초록
쇼그렌 증후군(Sjögren syndrome) 환자에서 나타나는 구강건조증은 타액의 양이 감소하며, 완충 능력이 떨어지기 때문에 법랑질이 점진적으로 침식되어 전치부 및 구치부의 전반적인 치아 마모가 발생할 수 있다. 치아 마모는 전·측방 유도의 상실, 교합의 부조화, 보철수복을 위한 공간의 부족 등의 기능적, 심미적 문제를 초래하고, 복잡한 교합 문제를 야기한다. 이를 치료하기 위해 표준화된 교두각을 적용하면 교합 접촉의 장기적인 안정성을 확보할 수 있으며, 중심위와 편심 운동에서 최소한의 조정만으로도 기능적이고 안정적인 교합을 형성할 수 있다. 본 증례에서는 쇼그렌 증후군으로 인해 상악 전치부와 하악 전치부, 구치부의 심한 마모를 가진 환자에서 표준 교두각을 이용한 보철 수복을 시행하여 교합 안정성을 얻었으며, 심미적 개선을 통해 만족스러운 결과를 얻었기에 이를 보고하고자 한다.
Abstract
In patients with Sjögren syndrome, decreased salivary flow result in reduced buffering capacity, which leads to the gradual erosion of enamel and significant tooth wear in both anterior and posterior teeth. The tooth wear often causes the loss of anterior and lateral guidance, occlusal disharmony, and insufficient space for prosthetic restorations, leading to functional and esthetic challenges, as well as complex occlusal issues. To address these issues, applying standardized cusp angles can help achieve long-term stability in occlusal contacts, allowing for a functional and stable occlusion with minimal adjustments during centric and eccentric movements. This case report presents a patient with Sjögren syndrome who exhibited severe wear in the maxillary and mandibular anterior and posterior teeth. Through prosthetic rehabilitation using standardized cusp angles, occlusal stability was improved, and esthetic outcomes were achieved, highlighting the effectiveness of this approach in restoring both function and esthetics.
쇼그렌 증후군(Sjögren syndrome)은 눈물샘과 타액선에 림프구가 침윤되어 만성 염증이 발생하는 자가면역 질환으로, 분비 장애를 야기하기 때문에 눈이 건조해지고 입이 마르는 증상이 주로 나타난다.1 구강건조증은 쇼그렌 증후군의 진단을 위한 주요 지표이며, 이로 인한 타액의 분비 감소는 구강 내 감염, 치아 우식증, 치주질환 등을 심화시킬 수 있다.2 더불어 감소된 타액의 완충 능력은 구강 내 pH를 낮추어 산성 환경을 조성하기 때문에, 그 결과 치아의 법랑질이 용해되고 침식으로 인한 치아 마모가 발생할 수 있다.3
치아의 마모가 지속적으로 발생하게 되면, 전치부의 전방 및 측방 유도와 구치부의 안정적인 교합 지지점이 점차 상실하게 되면서 교합 부조화의 원인이 된다.4 과도한 마모를 보이는 환자에서는 기능적 및 심미적 문제가 복합적으로 발생된 상태이기 때문에 보철 치료를 위해서는 적절한 수직 교합 고경의 설정과 중심위의 확인, 환자에 맞는 수복 방법과 재료를 선택하는 것이 중요하다.
Dawson은 중심위에서 모든 치아가 안정적인 교합 접촉을 이루고, 전·측방 유도를 통해 하악 운동 시 구치가 이개 될 수 있는 상호 보호 교합관계를 교합 치료의 목표로 주장하였다.5 Takahashi 등6은 편심 운동 시 과두로, 절치 유도, 교두각이 치아 접촉 관계를 결정하는 요인으로 보았으며, 그 중 교두의 경사와 형태를 나타내는 교두각이 교합 시 치아의 접촉 양상과 그 힘의 분포를 결정하는 중요한 요소라고 하였다. 따라서 편심 운동 시 치아의 균형 잡힌 접촉을 유지하는 데 표준화된 교두각을 설정하는 것을 목표로 하였다. Hobo와 Takayama는 교합의 결정 요인으로 교두각을 제안하였으며, 표준 교두각을 이용하는 twin-stage 방법을 고안하였다.7,8 이 방법은 구치부와 전치부의 교합을 각각 설정하여, 구치부의 교합 안정성을 먼저 확보한 후 전치부 조정을 통해 구치부의 이개를 유도하는 것이다. 견치 유도 뿐만 아니라 교두각에 대한 조정이 구치부 이개에 매우 중요하게 작용하며, 기능적 조화를 통해 치아 마모를 방지하고, 장기적으로 교합 안정성을 유지하는데 중점을 둘 수 있다고 하였다.
