초록
엇갈린 교합을 가진 부분무치악 환자는 의치의 지지, 유지, 안정이 불량하고 회전으로 인한 잔존 지대치의 예후도 불량하다. 이 경우 적절한 수평 및 수직 악간관계를 설정하고 안정적인 교합평면과 교합접촉을 형성하기 위해 이중관 국소의치를 이용하면 수복공간 확보 및 기능적, 심미적인 치료 결과를 얻을 수 있다. 본 증례는 하악 전돌과 습관성 폐구위에서 대합되는 치아가 없어 전후방 엇갈린 교합을 가진 환자에서 이중관 국소의치를 이용하여 구강회복을 시행하였다. 모형 분석과 디지털 진단을 시행 후 임시보철물 형태의 템플릿을 제작하여 직관적이고 적절한 수직고경의 설정 및 안모평가를 시행하였고, 치료 및 기공 과정에 반영하여 제작한 최종 보철물로 적절한 기능과 심미를 회복할 수 있었기에 이를 보고하는 바이다.
Abstract
Partially edentulous patients with a crossed occlusion have poor denture support, retention, and stability. Moreover, residual abutments showed a poor prognosis due to denture rotation. The use of a conical double crown removable partial denture to establish proper horizontal and vertical interocclusal relationships, it can establish a stable occlusal plane and occlusal contacts providing a sufficient restorative space and a favorable functional and aesthetic outcome. In this case, a patient with an anterior-posterior crossed occlusion with mandibular prognathism and no occluding teeth in habitual centric position was treated with a conical double crown removable partial denture. After diagnostic cast analysis and digital diagnosis, provisional prosthesis templates were fabricated. It was possible to intuitive and appropriate vertical dimension determination and esthetic evaluation were performed. Definitive prosthesis with proper function and aesthetics can be fabricated by the digital and conventional treatment process.
이중관 국소의치는 내관과 외관이 다양한 기전에 의해 유지되는 방식의 국소의치로, 내관은 지대치나 임플란트에 고정되고 외관은 가철성 보철물에 부착되어 있다.1 이중관은 내관 축면의 각도를 0도인 원통형으로 제작하여 마찰력을 이용하는 텔레스코프관(telescopic crown), 4 - 8도의 각도를 부여하여 쐐기효과(wedging effect)를 이용하는 원추관(Konus crown, conical crown), 이중관 사이에 공간(clearance fit)을 주어서 삽입 철거 시 마찰력이나 쐐기효과가 없으며 부가적인 어태치먼트(attachment)를 이용해 유지를 얻을 수 있는 하이브리드 텔레스코프관(hybrid telescopic crown)으로 분류된다.2 각각의 이중관 의치는 장단점이 있는데, 텔레스코프관은 내관과 외관 사이가 견고한 상호관계를 이루지만 기공과정이 어렵고 장착기간에 따라 유지력이 감소될 수 있다. 원추관은 유지력의 조정이 가능하고 삽입 및 제거에 따른 마모가 일어나지 않아 유지력이 장기간 지속된다.2 하이브리드 텔레스코프관은 특수한 장치를 이용해야 하므로 사용이 제한된다.
이중관 의치는 우수한 유지와 지지를 보이고 의치를 장착한 후 얻는 견고한 연결고정(splinting) 효과와 기존의 국소의치에 비해 더 나은 응력분포로 인해 치조골 흡수 방지효과를 나타낸다.3 또한 기존의 클라스프 국소의치에 비해 위생성이 뛰어나 높은 생존률을 보이며 클라스프가 노출되지 않아 심미성도 적절하여 환자의 만족도가 높다고 보고된다.4 특히, 소수 잔존치 혹은 치주적으로 불리한 지대치를 가진 증례의 경우 전통적인 가철성 국소의치의 예후가 불량하여, 이중관 의치가 성공적인 치료의 대안이 되어 왔다.5
그러나 이중관 의치도 합병증을 나타내며 예후에 관한 여러 문헌이 보고되었는데, 지대치의 합병증으로는 내관의 탈락으로 인한 재합착(32%), 이차 우식(26.9) 등이 주로 발생하였고,6 의치의 합병증으로는 외관의 전장재료(facing) 탈락(22%), 유지력 저하(18%) 및 의치상 파절(16%)이 많이 발생하였다고 한다.7 따라서 합병증을 극복하기 위한 고려사항을 치료단계에서 반영해서 치료를 진행해야 한다.
