Abstract
ACKNOWLEDGMENTS
Notes
Author Contribution
Conceptualization: Myeong Sang Yu. Data curation: Taegyeong Kim, Won-Gi Hong. Formal analysis: Taegyeong Kim. Investigation: Taegyeong Kim. Methodology: Taegyeong Kim, Myeong Sang Yu. Project administration: Taegyeong Kim. Resources: Myeong Sang Yu. Supervision: Myeong Sang Yu, Kyung-Ja Cho. Validation: Myeong Sang Yu. Visualization: Myeong Sang Yu. Writing—original draft: Taegyeong Kim. Writing—review & editing: Taegyeong Kim, Myeong Sang Yu.
REFERENCES
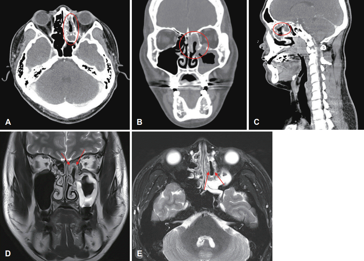
Fig. 1.
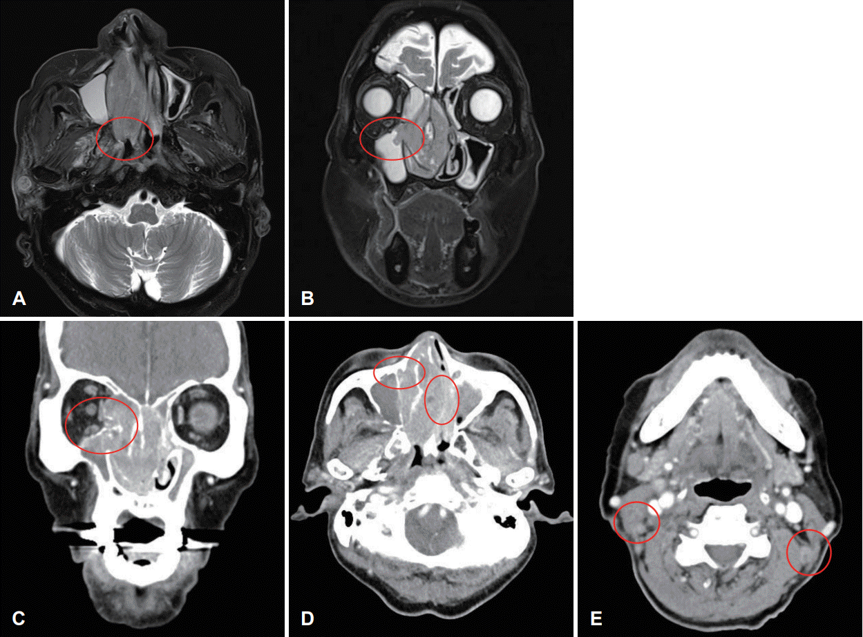
Fig. 2.
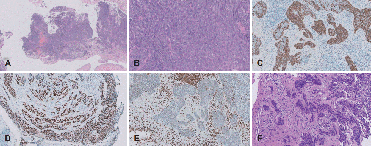
Fig. 3.