Twin-stage 방법은 전치부와 구치부가 탈착 가능하도록 제작된 진단 모형과 교합기를 이용하여 정확한 표준 교두각 형성을 시행한다. 첫 번째 단계는 교합기의 과로각과 전방 유도판 각도를 ‘Condition 1’의 값으로 설정한 후, 전치부 모형을 제거하고 편심 운동 중 구치가 이개되지 않고 접촉을 유지하도록 구치부 납형을 형성한다. 그리고 두 번째 단계에서는 교합기의 과로각과 전방 유도판 각도를 원하는 교합 양식에 맞는 ‘Condition 2’로 설정하고, 전치부 모형을 장착하여 전치부 납형을 형성한 후, 적절한 절치 유도를 확인한다(Table 1). 이 방법은 교두각을 중점적으로 사용하여 교합 안정성을 높이고, 특히 편심 운동 시 구치부의 이개를 통해 교합 간섭을 최소화하여 전체적인 상호 보호 교합을 완성할 수 있다.
본 증례에서는 쇼그렌 증후군으로 인해 상악 전치부와 하악 전치부, 구치부의 심한 마모를 가진 환자에서 표준 교두각을 이용한 상호 보호 교합 개념의 보철 수복을 시행하여 기능적 개선과 심미적으로 만족스러운 결과를 얻었기에 이를 보고하고자 한다.
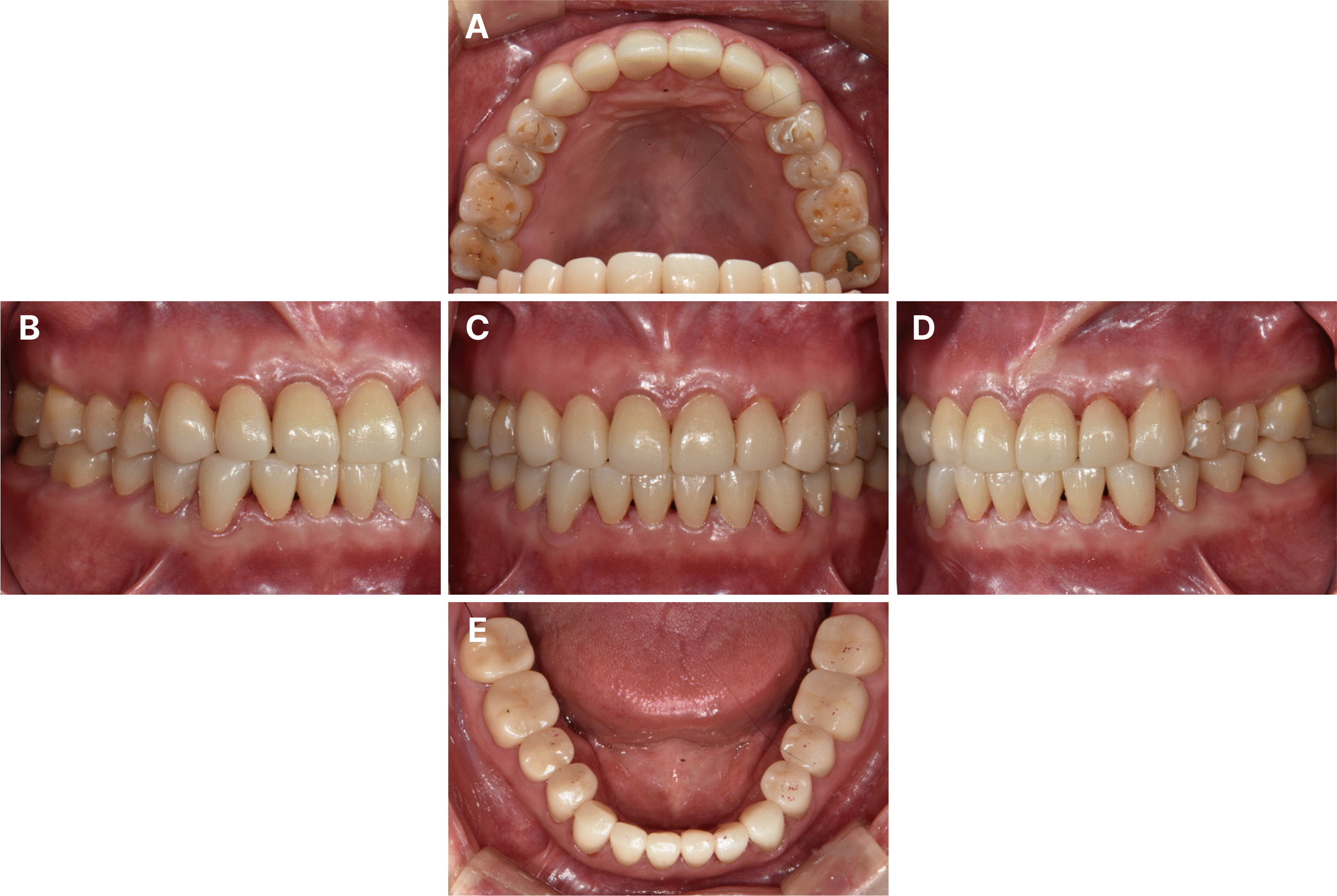
본 증례의 환자는 56세 여성으로, 치아들이 부서지고 깨졌다는 것을 주소로 내원하였다. 의과적 병력으로 26년 전 쇼그렌 증후군을 진단받았으며, 내원 당시 안구와 구강의 건조증을 호소하였고, 임상 검사 및 방사선 검사 결과에서 상악 전치부, 하악 전치부와 구치부에 치아의 심한 마모가 관찰되었다(Fig. 1, 2).