일반적인 의치제작 시 초기 진단과정에서 최종적인 결과를 예측하기 힘들다는 한계를 가지고 있다. 하지만 최근 디지털 기술의 발전으로 computer aided design-computer aided manufacturing (CAD-CAM) 소프트웨어 상의 가상공간에서 가상환자의 생성을 통해 보철물의 제작 후 안모변화를 예측할 수 있게 되었다. 치과진료에서 디지털 워크플로우는 CAD-CAM 소프트웨어와 스캐너 등의 디지털 데이터 습득장치를 이용하여 가상의 환경에서 진단 및 치료 계획을 수립하고 시행하는 것이다. 우선 안면스캐너를 이용해 채득한 연조직의 외형 및 방사선 데이터나 환자의 구강 내 정보를 통해 생성한 STL 파일을 정합하여 가상의 환자를 생성한다. 이를 통해 제작한 치과 보철물을 가상의 환자에게 적용하면 기존의 전통적인 교합기 상에서 보철물을 제작하는 과정에 비해, 복잡한 구강내 상황을 가진 환자에게 치료의 한계를 설명하고 현실적으로 가능한 치료의 범위를 제시하여 치료 시작에 앞서 서로의 의사소통을 증진시키는 도구가 될 수 있으며 심미성과 기능을 보다 용이하게 평가할 수 있다.
본 증례는 다수 치아의 상실로 전후방 엇갈린 교합을 가진 환자에서 진단 및 치료과정의 일부에 디지털 워크 플로우를 적용하여 그 장점을 활용하였고, 이중관 국소의치 수복 치료를 시행한 결과, 기능 및 심미적인 면에서 만족할 만한 성과를 얻었기에 이를 보고하는 바이다.
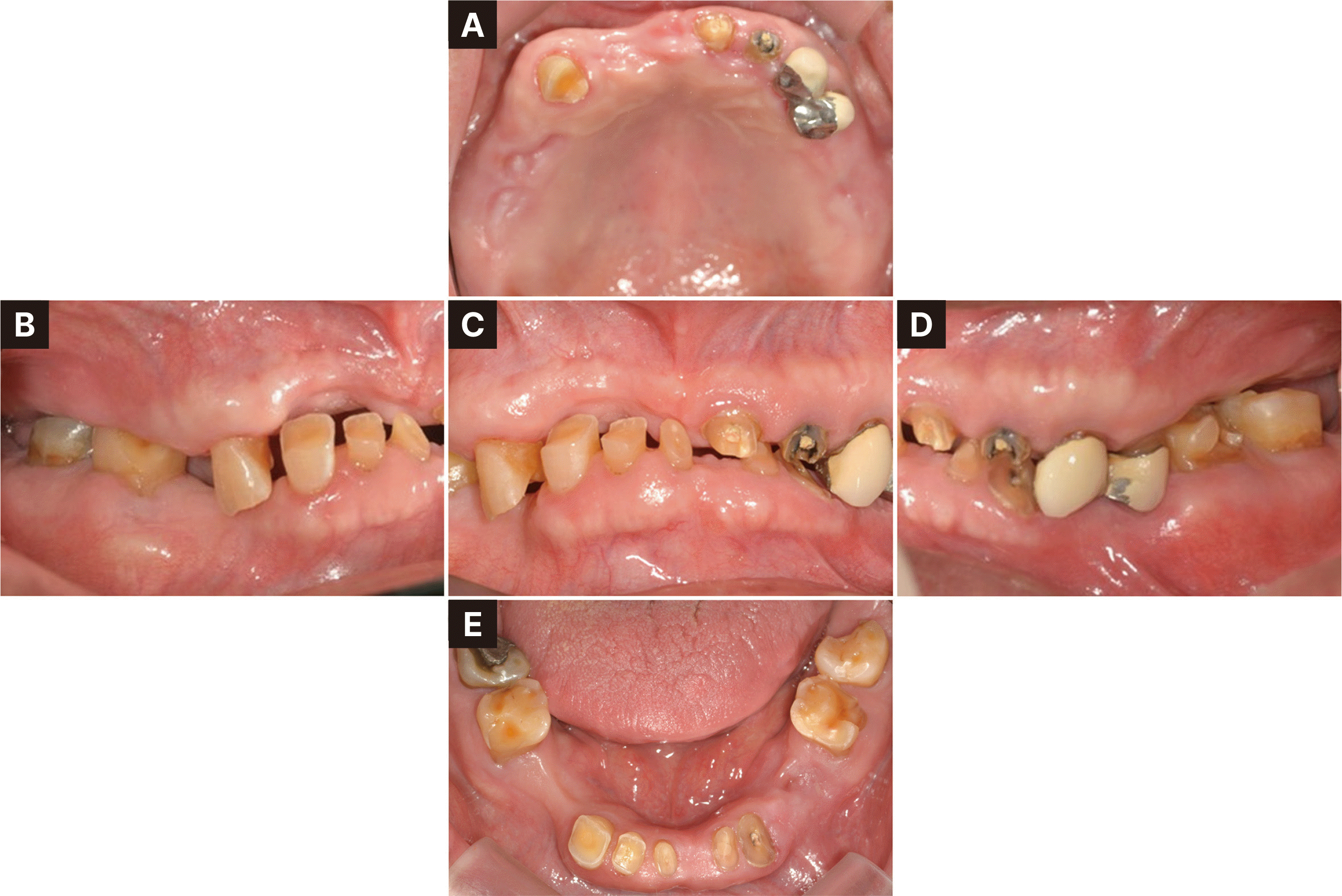
