검사에서 Fallat 분류상 제 5중족골 간부가 외측으로 휘어진 제 2형이 2예, 제 4, 5중족골간각이 증가된 제 3형이 14예, 제 2형과 제 3형 변형을 같이 보이는 제 4형이 4예였으며, 신체검사상 궤양은 제 5중족골 두 주위로 3예가 족저부에, 17예가 외측부에 위치하였고, 궤양의 정도는 Wagner 분류상 피부에 국한된 표재성 궤양을 보이는 1단계가 15예, 중족지 간 관절낭 또는 중족골이 노출된 2단계가 5예였다.2,8,9) 절골술이 시행된 부위는 제 5중족골 길이의 중앙을 기준으로 원위 간부가 14예, 근위간부가 6예였다(Fig. 1, 2).
술 전 제 4, 5중족골간각은 평균 11.4° (범위: 8°∼14°)에서 술 후 6개월에 4.8° (범위: 3°∼7°)로, 외측 편위각은 술 전 7.9° (범위: 4°∼14°)에서 술 후 3.8° (범위: 2°∼6°)로 각각 감소하였다(p<0.05). 제 5중족골의 길이 또한 술 전 평균 64.3 mm (범위: 52∼72 mm)에서 술 후 61.2 mm (범위: 49∼68 mm)로 통계학적으로 의미있는 감소를 보였다(p<0.05) (Table 2).
방사선학적 추시상 16예에서 술 후 3개월에 절골부의 골소주 연결성을 보이는 유합 소견을 보였던 반면, 4예에서 지연유합이 발생하였지만 술 후 12개월에 유합되었다(Fig. 3).
총 20예들 중 Wagner 분류 2단계에 해당하는 5예에서 술 후 궤양 부위의 지속적인 장액성 삼출물이 생성되었으나 외래 6주 추시 기간 이내에 궤양 부위에 반흔조직이 형성되고 주위로의 발적과 부종이 감소하는 등 병변이 호전되는 양상을 보였고, 전례에서 술 후 3개월에 육아조직 형성을 통한 2차 치유가 완성되었다.
한편, 술 후 12개월 신체검사상 추시상 3예에서 제 5중족골 절골부 주위에, 4예에서 제 4중족골 골두 하방에, 2예에서 제 5족지 족배부에 굳은살이 속발되었지만 궤양이 임박한 소견은 아닌 상태에서 별다른 증상을 환자가 호소하지 않아 경과 관찰 중이다.
정상 감각을 지닌 환자에게 발생한 소족지 건막류에 대한 치료는 신발이나 패드, 보조기 착용 등의 보존적 치료를 우선으로 하며, 주된 증상인 통증의 호전이 없을 경우 발의 폭과 외측의 골 돌출부를 감소시키기 위하여 제 5중족골에 대한 다양한 수술적 치료를 시행하기도 한다. 고식적인 수술적 치료는 중족골 두의 비대, 중족골 간부의 외측으로 휘어짐, 제 4, 5중족골간각의 증가, 굳은살을 비롯한 통증의 위치 등을 함께 고려하여 중족골 두 일부에 대한 절제술과 중족골의 원위부와 간부 또는 근위부에서 다양한 절골술과 내고정술 들을 시행하게 된다.10-16)
하지만, 제 5중족골 두 외측이나 족저부에 지속적으로 가해지는 압력과 마찰로 인해 통증을 비롯하여 부종, 발적 및 굳은살을 주된 증상으로 외래를 방문하는 정상 감각을 지닌 일반 환자들과는 달리 당뇨족 환자의 경우 신경병증에 의하여 감각이 저하되거나 소실됨으로써 소족지 건막류 주위로 점액낭이 형성되어 궤양에 이르기까지 통증을 느끼지 못하기 때문에 이러한 병변이 세균이 침범하는 통로가 되어 관절낭막의 감염이나 골수염으로 진행되는 상태로 방치되는 경우가 있다.7,17) 이러한 환자들이 병원에 방문하더라도 병증에 대한 인식 부족과 증상의 경미함, 검사비 및 치료비의 부담 등으로 입원을 통한 수술적 가료를 권유하고 설득하는데 어려움이 있기에 비교적 간단한 술식을 통해 수술 당일 퇴원하는 치료를 시행하여 병변의 호전을 가져오며 재발을 방지하는 대책이 요구된다.5,6)
