Abstract
The Eustachian tube is a passage that connects the middle ear to the nasopharynx and regulates the pressure within the middle ear. If there is persistent inflammation in the mucosa due to infection or allergic reactions, the opening of the Eustachian tube may not function properly, leading to obstructive Eustachian tube dysfunction. If symptoms persist even after three months of conservative treatment, balloon Eustachian tuboplasty may be considered. Although rare, severe complications such as subcutaneous emphysema, pneumomediastinum, and pneumothorax can occur, but there have been no reported cases of such complications in the Republic of Korea so far. Here, we present a case of a 52-year-old male who developed subcutaneous emphysema and pneumomediastinum after undergoing balloon Eustachian tuboplasty and discuss prevention and treatment for possible complications following the procedure.
이관은 외측 1/3의 골부, 내측 2/3의 연골부로 형성된 길이 31-38 mm의 관으로, 골부는 항상 열려 있고 연골부는 평상시 주로 닫혀있다. 연골부의 개폐를 통한 중이 환기에 장애가 생기면 이관기능부전(Eustachian tube dysfunction, ETD)이 발생한다[1]. 비충혈제거제, 항히스타민제, 비강 분무 스테로이드, 환기관 삽입과 같은 고식적 치료의 효과가 떨어지는 3개월 이상의 폐쇄성 이관기능부전에서 풍선이관확장술(balloon Eustachian tuboplasty, BET)을 고려해볼 수 있다. BET는 비강을 통해 기구를 이관의 골-연골 접합부까지 접근시켜 이관 인두구(Eustachian tube orifice)를 확장시키는 시술이다. 폐쇄성 이관기능부전의 주된 치료법으로 널리 사용되고 있으나 아직까지는 효용성에 대한 추가적인 연구가 필요하다. 합병증으로는 코피, 고실혈종(hemotymanum), 감염, 이관 개방증, 이명, 비염, 중이염 등이 가능하나 드물게 피하기종, 종격동기종, 기흉 등이 발생할 수 있다. 저자들은 52세 남성에서 풍선이관확장술 시행 후 피하기종과 종격동기종이 발생한 증례를 문헌 고찰과 함께 국내에서 최초로 보고하는 바이다.
52세 남성이 40년 전부터 지속되는 양측 이충만감을 주소로 내원하였다. 발살바 동작 수행 시 이충만감이 호전되고, 코를 들이마실 때는 악화되는 양상을 보였다. 평소 코막힘이 자주 발생하였고 계절 및 온도변화에 따라 악화되는 양상이었으며 재채기 및 눈 가려움 증상이 동반되었다. 비강 스프레이를 사용하였으나 증상이 지속되었다. 과거력상 고혈압, 당뇨, 알코올성 지방간, 내장 역위증(situs inversus)이 있었다. 흡연은 30년간 하루 3갑씩 하였다. 내시경상 고막에는 이상소견이 없었고 발살바 수기 시 정상적으로 고막이 팽륜되는 소견이 확인되었다. 비강내시경상 이관 개구부 주위로 이상소견은 확인되지 않았다. 순음청력검사에서 양측 4000 Hz에서 청력 저하 소견이 확인되었고, 고막운동성계측법(tympanometry)에서 type A 소견이 확인되었다(Fig. 1). 최종적으로 기능적 이관기능장애를 진단하였고 증상 호전을 위해 양측 풍선이 관확장술을 계획하였다. 전신마취 후 양쪽 비강에 에피네프린 0.1 mg/100 mL를 적신 거즈를 5분간 넣어놓고 점막을 수축시켰다. 이후 양측 하비갑개 외측 골절술로 시야 확보 후 비강을 통해 직경 6 mm, 길이 20 mm의 풍선 카테터(Earloon Eustachian Tube Dilation System; GENOSS, Suwon, Korea)를 이관 연골부까지 접근시켰다. 양측 이관 모두 생리 식염수를 이용하여 12기압으로 1분간 풍선을 팽창시켰다. 이후 출혈이 없는 것을 확인하고 수술을 종료하였다.
