Abstract
Glomus tumors (GTs) are rare benign vascular neoplasms that predominantly occur in the subungual region of the digits. However, these neoplasms have also been reported in other anatomical locations. Extradigital GTs often present in atypical locations with unconventional symptoms, posing potential diagnostic challenges for clinicians. Herein, we present a recent case of an extradigital GT found in the forearm of a 76-year-old male patient that exhibited intraoperative features similar to those of a nerve sheath tumor or intravascular tumor, further underscoring these diagnostic challenges. This report highlights the pivotal role of frozen section pathology in diagnosing and managing this atypical lesion, thereby facilitating optimal patient care.
Glomus tumors (GTs) represent uncommon vascular neoplasms arising from the glomus body, accounting for less than 2% of all soft tissue tumors [1]. The glomus body, exhibiting high density in the digits, is a specialized form of arteriovenous anastomosis and plays a key role in thermoregulation. These tumors primarily manifest in the subungual region of the digits but can occur in various anatomical locations. GTs typically present as solitary, small, and benign lesions, although multiple and malignant variants can occur. This report details an atypical case of an extradigital GT in the forearm of a 76-year-old male patient with intraoperative features similar to those of a nerve sheath tumor or intravascular tumor, necessitating the use of frozen section pathology for a definitive diagnosis and treatment planning.
A 76-year-old man presented to our clinic with a painful, long-standing subcutaneous lump on his left forearm. The lesion, first noticed over two decades ago as an asymptomatic, tiny bump, had gradually enlarged over time. The patient had experienced increasingly frequent paroxysmal pain for the past 3 years, and the lump had become sensitive to touch. During the evaluation, the patient exhibited significant protectiveness over the affected area and flinched upon contact. Upon physical examination, a 1.2-cm movable, tender subcutaneous nodule was identified on the ulnovolar aspect of the patient’s left forearm, with brownish discoloration of its overlying skin (Fig. 1A). Preoperative magnetic resonance imaging (MRI) revealed a 1.2 × 1.1 × 0.9-cm subcutaneous mass in the anterior forearm with low T1-weighted signal intensity that avidly enhanced with contrast and high-intensity signal on T2-weighted imaging (Fig. 2).
Under general anesthesia, the lesion was explored carefully, revealing a bluish-red, round-shaped tumor with tubular structures extending from both ends (Fig. 1B). Given the uncertainties of the tubular structures, we considered that intraoperative confirmation of the tumor’s origin was necessary for definitive treatment. Although typical nerve appearances, including fascicles, were not observed, the lesion was not resected immediately; instead, the intracapsular lesion was enucleated by longitudinally splitting the tumor capsule, which was then sent for frozen section pathology. A well-demarcated, brownish lesion was easily separated from the inner capsule wall, save for a small adherent segment. The frozen section pathology suggested the lesion to be a GT. The remaining tumor capsule was also excised and submitted for permanent section pathology. The surgical wound was closed primarily after inserting a small silastic drain.
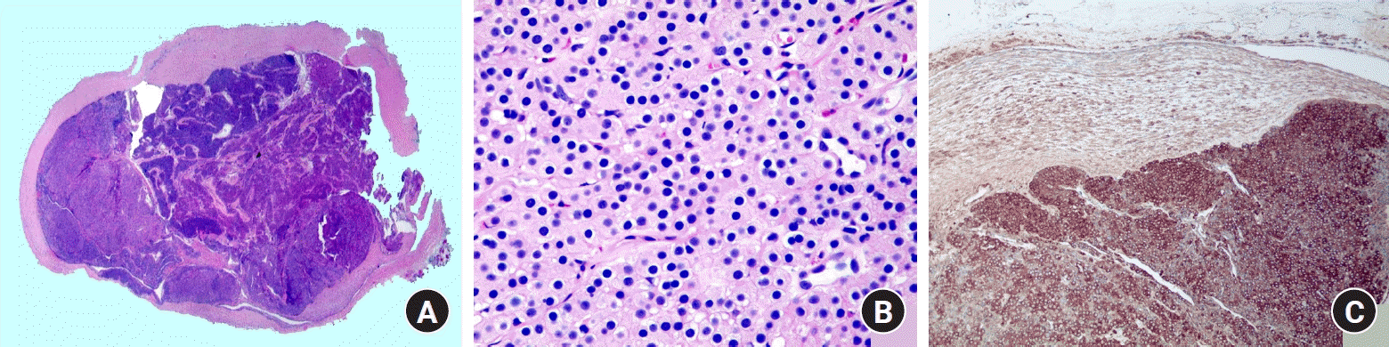
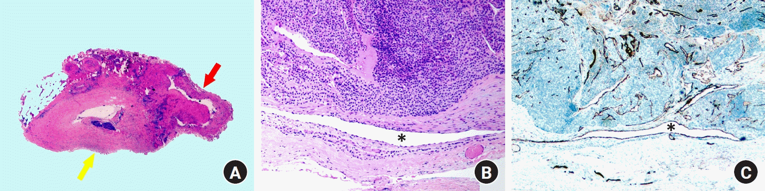
Microscopic examination revealed an encapsulated tumor comprising solid sheets of blue cells, which consisted of round glomus cells with increased vascular spaces (Fig. 3A, 3B). The neoplastic cells were positive for smooth muscle actin immunostaining (Fig. 3C). Sectional views of the tubular structure attached to the tumor revealed the presence of a blood vessel (Fig. 4A, 4B). Notably, a compressed luminal space, positive for the vascular marker CD31, was identified on the tumor’s undersurface (Fig. 4C), indicating a potential connection between the blood vessel of the tumor’s undersurface and the tubular structures (Fig. 1C). These histopathological features suggested that the GT had exerted chronic pressure on the underlying blood vessels, resulting in firm adherence of the vessel to the tumor. Postoperative recovery was uneventful, and the paroxysmal pain resolved immediately following surgery. The patient reported excellent postoperative outcomes at the 3-month follow-up with no observed complications.
Extradigital GTs have a predilection for sites such as the palm, wrist, forearm, and foot [1]. Around 75% of subungual lesions are reported in females [2], whereas extradigital GTs are more prevalent in males. Extracutaneous lesions have also been reported in various sites including finger bones, nerves, stomach, lungs, hard palate, blood vessels, and trachea.
