초록
하악의 치조골 흡수가 심한 무치악 환자에서 하악 총의치는 유지와 안정에 한계가 있을 수 있다. 총의치 제작을 위한 인상채득 방법에는 크게 개구인상법과 폐구인상법이 있으며 이 두 가지 인상채득 방법은 유지와 안정을 얻는 방식이 다르며 각각의 장단점이 존재한다. 이 두 가지 인상법으로 하악 총의치를 제작하여 각각의 방법에 따른 총의치의 지지영역 차이 및 유지력과 환자의 만족도를 비교하고자 하였다.
Abstract
In fully edentulous patients with severe mandibular alveolar bone resorption, the retention and stability of a mandibular complete denture may be limited. There are two primary impression techniques for complete denture fabrication: the open-mouth impression technique and the closed-mouth impression technique. These two methods differ in how they achieve retention and stability, and each has its own advantages and disadvantages. The study aims to compare the difference in supporting area, retention, and patient satisfaction between mandibular complete dentures fabricated using two impression techniques: the open-mouth impression technique and the closed-mouth impression technique.
최근 전악 무치악 환자에서 임플란트 식립을 통한 보철치료가 가능해졌으나 환자가 전신적, 경제적인 문제가 있는 경우 임플란트 시술을 받기 어려울 수 있다. 따라서 여전히 무치악 환자의 치료로 총의치를 선택하게 된다. 그러나 치조골 흡수가 심한 완전 무치악 환자에서 총의치는 유지력을 갖기 어렵다.1
완전 무치악 환자의 총의치 인상채득 방법에는 개구 인상법과 폐구 인상법 두가지가 있다. 일반적으로 사용하는 개구 인상법의 경우 의치상의 지지영역을 확대해 넓은 영역에서 치조골에 밀착함으로써 유지와 안정을 얻는다. 하지만 정확한 변연 형성이 어렵고 술자의 기술과 경험에 따라 결과가 달라질 수 있다는 단점이 있다.2
반면 폐구 인상법은 의치상연 주변을 가동점막으로 봉쇄해 연하나 교합 시에 음압을 형성하는 방식으로 의치의 유지와 안정을 얻는다. 이 인상법은 술자에 따라 결과의 차이가 크지 않고 인상채득과 함께 악간관계를 얻음으로써 기존의 방법에 비해 내원 횟수가 줄어든다는 장점이 있다.3 하지만 인상채득 과정에서 술자에 의한 압력 조절이 불가능하고 의치의 변연이 지나치게 과연장될 수 있다는 문제가 있다.4
본 증례의 환자는 하악에서 심한 치조골 흡수를 보였으며 기존 상하악 총의치의 유지력이 낮았다. 개구인상법과 폐구인상법의 두 가지 인상채득법을 통해 새로운 하악 총의치를 제작하기로 했으며 제작한 하악 총의치의 지지영역 차이 및 유지력과 환자의 만족도를 비교해보았다.
본 증례의 환자는 75세 남성으로 의치를 새로 제작하고 싶다는 주소로 내원하였다. 전신 병력으로는 당뇨, 만성폐쇄성 폐질환과 뇌경색이 있어 항혈소판제와 항응고제를 복용 중인 환자였다. 3년 전에 제작한 기존 상하악 총의치는 유지력이 부족해 불편감이 있으며 내면적합도도 낮았다. 또한 수직고경이 낮아 구각부 쳐짐과 구각염이 관찰되었다. 임상 및 방사선학적 검사 시 상하악 모두 무치악 상태이며 치조골이 현저히 흡수된 상태였으며 이외의 이상소견은 발견되지 않았다(Fig. 1-3).
문제목록으로는 상악 전치부의 가동조직(flabby tissue), 수직고경의 상실, 하악 치조골의 비대칭적 흡수 등이 있었고 이를 해결하기 위해 점막의 안정화, 수직고경의 회복, 심미적 안모의 회복을 치료 목표로 하였다. 치료옵션으로 상하악 임플란트 식립을 통한 임플란트 피개의치와 상하악 총의치 제작을 설명하였다. 환자의 재정 상태 및 고령의 나이와 전신상태를 고려하여 상하악 총의치 재제작을 치료방법으로 정하였다.
개구인상법과 폐구인상법을 이용한 치료는 동시에 진행되었으며 첫 번째 내원 시, 알지네이트(Aroma fine plus, GC Co., Tokyo, Japan)와 기성트레이를 이용하여 예비인상을 채득하였다. 진단 모형 제작하고 개인트레이 제작하였다.