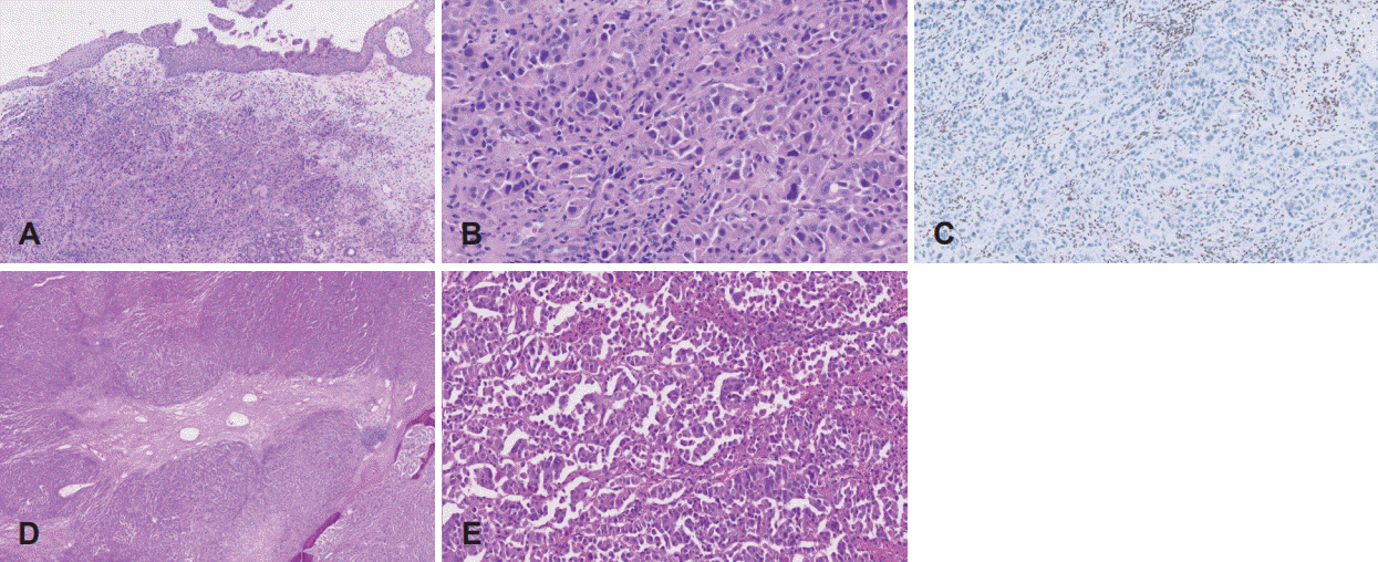
Fig. 4.
Table 1.
| Author (year) | Age/sex | Original diagnosis | Initial stage | Treatment | Clinical course (months) | Outcome/follow-up (months) |
|---|---|---|---|---|---|---|
| Jamshidi, et al. [10] (2014) | 32/M | PD SCC | T4N0 | Surgery+CTx+XRT | Mediastinal+retroperitoneal node metastases (13) | DOD (19) |
| Bell, et al. [9] (2015) | 64/F | SNUC | T4N0 | Surgery+CCRT | None | NED (3) |
| Bell, et al. [9] (2015) | 75/M | Basaloid SCC | T4N0 | Induction CTx+XRT, surgery+XRT | Local recurrence | AWD (12) |
| Bell, et al. [9] (2015) | 51/F | SNUC | T4N0 | Surgery+CTx+XRT | Local recurrence; distant metastases | DOD (24) |
| Bell, et al. [9] (2015) | 33/F | High-grade malignant germ cell tumor | T4N0 | Surgery+CCRT | Local recurrence | AWD (33) |
| Zeng, et al. [12] (2016) | 86/M | SNUC | T4N0Mx | Radical surgery | None | Died of colorectal cancer (21) |
| Baressi, et al. [8] (2016) | 16/F | Atypical teratoid/rhabdoid tumor | T4 | Surgery | Metastasis to lung+bone | DOD (9) |
| Shatzkes, et al. [11] (2016) | 35/F | Carcinoma with squamoid features | T4bN0M0 | NA | NA | NED (10) |
| Shatzkes, et al. [11] (2016) | 45/M | Adenocarcinoma | T4b | NA | NA | NED (48) |
| Shatzkes, et al. [11] (2016) | 50/F | PD SCC+papillary features | T4aN0M0 | NA | NA | NED (9) |
| Shatzkes, et al. [11] (2016) | 72/M | SMARCB1-deficient carcinoma | T4aN0M0 | NA | NA | NED (12) |
| Shatzkes, et al. [11] (2016) | 43/M | PD SCC | T1NxMx | NA | NA | NED (9) |
| Shatzkes, et al. [11] (2016) | 62/M | SNUC | T4bN0M1 | NA | NA | NED (3) |
| Wasserman, et al. [7] (2017) | 34/M | SNUC | T4N0M0 | Surgery+CCRT | Metastasis to lung, pleura, bone, liver | DOD (26) |
| Wasserman, et al. [7] (2017) | 56/F | NA | T4bNxMx | CCRT | None | AWD (12) |
SMARCB1, switch/sucrose non-fermentable-related matrix-associated actin-dependent regulator of chromatin subfamily B member 1; M, male; F, female; PD, poorly differentiated; SCC, squamous cell carcinoma; SNUC, sinonasal undifferentiated carcinoma; NA, not available; CCRT, concurrent chemoradiation therapy; CTx, chemotherapy; XRT, external beam radiotherapy; NED, no evidence of disease; AWD, alive with disease; DOD, died of disease



PDF
Citation
Print



XML Download