Abstract
Adult-acquired flatfoot deformity is a progressive, debilitating condition characterized by three-dimensional deformities, including hindfoot valgus, forefoot abduction, forefoot or midfoot varus, peritalar subluxation, and ankle instability. A consensus group recently proposed a new nomenclature for this condition, termed progressive collapsing foot deformity (PCFD), and introduced a new classification system for PCFD. Moreover, with a vigorous investigation into PCFD and the widespread use of new diagnostic tools, including weight-bearing computed tomography, the understanding of PCFD has improved considerably. As the understanding of the various components of PCFD has deepened, a range of treatment options, from conservative management to osteotomy and arthrodesis, have been reported to correct each component. Therefore, this paper provides an overview of the classification systems, diagnostic methods, and various treatment approaches for PCFD.
편평족은 내측 세로궁이 소실되면서 발생하는 만성적인 변형으로, 전족부 혹은 중족부의 외전(abduction), 후족부의 외반(valgus), 전족부의 내반(varus) 혹은 회외(supination) 및 거근관절의 탈구 혹은 아탈구(peritalar dislocation or subluxation) 등의 3차원적인 다양한 변형이 동반된다.1-3) 1989년 Johnson과 Strom이 성인 후천성 편평족을 1기 변형 없이 후경골건의 건증 혹은 건초염만 있는 경우, 2기 유연성 편평족, 3기 강직성 편평족으로 나눈 분류를 기술한 이후 1997년 Myerson이 족관절의 외반 변형이 동반된 경우를 4기로 추가적으로 기술하였고, 2007년 Bluman과 Myerson이 이를 다시 4A 유연성 변형, 4B 강직성 변형으로 세분화하면서 비교적 최근까지 넓게 쓰이는 편평족 분류가 제시되었다.4,5) 이후 Bluman 등5)은 기존의 분류법을 보완하여 편평족에서 동반되는 다양한 변형을 포함한 분류체계를 제시하였으나, 2020년 Myerson을 포함한 전문가 합의 그룹(expert consensus group)에서 기존의 분류법의 여러 한계를 지적하면서 새로운 분류체계를 제시하였다.6) 또한 기존에 흔히 사용되는 용어로 성인 후천성 편평족 변형(adult acquired flatfoot deformity) 혹은 후경골건 기능부전(posterior tibia tendon dysfunction) 등의 용어는 실제 편평족의 3차원적이고 다양한 관절의 변형이 동반되어 발생하는 양상을 적절하게 반영하지 못한다는 등의 한계가 있기 때문에, 진행성 족부 붕괴성 변형(progressive collapsing foot deformity)으로 바꿀 것을 제안하였다.6)
편평족의 치료는 무증상인 경우 특별한 조치 없이 지켜볼 수 있으며, 증상이 있는 경우에 치료의 대상이 된다. 우선적으로는 휴식, 약물 치료, 깔창을 포함한 보조기 등을 고려할 수 있으며, 이러한 보존적 치료에 호전이 없다면 수술적 치료를 고려할 수 있다. 편평족의 수술적 치료는 크게 관절 외 술식(extra-articular procedure)과 관절 유합술로 나눌 수 있다. 변형이 유연성 변형이고 족근관절들에 퇴행성 변화가 없다면 관절 외 술식을 고려할 수 있는데, 대표적인 수술법으로 외측주 연장술(lateral column lengthening), 내측 전위 종골 절골술(medial displacement calcaneal osteotomy), 이중 종골 절골술(double calcaneal osteotomy) 및 다양한 연부조직 재건술 등이 포함된다. 만약 변형이 강직성이거나 족근관절에 퇴행성 변화가 동반된 경우 관절 유합술을 고려할 수 있다.1-3,7) 그러나 최근 체중부하 전산화 단층촬영과 같은 새로운 검사 장비가 사용되고, 다양한 수술법들이 제시되고 있으며, 기존에 흔히 시행되던 수술법들의 제한점이 보고됨에 따라 편평족의 진단과 치료 방침이 변화되고 있다. 이에 새롭게 제시된 편평족의 분류체계를 알아보고 다양한 진단 및 치료법에 대해 기술하고자 하였다.
편평족은 다양한 임상양상을 보일 수 있다. 변형만 존재하고 무증상인 경우도 있으며 증상이 있는 경우 주로 족부의 내측, 후경골건을 따라 발생하는 경우가 많으며, 통증이 보다 더 족저부에 가깝게, 깊이 발생하는 경우 스프링인대의 병변을 의심할 수 있다.2,7) 또한 변형에 의해 비골하 충돌(subfibular impingement)이나 족근동 충돌(sinus tarsi impingement)이 발생한 경우 비골하부 혹은 족근동 주변의 통증 및 압통을 보일 수 있다.3,6,7) 만약 족근골 결합에 의한 편평족인 경우 이에 따른 통증을 호소할 수 있으며 족근관절의 퇴행성 관절염이 발생한 경우 해당 관절의 통증이 보이기도 한다.7)
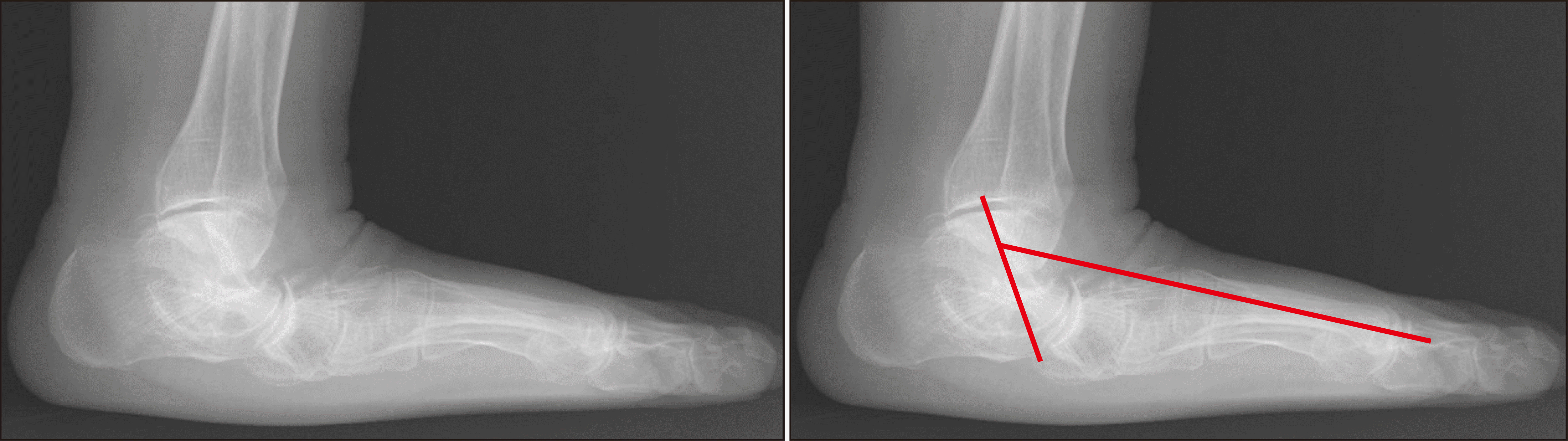
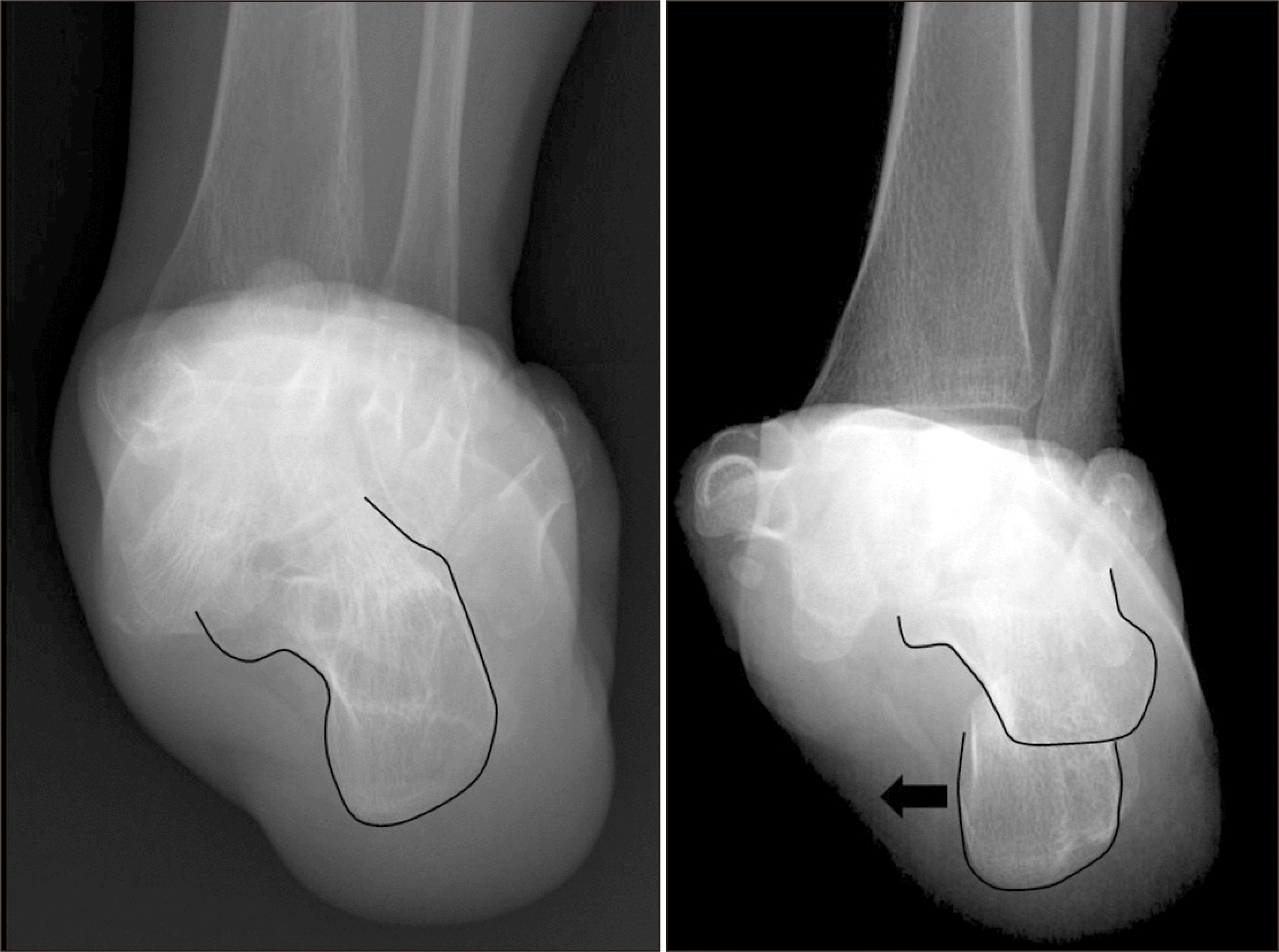
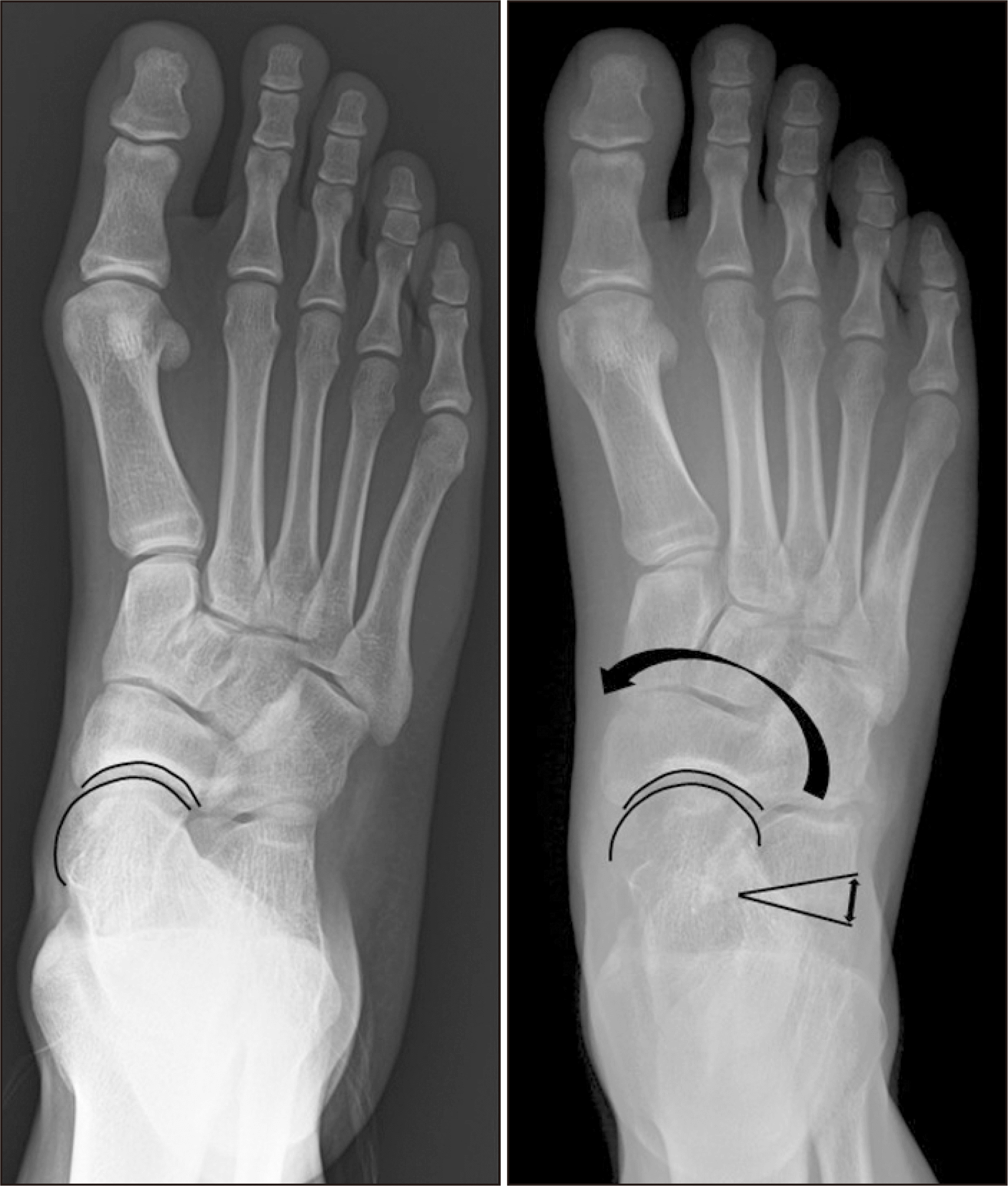
체중부하 방사선 촬영은 편평족의 진단에 있어 가장 표준이 되는 검사로, 체중부하 족부 전후면, 족부 측면, 족관절의 전후면 혹은 모티스 영상(mortise view) 및 후족부 정렬 촬영(hindfoot alignment view)8) 등이 진단을 위해 권고된다.9) 족부 전후면 사진에서는 전족부 혹은 중족부의 외전 정도를 평가할 수 있으며 거주상 관절 피복각(talonavicular coverage angle), 거주상 관절 이탈률(talonavicular uncoverage percent) 등 이를 반영하는 매우 다양한 지표를 측정할 수 있다(Fig. 1). 족부 측면 사진에서는 내측 세로궁의 소실 정도를 평가할 수 있는데, 흔히 쓰이는 지표로는 Meary angle이라 불리는 외측 거골-제 1중족골 각도를 측정할 수 있다(Fig. 2). 또한 족부의 내측주(medial column) 관절들의 족저부 벌어짐(plantar gapping) 정도를 확인하여 내측주 불안정성 정도를 평가할 수 있으며 족근동에서 거골과 종골의 직접적인 충돌 혹은 족근동 주변 골의 경화소견이나 낭종성 병변 등을 통해 족근동 충돌을 간접적으로 확인할 수 있다(Fig. 3). 족관절의 전후방 혹은 모티스 사진에서는 거골의 외반경사(valgus talar tilt)의 유무를 통해 족관절의 불안정성을 평가할 수 있으며 변형이 많이 진행한 경우 비골하 충돌 또한 확인할 수 있다(Fig. 4). 마지막으로, 후족부 정렬 촬영을 통해서는 후족부 외반 변형의 정도를 평가할 수 있는데, 주로 후족부 정렬각(hindfoot alignment angle) 혹은 후족부 모멘트암(hindfoot moment arm)을 측정한다(Fig. 5).10)