GTs typically evoke a triad of symptoms, including pain, point tenderness, and cold sensitivity. However, extradigital GTs do not share all the characteristics of the subungual digital variety. While pain remains a prevalent symptom, cold intolerance is infrequently documented in extradigital tumors of the upper and lower extremities. Diagnosing subungual GTs is relatively straightforward due to their characteristic location, while extradigital GTs, with their atypical sites and symptoms, can pose diagnostic challenges for clinicians. Radiologic features are usually nonspecific but can aid in establishing potential diagnoses of extradigital GTs. On MRI, extradigital GTs present as circumscribed masses with intermediate to low signal on T1-weighted images and high signal on T2-weighted images, and they exhibit diffuse enhancement after gadolinium administration [3]. Ultrasonography often reveals abundant vascularity and an arterial flow pattern, frequently accompanied by a positive ‘vascular stalk sign,’ indicating significant vascular flow connecting the lesion to the surrounding soft tissue [4].
Histopathologically, GTs are composed of three components: glomus cells, vasculature, and smooth muscle cells. These tumors may be subcategorized as solid GTs (poor vasculature and scant smooth muscle component), glomangiomas (prominent vascular component), or glomangiomyomas (prominent vascular and smooth muscle components). The most prevalent variant is the solid GT, accounting for 75% of cases, while glomangioma and glomangiomyoma make up 20% and 5% respectively [5]. In our case, the lesion also corresponded to the histopathologic features of a solid GT, including the predominance of glomus cells, poor vasculature, and rare smooth muscle cells.
Extradigital GTs encompass a broad spectrum of differential diagnoses. Based on the MRI findings, the differential diagnoses include malignant tumors such as fibrous histiocytoma or sarcoma, and benign tumors such as myxoma, nodular fasciitis, or schwannoma. However, it is imperative to clinically distinguish these tumors from a range of soft tissue lesions, including neuromas, leiomyomas, hemangiopericytomas, dermatofibromas, vascular tumors, angiomyomas, and peripheral nerve sheath tumors [6,7], and to ascertain a histopathological differentiation from other entities such as nodular hidradenomas, intradermal nevi, malignant melanomas, myopericytomas, myofibromatoses, glomangiopericytomas, angioleiomyomas, and angiolipomas [8].
Complete surgical excision is the preferred treatment option for benign GTs. Intriguingly, the atypical intraoperative features of our case were more similar to those of peripheral nerve sheath tumors or intravascular tumors rather than ordinary soft tissue tumors. Unlike common soft tissue tumors, nerve preservation is imperative during surgical interventions involving schwannomas to prevent injury to unaffected nerve fascicles, which could lead to postoperative motor and sensory complications. Therefore, we had to confirm the nature of the tumor before completely resecting the lesion, despite the prolonged operation time.
In retrospect, it may have been possible to preoperatively exclude schwannoma from the lesion through additional diagnostic studies. The tail sign on MRI, which includes a mass with entering and exiting nerves, highly suggests schwannoma [9], although this feature is typically more evident in lesions affecting large deep nerves than in superficial or small lesions [10]. Furthermore, additional ultrasonography would have been more beneficial than MRI for excluding a schwannoma. Ultrasonography can easily trace the mass and the nerves in the area, helping determine whether the mass is just a subcutaneous non-neural mass or originates from the ulnar nerve or its branches at the distal forearm, possibly being continuous with one of them.
The uncommon gross features of the tubular structures connected to both ends of the lesion suggested another possibility: an intravascular GT, an extracutaneous variant that originates from a venous wall and protrudes into the lumen of the affected blood vessel. However, the permanent pathology results ruled out an intravascular GT because the capsule tested negative for CD31 immunostaining, a vascular marker.
Although rare, extradigital GTs can present to a wide range of clinicians. Therefore, clinicians should consider GTs as a potential diagnosis for any soft tissue mass with undiagnosed focal, reproducible pain, even in cases where the lesions are undetectable upon palpation. We also emphasize the crucial role of frozen section pathology in managing surgical uncertainties, as it provides valuable guidance for appropriate lesion management. We also emphasize the crucial role of frozen section pathology in managing cases of surgical uncertainty, as it provides valuable guidance for appropriate lesion management.
References
1. Fletcher CD, Unni K, Mertens F, editors. Pathology and genetics of tumours of soft tissue and bone. WHO classification of tumours. 3rd ed. Volume 5. IARC Press; 2002.
3. Schiefer TK, Parker WL, Anakwenze OA, Amadio PC, Inwards CY, Spinner RJ. Extradigital glomus tumors: a 20-year experience. Mayo Clin Proc. 2006; 81:1337–44.