환자의 수직 고경 상실 여부를 평가하기 위해 여러가지 임상 검사를 진행하였다. 진단모형 및 구내·외 검사 분석에서 상악과 하악의 순측 전정 수직간 거리는 39 mm로 평균값인 38 - 42 mm의 정상 범주내에 있었으며,9 교합안정 공극은 4 mm로 평균값인 2 - 4 mm와 큰 차이가 없었고, 치찰음 등에서 발음상의 문제는 보이지 않았다.10 Willis 안면 계측법을 이용한 안모 평가 시 동공간선에서 구각부까지의 거리와 비익에서 하악 하부까지의 하안모 길이의 차이는 관찰되지 않았다.11 상악 전치부의 길이는 8 - 10 mm, 하악 전치부의 길이는 6 - 8 mm로, 평균보다 약간 짧았다.12 하악 구치부 양쪽 모두 교합면 침식과 마모를 보였으나, 상악 구치부는 양측 모두 교두를 포함하여 양호한 상태였으며, 보철수복을 위한 수직 공간은 충분하다고 진단하였다. 따라서 이상의 사항들을 종합하여, 교합 수직 고경을 유지한 채 표준 교두각을 이용하여 마모된 상악 전치부와 하악 전치부 구치부 치아들을 수복함으로써 바람직한 교합 관계를 형성하는 것을 목표로 치료계획을 수립하였고, 전치부와 구치부를 분리하여 수복하는 방법인 twin-stage 방법을 이용하여 치료하기로 결정하였다. 제시된 표준 교두각을 이용하여 진단 납형을 형성하였고, 임시 수복물과 최종 수복물에 반영하기 위해 이중 스캔 기법(double scan technique)을 통해 제작하기로 계획하였다.
부가중합형 실리콘 인상재(Honigum, DMG, Hamburg, Germany)를 이용하여 상하악의 정밀 인상을 채득한 후, 안궁 이전과 수평 악간 관계 기록을 통해 진단모형을 제작하였다. 이 때, 다웰핀을 이용하여 상악, 하악 모형의 전치부와 구치부를 분리하여 탈착이 가능하도록 하고 반조절성 교합기(PROTARevo 5B, KaVo, Biberach, Germany)에 모형을 부착하였다.