비록 평발 진단의 표준 검사는 체중부하 방사선 촬영이지만 여러 가지 한계점이 제기되어왔다. 가장 흔히 알려진 문제점으로는 촬영 기술과 환자의 자세에 의해 부정확한 검사가 이루어질 가능성이 있으며, 영상을 판독할 때 여러 조직들이 겹치면서 정확한 판독이 제한되는 점이다. 또한 단순 방사선 촬영을 통한 평가 방법은 변형의 정도를 과소평가하는 경향이 있다는 보고가 있다.11) 이에 따라 체중부하 전산화 단층촬영이 개발된 뒤 널리 시행되면서 편평족의 진단을 위해 많은 연구가 이루어지고 있으며 여러가지 장점들이 제시되고 있다. 대표적으로 체중부하 전산화 단층촬영은 3차원의 다면영상이기 때문에 단순 방사선 촬영에 비해 촬영 당시의 자세나 촬영 방향에 의한 오차를 최소화할 수 있으며, 영상을 판독할 때 여러 조직들이 겹치면서 발생하는 문제를 줄일 수 있다(Fig. 6).9,11) 많은 연구들에 의해 편평족의 평가를 위한 체중부하 전산화 단층촬영의 신뢰성(reliability)과 재현성(reproducibility)을 입증했으며, 단순 방사선 촬영이나, 비체중부하 전산화 단층촬영에 비해 구조적인 변형의 정도를 정량화하는 데 특히 뛰어나다고 보고된다.9,11-14) 특히 이 검사는 단순 방사선 촬영에 비해 관상면의 변형, 특히 거근관절의 탈구 혹은 아탈구를 확인하고, 분석하는 데 장점을 가지며, 거근관절의 아탈구에 의해 발생하는 비골하 충돌이나 족근동 충돌을 보다 직접적으로 확인할 수 있다.9) 또한 골구조의 겹침 없이 관절면을 평가할 수 있는 체중부하 전산화 단층촬영의 장점을 이용한 연구에 따르면 편평족이 있는 환자는 거골하 관절 자체의 외반경사를 가지며, 이러한 경향성을 파악하는데도 유용함을 보인다.15) 그 외에도 자동화된 프로그램을 통해 여러 지표들을 측정하고, 계산하려는 시도들이 있다. 대표적으로 발과 발목 오프셋(FAO, foot and ankle offset)이 있으며, 이는 발의 삼각대(tripod)와 발목관절의 중심 사이의 관계를 평가하는 지표로 여러 연구에서 변형과 수술 후 교정 정도를 평가하는데 유용함이 보고되었다(Fig. 7).16,17) Haleem 등18)은 체중부하 전산화 단층촬영이 단순 방사선 촬영에 비해 더 민감한 검사임을 보고하였고, Kunas 등19)은 정상적인 체중부하 상태에서 검사가 이루어지기 때문에 비체중부하 전산화 단층촬영에 비해 보다 더 정확하게 변형을 평가할 수 있다고 기술하였다. 따라서 최근 발표한 전문가 합의 그룹에서는 체중부하 전산화 단층촬영이 가능하다면, 편평족의 치료계획 수립을 위해 시행할 것을 권고하였다.9)
1989년 Johnson과 Strom4)은 후경골건 기능부전의 중요성을 강조하면서 편평족을 후경골건의 건병증만 존재하는 1기부터 유연성 변형인 2기, 강직성 변형인 3기로 분류하였고(Table 1), 이후 Bluman 등5)은 족관절의 외반 변형이 발생한 경우를 4기로 추가하였다. 그러나 여러 후속 연구에서 편평족 발생에 후경골건 부전이 필수적이지 않으며, 후경골건 외에도 스프링인대, 족저근막 및 삼각인대 등 변형 발생에 중요한 다른 구조물들이 알려지게 되었다.6,11) 또한 편평족은 선형적으로 연속되어 진행하는 질환이 아니며, 발과 발목의 다양한 부위에서 단독으로 혹은 동시에 변형이 있을 수 있어 기존의 분류체계에서 기술한 것과 같이 1기에서 2기로, 2기에서 3기로 진행하지 않는다는 의견이 받아들여짐에 따라 2022년 전문가 합의 그룹에서 새로운 분류체계를 제시하였다. 새로운 분류체계는 변형의 종류와 위치에 따라 분류하였으므로 기존 분류체계에서 1기에 속하는 변형 없이 후경골건 건병증 혹은 건초염만 있는 경우는 제외되었다.6)
새로운 분류체계는 변형의 종류와 위치에 따라 A~E로 나누고, 각 변형의 유연성 유무에 따라 1기 유연성 변형과 2기 강직성 변형으로 분류하였다(Table 2).6) 이러한 변형은 진찰 소견과 체중부하 단순 방사선 촬영을 통해 평가하도록 하였고, 체중부하 전산화 단층촬영의 경우 아직 전세계적으로 사용되고 있지는 않기 때문에 판단기준에서 제외되었다. A형 변형은 후족부 외반 변형으로 후족부가 신체의 정중선으로부터 외측으로 전위된 변형을 뜻한다. 임상적으로 진찰 시 후족부 외반이 관찰되거나, 후족부 정렬 영상에서 후족부 정렬각 혹은 후족부 모멘트암의 증가 등으로 판단할 수 있다(Fig. 5). B형 변형은 전족부 혹은 중족부의 외전 변형으로 전족부나 중족부가 후족부를 기준으로 외측으로 전위된 변형이다. 체중부하 족부 전후면 사진상 거골두에 대한 주상골의 피복(coverage) 정도가 감소하고, 거주상 관절 피복각이 증가한다(Fig. 1). 또한 이 변형에 의해 족근동 충돌이 발생할 수 있으며, 족근동 주변의 압통 및 통증이 발생할 수 있다. 체중부하 족부 측면사진상 족근동에서 거골과 종골의 직접적인 충돌 소견이 보이거나, 족근동 주변의 거골과 종골의 골경화 혹은 골낭종 등을 통해 간접적으로 확인할 수 있다(Fig. 3). C형 변형은 전족부의 내반 변형 혹은 내측주 불안정성으로 임상적으로 후족부를 중립 위치에 고정한 뒤 관찰하였을 때 전족부가 내반을 보이는 변형이다(Fig. 8). 일부에서는 이를 회외 변형으로 불러야 한다는 의견도 있으나 현재 혼용해서 쓰이고 있다.11,20) 내측주 불안정성은 체중부하 족부 측면사진상 거주상 관절, 주상설상 관절(naviculocuneiform joint) 및 족근중족 관절(tarsometatarsal joint)이 배측 불안정증을 보이는 것으로, 영상검사상 족저부 벌어짐 유무 등을 통해 내측주 불안정성의 유무 및 위치를 확인할 수 있다(Fig. 3). D형 변형은 거근관절의 탈구 혹은 아탈구 변형으로 거골이 종골을 기준으로 내회전, 족저굴곡되면서 종골은 거골을 기준으로 외회전, 외반, 외측 전위가 발생하면서 거골하 관절의 아탈구가 발생하고, 심한 경우 비골하 충돌을 일으키게 된다(Fig. 4). E형 변형은 발목관절의 외반 변형이 발생한 경우이며, 족관절의 전후방 혹은 모티스 사진에서 거골의 외반경사로 확인할 수 있다(Fig. 4). 이 분류의 적용은 한 환자에 대해 A 부터 E까지의 변형 유무를 확인하고, 각각의 변형이 유연성 변형인지, 강직성 변형인지에 따라 1기와 2기를 나누는 방식으로 적용한다.
