Abstract
Objectives.
Nasal valve surgery for internal nasal valve (INV) compromise has become increasingly popular. However, this rise in popularity has sparked debates regarding its indications and disputes over insurance coverage, primarily due to the lack of a gold-standard evaluation method. Therefore, we aimed to identify objective parameters for the INV compromise.
Methods.
We analyzed 186 INVs in 93 patients who underwent nasal valve surgery. The data comprised facial computed tomography (CT) images, acoustic rhinometry, the modified Cottle test, and symptom scores. Patients were categorized based on their symptoms and the results of the modified Cottle test. We measured the INV angle, area, volume, lateral wall thickness, septal angle, and nasal bone area using CT.
Results.
The compromised INV group, characterized by nasal obstruction with a positive modified Cottle test, exhibited smaller INV areas in both coronal and axial views, reduced INV volume in the axial view, and a thinner lateral wall in the coronal view (all P<0.05). Acoustic rhinometry indicated a smaller minimal cross-sectional area and volume in the compromised INV group (both P<0.001). Regression analysis demonstrated significant associations between a compromised INV and reduced INV area on the axial view, as well as the minimal cross-sectional area measured by acoustic rhinometry.
The internal nasal valve (INV) is the narrowest part of the nasal cavity and consequently presents the greatest resistance to airflow [1,2]. Anatomically, the INV is a three-dimensional (3D) space located beneath the upper lateral cartilage, bordered medially by the septum, laterally by the upper lateral cartilage, and inferiorly by the head of the inferior turbinate [1]. The angle of the INV, formed between the upper lateral cartilage and the septum, typically ranges from 10° to 15° in Caucasians [2,3] and is generally larger in Asians [4]. The term “INV compromise” describes a condition where the INV region is anatomically narrowed, often due to deviations in the caudal or dorsal septum, septal turbinate hypertrophy, lateral wall deformities, or weaknesses that result in lateral wall collapse.
Surgery to treat INV compromise aims to either widen the INV cross-sectional area or strengthen the lateral sidewalls [1,5]. Spreader grafting is considered the gold-standard treatment for widening a narrowed INV. Additionally, flaring sutures or butterfly grafting can increase the valve angle [5]. There is a consensus on the efficacy and necessity of nasal valve surgery for patients with appropriate indications. However, as demand for this procedure grows, disputes between patients and insurance companies are also increasing, particularly concerning the denial of insurance claims. This issue primarily arises from the lack of well-defined diagnostic criteria to objectively demonstrate INV compromise and justify the need for surgery.
In clinical practice, computed tomography (CT) scans are frequently utilized to evaluate INV compromise, primarily through angle measurements. However, the reference angle, typically considered to be between 10° and 15° [2,3], is theoretical, and diagnosing INV compromise cannot rely solely on angles smaller than this range. Additionally, the angles measured on CT scans may vary due to the mucosal status and differing measurement techniques [6,7]. Efforts have also been made to objectively diagnose INV compromise using methods such as endoscopic evaluation, acoustic rhinometry, and rhinomanometry [6,8]. Despite these efforts, a universally accepted gold standard for diagnosing INV compromise has not yet been established [1]. Therefore, this study aimed to analyze various objective measurements to identify the most appropriate parameters for assessing INV compromise.
This study was approved by the Institutional Review Board of the Kyung Hee University Hospital at Gangdong (No. KHNMC 2023-03-005). Given the retrospective nature of the study, the requirement for informed consent was waived.
We retrospectively analyzed data from 186 valves of 93 patients who underwent nasal valve surgery to treat INV compromise between September 2016 and February 2023. All surgical procedures were performed by a single author (KHL) at an academic referral center. The inclusion criteria were patients with preoperative facial 3D CT scans that revealed unilateral or bilateral INV compromise and age 18 years or older. The exclusion criteria were age <18 years and the presence of any other sinonasal disease, such as sinusitis, polyposis, or sinonasal masses.