첫 번째 단계에서는 ‘Condition 1’의 값에 따라 교합기의 과로각을 25°, 전방 유도판의 각도를 10°로 설정한 후, 전치부의 다웰핀을 제거하고 편심 운동 시 구치부가 이개되지 않고 최대 교두 감합에서 부드럽게 미끄러지도록 하악 구치부 납형을 형성하였다(Fig. 3). 두 번째 단계에서는 교합기의 과로각을 45°, 전방 유도판의 각도를 20° 인 ‘Condition 2’로 설정한 후, 전치부 모형을 장착하고 전치부 납형을 형성하여 견치 유도를 통한 상호 보호 교합이 이루어지게 하였다(Fig. 4). 이후 완성된 납형을 스캔하고 Polymethylmethacrylate (Monolayer PMMA block, Yamahachi dental MFG, Gamagori, Japan)디스크를 밀링 머신(DGSHAPE DWX-520, Roland company, Willich, Germany)을 이용하여 쉘(shell)형태의 임시치아를 미리 제작하였다. 상악 전치부와 하악 전치부, 구치부 치아를 삭제 후 준비한 임시 치아를 재이장(Tokuso Curefest, Tokuyama Dental, Tokyo, Japan)하고 장착하여 교합조정을 시행하였다(Fig. 5). 임시 치아 수복 후 교합은 2주 간격으로 교합지를 이용한 검사와 이전 교합 양식 기록을 통해 점검하였고, 약 2개월 간의 적응 기간을 거쳐 생활치의 임상 증상과 함께 환자의 불편감 발생 여부를 확인하였다.
환자는 적응 기간 동안 불편감이 없었고, 교합에 대한 문제도 발생하지 않았다. 이에 따라 최종 인상을 채득하기로 결정하였으며, 심미성을 고려하여 최종 보철 수복재료로 지르코니아(Katana Zirconia HT, Kuraray Noritake Dental Inc, Tokyo, Japan)를 선택하였다. 부가중합형 실리콘 인상재를 이용하여 지대치의 정밀 인상을 채득하였고, 임시 치아의 교합 양식을 최종 수복물에 반영하기 위해 지대치와 임시치아 수복 상태를 스캔하여 CAD 소프트웨어(3Shape Dental Designer, 3Shape, Copenhagen, Denmark)상에서 이중 스캔하였다. 또한 환자의 적응된 교합을 반영하기 위해 구치부와 전치부를 나누어서 최종 보철물을 제작하였다(Fig. 6, 7). 구치부 교합의 안정성을 확인한 후, 전치부 보철물을 제작하여 구강 내 시적하였으며, 내면 및 변연 적합도, 색조, 상호 보호 교합을 확인한 후 레진 강화형 글라스 아이오노머 시멘트(GC FujiCEM 2, GC Corporation, Tokyo, Japan)를 이용하여 최종 합착을 시행하였다. 이갈이 등의 습관은 없었으며, 초기 보철물 파절을 예방하고자 야간 보호 장치를 사용하게 하였다(Fig. 8, 9). 치료 후 정기 검진에서 기능상의 문제없이 안정적인 교합 관계를 유지하고 있었으며, 환자는 기능적 개선과 심미적 회복에 매우 만족하였다.
쇼그렌 증후군 환자에서의 치아 마모는 구치부의 교두를 포함한 교합면과 전치부의 절단연 마모를 동반하여 다발성으로 나타난다. 전반적인 치아 마모가 심한 경우, 심미적 문제 뿐만 아니라 전·측방 유도의 상실, 교합의 부조화 등과 같은 기능적 문제를 초래하게 된다.13 따라서 마모된 치아들을 적절한 형태와 교합 양식을 갖는 보철물로 수복해줌으로써 환자로 하여금 심미와 기능을 회복해 주는 것이 필요하다.14,15
교합을 형성할 때에 중요한 요소로는 과두로, 절치 유도, 교두각이 있다. 과두로는 측정된 과두의 경로를 반영하여 교합기 상에서 수복물을 제작하는데 사용되지만,16 Hobo 등의 연구에 따르면 과두로는 고정되지 않고 변화하며 절치 유도에 의해 큰 영향을 받는다. 또한 과두로에 따른 절치 유도와 교두각을 결정하는 방법은 매우 어려운 과정으로 알려져 있다. 절치 유도는 편심 운동 과정에서 치아 접촉 관계에 영향을 미친다.17 절치 유도각이 낮은 환자에서는 나이가 들수록 관절와의 형태가 평평해지는 경향을 보였고, 반면에 가파른 절치 유도를 가진 환자에서는 과두 전방 경사와 관절 융기가 더 가파르게 정렬되는 경향이 있었다. 이는 절치 유도 각도와 측두 하악 관절의 형태 간에는 상관관계가 있음을 시사한다.18