이상적인 분류 체계는 질병의 다양한 양상을 포함해야 하고, 이를 표준화하여 보고와 최적의 치료 방침 설정에 도움이 되어야 한다. 또한 이러한 분류는 신뢰할 수 있고, 재현 가능해야 한다. 따라서 새로운 분류체계가 널리 사용되기 위해서는 과학적으로 타당도, 관찰자간 및 관찰자 내 신뢰도, 정확도 등을 포함하여 여러 측면에서 검증이 필요하다. Lee 등21)은 새로운 분류체계의 신뢰도에 대한 연구를 발표하였으며, 중등도의 관찰자간 신뢰도와 매우 좋은 관찰자 내 신뢰도를 보고하였다. 또한 여러 형태의 변형이 대부분 동반되어 나타났고, 단독 변형은 소수에서만 관찰되었다. Li 등22)의 새로운 분류체계 정확도에 대한 연구에서 전반적으로 준수한 진단 정확도를 확인할 수 있었고, 다양한 형태의 변형 중 특히 A형(후족부 외반) 및 E형(발목관절의 불안정성) 변형이 정확도가 높았다. 그러나, B형(전족부 혹은 중족부 외전), C형(전족부 내반 혹은 내측주 불안정성) 및 D형(거근관절 탈구 혹은 아탈구) 변형은 비교적 정확도가 떨어지는 것으로 확인되었다. 이와 유사한 결과로 기존에 쓰이던 체계와 새로운 분류체계를 비교한 연구에서도 두 방법 모두 신뢰성 있는 분류법이며, 특히 새로운 분류체계는 수술자가 평발의 다양한 변형 유무를 명확하게 확인하여 수술 계획을 세우는 데 도움이 될 수 있을 것으로 보았으나, C형 및 D형 변형은 관찰자간 신뢰도가 비교적 낮아 보다 명확한 정의가 필요할 것으로 보고하였다.23) 이처럼 새로운 분류체계는 임상양상과 단순 방사선 촬영을 이용하여 평발을 분류하는데, 여러 연구를 통해 비교적 정확하고 좋은 신뢰도를 보였다. 그러나 한 환자에서 여러 변형이 동반되어 나타나는 경우가 많고, 몇몇 변형은 단순히 임상증상 및 단순 방사선 촬영으로 진단하기에 모호한 경우가 있기 때문에 향후 구분을 위해 보다 명확한 기준이 필요하겠으며, 체중부하 전산화 단층촬영과 같은 다양한 검사가 추가적인 도움이 될 수 있겠다.
증상이 있는 평발의 1차 치료로는 먼저 비수술적 치료를 시행할 수 있으며, 경도의 질환에서는 활동 제한, 고정, 비스테로이드성 소염제 복용, 깔창, 보조기 및 체중감량 등이 흔히 시행된다.1-3,7) 급성 통증이 발생한 경우에는 일정기간 단하지 석고 붕대 혹은 보조기를 이용한 고정 및 비스테로이드성 소염제 복용 후 증상이 호전된 뒤 깔창이나 보조기 등으로 유지할 수 있으며 문헌상 약 90%의 환자가 이러한 방법으로 증상 호전을 보였다고 보고된다.24-26) 그 외에도 여러 연구에서 운동요법을 병행하였을 때 좋은 임상적인 결과를 보였다고 주장하며 주로 발의 내번 근력 강화 및 아킬레스건 스트레칭 등이 포함된다.1,7,27) 이러한 비수술적 치료에도 불구하고 임상증상이 호전되지 않는 경우 결국 수술적 치료가 필요하다.
약 6개월 이상의 충분한 보존적 치료에도 증상 호전이 없는 평발의 경우 수술적 치료를 계획할 수 있다. 현재까지 평발을 교정하거나, 임상증상을 호전시키기 위한 다양한 수술법들이 제시되고 있으며 평발의 3차원적인 변형을 적절히 평가하여 각각의 변형을 교정하는 것이 중요하다.1) 수술은 크게 관절을 희생하지 않고 변형을 교정하는 관절 외 술식과 관절 유합술로 나눌 수 있다. 관절 외 술식에는 대표적으로 절골술이나 연부조직 술식 등이 포함되며 평발이 유연성 변형이고 관절의 퇴행성 변화가 없을 때 고려할 수 있다.1-3,7) 반면에 변형이 심하거나, 강직성이거나, 혹은 관절의 퇴행성 변화가 이미 발생한 경우 관절 유합술을 시행한다.28-31)
내측 전위 종골 절골술은 절골을 통해 종골결절(calcaneal tuberosity)을 내측으로 전위시켜 후족부 외반 변형을 교정하는 방법이다(Fig. 9). 이는 아킬레스건의 작용 축을 내측으로 옮겨 비복근과 가자미근 수축 시 내번력이 발생하도록 하여 내측 세로궁과 족부 내측 인대와 힘줄(특히 스프링인대와 후경골건)에 가해지는 부하를 줄여 임상증상을 호전시킨다.1,3) 이 수술은 연부조직 술식들을 포함한 다른 수술과 함께 시행되는 경우가 많으며 비교적 장기 추시에서도 통증과 기능의 호전이 유지되는 것으로 보고된 바 있다.32) 그러나 일부 연구에 따르면 내측 전위 종골 절골술 단독으로는 후족부 외반 외에 평발의 다른 3차원적인 변형을 모두 교정하기에 부족하다는 주장이 있으며,33,34) 특히 Bolt 등35)은 외측주 연장술과 내측 전위 종골 절골술을 비교하였을 때 외측주 연장술이 변형을 더 효과적으로 교정하였다고 보고하였고 이후 Osman 등36)이 시행한 전향적 연구에서도 유사한 결과를 보였다. 따라서 평발 교정에 있어 후족부 외반이 동반되었을 때 이를 교정하는 목적으로 이 수술을 시행할 수 있으나, 그 외 다른 동반 변형이 있는 경우 해당 변형에 따른 교정술을 함께 시행하는 것이 더 합당할 것으로 보인다.1)
내측 전위 종골 절골술의 교정 목표에 대해 Conti 등37)은 후족부 정렬영상에서 후족부 모멘트암을 0 mm에서 5 mm 내반 정도로 교정한 경우가 외반 혹은 중등도 이상의 내반(5 mm 초과)으로 교정한 것에 비해 임상적으로 더 좋은 결과를 보였다고 보고하였다. 이를 참고하여 수술 시 적절한 수준의 교정을 얻을 수 있도록 노력하는 것에 주의를 기울여야 하겠다.
외측주 연장술은 종골의 전방부위에 절골을 통해 연장하여 전족부 외전을 교정하고 내측 세로궁을 회복하며, 거주상 관절의 피복(coverage)정도를 호전시켜 평발을 교정하는 방법으로, 매우 널리 쓰이는 수술방법이다(Fig. 10).1,3) 1975년 Evans가 처음 이 방법을 소개하였으며 당시에는 종입방 관절의 11~15 mm 근위부에서, 외측에서 내측으로 절골술을 시행하는 것으로 소개하였으나, 이후 거골하 관절을 보호하기 위해 종골의 전방 관절면(anterior facet)과 중간 관절면(middle facet) 사이로 절골술을 시행하는 것으로 수정되었다. 이후 Hintermann은 Evans 절골술이 종입방 관절의 관절면과 너무 가깝기 때문에 종입방 관절의 아탈구가 발생할 가능성이 높다고 지적하며 절골술의 위치를 중간 관절면과 후방 관절면(posterior facet) 사이로 시행하는 Hintermann 절골술을 제안하였다.38)
이러한 외측주 연장술은 종입방 관절의 과부화와 퇴행성 변화, 발의 강직과 외측 통증, 제 5중족골의 스트레스 골절 등이 한계점으로 보고되어 왔다.35,39,40) 이러한 한계점의 원인으로 과교정의 가능성이 제시됨에 따라 여러 연구들에서 적절한 교정의 목표치를 설정하고자 노력하였는데, DiNucci 등39)은 카데바 연구에서 외측주 연장 후 삽입하는 이식편의 크기가 6 mm를 초과하는 경우 더 이상의 교정 효과는 없고, 오히려 합병증의 위험성을 증가시킬 수 있다고 보고하였고, Oh 등40)이 시행한 카데바 연구에서도 마찬가지 외측주 연장의 정도가 커질수록 체중부하 시 발의 외측부에 가해지는 압력이 증가한다는 결과를 보였다. 또한 Conti 등41)은 변형의 과교정으로 인해 전족부가 외전에서 내전위치까지 교정이 된 경우 불량한 임상결과를 보인다고 보고하였으며, Modha와 Kilmartin42)은 그들이 시행한 체계적 문헌고찰 및 메타 분석연구에서 과교정을 방지하기 위해 이식편의 크기를 6~8 mm 정도가 적절하겠다고 제시한 바 있다. 수술 전 적절한 교정의 정도를 예측하기 위한 연구로 Chan 등43)은 전족부 외전을 평가하는 새로운 지표인 외측 비상합 각도(lateral incongruency angle)를 제시하고, 외측주 연장이 1 mm 될 때마다 외측 비상합 각도가 약 6.8° 감소한다고 보고하였다. 그 외에도 외측주 연장술에 따른 종입방 관절의 퇴행성 변화 가능성에 대해 종입방 관절의 신연관절 유합술(distraction arthrodesis)이 제시되기도 하였으나 관절의 완전 유합으로 인한 발의 관절 운동범위 제한 및 불유합 등의 문제점으로 인해 아직까지는 논란이 있는 상태이다.44,45)
외측주 연장술 후 종입방 관절의 아탈구 또한 자주 보고된다. 보통 종골의 전방돌기가 입방골로부터 배측으로 전위가 일어나며, 이를 막기 위해 수술 시 종입방 관절을 핀 등을 이용하여 고정하고 수술을 시행하는 경우가 많았다.46) 그러나 추후 전산화 단층촬영을 통한 연구에서 이러한 아탈구는 단순한 배측 전위가 아니라 회전 변형임을 확인하였고,47) 여러 연구에서 핀을 이용한 임시 고정을 하더라도 아탈구 방지에 큰 도움은 되지 않고 오히려 핀으로 인한 퇴행성 변화 등의 문제점이 제시되었다.46-48) 이러한 아탈구의 경과를 연구한 연구들에 따르면, 변형은 수술 직후 악화되었다가 시간이 지남에 따라 점차 호전되는 경과를 보였다.49,50) 이에 따라 수술 시 종입방 관절의 임시 핀 고정의 유용성이나, 핀의 제거 시기에 대해서는 아직 명확한 근거는 부족한 상태이다.