82세 남자로 다수 치아의 상실을 주소로 내원하였다. 의과력으로 고혈압, 당뇨 및 협심증 병력을 가지고 있었고, 특이할 만한 치과적 병력은 없었다. 파노라마 방사선사진 검사에서 다수의 치아 상실과 전반적인 치조골 소실을 보이나, 잔존한 치아 중 상악 양측 견치와 하악 대구치의 골지지는 양호하였으며, 대구치와 전치들의 치관파절이 있었다(Fig. 1). 좌측 턱관절에서 2016년에서 2020년까지 골변화가 의심되는 소견을 보였다. 그러나 턱관절의 통증과 불편감을 보이지 않았고 임상적으로 안정적인 턱관절 움직임을 나타내어, 적응된 턱관절 관계로 판단하여 보철치료 진행을 결정하였다. 구외 안모평가 시 발달된 저작근과 하악이 전돌된 안모를 가지고 있었다(Fig. 2). 구내 검사 시 습관성 폐구위에서 교합되는 치아가 없었으며 이에 따라, 잔존 치아들이 치조제 점막에 대합되어 뚜렷한 압흔이 관찰되었다(Fig. 3).
비가역성 하이드로콜로이드(Aroma Fine Plus, GC Co., Tokyo, Japan)를 이용하여 예비인상을 채득하여 진단모형을 제작하고, 중심위에서 알루왁스로 악간관계기록 채득 및 안궁이전을 시행하여 반조절성 교합기에 중심위 악간관계기록을 이용하여 부착하였다. 진단모형 분석 시 잔존 치근들은 지대치로 사용하기에 치질이 불충분하였으며, 그 외의 치아들도 전부관이 필요할 정도의 파절과 마모양상을 가지고 있었다(Fig. 4). 또한 구치부 지지를 상실한 전후방으로 엇갈린 교합상태를 보이며, 교합지지영역이 없는 Eichner’s index category C-1으로 분류되었다.8 Willis법을 이용한 안모분석비율과 교합안정거리(interocclusal rest distance) 측정 시 하안모가 짧았고 교합안정거리는 6 mm로 수직고경의 감소가 있다고 판단하였다(Fig. 5).