두 번째 내원 시 개인트레이와 모델링콤파운드(PERI COMPOUND, GC Co.)를 이용해 변연형성을 시행하였다. 실리콘 고무인상재(Examixfine Regular, GC Co.)를 이용해 개구인상법으로 최종인상 채득하였다. 초경석고(GC FUJIROCK, GC Co., Leuven, Belgium)를 이용해 상하악 주모형 제작하였고 해부학적 지표를 기준으로 기록상 및 교합제 제작하였다(Fig. 4).
세 번째 내원 시 알지네이트와 Frame cut back tray(J Morita Corp., Tokyo, Japan)를 이용하여 폐구 상태에서 예비인상을 채득하였다. 이 때 알지네이트 제작 회사에서 제시한 물과 파우더의 비율에서 물의 양을 20% 증량하여 주사기에 담아 구강 내에 주입하였고, 동시에 물의 양을 20% 감량하여 유동성을 낮춘 알지네이트를 트레이에 담아 구강 내에 시적하였다. 트레이 시적 후 폐구 상태에서 인상채득하였으며 이 방식을 통해 하악 후구치 삼각융기의 변형을 최소화하였다. 진단모형을 제작하고 교합제가 있는 개인트레이를 제작하였다(Fig. 5, 6).
네 번째 내원 시 먼저 개구인상법을 통해 제작한 상하악 교합제를 구강 내에 시적해 Willis법에 따라 수직고경을 결정하였고 centric relation 위치에서 vinylpolysiloxane bite (Bite registration, Zhermack, Italy)를 이용해 중심위 관계기록을 채득하였다. 상악궁의 위치를 기록해 안궁이전하여 반조절성 교합기(Protar evo 7, KaVo Dental GmbH, Biberach, Germany)에 부착하였다.
다음으로 교합제가 있는 개인트레이를 구강 내 시적해 Aluwax (ALUWAX DENTAL PRODUCTS CO., Allendale, USA)를 이용해 임시 교합을 채득하였다. 그 후 기능인상재(Tissue conditioner, Soft-liner, GC Co.)를 트레이 내면에 바르고 구강 내에 시적한 뒤 1차 폐구인상을 시행했다. 폐구 상태에서 우,이 발음을 2회 반복하고 입을 벌려 윗입술을 혀로 핥은 후 다시 폐구하여 혀를 전방으로 밀어내는 동작, 연하동작을 시행했다. 채득한 인상체 내면에 실리콘 인상재(Exadenture, GC Co.)를 도포하여 구강 내 시적하고 1차 폐구인상과 같은 방식으로 2차 인상채득을 시행하였다. 이러한 인상채득 방법은 Katsushi Sato의 책에서 제시하는 내용을 기반으로 하였다.5 이 후 centric relation 위치에서 최종 교합을 채득했다(Fig. 7). 초경석고를 이용해 최종모형 제작하였다. 교합기에 부착된 상악에 맞춰 개구 인상법과 폐구 인상법을 통해 제작한 주모형을 각각 마운팅하였다. 교합기 부착 후 양측성 균형교합이 되도록 인공치를 배열하였다(Fig. 8, 9).
다섯 번째 내원 시 납의치를 구강 내 시적하여 확인하였다. 온성하여 총의치 제작하였고 여섯 번째 내원 시 총의치의 내면 적합을 확인한 후 진료실 재부착을 통해 양측성 균형교합을 형성하고 구강 내에서 다시 한번 교합 조정을 시행하였다(Fig. 10, 11).
두 개의 하악 총의치의 유지력을 객관적으로 비교하고자 실에 무게추를 달아 이를 하악 총의치의 전치부에 걸어 늘어트려 떨어지는 시점을 확인하였다. 10 g, 20 g, 50 g, 100 g의 무게추를 순서대로 매달아 측정했으며 이후에는 50 g씩 무게를 높여 무게추를 달아 탈락하는 시기를 측정하였다. 개구인상법으로 제작한 하악 총의치는 100 g의 무게추를 단 상태에서는 탈락하지 않았으나 150 g의 무게추를 단 상태에서 탈락하였다. 폐구인상법으로 제작한 하악 총의치는 같은 방법으로 측정했을 때 250 g 만큼의 무게추를 달았을 때까지 탈락하지 않았으나 300 g의 무게추를 단 상태에서 탈락했다(Fig. 12). 이는 Jassim 등의 논문을 참고하였으며 그 결과 폐구인상법을 이용해 제작한 총의치의 유지력이 더 좋은 것을 확인했다.6
두 개의 하악 총의치를 각각 2주씩 사용하고 난 후에 환자 만족도에 대한 평가를 시행하였다. 평가표는 Ettore 등의 논문을 참고하여 작성하였다.7 8가지 항목에 대한 만족도를 0 - 10사이의 점수로 표시하도록 하였다(Fig. 13). 두 개의 하악 총의치에 대한 각 평가 항목의 점수와 총 평균 값을 비교해 표로 정리했다(Table 1). 전반적으로 폐구인상법으로 채득한 하악 총의치에서 개구인상법으로 채득한 하악 총의치에 비해 더 만족도가 높았다.
