Abstract
Purpose
Ankle fractures are common in the orthopedic field. Lateral malleolar fractures are often treated with lag screws and locking plates. Cortical screws are typically used as lag screws to achieve absolute stability through compression. In osteoporotic bone, however, achieving sufficient compression with cortical screws can be challenging. Cancellous screws may offer better fixation in metaphyseal bone. This study compared the outcomes of using cortical screws as lag screws and cancellous screws as position screws for lateral malleolar fixation.
Methods
Materials and This retrospective study included patients who underwent surgery for Weber type B ankle fractures at the authors’ hospital between March 2019 and March 2022. The patients were divided into two groups based on the screw type: cortical lag screws (n=70) and cancellous position screws (n=35). In both groups, a locking plate was applied in the same manner after screw fixation. The outcomes were evaluated using the visual analog scale (VAS), Olerud-Molander score (OMS), foot and ankle outcome score (FAOS), and foot function index (FFI). Complications, such as fixation failure, nonunion, and malunion, were recorded.
Results
One hundred and five patients were included. The mean follow-up duration was 16 months (range, 12~28 months). The VAS (1.6±1.9 vs. 1.1±1.3, p=0.305), FFI (10.3±13.4 vs. 10.4±13.5, p=0.970), FAOS (83.0±14.4 vs. 83.5±14.4, p=0.899), and OMS (85.3±18.4 vs. 84.7±17.6, p=0.910) scores were similar in the two groups. No complications were reported in either group.
족관절 골절은 정형외과 영역에서 흔한 외상 중 하나이다. 발목 골절의 연간 유병률은 연간 10,000명당 4명에서 많게는 18명에 이른다.1-3) Lauge-Hansen 분류에 따르면 회외-외회전형 골절이 가장 흔하며, 이 경우 비골 골절을 고정할 때 지연 나사(lag screw)와 금속판을 사용하는 방법이 표준적인 치료법으로 알려져 있다.4) 지연 나사 기법(lag screw technique)은 골절 부위에 압박력(compression force)을 가하여 일차 골 치유를 촉진하는 좋은 방법이지만 외측 복사 골절(lateral malleolar fracture)에 적용하는 것이 기술적으로 항상 쉬운 것은 아니다. 지연 나사 기법은 나사를 통한 압박력을 얻기 위해 나사의 외부 직경과 동일한 직경의 드릴로 가까운 피질골(near cortex)에 글라이딩 구멍을 내고, 나사의 내부 직경과 동일한 두께로 먼 피질골(far cortex)에 구멍을 내는 과정을 포함한다. 이 경우 가까운 피질골에서는 나사산(screw thread)이 피질골과 결속되지 않기 때문에 먼 피질골과 나사가 적절히 결속되지 않으면 충분한 골편 고정력을 얻지 못하여 때때로 이 고정 방법은 실패하게 된다. 골질이 낮거나, 후방 피질골의 두께가 너무 얇을 때, 드릴링(drilling)이 적절히 이루어지지 않았을 때 등에서 나타날 수 있는 현상이다.
일반적으로 지연 나사 기법은 피질골 나사(cortical screw)를 이용하는데, Weber B형 족관절 골절에서 골편간 나사(interfragmentary screw)는 일반적으로 비골의 골간단(metaphysis)에 위치하게 된다. 이러한 골간단부 골절의 고정에는 해면골 나사(cancellous screw)를 이용하는 것이 생체역학적으로 유리하다는 것이 알려져 있으나,5) 외복사 골절에서 해면골 나사를 위치 유지 나사(position screw)로 이용하여 고정하였을 때의 임상적 결과는 잘 알려져 있지 않다.
그리하여 우리는 이 연구에서 Weber B형 회전 족관절 골절에서 비골 고정 시 지연 피질골 나사(cortical lag screw)와 위치 유지 해면골 나사(cancellous position screw) 사용에 따른 임상적 결과를 비교하고자 한다.
이 연구는 한림대학교성심병원 윤리위원회(institutional review board)의 승인을 받았다(No. 2024-10-004). 2019년 3월부터 2022년 3월까지 본원에서 Weber B형 회전 발목 골절로 개방적 정복 및 내고정술을 받은 환자를 대상으로 후향적 연구를 진행하였다. 19세 미만 환자, 다발성 골절 환자, 동측 발목의 골절력이나 수술력이 있는 환자, 추적 관찰 기간이 1년 미만인 환자, 분쇄 골절로 인해 골편간 나사 고정 외에 다른 수술 방법을 선택한 환자 등은 제외하였다. 골절 부위의 골편간 나사 고정 시에 피질골 나사를 지연 나사 기법으로 사용한 군과, 해면골 나사를 위치 유지 나사로 사용한 군으로 환자들을 나누어 분류하였다. 두 군 모두 나사 고정 후 동일한 방식으로 잠김 금속판(locking plate)을 적용하였다.