당뇨의 합병증들 중 하나인 당뇨족은 신경병증, 말초동맥질환, 면역질환, 혈당조절장애 등의 다양한 원인들에 의해 발생하며 이들 중 궤양의 발생은 당뇨 신경병증과 관련이 있다.18) 당뇨족으로 수술을 시행한 환자들의 75%는 신경병증을 가지고 있으며, 당뇨 신경병증을 가진 환자는 족부의 감각을 유지한 당뇨 환자에 비하여 7배 이상 족부의 궤양이 발생할 확율이 높고, 궤양을 가지는 당뇨족 환자의 5%가 매년 절단술을 시행한다는 보고가 있다.4,19) 신경병증을 가진 당뇨 환자들에게 족부에 발생한 염증이나 궤양 등에 의한 통증이 미약하므로 병증의 초기 단계에 의료기관을 내원하지 않고, 병증 부위로 증가된 국소적 압력에 대하여 회피를 위한 자세나 동작을 자발적으로 취하지 못하기에 감염이나 괴사로 진행하는 경우가 있다.
궤양을 가진 소족지 건막류 병변에 대하여 골두 절제술이나 광범위한 연부조직 절개와 내고정물의 삽입을 통한 중족골 원위부 또는 간부에 대한 사형 또는 스카프 절골술 등의 고식적인 수술을 시행하는 것은 당뇨족의 혈행 감소를 비롯한 연부조직의 취약성뿐만 아니라 장시간의 비체중부하 보행을 유지해야 하고 내고정물로 인한 연부조직의 자극 등의 단점들로 술 후 합병증이 발생할 가능성이 높으며, 환자의 병증에 대한 인식에 비추어 과도한 치료로 받아들이게 된다.17,20)
한편, S.E.R.I. 수술법은 연부조직의 절개를 최소화 하며 중족골 원위 사면 절골술 후 K-강선을 삽입하여 내고정하는 방식으로 술기가 간단하고 효율적인 장점이 있다. 하지만, K-강선을 근위 골수공간에 삽입하는 술식의 특성상 정확하게 절골부의 전위를 환자 개개인에 따라 시행하기가 어려울뿐더러 나사못을 이용한 내고정술이 아니기에 부정유합이나 불유합, 미흡하거나 과도한 교정, 골두의 괴사, K-강선 주위의 감염 등의 합병증이 발생할 수 있어 술기 선택에 주의를 요한다.3,13,21,22)
본 연구에서도 기존의 연구 결과에 따른 합병증들이 방사선 및 신체검사상 확인되었다.13,21,22) 총 20예들 중 4예(20%)에서 술 후 3개월 방사선학 소견상 지연 유합의 소견을 보였지만, 최종적으로 불유합은 발생하지 않았으며 추시과정 중 가관절증(pseudarthrosis)으로 인한 통증을 환자들이 호소하지 않았기에 유합 여부에 관계없이 보행을 지속하였다. S.E.R.I. 수술법에 있어 K-강선을 절골 근위부 골수 공간으로 삽입함으로써 자연스런 중족골 두의 내측 전위를 유도하는 과정 중 의도치 않게 발생한 과도한 전위로 인하여 절골부의 중첩과 단축이 유발되는 등 제 5중족골의 길이 또한 술 전과 비교하여 통계학적으로 의미 있는 감소를 보였다. 이는 신체검사상 술 후 12개월에 총 9예(45%)의 높은 비율로 환자들에게 제 5중족골 절골부를 비롯하여 제 4중족골 골두 하방과 제 5족지의 갈퀴족지를 동반한 족배부에 굳은살이 발생한 원인들 중 하나로 판단된다. 하지만, 이들 환자 역시 당뇨 신경병증으로 인해 전이성 중족골통을 비롯한 굳은살 발생 부위의 통증은 호소하지 않았기에 병변 부위의 궤양 발생여부에 대한 육안관찰 및 적절한 신발 착용 등의 교육을 통해 경과 관찰 중이다.