종합적으로 환자의 상태를 평가하였을 때, Turner와 Missirlian9이 교합수직고경과 관련하여 제시한 세 가지 분류 중 ‘교합수직고경이 감소하고, 전치부의 수복공간이 부족한’ category 1 상태라고 볼 수 있었다.9,10 따라서, 교합고경을 거상하여 적절한 교합평면과 안정적인 교합접촉을 이루고, 기능과 조화를 이루는 심미적인 보철수복을 치료 목적으로 설정하였다.
보철 치료 전 하악 좌측 견치를 제외한 잔존 치근을 발거하고, 교합안정거리를 기준으로 중심위기록을 채득하여 임시의치를 장착하였다(Fig. 6). 이후 상악 기존 보철물 철거 시, 심한 이차우식으로 제1소구치를 추가 발거하였다. 환자의 의과력과 경제적 이유로 임플란트 치료를 원하지 않아 가철성 보철치료를 계획하였다. 하악의 경우 Kennedy Class IV 부분무치악으로 전방 부위의 지지를 얻기 위하여 견치 치근을 이용하여 자성 어태치먼트를 설계하였다. 상악의 경우 전통적인 클라스프 국소의치와 이중관 의치를 고려할 수 있었으나 Kennedy Class I 부분무치악에서 국소의치 설계 시 양측 견치가 고립지대치가 되며, 전후방 엇갈린 교합에 의한 의치의 회전과 불안정성이 우려되었다. 따라서 이중관의치가 더 유리한 치료방식으로 생각되어 선택하였다.
진단을 위해 안면스캔(SNAP, DOF, Seoul, Korea) 및 악간관계기록을 채득하였고, CAD 소프트웨어 프로그램(Exocad Dental CAD, Exocad GmbH, Darmstadt, Germany) 상에서 안면스캔 파일과 모델스캔 파일을 정합하여 교합평면을 설정하였다(Fig. 7). 그 후 가상교합기에 부착하여 교합수직고경을 조절할 수 있도록 하였다. 기존 수직고경에서 소구치부 기준으로 5, 6, 7 mm를 거상하여 하악 진단 납형을 고정한 채로, 상악의 높이를 조정하여 세 가지 고경의 진단납형을 설정하였다(Fig. 8). 3D 프린터를 사용하여 세 가지 고경의 상, 하악 진단용 레진 템플릿(resin template)을 시적하고, 안모와 /s/발음을 평가하여, 가장 자연스러운 안모와 발음을 보인 높이인 6 mm를 최종 고경으로 결정하였다.
상악 지대치 형성 시, 가능한 많은 잔존 치질을 보존하고 치수생활력을 유지하기 위해 레진 템플릿을 가이드로 사용하였으며(Fig. 9A), 인상채득 후 내관 제작을 위한 악간관계기록은 선택된 레진템플릿을 사용하여 채득하였다(Fig. 9B). 이후 교합기에 부착한 후 공간을 평가하여 텔레스코프관의 종류를 결정하였다. 이 증례에서는 충분한 공간이 확보되어 전장형 원추관(veneered conical crown)을 계획하였다. 지대치 형성 후 임시의치는 임시 고정성 보철물의 잦은 탈락을 해결하기 위하여, 임시치아 일체형으로 수리하였다. 이는, 고령의 위축된 치수조직으로 인해 즉시 상아질 봉쇄 후 시린 증상을 보이지 않았기에 가능하였다. 내관 제작 시 적정 유지력을 위해 6도의 원추각을 설정하였으며, 구강내에 내관을 시적하고 픽업인상을 채득하였다.