The Modified Cottle Test (MCT) was performed to assess the INV patency. During the MCT, the INV area on each side was gently supported using a cotton tip applicator to provide lateral support at the level of the INV under a 0° rigid endoscope. The patient was asked to breathe deeply through the nose. Subjective improvement in nasal airflow indicated a positive MCT result, suggesting INV compromise.
Acoustic rhinometry was performed using an acoustic rhinometer and accompanying software (A1, GM Instruments Ltd.), which automatically measured the minimal cross-sectional area (MCA) and nasal cavity volume. The initialization, calibration, and measurement processes adhered to the guidelines. The tests were repeated three times for each subject, and the average value was recorded.
Facial 3D CT examinations were performed using a 64-channel multi-slice CT scanner (Brilliance; Philips Medical Systems) operating at 120 kV, 250 mA, and a slice thickness of 1.00 mm. We measured various parameters related to the INV on CT scans.
We analyzed each of the 186 nasal valves obtained from 93 patients individually. Each patient contributed two INV datasets. Initially, we categorized the 186 nasal valves into four groups based on nasal obstruction and MCT results. Group 1 consisted of valves with nasal obstruction and positive MCT results, indicative of compromised INV. Group 2 consisted of valves with nasal obstruction but negative MCT results, encompassing diverse cases in which nasal obstruction was not valve-related, or severe caudal/dorsal deviation led to negative MCT results despite compromised valves. Owing to the heterogeneity of group 2, it was excluded from the analysis. Group 3 included valves with no symptoms but positive MCT results, which were considered false positives, assuming temporary improvement during MCT. Consequently, group 3, in conjunction with group 4, which consisted of valves without nasal obstruction and negative MCT results, was classified as non-compromised INV. Thus, the analysis was conducted on two main groups: compromised INV (group 1) and non-compromised INV (groups 3 and 4).
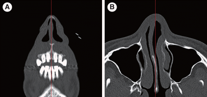
The parameters related to INVs were measured using conventional axial and coronal images from facial 3D CT scans, and the reformatted images were not used. Measurements were performed using a picture archiving and communication system (PACS; ZeTTA PACS; TaeYoung Soft Co. Ltd.) and the Aquarius workstation InTuition edition program (ver.4.4.12.249, TeraRecon Inc.). Before measurement, the INV level was determined by identifying the caudal margin of the upper lateral cartilage using scout navigation by scrolling through the images (Fig. 1). Although variations existed among the patients, the selected section typically corresponded to the first cut, where the scroll area disappeared and was anterior to the inferior turbinate. All measurement sections were confirmed via scout navigation and appropriately adjusted by reference to the anatomical variations [9].
Measurements were taken for the INV angle, area, and volume (in the axial view only), lateral wall thickness at the INV level, and the septal angle on both the axial and coronal planes. In addition, the nasal bone area was measured on the 3D lateral view (Fig. 2). We measured the INV angle using two methods: (1) placing the vertex at the outer boundary of the soft tissue [4,10-12] and (2) positioning the vertex within the inner mucosal lining [7]. The former method involves averaging the contour irregularities of the nasal cavity lumen to draw a medial line along the septum and a lateral line along the lateral wall. The angle between these two lines was then measured with the vertex positioned at the outer boundary of the soft tissue [4,10-12] (Fig. 2A and B). By contrast, the latter method involves measuring the angle of the apical region along the inner mucosal lining. Here, the angle between the septum and lateral wall was measured, with the vertex located at the point where the septum and lateral wall diverged [7] (Fig. 2C and D). The INV area was measured in the coronal view along the mucosal lining within the nasal cavity [10] (Fig. 2E). In axial view, the INV area was measured along the inner margin of the mucosa, with a horizontal line passing through the inferior turbinate head serving as the posterior boundary [13] (Fig. 2F). The INV volume was measured using the Aquarius workstation InTuition edition program. The INV region was identified in the axial view and the volume was measured within a defined range from the cut where the scroll disappeared to the section where the inferior turbinate head was visible. Volume was calculated three-dimensionally by combining consecutive sections.