본 연구에서는 제 5중족골 간부에 최소 절개를 통한 S.E.R.I. 절골술을 시행하여 제 5중족골 원위부를 내측 및 상방으로 전위시켜 기왕의 병변에 가해지는 국소적 압력을 회피함으로써 Wagner 분류 1단계와 2단계에 해당하는 총 20예들의 궤양 모두가 술 후 3개월 이내에 호전되었으며, 수술 당일 퇴원하여 일상 보행을 유지하는 술 후 치료 방침을 통해 보존적 치료에 동반될 수 있는 골수염으로의 속발이나 근력 약화, 족부족관절의 강직 등의 합병증을 방지할 수 있었다는데 그 의미가 있겠다.
본 연구는 선행적 연구 결과가 아니고 정상군 또는 다른 술기를 이용한 대조군과의 비교를 할 수 없었으며, 평균 추시 기간 또한 16개월로 장기 추시하지 못하였던 단점들이 있다. 또한, 모든 소족지 건막류 환자들에 대하여 술 전 변형에 대한 방사선학적 고려없이 일괄적으로 병변의 부위와 정도에 따라 원위 간부는 물론 근위 간부에서도 절골술을 시행하였기에 보다 구체적인 환자의 선택기준 및 술기의 표준화 또한 요구될 것이다.
REFERENCES
1. Cohen BE, Nicholson CW. 2007; Bunionette deformity. J Am Acad Orthop Surg. 15:300–7. doi: 10.5435/00124635-200705000-00008. DOI: 10.5435/00124635-200705000-00008. PMID: 17478753.
2. Mann RA, Mann JA. 2004; The bunionette deformity. Instr Course Lect. 53:303–9.
3. Giannini S, Faldini C, Vannini F, Digennaro V, Bevoni R, Luciani D. 2008; The minimally invasive osteotomy "S.E.R.I." (simple, effective, rapid, inexpensive) for correction of bunionette deformity. Foot Ankle Int. 29:282–6. doi: 10.3113/FAI.2008.0282. DOI: 10.3113/FAI.2008.0282. PMID: 18348823.
4. Singh N, Armstrong DG, Lipsky BA. 2005; Preventing foot ulcers in patients with diabetes. JAMA. 293:217–28. doi: 10.1001/jama.293.2.217. DOI: 10.1001/jama.293.2.217. PMID: 15644549.
5. Strauss MB. 2005; The orthopaedic surgeon's role in the treatment and prevention of diabetic foot wounds. Foot Ankle Int. 26:5–14. doi: 10.1177/107110070502600102. DOI: 10.1177/107110070502600102. PMID: 15680112.
6. Ramsey SD, Newton K, Blough D, McCulloch DK, Sandhu N, Reiber GE, et al. 1999; Incidence, outcomes, and cost of foot ulcers in patients with diabetes. Diabetes Care. 22:382–7. doi: 10.2337/diacare.22.3.382. DOI: 10.2337/diacare.22.3.382. PMID: 10097914.
7. Armstrong DG, Boulton AJM, Bus SA. 2017; Diabetic foot ulcers and their recurrence. N Engl J Med. 376:2367–75. doi: 10.1056/NEJMra1615439. DOI: 10.1056/NEJMra1615439. PMID: 28614678.
8. Lavery LA, Armstrong DG, Harkless LB. 1996; Classification of diabetic foot wounds. J Foot Ankle Surg. 35:528–31. doi: 10.1016/s1067-2516(96)80125-6. DOI: 10.1016/S1067-2516(96)80125-6. PMID: 8986890.
9. Fallat LM, Buckholz J. 1980; An analysis of the tailor's bunion by radiographic and anatomical display. J Am Podiatry Assoc. 70:597–603. doi: 10.7547/87507315-70-12-597. DOI: 10.7547/87507315-70-12-597. PMID: 7229255.
10. Diebold PF. 1991; Basal osteotomy of the fifth metatarsal for the bunionette. Foot Ankle. 12:74–9. doi: 10.1177/107110079101200203. DOI: 10.1177/107110079101200203. PMID: 1773998.
