Abstract
Kaposiform hemangioendothelioma (KHE) is a rare, aggressive vascular tumor predominantly seen in children. It can infiltrate the deeper soft tissues and is clinically marked by erythematous to violet plaques, sometimes associated with the Kasabach-Merritt phenomenon. A male neonate presented with a substantial mass on the dorsum of his left hand. Surgical excision on the 8th day after birth identified the tumor as KHE, without evidence of Kasabach-Merritt syndrome. Two additional operations were performed over the following year to address contractures and restore finger function. At a 6-month follow-up, the patient showed no significant functional impairment. KHE poses unique clinical challenges due to its aggressive nature. This case highlights the need for prompt surgical intervention, given the tumor’s size and location. Managing KHE requires a rapid diagnosis and intervention, particularly in functionally critical areas, to ensure optimal outcomes.
Kaposiform hemangioendothelioma (KHE) is a rare and aggressive vascular tumor primarily observed in pediatric populations, though it occasionally presents in adults. The incidence of KHE in adults is markedly low, yet its clinical presentation in this demographic is often pronounced and warrants meticulous clinical scrutiny. Despite its infrequency in adult patients, the potential of the tumor for significant morbidity necessitates a heightened awareness and an aggressive approach to diagnosis and management [1]. KHE typically originates in the cutaneous layers but possesses the capability to infiltrate deeper soft tissues, including those of the extremities, head, neck, and retroperitoneum. Due to its tendency to invade nearby tissues and lack of spontaneous regression, it poses a significant risk for local spread and potential metastasis. This invasive potential is further complicated by occasional involvement of regional lymph nodes, underscoring the need for vigilant monitoring and comprehensive management strategies in affected patients [2].
Clinically, KHE manifests as a distinct erythematous to violet-hued plaque that is firm upon palpation. This lesion typically extends through the full depth of the dermis and often penetrates into the underlying subcutaneous tissue. In some cases, the presentation may include hemorrhagic spots visible on the skin surface, which may precede the development of the Kasabach-Merritt phenomenon. This associated condition is characterized by severe thrombocytopenia, which presents substantial risks of significant hemorrhage. Additionally, the potential for concurrent lymphangiomatosis further complicates the clinical management and prognostic outlook for affected individuals [1].
Although KHE can manifest in any region of the body, it predominantly localizes to the trunk and proximal areas of the extremities. Due to its rarity and the presence of hemorrhagic and erythematous skin manifestations, KHE is frequently overlooked in differential diagnoses. This report explores an atypical presentation of KHE intricately associated with underlying neurofibromatosis, thereby broadening the clinical spectrum and enhancing our understanding of this uncommon vascular neoplasm. This association underscores the complexity of diagnosing and managing KHE, particularly when it coexists with other significant pathologies [3].
Prior to surgical interventions and the composition of this report, informed consent was obtained from the patient’s guardian for clinical photographs and other relevant data to be used.
A male neonate, delivered by emergency C-section at 30 weeks and 4 days due to preterm labor with a birth weight of 2,228g, was referred to our institute at the age of 6 days for evaluation of a significant mass on the dorsum of his left hand (Fig. 1). Initial physical examination revealed an immature teratoma (10×12 cm) with signs of necrotic changes. Nodule-like masses were additionally observed on the right arm, both hips, and legs. Ultrasonographic examination revealed no pathological lymph nodes. Furthermore, the infant presented with hypocalcemia.
Whole body magnetic resonance imaging presented differential diagnoses of sarcoma with possible intramuscular metastasis and hemangiolymphangiomatosis. Pediatric orthopedic evaluation deduced that the thumb and index finger might retain some functions; however, the middle finger appeared non-functional.