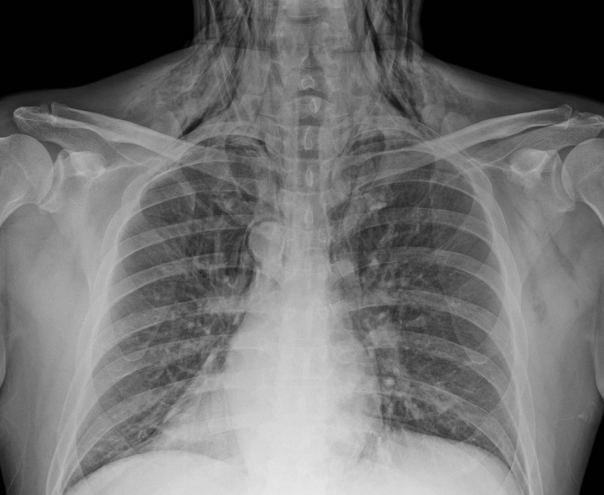
수술 후 8시간 뒤 양측 얼굴과 목에 부종이 발생하면서 호흡곤란 증세를 호소하였다. 양쪽 뺨, 목, 전방 흉벽 촉진 시 염발음(crepitus)이 확인되었다. 후두내시경 검사상 후두 및 인두 벽에 열상, 출혈 등의 이상 소견은 확인되지 않았다. Chest X-ray상 양측 경부 피하기종(subcutaneous emphysema) 소견과 함께 종격동기종(pneumomediastinum)이 확인되었다(Fig. 2). CT에서 경부 및 전방 흉벽의 피하 기종이 확인되었고 종격동기종 소견이 확인되었다(Fig. 3). 부종 및 호흡곤란 증상이 지속되어 양측 쇄골 상부를 약 2 cm 절개하고, 절개 부위 근처를 양손으로 압박하여 폐기종을 배출시켰다. 절개 부위는 매일 betadine wet gauze dressing을 시행하였다. 피하기종 흡수를 돕기 위해 산소를 nasal prong 3 L/min으로 주었다. 매일 chest X-ray 관찰과 함께 항생제를 투여하였으며 코 들이마시기, 발살바 동작, 흡연을 금지하도록 교육하였다. 하지만 환자는 생활습관 교육에도 불구하고 코막힘이 있을 때 코를 들이마시는 동작을 반복하고 흡연을 지속하였다. 발살바 동작 및 흡연을 금지하도록 재교육하였으며 코막힘 호전을 위해 비강 내 드레싱을 계획하였다. 수술 후 6일째 호흡곤란, 경부 부종, 염발음 증상이 호전되었으며, Chest X-ray에서 양측 경부 피하기종이 일부 호전되었다. CT 영상에서도 양측 경부 피하기종 및 종격동 기종이 일부 호전된 소견을 보였다(Fig. 4). 양측 쇄골 상부 절개창은 Nylon 4-0를 사용하여 봉합하였고 이후 피하기종 재발 소견이 없어 수술 후 9일째 퇴원하였다. 추후 외래에서 경과 관찰 시 이충만감은 호전되었고 호흡곤란은 없었다. 얼굴, 목, 흉벽 촉진 시 염발음은 확인되지 않았다.
이관기능부전은 이관 기능 중에서도 주로 이관 환기 기능의 장애를 일컫는 질환으로 중이 내 압력 불균형으로 나타나는 증상과 징후를 통칭한다[1]. 대표적인 증상으로는 이충만감이 있고, 징후로는 내시경상 고막 유착 소견이나 고막운동성계측법으로 확인되는 음압소견이 있다. 본 증례의 경우 내시경 및 고막운동성계측법은 정상소견이지만, 계절 및 온도 변화에 따라 악화되는 코막힘 증상, 동반증상, 흡연력 등을 고려하여 알레르기성 비염으로 인한 해부학적 폐쇄성 이관기능장애로 추정하였다. BET의 객관적인 적응증은 확립되지 않았으나, 보편적으로 고식적 치료에 반응하지 않는 만성 이관기능장애의 치료로서 사용된다. BET는 ETD 치료로 널리 사용하지만 아직 Food and Drug Administration 승인을 받지 못한 off-label 치료법이다[2]. BET가 ETD 치료에 관여하는 기전은 현재까지 명확하게 밝혀진 바 없다. 한 가지 가설은 점막하층의 미세출혈로 인한 이관 내강의 확장 및 조직학적 변화로 이관기능부전이 해소되는 것이다[3]. 조직학적 변화라고 함은 비대된 점막 및 점막하층이 풍선 압박으로 얇아지고 기저층(basal layer)은 유지되면서 상피세포 내 침윤된 림프 여포(lymphoid follicle)가 섬유성 반흔으로 대체되는 것을 의미한다[3,4]. BET의 합병증으로는 코피, 고실혈종(hemotymanum), 감염, 이관 개방증, 이명, 비염, 중이염 등이 가능하다[5]. 드물게 이관 골부 근처를 지나가는 carotid artery 손상이 발생할 수 있으며 전산화단층촬영으로 예방할 수 있다[2]. Skevas 등[5]에 따르면 BET를 실시한 2272명 중 10명에서 수술 후 피하기종 발생하였고, 그중 3명에서 종격동기종이 발생하였다.