11. Martijn HA, Sierevelt IN, Wassink S, Nolte PA. 2018; Fifth metatarsal osteotomies for treatment of bunionette deformity: a meta-analysis of angle correction and clinical condition. J Foot Ankle Surg. 57:140–8. doi: 10.1053/j.jfas.2017.08.006. DOI: 10.1053/j.jfas.2017.08.006. PMID: 29268897.
12. Kitaoka HB, Holiday AD Jr. 1992; Lateral condylar resection for bunionette. Clin Orthop Relat Res. 183–92. DOI: 10.1097/00003086-199205000-00030.
13. Baumhauer JF, DiGiovanni BF. 2001; Osteotomies of the fifth metatarsal. Foot Ankle Clin. 6:491–8. doi: 10.1016/s1083-7515(03)00109-8. DOI: 10.1016/S1083-7515(03)00109-8. PMID: 11692494.
14. Cooper MT, Coughlin MJ. 2013; Subcapital oblique osteotomy for correction of bunionette deformity: medium-term results. Foot Ankle Int. 34:1376–80. doi: 10.1177/1071100713489121. DOI: 10.1177/1071100713489121. PMID: 23650648.
15. Coughlin MJ. 1991; Treatment of bunionette deformity with longitudinal diaphyseal osteotomy with distal soft tissue repair. Foot Ankle. 11:195–203. doi: 10.1177/107110079101100402. DOI: 10.1177/107110079101100402. PMID: 1855704.
16. Dayton P, Glynn A, Rogers WS. 2003; Use of the Z osteotomy for Tailor bunionectomy. J Foot Ankle Surg. 42:167–9. doi: 10.1016/s1067-2516(03)70023-4. DOI: 10.1016/S1067-2516(03)70023-4. PMID: 12815587.
17. Batista F, Pinzur MS. 2005; Disease knowledge in patients attending a diabetic foot clinic. Foot Ankle Int. 26:38–41. doi: 10.1177/107110070502600107. DOI: 10.1177/107110070502600107. PMID: 15680117.
18. Armstrong DG, Lavery LA, Harkless LB. 1998; Who is at risk for diabetic foot ulceration? Clin Podiatr Med Surg. 15:11–9. DOI: 10.1016/S0891-8422(23)01025-X. PMID: 9463765.
19. Frykberg RG, Lavery LA, Pham H, Harvey C, Harkless L, Veves A. 1998; Role of neuropathy and high foot pressures in diabetic foot ulceration. Diabetes Care. 21:1714–9. doi: 10.2337/diacare.21.10.1714. DOI: 10.2337/diacare.21.10.1714. PMID: 9773736.
20. Piaggesi A, Schipani E, Campi F, Romanelli M, Baccetti F, Arvia C, et al. 1998; Conservative surgical approach versus non-surgical management for diabetic neuropathic foot ulcers: a randomized trial. Diabet Med. 15:412–7. doi: 10.1002/(SICI)1096-9136(199805)15:5<412::AID-DIA584>3.0.CO;2-1. DOI: 10.1002/(SICI)1096-9136(199805)15:5<412::AID-DIA584>3.3.CO;2-T.
21. Michels F, Guillo S. 2020; Bunionette: Is there a minimally invasive solution? Foot Ankle Clin. 25:425–39. doi: 10.1016/j.fcl.2020.05.004. DOI: 10.1016/j.fcl.2020.05.004. PMID: 32736740.
22. Michels F, Demeulenaere B, Cordier G. 2021; Consensus in percutaneous bunionette correction. Orthop Traumatol Surg Res. 107:102642. doi: 10.1016/j.otsr.2020.03.029. DOI: 10.1016/j.otsr.2020.03.029. PMID: 33187868.
Figure 1
Radiographs and photographs of a 57-year-old female patient who has diabetic neuropathy with bunionette. Preoperative standing anteroposterior radiograph shows type II bunionette deformity by Fallat (A). Radiograph after S.E.R.I. operation (B). At postoperative 3 months, the radiograph shows bony union of the osteotomy site (C). Preoperatively, a grade 1 ulcer developed at the lateral side of the 5th metatarsal head (D). At postoperative 3 months, the healing of the ulcer was confirmed (E). S.E.R.I., simple, effective, rapid, and inexpensive.