Next, we measured the lateral wall thickness. The thickness of the entire lateral wall from the inner mucosal lining to the outer boundary was measured perpendicular to the axis of the lateral wall at the INV level (Fig. 2G and H). Additionally, we measured the angle between the dorsal/caudal septum and midline. The midline was defined as the line connecting the anterior nasal spine to the crista galli in the coronal view [14] (Fig. 2I). In the axial view, the midline was the line connecting the most posterior septum to the anterior nasal spine (not visible in the measured section) (Fig. 2J). In addition, we measured the nasal bone area on lateral reconstructed 3D images (Fig. 2K and L). All measurements were conducted bilaterally, except for the septal angle, and were performed by the author (JHB) who was blinded to the purpose of the study and any patient information.
The chi-square or Fisher’s exact tests were used to compare the binary demographic variables between groups. Student t-test was used to compare numerical variables such as age, CT measurements, and acoustic rhinometry data between the groups. Binary (retrograde conditional) regression analysis was used to identify the predictors of clinically compromised INV. The accuracies of these predictors were compared using receiver operating characteristic (ROC) curves. The areas under the curve (AUCs) for all possible predictors and their significance were calculated. All statistical analyses were performed using the SPSS version 26.0 (IBM Corp.) or R version 4.3.0 (R Foundation for Statistical Computing). A P-value <0.05 was considered at significant.
A total of 186 valves from 93 patients were analyzed in this study. The cohort included 75 men (80.6%) and 18 women (19.4%), with an average age of 37.15 years (range, 18–74 years). Among these valves, 89 exhibited compromised INV, and 44 had noncompromised INV. The remaining 42 valves showed nasal obstruction but tested negative in the MCT and were therefore excluded from the analysis.
The non-compromised INV group exhibited a higher mean age than the compromised INV group (P=0.011). However, there were no significant differences between the groups in terms of sex, history of trauma or nasal surgery, allergic rhinitis, or dorsal or caudal deviation (Table 1).
Table 2 compares the CT measurements and acoustic rhinometry results. In the coronal measurements, the compromised INV group exhibited a smaller INV area (P<0.001) and a thinner lateral wall (P=0.032) compared to the non-compromised INV group. Axial measurements revealed that the compromised INV group had a smaller INV area (P=0.003) and volume (P=0.002) than the non-compromised INV group. No differences between groups were observed in the INV or septal angles in the coronal and axial views, or in the nasal bone area in the 3D lateral view (all P>0.05). Regarding the acoustic rhinometry data, the compromised INV group showed a significantly smaller MCA (P<0.001) and volume (P=0.001) compared to the non-compromised INV group.
Table 3 presents the results of binary logistic regression analysis to identify the predictors of clinically compromised INV. The covariates included age, INV area, and lateral wall thickness on the coronal view; INV area and volume on the axial view; and MCA and volume as measured by acoustic rhinometry. After adjusting for age, the INV area on the axial view and MCA, as measured by acoustic rhinometry, emerged as significant predictors of a clinically compromised INV.
To assess predictive performance for INV compromise, the AUCs of the ROC curves were examined (Fig. 3). The AUCs of the potential predictors identified via regression analysis, adjusted for age, were 0.723 for the INV area on the axial view and 0.733 for the MCA as measured by acoustic rhinometry. When these two predictors were combined, the AUC value increased to 0.753.
A notable finding of this study is that the INV angle did not predict a clinically compromised INV, nor did it show significant differences between the compromised and non-compromised INV groups. Previous studies have established that the normal INV angle ranges from 10° to 15° in Caucasians [2,3]. However, this angle is often cited without accounting for anatomical variations or mucosal conditions. Typically, angle measurements are conducted using CT scans. Nonetheless, applying this angle uniformly across patients with varying valve shapes can be problematic and may result in a lack of reproducibility [6,7].