앞서 기술한 두 수술법인 내측 전위 종골 절골술과 외측주 연장술은 단독으로 시행하기도 하지만, 다른 수술법과 함께 시행하는 경우도 많다. 특히, 내측 전위 종골 절골술은 후족부 외반을 교정하며 외측주 연장술은 전족부 외전 및 내측 새로궁을 교정하기 때문에 함께 시행하였을 때 서로 보완적인 효과를 보여 평발의 3차원적인 변형을 교정하는 데 유용하다.51-54) Zanolli 등55)은 카데바 실험에서 이중 종골 절골술이 내측 전위 절골술 단독에 비해 보다 나은 교정력 및 반복된 부하에 대한 유지력을 보였다고 보고하였으며 Smith 등34)이 시행한 전산화된 모델시험에서 두 절골술을 함께 시행하였을 때 단독 수술에 비해 변형을 더 잘 교정할 수 있다는 결과를 얻었다. 따라서 전족부 외전과 후족부 외반이 동반된 경우 이중 종골 절골술을 통한 교정을 고려할 수 있다(Fig. 11).51)
여러 방법을 통해 평발을 교정한 뒤에도 전족부의 회외 변형이 잔존하는 경우가 있으며, 이 때 내측주 술식을 고려하여야 한다. Greisberg 등56)은 내측주의 불안정성이 있는 평발 환자 대상으로 내측주 술식만 시행하였을 때 단순 방사선 촬영 영상에서 측정할 수 있는 평발을 반영하는 여러 지표들이 전반적으로 모두 호전되었다는 결과를 보고하면서 내측주 술식의 유용성을 강조하였고, 전족부 변형에 의해 후족부가 영향을 받을 수 있기 때문에 전족부에 변형이 있다면 적절한 교정이 필요하다고 주장하였다. 또한 Modha와 Kilmartin42)은 많은 교정이 필요한 심한 변형에서 내측주 술식은 평발 수술 후 발생할 수 있는 발의 외측 통증을 줄여줄 수 있다고 보고한 바 있다. 평발의 교정 후에도 전족부의 회외 변형이 잔존할 경우 체중부하 시 전족부의 정렬을 유지하기 위해 후족부가 외번력을 받으며, 이는 장기적으로 평발 교정의 실패를 일으킬 수 있기 때문에 수술 중 전족부의 회외 변형을 평가하고 필요 시 내측주 술식을 이용하여 교정하여야 한다.57-61)
내측주 술식은 대표적으로 내측 설상골의 배측 개방형 쐐기 절골술(dorsal opening wedge osteotomy)인 Cotton 절골술이 있지만, 그 외에도 내측 설상골의 저측 폐쇄형 쐐기 절골술(plantar closing wedge osteotomy), 제 1중족골의 저굴 절골술, 족근중족 관절 유합술, 혹은 주상설상 관절 유합술 등을 시행할 수 있다. 아직까지 이러한 술식을 시행하는 명확한 기준이 있는 것은 아니지만, 내측주의 관절에 불안정성이 없고 퇴행성 변화가 없다면 관절 유합술보다는 절골술을 통해 교정하는 것이 좋으며, 관절에 불안정성이 있거나, 이미 퇴행성 변화가 존재하는 경우 해당 관절에서 변형을 교정하면서 관절 유합술을 시행하는 것이 합당하다.56,62,63)
건, 인대 등에 대한 여러 수술들이 시행되고 있으며 대표적으로 후경골건 활액막 절제술, 건이전술, 내측 인대 재건술 및 아킬레스건 연장술 등이 있다. 이러한 연부조직 술식은 변형이 있는 평발에서 단독으로 시행하는 경우 장기적으로 실패할 가능성이 있기 때문에 일반적으로 변형을 교정하는 절골술이나 관절 유합술과 함께 시행된다.1,64,65)
첨족 변형은 평발에서 흔히 동반되며, 이는 후족부의 외반이나 평발의 경과에 악영향을 줄 수 있기 때문에 평발에 대한 수술을 시행할 때 미리 확인하고, 필요 시 수술적 치료를 고려해야한다. 첨족 변형을 교정하기 위해서는 크게 비복근 연장술(gastrocnemius recession)과 아킬레스건 연장술로 나눌 수 있으며, 이는 수술 전과 수술 중 Silfverskiold 검사에 따라 비복근의 단축만 있을 경우 비복근 연장술, 아킬레스건의 단축이 확인되는 경우 아킬레스건 연장술을 시행한다.1)
후경골건의 활액막 절제술은 보존적 치료에 반응하지 않는 후경골건의 통증과 활액막염에 대해 고려할 수 있으나, 교정이 필요할 정도의 변형이 동반된 경우보다 더 적극적인 수술이 필요하다. 건이전술은 기능을 잃은 후경골건을 보강하거나, 대체하기 위해 시행되는 방법으로, 유연성 변형에서 고려할 수 있다. 주로 장지굴건(flexor digitorum longus tendon)이나 장무지굴건(flexor hallucis longus tendon)을 이용하는데, 비록 장지굴건이 장무지굴건에 비해 생역학적으로 약하지만, 장지굴건의 해부학적 위치가 후경골건과 가깝게 주행하고 접근성이 좋기 때문에 더 흔히 사용되게 된다.66,67) 건 이전술 시 후경골건의 봉합, 보강, 혹은 제거 유무, 건 이전의 위치(주상골, 내측 설상골 혹은 후경골건) 등 구체적인 방법은 매우 다양하게 소개가 되고 있으며 아직까지 최선의 방법에 대한 연구는 부족한 상태이다.1,3,64,65,67) 이러한 건 이전술은 단독으로 시행하였을 때 내측 세로궁이나 후족부 외반 변형을 교정하고 유지하기에는 생역학적으로 약하기 때문에 보다 장기적인 안정성을 위해 내측 전위 종골 절골술 등의 다른 교정 수술을 함께 시행하는 것이 권장된다.68,69)
평발의 안정성에 관여하는 내측 연부조직 구조물에는 대표적으로 스프링인대가 있다. 스프링인대는 내측 세로궁의 주요한 정적 안정 인자(primary static stabilizer)로 일부 저자들은 평발 교정 시 스프링인대 손상에 대해 적절한 평가와 함께 필요시 봉합하거나 재건 등이 필요하다고 주장한다. 수술의 방법 또한 단순 봉합부터 재건까지 다양하게 보고가 되고 있으나 대부분의 연구가 근거 수준이 낮은 연구로 명확한 적응증과 방법이 통일되어있지 않은 상태다. 그러나 많은 연구에서 이러한 수술을 단독으로 시행하기보다는 다른 교정 수술과 같이 시행하는 것을 권고하였다.70,71)
평발이 유연성 변형일 경우 앞서 기술한 관절 외 술식을 고려할 수 있지만, 만약 변형이 강직성이거나, 족근관절들에 이미 퇴행성 변화가 발생한 경우 결국 관절 유합술이 필요하다. 전통적으로 후족부의 관절인 거주상 관절, 종입방 관절, 거골하 관절을 모두 유합하는 삼중 유합술과 거골하 관절을 제외한 두 관절을 유합하는 이중 유합술 혹은 거주상 관절과 거골하 관절을 유합하는 수정 이중 유합술 등이 주요한 치료로 시행되어 왔다.72-74) 관절 유합 시 가장 유의해야 할 부분은 수술 시 모든 변형을 교정하여 척행족(plantigrade foot)을 만드는데 있으며, 필요 시 내측 전위 종골 절골술이나 Cotton 절골술 등을 같이 시행하여야 한다.
후족부의 관절은 유합할수록 발의 경직성이 심해지는데, 이러한 현상은 특히 거주상 관절에서 도드라진다. Astion 등75)이 시행한 카데바 연구에 따르면 거주상 관절 유합 시 거골하 관절과 종입방 관절의 운동범위가 유합 전에 비해 2%로 감소한 결과를 보였다. 이처럼 Chopart 관절의 유합, 특히 거주상 관절의 유합은 후족부의 운동범위를 극단적으로 제한하여 인접 관절에 가해지는 부담을 증가시킬 수 있어 결국 발목관절이나 중족부 관절의 퇴행성 변화를 일으킬 수 있다.73,75-77) 이에 따라 가능하다면 유합하는 관절을 줄이려는 시도가 이루어지고 있으며, 특히 거주상 관절의 중요성으로 인해 거골하 관절 단독 유합술이나 주상입방 관절 유합술 등이 제시되고 있다.62,77-82) 여러 연구에서 거골하 관절 유합술 단독으로도 좋은 결과를 보고하였으며, 한 연구에서는 거골하 관절 단독 유합술로도 변형을 잘 교정하여 척행족을 얻을 수 있다면 이중 혹은 삼중 유합술 만큼 좋은 결과를 얻을 수 있다고 주장하였다(Fig. 12).78-82)
후족부 관절 유합술 후 발생할 수 있는 합병증 중 발목관절의 외반 변형은 치료하기가 매우 까다로운 합병증이다(Fig. 13). 많은 연구에서 후족부 관절 유합술 후 발목관절의 외반 변형 및 거골의 외반경사에 대해 보고하고 있으며 이러한 합병증은 결국 발목관절의 퇴행성 변화로 이어져 안 좋은 예후를 보인다고 알려져있다.83-85) 현재까지 알려진 원인으로는 삼각인대 부전, 적절히 교정되지 않은 전족부 회외 변형, 심한 수술 전 변형, 및 충분히 교정되지 않은 후족부 외반이 있으며, 한 연구에서는 이중 혹은 삼중 유합술 또한 연관이 있을 수 있다고 보고하였다.60,82,86,87) 따라서, 비록 아직까지 명확한 근거가 제시되지는 않았으나 이러한 합병증을 예방하기 위해 필요 시 삼각인대에 대한 처치와 함께 수술 시 전족부 회외 변형 및 후족부 외반을 포함하여 변형을 가급적 충분히 교정하여 척행족을 얻는 것이 필요하며, 가능하다면 유합되는 관절을 줄이는 것이 좋을 것으로 보인다.