두 가지 방법으로 인상채득하여 제작한 주모형의 지지영역의 차이를 비교하고자 3D 스캐닝 프로그램(exocad DentalCAD; exocad GmbH, Darmstadt, Germany)을 이용했다. 각 모델을 스캔한 후 ridge 상에 동일한 세 지점에 점을 찍어 두 모델을 중첩했다. Fig. 14의 C를 살펴보면 폐구인상법으로 인상채득을 한 모델, 즉 파란색으로 나타난 부위가 우측 buccal shelf, 양측 mylohyoid ridge, 양측 vestibule에서 압력이 덜 가해졌고 따라서 덜 눌렸음을 알 수 있다(Fig. 14). 이는 이전의 Abe가 기존의 인상채득 방식과 흡착을 유도한 인상채득 방식에 따른 비교 논문의 결과와 유사한 것을 확인할 수 있었다.8
본 증례에서 개구인상법과 폐구인상법을 통해 제작한 총의치의 내면을 비교해보면 개구인상법으로 채득해 제작한 총의치에서 후구치삼각융기 부위의 적합도가 더 낮게 나타났다(Fig. 15). 외면을 비교했을 때는 폐구인상법으로 채득한 총의치의 후구치 삼각융기, 후악설골와 부위의 길이가 더 연장되어 있는 것을 확인할 수 있었다(Fig. 16). 폐구인상법을 통해 인상채득을 할 경우 환자 구순의 힘이나 구강 내 근육 및 혀의 운동을 폐구 시에 맞게 반영하고 있어 의치가 구강 내 해부학적 상황에 잘 적합할 수 있음을 알 수 있었다.
3D 모델링 프로그램인 Meshmixer progam을 이용해 모델의 STL file을 중첩해 지지영역의 차이를 다시 한번 확인하였다. 폐구인상법으로 인상채득하여 제작한 모델의 ridge 부위를 선택한 후에 개구인상법으로 채득한 모델의 같은 부위에 중첩시켰다. 중첩한 상태에서 Max. deviation 값을 0.8 mm, 0.6 mm, 0.4 mm, 0.37 mm로 설정한 결과 차이가 있는 영역이 붉은 색으로 표시되었다. 이 값을 0.37 mm 이하로 설정하면 중첩의 기준으로 설정한 ridge에서 차이가 나타나 비교하는데 있어 정확도가 낮아지고, 0.8 mm 이상의 값에서는 0.8 mm로 설정한 경우와 차이가 없었기 때문에 결과에 넣지 않았다. 0.8 mm로 설정한 경우 차이가 나타나는 부위는 우측 buccal shelf, 양측 mylohyoid ridge, 좌측 vestibule 부위이며 0.6 mm로 설정한 경우에서는 0.8 mm로 설정한 경우와 유사한 결과가 나타났다. 0.4 mm로 설정한 경우는 양측 buccal shelf, 양측 mylohyoid ridge, 양측 vestibule과 frenum 부위에서도 차이가 있었다(Fig. 17). 개구인상법에서 변연형성을 통해 지지영역을 넓게 만드는 방식과 비교해 폐구인상법은 차이가 난 부위들에 압력이 덜 가해지고 따라서 점막이나 근육의 움직임이 자연스러운 위치에서 인상채득이 가능하다고 해석하였다.