전신 마취 또는 척추 마취 시행 후 수술을 진행하였다. 수술 시 체위는 외측 복사 골절 또는 양측 복사 골절(bimalleolar fracture)의 경우에는 앙와위로 시행하였고, 후복사 골절(posterior malleolar fracture)이 동반된 경우에는 측와위로 시행하였다. 비골 골절 고정 시 피질골 나사를 지연 나사 기법으로 사용할지, 해면골 나사를 위치 유지 나사로 사용할지 여부는 술자의 판단에 따라 결정되었으며, 주로 수술 전 영상 검사 또는 수술 중 육안으로 골절 부위 피질골의 두께가 얇거나 전반적인 골질이 좋지 않아 보이는 경우, 혹은 골질이 좋더라도 골절틈(fracture gap)이 거의 없는 상태로 도수 정복이 만족스럽게 되어 지연 나사 기법의 추가적인 이득이 적다고 판단된 경우 등에서 해면골 나사가 선택되었다. 전자의 경우 전통적인 지연 나사 기법을 이용하여 나사의 외부 직경과 동일한 직경의 드릴로 가까운 피질골에 글라이딩 구멍을 내고, 나사의 내부 직경과 동일한 두께로 먼 피질골에 구멍을 낸 후 3.5 mm 피질골 나사로 고정하였고(Fig. 1), 후자의 경우 골절 부위를 정복 겸자(reduction forceps)를 이용하여 정복 상태를 유지시킨 상태에서 나사의 내부 직경과 동일한 두께로 가까운 피질골과 먼 피질골을 한 번에 drilling한 후에 4.0 mm 해면골 나사로 고정하였다(Fig. 2). 두 군 모두에서 나사는 전방에서 후방으로 삽입하였으며, 나사 고정 후 동일한 방식으로 잠김 금속판을 적용하였다.
임상 결과는 수술 후 1년 시점의 시각적 아날로그 척도(visual analog scale, VAS), Olerud-Molander score, foot and ankle outcome score (FAOS), 그리고 foot function index (FFI)를 이용하여 평가하였다. 또한 불유합, 부정유합, 가골 형성(callus formation), 고정 실패(fixation failure), 비골건 자극 증상, 그리고 골극 형성 및 관절강 협착 등을 포함한 관절염의 징후가 확인되는지 등 여부도 조사하였다.
해당 기간 동안 본원에서 수술을 시행한 226명의 환자 중 제외 기준에 해당되는 121명을 제외한 후, 총 105명의 환자를 대상으로 분석을 시행하였다. 피질골 나사로 고정한 군이 70예, 해면골 나사로 고정한 군이 35예였다. 평균 추적 관찰 기간은 16개월(12∼28개월)이었다.
피질골 나사 군은 남성 38명, 여성 32명이었으며, 평균 연령은 46.5세였고, 해면골 나사 군은 남성 14명, 여성 21명이었으며, 평균 연령은 56.7세였다. 두 군 간의 연령은 통계학적으로 유의한 차이가 있었으며, 그 외 성별과 골절 종류 등은 유의한 차이는 확인되지 않았다(Table 1).
두 군 간의 임상 평가 결과 VAS (1.6±1.9 대 1.1±1.3, p=0.305), FFI (10.3±13.4 대 10.4±13.5, p=0.970), FAOS (83.0±14.4 대 83.5±14.4, p=0.899), Olerud-Molander score (85.3±18.4 대 84.7±17.6, p=0.910)에서 통계적으로 유의미한 차이가 없는 것으로 나타났다(Table 2). 두 그룹 모두에서 동일하게 불유합, 부정유합, 고정 실패, 가골 형성, 비골건 자극 증상, 외상 후 관절염 등의 합병증은 확인되지 않았다.
이 연구에서 Weber B형 족관절 골절의 비골 골절 고정 시, 지연 나사 기법을 이용하여 피질골 나사로 비골 골절을 고정한 군과 해면골 나사를 위치 유지 나사로 이용하여 고정한 군 간의 임상적 결과는 차이가 없는 것으로 나타났다.