Upon collaborative deliberation, a surgical intervention was scheduled for the 8th day after birth. The surgical procedure, which lasted less than 30 minutes, was meticulously performed under general anesthesia without the use of a tourniquet, doppler, or microscope to minimize the anesthesia time. The tumor was excised, ensuring preservation of the hand’s dorsum, demarcating it from the presumed tumor boundary. The resection margin was determined based on the grossly visible tumor boundaries. The primary objective of the surgery was to reduce the massive tumor burden, with adjuvant chemotherapy (vincristine every week for 3 months) planned for any microscopic residual tumor. Frozen section pathology was not performed to minimize the anesthesia duration for the infant. The excised specimen weighed 160 g (Fig. 2).
Histopathological evaluation confirmed the lesion as KHE, raising the possibility of an associated Kasabach-Merritt syndrome. The initial platelet count, recorded at approximately 100,000/µL, suggested thrombocytopenia, though it did not meet the criteria for systemic consumptive coagulopathy. Subsequent complete blood counts monitored in the neonatal intensive care unit demonstrated a rising platelet count, with no further evidence supporting the presence of Kasabach-Merritt syndrome.
Postoperative wound management consisted of thrice-daily dressing changes, which included saline cleansing followed by the application of antibiotic and epidermal growth factor ointments. Remarkable healing progress was noted 3 months after surgery, with the hand wound nearly completely healed (Fig. 3). However, subsequent assessments indicated a limited range of motion and signs of contracture development.
To address these complications, a second surgical intervention under short general anesthesia was conducted 6 months after initial surgery, which focused on partial contracture release and coverage using a MatriDerm graft (MedSkin Solutions Dr. Suwelack AG, Billerbeck, Germany) (Fig. 4). This procedure specifically targeted postoperative scar contractures and involved the fourth finger of the left hand. A year after initial surgery, a third operation was performed under general anesthesia to further release the contracture and extend the fourth digit (Fig. 5). The patient’s fourth proximal phalangeal joint was released, revealing an intact flexor digitorum superficialis tendon. The phalangeal bones were realigned, and Kirschner wire (K-wire) fixation was performed to stabilize the bone configuration. The raw surface on the volar area of the proximal phalangeal joint was covered with a full-thickness skin graft (FTSG). There was no infection or dehiscence followed.
The patient demonstrated good recovery following these procedures, without any notable complications. Follow-up 6 months after the third surgery, 18 months after the first visit, revealed that the patient exhibited no significant functional impairments during a routine outpatient clinic visit (Fig. 6). This sequence of interventions underscores the challenges and therapeutic strategies in managing complex postoperative outcomes in pediatric patients.
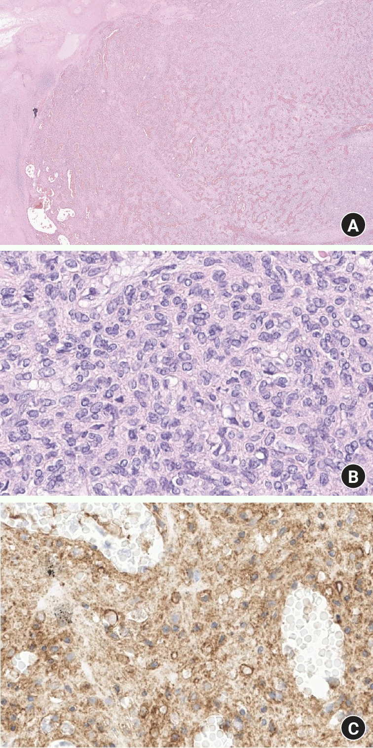
Histopathological examination of the excised specimen revealed several key features indicative of a complex vascular lesion, possibly KHE. The examination was conducted on multiple sections, stained with hematoxylin and eosin as well as immunohistochemical staining for CD34. At lower magnification, the specimen exhibited a multinodular mass with areas resembling capillary hemangiomas (Fig. 7A). The architecture was lobulated with intervening stromal fibrosis and occasional lymphoid aggregates, supporting the differential diagnosis of KHE with possible features of Kasabach-Merritt syndrome. Microscopic evaluation showed tumor cells with mild to moderate nuclear pleomorphism, which is a hallmark of cellular atypia (Fig. 7B). Mitotic figures were sparse, suggesting a low mitotic rate which is typical for KHE rather than more aggressive vascular tumors. And finally, the CD34 staining demonstrated diffuse cytoplasmic positivity in tumor cells, indicating a rich vascular component and endothelial differentiation (Fig. 7C). This finding supports the vascular nature of the tumor, consistent with the characteristics of KHE.