상악의 외관과 하악 서베이드 크라운 제작을 위한 악간관계기록 채득 및 안궁이전을 시행하고 진단용 템플릿의 치아배열을 참고하여 외관을 제작하였다. 레진 페이싱의 탈락을 방지하기 위한 유지형태를 부여하였고, 원추관의 쐐기효과를 통한 유지력 확보를 위해 내관 교합면과 외관 내면 사이에 간격이 존재하도록 하였다. 의치의 지지 및 강도 강화를 위해 구개판형 주연결장치를 설계하고, 구강내에서 외관과 금속구조물을 연결한 뒤 레이저로 연결(welding)하였다. 하악 지대치에 서베이드 크라운을 합착한 후 기능인상을 채득하였으며, 금속구조물과 교합제를 제작하여 최종악간관계를 기록하였다.
인공 치아를 배열하고 납의치를 시적하였을 때, 자연스러운 미소선을 보이며 수직 고경 감소로 인해 오목했던 안모가 개선되어 직선형 측모를 보임을 확인하였다(Fig. 10). 최종의치 장착 시, 내관을 합착하고 의치의 교합조정을 시행하였으며, 1주일 후 하악 의치에 자성 어태치먼트를 부착하였다(Fig. 11). 재내원 시 내외관 축면에서의 적절한 접촉과 교합면간 간격 보였으며, 적절한 유지력을 확인하였다. 6개월과 1년 재내원 시 의치의 기능은 만족스러웠으며, 상악 인공치의 마모에 의한 수직고경 상실과 잔존치의 합병증을 방지하기 위하여, 대구치부 인공치의 금속교합면 교체를 권장하였으나 환자의 경제적 이유로 시행을 하지 못하여 주기적인 인공치 교체를 시행할 예정이다.
본 증례의 환자는 상악의 긴 무치악 부위와 단단한 점막을 가져 이중관 의치의 적응증에 해당되었고, 전치부 2점 지지로 비교적 예후가 좋은 상황이었다. 이중관 의치는 일반적인 국소의치에 비해 높은 생존율을 보이지만, 복잡한 제작과정을 거쳐야 하므로, 적절한 지대치를 선택하고 이중관의 종류를 결정하여 계획해야 한다. 이중관 의치의 비적응증은 점막이 단단하지 못하거나 대각선이나 대칭으로 분포하여 의치의 회전 운동을 유발하는 소수의 잔존치가 있는 경우이며, 적응증은 긴 무치악 부위와 단단한 점막을 가지는 것이다.11 Köber12의 분류에서 4점 지지, 2점 지지, 3점 지지, 1점 지지 순서로 좋은 예후를 가지는데, 동일한 2점 지지 상황이라면 지대치가 전치부에 위치하는 것이 예후가 좋다고 한다. 지대치를 선택할 때는 지대치의 위치, 치수생활력, 대합치, 동요도 등을 고려해야 하는데, 가능한 대합치가 존재하는 부분에 위치한 치아를 선택하여 지지를 형성해야 한다. 지대치는 동요도가 적고 생활치인 것이 좋다. 이 증례에서는 치근이 길고 생활치이며 대합치 치근이 존재하여 기능적으로 적절한 치아라고 판단하였다.