REFERENCES
Henry JK., Shakked R., Ellis SJ. 2019. Adult-acquired flatfoot deformity. Foot Ankle Orthop. 4:2473011418820847. doi: 10.1177/2473011418820847. DOI: 10.1177/2473011418820847. PMID: 35097314. PMCID: PMC8696898.
Smyth NA., Aiyer AA., Kaplan JR., Carmody CA., Kadakia AR. 2017. Adult-acquired flatfoot deformity. Eur J Orthop Surg Traumatol. 27:433–9. doi: 10.1007/s00590-017-1945-5. DOI: 10.1007/s00590-017-1945-5. PMID: 28324203.
Abousayed MM., Alley MC., Shakked R., Rosenbaum AJ. 2017. Adult-acquired flatfoot deformity: etiology, diagnosis, and management. JBJS Rev. 5:e7. doi: 10.2106/JBJS.RVW.16.00116. DOI: 10.2106/JBJS.RVW.16.00116. PMID: 28806265.
Johnson KA., Strom DE. 1989. Tibialis posterior tendon dysfunction. Clin Orthop Relat Res. 196–206. DOI: 10.1097/00003086-198902000-00022.
Bluman EM., Title CI., Myerson MS. 2007. Posterior tibial tendon rupture: a refined classification system. Foot Ankle Clin. 12:233–49. vdoi: 10.1016/j.fcl.2007.03.003. DOI: 10.1016/j.fcl.2007.03.003. PMID: 17561198.
Myerson MS., Thordarson DB., Johnson JE., Hintermann B., Sangeorzan BJ., Deland JT, et al. 2020. Classification and nomenclature: progressive collapsing foot deformity. Foot Ankle Int. 41:1271–6. doi: 10.1177/1071100720950722. DOI: 10.1177/1071100720950722. PMID: 32856474.
Toullec E. 2015. Adult flatfoot. Orthop Traumatol Surg Res. 101:S11–7. doi: 10.1016/j.otsr.2014.07.030. DOI: 10.1016/j.otsr.2014.07.030. PMID: 25595429.
Saltzman CL., el-Khoury GY. 1995. The hindfoot alignment view. Foot Ankle Int. 16:572–6. doi: 10.1177/107110079501600911. DOI: 10.1177/107110079501600911. PMID: 8563927.
de Cesar Netto C., Myerson MS., Day J., Ellis SJ., Hintermann B., Johnson JE, et al. 2020. Consensus for the use of weightbearing CT in the assessment of progressive collapsing foot deformity. Foot Ankle Int. 41:1277–82. doi: 10.1177/1071100720950734. DOI: 10.1177/1071100720950734. PMID: 32851880.
Williamson ER., Chan JY., Burket JC., Deland JT., Ellis SJ. 2015. New radiographic parameter assessing hindfoot alignment in stage II adult-acquired flatfoot deformity. Foot Ankle Int. 36:417–23. doi: 10.1177/1071100714558846. DOI: 10.1177/1071100714558846. PMID: 25380772.
Lôbo CFT., Pires EA., Bordalo-Rodrigues M., de Cesar Netto C., Godoy-Santos AL. 2022. Imaging of progressive collapsing foot deformity with emphasis on the role of weightbearing cone beam CT. Skeletal Radiol. 51:1127–41. doi: 10.1007/s00256-021-03942-1. DOI: 10.1007/s00256-021-03942-1. PMID: 34693455.
de Cesar Netto C., Shakoor D., Roberts L., Chinanuvathana A., Mousavian A., Lintz F, et al. 2019. ; Weight Bearing CT International Study Group. Hindfoot alignment of adult acquired flatfoot deformity: a comparison of clinical assessment and weightbearing cone beam CT examinations. Foot Ankle Surg. 25:790–7. doi: 10.1016/j.fas.2018.10.008. DOI: 10.1016/j.fas.2018.10.008. PMID: 30455094.
de Cesar Netto C., Shakoor D., Dein EJ., Zhang H., Thawait GK., Richter M, et al. 2019. ; Weightbearing CT International Study Group. Influence of investigator experience on reliability of adult acquired flatfoot deformity measurements using weightbearing computed tomography. Foot Ankle Surg. 25:495–502. doi: 10.1016/j.fas.2018.03.001. DOI: 10.1016/j.fas.2018.03.001. PMID: 30321961.
de Cesar Netto C., Schon LC., Thawait GK., da Fonseca LF., Chinanuvathana A., Zbijewski WB, et al. 2017. Flexible adult acquired flatfoot deformity: comparison between weight-bearing and non-weight-bearing measurements using cone-beam computed tomography. J Bone Joint Surg Am. 99:e98. doi: 10.2106/JBJS.16.01366. DOI: 10.2106/JBJS.16.01366. PMID: 28926392.
Apostle KL., Coleman NW., Sangeorzan BJ. 2014. Subtalar joint axis in patients with symptomatic peritalar subluxation compared to normal controls. Foot Ankle Int. 35:1153–8. doi: 10.1177/1071100714546549. DOI: 10.1177/1071100714546549. PMID: 25104749.
Day J, de Cesar Netto C, Nishikawa DRC, Garfinkel J, Roney A, J O'Malley M, et al. 2020. Three-dimensional biometric weightbearing CT evaluation of the operative treatment of adult-acquired flatfoot deformity. Foot Ankle Int. 41:930–6. doi: 10.1177/1071100720925423. DOI: 10.1177/1071100720925423. PMID: 32506953.
de Cesar Netto C., Bang K., Mansur NS., Garfinkel JH., Bernasconi A., Lintz F, et al. 2020. Multiplanar semiautomatic assessment of foot and ankle offset in adult acquired flatfoot deformity. Foot Ankle Int. 41:839–48. doi: 10.1177/1071100720920274. DOI: 10.1177/1071100720920274. PMID: 32441540.
Haleem AM., Pavlov H., Bogner E., Sofka C., Deland JT., Ellis SJ. 2014. Comparison of deformity with respect to the talus in patients with posterior tibial tendon dysfunction and controls using multiplanar weight-bearing imaging or conventional radiography. J Bone Joint Surg Am. 96:e63. doi: 10.2106/JBJS.L.01205. DOI: 10.2106/JBJS.L.01205. PMID: 24740671.
Kunas GC., Probasco W., Haleem AM., Burket JC., Williamson ERC., Ellis SJ. 2018. Evaluation of peritalar subluxation in adult acquired flatfoot deformity using computed tomography and weightbearing multiplanar imaging. Foot Ankle Surg. 24:495–500. doi: 10.1016/j.fas.2017.05.010. DOI: 10.1016/j.fas.2017.05.010. PMID: 29409191.
Evans EL., Catanzariti AR. 2014. Forefoot supinatus. Clin Podiatr Med Surg. 31:405–13. doi: 10.1016/j.cpm.2014.03.009. DOI: 10.1016/j.cpm.2014.03.009. PMID: 24980930.
Lee HY., Barbachan Mansur NS., Lalevée M., Dibbern KN., Myerson MS., Ellis SJ, et al. 2022. ; Progressive Collapsing Foot Deformity Consensus Group. Intra- and interobserver reliability of the new classification system of progressive collapsing foot deformity. Foot Ankle Int. 43:582–9. doi: 10.1177/10711007211058154. DOI: 10.1177/10711007211058154. PMID: 34852647.
Li S., Zhu M., Gu W., Hamati M., Hunt KJ., de Cesar Netto C, et al. 2022. Diagnostic accuracy of the progressive collapsing foot deformity (PCFD) classification. Foot Ankle Int. 43:800–9. doi: 10.1177/10711007221078000. DOI: 10.1177/10711007221078000. PMID: 35301895.
Lalevée M., Barbachan Mansur NS., Lee HY., Ehret A., Tazegul T., de Carvalho KAM, et al. 2023. A comparison between the Bluman et al. and the progressive collapsing foot deformity classifications for flatfeet assessment. Arch Orthop Trauma Surg. 143:1331–9. doi: 10.1007/s00402-021-04279-z. DOI: 10.1007/s00402-021-04279-z. PMID: 34859296.
Chao W., Wapner KL., Lee TH., Adams J., Hecht PJ. 1996. Nonoperative management of posterior tibial tendon dysfunction. Foot Ankle Int. 17:736–41. doi: 10.1177/107110079601701204. DOI: 10.1177/107110079601701204. PMID: 8973895.
Augustin JF., Lin SS., Berberian WS., Johnson JE. 2003. Nonoperative treatment of adult acquired flat foot with the Arizona brace. Foot Ankle Clin. 8:491–502. doi: 10.1016/s1083-7515(03)00036-6. DOI: 10.1016/S1083-7515(03)00036-6. PMID: 14560901.
Alvarez RG., Marini A., Schmitt C., Saltzman CL. 2006. Stage I and II posterior tibial tendon dysfunction treated by a structured nonoperative management protocol: an orthosis and exercise program. Foot Ankle Int. 27:2–8. doi: 10.1177/107110070602700102. DOI: 10.1177/107110070602700102. PMID: 16442022.
Kulig K., Reischl SF., Pomrantz AB., Burnfield JM., Mais-Requejo S., Thordarson DB, et al. 2009. Nonsurgical management of posterior tibial tendon dysfunction with orthoses and resistive exercise: a randomized controlled trial. Phys Ther. 89:26–37. doi: 10.2522/ptj.20070242. DOI: 10.2522/ptj.20070242. PMID: 19022863.
Pell RF 4th., Myerson MS., Schon LC. 2000. Clinical outcome after primary triple arthrodesis. J Bone Joint Surg Am. 82:47–57. doi: 10.2106/00004623-200001000-00006. DOI: 10.2106/00004623-200001000-00006. PMID: 10653083.
Hintermann B., Deland JT., de Cesar Netto C., Ellis SJ., Johnson JE., Myerson MS, et al. 2020. Consensus on indications for isolated subtalar joint fusion and naviculocuneiform fusions for progressive collapsing foot deformity. Foot Ankle Int. 41:1295–8. doi: 10.1177/1071100720950738. DOI: 10.1177/1071100720950738. PMID: 32851856.
Fadle AA., El-Adly W., Attia AK., Mohamed MM., Mohamadean A., Osman AE. 2021. Double versus triple arthrodesis for adult-acquired flatfoot deformity due to stage III posterior tibial tendon insufficiency: a prospective comparative study of two cohorts. Int Orthop. 45:2219–29. doi: 10.1007/s00264-021-05041-1. DOI: 10.1007/s00264-021-05041-1. PMID: 33895880. PMCID: PMC8494666.
Burns PR., Powers NS. 2023. Double versus triple arthrodesis for flatfoot deformity: when, why, and how? Clin Podiatr Med Surg. 40:315–32. doi: 10.1016/j.cpm.2022.11.009. DOI: 10.1016/j.cpm.2022.11.009. PMID: 36841582.
Chadwick C., Whitehouse SL., Saxby TS. 2015. Long-term follow-up of flexor digitorum longus transfer and calcaneal osteotomy for stage II posterior tibial tendon dysfunction. Bone Joint J. 97:346–52. doi: 10.1302/0301-620X.97B3.34386. DOI: 10.1302/0301-620X.97B3.34386. PMID: 25737518.