각 하악 총의치를 장착한 후 2주 뒤에 환자의 구강 내 압통점 부위를 확인했다. 개구인상법으로 제작한 총의치를 사용한 후에는 압통점이 발견되지 않았고 폐구인상법으로 제작한 총의치 사용 후에는 양측 후구치 삼각 융기 설측에 압통점이 발견되었다. 압통점 부위의 총의치 내면을 조정한 후에는 불편감 없이 사용하였다. 폐구인상법을 통한 인상채득 시에 점막에 압력이 덜 가해졌을 것으로 판단했기 때문에 폐구인상법을 통해 제작한 총의치를 사용했을 때 압통점이 덜 발생할 것으로 예상하였으나 구강 내 압통점 부위와 인상채득 시 압력이 가해진 부위가 일치하지는 않았다. 단단한 음식의 저작, 발음이나, 심미성에서는 두 총의치에 대한 환자의 만족도는 같았으나 부드러운 음식의 저작, 유지력, 식사나 발음 시의 안정성, 의치 적합도에서는 폐구인상법을 통해 제작한 총의치의 만족도가 더 높았다. 즉 무게추를 이용한 평가와 환자의 주관적인 평가 모두에서 폐구인상법을 이용해 제작한 총의치의 유지력이 우수했음을 알 수 있었다. 이후 3개월 뒤 검진 시에는 환자는 폐구인상법으로 제작한 총의치만 사용하고 있었고 유지력도 3개월 전에 비해 감소하지 않았다.
폐구인상법을 이용해 제작한 총의치는 점막에 과도한 압박을 가해 혈액 공급이 줄어들어 치조제의 흡수가 가속화될 가능성이 있다.9 따라서 치조제의 흡수가 심한 환자에서 임플란트 식립 후 피개의치를 제작하는 것이 환자에게 더 좋은 치료 방법이 될 수 있다. 그러나 전신적, 경제적 문제로 임플란트 식립이 어려운 환자에서 기존 방식으로 총의치를 제작하는 것보다는 폐구인상법을 이용해 총의치를 제작하는 것이 유지력을 증가시킬 수 있기 때문에 대안이 될 수 있을 것으로 사료된다.
하악의 잔존치조제 흡수가 심한 환자에서 개구인상법과 폐구인상법을 이용해 제작한 하악 총의치의 지지영역의 차이, 유지력 및 환자의 만족도를 비교하였다. 폐구인상법은 개구인상법에 비해 총의치의 지지영역이 폐구상태의 편안한 점막 및 근육의 위치를 그대로 반영하며, 이 방법으로 제작한 총의치의 유지력과 환자의 만족도가 개구인상법에 비해 더 높았다. 본 증례의 환자는 두 하악 총의치를 사용해본 결과 최종적으로 폐구인상법을 통해 제작한 총의치를 사용하기로 결정하였다. 잔존치조제의 흡수가 심한 환자에서 폐구인상법을 사용한 총의치 제작을 치료 방법의 하나로 고려해볼 수 있을 것으로 생각된다.
References
1. Zarb GA, Bolender CL, Eckert SE, Fenton AH, Jacob RF, Mericske-Stern R. Prosthodontic treatment for edentulous patients: Complete dentures and implant-supported prestheses. 12th ed. St. Louis: Mosby;2004. p. 24–33. p. 73–99.
2. Collett HA. 1970; Final impressions for complete dentures. J Prosthet Dent. 23:250–64. DOI: 10.1016/0022-3913(70)90180-0. PMID: 4905179.
3. Abe J, Kokubo K, Sato K. Mandibular Suction-effective denture and BPS: A complete guide. Tokyo: Quintessence Publishing Co. Ltd.;2012. p. 46–78.
4. Cho IH, Kwon KR, Kwon HB, Kim MH, Lee CH, Jeong CM, Park CJ, Park SW, Lee JH, Cho HW, Kim HJ, Moon HS, Chung MK, Chung CH, Lim YJ, Lee JS, Song KW, Han CH. Prosthodontic treatment for edentulous patients. 2nd ed. Seoul: Dental Wisdom;2014. p. 98–145.
5. Sato K. What is Suction Denture? Tokyo: Dental Diamond Co.;2014. p. 32–57.
6. Jassim TK, Kareem AE, Alloaibi MA. 2020; In vivo evaluation of the impact of various border molding materials and techniques on the retention of complete maxillary denture. Dent Med Probl. 57:191–6. DOI: 10.17219/dmp/115104. PMID: 32649808.
7. Epifania E, Sanzullo R, Sorrentino R, Ausiello P. 2018; Evaluation of Satisfaction Perceived by Prosthetic Patients Compared to Clinical and Technical Variables. J Int Soc Prev Community Dent. 8:252–8. DOI: 10.4103/jispcd.JISPCD_27_18. PMID: 29911064. PMCID: PMC5985683.