The INV angle is typically measured by averaging two lines that follow mucosal contour irregularities on CT images, with the vertex located at the outer margin of the soft tissue [4,10-12]. Using this method, the INV angle in reformatted planes ranged from 9.71° to 12.09° [10-12], which is consistent with theoretical angles, and was found to be larger in Asians, averaging 21.6° [4]. In this study, the INV angle measured on the axial plane was 18.73°±7.52° for all enrolled patients, and 19.16°±7.38° after excluding group 2. The angle was slightly narrower in the compromised INV group (18.90°±7.42°) compared to the non-compromised INV group (19.68°±7.35°), although the difference was not statistically significant (P>0.05). However, this measurement method has limitations due to subjective factors, as the angle can vary depending on the placement of the endpoint on the opposite side of the vertex [6,7]. Additionally, in cases where the septal turbinate or lateral wall is attached to the septum, measuring the angle may not be feasible [6].
To address this issue, we measured the INV angle along the inner lining of the mucosa [7]. Although none of the INV angles demonstrated statistical significance, the P-values for the inner INV angle approached marginal significance. This suggests that measurements taken along the inner mucosal lining, rather than at the outer margin as traditionally done, may more accurately reflect INV compromise. To our knowledge, no previous studies have compared these methods of measuring the INV angle. Evaluating the INV angle using the inner vertex could potentially be more effective than the conventional method using the outer vertex. However, due to the scarcity of related research, further validation with additional data is necessary. Additionally, measuring the angle with the inner vertex presents challenges, including the arbitrary placement of the vertex in cases with blunt angles and subjectivity in determining a straight line.
Moreover, INV angles measured using endoscopy have yielded inconsistent results, with values ranging widely from 9.1° to 52.04° [6,15]. This variability is likely due to distortions caused by the tilting or rotation of the measurement plane, which leads to poor reproducibility [4]. In other words, the measured INV angles differ depending on the evaluation tool and measurement method used. Furthermore, most studies on surgical treatments for INV compromise have primarily used subjective symptom improvement as the outcome measure, rather than objective measurements like the INV angle [1,5,16]. Even in a study that evaluated the INV angle before and after surgery, no significant differences were found, despite improvements in symptoms after surgery. Furthermore, there was no correlation between the angle and symptom scores [17]. These findings suggest that relying solely on two-dimensional angle measurements is limited in assessing clinically compromised INV, which is consistent with our findings.
Another objective method for INV evaluation is to measure the INV area [13]. Compared with angle measurements within the same CT section, measuring the INV area along the inner mucosal lining offers a relatively lower measurement error and higher reproducibility. Moreover, the area may prove more advantageous than the angles in assessing INV compromise, as it can be measured across various INV types irrespective of anatomical variations, such as blunt angles or cases with angles occupied by the septal turbinate. In this study, the INV area on both the coronal and axial views was significantly smaller in the compromised INV group, and regression analysis indicated that the INV area on the axial view was a significant predictor of compromised INV. Similarly, another study reported that the area measured on the axial CT scan correlated with a clinically narrow INV [13].
We found that the compromised INV group exhibited a significantly thinner lateral wall on the coronal view, but this was no longer a risk factor for clinically compromised INV after adjusting for age. While racial and individual differences may exist, a thin lateral wall can imply a thin cartilage that can cause lateral wall collapse because it lacks the necessary structural integrity to withstand negative pressure during inspiration, leading to dynamic collapse [18]. However, our findings align with previous reports that skin thickness does not correlate with the degree of lateral nasal wall collapse [19].
Aging is known to cause structural changes within the nasal cavity [20,21]. These changes include mucosal atrophy and an increase in the overall intranasal volume, particularly in the valve area, which impacts nasal airflow patterns. Such altered airflow can lead to symptoms like nasal obstruction [20]. Additionally, the age-related deterioration in cartilage structural integrity contributes to INV stenosis and collapse [21]. Our results indicated that the compromised INV group was younger in age. This likely reflects a selection bias, as the study only included patients who underwent nasal valve surgery, thus excluding older individuals and primarily selecting younger patients who were more actively treated. Additionally, we investigated whether caudal/dorsal septal deviation contributes to INV compromise, but found no significant differences between the groups. While caudal/dorsal septal deviation may potentially cause INV compromise, accurately assessing its impact is difficult due to the absence of a structured and standardized method for objectively measuring this type of deviation [22].