Niki H., Hirano T., Okada H., Beppu M. 2012. Outcome of medial displacement calcaneal osteotomy for correction of adult-acquired flatfoot. Foot Ankle Int. 33:940–6. doi: 10.3113/FAI.2012.0940. DOI: 10.3113/FAI.2012.0940. PMID: 23131439.
Smith BA., Adelaar RS., Wayne JS. 2017. Patient specific computational models to optimize surgical correction for flatfoot deformity. J Orthop Res. 35:1523–31. doi: 10.1002/jor.23399. DOI: 10.1002/jor.23399. PMID: 27556250.
Bolt PM., Coy S., Toolan BC. 2007. A comparison of lateral column lengthening and medial translational osteotomy of the calcaneus for the reconstruction of adult acquired flatfoot. Foot Ankle Int. 28:1115–23. doi: 10.3113/FAI.2007.1115. DOI: 10.3113/FAI.2007.1115. PMID: 18021579.
Osman AE., El-Gafary KA., Khalifa AA., El-Adly W., Fadle AA., Abubeih H. 2021. Medial displacement calcaneal osteotomy versus lateral column lengthening to treat stage II tibialis posterior tendon dysfunction, a prospective randomized controlled study. Foot (Edinb). 47:101798. doi: 10.1016/j.foot.2021.101798. DOI: 10.1016/j.foot.2021.101798. PMID: 33957531.
Conti MS., Ellis SJ., Chan JY., Do HT., Deland JT. 2015. Optimal position of the heel following reconstruction of the stage II adult-acquired flatfoot deformity. Foot Ankle Int. 36:919–27. doi: 10.1177/1071100715576918. DOI: 10.1177/1071100715576918. PMID: 25948692. PMCID: PMC4747098.
Crawford AW., Haleem AM. 2021. I am afraid of lateral column lengthening. Should I be? Foot Ankle Clin. 26:523–38. doi: 10.1016/j.fcl.2021.06.003. DOI: 10.1016/j.fcl.2021.06.003. PMID: 34332733.
Dinucci KR., Christensen JC., Dinucci KA. 2004. Biomechanical consequences of lateral column lengthening of the calcaneus: part I. long plantar ligament strain. J Foot Ankle Surg. 43:10–5. doi: 10.1053/j.jfas.2003.11.013. DOI: 10.1053/j.jfas.2003.11.013. PMID: 14752758.
Oh I., Imhauser C., Choi D., Williams B., Ellis S., Deland J. 2013. Sensitivity of plantar pressure and talonavicular alignment to lateral column lengthening in flatfoot reconstruction. J Bone Joint Surg Am. 95:1094–100. doi: 10.2106/JBJS.K.01032. DOI: 10.2106/JBJS.K.01032. PMID: 23783206. PMCID: PMC6948803.
Conti MS., Chan JY., Do HT., Ellis SJ., Deland JT. 2015. Correlation of postoperative midfoot position with outcome following reconstruction of the stage II adult acquired flatfoot deformity. Foot Ankle Int. 36:239–47. doi: 10.1177/1071100714564217. DOI: 10.1177/1071100714564217. PMID: 25589542. PMCID: PMC4748705.
Modha RK., Kilmartin TE. 2021. Lateral column lengthening for flexible adult acquired flatfoot: systematic review and meta-analysis. J Foot Ankle Surg. 60:1254–69. doi: 10.1053/j.jfas.2021.02.015. DOI: 10.1053/j.jfas.2021.02.015. PMID: 34253434.
Chan JY., Greenfield ST., Soukup DS., Do HT., Deland JT., Ellis SJ. 2015. Contribution of lateral column lengthening to correction of forefoot abduction in stage IIb adult acquired flatfoot deformity reconstruction. Foot Ankle Int. 36:1400–11. doi: 10.1177/1071100715596607. DOI: 10.1177/1071100715596607. PMID: 26216884.
Grunander TR., Thordarson DB. 2012. Results of calcaneocuboid distraction arthrodesis. Foot Ankle Surg. 18:15–8. doi: 10.1016/j.fas.2011.01.004. DOI: 10.1016/j.fas.2011.01.004. PMID: 22325997.
Haeseker GA., Mureau MA., Faber FW. 2010. Lateral column lengthening for acquired adult flatfoot deformity caused by posterior tibial tendon dysfunction stage II: a retrospective comparison of calcaneus osteotomy with calcaneocuboid distraction arthrodesis. J Foot Ankle Surg. 49:380–4. doi: 10.1053/j.jfas.2010.04.023. DOI: 10.1053/j.jfas.2010.04.023. PMID: 20610204.
Attia E., Heldt B., Roepe IG., Shenava VR., Hill JF. 2021. Does the stabilization of the calcaneocuboid joint with Steinmann pin in Evans osteotomy affect its incidence of arthritis? Foot (Edinb). 49:101846. doi: 10.1016/j.foot.2021.101846. DOI: 10.1016/j.foot.2021.101846. PMID: 34560432.
Siebert M., Hedrick BN., Zide JR., Thomas DM., Shivers C., Pierce WA, et al. 2021. Do we really need to worry about calcaneocuboid subluxation during lateral column lengthening for planovalgus foot deformity? J Pediatr Orthop. 41:e246–51. doi: 10.1097/BPO.0000000000001752. DOI: 10.1097/BPO.0000000000001752. PMID: 33417392.
Adams SB Jr., Simpson AW., Pugh LI., Stasikelis PJ. 2009. Calcaneocuboid joint subluxation after calcaneal lengthening for planovalgus foot deformity in children with cerebral palsy. J Pediatr Orthop. 29:170–4. doi: 10.1097/BPO.0b013e3181982c33. DOI: 10.1097/BPO.0b013e3181982c33. PMID: 19352243.
Bae K., Kwak YH., Kang MS., Huser AJ., Kim D., Kim G, et al. 2024. Postoperative calcaneocuboid joint subluxation and midtarsal joint changes in pediatric idiopathic flexible flatfoot treated with calcaneal lengthening osteotomy: a midterm follow-up study. Foot Ankle Int. 45:1059–67. doi: 10.1177/10711007241256638. DOI: 10.1177/10711007241256638. PMID: 39192664.
Ahn JY., Lee HS., Kim CH., Yang JP., Park SS. 2014. Calcaneocuboid joint subluxation after the calcaneal lengthening procedure in children. Foot Ankle Int. 35:677–82. doi: 10.1177/1071100714528494. DOI: 10.1177/1071100714528494. PMID: 24677218.
Kim S., Cho BK., Choi Y., Ahn J., Lee HS. 2024. Clinical and radiological outcomes of flexible flatfoot correction with double calcaneal osteotomy. J Orthop Surg Res. 19:627. doi: 10.1186/s13018-024-05106-y. DOI: 10.1186/s13018-024-05106-y. PMID: 39367451. PMCID: PMC11453064.
Basioni Y., El-Ganainy AR., El-Hawary A. 2011. Double calcaneal osteotomy and percutaneous tenoplasty for adequate arch restoration in adult flexible flat foot. Int Orthop. 35:47–51. doi: 10.1007/s00264-010-1071-z. DOI: 10.1007/s00264-010-1071-z. PMID: 20556379. PMCID: PMC3014475.
Xu Y., Cao YX., Li XC., Zhu Y., Xu XY. 2017. Double calcaneal osteotomy for severe adolescent flexible flatfoot reconstruction. J Orthop Surg Res. 12:153. doi: 10.1186/s13018-017-0655-3. DOI: 10.1186/s13018-017-0655-3. PMID: 29041945. PMCID: PMC5645836.
Frankel JP., Turf RM., Kuzmicki LM. 1995. Double calcaneal osteotomy in the treatment of posterior tibial tendon dysfunction. J Foot Ankle Surg. 34:254–61. doi: 10.1016/S1067-2516(09)80056-2. DOI: 10.1016/S1067-2516(09)80056-2. PMID: 7550188.
Zanolli DH., Glisson RR., Nunley JA 2nd., Easley ME. 2014. Biomechanical assessment of flexible flatfoot correction: comparison of techniques in a cadaver model. J Bone Joint Surg Am. 96:e45. doi: 10.2106/JBJS.L.00258. DOI: 10.2106/JBJS.L.00258. PMID: 24647512.
Greisberg J., Assal M., Hansen ST Jr., Sangeorzan BJ. 2005. Isolated medial column stabilization improves alignment in adult-acquired flatfoot. Clin Orthop Relat Res. 197–202. doi: 10.1097/01.blo.0000157658.17056.46. DOI: 10.1097/01.blo.0000157658.17056.46. PMID: 15930939.
Johnson JE., Sangeorzan BJ., de Cesar Netto C., Deland JT., Ellis SJ., Hintermann B, et al. 2020. Consensus on indications for medial cuneiform opening wedge (cotton) osteotomy in the treatment of progressive collapsing foot deformity. Foot Ankle Int. 41:1289–91. doi: 10.1177/1071100720950739. DOI: 10.1177/1071100720950739. PMID: 32856482.
Ling JS., Ross KA., Hannon CP., Egan C., Smyth NA., Hogan MV, et al. 2013. A plantar closing wedge osteotomy of the medial cuneiform for residual forefoot supination in flatfoot reconstruction. Foot Ankle Int. 34:1221–6. doi: 10.1177/1071100713487726. DOI: 10.1177/1071100713487726. PMID: 23624906.
Hirose CB., Johnson JE. 2004. Plantarflexion opening wedge medial cuneiform osteotomy for correction of fixed forefoot varus associated with flatfoot deformity. Foot Ankle Int. 25:568–74. doi: 10.1177/107110070402500810. DOI: 10.1177/107110070402500810. PMID: 15363379.
Vacketta VG., Jones JM., Catanzariti AR. 2022. Radiographic analysis and clinical efficacy of hindfoot arthrodesis with versus without cotton osteotomy in stage III adult acquired flatfoot deformity. J Foot Ankle Surg. 61:879–85. doi: 10.1053/j.jfas.2021.12.012. DOI: 10.1053/j.jfas.2021.12.012. PMID: 34987007.
Lutz M., Myerson M. 2011. Radiographic analysis of an opening wedge osteotomy of the medial cuneiform. Foot Ankle Int. 32:278–87. doi: 10.3113/FAI.2011.0278. DOI: 10.3113/FAI.2011.0278. PMID: 21477547.
Steiner CS., Gilgen A., Zwicky L., Schweizer C., Ruiz R., Hintermann B. 2019. Combined subtalar and naviculocuneiform fusion for treating adult acquired flatfoot deformity with medial arch collapse at the level of the naviculocuneiform joint. Foot Ankle Int. 40:42–7. doi: 10.1177/1071100718800295. DOI: 10.1177/1071100718800295. PMID: 30317867.
McCormick JJ., Johnson JE. 2012. Medial column procedures in the correction of adult acquired flatfoot deformity. Foot Ankle Clin. 17:283–98. doi: 10.1016/j.fcl.2012.03.003. DOI: 10.1016/j.fcl.2012.03.003. PMID: 22541526.