8. Abe J. 2010; Difference of preliminary impression takings between conventional mandibular complete denture and the mandibular complete denture intended with effective suction. Pract Prosthodont. 43:510–24.
9. Tallgren A. 1972; The continuing reduction of the residual alveolar ridges in complete denture wearers: a mixed-longitudinal study covering 25 years. J Prosthet Dent. 27:120–32. DOI: 10.1016/0022-3913(72)90188-6. PMID: 4500507.
Fig. 2
Intraoral photograph before treatment. (A) Upper view, (B) Right side view, (C) Frontal view, (D) Left side view, (E) Lower view.
Fig. 4
Border molding, final impression and Definitive cast. (A) Border molding on upper indivisual tray, (B) Border molding on lower indivisual tray, (C) Upper final impression body, (D) Lower final impression body, (E) Upper definitive cast, (F) Lower definitive cast.
Fig. 5
Mandibular preliminary impression. (A) Frame cut back tray, (B) Mandibular alginate impression.
Fig. 7
Closed-mouth impression technique. (A) Centric relation bite, (B) 1st impression, (C, D) 2nd impression.
Fig. 8
Articulator mounting. (A) Open-mouth impression technique, (B) Closed-mouth impression technique.
Fig. 9
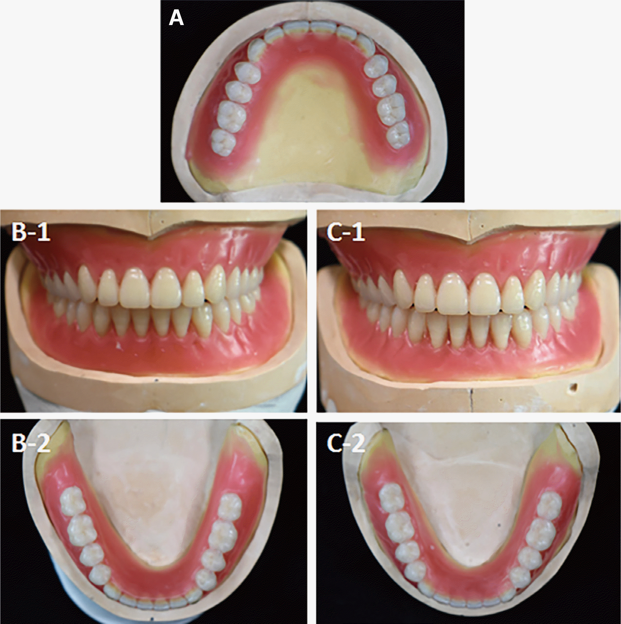
Artificial teeth arrangement. (A) Maxillary complete denture, (B-1, B-2) Open-mouth impression technique, (C-1, C-2) Closed-mouth impression technique.
Fig. 10
Clinical remounting. (A) Definitive denture (Open-mouth impression technique), (B) Definitive denture (Closedmouth impression technique).
Fig. 11
Definitive denture delivery. (A) Definitive denture (Open-mouth impression technique), (B) Definitive denture (Closed-mouth impression technique).
Fig. 12
Comparison of retention using balance weight. (A) Definitive denture (Open-mouth impression technique), (B) Definitive denture (Closed-mouth impression technique), (C) Balance weight.
Fig. 13
The questionnaire filled in by the patient: 8 questions to assess the patient's satisfaction with the two lower dentures, with a score between 0 and 10.
Fig. 14
Definitive impression model scan. (A) Definitive model (Open-mouth impression technique) scan, (B) Definitive model (Closed-mouth impression technique) scan, (C) Overlap of (A) and (B).
Fig. 15
Tissue surface of definitive dentures fabricated by two impression techniques (A) Definitive denture (Open-mouth impression technique), (B) Definitive denture (Closed-mouth impression technique).
Fig. 16
Flange extension of definitive dentures fabricated by two impression techniques (A, C) Definitive denture (Open-mouth impression technique), (B, D) Definitive denture (Closed-mouth impression technique).
Fig. 17
Comparison of definitive model fabricated by two impression techniques (A) Approximation, (B) Ridge area selection for alignment, (C) Alignment, (D) Max. deviation: 0.8 mm, 0.6 mm, 0.4 mm, 0.37 mm (Left to Right).
Table 1
After treatment, patient’s satisfaction of open- mouth impression technique denture and closed- mouth impression technique denture



PDF
Citation
Print



XML Download