4. Park HJ, Jeon YH, Kim SS, et al. Gray-scale and color Doppler sonographic appearances of nonsubungual soft-tissue glomus tumors. J Clin Ultrasound. 2011; 39:305–9.

5. Kleihues P, Cavenee WK, editors. Pathology and genetics of tumours of the nervous system. IARC WHO classification of tumours series. 3rd ed. Volume 1. IARC Press; 2000.
6. Tsuneyoshi M, Enjoji M. Glomus tumor: a clinicopathologic and electron microscopic study. Cancer. 1982; 50:1601–7.
7. Glazebrook KN, Laundre BJ, Schiefer TK, Inwards CY. Imaging features of glomus tumors. Skeletal Radiol. 2011; 40:855–62.

Fig. 1.
Clinical and operative features. (A) A 1.2-cm subcutaneous nodule on the ulnovolar aspect of the left forearm (arrow). (B) A bluish-red, round-shaped tumor with tubular structures extending from both ends. (C) A lateral aspect of the resected lesion showing a tubular structure (white arrows) attached to the tumor’s undersurface and connected to both stalks (yellow arrows).
Fig. 2.
Preoperative magnetic resonance images of the left forearm. (A) T1-weighted axial image showing a low-intensity well-defined mass. (B) T1-weighted axial image with contrast, showing strong enhancement.
Fig. 3.
Histopathological features. (A) An encapsulated tumor containing solid sheets of blue cells (H&E stain, ×15). (B) Round to oval glomus tumor cells with slit-like vascular spaces (H&E stain, ×400). (C) Glomus tumor cells positive for smooth muscle actin immunostaining (×100).
Fig. 4.
Histopathological features. (A) A sectional view of the tubular stalk (red arrow) attached to the distal portion of the tumor (yellow arrow), showing the blood vessel (H&E stain, ×15). (B) A luminal space on the undersurface of the tumor, suggesting a compressed blood vessel (asterisk; H&E stain, ×100). (C) A luminal space on the undersurface of the tumor has endothelial cells (asterisk), which are positive for CD31 immunostaining (×200).



PDF
Citation
Print



XML Download