이전 연구들에서 몇몇 저자들은 Weber B형 비골 골절 고정 시 비골의 골질이 낮거나, 피질골이 너무 얇을 때, 비골의 직경이 너무 작을 때 등에서 지연 나사 기법을 적용하기 어려울 수 있으며, 또 지연 나사 길이가 긴 경우 비골건 자극 증상 등의 합병증을 유발할 수 있다고 제시하였다.4,6,7) 그 대안으로 지연 나사 없이 금속판만 적용하거나, 나사를 후방에서 전방으로 삽입하는 등의 방법을 제시하였다.1,7-9)
대부분의 Weber B형 비골 골절은 비골의 골간단 부위에서 발생하게 되는데, 일반적으로 골간단 부위는 골간 부위에 비해 피질골이 얇고, 피질골에 비해 해면골의 비율이 높다.10) 해면골 나사는 골간단부 골절 고정 시 유용하게 사용되도록 디자인된 나사이며, Wang 등11) 이 골간단 골절 고정 시 해면골 나사가 피질골 나사보다 생체역학적으로 우수하다는 결과를 발표한 바가 있다. 그러나 Weber B형 비골 골절의 치료에서 해면골 나사를 이용한 결과에 대해서는 많이 알려져 있지 않다.
저자들은 이 연구에서 Weber B형 비골 골절의 고정 시 때때로 지연 나사 기법을 이용하였을 경우 충분한 고정력을 얻지 못하거나 먼 쪽 피질골이 파손되어 지연 나사 기법이 실패한 경우, 또한 지연 나사 기법 시 먼 쪽 피질골과 강한 결속력을 얻어 충분한 압박을 얻으려고 할 때 나사가 길게 적용되어 비골건을 자극하는 증상 등의 합병증을 유발할 수 있다는 점 등에 착안하여, 그 대안으로 지연 나사 기법을 사용하지 않고 정복 겸자로 골절 부위 정복 후 위치 유지 나사로 해면골 나사를 삽입하여 고정하는 방법을 사용하였고, 그 결과를 전통적인 방법과 비교하였으며, 두 방법 모두 통계적으로 유의한 차이 없이 만족스러운 임상적 결과를 나타냄을 확인하였다.
본 연구는 몇 가지 제한점이 있다. 첫째로, 후향적 의무기록 분석 연구로 진행되었기 때문에, 이 연구에서 두 군을 분류하는 기준이 되는 어떤 나사를 선택할 지 여부가 무작위 배정이 아닌 술자의 선택에 따라 정해졌고, 이로 인해 통계적 편향이 있었을 가능성이 있다. 또한 이와 연관되어 실제로 두 군 간의 연령이 통계적으로 유의한 차이가 있었고, 이는 두 군 간의 임상 결과 비교의 신뢰성을 떨어뜨리는 원인이 될 수 있겠다. 다만 이 연구에서 말하고자 하는 바가 두 수술 방법 중 무엇이 우월한 지에 대한 것보다는 기존에 행해지던 피질골 지연 나사 기법의 우수한 임상 결과만큼 해면골 나사를 위치 유지 기법으로 사용하였을 때에도 유의한 차이가 없는 결과를 나타낸다는 것에 있고, 또한 연령이 높은 군이 골밀도 또는 골질이 더 낮거나 수술 결과가 더 나쁠 수 있다는 것이 통상적인 견해이므로 해면골 나사 군의 연령이 더 높았음에도 두 군 간 유의한 차이 없는 임상 결과를 나타냈다는 점에서 이 연구의 의의를 찾을 수 있을 것으로 생각된다. 둘째로, 수술 후 영상 검사를 통해 확인할 수 있는 방사선학적 분석이 다소 부족했다는 점이 있다. 두 군 모두에서 가골 형성이 없는 일차 골유합(primary bone healing)을 얻고자 하였기 때문에, 수술 시 골절틈이 거의 없었을 경우 수술 후 단순 방사선 검사 추적 중에 골유합 여부 및 골유합 된 정확한 시기를 알 수 없는 경우가 대다수여서 어느 군에서 유합이 더 잘 되었는지 혹은 더 빨리 되었는지 등은 본 연구로 확인할 수 없었다. 추후 다른 연구에서 수술 후 단순 방사선 촬영이나 computed tomography의 골절틈을 측정하여 비교한다면 더 보완이 될 수 있을 것이라 생각한다. 또 다른 제한점으로는 표본의 크기가 크지 않아 족관절 골절 수술 후 발생할 수 있는 몇몇 합병증들이 없어 그러한 부분에 대한 결과를 제시하지 못하였다는 점이 있었다. 그리고 표본 크기 산출(sample size calculation) 없이 표본 수를 정하였기 때문에, 본 연구 결과가 일정 수준의 검증력을 갖춘 적절한 표본 수에 의한 것인지에 대한 통계적 뒷받침이 불충분할 수 있다는 점도 있다. 이는 추후 좀 더 대규모의 다기관 전향적 연구를 통해 더 의미 있는 비교 분석이 가능할 것으로 생각된다.