본 증례에서는 적정 유지력을 갖기 위해 상악에서는 6도의 원추각을 설정하였다. 이중관 종류를 선택하기 위해서는 원추관과 텔레스코프관의 특성을 이해해야 한다. 텔레스코프관은 유지력을 조절하기 힘들며 마찰력이 오래 유지될 수 있는 안정적인 지지가 확보되는 상황에서 설계해야 하지만, 원추관은 각도를 부여하여 유지력을 조절할 수 있다. 전치에서는 치아의 형태로 인해 긴 길이의 내관을 확보할 수 없으며 길이 확보를 위해서는 과풍융한 외관을 얻기 때문에 원추형 이중관 의치를 선택하였다. 또한 하악에는 견치에 자성 어태치먼트를 설계하여 전방부에서 지지를 얻어 전방연장 의치의 회전에 의한 유지력 감소를 최소화하려고 하였다.12
이중관 의치의 다양한 합병증을 극복하기 위하여 임상 및 기공과정에 주의를 기울여야 한다. 본 증례에서는 생활치를 유지하기 위해 노력하였는데, 실활치의 경우 치질의 강도나 유지력이 부족할 가능성이 높으며 치근의 파절, 내관 탈락 등이 우려되므로 지대치의 생활력을 유지하는 것이 예후 향상에 중요한 요인이다.13 치아형성을 여러 번에 나눠 시행하여 유지력을 향상시켰고 패턴 레진을 이용하여 내관의 적합도를 향상시켰다.11 또한 합착 시에는 치아이동으로 인한 위치변화의 가능성이 있을 경우 합착의 오류가 있을 수 있으므로 내관을 단독으로 합착하였다. 내관과 외관 사이의 유지력은 과도하지 않도록 적절하게 조정하였다.11,13 원추관은 내관과 외관의 접촉이 축면이 아닌 교합면에서 생기는 경우에 유지력의 저하가 발생하므로 제작 시 내관의 교합면과 외관의 내면에서 적절한 간격을 확보하였다. 빈번한 합병증의 하나인 전장 재료의 탈락을 방지하기 위해 외관에 유지기전을 부여하고 중심교합 및 측방 교합이 금속부분에서 이루어지도록 교합접촉을 설정하였다.
본 증례에서는 디지털 기술의 장점을 살려 임시보철물 형태의 템플릿을 제작하여 적용하였다. 진단과정에서는 디지털 워크플로우를 도입하여 환자의 안모, 구내정보를 CAD에서의 중첩을 통해 하나로 통합해서 가상환자를 생성하였다. 이러한 가상환자를 활용한 CAD 상에서의 다양한 진단 납형을 제작하여 보철물의 디자인을 미리 평가하고 구내에서의 조정을 최소화하면서 환자의 만족도와 외형을 평가할 수 있었다. 이런 과정은 환자와의 의사소통에 효율적으로 사용할 수 있고 손쉽게 수정할 수 있어 활용도가 높다고 사료된다.
본 증례에서는 최종적인 수직고경을 결정하기 위해 CAD 프로그램 상에서 세 가지 수직 고경을 설정하고 진단납형을 형성하여 래진 템플릿을 3D 프린팅하여 구내에 시적하였다. 이를 통해 수직고경별로 안모 평가, 교합면간 거리 설정, /S/발음 평가를 시행하였다. 안모평가는 치아로 지지되는 상순이 푹 꺼진 모습을 보이거나 입꼬리가 아래로 처친 모습, 심한 주름 등이 나타나면 수직고경 감소의 증거로 평가한다. 하지만 주름은 피부 상황에 따라 다르기 때문에 보조적인 기준으로만 사용되어야 한다. 교합면간 거리평가는 가장 많이 사용되며 안정 시 교합고경과 중심교합 시 교합고경의 차이가 2 - 4 mm 정도인지 확인하는 방식이다. 발음 평가는 /S/발음을 할 때 치아가 1 mm 이내로 근접하지만 닿지 않는다면 VD가 적절하다고 평가한다. 본 증례에서는 VD를 기준으로 6 mm를 거상하였다. 이는 상순의 지지가 가장 자연스럽고 입꼬리가 쳐지지 않으며, 발음 평가 시 치아가 1 mm 이내로 근접하지 않고, 교합안정공극이 2 mm로 나타나 가장 적절한 수직고경으로 판단하였다.