A shorter nasal bone is often associated with relatively longer and weaker upper lateral cartilage, which increases the risk of INV insufficiency [23]. In this study, despite the smaller nasal bone area observed in the compromised INV group, there was no significant difference between the two groups.
In this study, specific parameters derived from CT and acoustic rhinometry were identified as potential predictors of INV compromise. However, these parameters alone cannot be regarded as the definitive standard for assessing INV compromise or as a foundation for insurance coverage decisions. Furthermore, the diagnostic value of these tests does not justify the associated risks of radiation exposure or the financial costs involved. Nevertheless, the authors contend that INV compromise cannot be adequately defined merely by theoretical angles. Given the inherent complexity and variability of INV compromise, multiple assessment methods may be necessary.
The strengths of this study are as follows. First, we objectively quantified various numerical measurement variables to assess the INV compromise in 186 valves from 93 individuals who underwent valve surgery. Second, the outcome evaluation included both the MCT results and subjective symptoms, allowing for a comparison based on clinically compromised INV. Additionally, we used conventional coronal and axial planes in the CT scans instead of reformatted images. Although some studies have suggested that the INV angle in the reformatted planes perpendicular to the acoustic axis is closer to the theoretical INV angle [10,11], such reformatted images are not routinely available in clinical practice [13]. With the increasing number of insurancerelated disputes, there is a growing demand for objective parameters to assess INV compromises. Therefore, this study utilized readily available images in clinical practice to enhance clinical utility.
This study had several limitations. First, factors other than INV compromise, such as allergies, the effect of the nasal cycle, or structural issues unrelated to the valve, may have contributed to nasal obstruction. However, even in prospective studies, it remains challenging to completely differentiate conditions coexisting with or mimicking INV compromise [1]. To address this limitation, we restricted the inclusion criteria to patients who underwent MCT and valve surgery. Second, the Bernoulli effect in relation to dynamic collapse was not considered. We did not distinguish between dynamic and static collapse; however, doing so may have yielded more meaningful results. Third, we did not explore additional objective measures, such as peak flow or nasal endoscopy, which might have correlated with the symptoms. Fourth, since most of the included patients were of Korean ethnicity and the data were obtained from a single academic referral center, caution should be exercised when generalizing our results to the entire population. Finally, given the retrospective design, a risk of bias, including selection bias, may exist. Considering these limitations, a prospective study with a larger sample size is expected to yield a meaningful approach for evaluating INV compromise in the future.
Our study suggests that conventional angle measurements on CT scans alone may not adequately assess clinically compromised INV. Alternative parameters, such as the INV area on the axial view and MCA measured by acoustic rhinometry, could serve as potential objective measures for evaluating INV compromise. Due to its inherent complexity and diversity, establishing diagnostic criteria for INV compromise poses a challenge. Nevertheless, with ongoing efforts to refine diagnostic approaches, the current ambiguity and associated controversies surrounding diagnosis are likely to diminish over time.
▪ The lack of a standard test to diagnose nasal valve compromise has led to debates regarding surgical indications and insurance coverage.
▪ Relying solely on the angle of the internal nasal valve (INV) has limitations in evaluating compromised INV.
▪ INV area on axial computed tomography scans and minimal cross-sectional area in acoustic rhinometry hold potential as objective parameters for evaluating INV compromise.
ACKNOWLEDGMENTS
This work was supported by a grant from the National Medical Center, Republic of Korea (grant No. NMC2023-MS-03).
REFERENCES
1. Rhee JS, Weaver EM, Park SS, Baker SR, Hilger PA, Kriet JD, et al. Clinical consensus statement: diagnosis and management of nasal valve compromise. Otolaryngol Head Neck Surg. 2010; Jul. 143(1):48–59.
2. Mink PJ. Le nez comme voie respiratoire. Presse Otolaryngol Belg. 1903; 21:481–96.
3. Kasperbauer JL, Kern EB. Nasal valve physiology: implications in nasal surgery. Otolaryngol Clin North Am. 1987; Nov. 20(4):699–719.