Figure 2
Radiographs and photographs of a 62-year-old male patient who has diabetic neuropathy with bunionette. Preoperative medial oblique radiograph shows type IV bunionette deformity by Fallat with soft tissue defect at the lateral side of the 5th metatarsal head (A). S.E.R.I. operation was performed at the proximal shaft (B). At postoperative 6 months, radiograph shows bony union of the osteotomy site (C). Preoperatively, a grade 2 ulcer developed at the lateral side of the 5th metatarsal head (D). At postoperative 6 months, the healing of the ulcer was confirmed, but hard corn was newly developed around the previous osteotomy site (E). S.E.R.I., simple, effective, rapid, and inexpensive.
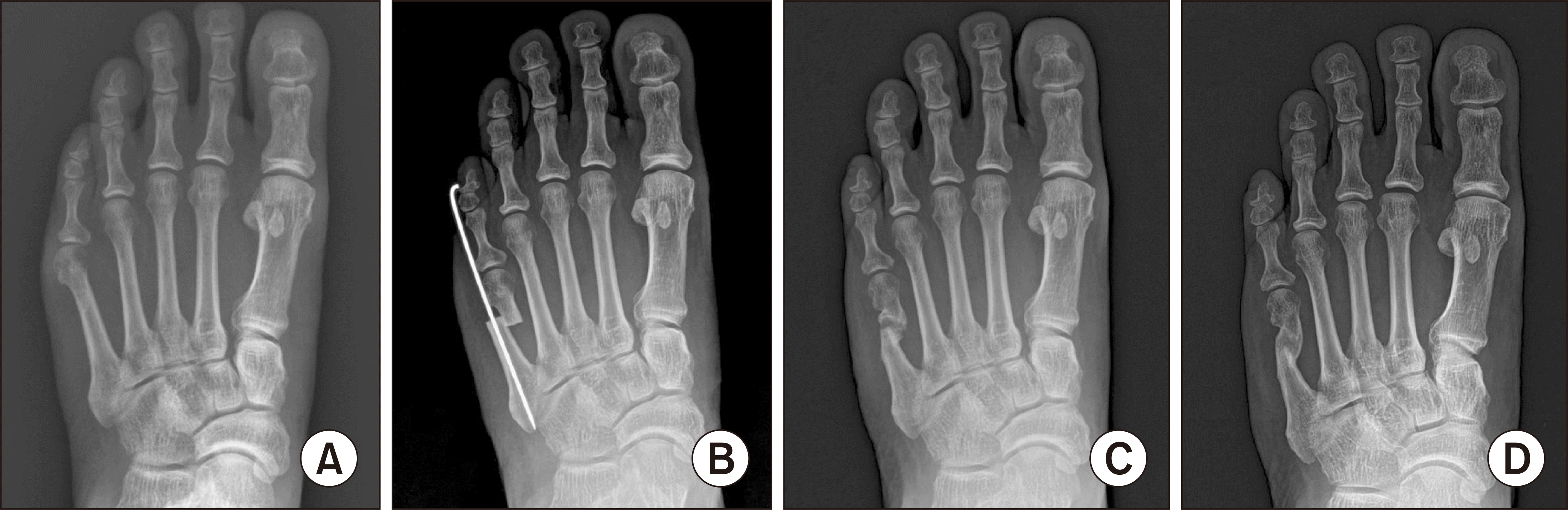
Figure 3
Radiographs of a 67-year-old male patient who has diabetic neuropathy with bunionette. Preoperative standing anteroposterior radiograph shows type III bunionette deformity by Fallat (A). S.E.R.I. operation was performed but radiograph shows metatarsal shortening due to over-correction (B). At postoperative 6 months, radiograph shows atrophic nonunion of the osteotomy site (C). But the bony union was achieved at the 12 months follow-up (D). S.E.R.I., simple, effective, rapid, inexpensive.
Table 1
Patient Demographics and Preoperative Factors



PDF
Citation
Print



XML Download