본 증례에서는 이관 카테터 사용법에 맞추어 수술을 시행하였고 출혈은 거의 발생하지 않았다. 하지만 생활습관 교육에도 불구하고 수술 당일 저녁부터 코 들이마시기와 흡연을 지속하였다. 수술 이후 손상된 점막을 통해 다량의 공기가 유입되면서 최종적으로 피하기종 및 종격동 기종을 유발한 것으로 추측된다. 경부 피하기종 발생 시 항생제를 투여하고 산소를 공급하면서 경과를 지켜볼 수 있다. 일반적으로 2-6일 내로 호전되나 드물게 기흉, 종격동 기종, 긴장성 기복증 등의 치명적인 합병증으로 이어질 수 있다. 비인두 및 인두곁공간은 후인두공간과 연결되어 있기 때문에 BET로 발생한 점막손상으로 공기가 유입되어 후인두공간을 통해 종격동까지 파급될 수 있기 때문이다. 공기의 유입은 전신마취를 위해 기관삽관 시 구인두 또는 하인두의 손상으로도 발생 가능하다. 따라서 피하기종이 발생한 경우 반드시 영상 검사를 통해 기종의 파급 범위를 추적 관찰해야 한다. 피하기종 발생을 예방하기 위해서는 우선적으로 풍선 카테터를 삽입하는 과정에서 비강 점막 손상을 최소화해야 한다. 저자는 본 증례에서 시행하지 못했으나 카테터를 이관 내강 내로 적절히 삽입하지 못하는 경우 점막 손상이 발생할 가능성이 높기 때문에 시술 전 측두골 전산화단층촬영을 시행하는 것을 권고한다. 풍선 카테터 제품은 사용법에 맞춰서 사용해야 하며, 일반적으로 10-12기압으로 1-2분간 풍선을 확장하게 된다. 전신마취 후 기계호흡 중에는 호기압력을 최소화해야 한다. 그리고 수술 이후 흡연, 기침, 코 들이마시기, 빨대 사용, 무거운 짐들기, 발살바 동작 등을 시행하지 않도록 강하게 교육해야 한다. 피하 기종이 발생하였을 때는 피하 기종을 유발한 점막 열상을 통해 구강, 비강 내 세균이 종격동으로 파급되는 것을 방지하기 위해 예방적 항생제가 필요하다[5,6]. 또한 피하기종이 혈관을 압박할 경우 저혈압, 빈맥, 호흡곤란이 발생 가능하기 때문에 활력징후를 지속적으로 관찰해야 한다. 기종의 흡수를 돕기 위해 산소 공급도 고려해볼 수 있다. 수술 후 발생한 피하기종 증상은 대개 2-6일 내로 호전된다고 알려져 있다[5].
기존에 국내에서 이관 풍선 확장술의 합병증으로 발생한 피하기종 및 종격동기종에 대해 보고된 예가 없었다. 저자들의 경험을 통해 이관 풍선 확장술 후 발생 가능한 피하기종 및 종격동기종을 예방하고 치료하는 데 도움이 되고자 본 증례를 문헌 고찰과 함께 보고하는 바이다.
REFERENCES
1. Schilder AG, Bhutta MF, Butler CC, Holy C, Levine LH, Kvaerner KJ, et al. Eustachian tube dysfunction: Consensus statement on definition, types, clinical presentation and diagnosis. Clin Otolaryngol. 2015; 40(5):407–11.

2. Hwang SY, Kok S, Walton J. Eustachian tube dysfunction: Consensus statement on definition, types, clinical presentation and diagnosis. Clin Otolaryngol. 2015; 40(5):407–11.

3. Kivekäs I, Chao WC, Faquin W, Hollowell M, Silvola J, Rasooly T, et al. Histopathology of balloon-dilation eustachian tuboplasty. Laryngoscope. 2015; 125(2):436–41.

4. McCoul ED, Anand VK. Eustachian tube balloon dilation surgery. Int Forum Allergy Rhinol. 2012; 2(3):191–8.

Fig. 1.
Pre-operative hearing exam. A: Pure tone audiometry shows hearing loss at 4000 Hz. B: Tympanometry shows normal mobility of the tympanic membrane (type A).
Fig. 2.
Post-operative chest anterior-posterior view findings on the day of surgery. Both cervical subcutaneous emphysema and pneumomediastinum is found.



PDF
Citation
Print



XML Download