레진 템플릿을 통한 구내시적 과정은 직선형의 교합제보다 실제 치아배열이 반영된 다양한 템플릿을 적용할 수 있어 보다 직관적이고 효율적인 평가가 가능하므로 적절한 수직고경을 설정할 수 있었다. 제작한 레진 템플릿은 상악 지대치 삭제 시의 가이드로도, 내관의 악간 관계 기록에도 사용되었으며, 외관을 위한 납형을 제작할 때도 템플릿의 치아배열을 참고하여 시행하였다. 이러한 방식으로 진단과정 및 이후 치료와 기공과정에 사용되어 전반적인 치료 효율성을 높일 수 있었다. 레진 템플릿을 임시의치로 사용할 때의 효과 또한 기대해 보았으나 3D 프린팅 재료의 약한 강도를 보상하기 위한 두꺼운 의치상 두께로 인한 불편감과 하악 클라스프 유지력 조정의 한계로 환자는 전통적 방식의 임시의치를 선호하였다(Fig. 12). 이는 기존 방식의 의치(80%)에 비해 1/4 정도로 낮은 CAD-CAM 의치(20%)의 선호도와 연관되어 있다.14 불충분한 기계적 물성, 의치에 대한 낮은 만족도, 상대적으로 높은 불편감 등의 원인으로 가철성 영역에서 디지털 기술의 개선이 필요하지만, 그럼에도 불구하고 구내조정의 불편감을 최소화하면서 임시보철물을 시적하여 최종보철물 형태 결정을 위한 정보를 얻거나 환자의 심미적 만족도를 평가하는데 유용하게 사용될 수 있었다.
본 증례의 환자 의치는 장착 후 정기점검에서 안정적으로 기능하고 있었으나 장기간의 성공적인 예후를 위해서는 잔존 지대치와 의치의 유지 관리가 필수적이다. 정기적으로 유지관리가 되지 않은 의치를 지속적으로 사용하면 환자의 통증과 불편 뿐만 아니라 지대치나 연조직의 손상까지 유발할 수 있으므로 의치를 사용하고 있는 환자의 증상을 보고 원인에 맞는 처치를 정기적으로 해주어야 한다. 이중관 국소의치는 일반적인 의치 조정 외에도 인공치나 전장재료 수리와 같은 장기적 유지관리에 주의해야 한다. 이를 위해 항상 교합면 조정을 먼저 시행하였고 대합치와의 교합접촉이 상실되지 않는지 확인하였다. 이 증례에서 의치상의 조정량은 크지 않았으나 필요할 경우 이에 맞는 조정을 해주었다. 또한 의치 세척과 지대치 청결에 대한 환자 교육을 철저히 시행하였다. 지대치의 유지관리를 위해 정기점검 시에 구치부의 교합이 적절히 유지되는지 확인하였다. 또한 치간관리 교육을 시행하여 위생관리 수준이 양호하게 유지되도록 강조하였다. 추후 대구치부 인공치 마모로 인한 교합고경 상실을 방지하기 위해 금속교합면으로 교체하거나 주기적인 인공치 교체를 해야 좋은 예후를 가질 것으로 사료된다.
References
1. Isaacson GO. 1969; Telescope crown retainers for removable partial dentures. J Prosthet Dent. 22:436–48. DOI: 10.1016/0022-3913(69)90211-X. PMID: 4897479.
2. Wenz HJ, Lehmann KM. 1998; A telescopic crown concept for the restoration of the partially edentulous arch: the Marburg double crown system. Int J Prosthodont. 11:541–50.
3. Dede DÖ, Cenk Durmuşlar M, Şahın O, Köroğlu A, İşısağ Ö. 2015; Telescopic Overdenture and Implant Supported Fixed Partial Denture: A Pragmatic Treatment Approach. Case Rep Dent. 2015:392397. DOI: 10.1155/2015/392397. PMID: 26106491. PMCID: PMC4461731.
4. Langer A. 1980; Telescope retainers and their clinical application. J Prosthet Dent. 44:516–22. DOI: 10.1016/0022-3913(80)90070-0. PMID: 7003109.