Dawson은 중심위를 교합의 핵심 위치로 설정하여 모든 치아가 중심위에서 접촉할 수 있도록 하는 것을 치료의 목적으로 하며, 견치 유도를 통해 구치부를 이개 시키는 상호 보호 교합 관계를 제시하였다. Hobo와 Takayama는 교합관계에서 이와 유사한 견치 유도의 개념을 포함하지만, 교합의 주요 결정요인으로 교두각을 사용할 것을 제안하며 연구를 통해 편심 운동시의 표준 교두각을 제시하였다. 표준 교두각을 수복물에 적용한 후 편심 운동 시 적절하게 구치가 이개 될 수 있도록 절치 유도를 형성하는 방법은 단계적인 교합 설정으로 교합 간섭을 최소화하고, 환자가 새롭게 설정된 교합 양식에 빠르게 적응하는데 도움이 된다. 특히 이 방법은 전·측방 유도가 소실된 환자에서 맞춤 전방 유도판(customized anterior guidance table)보다 명확한 상호 보호 교합을 형성할 수 있다는 장점이 있다.17
본 증례의 환자는 쇼그렌 증후군으로 인해 구강 건조증을 겪고 있었으며, 이로 인해 전치부 순면, 소구치부 협면의 마모와 변색이 발생하여 심미성이 저하되었다. 또한, 상악 하악 전치부 절단연과 하악 구치부 교합면을 포함한 다수 치아에서 마모가 관찰되었고, 이는 전·측방 유도의 상실로 이어져 기능적 문제가 발생하였다. 상악의 구치부는 임상적으로 양호하였기에 전치부와 구치부를 분리하여 수복하는 방법을 선택하였고, Hobo와 Takayama가 제시한 twin-stage 방법을 이용하여 적절한 치관 형태와 상호 보호 교합 양식으로 마모된 치아를 수복함으로써 기능적 개선과 심미성 회복을 치료의 주요 목표로 하였다.
표준 교두각을 이용해 완성한 납형을 복제하여 임시 수복물을 제작하였고, 구내에 장착 한 후, 적응 기간 동안에 상호 보호 교합 양식에 따라 세부적인 교합 조정이 이루어졌으며, 환자는 턱관절의 임상 증상을 보이지 않으며 새로운 교합 양식에 잘 적응하였다. CAD/CAM (computer aided design/computer aided manufacturing) 기술을 이용한 방법은 전통적인 인상 채득을 이용한 복제 방법에서 발생할 수 있는 오차를 최소화하고, 보다 정확한 복제가 가능하다는 장점이 있다.19 따라서 임시 수복물의 형태를 최종 수복물에 반영하기 위해 CAD/CAM 이중 스캔 기법을 이용하였다. 이중 스캔 기법을 사용할 때는 신뢰할 수 있는 기준점을 정하는 것이 중요하다. 따라서 상악의 경우 잔존 구치부를 기준점으로 사용하였고, 하악의 경우 심미적 요구도가 낮은 대구치의 변연을 치은연상으로 설정하여 해당 부위의 변연을 기준점으로 사용하여 중첩하였다. 이러한 과정을 통해 오차를 최소화하여 정밀한 수복물 제작이 가능하였다.
최종 수복물은 정밀한 인상과 교합 안정성을 확보하기 위해 하악의 양측 구치부를 각각 나누어서 인상 채득하여 제작하였다. 이를 통해 각 구치부의 세부적인 형태와 교합 관계를 개별적으로 정확하게 반영할 수 있었으며, 수복물 제작 시 발생할 수 있는 오차를 최소화할 수 있었고, 임시 치아와 최종 수복물 간의 교합 간섭을 줄여 자연스러운 교합 접촉을 형성하였다. 또한 전치부와 구치부를 나누어서 제작을 함으로써 구치부 교합의 안정성을 확보한 상태에서 전치부를 조정할 수 있어, 최종 수복물의 기능적 안정성을 더욱 높일 수 있었다. 이는 전치부와 구치부를 개별적으로 조정함으로써 환자에게 심미적 요구와 기능적 요구를 각각 만족시킬 수 있으며, 단계적 접근을 통해 상호 보호 교합을 형성하는데 유리하였다.
최종 수복물 시적 시 우수한 내면 적합도와 적절한 색조를 보였으며, 임시 수복물과 동일한 교합 양식을 보이는 결과를 얻었고, 환자는 심미적이며 기능적 회복에 만족하였다. 최종 수복물 합착 후 1년 간의 검진 중에 보철물의 파절, 치아 통증, 측두 하악 관절 불편감 등의 증상은 관찰되지 않았으며, 적절한 교합 양식이 일관성 있게 유지되었다.