KHE is primarily recognized as a pediatric vascular tumor, characterized by its infrequent manifestation in adult populations. The clinical presentation of KHE in pediatric patients is notably complex, involving multifaceted diagnostic and therapeutic challenges due to its aggressive nature and potential association with Kasabach-Merritt phenomenon, a life-threatening condition marked by severe thrombocytopenia and consumptive coagulopathy [4]. This scarcity of cases contributes to the complexity of establishing robust, evidence-based therapeutic guidelines, further complicating the clinical approach to KHE. Therefore, every documented case of KHE can significantly enhance the existing medical literature, providing deeper insights into its natural history, progression, and response to various treatment modalities.
In the present case, the patient’s tumor burden was significantly disproportionate to his body weight, underscoring an urgent need for prompt surgical intervention. The tumor’s location, critically important for daily hand functions, raised significant concerns regarding potential complications in wound healing and functional recovery.
Following the initial surgical resection, the third digit retained basic flexion and extension capabilities, suggesting some preservation of its functionality. Minimal flexion was also observed in the ring finger. However, the onset of scar contraction on the ring finger led to a noticeable deterioration in the functional capacity of the third digit, thereby necessitating additional short surgical evaluation, the second surgery. Even after, the ring finger presented severe distortion by remaining scar contracture and phalangeal bone displacement, which posed both aesthetic and functional issues, being critical factors promoting further surgical intervention.
The choice of surgical approach required a delicate balance, considering the option of amputation versus undertaking a contracture release procedure. The selected strategy involved using an FTSG. complemented by K-wire pinning to address the contracture and restore function. This decision was influenced by the intricate vascular structure within the digits, which was particularly susceptible to congestion, even under slight compressive forces such as those from a surgical hand drape. This complex vascular involvement necessitated careful planning to avoid compromising blood supply during and after the corrective procedure, ensuring optimal postoperative outcomes.
Histologically, KHE is characterized by nodular proliferations invading the soft tissues, closely resembling structures akin to thin-walled lymphatic channels. This tumor is distinguished by its unique histological appearance, which features glomeruloid nests of endothelial cells—an unmistakable diagnostic hallmark [5]. The recognition of these detailed histopathological features is particularly crucial in anatomically complex regions such as the hand, which boasts a dense composition of vascular and neural networks. Accurate histological identification is essential for guiding surgical interventions and ensuring that the precise extent of the disease is addressed while preserving vital structures. This is especially significant in areas where intricate dissections are required to prevent damage to the surrounding vascular and nervous tissues, thereby minimizing functional loss and optimizing postoperative recovery.
This case underscores the necessity for quick surgical decision-making, continuous conservative dressing therapy, and proactive intervention to prevent long-term structural deformities. It is critical to surgically address the contracture at an early stage to avert permanent functional impairment, particularly considering the patient’s developmental phase. Early surgical intervention is essential to prevent the contracture from becoming entrenched, which would complicate future attempts at correction and potentially result in irreversible disability. This approach ensures that the therapeutic measures are aligned with the growth and developmental trajectories of pediatric patients, thereby optimizing outcomes and preserving maximum function in the affected limb [6].
In conclusion, when dealing with KHE, especially in sensitive and functionally critical areas like the hand, a multifaceted approach is imperative. This includes prompt surgical interventions, consistent postoperative care, and interventions timed perfectly with developmental milestones. Recognizing the rarity of KHE, being vigilant in diagnosis, and swift in therapeutic response is the linchpin for optimal outcomes.