Walters JL., Mendicino SS. 2014. Flexible adult flatfoot: soft tissue procedures. Clin Podiatr Med Surg. 31:349–55. doi: 10.1016/j.cpm.2014.03.006. DOI: 10.1016/j.cpm.2014.03.006. PMID: 24980925.
DeVries JG., DeCarbo WT., Scott RT., Bussewitz B., Thompson M., Hyer CF. 2022. Soft tissue reconstruction and osteotomies for pes planovalgus correction. Clin Podiatr Med Surg. 39:207–31. doi: 10.1016/j.cpm.2021.11.010. DOI: 10.1016/j.cpm.2021.11.010. PMID: 35365324.
Spratley EM., Arnold JM., Owen JR., Glezos CD., Adelaar RS., Wayne JS. 2013. Plantar forces in flexor hallucis longus versus flexor digitorum longus transfer in adult acquired flatfoot deformity. Foot Ankle Int. 34:1286–93. doi: 10.1177/1071100713487724. DOI: 10.1177/1071100713487724. PMID: 23613328.
Aronow MS. 2012. Tendon transfer options in managing the adult flexible flatfoot. Foot Ankle Clin. 17:205–26. viidoi: 10.1016/j.fcl.2012.02.001. DOI: 10.1016/j.fcl.2012.02.001. PMID: 22541521.
Den Hartog BD. 2001. Flexor digitorum longus transfer with medial displacement calcaneal osteotomy. Biomechanical rationale. Foot Ankle Clin. 6:67–76. vidoi: 10.1016/s1083-7515(03)00079-2. DOI: 10.1016/S1083-7515(03)00079-2. PMID: 11385928.
Lin JS., Myerson MS. 2011. The management of complications following the treatment of flatfoot deformity. Instr Course Lect. 60:321–34.
Nery C., Baumfeld D. 2021. Current trends in treatment of injuries to spring ligament. Foot Ankle Clin. 26:345–59. doi: 10.1016/j.fcl.2021.03.008. DOI: 10.1016/j.fcl.2021.03.008. PMID: 33990257.
Deland JT., Ellis SJ., Day J., de Cesar Netto C., Hintermann B., Myerson MS, et al. 2020. Indications for deltoid and spring ligament reconstruction in progressive collapsing foot deformity. Foot Ankle Int. 41:1302–6. doi: 10.1177/1071100720950742. DOI: 10.1177/1071100720950742. PMID: 32851857.
Hatic SO 2nd., Philbin TM. 2012. Management of the recurrent deformity in a flexible foot following failure of tendon transfer: is arthrodesis necessary? Foot Ankle Clin. 17:299–307. doi: 10.1016/j.fcl.2012.03.007. DOI: 10.1016/j.fcl.2012.03.007. PMID: 22541527.
Ahmad J., Pedowitz D. 2012. Management of the rigid arthritic flatfoot in adults: triple arthrodesis. Foot Ankle Clin. 17:309–22. doi: 10.1016/j.fcl.2012.03.008. DOI: 10.1016/j.fcl.2012.03.008. PMID: 22541528.
Gentchos CE., Anderson JG., Bohay DR. 2012. Management of the rigid arthritic flatfoot in the adults: alternatives to triple arthrodesis. Foot Ankle Clin. 17:323–35. doi: 10.1016/j.fcl.2012.03.009. DOI: 10.1016/j.fcl.2012.03.009. PMID: 22541529.
Astion DJ., Deland JT., Otis JC., Kenneally S. 1997. Motion of the hindfoot after simulated arthrodesis. J Bone Joint Surg Am. 79:241–6. doi: 10.2106/00004623-199702000-00012. DOI: 10.2106/00004623-199702000-00012. PMID: 9052546.
Taylor R., Sammarco VJ. 2012. Minimizing the role of fusion in the rigid flatfoot. Foot Ankle Clin. 17:337–49. doi: 10.1016/j.fcl.2012.03.010. DOI: 10.1016/j.fcl.2012.03.010. PMID: 22541530.
Conti MS., Ellis SJ. 2021. Spare the talonavicular joint! The role of isolated subtalar joint fusion in the treatment of progressive collapsing foot deformity. Foot Ankle Clin. 26:591–607. doi: 10.1016/j.fcl.2021.05.005. DOI: 10.1016/j.fcl.2021.05.005. PMID: 34332737.
Kitaoka HB., Patzer GL. 1997. Subtalar arthrodesis for posterior tibial tendon dysfunction and pes planus. Clin Orthop Relat Res. 187–94. DOI: 10.1097/00003086-199712000-00027.
Johnson JE., Cohen BE., DiGiovanni BF., Lamdan R. 2000. Subtalar arthrodesis with flexor digitorum longus transfer and spring ligament repair for treatment of posterior tibial tendon insufficiency. Foot Ankle Int. 21:722–9. doi: 10.1177/107110070002100902. DOI: 10.1177/107110070002100902. PMID: 11023218.
Stephens HM., Walling AK., Solmen JD., Tankson CJ. 1999. Subtalar repositional arthrodesis for adult acquired flatfoot. Clin Orthop Relat Res. 69–73. doi: 10.1097/00003086-199908000-00009. DOI: 10.1097/00003086-199908000-00009. PMID: 10627688.
Mangone PG., Fleming LL., Fleming SS., Hedrick MR., Seiler JG 3rd., Bailey E. 1997. Treatment of acquired adult planovalgus deformities with subtalar fusion. Clin Orthop Relat Res. 106–12. DOI: 10.1097/00003086-199708000-00017.
Kim S., Park E., Cho BK., Doh CH., Choi Y., Lee HS. 2024. Isolated subtalar repositional arthrodesis compared with triple arthrodesis for the treatment of progressive collapsing foot deformity. J Foot Ankle Surg. 63:443–9. doi: 10.1053/j.jfas.2024.02.002. DOI: 10.1053/j.jfas.2024.02.002. PMID: 38447799.
Song SJ., Lee S., O'Malley MJ., Otis JC., Sung IH., Deland JT. 2000. Deltoid ligament strain after correction of acquired flatfoot deformity by triple arthrodesis. Foot Ankle Int. 21:573–7. doi: 10.1177/107110070002100708. DOI: 10.1177/107110070002100708. PMID: 10919623.
Friedman MA., Draganich LF., Toolan B., Brage ME. 2001. The effects of adult acquired flatfoot deformity on tibiotalar joint contact characteristics. Foot Ankle Int. 22:241–6. doi: 10.1177/107110070102200312. DOI: 10.1177/107110070102200312. PMID: 11310867.
Röhm J., Zwicky L., Horn Lang T., Salentiny Y., Hintermann B., Knupp M. 2015. Mid- to long-term outcome of 96 corrective hindfoot fusions in 84 patients with rigid flatfoot deformity. Bone Joint J. 97:668–74. doi: 10.1302/0301-620X.97B5.35063. DOI: 10.1302/0301-620X.97B5.35063. PMID: 25922462.
Hyer CF., Galli MM., Scott RT., Bussewitz B., Berlet GC. 2014. Ankle valgus after hindfoot arthrodesis: a radiographic and chart comparison of the medial double and triple arthrodeses. J Foot Ankle Surg. 53:55–8. doi: 10.1053/j.jfas.2013.02.018. DOI: 10.1053/j.jfas.2013.02.018. PMID: 23910739.
Miniaci-Coxhead SL., Weisenthal B., Ketz JP., Flemister AS. 2017. Incidence and radiographic predictors of valgus tibiotalar tilt after hindfoot fusion. Foot Ankle Int. 38:519–25. doi: 10.1177/1071100717690439. DOI: 10.1177/1071100717690439. PMID: 28142248.
Figure 1
Weight bearing foot anteroposterior radiograph showing talonavicular coverage angle (*) and talonavicular uncoverage percent (**).
Figure 3
Weight bearing foot lateral radiograph showing plantar gapping of naviculocuneiform joint (*) and tarsometatarsal joint (**). Sinus tarsi impingement (black arrow) and bony sclerosis around sinus tarsi (white arrow).
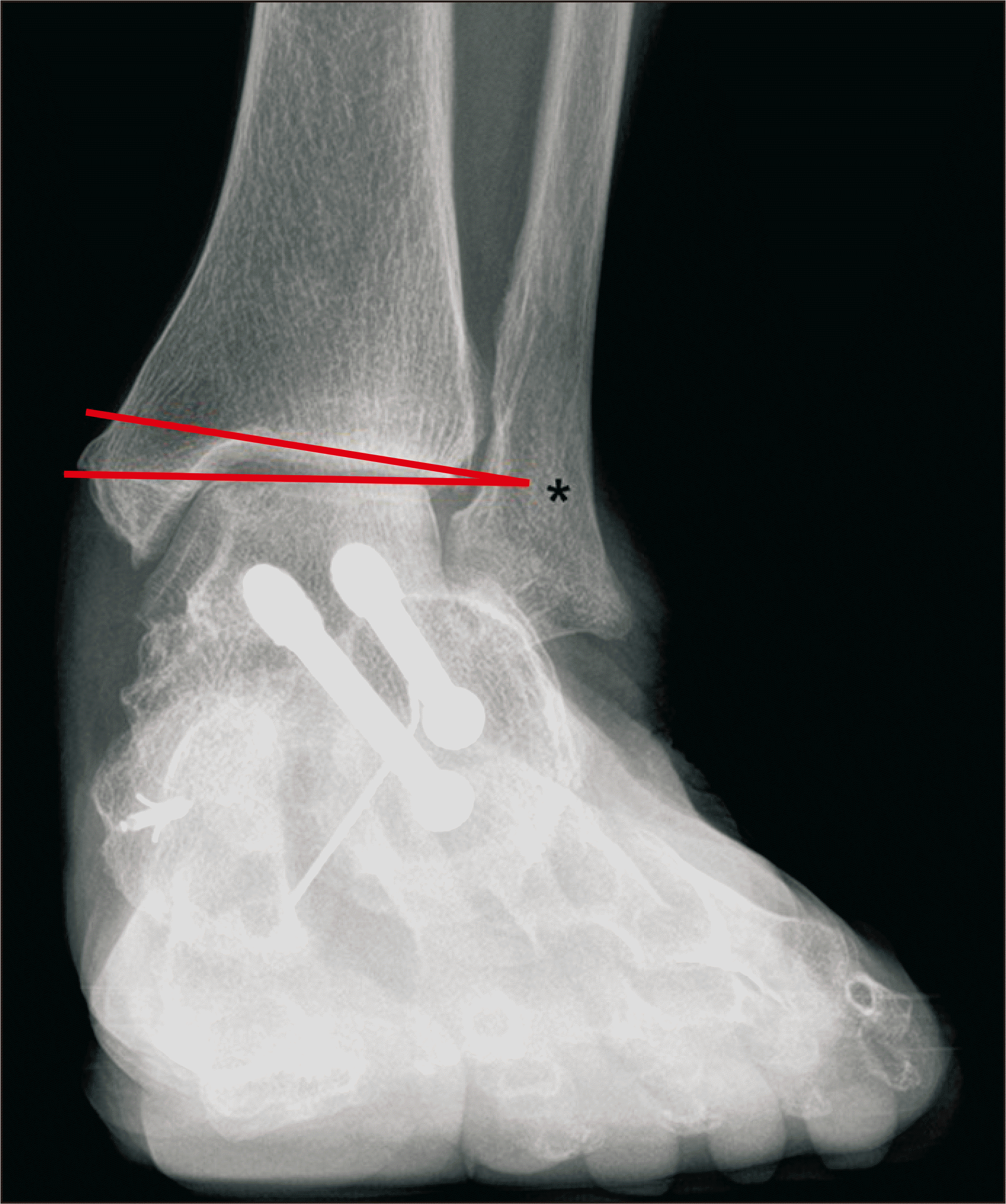
Figure 4
Weight bearing ankle anteroposterior radiograph showing valgus talar tilt and subfibular impingement (*).