4. Suh MW, Jin HR, Kim JH. Computed tomography versus nasal endoscopy for the measurement of the internal nasal valve angle in Asians. Acta Otolaryngol. 2008; Jun. 128(6):675–9.
5. Goudakos JK, Fishman JM, Patel K. A systematic review of the surgical techniques for the treatment of internal nasal valve collapse: where do we stand. Clin Otolaryngol. 2017; Feb. 42(1):60–70.
6. Miman MC, Deliktaş H, Ozturan O, Toplu Y, Akarçay M. Internal nasal valve: revisited with objective facts. Otolaryngol Head Neck Surg. 2006; Jan. 134(1):41–7.
7. San Nicolo M, Berghaus A, Jacobi C, Kisser U, Haack M, Flatz W. The nasal valve: new insights on the static and dynamic NV with MR-imaging. Eur Arch Otorhinolaryngol. 2020; Feb. 277(2):463–7.
8. Cakmak O, Coskun M, Celik H, Buyuklu F, Ozluoglu LN. Value of acoustic rhinometry for measuring nasal valve area. Laryngoscope. 2003; Feb. 113(2):295–302.
9. Kim SJ, Kim TH, Lee KH. An anatomic analysis of the bony vault: from the perspective of osteotomy in rhinoplasty. Aesthet Surg J. 2023; Apr. 43(5):535–42.
10. Bloom JD, Sridharan S, Hagiwara M, Babb JS, White WM, Constantinides M. Reformatted computed tomography to assess the internal nasal valve and association with physical examination. Arch Facial Plast Surg. 2012; Sep-Oct. 14(5):331–5.
11. Poetker DM, Rhee JS, Mocan BO, Michel MA. Computed tomography technique for evaluation of the nasal valve. Arch Facial Plast Surg. 2004; Jul-Aug. 6(4):240–3.
12. Abdelwahab M, Yoon A, Okland T, Poomkonsarn S, Gouveia C, Liu SY. Impact of distraction osteogenesis maxillary expansion on the internal nasal valve in obstructive sleep apnea. Otolaryngol Head Neck Surg. 2019; Aug. 161(2):362–7.
13. Moche JA, Cohen JC, Pearlman SJ. Axial computed tomography evaluation of the internal nasal valve correlates with clinical valve narrowing and patient complaint. Int Forum Allergy Rhinol. 2013; Jul. 3(7):592–7.
14. Kim YM, Rha KS, Weissman JD, Hwang PH, Most SP. Correlation of asymmetric facial growth with deviated nasal septum. Laryngoscope. 2011; Jun. 121(6):1144–8.
15. Ozturan O, Miman MC, Kizilay A. Bending of the upper lateral cartilages for nasal valve collapse. Arch Facial Plast Surg. 2002; Oct-Dec. 4(4):258–61.
16. Yeung A, Hassouneh B, Kim DW. Outcome of nasal valve obstruction after functional and aesthetic-functional rhinoplasty. JAMA Facial Plast Surg. 2016; Mar-Apr. 18(2):128–34.
17. Shafik AG, Alkady HA, Tawfik GM, Mohamed AM, Rabie TM, Huy NT. Computed tomography evaluation of internal nasal valve angle and area and its correlation with NOSE scale for symptomatic improvement in rhinoplasty. Braz J Otorhinolaryngol. 2020; May-Jun. 86(3):343–50.
18. Friedman O, Cook TA. Conchal cartilage butterfly graft in primary functional rhinoplasty. Laryngoscope. 2009; Feb. 119(2):255–62.
19. Bae MR, Choi WR, Jang YJ. The relationship between lateral nasal wall collapse and nasal obstruction. Ann Otol Rhinol Laryngol. 2023; Jul. 132(7):745–51.
20. Ganjaei KG, Soler ZM, Mappus ED, Worley ML, Rowan NR, Garcia GJM, et al. Radiologic changes in the aging nasal cavity. Rhinology. 2019; Apr. 57(2):117–24.
21. Kim SG, Menapace DC, Mims MM, Shockley WW, Clark JM. Age-related histologic and biochemical changes in auricular and nasal cartilages. Laryngoscope. 2024; Mar. 134(3):1220–6.