Notes
ACKNOWLEDGMENTS
We extend our heartfelt thanks to the entire clinical and surgical teams at Severance Hospital for their dedicated care and expertise in managing our patient’s complex conditions. We are also grateful to the pathology department for their meticulous analysis and reporting which was crucial in diagnosing and guiding treatment. Our gratitude extends to the nursing staff, whose compassionate care played a critical role in our patient’s recovery process. Lastly, we would like to thank the patient and his family for their courage and cooperation, which were instrumental in the successful management of this case.
References
1. Cinotti E, Rongioletti F. Kaposiform hemangioendothelioma. In : Rongioletti F, Margaritescu I, Smoller BR, editors. Rare malignant skin tumors. New York, NY: Springer New York;2014. p. 161–3.
2. Barabash-Neila R, García-Rodríguez E, Bernabeu-Wittel J, Bueno-Rodríguez I, Ramírez-Villar G, López-Gutierrez JC. Kaposiform hemangioendothelioma with Kasabach-Merritt phenomenon: successful treatment with vincristine and ticlopidine. Indian J Pediatr. 2012; 79:1386–7.

3. Lyons LL, North PE, Mac-Moune Lai F, Stoler MH, Folpe AL, Weiss SW. Kaposiform hemangioendothelioma: a study of 33 cases emphasizing its pathologic, immunophenotypic, and biologic uniqueness from juvenile hemangioma. Am J Surg Pathol. 2004; 28:559–68.
4. Zukerberg LR, Nickoloff BJ, Weiss SW. Kaposiform hemangioendothelioma of infancy and childhood. An aggressive neoplasm associated with Kasabach-Merritt syndrome and lymphangiomatosis. Am J Surg Pathol. 1993; 17:321–8.
Fig. 1.
Preoperative evaluation of the neonate’s lesion. (A, B) Gross photographs depicting the substantial mass on the dorsum of the left hand prior to surgical intervention. (C, D) X-ray images showing the internal structure and extent of the lesion on the affected arm, providing essential diagnostic information.
Fig. 2.
Surgical management of kaposiform hemangioendothelioma. (A) Intraoperative design marking the boundaries for tumor resection. (B, C) Immediate postoperative photographs illustrating the initial outcome following tumor excision. (D, E) Photographs of the excised specimen, confirming the diagnosis of kaposiform hemangioendothelioma.
Fig. 3.
Postoperative follow-up at 3 months. (A, B) Images of the patient’s left hand demonstrating moderate scar contracture, which necessitated further surgical intervention for contracture release.
Fig. 4.
Preoperative and postoperative photographs of the second operation. (A) Severe scar contracture was noted before surgery, and (B) partial scar contracture release with a MatriDerm graft (MedSkin Solutions Dr. Suwelack AG, Billerbeck, Germany) was done in the second operation.
Fig. 5.
Preoperative and postoperative photographs of the third operation. (A) The preoperative design shows the metacarpal bones, (B) preoperative X-ray, (C) immediate postoperative photograph with a full-thickness skin graft and Kirschner wire (K-wire) fixation, and (D) postoperative X-ray showing a K-wire.
Fig. 6.
Outcome after the third surgical intervention. (A, B) Photographs of the patient’s left hand taken 3 months after the third operation, which involved scar contracture release and coverage with a full-thickness skin graft. These images show full recovery of the remaining fingers with no remaining contracture. (C) Photograph of the patient’s left hand with the ring finger flexion, showing intact function of the proximal phalangeal joint.
Fig. 7.
Histopathological features of kaposiform hemangioendothelioma. (A) Overview showing a capillary hemangioma-like multinodular mass. Hematoxylin and eosin (H&E) stain, ×15. (B) Higher magnification displaying mild to moderate nuclear pleomorphism with rare mitotic figures. H&E stain, ×400. (C) Immunohistochemical staining showing diffuse cytoplasmic positivity, indicating vascular endothelial differentiation in tumor cells. CD34 stain, ×400.



PDF
Citation
Print



XML Download