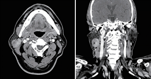
65세 남자 환자가 2년 전부터 만져지는 우측 이하선 종물을 주소로 내원하였다. 내원 당시 우측 이하선에 3 cm 정도 크기의 종물이 촉진되었으며 통증이나 열감은 동반되지 않았다 외래에서 촬영한 경부 전산화단층촬영 소견은 아래와 같았다. 이 질환에 대한 설명으로 옳지 않은 것은?
① CT나 MRI를 이용해 종양이 양성인지 악성인지를 구별하는 것은 쉽지 않다.
② 주타액선(major salivary gland)에 발생하는 종양 중 가장 흔한 종양은 와르틴 종양(Warthin’s tumor)이다.
③ 다형선종(pleomorphic adenoma)은 80%가 이하선에 발생하며 악하선과 소타액선에서 각각 다형선종의 10%가 발생한다.
④ 이하선은 천엽(superficial lobe)와 심엽(deep lobe)으로 이루어져 있으며 두엽 사이에 안면신경이 존재한다.
⑤ 이하선 종양 수술시에 안면신경 줄기를 찾기 위한 해부학적 지표로는 이주연골지표(tragal pointer), 고실유동봉합(tympanomastoid suture), 후이복근의 근육 부착부위 등이 있다.



PDF
Citation
Print


XML Download