5. Langer A. 1981; Telescope retainers for removable partial dentures. J Prosthet Dent. 45:37–43. DOI: 10.1016/0022-3913(81)90009-3. PMID: 7007624.
6. Bergman B, Ericson A, Molin M. 1996; Long-term clinical results after treatment with conical crown-retained dentures. Int J Prosthodont. 9:533–8.
7. Wagner B, Kern M. 2000; Clinical evaluation of removable partial dentures 10 years after insertion: success rates, hygienic problems, and technical failures. Clin Oral Investig. 4:74–80. DOI: 10.1007/s007840050119. PMID: 11218504.
8. Eichner K. 1990; Renewed examination of the group classification of partially edentulous arches by Eichner and application advices for studies on morbidity statistics. Stomatol DDR. 40:321–5. DOI: 10.1007/978-3-663-13215-8_4.
9. Turner KA, Missirlian DM. 1984; Restoration of the extremely worn dentition. J Prosthet Dent. 52:467–74. DOI: 10.1016/0022-3913(84)90326-3. PMID: 6389829.
10. Abduo J, Lyons K. 2012; Clinical considerations for increasing occlusal vertical dimension: a review. Aust Dent J. 57:2–10. DOI: 10.1111/j.1834-7819.2011.01640.x. PMID: 22369551.
11. Park HS. Telescopic removable partial denture. Seoul: Charmyun Pub.;2004.
12. Korber K. Konuskronen. (Woo IH, Trans.). Seoul: Shinhung International;1983. p. 15–86.
13. Goto T. Clinical Konus telescope (Choi DG, Vang MS, Trans.). Seoul: Narae Pub.;1998. p. 7–13.
14. Ohara K, Isshiki Y, Hoshi N, Ohno A, Kawanishi N, Nagashima S, Inoue M, Kubo D, Yamaya K, Inoue E, Kimoto K. 2022; Patient satisfaction with conventional dentures vs. digital dentures fabricated using 3D-printing: A randomized crossover trial. J Prosthodont Res. 66:623–9. DOI: 10.2186/jpr.JPR_D_21_00048. PMID: 35082225.
Fig. 3
Pre-operative intraoral photographs. (A) Maxillary occlusal view, (B) Right lateral view, (C) Frontal view, (D) Left lateral view, (E) Mandibular occlusal view.
Fig. 4
Diagnostic cast analysis in tentatively increased occlusal vertical dimension. (A) Maxillary occlusal view, (B) Right lateral view, (C) Frontal view, (D) Left lateral view, (E) Mandibular occlusal view.
Fig. 5
Vertical dimension evaluation. (A) Facial appearance evaluation, (B) Interocclusal rest distance evaluation (centric occlusion), (C) Interocclusal rest distance evaluation (physiologic rest position).
Fig. 7
Digital diagnostics using face scans. (A) Face scan, (B) Model aligning, (C) +5 mm increased vertical dimension, (D) +6 mm increased vertical dimension. (E) +7 mm increased vertical dimension.
Fig. 8
Evaluation of vertical dimension and facial esthetics using resin templates. (A) Resin template, (B) +5 mm increased vertical dimension, (C) +6 mm increased vertical dimension, (D) +7 mm increased vertical dimension.
Fig. 9
Clinical application of resin templates. (A) Guide for abutment preparation, (B) Recording interocclusal relationship for inner crown fabrication.
Fig. 10
Extra-oral evaluation in wax denture try-in. (A) Frontal view, rest, (B) Frontal view, smile, (C) Lateral view.
Fig. 11
Intraoral photograph after the placement of definitive restorations. (A) Working side during right lateral excursion, (B) Maxillary occlusal view, (C) Non-working side during right lateral excursion, (D) Left lateral view at centric occlusion, (E) Frontal view at centric occlusion, (F) Right lateral view at centric occlusion, (G) Non-working side during left lateral excursion, (H) Mandibular occlusal view, (I) Working side during left lateral excursion.



PDF
Citation
Print



XML Download