REFERENCES
Vijimohan SJ., Haque S., Ellis D. 2017. An alternate technique of applying lag screw for fixation of distal fibula fracture: posterior to anterior interfragmentary compression screw. Foot Ankle Spec. 10:555–9. doi: 10.1177/1938640017729495. DOI: 10.1177/1938640017729495. PMID: 28895442.
Thur CK., Edgren G., Jansson KÅ., Wretenberg P. 2012. Epidemiology of adult ankle fractures in Sweden between 1987 and 2004: a population-based study of 91,410 Swedish inpatients. Acta Orthop. 83:276–81. doi: 10.3109/17453674.2012.672091. DOI: 10.3109/17453674.2012.672091. PMID: 22401675. PMCID: PMC3369155.
Juto H., Nilsson H., Morberg P. 2018. Epidemiology of adult ankle fractures: 1756 cases identified in Norrbotten County during 2009-2013 and classified according to AO/OTA. BMC Musculoskelet Disord. 19:441. doi: 10.1186/s12891-018-2326-x. DOI: 10.1186/s12891-018-2326-x. PMID: 30545314. PMCID: PMC6293653.
Aiyer AA., Zachwieja EC., Lawrie CM., Kaplan JRM. 2019. Management of Isolated lateral malleolus fractures. J Am Acad Orthop Surg. 27:50–9. doi: 10.5435/JAAOS-D-17-00417. DOI: 10.5435/JAAOS-D-17-00417. PMID: 30278012.
Kuzma AL., Luo TD., De Gregorio M., Coon GD., Danelson K., Halvorson JJ, et al. 2019. Biomechanical evaluation of interfragmentary compression of lag screw versus positional screw at different angles of fixation. J Orthop Trauma. 33:e183–9. doi: 10.1097/BOT.0000000000001429. DOI: 10.1097/BOT.0000000000001429. PMID: 30640295.
Weber M., Krause F. 2005. Peroneal tendon lesions caused by antiglide plates used for fixation of lateral malleolar fractures: the effect of plate and screw position. Foot Ankle Int. 26:281–5. doi: 10.1177/107110070502600403. DOI: 10.1177/107110070502600403. PMID: 15829211.
Mehraban N., Lew AR., Foran IM., Lee S., Bohl DD., Hamid KS. 2024. Lateral locking plate fixation of simple weber B fibula fractures without a lag screw yields excellent radiographic results. Foot Ankle Spec. 17:131–6. doi: 10.1177/19386400211055280. DOI: 10.1177/19386400211055280. PMID: 34747245.
Park YH., Cho HW., Choi GW., Kim HJ. 2020. Necessity of interfragmentary lag screws in precontoured lateral locking plate fixation for supination-external rotation lateral malleolar fractures. Foot Ankle Int. 41:818–26. doi: 10.1177/1071100720917645. DOI: 10.1177/1071100720917645. PMID: 32389050.
Singla A., Sahlstrom AD., Tommasini SM., Yoo BJ. 2021. Lag screw trajectory in supination-external rotation fractures: does the direction of the fibula lag screw have an effect? Clin Orthop Surg. 13:456–60. doi: 10.4055/cios20304. DOI: 10.4055/cios20304. PMID: 34868493. PMCID: PMC8609208.
Curtis R., Goldhahn J., Schwyn R., Regazzoni P., Suhm N. 2005. Fixation principles in metaphyseal bone--a patent based review. Osteoporos Int. 16 Suppl 2:S54–64. doi: 10.1007/s00198-004-1763-6. DOI: 10.1007/s00198-004-1763-6. PMID: 15536538.
Wang T., Boone C., Behn AW., Ledesma JB., Bishop JA. 2016. Cancellous screws are biomechanically superior to cortical screws in metaphyseal bone. Orthopedics. 39:e828–32. doi: 10.3928/01477447-20160509-01. DOI: 10.3928/01477447-20160509-01.