쇼그렌 증후군 환자는 정기적인 검진을 통해 수복물의 상태, 교합의 변화, 치주상태를 점검받아야 하며, 특히, 구강 건조증으로 인해 치석과 치태가 쉽게 축적될 수 있으므로, 정기적인 스케일링이 필요하다. 환자에게 전동 칫솔이나 치실을 사용하여 예방하는 방법도 교육할 수 있으며, 치아 우식증 위험을 줄이기 위해 불소 바니쉬의 도포를 주기적으로 시행하고, 구강 건조증 관리를 위해 인공 타액이나 타액 분비 촉진제가 필요할 수 있다. 또한 야간 보호 장치를 착용하여 수복물의 파손을 방지하고 치아의 추가적인 마모를 막아 장기적인 예후를 도모할 수 있다.20
본 증례에서는 쇼그렌 증후군으로 인한 구강건조증으로 인해 다수 치아의 마모를 보이며 전·측방 유도가 소실된 양상이 관찰되었다. 이에 표준 교두각를 이용하여 단계적인 교합 설정으로 교합 간섭을 최소화하였으며, 명확한 상호 보호 교합 형성을 동반한 보철 수복을 계획하였다. 환자가 적응한 임시 수복물의 형태를 이중 스캔 방법으로 복제함으로써 환자의 심미적 요구와 새롭게 설정한 교합 양식 등을 최종 수복물에 반영하여 제작하였다. 이를 통해 최소한의 교합 조정만으로도 상호 보호 교합을 확립하여 최종 수복물을 합착하였고, 기능적 개선과 심미적으로 만족스러운 결과를 얻었다.
References
1. Brito-Zerón P, Baldini C, Bootsma H, Bowman SJ, Jonsson R, Mariette X, Sivils K, Theander E, Tzioufas A, Ramos-Casals M. 2016; Sjögren syndrome. Nat Rev Dis Primers. 2:16047. DOI: 10.1038/nrdp.2016.47. PMID: 27383445.
2. Pedersen AM, Bardow A, Nauntofte B. 2005; Salivary changes and dental caries as potential oral markers of autoimmune salivary gland dysfunction in primary Sjogren's syndrome. BMC Clin Pathol. 5:4. DOI: 10.1186/1472-6890-5-4. PMID: 15740617. PMCID: PMC554998.
3. Mathews SA, Kurien BT, Scofield RH. 2008; Oral manifestations of Sjögren's syndrome. J Dent Res. 87:308–18. DOI: 10.1177/154405910808700411. PMID: 18362310.
4. Grippo JO, Simring M, Schreiner S. 2004; Attrition, abrasion, corrosion and abfraction revisited: a new perspective on tooth surface lesions. J Am Dent Assoc. 135:1109–18. DOI: 10.14219/jada.archive.2004.0369. PMID: 15387049.
5. Dawson PE. Functional occlusion: from TMJ to smile design. St. Louis: Mosby;2007. p. 430–52.
6. Takahashi M, Kondo S, Townsend GC, Kanazawa E. 2007; Variability in cusp size of human maxillary molars, with particular reference to the hypocone. Arch Oral Biol. 52:1146–54. DOI: 10.1016/j.archoralbio.2007.06.005. PMID: 17679104.
7. Hobo S, Takayama H. 1997; Twin-stage procedure. Part 1: A new method to reproduce precise eccentric occlusal relations. Int J Periodontics Restorative Dent. 17:112–23.
8. Hobo S, Takayama H. 1997; Twin-stage procedure. Part 2: A clinical evaluation test. Int J Periodontics Restorative Dent. 17:456–63.
9. McGrane HF. 1949; Five basic principles of the McGrane full denture procedure. J Fla State Dent Soc. 20:5–8.
10. Abduo J, Lyons K. 2012; Clinical considerations for increasing occlusal vertical dimension: a review. Aust Dent J. 57:2–10. DOI: 10.1111/j.1834-7819.2011.01640.x. PMID: 22369551.