22. Wiederkehr I, Kawabata Y, Tsumiyama S, Hosokawa Y, Iimura J, Otori N, et al. Caudal septal deviation: a computed tomography-based evaluation method. Ann Plast Surg. 2022; Jul. 89(1):95–9.
23. Avashia YJ, Glener AD, Marcus JR. Functional nasal surgery. Plast Reconstr Surg. 2022; Aug. 150(2):439e–454e.
Fig. 1.
Selected sections of facial computed tomography scans for internal nasal valve measurements. (A) Coronal view. (B) Axial view. The red dotted line indicates the midline.
Fig. 2.
Measurement parameters in selected computed tomography scans. (A) Internal nasal valve (INV) angle with the outer vertex on a coronal view. (B) INV angle with the outer vertex on an axial view. (C) INV angle with the inner vertex on a coronal view. (D) INV angle with the inner vertex on an axial view. (E) INV area on a coronal view. (F) INV area on an axial view. (G) Lateral wall thickness on a coronal view. (H) Lateral wall thickness on an axial view. (I) Septal angle on a coronal view. (J) Septal angle on an axial view. (K, L) Nasal bone area on a reconstructed three-dimensional lateral view.
Fig. 3.
Area under the curve (AUC) values for the significant predictors identified in the regression analysis, along with their combination, to predict internal nasal valve (INV) compromise based on the receiver operating characteristic curve. Age adjusted. MCA, minimal cross-sectional area; CT, computed tomography.
Table 1.
Demographic characteristics of the study population
| Variable | Compromised INV (n=89) | Non-compromised INV (n=44) | P-value |
|---|---|---|---|
| Age (yr) | 35.58±12.88 | 41.75±13.14 | 0.011* |
| Sex (male) | 70 (78.7) | 35 (79.5) | 0.905 |
| Trauma history | 68 (77.3) | 31 (72.1) | 0.517 |
| Revision | 11 (12.9) | 3 (7.7) | 0.545 |
| Allergic rhinitis | 57 (71.3) | 23 (74.2) | 0.756 |
| Caudal deviation | 62 (69.7) | 36 (81.8) | 0.134 |
| Dorsal deviation | 34 (38.2) | 19 (43.2) | 0.581 |
Table 2.
Internal nasal valve measurements on computed tomography scans and acoustic rhinometry
| Variable | Compromised INV (n=89) | Non-compromised INV (n=44) | P-value |
|---|---|---|---|
| CT coronal view | |||
| INV angle, outer (°) | 17.25±11.00 | 20.44±13.35 | 0.145 |
| INV angle, inner (°) | 17.51±10.61 | 21.47±13.59 | 0.068 |
| INV area (cm2) | 0.43±0.24 | 0.65±0.44 | <0.001* |
| Lateral wall thickness (mm) | 5.68±1.30 | 6.22±1.48 | 0.032* |
| Septal anglea) (°) | 15.92±6.50 | 13.77±5.99 | 0.074 |
| CT axial view | |||
| INV angle, outer (°) | 18.90±7.42 | 19.68±7.35 | 0.569 |
| INV angle, inner (°) | 25.20±10.30 | 28.62±8.90 | 0.063 |
| INV area (cm2) | 0.86±0.38 | 1.08±0.45 | 0.003* |
| INV volume (cm3) | 0.58±0.28 | 0.76±0.38 | 0.002* |
| Lateral wall thickness (mm) | 5.44±1.21 | 5.31±1.25 | 0.588 |
| Septal anglea) (°) | 14.50±6.17 | 15.16±6.85 | 0.598 |
| CT 3D lateral view | |||
| Nasal bone area (cm2) | 1.66±0.42 | 1.82±0.51 | 0.245 |
| Acoustic rhinometry | |||
| MCA (cm2) | 0.46±0.29 | 0.68±0.30 | <0.001* |
| Volume (cm3) | 2.16±0.67 | 2.67±0.97 | 0.001* |



PDF
Citation
Print



XML Download