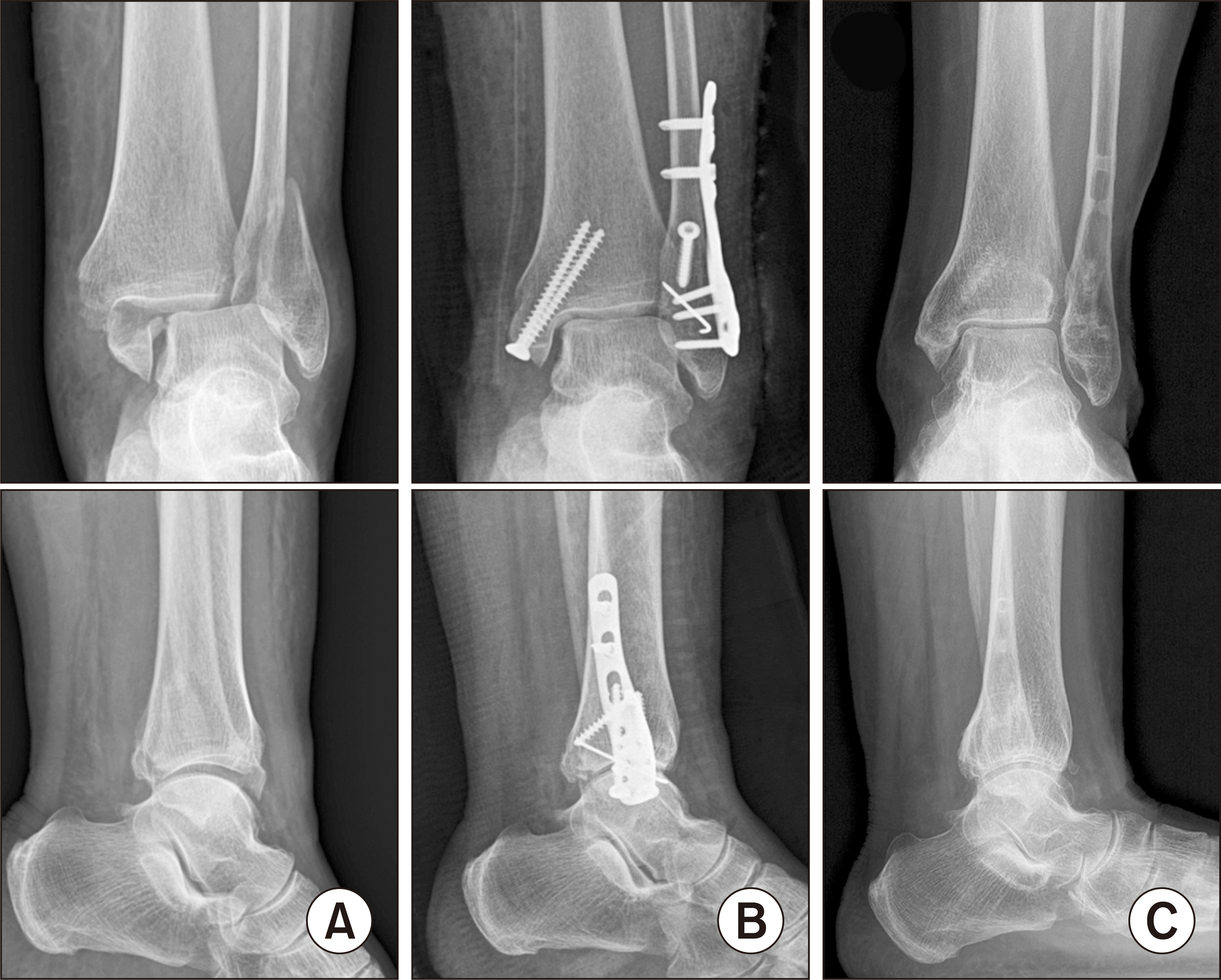
Figure 1
(A) Preoperative, (B) immediate postoperative, and (C) 1 year and 3 months postoperative radiographs of the 44-year-old male patient with bimalleolar fracture. A cortical screw was used in the lag screw technique for the lateral malleolar fixation.
Figure 2
(A) Preoperative, (B) immediate postoperative, and (C) 1 year and 4 months postoperative radiographs of the 69-year-old female patient with trimalleolar fracture. A cancellous screw was used as a position screw for the lateral malleolar fixation.
Table 1
Comparison of Characteristics Between the Two Groups
Table 2
Clinical Outcomes at 1 Year Post-operatively by Group



PDF
Citation
Print



XML Download