Figure 6
Weight bearing foot computed tomography showing hindfoot valgus (*) and sinus tarsi impingement (**). Medial column instability on talonavicular joint (black arrow) and tarsometatarsal joint with plantar gapping (white arrow).
Figure 7
Foot and ankle offset (FAO). First metatarsal head weight bearing point M1, fifth metatarsal head weight bearing point M5, calcaneus weight bearing point C, and central apex of the talar dome T are marked. “a” refers to the distance from C to the midpoint between M1 and M5, and “b” indicates the distance from T to line “a” FAO (%)=b/a.
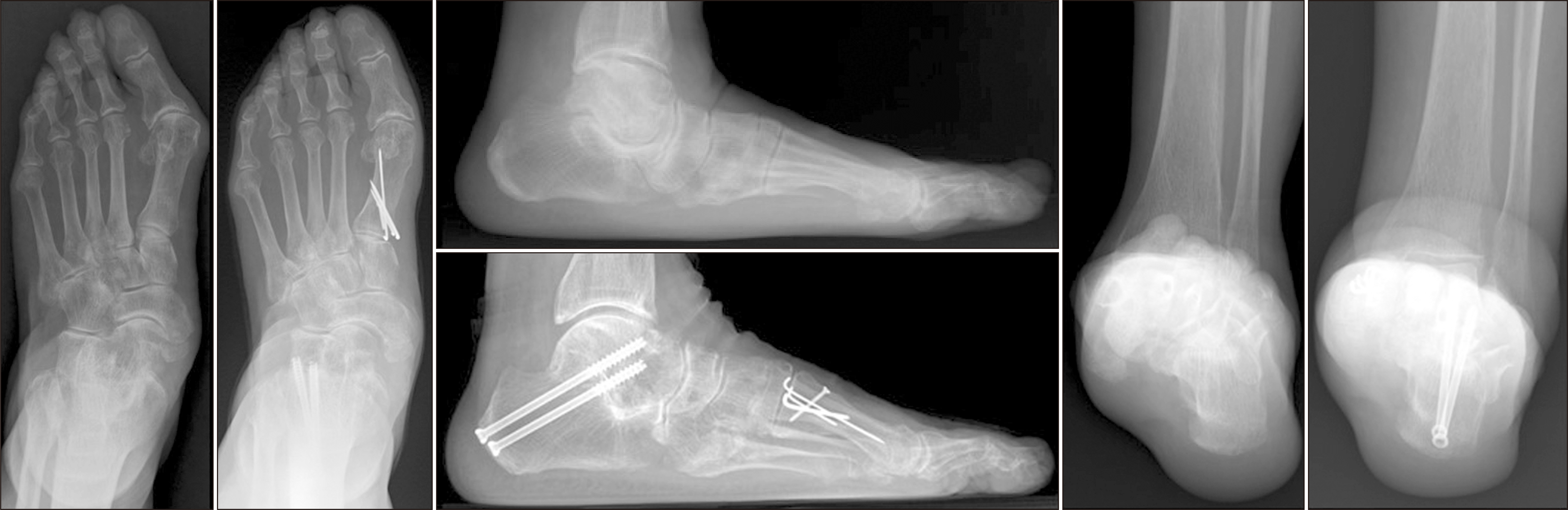
Figure 11
Preoperative and postoperative plain radiograph of the weight bearing foot anteroposterior, lateral, and hindfoot views of a 20-year-old female patient with a unilateral flatfoot deformity who was performed double calcaneal osteotomy.
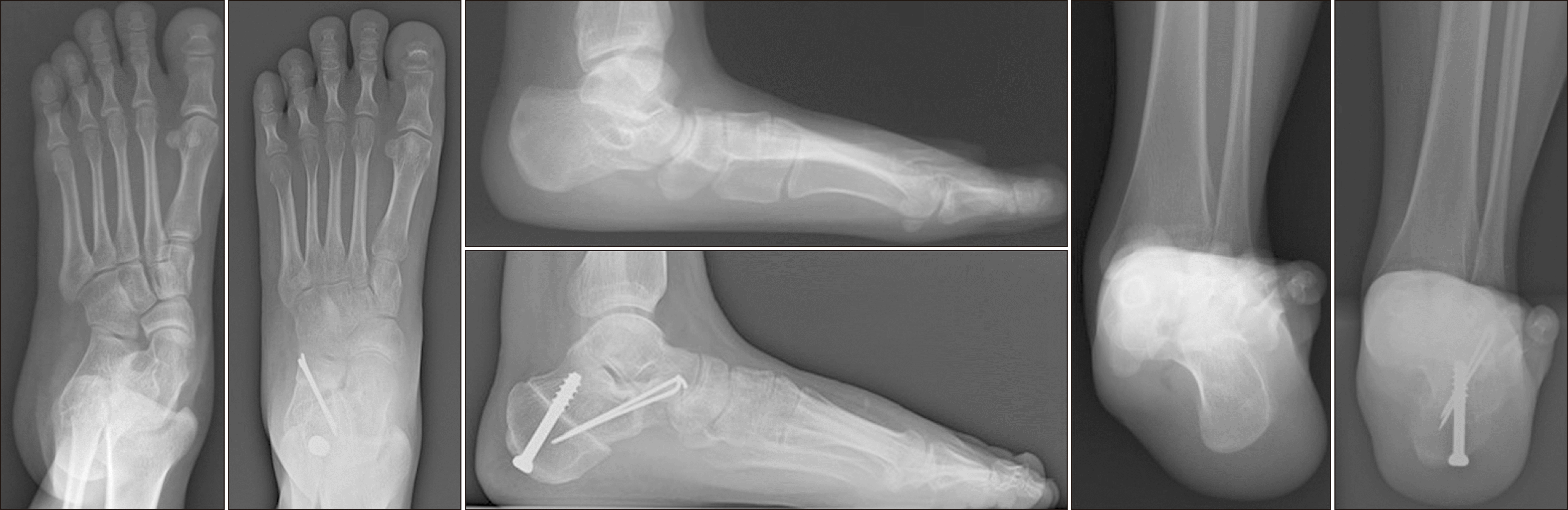
Figure 12
Pre- and post-operative plain weight bearing foot anteroposterior, lateral, and hindfoot radiographs of a 74-year-old female patient who was underwent subtalar repositional arthrodesis and first metatarsal plantar closing wedge osteotomy.
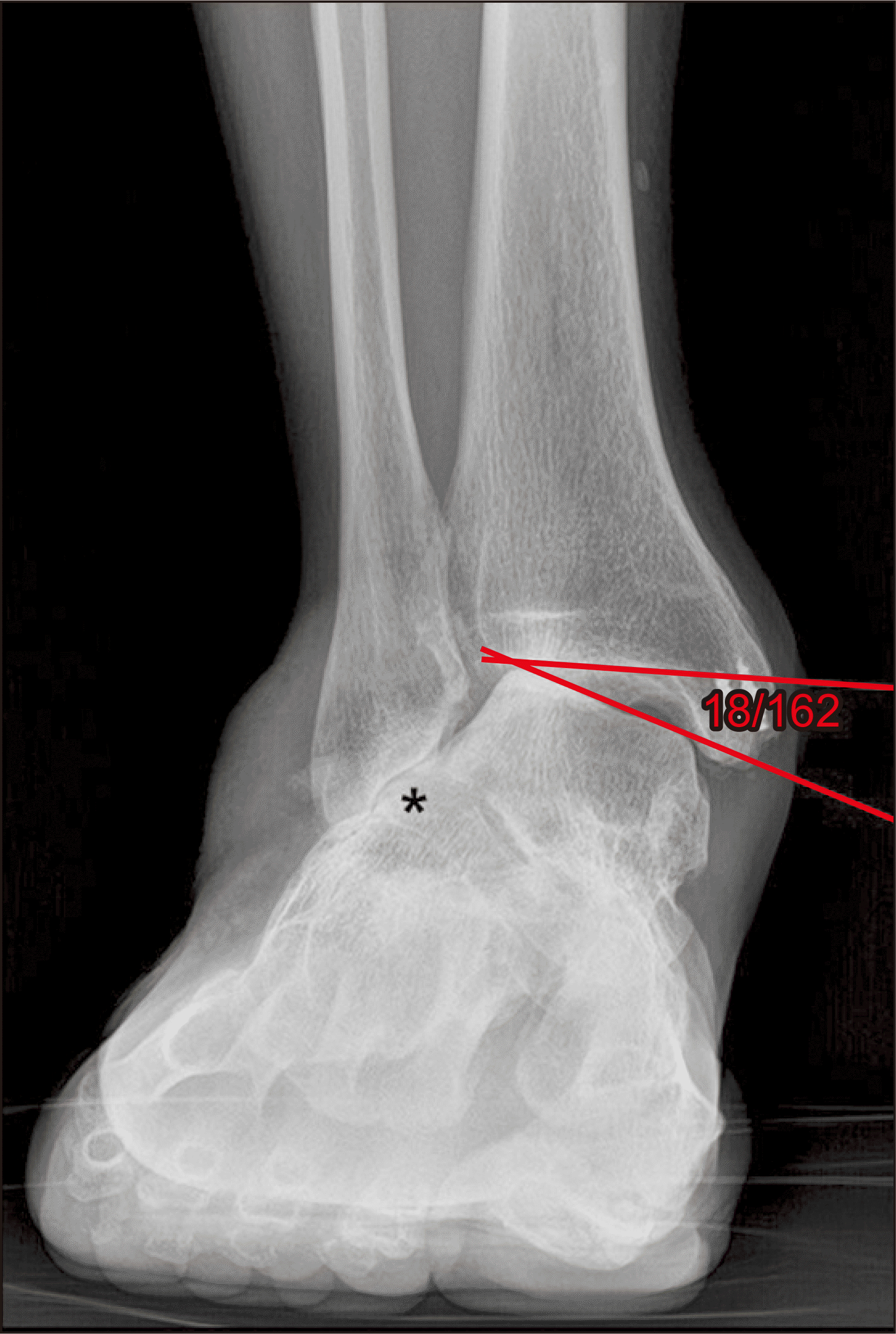
Figure 13
Weight bearing ankle anteroposterior radiograph showing valgus talar tilt after hindfoot arthrodesis (*).
Table 1
Johnson and Strom Classification
Table 2
Consensus Group Classification of Progressive Collapsing Foot Deformity



PDF
Citation
Print



XML Download