11. Willis FM. 1935; Features of the face involved in full denture prosthesis. Dent Cosmos. 77:851–4.
12. Song JW, Leesungbok R, Park SJ, Chang SH, Ahn SJ, Lee SW. 2017; Analysis of crown size and morphology, and gingival shape in the maxillary anterior dentition in Korean young adults. J Adv Prosthodont. 9:315–20. DOI: 10.4047/jap.2017.9.4.315. PMID: 28875000. PMCID: PMC5582099.
13. Mulay G, Dugal R, Buhranpurwala M. 2015; An evaluation of wear of human enamel opposed by ceramics of different surface finishes. J Indian Prosthodont Soc. 15:111–8. DOI: 10.4103/0972-4052.155031. PMID: 26929496. PMCID: PMC4762315.
14. Muts EJ, van Pelt H, Edelhoff D, Krejci I, Cune M. 2014; Tooth wear: a systematic review of treatment options. J Prosthet Dent. 112:752–9. DOI: 10.1016/j.prosdent.2014.01.018. PMID: 24721500.
15. Tiwari B, Ladha K, Lalit A, Dwarakananda Naik B. 2014; Occlusal concepts in full mouth rehabilitation: an overview. J Indian Prosthodont Soc. 14:344–51. DOI: 10.1007/s13191-014-0374-y. PMID: 25489156. PMCID: PMC4257939.
16. Aljohani AO, Sghaireen MG, Abbas M, Alzarea BK, ivastava KC Sr, Shrivastava D, Issrani R, Mathew M, Alsharari AHL, Alsharari MAD, Aljunaydi NA, Alanazi S, Alsharari MMS, Alam MK. 2023; Comparative evaluation of condylar guidance angles measured using arcon and non-arcon articulators and panoramic radiographs - a systematic review and meta-analysis. Life (Basel). 13:1352. DOI: 10.3390/life13061352. PMID: 37374135. PMCID: PMC10301470.
17. Shetty M, Joshi N, Prasad DK, Sood S. 2012; Complete rehabilitation of a patient with occlusal wear: a case report. J Indian Prosthodont Soc. 12:191–7. DOI: 10.1007/s13191-012-0131-z. PMID: 23997471. PMCID: PMC3416936.
18. Li Y, Zhou W, Wu Y, Dai H, Zhou J. 2021; The relation between incisal guidance angle and the growth and development of temporomandibular joint: a multi-cross-sectional retrospective study. BMC Oral Health. 21:380. DOI: 10.1186/s12903-021-01716-8. PMID: 34320973. PMCID: PMC8317419.
19. Joo HS, Park SW, Yun KD, Lim HP. 2016; Complete-mouth rehabilitation using a 3D printing technique and the CAD/CAM double scanning method: A clinical report. J Prosthet Dent. 116:3–7. DOI: 10.1016/j.prosdent.2016.01.007. PMID: 26946918.
20. Zero DT, Brennan MT, Daniels TE, Papas A, Stewart C, Pinto A, Al-Hashimi I, Navazesh M, Rhodus N, Sciubba J, Singh M, Wu AJ, Frantsve-Hawley J, Tracy S, Fox PC, Ford TL, Cohen S, Vivino FB, Hammitt KM. Sjögren's Syndrome Foundation Clinical Practice Guidelines Committee. 2016; Clinical practice guidelines for oral management of Sjögren disease: Dental caries prevention. J Am Dent Assoc. 147:295–305. DOI: 10.1016/j.adaj.2015.11.008. PMID: 26762707.
Fig. 2
Intraoral photograph before treatment. (A) Upper occlusal view, (B) Right lateral view, (C) Frontal view, (D) Left lateral view, (E) Lower occlusal view.
Fig. 3
Condition 1 setting. (A) Articulator adjustment for condition 1, (B, C) Diagnostic wax-up of lower right and left posterior.
Fig. 4
Condition 2 setting. (A) Articulator adjustment for condition 2 of mutually protected occlusion, (B) Diagnostic wax-up of anterior teeth.
Fig. 5
Intraoral photograph of provisional restoration state. (A) Right lateral view, (B) Left lateral view, (C) Right lateral view of canine guidance, (D) Left lateral view of canine guidance.
Fig. 6
Final impression and definitive prosthesis of posterior teeth. (A, D) Final impression, (B, E) Superimposition, (C, F) Definitive prosthesis of posterior teeth.
Fig. 7
Final impression and definitive prosthesis of anterior teeth. (A) Final impression, (B) Superimposition, (C) Full contour monolithic zirconia crown.



PDF
Citation
Print



XML Download